Sistema Endocrino




    Histología y Organogénesis
              TecMed
  TM Jocelyn Sanhueza Monsalve
Contenidos
 Conceptos generales y
  relevancia funcional.
 Características
  morfofuncionales de :
     Hipófisis
     Tiroides
     Paratiroides
     Glándula suprarrenal
 Concepto de Sistema
 Neuroendocrino Difuso
 (SNED).
ORGANOS ENDOCRINOS
 ORGANO ENDOCRINO: Todo aquel
 órgano que secreta una hormona
  ENDO: Dentro

  KRINEIN: Secretar
 HORMONA: Compuesto químico
 producido por una célula endocrina que
 actúa sobre una célula blanco
 produciendo un efecto biológico
  HORMEIN: Yo excito
Funciones
 Regula   actividades metabólicas de ciertos
  órganos y tejidos (homeostasis).
 El sistema endocrino ejerce sus acciones por
  medio de HORMONAS pero de forma lenta, pero
  mucho mas prolongada que el tejido nervioso.
 Las HORMONAS son liberadas a la sangre y por
  medio de la circulación pueden llegar al órgano
  donde ejercerán su función  Órgano Diana.
 Glándulas sin conductos!
INTRODUCCIÓN.


 La COMUNICACIÓN entre células resulta ser
  fundamental para el funcionamiento de cualquier
  organismo pluricelular.
 Existe una comunicación a nivel local, a través de
  moléculas existentes en la superficie celular y a
  través de uniones de tipo nexo.
INTRODUCCIÓN

 La comunicación a distancia se establece mediante la
  producción y secreción de mensajeros químicos
  (hormonas = sustancias inductoras), que
  interaccionan con receptores específicos y las activan.
 El SNA regula la función de ciertos tejidos y órganos
  por medio de impulsos nerviosos que producen
  descarga de sustancias (NT), las cuales
  desencadenan reacciones rápidas.
Características Funcionales de las
  Glándulas.


 Glándulas Exocrinas:
  Ejercen efectos locales.
 Glándulas endocrinas:
  Ejercen efectos locales y a
  distancia. Además, regulan
  actividades metabólicas de
  ciertos órganos y tejidos del
  cuerpo (Homeostasis). Sus
  efectos no son inmediatos.
Características Estructurales de las
Glándulas Endocrinas.


 1.- Células en gral. de orígen epitelial rodeadas de
  un tejido de sostén que les aporta vasos
  sanguíneos (capilares) y capilares linfáticos.
 2.- Las células liberan la hormona producida a los
  espacios intersticiales desde los que se se absorve
  rapidamente a la circulación.
Características Estructurales de las
Glándulas Endocrinas.



 3.- Conforman nidos; cordones; folículos y
  células aisladas
 4.- A nivel celular: núcleo prominente; gran
  cantidad de organelos (mitocondrias; RE; aparato
  de Golgi y vesículas secretoras).
 5.- El polo secretor se halla adyacente a la pared
  vascular del capilar.
HORMONAS.


Mensajeros químicos secretados por las glándulas
endocrinas y descargadas a la sangre para que
viajen hacia células u órganos blancos.
Las hormonas se clasifican en tres
tipos según su composición:


1. Proteicas y polipeptídicas: muy hidrosolubles
(p.ej., insulina, glucagón y hormona estimulante del
folículo [FSH]).
2. Derivados de aminoácidos: en especial
hidrosolubles (como tiroxina y adrenalina).
3. Derivados de esteroides y ácidos grasos:
principalmente liposolubles (p. ej., progesterona,
estradiol y testosterona).
HORMONAS: Naturaleza
        Química.


 Aminas ó derivados de aminoácidos
  (catecolaminas ; Tiroxina).
 Polipeptídicas (2 cadenas de pp): ACTH; GH;
  ADH.
 Glucoproteínas (FSH; HCG; LH; TSH).
 Esteroidales (Cortisol; Progesterona;
  Aldosterona).
Mecanismos secretorios de acción que
  producen respuestas celulares ó
             tisulares.


         AUTOCRINAS.
         PARACRINAS.
         ENDOCRINAS.
         SINÁPTICAS.
TIPOS DE INDUCCIONES
Distribución de las Células
               endocrinas.


 Agrupadas y conformando ÓRGANOS
  ESPECIALIZADOS.
 Agrupadas dentro de un ÓRGANO
  ESPECIALIZADO.
 DISPERSAS ó aisladas (SNED).
GLÁNDULAS ENDOCRINAS
    (Inducciones a través de la sangre).



 HIPOTÁLAMO
 HIPÓFISIS.
 SUPRARRENAL.
 TIROIDES Y PARATIROIDES.
 PÁNCREAS ENDOCRINO.
 SISTEMA NEUROENDOCRINO DIFUSO
 (SNED).
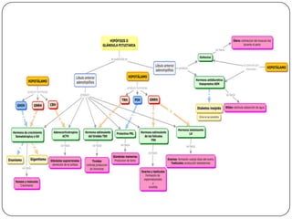
EJE HIPOTÁLAMO-HIPÓFISIS



   El hipotálamo y la hipófisis son dos estructuras
  anatómicas que poseen entre ellas una relación
fisiológica, es decir una unidad de funcionamiento.
¿Cómo son estas estructuras?

