METODOLOGÍA DE ANÁLISIS
DE LA INFORMACIÓN
HEREDITARIA
Dra. Adriana Mimbacas
HISTORIA
CRONOLOGIA
CITOGENETICA
 1866: Mendel describe las unidades fundamentales
de la herencia
 1925: se descubre que la actividad del gen está
relacionada con su posición en el cromosoma.
 1953: se propone la estructura en doble hélice del ADN
 1956: Tijo y col.: Nº real de cromosomas = 46
 1959: Lejeune y col. describieron la primera aberración
cromosómica numérica (síndrome de Down)
inclusión en parafina y
cortes con micrótomo,
técnica de aplastado
cultivo celulares "in
vitro".
METODOS DE ESTUDIOS
 esterilidad,
 medios de cultivos apropiados y
sus aditivos,
 dispositivos apropiados para el
cultivo,
 temperatura,
 pH,
 tensión del gas.
Existen múltiples factores que
inciden en la obtención exitosa de
un cultivo:
CULTIVOS IN VITRO Permiten obtener
células en el estadio de metafases
en la división mitótica
Se observan diferentes regiones:
estrechamientos o constricciones.
Primarias
Secundarias
MORFOLOGÍA DE LOS CROMOSOMAS
METAFÁSICOS
HUMANOS: Centrómero localizado
Centrómero difuso: holocéntrico
(ej: insectos, arácnidos primitivos).
CONSTRICCION
PRIMARIA
Estrechamientos constantes
en posición y tamaño.
En ciertos casos están
íntimamente relacionadas al
organizador nucleolar
(evidenciadas por
hibridización "in situ" con
ARN ribosomal)
CONSTRICCIONES SECUNDARIAS:
segmento cromosómico
presente entre el
organizador nucleolar
y el telómero
(grupo D humano).
SATELITES
Caracterizan a una especie.
Se evidencian fundamentalmente
en metafase.
Las más importantes son:
CONSTANTES CROMOSOMICAS
número cromosómico
el complemento somático
diploide (2n) del ser
humano es 46 formado por el
aporte haploide de cada
gameto
(23 cr=n) (n23+n23=2n46).
característico de cada
especie.
Se tiene en cuenta la longitud
relativa con respecto a la
suma de la longitud de un
conjunto cromosómico haploide
tamaño cromosómico
morfología cromosómica
• Presentan 2 brazos cromosómicos
– Brazo corto: p
– Brazo largo: q
• Se clasifican de acuerdo a la
posición del centrómero en:
– Metacéntricos
– Submetacéntricos
– Acrocéntricos
– Telocéntricos (no existen en el
hombre)
CENTROMERO
BRAZO LARGO
BRAZO CORTO
METACENTRICO
CENTROMERO
CENTRAL
CENTROMERO
SUBMETACENTRICO
BRAZOS DESIGUALES
CENTROMERO
ACROCENTRICO
CENTROMERO EN
POSICION SUBTERMINAL
(UN BRAZO MUY CORTO)
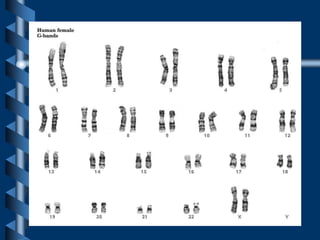
Morfología cromosómica
Es un arreglo sistematizado
de los cromosomas de una
célula la cual es
fotografiada y ordenada de
acuerdo a las normas
establecidas (tamaño, morfología).
Es característico de un
individuo y no cambia.
CARIOTIPO
Bandas transversales claras y oscuras .
Localización fija,
Su nombre se debe a que la tinción se realiza
con Giemsa
Corresponden a:
1) genes de replicación tardía ricas en AT
(oscuras)
2) Genes de replicación temprana ricas en GC
(claras)
BANDEO G:
1
2
3
Es la representación en
forma de diagrama del
cariotipo y su
construcción se realiza
en base a valores
promedios.
IDIOGRAMA:
 métodos salinos,
 enzimáticos (tripsina, pronasa),
 técnicas varias en las que se
incluyen sustancias como urea,
permanganato de potasio).
