HISTOLOGIA -
PRACTICA
Dr. Jomeinni Raúl Bringas Pérez
UNIVERSIDAD CESAR VALLEJO
FACULTAD DE MEDICINA HUMANA
SESION 6
TEJIDO LINFOIDE
GANGLIOS
LINFATICOS
ESTRUCTURA
GENERAL
• Parénquima:
Tejido linfoide
organizado y
algunos
macrófagos.
• Estroma:
– Cápsula
– Trabéculas de
tejido conectivo
– Red de fibras y
células reticulares
Divisiones del ganglio
linfático
• Corteza:
– Externa, mayor cantidad de linfocitos,
fuertemente teñida
• Médula:
– Interna, más pálida . Vasos linfáticos y senos
medulares ocupados por linfocitos, macrófagos y
células plasmáticas
• Estroma:
– Red de fibras reticulares y células reticulares
ORGANIZACIÓN HISTOLOGICA
Tejido linfoide encapsulado, atravesado por vasos linfáticos
denominados senos linfáticos.
Cápsula:
Entramado de tejido conjuntivo, rodea la totalidad del ganglio y es más
gruesa a nivel del hilio.
Trabéculas:
Ramificaciones
del tejido
conjuntivo
CORTEZA
• Masa densa de
células linfoides, a
veces atravesada
por trabéculas y
senos
intermedios.
• Presenta los
nódulos linfoides
primarios,
secundarios y
tejido linfoide
difuso.
Corteza Externa
• NODULOS LINFOIDES
PRIMARIOS:
– Zonas esféricas u ovoides de
linfocitos pequeños.
• NODULOS LINFOIDES
SECUNDARIOS:
– Tienen una zona central más
pálida denominada Centro
Germinal , formada por
linfocitos grandes y
macrófagos. Lugares de
diferenciación celular de linfo-
citos B y producción de
anticuerpos y algunos
linfocitos T.
• Manto o zona
creciente:
–Zona
pequeña de
linfocitos que
rodea el
centro
germinal.
Corteza internodular o corteza
profunda
• Constituida por tejido linfoide difuso
desprovisto de centros germinales.
• Los linfocitos B se concentran en los
nódulos primarios y los T en el tejido
linfoide difuso.
• También tiene linfocitos recirculantes
Corteza internodular o corteza
profunda
• Contiene vénulas post
capilares endoteliales altas:
– Vía de entrada de los
linfocitos transportados por la
sangre.
• Se encuentran las células
interdigitadas, células
veladas
(se cree que pueden están
involucradas en la presentación
del antígeno al linfocito)
MEDULA
• Se encuentran los
Cordones Medulares:
– Agregaciones de tejido
linfoide organizadas
entorno a vasos sanguíneos
pequeños.
• Los cordones se
ramifican, anastomosan y
terminan a nivel del hilio.
• Están formados de
linfocitos pequeños,
células plasmáticas y
macrófagos
Irrigación
• Vasos linfáticos
eferentes salen
por hilio
•Vasos linfáticos
aferentes entran
por cápsula
Arteria, vena y
nervio entran
por hilio
VASOS SANGUINEOS Y
NERVIOS
• Entran por el hilio, ocasionalmente por
la cápsula ( pequeños ).
• Del hilio van a las trabéculas y luego a
los cordones medulares y crean
capilares.
• Alcanzan la corteza, forman plexos
capilares y se continúan con vénulas
post capilares.
•Los vasos linfáticos tienen
válvulas, pero en sentidos
inversos.
• Las de los aferentes se abren
hacia los ganglios y
• Las de los eferentes le dan la
espalda al hilio,
• Así se asegura la circulación
UNIDIRECCIONAL de la linfa.
Válvula
SENOS LINFATICOS
• Vasos linfáticos aferentes:
– Llegan a la superficie externa del ganglio,
perforan la cápsula y se abren a un seno marginal
o subcapsular, en forma de cuenco, que separa la
cápsula del parénquima cortical.
• Senos intermedios o
corticales:
– Penetran en el
parénquima siguiendo
la misma orientación
de las trabéculas
– Se continúan por la
médula por los senos
medulares, los que se
ramifican y
anastomosan y
fragmentan el
parénquima en
cordones medulares.
●Los senos de la médula se
reúnen con el seno marginal a
nivel del hilio para unirse con
los vasos eferentes.
