Tejido y Órganos
linfáticos
Dr. José Rafael Rodríguez Paredes. MD
Histoutesa014@gmail.com
Es una variedad de tejido conectivo que forma el
principal componente de algunos órganos y
estructuras del cuerpo.
Tejido conectivo reticular: Comprende un armazón de
células y fibras reticulares (colágenas tipo III).
Células libres: linfocitos, monocitos, células plasmáticas,
macrófagos y linfoblastos.
Distribucion del
Tejido Linfatico
•Encapsulado
•No
encapsulado:
•Organos Linfáticos
Primarios
•Medula Osea
•Timo
•Organos Linfáticos
Secundarios
•Amigadalas
•Ganglios
Linfaticos
•Bazo
•Tejido Linfático Difuso: Es la forma mas simple, se
halla principalmente como infiltracion de la lámina propia
de la mucosa digestiva y respiratoria.
•Nódulos Linfáticos solitarios o foliculos: son cumulos
de linfocitos, agrupados de manera esférica.
•Placas de Peyer: masas no encapsuladas de Nódulo
linfáticos que se encuentran muy juntos, ubicados en el
intestino delgado (Ileon) y apendice.
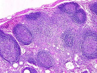
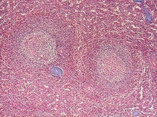
Nódulo linfático:
Son cúmulos no encapsulados de linfocitos dispuestos en masas
esféricas. A estos cúmulos que presentan un contorno mas o
menos definido o circunscrito, se les ha llamado unidades
estructurales del tejido linfático.
El diámetro de los nodulos varia de unos cientos de micras a
1 milimetro o más.
Es raro encontrar nodulos linfaticos en el recien nacido, ya que su
formacion depende de estimulos antigenicos; estos aparecen,
persisten por algun tiempo y luego desaparecen debido a la
detencion de la actividad mitotica en el centro germinal.
Primario: De aspecto homogeneo y no activo en la respuesta inmunologica.
Secundario: se identifican dos zonas.
1. Una zona externa periferica oscura (corteza o manto), que contiene
linfocitos pequeños agrupados en forma compacta.
2. una zona central mas clara, el centro germinal (medula).
La zona central se desarrolla en respuesta a una estimulacion antigenica y contiene:
linfoblastos.
lifocitos pequeños, medianos y grandes.
linfocitos B.
Celulas plasmaticas.
Corteza
Centro germinal
Muestra tres zonas: oscura, basal clara y apical clara. La zona
oscura posee centroblastos (celulas B que no poseen
inmunoglobulinas de superficie), migran a la zona basal clara, expresan
inmunoglobulinas de superficie y se conocen como centrocitos. Las
celulas que no sintetizan las inmunoglobulinas de superficie se fuerzan
a apoptosis y son destruidas por macrofagos.
Los centrocitos migran a la zona apical
clara y se tornan celulas B de memoria
o celulas plasmáticas.
Centro Germinativo
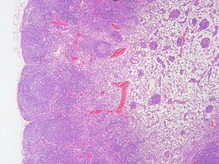
Son estructuras encapsuladas reniformes que miden de 1 a
25 mm y son los unicos organos linfaticos interpuestos en
el trayecto de los vasos linfaticos mayores, por ende
poseen vasos linfaticos tanto aferentes como eferentes.
hilio
Vasos linfaticos eferentes
vasos linfático aferentes
Cápsula: compuesta por tejido conectivo denso irregular que
no está en contacto directo con el parenquima, sino que esta
separada de el por un espacio, el seno marginal o subcapsular. Se
proyecta hacia el interior emitiendo trabéculas que dividen la
corteza en compartimientos incompletos. Contiene:
Fibras colágenas
Fibras elásticas (que se organizan de manera laxa formando una red en
la superficie interna de la cápsula, donde son mas abundantes).
Algunas fibras musculares lisas.