 El hipotálamo es una estructura que forma parte
  del cerebro y que se proyecta hacia su zona
  ventral terminando en un tallo.
 La hipófisis es una estructura situada
  ventralmente y encerrada por una depresión
  ósea del suelo del cráneo, denominada silla
  turca. Un tejido denominado pars
  intermedia separa ambas porciones.
Hipotálamo


 Está formado por neuronas con características
 nerviosas y a la vez endocrinas, por lo que son
 capaces de sintetizar sustancias que funcionan
                 como hormonas.
Hipófisis

Está integrada por dos estructuras (adenohipófisis
   y neurohipófisis). Las dos estructuras tienen
orígenes embriológicos diferentes y este hecho se
  ve refleja en su estructura y, finalmente, en su
                      función.
Hipotálamo

 Órgano integrador del SN y
  el SE

 Regula la homeostasis
   Sed
   Hambre
   Temperatura corporal
   Balance hídrico
   Presión sanguinea


 Respuesta  regula las
  actividades de tiroides,
  suprarrenales y gónadas;
  funciones de crecimiento,
  metabolismo.
HORMONAS HIPOTALAMICAS ESTIMULADORAS
 Hormona liberadora de corticotropina (CRH)
   Activadora de la secreción hipofisiaria de ACTH.

 Hormona liberadora de la hormona de crecimiento (GHRH)
   Estimula la secreción de GH

 Hormona liberadora de gonadotropina (GnRH ó LHRH)
   Estimula la síntesis y secreción de gonadotropinas

 Hormona liberadora de tirotropina (TSHRH)
   Activa la secreción de TRH

 Factores liberadores de prolactina (PRL)
HIPÓFISIS ó Pituitaria.

 Ubicada en la base del cerebro y
    en relación con el hipotálamo.
   Glándula integradora.
   En la Glándula 2 regiones:
    Adenohipófisis y Neurohipófisis.
   Posee una capsula de Tejido
    Conectivo que se continua con la
    red de fibras reticulares que le da
    soporte al órgano.
   La Adenohipófisis se divide en
    tres zonas histológicas.
Origen Embriológico
ZONAS HISTOLÓGICAS DE LA
        ADENOHIPÓFISIS.
 1.- PARS DISTALIS.
 2.- PARS INTERMEDIA.
 3.- PARS TUBERALIS.
Pars Distalis


 Cordones de Células Epiteliales entremezcladas
    con Capilares.
   Las hormonas producidas se almacenan en
    gránulos de secreción.
   Fibroblastos secretan fibras reticulares.
   Constituye el 75% de la masa hipofisiaria.
   Existen 3 tipos de células.
Tipos Celulares Encontrados en la
Adenohipofisis

 Dos grupos principales de células nerviosas:

   Células que poseen Gránulos Citoplasmáticos
   que poseen afinidad por colorantes histológicos.
   Próximas a los Capilares, denominadas
   CROMOFILAS.

   Células Sin Gránulos Citoplasmáticos visibles
   con el microscopio óptico. Citoplasma reducido y
   poco teñido, denominadas CROMOFOBAS.
Células Secretoras de la
           Adenohipofisis


               Acidofilas: ubicadas en la periferia de la
                               glándula.


Cromófilas


               Basofilas: ubicadas en la zona central de
                              la glándula.



   5
SUBTIPOS
 Somatotrópicas, células acidofilas. Producen la Hormona
  del Crecimiento o Somatotropina, estimula el metabolismo
  de las células en general (< cartilago epifisiario de huesos
  largos).
 Mamotrópicas, granulos acidofilos. Secretan Prolactina u
  Hormona Lactogenica. Crecimiento y funcionamiento de la
  glandula mamaria.
 Células Gonadotropicas, gránulos basófilos. Secretan dos
  tipos de hormonas:
   FSH, Hormona Foliculo Estimulante (desarrollo del folículo
    ovarico/espermatogénesis).
   LH, Hormona Luteinizante (maduración del folículo ovárico y
    ovulación, formación del cuerpo luteo y secreción de
    Progesterona por el CL / secreción de Testosterona por células
    de Leydig).
 Células Tirotropicas, gránulos pequeños, secretan TSH
  estimulando la secreción de hormonas tiroideas.
 Células Corticotropicas, grandes gránulos. Basófilas y
Pars Distalis
Pars Tuberalis

 Región en forma de embudo.
 Mayormente secreción de gonadotropinas (FSH y
  LH).
 Organizadas en cordones alrededor de vasos
  sanguíneos.
Pars Intermedia

 Ubicada en la bolsa
  de Rathke.
 Región integrada por
  cordones y folículos
  de células levemente
  basófilas que
  contienen gránulos
  de secreción
  pequeños.
 Se desconoce la
  función.
NEUROHIPOFISIS

 Formada por:
   Pars Nervosa, no posee células secretoras.
   Infundibulo
 Sus neuronas poseen características de
  neuronas típicas. Poseen cuerpos de Nissl
  desarrollados por su neurosecreción.
 Los productos de neurosecreción se transporta
  por el axon y se acumula en el extremo (pars
  nervosa).
 Los depósitos forman estructuras llamadas
  CUERPOS DE HERRING.
Hormonas de la Neurohipofisis

 Liberadas por medio de impulsos nerviosos como
 un solo péptido unidos a neurofisina, que se
 separa por proteolisis de cada una de las
 hormonas.