• SENO SUBCAPSULAR
• SENOS CORTICALES
• SENOS MEDULARES
• LINFATICOS EFERENTES
• Los senos funcionan como filtros.
• Revestidos por dos tipos de células:
– 1- Macrófagos:
• Se apoyan en la pared de los senos o en el
retículo intraluminal, carecen de uniones
intercelulares y no envuelven las fibras
reticulares.
– 2- Células endoteliales estrelladas.
• Semejante al endotelio de los vasos sanguíneos
y linfáticos.
• Los senos tienen
red
tridimensional de
fibras reticulares
y células
reticulares
asociadas:
– Estas mallas
están llenas de
linfocitos, células
plasmáticas y
macrófagos.
TIMO
ORGANIZACIÓN
HISTOLOGICA
• Dos lóbulos:
– Cada uno con cápsula
– Sub divididos en
lobulillos de 0.5 a 2 mm
• Cada lobulillo tiene
corteza y médula
• Estroma:
– Cápsula,
– Trabéculas y
– Citorretículo
Parénquima:
Linfocitos T, macrófagos,
células epiteliales.
Linfocitos
(timocitos)
Células epiteliales
Macrófagos
CORTEZA
• Células epiteliales tipo 1:
– Revisten el parénquima de los
lóbulos, tejido conjuntivo de
los septos y los espacios
perivasculares.
• Citorretículo:
– Formado por células
reticulares.
– En las regiones externa y
media: Células epiteliales
tipo 2.
• Los linfocitos llenan
completamente los
intersticios del retículo
• Células epiteliales tipo 3:
–En la corteza más profunda.
• Células de Vigilancia Tímica:
–Son las Células Epiteliales tipo 2 y 3
• Tienen moléculas de
histocompatibilidad .
–La tolerancia hacia lo propio y la
respuesta inmune celular depende
del contacto de los linfocitos con
éstas células.
• La mayoría de la
población es de
linfocitos T grandes y
pequeños.
• Los rasgos más
prominentes son su
contorno de superficie
lisa y forma poliédrica
por deformación.
• Linfocitos grandes:
– En periferia
• Linfocitos más
pequeños:
– En zonas más profundas.
CORTEZA
MEDULA
• Linfocitos menos
abundantes que
en la corteza,
principalmente
pequeños.
• Raros los
macrófagos,
algunos
eosinófilos.
• Porción más
profunda de la
corteza hay
Células tipo 4,
son las que
constituyen el
citorretículo de la
médula.
• Células epiteliales tipo 5:
–En pequeños grupos en unión
corticomedular y dispersas en
médula.
• Células epiteliales tipo 6:
–Sólo en médula.
–Participan en la formación de
Corpúsculos de Hassall.
Células epiteliales
1 a 6
• ¿Diferentes tipos de
células o la misma
célula con diferentes
funciones….?
CORPUSCULO
DE HASSALL
• Masa concéntrica de
células escamosas,
unidas por desmosomas
y con haces de
filamentos intermedios.
• Formado principalmente
por células epiteliales
tipo 6, que reaccionan
con anticuerpos
antiepidérmicos.
• Región central
formada por
células
anucleadas que
pueden degenerar
o calcificarse.
• Tiene una región
periférica formada
por células planas.
• No se sabe su
función.
CORPÚSCULO DE
HASSALL
VASOS Y NERVIOS
• Irrigación procede de arterias torácicas
internas, por sus ramas mediastínicas y
pericardiofrénicas.
• Se ramifican en los septos interlobulillares y
siguen los tabiques secundarios.
• Penetran en el lobulillo por el límite
corticomedular sin pasar por la sustancia de
la corteza.
• Las arteriolas
dan capilares que
ascienden a la
corteza.
• En la periferia de
la corteza los
capilares forman
una red que
regresa al interior
del lobulillo, y
éstos terminan
en vénulas post
capilares en la
frontera
corticomedular y
la médula.
• Un gran número de linfocitos
entran al torrente sanguíneo
atravesando las paredes de las
vénulas post capilares.
• Las vénulas post capilares
forman venas interlobulillares
que desembocan en la vena
tímica.
• La corteza solo es irrigada por
capilares.
• La frontera córticomedular y médula
tienen capilares, arteriolas y vénulas.
• La barrera hemato-tímica:
– Protege a la corteza de la influencia de
antígenos circulantes.
– Sus vasos no son permeables a diferencia
de los vasos de la médula
BAZO
• Función:
–Complejo filtro del torrente sanguíneo
• Depura la sangre de:
– Material particulado,
– Células viejas y
– Células defectuosas.