Estroma: tejido conectivo reticular, los espacios que hay en
este retículo forman los senos linfáticos, el retículo se extiende como
una red delicada y se puede visualizar como líneas densas oscuras
con impregnación argéntica. Existen macrófagos fijos que reciben el
nombre de células litorales
Parénquima
Corteza:el tejido linfático se dispone en nódulos que se unen de
manera indirecta por medio del retículo a la capsula y a las
trabéculas.
Medula: consta de tejido linfático difuso en forma de bandas o
cordones linfaticos, que delimitan ciertos espacios abiertos.
Algunos cordones medulares se continuan con la superficie
profunda del tejido cortical y aparecen como prolongaciones de este
hacia la medula subyacente. La medula esta rodeada por todos los
lados por la corteza, excepto en el hilio.
Corteza
Capsula
Nodulo
Cordones Medulares
Vasos linfáticos aferentes
Seno marginal o subcapsular
Senos corticales
Senos medulares
Vaso linfático
eferente
Producción de linfocitos
Filtrar la linfa eliminando el 99% de las
impurezas que se encuentran en la linfa.
Formación de anticuerpos
Actúa como sitio de reconocimiento de antígeno.
Son agregados de nodulos
linfoides encapsulados de
manera incompleta, que
protegen la entrada a la
faringe bucal.
Están en íntima relación con
una membrana epitelial
húmeda.
Se caracterizan por presentar
depresiones del epitelio
superficial.
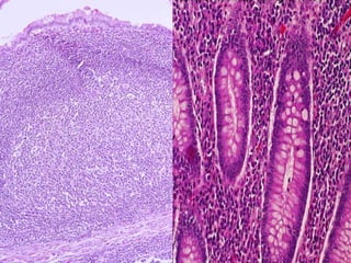
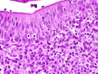
Amígdalas palatinas o de las fauces.
Amígdala lingual.
Amígdala faríngea.
Amígdala Tubarias
El anillo incompleto de
tejido linfoide formado por
las amigdalas faringea,
palatinas y lingual se
conoce como anillo
linfatico faringeo de
WALDEYER.
Se localizan entre los arcos palatogloso y
palotofaríngeo.
Epitelio plano estratificado no queratinizado.
El parenquima se compone de multiples nódulos
linfáticos
Cápsula delgada de tejido conectivo denso irregular.
Glándulas mucosas cuyos conductos pueden
desembocar en el fondo de las criptas.
Se encuentran en la superficie dorsal del
tercio posterior de la lengua.
Cada amígdala posee una cripta, cuya base
recibe los conductos de las glándulas salivales
menores mucosas
Epitelio plano estratificado no queratinizado.
Se localiza en el techo de la nasofaringe.
Epitelio cilindro pseudoestratificado ciliado con células
caliciformes, con placas de epitelio plano estratificado no
queratinizado.
En lugar de criptas, tiene invaginaciones longitudinales
superficiales, llamadas plegamientos, en cuya base se abren
conductos de glándulas seromucosas.
El parénquima tiene nódulos linfáticos.
Cápsula incompleta delgada de tejido conectivo denso irregular.
Se considera como un grupo amigdalino independiente.
Se localizan en el alrededor del orificio faríngeo de la
trompa de Eustaquio.
Constituye una prolongación lateral de la amígdala
faríngea.
Epitelio cilíndrico ciliado.
Producción de linfocitos.
Protegen el cuerpo contra bacterias, virus y otras proteínas
extrañas invasoras.
Reaccionan a antigenos de origen aereos e ingeridos
mediante la formacion de linfocitos y montando una
respuesta inmunitaria.
De naturaleza linfoepitelial, es el unico organo linfatico lobulado,
alcanzando su maximo desarrollo cerca de la pubertad, cuando puede
pesar de 35 a 40 gramos.
Despues de los primeros años de vida empieza a involucionar (atrofia)
y se infiltra de adipocitos. Sin embargo, su funcion pede continuar
incluso en adultos de mayor edad.
No tiene nodulos ni senos linfaticos y se extiende de la raiz del cuello
a la parte superior del torax, situado en el mediastino superior.
Cada lobulo surge por separado en la tercera (y tal vez la cuarta)
bolsa faringea.