Los métodos de obtención e
bandas cromosómicas son
variados y pueden agruparse en:
Bandeo G:
• Es el bandeo que
se utiliza en la
nomenclatura de
los cariotipos
NOMENCLATURA
Sigue ciertas normas establecidas por convención
 Número de cromosomas seguidos de una coma
 cromosomas sexuales, seguidos de una coma
 alteraciones encontradas:
 del = delección
 t = translocación
 ins = inserción
 I = isocromosoma
 r = anillo
Seguidos de paréntesis cromosoma
involucrado(s), bandas afectadas
ejemplos
mujer normal: 46, XX
hombre normal 46, XY
mujer con alteración numérica:
45, XX, -8
hombre con alteración
estructural: 46, XY, t(8,14)
mujer con alteración estructural:
46, XX, del(9p12)
El complemento cromosómico puede
experimentar variaciones debido
a:
ALTERACIONES DEL COMPLEMENTO
CROMOSOMICO
•modificaciones en el número de
los cromosomas que lo constituyen:
alteraciones numéricas
•Modificaciones en la estructura
de los cromosomas: alteraciones
estructurales
HETEROPLOIDIA: cualquier alteración en el
número normal del cariotipo
1. HAPLOIDIA: 1 sólo juego crom. (monoploide)
2. POLIPLOIDIA: aumento por duplicación
del complemento
cromosómico entero (poliploide)
3. ANEUPLOIDIA: organismos o células que
tienen uno o más
cromosomas que el número
básico de la especie.
ANOMALIAS NUMERICAS
Aneuploidía
Monosomías: ausencia de un cromosoma del
par de homólogos = 2n - 1 (viable 45 X0)
Trisomías: presencia de más de un
cromosoma en el par de homólogos = 2n +1
(producen abortos aunque existen algunas
que son viables con diferente grado de
sobrevida: tri 21, tri 13, tri 18, 47XXY)
Mosaicos: coexistencia de células normales y
alteradas
Anomalias numéricas
Síndrome de Down 47, XX, + 21
Síndrome de Patau: 47,XX, + 13
Síndrome de Edwards: 47, XY, +18
Síndrome de Turner 45, X0
Mujer tri-X: 47, XXX
Síndrome de Klinefelter: 47, XXY
ANOMALIAS
ESTRUCTURALES
INTRA
CROMOSOMICA
INTER
CROMOSOMICA
NORMALIDAD
REUNION
CORRECTA
SIN PERDIDA
DE MATERIAL
CON PERDIDA
DE MATERIAL
ANOMALIAS
ESTRUCTURALES
REUNION
INCORRECTA
RUPTURA
CROMOSOMICA
ALTERACIONES ESTRUCTURALES
Los cambios de la estructura
cromosómica pueden ser agrupados en
dos grandes categorías:
 cromáticas cuando afectan a una
sola de las cromátidas y
 cromosómicas cuando afectan a
ambas cromátidas en el mismo
punto.
cambios submicroscópicos:
mutación génica o puntual
• cambios microscópicos:
afectan el número y/o el arreglo de los
loci de los genes
pérdida de un segmento
aumento de un segmento
reordenamiento intracromosómico
reordenamiento intercromosómico
DELECION
Cri du Chat: 46, XX, del (5p14)
ISOCROMOSOMAS
MECANISMO NORMAL
INVERSION
fracturas con giro de 180º del fragmento
intersticial.
En el hombre las inversiones más
frecuentes son las que afecta las regiones
heterocromatínicas del 1, 9, 16
pueden no causar alteraciones en el
individuo, pero pueden provocan
alteraciones en la descendencia.
Se clasifican en:
SIMPLES: un sólo segmento invertido y según su relación
al centrómero pueden ser:
- pericéntrica: si el fragmento involucra el
centrómero
- paracéntrica: si no lo involucra
COMPLEJAS:
se invierten
simultáneamente
varios segmentos de
un mismo cromosoma
SI LA INVERSION OCURRE EN LOS
PRECURSORES DE LOS GAMETOS PUEDE
PRODUCIR GENOMAS ANORMALES EN LA
PROGRESION A TRAVES DE LA MEIOSIS.