–Participa en defensa inmunitaria frente
a antígenos transportados en la sangre.
BAZO
Cápsula y trabéculas
• Mesotelio peritoneal
recubre cápsula
• Cápsula y trabéculas:
– Tejido conjuntivo
denso:
• Rico en fibras
elásticas
• Fibroblastos
• Poco músculo liso
• Arterias venas y linfáticos:
– Penetran por las
trabéculas
Los cambios en el volumen
del bazo se
deben a cambios en el flujo
sanguíneo
hacia el mismo
ORGANIZACIÓN
HISTOLÓGICA
• Pulpa blanca
– Tejido linfoide difuso y
nodular
– Áreas grises de 0.2 a 0.7
mm diámetro
• Pulpa roja:
– Senos venosos
– Cordones esplénicos (de
Billroth)
– Abundantes eritrocitos
(color rojo) en senos y
cordones esplénicos
• Las relaciones entra
las pulpas roja y
blanca dependen de
la distribución de
vasos sanguíneos:
– La blanca se encuentra
alrededor de las
arterias
– La roja rellena los
intersticios entre los
senos venosos
ORGANIZACIÓN
HISTOLÓGICA
• Forma vainas linfoides
periarteriales (VLPA),
con algunos centros
germinales
• Las Vainas Linfoides
Periarteriales siguen a
los vasos sanguíneos
hasta que se ramifican
en capilares.
PULPA BLANCA
En las vainas predominan los
linfocitos T del contingente
recirculante
Los centros germinales tienen
principalmente linfocitos B
• Responde a antígenos
transportados por sangre.
• En las Vainas Linfoides
Periarteriales aparecen:
–Linfocitos grandes
–Linfoblastos
–Células plasmáticas inmaduras
PULPA BLANCA
ZONA MARGINAL
• Periférica a las
Vainas Linfoides
Periarteriales
• Entre pulpa roja y
blanca
• Mide de 80 a 100
um
• Entramado denso
de fibras
reticulares, con:
– Pequeños linfocitos
– Células plasmáticas
•La zona marginal recibe la
sangre arterial que llega a
la pulpa roja.
ZONA MARGINAL
• Lugar donde las células transportadas por la sangre
y el material particulado tienen primer contacto con
parénquima esplénico
• Aquí los linfocitos recirculantes abandonan la sangre
a través de los senos venosos, para entrar en las
VLPA.
• Al final de las bifurcaciones de
la arteria central, la Vaina
Linfoide Periarterial es muy
fina, al igual que las zonas
marginales, que se extienden
en la pulpa roja donde forman
los “canales puente”.
ZONA MARGINAL
• 1. Red de senos
venosos
tortuosos,
ramificados y
anastomosados
• 2. Cordones
pulpares o
esplénicos
(“rojos) altamente
celulares
PULPA ROJA
1. Red de senos venosos:
– Drenan en las
venas pulpares
– Endotelio sobre
fibras reticulares
originadas en
trabéculas y
cápsula del bazo,
con haces
colágenos.
SENOS ESPLÉNICOS Y VENAS
• Senos:
– Finas paredes, luz hasta
de 40 um,
– No revestimiento
muscular
– Células endoteliales
fusiformes
– Escasez de uniones
celulares laterales
– Lámina basal forma
“costillas” alrededor del
endotelio
COSTILLAS
ALREDEDOR DE
LOS SENOS
CORDONES
DE
BILLROTH
• La estructura de la
pared permite a las
células sanguíneas
abandonar el bazo y
reentrar en la
circulación
• Los senos
esplénicos
desembocan en las
venas pulpares y
éstas originan las
venas de las
trabéculas que
drenan en las venas
del hilio esplénico.
SENOS ESPLÉNICOS Y VENAS
– Ocupan espacio entre
los senos
– Muy celulares:
• Eritrocitos, plaquetas,
macrófagos, algunas
células plasmáticas
• Malla de fibras
reticulares revestidas
por células reticulares
estrelladas ancladas
en paredes de los
senos
2. Cordones pulpares o esplénicos:
SENOS
CORDONES
• Fagocitan eritrocitos,
neutrófilos y
plaquetas.
– Tienen pigmento de
ferritina o
hemosiderina, con
hierro proveniente de
degradación de
hemoglobina
– El hierro se transporta
por la transferrina a los
eritroblastos de la
médula para sintetizar
más hemoglobina
Macrófagos de la pulpa roja:
• Son especializados:
– Permiten que la sangre
circulante se ponga en
contacto con gran
número de macrófagos.