Cápsula:
Tejido conectivo denso irregular que emite
tabiques o trabéculas hacia el interior
delimitando los lobulillos, cada uno de los cuales
contiene un componente cortical periférico y uno
central medular.
Los lobulillos estan separados unos de otros a lo
largo de sus bordes laterales ya que la medula
constituye un nucleo central para cada lobulo que
envia prolongaciones a cada lobulillo.
El tejido conectivo reticular del timo difiere en
algunos aspectos del de los demas organos, ya que las
celulas reticulares que sostienen el parenquima, se
originan del endodermo y no del mesodermo; estas
son denominadas celulas reticulo epiteliales.
Son estrelladas y poseen nucleos ovoides de coloracion palida
con nucleolos bien marcados. Producen Timosina que ayuda a la
proliferacion de los linfocitos T.
Tipos de celulas
Reticulares
epiteliales
Tipo 1: separan la corteza de la capsula y rodean elementos
Vasculares formando Una barrera hematotimica
(Sangre timo).
Tipo 2: constituyen el citoreticulo y se localizan en la corteza
formando compartimientos llenos de linfocitos.
Tipo 3: situada en la corteza profunda y en la union
corticomedular.
Tipo 4: se encuentran en la union corticomedular.
Tipo 5: forman el cito reticulo.
Tipo 6: forman corpusculos timico o de Hassal
En la corteza:
En la medula:
Corteza:
Medula:
Contiene linfocitos pequenos denominados Timocitos. Estos son
celulas de coloracion
Oscura que se originan por division de celulas madre que
originalmente emigraron al
Timo procedentes de la medula osea. Estos ocultan las celulas
reticulares epiteliales.
Se tine mas clara y es menos compacta que la corteza, y en
consecuencia las celulas
reticulares epiteliales son mas notables. La caracteristica mas
notables del timo son
Los corpusculos timicos o de Hassal.
corpusculos timicos o de Hassal: Estructura esferica y acidofila con diametro
que varia, de 20 a mas de 100 micras. Las celulas centrales son grandes y pre-
Sentan signos de hialinizacion y calcificacion.
Producción de linfocitos T.
Secreción de hormonas: Timosina, Timopoyetina, timulina
y factor humoral tímico.
Contiene células madres para la diferenciación de células
cebadas.
Eosinofilopoyesis.
Es el organo linfoide mas grande del cuerpo y es el unico organo
especializado para la filtracion de la sangre, no tiene vasos linfaticos
aferentes y sus senos estan llenos de sangre en lugar de linfa.
Se encuentra en el hipocondrio izquierdo y esta cubierto de peritoneo.
Tiene una superficie convexa y una concava, conocida como hilio, por
donde entran y salen los vasos sanguineos.
Cápsula: tejido conectivo denso irregular cubierto por
mesotelio (peritoneo) y emite trabéculas hacia el interior
delimitando lobulillos (con diámetro aproximado de 1mm).
También posee algunas células musculares lisas, a las cuales
se deben los cambios lentos y rítmicos en el volumen de
bazo.
Estroma: constituido por tejido conectivo reticular que
forma una fina malla de fibras que se mezclan con las de la
capsula, las trabeculas y las paredes de los vasos
sanguíneos.
Pulpa roja:
Es de textura mas blanda que la pulpa blanca y esta infiltrada
con todos los elementos de la sangre. Ocupa todo el espacio no
utilizado por las trabeculas y la pulpa blanca y contiene muchos
senos venosos. Entre estos, la pulpa aparece como cordones
celulares ( Cordones esplenicos o de Billroth), que forman
una red esponjosa de tejido linfatico modificado que se mezcla
en forma gradual con la pulpa blanca.
Forma una vaina periarterial de linfocitos alrededor de las
arterias, cuya adventicia esta sustituida por tejido conectivo
reticular. Este tejido esta infiltrado con linfocitos, que
forman zonas de tejido linfatico difuso y nodular (Nodulos
esplenicos o cuerpos de Malpighi). Se disponen alrededor
de una arteriola central, que evita el centro germinativo
ubicandose en posicion excentrica.
