Aborto
Msc. Elsa Mercedes
Castellón Calvo
Mujer II
2021
Concepto
Clasificación
Diagnostico
Tratamiento
GENERALIDADES
• El 10 al 15% de los embarazos terminan en
aborto espontáneo, ocurriendo el 80% en el
primer trimestre.
• La principal causa las malformaciones
cromosómicas (80-90%) de estos.
• El 10 al 15% de los embarazos documentados
terminan en aborto espontáneo, ocurriendo el 80% en
el primer trimestre.
• La principal causa las malformaciones cromosómicas
80-90%.
Es la expulsión o extracción de un embrión o feto de la
madre de menos de 500g. de peso, que se alcanza a las
22 semanas. (Impera el peso sobre las semanas de
gestación)
DEFINICIÓN
1-) 80-90% son de causa
Ovulares de los a bortos
espontáneos:
• Factores hereditarios
• Defectos cromosómicos o de las
células sexuales
ETIOLOGÍA
2-) 20- 10 % son de otras causas :
• Maternas orgánicas: sistémicas y locales
referidas al aparato reproductor.
Tuberculosis, Toxoplasmosis, Enfermedad
de Chagas, Infecciones pélvicas-génito-
urinarias, Desgarros cervicales.
• Funcionales (Endocrinopatías: Diabetes,
Hipertiroidismo, Cuerpo lúteo
insuficiente)
• Inmunológicas: Lupus Eritematoso.
2-) 20- 10 % son de otras causas :
• Psicodinámicas: Stress extremo,
Psicosis.
• Tóxicos: Intoxicación con Plomo,
Mercurio, Alcoholismo.
• Carencial: Hipovitaminosis, anemia,
malnutrición, falta de oligoelementos.
• Traumatismos físicos.
• Social: violencia física y sexual.
CLASIFICACION
Espontáneos: Son los que se producen de manera
involuntaria sin intervenciones externas que
provoquen la interrupción del embarazo.
Provocados: Son los que se producen con
intervenciones externas que provocan la
interrupción del embarazo:
•Aborto por indicación médica (aborto terapéutico).
•Aborto por otras causas (embarazo no deseado).
1. Amenaza de aborto.
2. Aborto inminente o en curso.
3. Aborto inevitable.
4. Aborto diferido o Huevo muerto y
retenido.
5. Aborto incompleto
6. Aborto completo
7. Aborto séptico
FORMAS CLÍNICAS DEL
ABORTO
FACTORES DE RIESGO
1. Primiparidad.
2. Edades extremas de la vida.
3. Multiparidad.
4. Antecedentes de abortos
previos.
5. Antecedente de embarazo no
deseado.
6. Enfermedades crónicas.
7. Malas condiciones
socioeconómicas
FACTORES DE RIESGO
8. Infección urinaria.
9. Práctica de maniobras abortivas en
embarazo actual.
10. Falla de método anticonceptivo.
11. Violencia física y sexual.
12. Alcoholismo y adicciones.
13. VIH / Sida.
MANIFESTACIONES CLÍNICAS
Amenaza de aborto
Amenorrea con signos
presuntivos de embarazo, dolor
tipo cólico en hipogastrio,
acompañado o no de sangrado
transvaginal, sin modificaciones
cervicales y el tamaño del útero
conforme a las semanas de
amenorrea.
MANIFESTACIONES CLÍNICAS
Aborto inminente o en curso
Se acentúan los síntomas
descritos en la amenaza de
aborto. Persiste dolor tipo
cólico, sangrado transvaginal y
el cuello uterino presenta
modificaciones importantes e
irreversibles.
MANIFESTACIONES CLÍNICAS
Aborto inevitable
Presencia de dolor y/o sangrado intenso que compromete la
vida de la mujer, salida transvaginal de líquido amniótico
Aborto frustrado
El huevo está muerto in
útero, no hay signos, ni
síntomas de aborto, el
crecimiento uterino está
detenido, los niveles de la
hormona gonadotropina
coriónica disminuyen. Ausencia
de vitalidad fetal por ultrasonido
MANIFESTACIONES CLÍNICAS
Aborto incompleto
El contenido uterino se
expulsa parcialmente, el
tamaño del útero se mantiene
o disminuye, el cuello uterino
está dilatado en sus dos
orificios y persiste el
sangrado.
