UNIVERSIDAD NACIONAL JOSÉ FAUSTINO SÁNCHEZ CARRIÓN



             ÓRGANOS LINFOIDES
                    E.A.P. MEDICINA HUMANA




DOCENTES:   Mstra. Paredes Bottoni, Geraldina
            Dr. Chávez Condemarín, Augusto


ALUMNA:     Mayta Pitman, Luisa
ÓRGANOS LINFOIDES



           Se clasifican en:

           Centrales o primarios: Sitios de
           producción autónoma de nuevos
           linfocitos.(médula ósea, timo).

           Periféricos o secundarios: Sitios
           en que los linfocitos responden a
           los antígenos.(bazo, ganglios
           linfáticos, amígdalas).
TIMO: CARACTERÍSTICAS


Órgano linfoide triangular y bilobular.

Situado0 en el mediastino, por detrás
del esternón y a la altura de los grandes
vasos del corazón.

En el recién nacido pesa cerca de 12 a
15 gr, en la pubertad de 30 a 40gr yen las
personas de unos 60 años sólo pesa de
10 a 15gr.

Los corticosteroides suprarenales y las
hormonas     sexuales    aceleran     su
involución.
TIMO: ESTRUCTURA




Posee dos lóbulos rodeados por una cápsula de tejido conjuntivo denso, la
cápsula da origen a los tabiques que dividen al parénquima en lobulillos.

La parte periférica de cada lóbulo recibe el nombre de corteza y se tiñe
más oscuro por la mayor concentración de linfocitos.

La región central de cada lóbulo es la médula y se tiñe de color más pálido.
Aquí se encuentran los corpúsculos de Hassall.

Además de linfocitos T y células reticulares epiteliales, el timo tiene
macrófagos, principalmente en la zona cortical.
TIMO: ESTRUCTURA




   Los linfocitos de multiplican intensamente en la zona cortical del
   timo .

   Los corpúsculos de Hassal, tienen un diámetro de 30 a 150um y
   están formadas por células reticulares epiteliales, organizadas en
   capas concéntricas unidas por numerosos desmosomas.

   A diferencia de los que ocurre en los ganglios linfáticos , se trata de
   un órgano al que no llegan vasos linfáticos, y en consecuencia
   tampoco linfa.
TIMO: VASCULARIZACIÓN




Las arterias tímicas que nacen de las arterias torácicas internas y de las
tiroideas inferiores, entran en la médula del timo y se dividen en arteriolas
que se distribuyen en la unión corticomedular.

Los capilares nacen de estas arteriolas en la forma de arcos anastomosados
que se distribuyen en la corteza del timo.

En la unión corticomedular, estos arcos se vacían en vénulas medulares.

La sangre del timo sale por las venas tiroideas inferiores, torácicas internas y
tronco venoso braquiocefálico izquierdo.
TIMO: BARRERA HEMATOTÍMICA




Los capilares del timo poseen endotelio sin poros y lámina basal muy
gruesa.

Las células endoteliales poseen prolongaciones finas que perforan la
lámina basal y pueden entrar en contacto con las células reticulares
epiteliales.

Estas células rodean externamente los capilares , contribuyendo a la
formación la BARRERA HEMATOTÍMICA.

La barrera hematotímica, que únicamente existe en la zona cortical ,
dificulta la penetración en la capa cortical de antígenos de la sangre.
BAZO: CARACTERÍSTICAS



El bazo es el órgano linfático cuya estructura
facilita las respuestas inmunitarias a antígenos
que han llegado a la sangre circulante.

Se sitúa en el abdomen protegido por las
costillas 9,10 y 11, con su eje largo paralelo a ellas.

Es de color púrpura debido a su alto contenido
de sangre.

La mayor parte de su superficie es de serosa lisa,
lo que significa que no se adhiere a otros órganos.

Su gran depresión de la porción media, recibe el
nombre de hilio.
BAZO: ESTRUCTURA



                   El bazo posee una cápsula q se compone
                   de tejido conjuntivo denso, cubierto por
                   mesotelio escamoso.