 La neurohipofisis esta formada por axones que
 provienen del hipotálamo, pero esta constituida
 en un 25% por células llamadas PITUICITOS
 (célula glial muy ramificada)
Hormonas de la Neurohipofisis
  Oxitocina, estimula la contracción del musculo liso
   de la pared uterina durante el coito o parto, las
   células mioepiteliales que rodean alveolos y los
   conductos de las glándulas mamarias durante la
   lactancia.
  Vasopresina-arginina (Hormona Antidiurética,
   ADH),es secretada cuando aumenta la presión
   osmótica de la sangre, aumenta la permeabilidad
   de los túbulos colectores al H2O, por lo que se
   absorbe mas H2O y la orina se vuelve mas
   hipertónica. La vasopresina aumenta la presión
   arterial porque aumenta la contracción del musculo
   liso de vasos sanguíneos de pequeño calibre.
Sistema Porta Hipofisiario
 Posee dos grupos de arterias:
   Arterias Hipofisiarias Superiores Derecha e
    Izquierda.
   Arterias Hipofisiarias Inferiores.
Importante para la regulación de las
funciones de la Adenohipofisis.
Las Neurohormonas producidas por
el Hipotálamo, son transportadas
directamente de la Adenohipofisis sin
que pasen por la circulación gral.
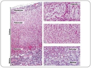
Glándula Suprarrenal
Características de la Glándula
Suprarrenal

 También llamadas Glándula Adrenal.
 Glándula aplanada en forma de medialuna.
 Se ubica en el polo superior de los riñones.
 Peso: 8 g (adulto)


 Órgano encapsulado (TCD), que
 macroscópicamente se pueden reconocer 2
 zonas:
   Capa Cortical (corteza de la suprarrenal),
    coloración amarilla.
   Capa Medular (medula de la suprarrenal),
Origen Embriológico

 Mesodérmico (epitelio celómico)  Corteza
 Neuroectodérmico (cresta neural)  Medula
Circulación de la Suprarrenal
 Arterias ingresan por diferentes puntos de la
  superficie.
 Forman un Plexo Subcapsular, del que emergen
  3 grupos de vasos:
   Arterias de la Capsula
   Arterias de la Corteza (drenan a capilares de la
    medula)
   Arterias de la Medula
 Poseen un endotelio capilar fenestrado y
  delgado.
 Los capilares de la medula, junto a los de la
  corteza forman las venas de la medula que
  confluyen para constituir la Vena Adrenal.
Corteza Suprarrenal
 Posee tres capas concéntricas:
   Zona Glomerular (15%), inmediatamente debajo de la
    capsula de tejido conjuntivo. Posee células de forma
    Piramidal o Columnar, que se organizan en cordones en
    forma de arco y rodeadas de capilares sanguíneos.
   Zona Fascicular (65%), Sus células están dispuestas
    en cordones de una o dos células de grosor, rectos y
    regulares, se entremezclan con capilares. Sus células
    tienen forma poliédrica, con gran numero de gotas de
    lípidos en el citoplasma, por esta razón también se les
    llama Espongiocitos.
   Zona Reticular (7%), contiene células con cordones
    irregulares que forman una red anastomosada. Son
    células mas pequeñas que poseen gránulos de
    pigmento (lipofucsina), son de forma irregular y núcleos
    picnóticos (sugiere que se produce necrosis celular en
    esta capa).
Secreción de Hormonas Esteroideas

    Estas son secretadas luego del estimulo,
difunden libremente por la membrana celular ya
que sus moléculas son de bajo peso molecular
y liposolubles, por lo que no requieren proceso
                 de exocitosis.
Hormonas de la Corteza y
Función
Esteroide          Hormona        Sector de la      Función
                                  Corteza

Mineralocorticoid Aldosterona     Zona Glomerular   Equilibrio de
es                                                  electrolitos y
                                                    agua.
Glucocorticoides   Cortisona      Zona Fascicular   Regulan el
                   Cortisol       Zona Reticulada   metabolismo de
                                                    carbohidratos,
                                                    proteínas y
                                                    lípidos.

Androgenos         Androsterona   Zona Fascicular   S.Reproductor
                   Estrogenos     Zona Reticulada
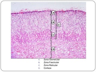
Zona Glomerular




Zona Fascicular




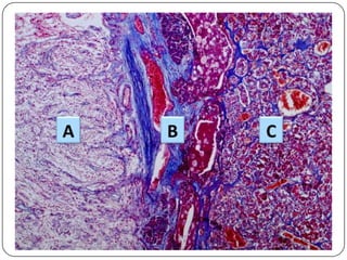
 Zona Reticular
A.   Zona Glomerular
B.   Zona Fascicular
C.   Zona Reticular
D.   Corteza
Histofisiología de la Glándula
Médula Suprarrenal
 Compuesta por células poliédricas organizadas
  en cordones o aglomerados redondeados.
 Red de fibras reticulares.
 Posee células ganglionares parasimpáticas.
 Rodeadas por Vasos Sanguíneos


 Las células parenquimatosas pueden
 considerarse neuronas postganglionares del
 sistema simpático modificadas, que pierden sus
 axones y dendrítas durante el desarrollo
 embrionario y se convierten en células
 secretoras.
Células de la Médula Suprarrenal
 Células Cromafines
 Poseen gránulos que contienen catecolaminas:
   Adrenalina
   Noradrenalina
 Estos gránulos también contienen
   ATP
   Cromograninas (proteínas de unión para
    catecolaminas)
   Dopamina Betahidroxilasa (convierte dopamina en
    noradrenalina).
   Encefalinas
Glándula Tiroides
Características

          De origen Ectodérmico.
          Sintetiza las hormonas TIROXINA
          (T4) y TRIYODOTIRONINA (T3) 
          Controlan la masa metabólica del
          organismo.