MANIFESTACIONES CLÍNICAS
Aborto completo:
El huevo se expulsa completamente. Ocurre
en embarazos tempranos
MANIFESTACIONES CLÍNICAS
Aborto Séptico
• Se trata de una de las formas anteriores con un proceso infeccioso
sobre agregado en la cavidad uterina o en el producto, no afecta la
capa muscular del útero.
• Sus síntomas y signos generalmente son los de una infección leve a
severa.
MANIFESTACIONES CLÍNICAS
Aborto Séptico
• Temperatura mayor a 37.5°C, se puede acompañar de
malestar general, astenia, adinamia, escalofríos y
mialgias.
• Metrorragia fétida y/o restos ovulares con fetidez
(endometritis).
• Útero doloroso a la palpación y reblandecido
(miometritis).
• Dolor a la movilización lateral del cuello (parametritis).
• El cuello generalmente se encuentra entreabierto y es
posible evidenciar laceraciones, cuerpos extraños o restos
ovulares.
• Dolor a la palpación del hemiabdomen inferior.
Evaluar lesiones de órganos vecinos
(vejiga e intestino) y descartar presencia
de tumoraciones o colecciones a nivel
parauterino, (absceso tubo-ovárico).
Aborto Séptico
Auxiliares Diagnósticos
Test de embarazo.
1. En sangre positivo a los 6-8 días después de ovular o sea
después de la tercera semana de la FUR.
2. En orina a las 2 semanas después de ovular o sea al mes de la
fecha de última regla.
3. (Fracción subunidad Beta de HCG) detecta concentraciones
en orina de 50 mUI/cc o superiores y en sangre, de 25mUI/cc o
superiores
Falsos positivo:
• Coriocarcinomas.
• Deficiencia de inmunoglobulina a.
• Anticuerpos heterófilos.
• Enterocistoplastias.
• Enfermedades trofoblásticas gestacionales (incluso
neoplasias).
• Tumores de células germinales.
• Otros tipos de cáncer (como el cáncer de pulmón).
Auxiliares Diagnósticos
Auxiliares Diagnósticos
USG
El ultrasonido obstétrico transvaginal tiene mayor
sensibilidad que el abdominal para valorar vitalidad fetal
en embarazos menores de 14 semanas.
Auxiliares Diagnósticos
USG
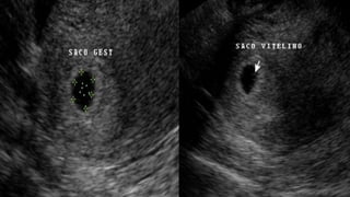
Presencia de saco gestacional:
1. Forma redondeada hasta las 7
semanas.
2 .Localizada en el fondo uterino.
3 .Anillo eco génico rodea el saco
Auxiliares Diagnósticos
USG
Presencia de saco vitelino
1. Su presencia confirma la
existencia de un embrión.
2. Crece a razón de 1mm por
semana.
Auxiliares Diagnósticos
USG
Visualización del embrión. crece a razón de 1mm por día.
Embarazo Anembriónico.
• La no visualización de embrión con ultrasonido abdominal cuando hay un
saco gestacional con diámetro medio de 25 mm (siete semanas y 2 días) o
la ausencia de saco vitelino si tiene 20 mm (seis semanas y 5 días).
• La valoración del US por vía transvaginal demostrará la ausencia de
embrión con saco gestacional de 18 mm o la ausencia de saco vitelino si el
saco gestacional tiene un diámetro de 13 mm.
• Se deberá descartar embarazo incipiente como diagnóstico diferencial
Diagnóstico Diferencial
• Embarazo Ectópico y la Enfermedad del Trofoblasto.
• Hemorragia uterina disfuncional con período de
amenorrea previo.
• Lesiones de canal y enfermedad Cervico vaginal.
• Várices vulvares.
Tratamiento
Amenaza de Aborto
• Descartar que el sangrado provenga de vagina o lesiones
en el cérvix.