Hematopoyesis
Hemólisis
Producción de anticuerpos
Reintroducir con rapidez las células sanguíneas a la circulación.
Regular el volumen de la sangre circulante.
Expulsa eritrocitos a la circulacion general cuando es necesario.
Proceso final de maduracion de eosinofilos.
Destrucción de eritrocitos.

Tejido y organos linfaticos

  • 1.
    Tejido y Órganos linfáticos Dr.José Rafael Rodríguez Paredes. MD Histoutesa014@gmail.com
  • 2.
    Es una variedadde tejido conectivo que forma el principal componente de algunos órganos y estructuras del cuerpo.
  • 3.
    Tejido conectivo reticular:Comprende un armazón de células y fibras reticulares (colágenas tipo III). Células libres: linfocitos, monocitos, células plasmáticas, macrófagos y linfoblastos.
  • 4.
    Distribucion del Tejido Linfatico •Encapsulado •No encapsulado: •OrganosLinfáticos Primarios •Medula Osea •Timo •Organos Linfáticos Secundarios •Amigadalas •Ganglios Linfaticos •Bazo •Tejido Linfático Difuso: Es la forma mas simple, se halla principalmente como infiltracion de la lámina propia de la mucosa digestiva y respiratoria. •Nódulos Linfáticos solitarios o foliculos: son cumulos de linfocitos, agrupados de manera esférica. •Placas de Peyer: masas no encapsuladas de Nódulo linfáticos que se encuentran muy juntos, ubicados en el intestino delgado (Ileon) y apendice.
  • 6.
    Nódulo linfático: Son cúmulosno encapsulados de linfocitos dispuestos en masas esféricas. A estos cúmulos que presentan un contorno mas o menos definido o circunscrito, se les ha llamado unidades estructurales del tejido linfático. El diámetro de los nodulos varia de unos cientos de micras a 1 milimetro o más. Es raro encontrar nodulos linfaticos en el recien nacido, ya que su formacion depende de estimulos antigenicos; estos aparecen, persisten por algun tiempo y luego desaparecen debido a la detencion de la actividad mitotica en el centro germinal.
  • 7.
    Primario: De aspectohomogeneo y no activo en la respuesta inmunologica. Secundario: se identifican dos zonas. 1. Una zona externa periferica oscura (corteza o manto), que contiene linfocitos pequeños agrupados en forma compacta. 2. una zona central mas clara, el centro germinal (medula). La zona central se desarrolla en respuesta a una estimulacion antigenica y contiene: linfoblastos. lifocitos pequeños, medianos y grandes. linfocitos B. Celulas plasmaticas. Corteza Centro germinal
  • 8.
    Muestra tres zonas:oscura, basal clara y apical clara. La zona oscura posee centroblastos (celulas B que no poseen inmunoglobulinas de superficie), migran a la zona basal clara, expresan inmunoglobulinas de superficie y se conocen como centrocitos. Las celulas que no sintetizan las inmunoglobulinas de superficie se fuerzan a apoptosis y son destruidas por macrofagos. Los centrocitos migran a la zona apical clara y se tornan celulas B de memoria o celulas plasmáticas. Centro Germinativo
  • 9.
    Son estructuras encapsuladasreniformes que miden de 1 a 25 mm y son los unicos organos linfaticos interpuestos en el trayecto de los vasos linfaticos mayores, por ende poseen vasos linfaticos tanto aferentes como eferentes. hilio Vasos linfaticos eferentes vasos linfático aferentes
  • 11.
    Cápsula: compuesta portejido conectivo denso irregular que no está en contacto directo con el parenquima, sino que esta separada de el por un espacio, el seno marginal o subcapsular. Se proyecta hacia el interior emitiendo trabéculas que dividen la corteza en compartimientos incompletos. Contiene: Fibras colágenas Fibras elásticas (que se organizan de manera laxa formando una red en la superficie interna de la cápsula, donde son mas abundantes). Algunas fibras musculares lisas. Estroma: tejido conectivo reticular, los espacios que hay en este retículo forman los senos linfáticos, el retículo se extiende como una red delicada y se puede visualizar como líneas densas oscuras con impregnación argéntica. Existen macrófagos fijos que reciben el nombre de células litorales
  • 12.