          Esta constituida por dos lóbulos
          unidos por un istmo.
Tiroides
 Parénquima: Folículos
  Tiroídeos.
 Células Parafoliculares
  sintetizan calcitonina
  (Hipocalcemiante).
 Estroma: Tabiques conectivos
  (fibras reticulares) y plexo
  capilar.
 Característica única:
  Almacena grandes cantidades
  de hormona en forma inactiva
Morfológicamente…

 Integrada por miles de
  folículos tiroideos (0,2 –
  0,9 mm).
 Formados por un epitelio
  simple y su cavidad
  contiene una sustancia
  gelatinosa, llamada
  Coloide.
 Las células pueden
  observarse aplanadas a
  cilíndricas, variando el
  tamaño del folículo.
Cuando los folículos
Folículos Grandes,      son mas pequeños, con
llenos de coloide,      epitelio columnar, se le
formados por epitelio   considera mas
plano o cubico, se le   hiperactiva.
considera mas
Sintesis de Hormonas
 4 fases:
   Síntesis de Tiroglobulina: síntesis de proteínas en el
    RER, se le añade un carbohidrato a la proteína en las
    cisternas del retículo y en golgi, el producto final es la
    tiroglobulina. Se libera por vesículas en la porción
    apical.
   Captación de Yodo circulante: se realiza en las células
    foliculares por medio de una proteína basolateral de las
    células foliculares que transporta 2 iones
    (cotransportador Na/I).
   Oxidación del Yodo: por medio de la peroxidasa tiroidea
    y se transporta a la cavidad del folículo, por medio del
    transportador de aniones Pendrina.
   Yodación de Radicales de Tirosil de la Tiroglobulina:
    catalizada en el coloide por la peroxidasa tiroidea.
    Formación de T3 y T4 (forman parte de la tiroglobulina).
Estímulo de TSH




Célula folicular capta coloide


         Enzimas lisosomales digieren el
                     coloide

                        Proteasas rompen uniones y se libera al
                        citoplasma T3, T4, Diyodotirosina (DIT) y
                                Monoyodotirosina (MIT)
                                     A la circulación solo sale T3 y T4, las otras
                                    hormonas se digieren y se vuelven a ocupar
                                                    los productos.
Glándulas Paratiroideas
Glándula Paratiroides

 Glándulas pequeñas, ovaladas y, en relación a
    la región posterior del Tiroides.
   OE: Tercera y cuartas bolsas faríngeas.
   Función: Regulación del metabolismo del Calcio
    y Fósforo.
   Hormonas: Paratiroídea (Parathormona):
    Hipercalcemiante.
   Acción: Hueso; Riñón.
Morfología

 PARÉNQUIMA: formado por acúmulos (cordones
 ó nidos) de dos tipos de células
   PRINCIPALES
   OXÍFILAS


 ESTROMA: Tabiques de TC (red de reticulina);
 Vasos sanguíneos, linfáticos y nervios.

 Otras células: Adipocito (Pubertad - 40 a).
Histología
Importancia del Calcio.

 Estabilización de gradientes de iones a nivel de la
    membrana celular de células musculares y
    nerviosas.
   Participan de la descarga de NT en terminaciones
    nerviosas.
   Procesos enzimáticos.
   Fenómenos de Adhesión celular.
   Depósitos cristalizados estables en la matríz del
    hueso maduro.
Páncreas Endocrino
PÁNCREAS ENDOCRINO.


 Inserta en Glándula Exocrina (Páncreas).
 Componente neuroendocrino del Páncreas adopta 3
 formas:
   Islotes de langerhans;
   Nidos ó grupos aislados distintos a los islotes (población
    minoritaria).
   Células aisladas y dispersas entre los componentes
    exocrino y ductal del Páncreas.
Islotes de Langerhans


 PARÉNQUIMA: Células pequeñas,citoplasma
  granular pobremente teñido (H/E) con mayor
  cantidad relativa de RER.
 ESTROMA: TC con F. Colágenas; Capilares; 3
  arteriolas; 6 venas; Vena interlobular.
ISLOTES DE LANGERHANS.
Tipo Celulares Endocrinos

 Células ALFA (periféricas): Glucagón (20%).
 Células BETA: Insulina (70%).
 Células DELTA: Somatostatina (5-10 %). Inhibe a
  células ALFA y BETA.
 CÉLULAS SECUNDARIAS:Motilina; Sustancia P y
  Serotonina.
IHQ de Células BETA
Sistema Neuroendocrino Difuso
          (SNED)
SISTEMA NEUROENDOCRINO DIFUSO (SNED)


  Células endocrinas que, consideradas en su conjunto
   conforman un órgano endocrino voluminoso.
  Productoras de aminas ó peptidos con actividad tipo
   hormona, neurotransmisores ó ambas.
  Poseen estructuras semejantes a las vesículas
   sinápticas ó gránulos de tipo neurosecretor (vesículas
   de centro denso).
  Los productos de las células se liberan por exocitosis
   en respuesta a estímulos externos.
SNED
 La familia de células NEUROENDOCRINAS abarca
 localizaciones como:

  Médula suprarrenal;
  Células C del Tiroides;
  Islotes de Langerhans;
  Células productoras de ACTH Y MSH en la Hipófisis;
  Células difusamente distribuídas en Aparato Gastrointestinal,
   respiratorio y urogenital;
  Células secretoras de renina del Riñón;
  Quimioreceptores del cuerpo carotídeo.
CÉLULAS
       NEUROENDOCRINAS.