• Reposo relativo.
• Evitar relaciones sexuales.
• Tratar enfermedad de base (infección vías urinarias,
Infección de transmisión sexual y otras enfermedades).
• Evaluar vitalidad ovular y/o fetal (prueba de embarazo,
ecografía
• Si cede el sangrado y el dolor, continuar manejo
ambulatorio
Tratamiento
Aborto en curso, aborto inevitable y aborto incompleto
• Canalizar con bránula No 16
• SSN 1,000 ml en 6 hrs. La reposición de líquidos se
hará en dependencia del sangrado.
• Administrar DT.
• Exámenes de laboratorio
• Suspender la vía oral. ( Solo si es necesario)
• AMEU
• Profilaxis antibiótica con 100 mg de doxiciclina 1 hora
antes del procedimiento y 200 mg después de este.
AMEU y LUI se deben realizar si el
embarazo es menor de 12 semanas por
fecha de la última menstruación (FUM)
o si el tamaño uterino es menor o igual a
un embarazo es de 12 semanas.
Si la evacuación no es posible de inmediato y hay sangrado:
Oxitocina, 20 UI en 500 ml de solución salina al 0.9% a 40 gotas
por minuto
Administrarla tanto para disminuir sangrado y evacuar contenido
uterino como para brindar seguridad al momento de aspiración
endouterina o legrado.
Misoprostol: Dosis única de 600 μg por vía
vaginal
Importante a recordar que oxitocina o misoprostol, nunca se deben
administrar juntos.
Si el embarazo es mayor de 12 semanas
Oxitocina 40 UI en1000 cc .de SSN
a 40 gotas por minuto.
Expulsión del producto de la concepción
Misoprostol:
• Embarazo entre 12-17 6/7 semanas: 200 mcg vía vaginal.
repitiendo una dosis a las 4 horas si se considera necesario.
• Embarazo entre 18 a 26 semanas: 100 mcg vía vaginal
repitiendo una dosis a las 4 horas si se considera necesario
Aborto frustrado
• Menor de 12 semanas: AMEU o misoprostol 800 mcg
vía vaginal dosis única.
• Mayor de 12 semanas: Se maneja igual que el aborto
incompleto mayor de 12 semanas.
Aborto séptico
• Ampicilina 1 g IV más 500mg de metrodinazol IV.
• Cefazolina 1g IV más 500mg de metrodinazol IV.
• Ceftriazone 1 g IV mas 500mg de metrodinazol IV.
• Clindamicina 600mg IV ó 500mg de metrodinazol mas gentamicina
80mg IV c/8h.
• Agregar a cada una de las opciones: Gentamicina 160 mg IV diaria.
• Administrar DT según esquema de vacunación.
La terapia antibiótica intravenosa se deberá
mantener por 48 horas desde el último pico febril y
continuar por vía oral hasta completar 7 a 10 días.
Condiciones para practicar legrado uterino en
caso séptico:
+Realizarlo después de 8 horas de iniciada la
antibioticoterapia.
+Paciente estabilizada hemodinámicamente
COMPLICACIONES
• Perforación uterina.
• Shock séptico.
• Infertilidad.
• Lesión vaginal, vesical,
uterina o intestinal.
Ejercicio Nº 1
Femenina de 18 años llega a emergencia con historia de
sangrado transvaginal de 3 dias de evolucion, dolor tipo colico
que se exacerbo en las ultimas 4 horas .
Mantiene vida sexual, desde hace 8 meses, usando como metodo
de planificación , la PPMS.
Ex Fs
S/ V normales.
Ginecológico : útero aumentado de tamaño , cuello semi
permeable, sangrado , escaso, no fetidez, no aumento de calor.
Ultrasonido revela embarazo de 14 SDG con ausencia de
vitalidad fetal.
Ejercicio Nº 1
Probabilidad Dx
1. Amenaza de Aborto.
2. Aborto Frustro.
3. HMR
4. Aborto Septico
Manejo terapéutico
1. AMEU
2. Evacuación mas AMEU
3. LUI
4. Inducir la Evacuación
¿ Que otras medidas Terapéuticas se deben de llevar a cabo. ?
fin

000000000000000000000000000000000000000Aborto.pptx

  • 1.