    Parénquima Corteza:el tejido linfáticose dispone en nódulos que se unen de manera indirecta por medio del retículo a la capsula y a las trabéculas. Medula: consta de tejido linfático difuso en forma de bandas o cordones linfaticos, que delimitan ciertos espacios abiertos. Algunos cordones medulares se continuan con la superficie profunda del tejido cortical y aparecen como prolongaciones de este hacia la medula subyacente. La medula esta rodeada por todos los lados por la corteza, excepto en el hilio.
  • 14.
  • 19.
    Vasos linfáticos aferentes Senomarginal o subcapsular Senos corticales Senos medulares Vaso linfático eferente
  • 21.
    Producción de linfocitos Filtrarla linfa eliminando el 99% de las impurezas que se encuentran en la linfa. Formación de anticuerpos Actúa como sitio de reconocimiento de antígeno.
  • 22.
    Son agregados denodulos linfoides encapsulados de manera incompleta, que protegen la entrada a la faringe bucal. Están en íntima relación con una membrana epitelial húmeda. Se caracterizan por presentar depresiones del epitelio superficial.
  • 23.
    Amígdalas palatinas ode las fauces. Amígdala lingual. Amígdala faríngea. Amígdala Tubarias El anillo incompleto de tejido linfoide formado por las amigdalas faringea, palatinas y lingual se conoce como anillo linfatico faringeo de WALDEYER.
  • 25.
    Se localizan entrelos arcos palatogloso y palotofaríngeo. Epitelio plano estratificado no queratinizado. El parenquima se compone de multiples nódulos linfáticos Cápsula delgada de tejido conectivo denso irregular. Glándulas mucosas cuyos conductos pueden desembocar en el fondo de las criptas.
  • 28.
    Se encuentran enla superficie dorsal del tercio posterior de la lengua. Cada amígdala posee una cripta, cuya base recibe los conductos de las glándulas salivales menores mucosas Epitelio plano estratificado no queratinizado.
  • 30.
    Se localiza enel techo de la nasofaringe. Epitelio cilindro pseudoestratificado ciliado con células caliciformes, con placas de epitelio plano estratificado no queratinizado. En lugar de criptas, tiene invaginaciones longitudinales superficiales, llamadas plegamientos, en cuya base se abren conductos de glándulas seromucosas. El parénquima tiene nódulos linfáticos. Cápsula incompleta delgada de tejido conectivo denso irregular.
  • 33.
    Se considera comoun grupo amigdalino independiente. Se localizan en el alrededor del orificio faríngeo de la trompa de Eustaquio. Constituye una prolongación lateral de la amígdala faríngea. Epitelio cilíndrico ciliado.
  • 34.
    Producción de linfocitos. Protegenel cuerpo contra bacterias, virus y otras proteínas extrañas invasoras. Reaccionan a antigenos de origen aereos e ingeridos mediante la formacion de linfocitos y montando una respuesta inmunitaria.
  • 35.
    De naturaleza linfoepitelial,es el unico organo linfatico lobulado, alcanzando su maximo desarrollo cerca de la pubertad, cuando puede pesar de 35 a 40 gramos. Despues de los primeros años de vida empieza a involucionar (atrofia) y se infiltra de adipocitos. Sin embargo, su funcion pede continuar incluso en adultos de mayor edad. No tiene nodulos ni senos linfaticos y se extiende de la raiz del cuello a la parte superior del torax, situado en el mediastino superior. Cada lobulo surge por separado en la tercera (y tal vez la cuarta) bolsa faringea.
  • 36.
    Cápsula: Tejido conectivo densoirregular que emite tabiques o trabéculas hacia el interior delimitando los lobulillos, cada uno de los cuales contiene un componente cortical periférico y uno central medular. Los lobulillos estan separados unos de otros a lo largo de sus bordes laterales ya que la medula constituye un nucleo central para cada lobulo que envia prolongaciones a cada lobulillo.