 Las células endocrinas se
 hallan difusamente
 distribuídas e nivel de la
 mucosa de muchos
 sistemas orgánicos.

 En general, responden a
 estímulos ambientales
 locales secretando
 mensajeros químicos que
 actúan sobre otras células.

Unidad 10, SISTEMA ENDOCRINO FULL

  • 1.
    Sistema Endocrino Histología y Organogénesis TecMed TM Jocelyn Sanhueza Monsalve
  • 2.
    Contenidos  Conceptos generalesy relevancia funcional.  Características morfofuncionales de :  Hipófisis  Tiroides  Paratiroides  Glándula suprarrenal  Concepto de Sistema Neuroendocrino Difuso (SNED).
  • 3.
    ORGANOS ENDOCRINOS  ORGANOENDOCRINO: Todo aquel órgano que secreta una hormona  ENDO: Dentro  KRINEIN: Secretar  HORMONA: Compuesto químico producido por una célula endocrina que actúa sobre una célula blanco produciendo un efecto biológico  HORMEIN: Yo excito
  • 4.
    Funciones  Regula actividades metabólicas de ciertos órganos y tejidos (homeostasis).  El sistema endocrino ejerce sus acciones por medio de HORMONAS pero de forma lenta, pero mucho mas prolongada que el tejido nervioso.  Las HORMONAS son liberadas a la sangre y por medio de la circulación pueden llegar al órgano donde ejercerán su función  Órgano Diana.  Glándulas sin conductos!
  • 5.
    INTRODUCCIÓN.  La COMUNICACIÓNentre células resulta ser fundamental para el funcionamiento de cualquier organismo pluricelular.  Existe una comunicación a nivel local, a través de moléculas existentes en la superficie celular y a través de uniones de tipo nexo.
  • 6.
    INTRODUCCIÓN  La comunicacióna distancia se establece mediante la producción y secreción de mensajeros químicos (hormonas = sustancias inductoras), que interaccionan con receptores específicos y las activan.  El SNA regula la función de ciertos tejidos y órganos por medio de impulsos nerviosos que producen descarga de sustancias (NT), las cuales desencadenan reacciones rápidas.
  • 8.
    Características Funcionales delas Glándulas.  Glándulas Exocrinas: Ejercen efectos locales.  Glándulas endocrinas: Ejercen efectos locales y a distancia. Además, regulan actividades metabólicas de ciertos órganos y tejidos del cuerpo (Homeostasis). Sus efectos no son inmediatos.
  • 9.
    Características Estructurales delas Glándulas Endocrinas.  1.- Células en gral. de orígen epitelial rodeadas de un tejido de sostén que les aporta vasos sanguíneos (capilares) y capilares linfáticos.  2.- Las células liberan la hormona producida a los espacios intersticiales desde los que se se absorve rapidamente a la circulación.
  • 10.
    Características Estructurales delas Glándulas Endocrinas.  3.- Conforman nidos; cordones; folículos y células aisladas  4.- A nivel celular: núcleo prominente; gran cantidad de organelos (mitocondrias; RE; aparato de Golgi y vesículas secretoras).  5.- El polo secretor se halla adyacente a la pared vascular del capilar.
  • 11.
    HORMONAS. Mensajeros químicos secretadospor las glándulas endocrinas y descargadas a la sangre para que viajen hacia células u órganos blancos.
  • 12.
    Las hormonas seclasifican en tres tipos según su composición: 1. Proteicas y polipeptídicas: muy hidrosolubles (p.ej., insulina, glucagón y hormona estimulante del folículo [FSH]). 2. Derivados de aminoácidos: en especial hidrosolubles (como tiroxina y adrenalina). 3. Derivados de esteroides y ácidos grasos: principalmente liposolubles (p. ej., progesterona, estradiol y testosterona).
  • 13.
    HORMONAS: Naturaleza Química.  Aminas ó derivados de aminoácidos (catecolaminas ; Tiroxina).  Polipeptídicas (2 cadenas de pp): ACTH; GH; ADH.  Glucoproteínas (FSH; HCG; LH; TSH).  Esteroidales (Cortisol; Progesterona; Aldosterona).
  • 14.
    Mecanismos secretorios deacción que producen respuestas celulares ó tisulares.  AUTOCRINAS.  PARACRINAS.  ENDOCRINAS.  SINÁPTICAS.
  • 15.
  • 16.
    Distribución de lasCélulas endocrinas.  Agrupadas y conformando ÓRGANOS ESPECIALIZADOS.  Agrupadas dentro de un ÓRGANO ESPECIALIZADO.  DISPERSAS ó aisladas (SNED).
  • 17.
    GLÁNDULAS ENDOCRINAS (Inducciones a través de la sangre).  HIPOTÁLAMO  HIPÓFISIS.  SUPRARRENAL.  TIROIDES Y PARATIROIDES.  PÁNCREAS ENDOCRINO.  SISTEMA NEUROENDOCRINO DIFUSO (SNED).
  • 18.
    EJE HIPOTÁLAMO-HIPÓFISIS El hipotálamo y la hipófisis son dos estructuras anatómicas que poseen entre ellas una relación fisiológica, es decir una unidad de funcionamiento.
  • 19.