                   Además de fibras colágenas y elásticas
                   abundantes , incluye unas cuantas células
                   de músculo liso.

                   También hay trabéculas formadas por
                   tejido conjuntivo denso, por las cuales
                   discurren arterias y nervios, además de
                   desempeñar una función de sostén.

                   El espacio que hay entre la cápsula y las
                   trabéculas, lo ocupa la pulpa esplénica o
                   parénquima.
BAZO : ESTRUCTURA
BAZO : ESTRUCTURA




PULPA BLANCA:


Constituida por tejido linfático, que forma vainas periarteriales, y por los
nódulos linfáticos, que se originan por el engrosamiento de las vainas .

En el tejido linfático de las vainas, predominan los linfocitos T, mientras que
en los nódulos linfáticos se encuentran mayoritariamente los linfocitos B.

Entre la pulpa blanca y la pulpa roja existe una zona mal delimitada,
constituida por los senos marginales.
BAZO : ESTRUCTURA


PULPA ROJA:

Está formada por los cordones esplénicos ,separados por los sinusoides.

Los cordones esplénicos están formados por una red laxa de células
reticulares y fibras reticulares que contienen otras células como macrófagos,
linfocitos T y B, células plasmáticas, monocitos plaquetas y eritrocitos.

Los sinusoides esplénicos, están revestidos por células endoteliales
alargadas .Su pared delgada está rodeada por una lámina basal discontinua y
por fibras reticulares que se disponen transversalmente.

La fibras transversales y las q discurren discurren en diferentes direcciones
se unen y forman una red alrededor de las células, a la cual se asocian
macrófagos.
BAZO: VACULARIZACIÓN
BAZO: FUNCIONES




Produce anticuerpos humerales contra antígenos de la sangre.
La población de plasmocitos en el bazo, es tan grande que este
órganos constituye la fuente principal de anticuerpos del
organismo.

Destruir elementos defectuosos figurados de la sangre .Para
ello posee una población cuantiosa de macrófagos residentes
que entran fácilmente en contacto con los elementos figurados a
su paso con el órgano.

Concentrar y almacenar ciertos tipos de elementos figurados
de la sangre, asi como plaquetas.
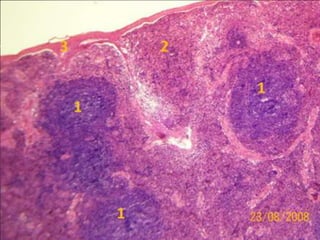
GANGLIOS LINFÁTICOS: CARACTERÍSTICAS


                          Los ganglios linfáticos son órganos
                          encapsulados constituidos por tejido linfoide.

                          Generalmente tienen forme de riñón y
                          muestran un lado convexo y otro con una
                          escotadura, o hilio.

                          Los más pequeños tienen 1mm de largo y los
                          más grandes miden hasta 2cm.

                          Son relativamente abundante en las axilas e
                          ingle, así como en el curso de los vasos
                          sanguíneos principales de cuello y mesenterio.

                          Actúan de modo de filtros de la linfa,
                          eliminando partículas extrañas antes de que la
                          linfa vuelva a la circulación sanguínea.
GANGLIOS LINFÁTICOS: ESTRUCTURA




 Están rodeados por una cápsula
 bien diferenciada, consistente en
 tejido conectivo denso, quienes
 envían trabéculas hacia su
 interior .

 El paréquima del ganglio
 linfático, presenta la región
 cortical , que se localiza debajo
 de la cápsula ausente solo en el
 hilio y la región medular que
 ocupa el centro del órgano y su
 hilio.
GANGLIOS LINFÁTICOS: ESTRUCTURA



La región cortical superficial está constituida por tejido linfoide laxo, que
forman los senos subscapulares y por nódulos linfáticos.

La células predominantes en la cortical superficial son los linfocitos B,
existiendo también algunas células plasmáticas, macrófagos , células
reticulares y células foliculares dendríticas.

La región cortical profunda o paracortial, no presenta nódulos linfáticos y
está constituida principalmente por linfocitos t, junto a células reticulares
algunas células plasmáticas y macrófagos.