    Aborto Msc. Elsa Mercedes CastellónCalvo Mujer II 2021 Concepto Clasificación Diagnostico Tratamiento
  • 2.
    GENERALIDADES • El 10al 15% de los embarazos terminan en aborto espontáneo, ocurriendo el 80% en el primer trimestre. • La principal causa las malformaciones cromosómicas (80-90%) de estos. • El 10 al 15% de los embarazos documentados terminan en aborto espontáneo, ocurriendo el 80% en el primer trimestre. • La principal causa las malformaciones cromosómicas 80-90%.
  • 3.
    Es la expulsióno extracción de un embrión o feto de la madre de menos de 500g. de peso, que se alcanza a las 22 semanas. (Impera el peso sobre las semanas de gestación) DEFINICIÓN
  • 4.
    1-) 80-90% sonde causa Ovulares de los a bortos espontáneos: • Factores hereditarios • Defectos cromosómicos o de las células sexuales ETIOLOGÍA
  • 5.
    2-) 20- 10% son de otras causas : • Maternas orgánicas: sistémicas y locales referidas al aparato reproductor. Tuberculosis, Toxoplasmosis, Enfermedad de Chagas, Infecciones pélvicas-génito- urinarias, Desgarros cervicales. • Funcionales (Endocrinopatías: Diabetes, Hipertiroidismo, Cuerpo lúteo insuficiente) • Inmunológicas: Lupus Eritematoso.
  • 6.
    2-) 20- 10% son de otras causas : • Psicodinámicas: Stress extremo, Psicosis. • Tóxicos: Intoxicación con Plomo, Mercurio, Alcoholismo. • Carencial: Hipovitaminosis, anemia, malnutrición, falta de oligoelementos. • Traumatismos físicos. • Social: violencia física y sexual.
  • 7.
    CLASIFICACION Espontáneos: Son losque se producen de manera involuntaria sin intervenciones externas que provoquen la interrupción del embarazo. Provocados: Son los que se producen con intervenciones externas que provocan la interrupción del embarazo: •Aborto por indicación médica (aborto terapéutico). •Aborto por otras causas (embarazo no deseado).
  • 8.
    1. Amenaza deaborto. 2. Aborto inminente o en curso. 3. Aborto inevitable. 4. Aborto diferido o Huevo muerto y retenido. 5. Aborto incompleto 6. Aborto completo 7. Aborto séptico FORMAS CLÍNICAS DEL ABORTO
  • 9.
    FACTORES DE RIESGO 1.Primiparidad. 2. Edades extremas de la vida. 3. Multiparidad. 4. Antecedentes de abortos previos. 5. Antecedente de embarazo no deseado. 6. Enfermedades crónicas. 7. Malas condiciones socioeconómicas
  • 10.
    FACTORES DE RIESGO 8.Infección urinaria. 9. Práctica de maniobras abortivas en embarazo actual. 10. Falla de método anticonceptivo. 11. Violencia física y sexual. 12. Alcoholismo y adicciones. 13. VIH / Sida.
  • 11.
    MANIFESTACIONES CLÍNICAS Amenaza deaborto Amenorrea con signos presuntivos de embarazo, dolor tipo cólico en hipogastrio, acompañado o no de sangrado transvaginal, sin modificaciones cervicales y el tamaño del útero conforme a las semanas de amenorrea.
  • 12.
    MANIFESTACIONES CLÍNICAS Aborto inminenteo en curso Se acentúan los síntomas descritos en la amenaza de aborto. Persiste dolor tipo cólico, sangrado transvaginal y el cuello uterino presenta modificaciones importantes e irreversibles.
  • 13.
    MANIFESTACIONES CLÍNICAS Aborto inevitable Presenciade dolor y/o sangrado intenso que compromete la vida de la mujer, salida transvaginal de líquido amniótico
  • 14.
    Aborto frustrado El huevoestá muerto in útero, no hay signos, ni síntomas de aborto, el crecimiento uterino está detenido, los niveles de la hormona gonadotropina coriónica disminuyen. Ausencia de vitalidad fetal por ultrasonido
  • 15.