    ¿Cómo son estasestructuras?  El hipotálamo es una estructura que forma parte del cerebro y que se proyecta hacia su zona ventral terminando en un tallo.  La hipófisis es una estructura situada ventralmente y encerrada por una depresión ósea del suelo del cráneo, denominada silla turca. Un tejido denominado pars intermedia separa ambas porciones.
  • 20.
    Hipotálamo Está formadopor neuronas con características nerviosas y a la vez endocrinas, por lo que son capaces de sintetizar sustancias que funcionan como hormonas.
  • 21.
    Hipófisis Está integrada pordos estructuras (adenohipófisis y neurohipófisis). Las dos estructuras tienen orígenes embriológicos diferentes y este hecho se ve refleja en su estructura y, finalmente, en su función.
  • 23.
    Hipotálamo  Órgano integradordel SN y el SE  Regula la homeostasis  Sed  Hambre  Temperatura corporal  Balance hídrico  Presión sanguinea  Respuesta  regula las actividades de tiroides, suprarrenales y gónadas; funciones de crecimiento, metabolismo.
  • 24.
    HORMONAS HIPOTALAMICAS ESTIMULADORAS Hormona liberadora de corticotropina (CRH)  Activadora de la secreción hipofisiaria de ACTH.  Hormona liberadora de la hormona de crecimiento (GHRH)  Estimula la secreción de GH  Hormona liberadora de gonadotropina (GnRH ó LHRH)  Estimula la síntesis y secreción de gonadotropinas  Hormona liberadora de tirotropina (TSHRH)  Activa la secreción de TRH  Factores liberadores de prolactina (PRL)
  • 26.
    HIPÓFISIS ó Pituitaria. Ubicada en la base del cerebro y en relación con el hipotálamo.  Glándula integradora.  En la Glándula 2 regiones: Adenohipófisis y Neurohipófisis.  Posee una capsula de Tejido Conectivo que se continua con la red de fibras reticulares que le da soporte al órgano.  La Adenohipófisis se divide en tres zonas histológicas.
  • 27.
  • 29.
    ZONAS HISTOLÓGICAS DELA ADENOHIPÓFISIS.  1.- PARS DISTALIS.  2.- PARS INTERMEDIA.  3.- PARS TUBERALIS.
  • 30.
    Pars Distalis  Cordonesde Células Epiteliales entremezcladas con Capilares.  Las hormonas producidas se almacenan en gránulos de secreción.  Fibroblastos secretan fibras reticulares.  Constituye el 75% de la masa hipofisiaria.  Existen 3 tipos de células.
  • 31.
    Tipos Celulares Encontradosen la Adenohipofisis  Dos grupos principales de células nerviosas:  Células que poseen Gránulos Citoplasmáticos que poseen afinidad por colorantes histológicos. Próximas a los Capilares, denominadas CROMOFILAS.  Células Sin Gránulos Citoplasmáticos visibles con el microscopio óptico. Citoplasma reducido y poco teñido, denominadas CROMOFOBAS.
  • 32.
    Células Secretoras dela Adenohipofisis Acidofilas: ubicadas en la periferia de la glándula. Cromófilas Basofilas: ubicadas en la zona central de la glándula. 5 SUBTIPOS
  • 34.
     Somatotrópicas, célulasacidofilas. Producen la Hormona del Crecimiento o Somatotropina, estimula el metabolismo de las células en general (< cartilago epifisiario de huesos largos).  Mamotrópicas, granulos acidofilos. Secretan Prolactina u Hormona Lactogenica. Crecimiento y funcionamiento de la glandula mamaria.  Células Gonadotropicas, gránulos basófilos. Secretan dos tipos de hormonas:  FSH, Hormona Foliculo Estimulante (desarrollo del folículo ovarico/espermatogénesis).  LH, Hormona Luteinizante (maduración del folículo ovárico y ovulación, formación del cuerpo luteo y secreción de Progesterona por el CL / secreción de Testosterona por células de Leydig).  Células Tirotropicas, gránulos pequeños, secretan TSH estimulando la secreción de hormonas tiroideas.  Células Corticotropicas, grandes gránulos. Basófilas y
  • 35.
  • 37.
    Pars Tuberalis  Regiónen forma de embudo.  Mayormente secreción de gonadotropinas (FSH y LH).  Organizadas en cordones alrededor de vasos sanguíneos.
  • 38.
    Pars Intermedia  Ubicadaen la bolsa de Rathke.  Región integrada por cordones y folículos de células levemente basófilas que contienen gránulos de secreción pequeños.  Se desconoce la función.
  • 40.
    NEUROHIPOFISIS  Formada por:  Pars Nervosa, no posee células secretoras.  Infundibulo  Sus neuronas poseen características de neuronas típicas. Poseen cuerpos de Nissl desarrollados por su neurosecreción.  Los productos de neurosecreción se transporta por el axon y se acumula en el extremo (pars nervosa).  Los depósitos forman estructuras llamadas CUERPOS DE HERRING.
  • 42.
    Hormonas de laNeurohipofisis  Liberadas por medio de impulsos nerviosos como un solo péptido unidos a neurofisina, que se separa por proteolisis de cada una de las hormonas.  La neurohipofisis esta formada por axones que provienen del hipotálamo, pero esta constituida en un 25% por células llamadas PITUICITOS (célula glial muy ramificada)