La región medular está formada por los cordones medulares, formados
principalmente por los linfocitos B, aunque contienen también fibras y
células reticulares y macrófagos.
GANGLIOS LINFÁTICOS: FUNCIONES



FUNCIÓN DE FILTRADO:

Una gran población residente de macrófagos hace posible que
atrapen y eliminen cualquier partícula presente en la linfa que
pasa por ellos.

FUNCIÓN DE FORMACIÓN DE LINFOCITOS:

Cualquier antígeno extraño presente en la linfa; activa a sus
linfocitos, cuya expansión clonal dentro del otro ganglio genera
linfocitos adicionales a los reticulares que salen del ganglio por
el vaso linfático eferente.
SISTEMA INMUNOLÓGICO Y LINFOCITOS

TIPOS DE RESPUESTA INMUNOLÓGICA

INMUNOLÓGICA CELULAR:
Las células inmunocompetentes reaccionan y           destruyen a las células que
presentan en su superficie moléculas extrañas        , como las bacterias, células
trasplantadas, células malignas.
Las células parasitadas por un virus poseen           en la membrana proteínas
codificadas por el genoma vírico, contra las         cuales se da una respuesta
inmunológica.

INMUNOLÓGICA HUMORAL:
Depende de las glucoproteínas circulantes en la sangre y en otros líquidos,
denominados anticuerpos.

   Los anticuerpos son producidos por las células plasmáticas que son originadas a
                             partir de los linfocitos B.
SISTEMA INMUNOLÓGICO Y LINFOCITOS




 Los linfocitos son un tipo de glóbulos blancos de los llamados
 agranulocitos.
 Se encuentran en la linfa, de donde deriva su nombre.
 En número absoluto, hay de 1500 a 400 linfocitos por milímetro de sangre .
 Presenta:
 Un núcleo esférico que se tiñe de violeta-azul y ocupa el 90% de la célula.
 El citoplasma es muy delgado y se tiñe de color azul claro formando un
 anillo alrededor del núcleo.
 El linfocito bajo ciertos estímulos químicos endógenos puede dividirse y
 crear muchas células hijas para defender al cuerpo liberando anticuerpos.
SISTEMA INMUNOLÓGICO Y LINFOCITOS




Los linfocitos pueden clasificarse de
acuerdo con el lugar donde se diferencian
y los diferentes receptores presentes en su
membrana.

En los linfocitos B estos receptores son
inmunoglobulinas y en los linfocitos T son
moléculas proteicas denominadas TCR.

La     diferenciación    en   células
inmunocompetentes, tienen lugar en la
médula ósea y en el timo.
SISTEMA INMUNOLÓGICO Y LINFOCITOS




 LINFOCITOS B

 Se originan en la médula ósea, son trasportados a la sangre y van a
 instalarse en los órganos linfáticos, con excepción del timo.

 Cuando son activados por antígenos, prolifera y se diferencian en células
 plasmáticas.

 Los linfocitos B representan el 5-10% de los linfocitos de la sangre, cada
 una cubierta por aprox. 150.000 moléculas de IgM, que son receptoras para
 los antígenos.

 Algunos linfocitos B activados, no se diferencian en células plasmáticas,
 formando las células B de memoria inmunológica.
SISTEMA INMUNOLÓGICO Y LINFOCITOS



LINFOCITOS T

Representan del 65-75% de los linfocitos
en la sangre.

Son transportados por la sangre y
retenidos en el timo, donde proliferan y se
diferencian    en    linfocitos   T    que
nuevamente transportados por la sangre ,
van a ocupar áreas definidas en otros
órganos linfáticos.

En el timo los linfocitos T se diferencian
en células T colaboradoras, T supresoras y
T citotóxicas.
SISTEMA INMUNOLÓGICO Y LINFOCITOS



 Los linfocitos T colaboradores estimulan la transformación d los linfocitos
 B en células plasmáticas.

 Los linfocitos T supresores inhiben las respuestas humoral y celular,
 además de acelerar el fin de a respuesta inmunológica .