– Acompañados por gran
cantidad de tejido
linfoide con funciones
inmunológicas.
VASOS SANGUÍNEOS
ARTERIAS
• Arteria esplénica
entra por el hilio
• Se ramifica en las
trabéculas:
• Al llegar a 0.2 mm las
ramas abandonan las
trabéculas
– Adventicia es
sustituida por vaina
de tejido linfoide
La arteria a este nivel se
llama “central”, aunque
se
desplaza a la periferia.
Arteria central
VENA TRABECULAR
ARTERIA
TRABECULAR
PULPA ROJA
PULPA ROJA
PULPA BLANCA
PULPA BLANCA
HILIO
CÁPSULA
ARTERIAS PENICILARES
• Arteria central da
ramas capilares
para el tejido
linfoide de la vaina,
que llegan hasta la
zona marginal
• Arteria central
disminuye su
diámetro cuando
avanza por la pulpa
blanca:
●
Al llegar a 40-50 um
origina las arterias
penicilares, de menos
de 1 mm de longitud
Elipsoide o vaina de Schweigger-
Seidel
•Arterias penicilares se ramifican en
2 o 3 capilares envainados (elipsoide
o vaina de Schweigger-Seidel):
• Rodeados por
●
● Células reticulares
Macrófagos
●Algunos granulocitos y
eritrocitos
ENDOTELIO CAPILAR
• Es atípico
• Lámina basal discontinua
• Separados de células vecinas por
frecuentes fisuras intercelulares:
–Las células pueden pasar de la
sangre a la vaina y de aquí a la pulpa
roja.
CIRCULACIÓN ESPLÉNICA
• ¿Cómo pasa la sangre de las arterias
penicilares a los senos esplénicos?
• 3 hipótesis:
• 1. Circulación abierta
• 2. Circulación cerrada
• 3. Ambos tipos de circulaciones
coexisten
• En microscopía electrónica se observa
que:
– Ramas de las arterias penicilares se abren
en la pulpa roja.
– No se ha podido demostrar continuidad
endotelial directa entre segmentos arterial
y venoso de la circulación esplénica
CIRCULACIÓN ESPLÉNICA
– Células entran en los espacios
extravasculares de los cordones
esplénicos a partir de los extremos
abiertos de las arteriolas o los capilares.
– Estas células retornan a la circulación a
través de las hendiduras de las paredes de
los senos.
La teoría más aceptada es
la de la circulación abierta:
HISTOFISIOLOGÍA
• Filtración de la sangre es
función principal:
–En base a la gran cantidad de
macrófagos que contiene
• Material particulado y antígenos
macromoleculares se localizan primero
– En macrófagos de zona marginal; y luego
– En resto de la pulpa roja
• Si hay anticuerpos por exposición
previa, el antígeno queda atrapado
largo tiempo en centros germinales o
VLPA
HISTOFISIOLOGÍA
• Bazo regula la calidad
de las células
sanguíneas:
– Macrófagos fagocitan
células “viejas” o
dañadas.
• Paredes de los
sinusoides filtran
eritrocitos anormales
rígidos y parásitos,
como plasmodios
HISTOFISIOLOGÍA
¿Qué son éstos?
• Participa en el reciclado del hierro:
– Hemoglobina de eritrocitos fagocitados
por macrófagos se descompone en Hem y
Globina
– El hierro del Hem se libera y se almacena
en forma de ferritina o hemosiderina
– La ferritina es transportada a la médula
ósea para síntesis de hemoglobina
– Los remanentes del Hem llegan a ser
excretados en la bilis
HISTOFISIOLOGÍA
• Es importante reservorio de plaquetas:
– Un tercio de las plaquetas del organismo
• En situaciones patológicas desarrolla
metaplasia mieloide
• En hiperlipemia diabética, macrófagos
extraen lípidos de la sangre.
HISTOFISIOLOGÍA
RESPUESTA INMUNE
• Mayoría de linfocitos esplénicos son
del contingente recirculante.
• Se ubican en VLPAs
– Linfocitos T de recirculación rápida se
colocan cerca de arteria central (región
timo-dependiente)
– Linfocitos B de emigración más lenta
toman posición más periférica
LAMINAS 6 A
BAZO
GANGLIO
TIMO
AMIGDALA
TEJIDO LINFATICO - SESION 6.pptx
TEJIDO LINFATICO - SESION 6.pptx

TEJIDO LINFATICO - SESION 6.pptx

  • 1.