  • 43.
    Hormonas de laNeurohipofisis  Oxitocina, estimula la contracción del musculo liso de la pared uterina durante el coito o parto, las células mioepiteliales que rodean alveolos y los conductos de las glándulas mamarias durante la lactancia.  Vasopresina-arginina (Hormona Antidiurética, ADH),es secretada cuando aumenta la presión osmótica de la sangre, aumenta la permeabilidad de los túbulos colectores al H2O, por lo que se absorbe mas H2O y la orina se vuelve mas hipertónica. La vasopresina aumenta la presión arterial porque aumenta la contracción del musculo liso de vasos sanguíneos de pequeño calibre.
  • 45.
    Sistema Porta Hipofisiario Posee dos grupos de arterias:  Arterias Hipofisiarias Superiores Derecha e Izquierda.  Arterias Hipofisiarias Inferiores. Importante para la regulación de las funciones de la Adenohipofisis. Las Neurohormonas producidas por el Hipotálamo, son transportadas directamente de la Adenohipofisis sin que pasen por la circulación gral.
  • 48.
  • 49.
    Características de laGlándula Suprarrenal  También llamadas Glándula Adrenal.  Glándula aplanada en forma de medialuna.  Se ubica en el polo superior de los riñones.  Peso: 8 g (adulto)  Órgano encapsulado (TCD), que macroscópicamente se pueden reconocer 2 zonas:  Capa Cortical (corteza de la suprarrenal), coloración amarilla.  Capa Medular (medula de la suprarrenal),
  • 50.
    Origen Embriológico  Mesodérmico(epitelio celómico)  Corteza  Neuroectodérmico (cresta neural)  Medula
  • 51.
    Circulación de laSuprarrenal  Arterias ingresan por diferentes puntos de la superficie.  Forman un Plexo Subcapsular, del que emergen 3 grupos de vasos:  Arterias de la Capsula  Arterias de la Corteza (drenan a capilares de la medula)  Arterias de la Medula  Poseen un endotelio capilar fenestrado y delgado.  Los capilares de la medula, junto a los de la corteza forman las venas de la medula que confluyen para constituir la Vena Adrenal.
  • 53.
    Corteza Suprarrenal  Poseetres capas concéntricas:  Zona Glomerular (15%), inmediatamente debajo de la capsula de tejido conjuntivo. Posee células de forma Piramidal o Columnar, que se organizan en cordones en forma de arco y rodeadas de capilares sanguíneos.  Zona Fascicular (65%), Sus células están dispuestas en cordones de una o dos células de grosor, rectos y regulares, se entremezclan con capilares. Sus células tienen forma poliédrica, con gran numero de gotas de lípidos en el citoplasma, por esta razón también se les llama Espongiocitos.  Zona Reticular (7%), contiene células con cordones irregulares que forman una red anastomosada. Son células mas pequeñas que poseen gránulos de pigmento (lipofucsina), son de forma irregular y núcleos picnóticos (sugiere que se produce necrosis celular en esta capa).
  • 54.
    Secreción de HormonasEsteroideas Estas son secretadas luego del estimulo, difunden libremente por la membrana celular ya que sus moléculas son de bajo peso molecular y liposolubles, por lo que no requieren proceso de exocitosis.
  • 55.
    Hormonas de laCorteza y Función Esteroide Hormona Sector de la Función Corteza Mineralocorticoid Aldosterona Zona Glomerular Equilibrio de es electrolitos y agua. Glucocorticoides Cortisona Zona Fascicular Regulan el Cortisol Zona Reticulada metabolismo de carbohidratos, proteínas y lípidos. Androgenos Androsterona Zona Fascicular S.Reproductor Estrogenos Zona Reticulada
  • 56.
  • 58.
    A. Zona Glomerular B. Zona Fascicular C. Zona Reticular D. Corteza
  • 59.
  • 60.
    Médula Suprarrenal  Compuestapor células poliédricas organizadas en cordones o aglomerados redondeados.  Red de fibras reticulares.  Posee células ganglionares parasimpáticas.  Rodeadas por Vasos Sanguíneos  Las células parenquimatosas pueden considerarse neuronas postganglionares del sistema simpático modificadas, que pierden sus axones y dendrítas durante el desarrollo embrionario y se convierten en células secretoras.
  • 61.
    Células de laMédula Suprarrenal  Células Cromafines  Poseen gránulos que contienen catecolaminas:  Adrenalina  Noradrenalina  Estos gránulos también contienen  ATP  Cromograninas (proteínas de unión para catecolaminas)  Dopamina Betahidroxilasa (convierte dopamina en noradrenalina).  Encefalinas
  • 65.
  • 66.
    Características  De origen Ectodérmico.  Sintetiza las hormonas TIROXINA (T4) y TRIYODOTIRONINA (T3)  Controlan la masa metabólica del organismo.  Esta constituida por dos lóbulos unidos por un istmo.
  • 67.