    MANIFESTACIONES CLÍNICAS Aborto incompleto Elcontenido uterino se expulsa parcialmente, el tamaño del útero se mantiene o disminuye, el cuello uterino está dilatado en sus dos orificios y persiste el sangrado.
  • 16.
    MANIFESTACIONES CLÍNICAS Aborto completo: Elhuevo se expulsa completamente. Ocurre en embarazos tempranos
  • 17.
    MANIFESTACIONES CLÍNICAS Aborto Séptico •Se trata de una de las formas anteriores con un proceso infeccioso sobre agregado en la cavidad uterina o en el producto, no afecta la capa muscular del útero. • Sus síntomas y signos generalmente son los de una infección leve a severa.
  • 18.
    MANIFESTACIONES CLÍNICAS Aborto Séptico •Temperatura mayor a 37.5°C, se puede acompañar de malestar general, astenia, adinamia, escalofríos y mialgias. • Metrorragia fétida y/o restos ovulares con fetidez (endometritis). • Útero doloroso a la palpación y reblandecido (miometritis). • Dolor a la movilización lateral del cuello (parametritis). • El cuello generalmente se encuentra entreabierto y es posible evidenciar laceraciones, cuerpos extraños o restos ovulares. • Dolor a la palpación del hemiabdomen inferior.
  • 19.
    Evaluar lesiones deórganos vecinos (vejiga e intestino) y descartar presencia de tumoraciones o colecciones a nivel parauterino, (absceso tubo-ovárico). Aborto Séptico
  • 23.
    Auxiliares Diagnósticos Test deembarazo. 1. En sangre positivo a los 6-8 días después de ovular o sea después de la tercera semana de la FUR. 2. En orina a las 2 semanas después de ovular o sea al mes de la fecha de última regla. 3. (Fracción subunidad Beta de HCG) detecta concentraciones en orina de 50 mUI/cc o superiores y en sangre, de 25mUI/cc o superiores
  • 24.
    Falsos positivo: • Coriocarcinomas. •Deficiencia de inmunoglobulina a. • Anticuerpos heterófilos. • Enterocistoplastias. • Enfermedades trofoblásticas gestacionales (incluso neoplasias). • Tumores de células germinales. • Otros tipos de cáncer (como el cáncer de pulmón). Auxiliares Diagnósticos
  • 25.
    Auxiliares Diagnósticos USG El ultrasonidoobstétrico transvaginal tiene mayor sensibilidad que el abdominal para valorar vitalidad fetal en embarazos menores de 14 semanas.
  • 26.
    Auxiliares Diagnósticos USG Presencia desaco gestacional: 1. Forma redondeada hasta las 7 semanas. 2 .Localizada en el fondo uterino. 3 .Anillo eco génico rodea el saco
  • 27.
    Auxiliares Diagnósticos USG Presencia desaco vitelino 1. Su presencia confirma la existencia de un embrión. 2. Crece a razón de 1mm por semana.
  • 28.
    Auxiliares Diagnósticos USG Visualización delembrión. crece a razón de 1mm por día. Embarazo Anembriónico. • La no visualización de embrión con ultrasonido abdominal cuando hay un saco gestacional con diámetro medio de 25 mm (siete semanas y 2 días) o la ausencia de saco vitelino si tiene 20 mm (seis semanas y 5 días). • La valoración del US por vía transvaginal demostrará la ausencia de embrión con saco gestacional de 18 mm o la ausencia de saco vitelino si el saco gestacional tiene un diámetro de 13 mm. • Se deberá descartar embarazo incipiente como diagnóstico diferencial
  • 30.
    Diagnóstico Diferencial • EmbarazoEctópico y la Enfermedad del Trofoblasto. • Hemorragia uterina disfuncional con período de amenorrea previo. • Lesiones de canal y enfermedad Cervico vaginal. • Várices vulvares.
  • 31.