    HISTOLOGIA - PRACTICA Dr. JomeinniRaúl Bringas Pérez UNIVERSIDAD CESAR VALLEJO FACULTAD DE MEDICINA HUMANA SESION 6 TEJIDO LINFOIDE
  • 2.
  • 3.
    ESTRUCTURA GENERAL • Parénquima: Tejido linfoide organizadoy algunos macrófagos. • Estroma: – Cápsula – Trabéculas de tejido conectivo – Red de fibras y células reticulares
  • 4.
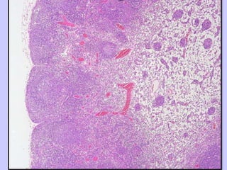
    Divisiones del ganglio linfático •Corteza: – Externa, mayor cantidad de linfocitos, fuertemente teñida • Médula: – Interna, más pálida . Vasos linfáticos y senos medulares ocupados por linfocitos, macrófagos y células plasmáticas • Estroma: – Red de fibras reticulares y células reticulares
  • 6.
    ORGANIZACIÓN HISTOLOGICA Tejido linfoideencapsulado, atravesado por vasos linfáticos denominados senos linfáticos. Cápsula: Entramado de tejido conjuntivo, rodea la totalidad del ganglio y es más gruesa a nivel del hilio. Trabéculas: Ramificaciones del tejido conjuntivo
  • 7.
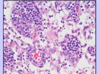
    CORTEZA • Masa densade células linfoides, a veces atravesada por trabéculas y senos intermedios. • Presenta los nódulos linfoides primarios, secundarios y tejido linfoide difuso.
  • 8.
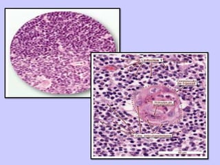
    Corteza Externa • NODULOSLINFOIDES PRIMARIOS: – Zonas esféricas u ovoides de linfocitos pequeños. • NODULOS LINFOIDES SECUNDARIOS: – Tienen una zona central más pálida denominada Centro Germinal , formada por linfocitos grandes y macrófagos. Lugares de diferenciación celular de linfo- citos B y producción de anticuerpos y algunos linfocitos T.
  • 9.
    • Manto ozona creciente: –Zona pequeña de linfocitos que rodea el centro germinal.
  • 10.
    Corteza internodular ocorteza profunda • Constituida por tejido linfoide difuso desprovisto de centros germinales. • Los linfocitos B se concentran en los nódulos primarios y los T en el tejido linfoide difuso. • También tiene linfocitos recirculantes
  • 11.
    Corteza internodular ocorteza profunda • Contiene vénulas post capilares endoteliales altas: – Vía de entrada de los linfocitos transportados por la sangre. • Se encuentran las células interdigitadas, células veladas (se cree que pueden están involucradas en la presentación del antígeno al linfocito)
  • 12.
    MEDULA • Se encuentranlos Cordones Medulares: – Agregaciones de tejido linfoide organizadas entorno a vasos sanguíneos pequeños. • Los cordones se ramifican, anastomosan y terminan a nivel del hilio. • Están formados de linfocitos pequeños, células plasmáticas y macrófagos
  • 13.
    Irrigación • Vasos linfáticos eferentessalen por hilio •Vasos linfáticos aferentes entran por cápsula Arteria, vena y nervio entran por hilio
  • 14.
    VASOS SANGUINEOS Y NERVIOS •Entran por el hilio, ocasionalmente por la cápsula ( pequeños ). • Del hilio van a las trabéculas y luego a los cordones medulares y crean capilares. • Alcanzan la corteza, forman plexos capilares y se continúan con vénulas post capilares.
  • 15.
    •Los vasos linfáticostienen válvulas, pero en sentidos inversos. • Las de los aferentes se abren hacia los ganglios y • Las de los eferentes le dan la espalda al hilio, • Así se asegura la circulación UNIDIRECCIONAL de la linfa. Válvula
  • 16.
    SENOS LINFATICOS • Vasoslinfáticos aferentes: – Llegan a la superficie externa del ganglio, perforan la cápsula y se abren a un seno marginal o subcapsular, en forma de cuenco, que separa la cápsula del parénquima cortical.
  • 17.