 Los linfocitos T citotóxicos actúan directamente sobre las células extrañas
 y las infectadas por virus , por dos mecanismos:

     Producción de perforinas, que abren orificios en las membranas
     plasmáticas provocando la lisis de las células.

     Los linfocitos T citotóxicos inducen a las células a entrar en el proceso
     de muerte programada llamado apoptosis.
GRACIAS

Organos linfoides

  • 1.
    UNIVERSIDAD NACIONAL JOSÉFAUSTINO SÁNCHEZ CARRIÓN ÓRGANOS LINFOIDES E.A.P. MEDICINA HUMANA DOCENTES: Mstra. Paredes Bottoni, Geraldina Dr. Chávez Condemarín, Augusto ALUMNA: Mayta Pitman, Luisa
  • 2.
    ÓRGANOS LINFOIDES Se clasifican en: Centrales o primarios: Sitios de producción autónoma de nuevos linfocitos.(médula ósea, timo). Periféricos o secundarios: Sitios en que los linfocitos responden a los antígenos.(bazo, ganglios linfáticos, amígdalas).
  • 3.
    TIMO: CARACTERÍSTICAS Órgano linfoidetriangular y bilobular. Situado0 en el mediastino, por detrás del esternón y a la altura de los grandes vasos del corazón. En el recién nacido pesa cerca de 12 a 15 gr, en la pubertad de 30 a 40gr yen las personas de unos 60 años sólo pesa de 10 a 15gr. Los corticosteroides suprarenales y las hormonas sexuales aceleran su involución.
  • 4.
    TIMO: ESTRUCTURA Posee doslóbulos rodeados por una cápsula de tejido conjuntivo denso, la cápsula da origen a los tabiques que dividen al parénquima en lobulillos. La parte periférica de cada lóbulo recibe el nombre de corteza y se tiñe más oscuro por la mayor concentración de linfocitos. La región central de cada lóbulo es la médula y se tiñe de color más pálido. Aquí se encuentran los corpúsculos de Hassall. Además de linfocitos T y células reticulares epiteliales, el timo tiene macrófagos, principalmente en la zona cortical.
  • 7.
    TIMO: ESTRUCTURA Los linfocitos de multiplican intensamente en la zona cortical del timo . Los corpúsculos de Hassal, tienen un diámetro de 30 a 150um y están formadas por células reticulares epiteliales, organizadas en capas concéntricas unidas por numerosos desmosomas. A diferencia de los que ocurre en los ganglios linfáticos , se trata de un órgano al que no llegan vasos linfáticos, y en consecuencia tampoco linfa.
  • 10.
    TIMO: VASCULARIZACIÓN Las arteriastímicas que nacen de las arterias torácicas internas y de las tiroideas inferiores, entran en la médula del timo y se dividen en arteriolas que se distribuyen en la unión corticomedular. Los capilares nacen de estas arteriolas en la forma de arcos anastomosados que se distribuyen en la corteza del timo. En la unión corticomedular, estos arcos se vacían en vénulas medulares. La sangre del timo sale por las venas tiroideas inferiores, torácicas internas y tronco venoso braquiocefálico izquierdo.
  • 11.
    TIMO: BARRERA HEMATOTÍMICA Loscapilares del timo poseen endotelio sin poros y lámina basal muy gruesa. Las células endoteliales poseen prolongaciones finas que perforan la lámina basal y pueden entrar en contacto con las células reticulares epiteliales. Estas células rodean externamente los capilares , contribuyendo a la formación la BARRERA HEMATOTÍMICA. La barrera hematotímica, que únicamente existe en la zona cortical , dificulta la penetración en la capa cortical de antígenos de la sangre.
  • 12.
    BAZO: CARACTERÍSTICAS El bazoes el órgano linfático cuya estructura facilita las respuestas inmunitarias a antígenos que han llegado a la sangre circulante. Se sitúa en el abdomen protegido por las costillas 9,10 y 11, con su eje largo paralelo a ellas. Es de color púrpura debido a su alto contenido de sangre. La mayor parte de su superficie es de serosa lisa, lo que significa que no se adhiere a otros órganos. Su gran depresión de la porción media, recibe el nombre de hilio.