    Tratamiento Amenaza de Aborto •Descartar que el sangrado provenga de vagina o lesiones en el cérvix. • Reposo relativo. • Evitar relaciones sexuales. • Tratar enfermedad de base (infección vías urinarias, Infección de transmisión sexual y otras enfermedades). • Evaluar vitalidad ovular y/o fetal (prueba de embarazo, ecografía • Si cede el sangrado y el dolor, continuar manejo ambulatorio
  • 32.
    Tratamiento Aborto en curso,aborto inevitable y aborto incompleto • Canalizar con bránula No 16 • SSN 1,000 ml en 6 hrs. La reposición de líquidos se hará en dependencia del sangrado. • Administrar DT. • Exámenes de laboratorio • Suspender la vía oral. ( Solo si es necesario) • AMEU • Profilaxis antibiótica con 100 mg de doxiciclina 1 hora antes del procedimiento y 200 mg después de este.
  • 33.
    AMEU y LUIse deben realizar si el embarazo es menor de 12 semanas por fecha de la última menstruación (FUM) o si el tamaño uterino es menor o igual a un embarazo es de 12 semanas.
  • 34.
    Si la evacuaciónno es posible de inmediato y hay sangrado: Oxitocina, 20 UI en 500 ml de solución salina al 0.9% a 40 gotas por minuto Administrarla tanto para disminuir sangrado y evacuar contenido uterino como para brindar seguridad al momento de aspiración endouterina o legrado. Misoprostol: Dosis única de 600 μg por vía vaginal Importante a recordar que oxitocina o misoprostol, nunca se deben administrar juntos.
  • 35.
    Si el embarazoes mayor de 12 semanas Oxitocina 40 UI en1000 cc .de SSN a 40 gotas por minuto. Expulsión del producto de la concepción Misoprostol: • Embarazo entre 12-17 6/7 semanas: 200 mcg vía vaginal. repitiendo una dosis a las 4 horas si se considera necesario. • Embarazo entre 18 a 26 semanas: 100 mcg vía vaginal repitiendo una dosis a las 4 horas si se considera necesario
  • 36.
    Aborto frustrado • Menorde 12 semanas: AMEU o misoprostol 800 mcg vía vaginal dosis única. • Mayor de 12 semanas: Se maneja igual que el aborto incompleto mayor de 12 semanas.
  • 37.
    Aborto séptico • Ampicilina1 g IV más 500mg de metrodinazol IV. • Cefazolina 1g IV más 500mg de metrodinazol IV. • Ceftriazone 1 g IV mas 500mg de metrodinazol IV. • Clindamicina 600mg IV ó 500mg de metrodinazol mas gentamicina 80mg IV c/8h. • Agregar a cada una de las opciones: Gentamicina 160 mg IV diaria. • Administrar DT según esquema de vacunación.
  • 38.
    La terapia antibióticaintravenosa se deberá mantener por 48 horas desde el último pico febril y continuar por vía oral hasta completar 7 a 10 días. Condiciones para practicar legrado uterino en caso séptico: +Realizarlo después de 8 horas de iniciada la antibioticoterapia. +Paciente estabilizada hemodinámicamente
  • 39.
    COMPLICACIONES • Perforación uterina. •Shock séptico. • Infertilidad. • Lesión vaginal, vesical, uterina o intestinal.
  • 40.
    Ejercicio Nº 1 Femeninade 18 años llega a emergencia con historia de sangrado transvaginal de 3 dias de evolucion, dolor tipo colico que se exacerbo en las ultimas 4 horas . Mantiene vida sexual, desde hace 8 meses, usando como metodo de planificación , la PPMS. Ex Fs S/ V normales. Ginecológico : útero aumentado de tamaño , cuello semi permeable, sangrado , escaso, no fetidez, no aumento de calor. Ultrasonido revela embarazo de 14 SDG con ausencia de vitalidad fetal.
  • 41.
    Ejercicio Nº 1 ProbabilidadDx 1. Amenaza de Aborto. 2. Aborto Frustro. 3. HMR 4. Aborto Septico Manejo terapéutico 1. AMEU 2. Evacuación mas AMEU 3. LUI 4. Inducir la Evacuación ¿ Que otras medidas Terapéuticas se deben de llevar a cabo. ?
  • 42.