    • Senos intermedioso corticales: – Penetran en el parénquima siguiendo la misma orientación de las trabéculas – Se continúan por la médula por los senos medulares, los que se ramifican y anastomosan y fragmentan el parénquima en cordones medulares. ●Los senos de la médula se reúnen con el seno marginal a nivel del hilio para unirse con los vasos eferentes.
  • 19.
    • SENO SUBCAPSULAR •SENOS CORTICALES • SENOS MEDULARES • LINFATICOS EFERENTES
  • 20.
    • Los senosfuncionan como filtros. • Revestidos por dos tipos de células: – 1- Macrófagos: • Se apoyan en la pared de los senos o en el retículo intraluminal, carecen de uniones intercelulares y no envuelven las fibras reticulares. – 2- Células endoteliales estrelladas. • Semejante al endotelio de los vasos sanguíneos y linfáticos.
  • 21.
    • Los senostienen red tridimensional de fibras reticulares y células reticulares asociadas: – Estas mallas están llenas de linfocitos, células plasmáticas y macrófagos.
  • 23.
  • 24.
    ORGANIZACIÓN HISTOLOGICA • Dos lóbulos: –Cada uno con cápsula – Sub divididos en lobulillos de 0.5 a 2 mm • Cada lobulillo tiene corteza y médula • Estroma: – Cápsula, – Trabéculas y – Citorretículo
  • 25.
    Parénquima: Linfocitos T, macrófagos, célulasepiteliales. Linfocitos (timocitos) Células epiteliales Macrófagos
  • 26.
    CORTEZA • Células epitelialestipo 1: – Revisten el parénquima de los lóbulos, tejido conjuntivo de los septos y los espacios perivasculares. • Citorretículo: – Formado por células reticulares. – En las regiones externa y media: Células epiteliales tipo 2. • Los linfocitos llenan completamente los intersticios del retículo
  • 27.
    • Células epitelialestipo 3: –En la corteza más profunda. • Células de Vigilancia Tímica: –Son las Células Epiteliales tipo 2 y 3 • Tienen moléculas de histocompatibilidad . –La tolerancia hacia lo propio y la respuesta inmune celular depende del contacto de los linfocitos con éstas células.
  • 28.
    • La mayoríade la población es de linfocitos T grandes y pequeños. • Los rasgos más prominentes son su contorno de superficie lisa y forma poliédrica por deformación. • Linfocitos grandes: – En periferia • Linfocitos más pequeños: – En zonas más profundas. CORTEZA
  • 29.
    MEDULA • Linfocitos menos abundantesque en la corteza, principalmente pequeños. • Raros los macrófagos, algunos eosinófilos. • Porción más profunda de la corteza hay Células tipo 4, son las que constituyen el citorretículo de la médula.
  • 30.
    • Células epitelialestipo 5: –En pequeños grupos en unión corticomedular y dispersas en médula. • Células epiteliales tipo 6: –Sólo en médula. –Participan en la formación de Corpúsculos de Hassall.
  • 31.
    Células epiteliales 1 a6 • ¿Diferentes tipos de células o la misma célula con diferentes funciones….?
  • 32.
    CORPUSCULO DE HASSALL • Masaconcéntrica de células escamosas, unidas por desmosomas y con haces de filamentos intermedios. • Formado principalmente por células epiteliales tipo 6, que reaccionan con anticuerpos antiepidérmicos.
  • 33.
    • Región central formadapor células anucleadas que pueden degenerar o calcificarse. • Tiene una región periférica formada por células planas. • No se sabe su función. CORPÚSCULO DE HASSALL
  • 34.
    VASOS Y NERVIOS •Irrigación procede de arterias torácicas internas, por sus ramas mediastínicas y pericardiofrénicas. • Se ramifican en los septos interlobulillares y siguen los tabiques secundarios. • Penetran en el lobulillo por el límite corticomedular sin pasar por la sustancia de la corteza.
  • 35.
    • Las arteriolas dancapilares que ascienden a la corteza. • En la periferia de la corteza los capilares forman una red que regresa al interior del lobulillo, y éstos terminan en vénulas post capilares en la frontera corticomedular y la médula.
  • 36.
    • Un grannúmero de linfocitos entran al torrente sanguíneo atravesando las paredes de las vénulas post capilares. • Las vénulas post capilares forman venas interlobulillares que desembocan en la vena tímica.
  • 37.