    Tiroides  Parénquima: Folículos Tiroídeos.  Células Parafoliculares sintetizan calcitonina (Hipocalcemiante).  Estroma: Tabiques conectivos (fibras reticulares) y plexo capilar.  Característica única: Almacena grandes cantidades de hormona en forma inactiva
  • 68.
    Morfológicamente…  Integrada pormiles de folículos tiroideos (0,2 – 0,9 mm).  Formados por un epitelio simple y su cavidad contiene una sustancia gelatinosa, llamada Coloide.  Las células pueden observarse aplanadas a cilíndricas, variando el tamaño del folículo.
  • 69.
    Cuando los folículos FolículosGrandes, son mas pequeños, con llenos de coloide, epitelio columnar, se le formados por epitelio considera mas plano o cubico, se le hiperactiva. considera mas
  • 70.
    Sintesis de Hormonas 4 fases:  Síntesis de Tiroglobulina: síntesis de proteínas en el RER, se le añade un carbohidrato a la proteína en las cisternas del retículo y en golgi, el producto final es la tiroglobulina. Se libera por vesículas en la porción apical.  Captación de Yodo circulante: se realiza en las células foliculares por medio de una proteína basolateral de las células foliculares que transporta 2 iones (cotransportador Na/I).  Oxidación del Yodo: por medio de la peroxidasa tiroidea y se transporta a la cavidad del folículo, por medio del transportador de aniones Pendrina.  Yodación de Radicales de Tirosil de la Tiroglobulina: catalizada en el coloide por la peroxidasa tiroidea. Formación de T3 y T4 (forman parte de la tiroglobulina).
  • 72.
    Estímulo de TSH Célulafolicular capta coloide Enzimas lisosomales digieren el coloide Proteasas rompen uniones y se libera al citoplasma T3, T4, Diyodotirosina (DIT) y Monoyodotirosina (MIT) A la circulación solo sale T3 y T4, las otras hormonas se digieren y se vuelven a ocupar los productos.
  • 73.
  • 74.
    Glándula Paratiroides  Glándulaspequeñas, ovaladas y, en relación a la región posterior del Tiroides.  OE: Tercera y cuartas bolsas faríngeas.  Función: Regulación del metabolismo del Calcio y Fósforo.  Hormonas: Paratiroídea (Parathormona): Hipercalcemiante.  Acción: Hueso; Riñón.
  • 75.
    Morfología  PARÉNQUIMA: formadopor acúmulos (cordones ó nidos) de dos tipos de células  PRINCIPALES  OXÍFILAS  ESTROMA: Tabiques de TC (red de reticulina); Vasos sanguíneos, linfáticos y nervios.  Otras células: Adipocito (Pubertad - 40 a).
  • 76.
  • 77.
    Importancia del Calcio. Estabilización de gradientes de iones a nivel de la membrana celular de células musculares y nerviosas.  Participan de la descarga de NT en terminaciones nerviosas.  Procesos enzimáticos.  Fenómenos de Adhesión celular.  Depósitos cristalizados estables en la matríz del hueso maduro.
  • 78.
  • 79.
    PÁNCREAS ENDOCRINO.  Insertaen Glándula Exocrina (Páncreas).  Componente neuroendocrino del Páncreas adopta 3 formas:  Islotes de langerhans;  Nidos ó grupos aislados distintos a los islotes (población minoritaria).  Células aisladas y dispersas entre los componentes exocrino y ductal del Páncreas.
  • 80.
    Islotes de Langerhans PARÉNQUIMA: Células pequeñas,citoplasma granular pobremente teñido (H/E) con mayor cantidad relativa de RER.  ESTROMA: TC con F. Colágenas; Capilares; 3 arteriolas; 6 venas; Vena interlobular.
  • 81.
  • 82.
    Tipo Celulares Endocrinos Células ALFA (periféricas): Glucagón (20%).  Células BETA: Insulina (70%).  Células DELTA: Somatostatina (5-10 %). Inhibe a células ALFA y BETA.  CÉLULAS SECUNDARIAS:Motilina; Sustancia P y Serotonina.
  • 84.
  • 85.
  • 86.
    SISTEMA NEUROENDOCRINO DIFUSO(SNED)  Células endocrinas que, consideradas en su conjunto conforman un órgano endocrino voluminoso.  Productoras de aminas ó peptidos con actividad tipo hormona, neurotransmisores ó ambas.  Poseen estructuras semejantes a las vesículas sinápticas ó gránulos de tipo neurosecretor (vesículas de centro denso).  Los productos de las células se liberan por exocitosis en respuesta a estímulos externos.
  • 87.
    SNED  La familiade células NEUROENDOCRINAS abarca localizaciones como:  Médula suprarrenal;  Células C del Tiroides;  Islotes de Langerhans;  Células productoras de ACTH Y MSH en la Hipófisis;  Células difusamente distribuídas en Aparato Gastrointestinal, respiratorio y urogenital;  Células secretoras de renina del Riñón;  Quimioreceptores del cuerpo carotídeo.
  • 88.
    CÉLULAS NEUROENDOCRINAS.  Las células endocrinas se hallan difusamente distribuídas e nivel de la mucosa de muchos sistemas orgánicos.  En general, responden a estímulos ambientales locales secretando mensajeros químicos que actúan sobre otras células.