  • 37.
    El tejido conectivoreticular del timo difiere en algunos aspectos del de los demas organos, ya que las celulas reticulares que sostienen el parenquima, se originan del endodermo y no del mesodermo; estas son denominadas celulas reticulo epiteliales.
  • 38.
    Son estrelladas yposeen nucleos ovoides de coloracion palida con nucleolos bien marcados. Producen Timosina que ayuda a la proliferacion de los linfocitos T. Tipos de celulas Reticulares epiteliales Tipo 1: separan la corteza de la capsula y rodean elementos Vasculares formando Una barrera hematotimica (Sangre timo). Tipo 2: constituyen el citoreticulo y se localizan en la corteza formando compartimientos llenos de linfocitos. Tipo 3: situada en la corteza profunda y en la union corticomedular. Tipo 4: se encuentran en la union corticomedular. Tipo 5: forman el cito reticulo. Tipo 6: forman corpusculos timico o de Hassal En la corteza: En la medula:
  • 39.
    Corteza: Medula: Contiene linfocitos pequenosdenominados Timocitos. Estos son celulas de coloracion Oscura que se originan por division de celulas madre que originalmente emigraron al Timo procedentes de la medula osea. Estos ocultan las celulas reticulares epiteliales. Se tine mas clara y es menos compacta que la corteza, y en consecuencia las celulas reticulares epiteliales son mas notables. La caracteristica mas notables del timo son Los corpusculos timicos o de Hassal. corpusculos timicos o de Hassal: Estructura esferica y acidofila con diametro que varia, de 20 a mas de 100 micras. Las celulas centrales son grandes y pre- Sentan signos de hialinizacion y calcificacion.
  • 44.
    Producción de linfocitosT. Secreción de hormonas: Timosina, Timopoyetina, timulina y factor humoral tímico. Contiene células madres para la diferenciación de células cebadas. Eosinofilopoyesis.
  • 45.
    Es el organolinfoide mas grande del cuerpo y es el unico organo especializado para la filtracion de la sangre, no tiene vasos linfaticos aferentes y sus senos estan llenos de sangre en lugar de linfa. Se encuentra en el hipocondrio izquierdo y esta cubierto de peritoneo. Tiene una superficie convexa y una concava, conocida como hilio, por donde entran y salen los vasos sanguineos.
  • 46.
    Cápsula: tejido conectivodenso irregular cubierto por mesotelio (peritoneo) y emite trabéculas hacia el interior delimitando lobulillos (con diámetro aproximado de 1mm). También posee algunas células musculares lisas, a las cuales se deben los cambios lentos y rítmicos en el volumen de bazo. Estroma: constituido por tejido conectivo reticular que forma una fina malla de fibras que se mezclan con las de la capsula, las trabeculas y las paredes de los vasos sanguíneos.
  • 47.
    Pulpa roja: Es detextura mas blanda que la pulpa blanca y esta infiltrada con todos los elementos de la sangre. Ocupa todo el espacio no utilizado por las trabeculas y la pulpa blanca y contiene muchos senos venosos. Entre estos, la pulpa aparece como cordones celulares ( Cordones esplenicos o de Billroth), que forman una red esponjosa de tejido linfatico modificado que se mezcla en forma gradual con la pulpa blanca.
  • 48.
    Forma una vainaperiarterial de linfocitos alrededor de las arterias, cuya adventicia esta sustituida por tejido conectivo reticular. Este tejido esta infiltrado con linfocitos, que forman zonas de tejido linfatico difuso y nodular (Nodulos esplenicos o cuerpos de Malpighi). Se disponen alrededor de una arteriola central, que evita el centro germinativo ubicandose en posicion excentrica.
  • 52.
    Hematopoyesis Hemólisis Producción de anticuerpos Reintroducircon rapidez las células sanguíneas a la circulación. Regular el volumen de la sangre circulante. Expulsa eritrocitos a la circulacion general cuando es necesario. Proceso final de maduracion de eosinofilos. Destrucción de eritrocitos.