    • La cortezasolo es irrigada por capilares. • La frontera córticomedular y médula tienen capilares, arteriolas y vénulas. • La barrera hemato-tímica: – Protege a la corteza de la influencia de antígenos circulantes. – Sus vasos no son permeables a diferencia de los vasos de la médula
  • 38.
  • 39.
    • Función: –Complejo filtrodel torrente sanguíneo • Depura la sangre de: – Material particulado, – Células viejas y – Células defectuosas. –Participa en defensa inmunitaria frente a antígenos transportados en la sangre. BAZO
  • 40.
    Cápsula y trabéculas •Mesotelio peritoneal recubre cápsula • Cápsula y trabéculas: – Tejido conjuntivo denso: • Rico en fibras elásticas • Fibroblastos • Poco músculo liso • Arterias venas y linfáticos: – Penetran por las trabéculas Los cambios en el volumen del bazo se deben a cambios en el flujo sanguíneo hacia el mismo
  • 41.
    ORGANIZACIÓN HISTOLÓGICA • Pulpa blanca –Tejido linfoide difuso y nodular – Áreas grises de 0.2 a 0.7 mm diámetro • Pulpa roja: – Senos venosos – Cordones esplénicos (de Billroth) – Abundantes eritrocitos (color rojo) en senos y cordones esplénicos
  • 42.
    • Las relacionesentra las pulpas roja y blanca dependen de la distribución de vasos sanguíneos: – La blanca se encuentra alrededor de las arterias – La roja rellena los intersticios entre los senos venosos ORGANIZACIÓN HISTOLÓGICA
  • 43.
    • Forma vainaslinfoides periarteriales (VLPA), con algunos centros germinales • Las Vainas Linfoides Periarteriales siguen a los vasos sanguíneos hasta que se ramifican en capilares. PULPA BLANCA En las vainas predominan los linfocitos T del contingente recirculante Los centros germinales tienen principalmente linfocitos B
  • 44.
    • Responde aantígenos transportados por sangre. • En las Vainas Linfoides Periarteriales aparecen: –Linfocitos grandes –Linfoblastos –Células plasmáticas inmaduras PULPA BLANCA
  • 45.
    ZONA MARGINAL • Periféricaa las Vainas Linfoides Periarteriales • Entre pulpa roja y blanca • Mide de 80 a 100 um • Entramado denso de fibras reticulares, con: – Pequeños linfocitos – Células plasmáticas •La zona marginal recibe la sangre arterial que llega a la pulpa roja.
  • 46.
    ZONA MARGINAL • Lugardonde las células transportadas por la sangre y el material particulado tienen primer contacto con parénquima esplénico • Aquí los linfocitos recirculantes abandonan la sangre a través de los senos venosos, para entrar en las VLPA.
  • 47.
    • Al finalde las bifurcaciones de la arteria central, la Vaina Linfoide Periarterial es muy fina, al igual que las zonas marginales, que se extienden en la pulpa roja donde forman los “canales puente”. ZONA MARGINAL
  • 48.
    • 1. Redde senos venosos tortuosos, ramificados y anastomosados • 2. Cordones pulpares o esplénicos (“rojos) altamente celulares PULPA ROJA
  • 49.
    1. Red desenos venosos: – Drenan en las venas pulpares – Endotelio sobre fibras reticulares originadas en trabéculas y cápsula del bazo, con haces colágenos.
  • 50.
    SENOS ESPLÉNICOS YVENAS • Senos: – Finas paredes, luz hasta de 40 um, – No revestimiento muscular – Células endoteliales fusiformes – Escasez de uniones celulares laterales – Lámina basal forma “costillas” alrededor del endotelio
  • 51.
  • 52.
    • La estructurade la pared permite a las células sanguíneas abandonar el bazo y reentrar en la circulación • Los senos esplénicos desembocan en las venas pulpares y éstas originan las venas de las trabéculas que drenan en las venas del hilio esplénico. SENOS ESPLÉNICOS Y VENAS
  • 53.
    – Ocupan espacioentre los senos – Muy celulares: • Eritrocitos, plaquetas, macrófagos, algunas células plasmáticas • Malla de fibras reticulares revestidas por células reticulares estrelladas ancladas en paredes de los senos 2. Cordones pulpares o esplénicos: SENOS CORDONES
  • 54.
    • Fagocitan eritrocitos, neutrófilosy plaquetas. – Tienen pigmento de ferritina o hemosiderina, con hierro proveniente de degradación de hemoglobina – El hierro se transporta por la transferrina a los eritroblastos de la médula para sintetizar más hemoglobina Macrófagos de la pulpa roja:
  • 55.