  • 13.
    BAZO: ESTRUCTURA El bazo posee una cápsula q se compone de tejido conjuntivo denso, cubierto por mesotelio escamoso. Además de fibras colágenas y elásticas abundantes , incluye unas cuantas células de músculo liso. También hay trabéculas formadas por tejido conjuntivo denso, por las cuales discurren arterias y nervios, además de desempeñar una función de sostén. El espacio que hay entre la cápsula y las trabéculas, lo ocupa la pulpa esplénica o parénquima.
  • 15.
  • 16.
    BAZO : ESTRUCTURA PULPABLANCA: Constituida por tejido linfático, que forma vainas periarteriales, y por los nódulos linfáticos, que se originan por el engrosamiento de las vainas . En el tejido linfático de las vainas, predominan los linfocitos T, mientras que en los nódulos linfáticos se encuentran mayoritariamente los linfocitos B. Entre la pulpa blanca y la pulpa roja existe una zona mal delimitada, constituida por los senos marginales.
  • 17.
    BAZO : ESTRUCTURA PULPAROJA: Está formada por los cordones esplénicos ,separados por los sinusoides. Los cordones esplénicos están formados por una red laxa de células reticulares y fibras reticulares que contienen otras células como macrófagos, linfocitos T y B, células plasmáticas, monocitos plaquetas y eritrocitos. Los sinusoides esplénicos, están revestidos por células endoteliales alargadas .Su pared delgada está rodeada por una lámina basal discontinua y por fibras reticulares que se disponen transversalmente. La fibras transversales y las q discurren discurren en diferentes direcciones se unen y forman una red alrededor de las células, a la cual se asocian macrófagos.
  • 25.
  • 27.
    BAZO: FUNCIONES Produce anticuerposhumerales contra antígenos de la sangre. La población de plasmocitos en el bazo, es tan grande que este órganos constituye la fuente principal de anticuerpos del organismo. Destruir elementos defectuosos figurados de la sangre .Para ello posee una población cuantiosa de macrófagos residentes que entran fácilmente en contacto con los elementos figurados a su paso con el órgano. Concentrar y almacenar ciertos tipos de elementos figurados de la sangre, asi como plaquetas.
  • 28.
    GANGLIOS LINFÁTICOS: CARACTERÍSTICAS Los ganglios linfáticos son órganos encapsulados constituidos por tejido linfoide. Generalmente tienen forme de riñón y muestran un lado convexo y otro con una escotadura, o hilio. Los más pequeños tienen 1mm de largo y los más grandes miden hasta 2cm. Son relativamente abundante en las axilas e ingle, así como en el curso de los vasos sanguíneos principales de cuello y mesenterio. Actúan de modo de filtros de la linfa, eliminando partículas extrañas antes de que la linfa vuelva a la circulación sanguínea.
  • 29.
    GANGLIOS LINFÁTICOS: ESTRUCTURA Están rodeados por una cápsula bien diferenciada, consistente en tejido conectivo denso, quienes envían trabéculas hacia su interior . El paréquima del ganglio linfático, presenta la región cortical , que se localiza debajo de la cápsula ausente solo en el hilio y la región medular que ocupa el centro del órgano y su hilio.
  • 30.
    GANGLIOS LINFÁTICOS: ESTRUCTURA Laregión cortical superficial está constituida por tejido linfoide laxo, que forman los senos subscapulares y por nódulos linfáticos. La células predominantes en la cortical superficial son los linfocitos B, existiendo también algunas células plasmáticas, macrófagos , células reticulares y células foliculares dendríticas. La región cortical profunda o paracortial, no presenta nódulos linfáticos y está constituida principalmente por linfocitos t, junto a células reticulares algunas células plasmáticas y macrófagos. La región medular está formada por los cordones medulares, formados principalmente por los linfocitos B, aunque contienen también fibras y células reticulares y macrófagos.