    • Son especializados: –Permiten que la sangre circulante se ponga en contacto con gran número de macrófagos. – Acompañados por gran cantidad de tejido linfoide con funciones inmunológicas. VASOS SANGUÍNEOS
  • 56.
    ARTERIAS • Arteria esplénica entrapor el hilio • Se ramifica en las trabéculas: • Al llegar a 0.2 mm las ramas abandonan las trabéculas – Adventicia es sustituida por vaina de tejido linfoide La arteria a este nivel se llama “central”, aunque se desplaza a la periferia. Arteria central
  • 57.
    VENA TRABECULAR ARTERIA TRABECULAR PULPA ROJA PULPAROJA PULPA BLANCA PULPA BLANCA HILIO CÁPSULA
  • 58.
    ARTERIAS PENICILARES • Arteriacentral da ramas capilares para el tejido linfoide de la vaina, que llegan hasta la zona marginal • Arteria central disminuye su diámetro cuando avanza por la pulpa blanca: ● Al llegar a 40-50 um origina las arterias penicilares, de menos de 1 mm de longitud
  • 59.
    Elipsoide o vainade Schweigger- Seidel •Arterias penicilares se ramifican en 2 o 3 capilares envainados (elipsoide o vaina de Schweigger-Seidel): • Rodeados por ● ● Células reticulares Macrófagos ●Algunos granulocitos y eritrocitos
  • 60.
    ENDOTELIO CAPILAR • Esatípico • Lámina basal discontinua • Separados de células vecinas por frecuentes fisuras intercelulares: –Las células pueden pasar de la sangre a la vaina y de aquí a la pulpa roja.
  • 61.
    CIRCULACIÓN ESPLÉNICA • ¿Cómopasa la sangre de las arterias penicilares a los senos esplénicos? • 3 hipótesis: • 1. Circulación abierta • 2. Circulación cerrada • 3. Ambos tipos de circulaciones coexisten
  • 62.
    • En microscopíaelectrónica se observa que: – Ramas de las arterias penicilares se abren en la pulpa roja. – No se ha podido demostrar continuidad endotelial directa entre segmentos arterial y venoso de la circulación esplénica CIRCULACIÓN ESPLÉNICA
  • 63.
    – Células entranen los espacios extravasculares de los cordones esplénicos a partir de los extremos abiertos de las arteriolas o los capilares. – Estas células retornan a la circulación a través de las hendiduras de las paredes de los senos. La teoría más aceptada es la de la circulación abierta:
  • 64.
    HISTOFISIOLOGÍA • Filtración dela sangre es función principal: –En base a la gran cantidad de macrófagos que contiene
  • 65.
    • Material particuladoy antígenos macromoleculares se localizan primero – En macrófagos de zona marginal; y luego – En resto de la pulpa roja • Si hay anticuerpos por exposición previa, el antígeno queda atrapado largo tiempo en centros germinales o VLPA HISTOFISIOLOGÍA
  • 66.
    • Bazo regulala calidad de las células sanguíneas: – Macrófagos fagocitan células “viejas” o dañadas. • Paredes de los sinusoides filtran eritrocitos anormales rígidos y parásitos, como plasmodios HISTOFISIOLOGÍA ¿Qué son éstos?
  • 67.
    • Participa enel reciclado del hierro: – Hemoglobina de eritrocitos fagocitados por macrófagos se descompone en Hem y Globina – El hierro del Hem se libera y se almacena en forma de ferritina o hemosiderina – La ferritina es transportada a la médula ósea para síntesis de hemoglobina – Los remanentes del Hem llegan a ser excretados en la bilis HISTOFISIOLOGÍA
  • 68.
    • Es importantereservorio de plaquetas: – Un tercio de las plaquetas del organismo • En situaciones patológicas desarrolla metaplasia mieloide • En hiperlipemia diabética, macrófagos extraen lípidos de la sangre. HISTOFISIOLOGÍA
  • 69.
    RESPUESTA INMUNE • Mayoríade linfocitos esplénicos son del contingente recirculante. • Se ubican en VLPAs – Linfocitos T de recirculación rápida se colocan cerca de arteria central (región timo-dependiente) – Linfocitos B de emigración más lenta toman posición más periférica
  • 70.
  • 71.
  • 74.
  • 77.
  • 80.