  • 37.
    GANGLIOS LINFÁTICOS: FUNCIONES FUNCIÓNDE FILTRADO: Una gran población residente de macrófagos hace posible que atrapen y eliminen cualquier partícula presente en la linfa que pasa por ellos. FUNCIÓN DE FORMACIÓN DE LINFOCITOS: Cualquier antígeno extraño presente en la linfa; activa a sus linfocitos, cuya expansión clonal dentro del otro ganglio genera linfocitos adicionales a los reticulares que salen del ganglio por el vaso linfático eferente.
  • 38.
    SISTEMA INMUNOLÓGICO YLINFOCITOS TIPOS DE RESPUESTA INMUNOLÓGICA INMUNOLÓGICA CELULAR: Las células inmunocompetentes reaccionan y destruyen a las células que presentan en su superficie moléculas extrañas , como las bacterias, células trasplantadas, células malignas. Las células parasitadas por un virus poseen en la membrana proteínas codificadas por el genoma vírico, contra las cuales se da una respuesta inmunológica. INMUNOLÓGICA HUMORAL: Depende de las glucoproteínas circulantes en la sangre y en otros líquidos, denominados anticuerpos. Los anticuerpos son producidos por las células plasmáticas que son originadas a partir de los linfocitos B.
  • 39.
    SISTEMA INMUNOLÓGICO YLINFOCITOS Los linfocitos son un tipo de glóbulos blancos de los llamados agranulocitos. Se encuentran en la linfa, de donde deriva su nombre. En número absoluto, hay de 1500 a 400 linfocitos por milímetro de sangre . Presenta: Un núcleo esférico que se tiñe de violeta-azul y ocupa el 90% de la célula. El citoplasma es muy delgado y se tiñe de color azul claro formando un anillo alrededor del núcleo. El linfocito bajo ciertos estímulos químicos endógenos puede dividirse y crear muchas células hijas para defender al cuerpo liberando anticuerpos.
  • 42.
    SISTEMA INMUNOLÓGICO YLINFOCITOS Los linfocitos pueden clasificarse de acuerdo con el lugar donde se diferencian y los diferentes receptores presentes en su membrana. En los linfocitos B estos receptores son inmunoglobulinas y en los linfocitos T son moléculas proteicas denominadas TCR. La diferenciación en células inmunocompetentes, tienen lugar en la médula ósea y en el timo.
  • 44.
    SISTEMA INMUNOLÓGICO YLINFOCITOS LINFOCITOS B Se originan en la médula ósea, son trasportados a la sangre y van a instalarse en los órganos linfáticos, con excepción del timo. Cuando son activados por antígenos, prolifera y se diferencian en células plasmáticas. Los linfocitos B representan el 5-10% de los linfocitos de la sangre, cada una cubierta por aprox. 150.000 moléculas de IgM, que son receptoras para los antígenos. Algunos linfocitos B activados, no se diferencian en células plasmáticas, formando las células B de memoria inmunológica.
  • 45.
    SISTEMA INMUNOLÓGICO YLINFOCITOS LINFOCITOS T Representan del 65-75% de los linfocitos en la sangre. Son transportados por la sangre y retenidos en el timo, donde proliferan y se diferencian en linfocitos T que nuevamente transportados por la sangre , van a ocupar áreas definidas en otros órganos linfáticos. En el timo los linfocitos T se diferencian en células T colaboradoras, T supresoras y T citotóxicas.
  • 46.
    SISTEMA INMUNOLÓGICO YLINFOCITOS Los linfocitos T colaboradores estimulan la transformación d los linfocitos B en células plasmáticas. Los linfocitos T supresores inhiben las respuestas humoral y celular, además de acelerar el fin de a respuesta inmunológica . Los linfocitos T citotóxicos actúan directamente sobre las células extrañas y las infectadas por virus , por dos mecanismos: Producción de perforinas, que abren orificios en las membranas plasmáticas provocando la lisis de las células. Los linfocitos T citotóxicos inducen a las células a entrar en el proceso de muerte programada llamado apoptosis.
  • 48.