LA RECOMBINACION ENTRE HOMOLOGOS EN
EL CUAL UNO DE ELLOS TENGA UNA
INVERSION Y EL OTRO NO PUEDE RESULTAR
EN ANOMALIAS CROMOSOMICAS
CROMOSOMA EN ANILLO
DUPLICACION
TRANS. NO BALANCEADA
TRANS. BALANCEADA
Anormalidades Cromosómicas
Amniocentesis en Población General
Rearreglos
Otras Aneuploidías
Otros Mosaicos
Mosaicos X&Y
Trisomía 21
Aneuploidías X & Y
Trisomía 13, 18
18.5
3.3
4.0 2.4
53.9
24.0
22.1
N = 354.341 amniocentesis; 5.802 anormalidades (1.64%)
71.9
Anormalidades Cromosómicas
Población de Edad Materna Avanzada
Rearreglos
Otras aneuploidías
Otros mosaicos
Mosaicos X&Y
Trisomía 21
Aneuploidías X&Y
Trisomía 13, 18
1.9
3.5 1.2
14.8
63.6
17.0
19.4
N=88.800 amniocentesis; 1.833 anormalidades (2.08%)
78.5
Estudios en:
• sangre periférica
• líquido amniótico
• Vellosidades coriales
• Sangre o tejidos neoplásicos
APLICACION DEL ANALISIS
CITOGENETICO
TÉCNICAS PARA
DETECTAR CAMBIOS
SUBMICROSCOPICOS
Técnicas moleculares
Fue originalmente descripta en 1969
utilizando sondas marcadas con 32P
radioactivo (Gall y Pardue, 1969).
HIBRIDIZACION IN SITU
SONDA: fragmento de ADN que es
“marcado “ con métodos radioactivos o
por inmuno-histoquímica
Estas sondas se unen a su ADN
complementario localizado en cromosomas
fijados en un portaobjeto
DEFINICION
• La hibridización "in situ" es una
detección directa de ácidos nucleícos
en el material celular en el cual se
puede realizar a la vez, un análisis
morfológico. (Herrington y McGee, 1994)
APLICACIONES
Rápida identificación de cromosomas
humanos específicos en híbridos celulares
somáticos
Identificación de cromosomas marcadores
en metafases cromosómicas
Mapeo de genes en la investigación del
genoma.
Búsqueda de aberraciones cromosómicas
en estudios de dosimetría de radiación.
Identificación de cambios cromosómicos
 Estas sondas se obtienen de genotecas
de ADN recombinante producidos a
partir de cromosomas específicos
aislados por medio de un clasificador
celular y clonados en vectores (fago
lambda o plásmido pBR)
 Se marcan con fluoroforos
WHOLE CHROMOSOME
PAINTING
Utiliza como sonda fragmentos que
contienen secuencias homólogas de ADN a
lo largo de todo un cromosoma
Deleción del 22q11.23
Sonda Dual Color DiGeorge/VCFS TUPLE 1
Microdeleción Prader-Willi / Angelman
Sonda LSI SNRPN/ CEP 15/ PML
•FISH
detecta la
deleción de
la región
15q11-13.
Traslocación del SRY al Xp
Mezcla de sondas:
LSI SRY
SpectrumOrange –
región delecionada
CEP X SpectrumGreen
– sonda control
DUPLICACION
APLICACIONES
 Rápida identificación de cromosomas humanos
específicos en híbridos celulares somáticos
 Identificación de cromosomas marcadores en
metafases cromosómicas
 Mapeo de genes en la investigación del
genoma.
 Búsqueda de aberraciones cromosómicas en
estudios de dosimetría de radiación.
 Identificación de cambios cromosómicos
GENOMA
DEFINICIÓN
• 1920: set de cromosomas de una célula
haploide de un organismo.
• 1970: suma total de genes. (no se conocía aún
la existencia secuencias no codificantes).
• Hoy: es un sistema estructural, funcional y
evolutivo. (Es mucho más que la suma de sus
partes: regiones codificantes 3% del total y no
codificantes).
Un marcador “genético” es una característica
genética discreta y segregante que caracteriza a
una población por virtud de su presencia,
ausencia, alta o baja frecuencia (Crawford, 1973).
Marcador genético: corresponde a un lugar
específico en el genoma con segregación
demostrable y de confiable determinación que
presenta variación (polimorfismo) en las
poblaciones.
ASPECTOS CITOGENTICOS Y
MOLECULARES DE TUMORES
Las diferencias cruciales entre
células normales y células
cancerosas se encuentran en los
cambios discretos que se producen
en genes específicos que controlan
la proliferación y homeostasis
tisular
Esos genes cuando son activados
conducen a una proliferación
celular desregulada.
Existen tres tipos de cambios que
ocurren cuando una célula
comienza la tumorogénesis
• Inmortalización: crecimiento
indefinido
• Transformación: describe los
fallos que se observan en el
crecimiento normal
• Metástasis: capacidad de las
Existen dos clases de genes en
los cuales las mutaciones pueden
inducir la transformación
• ONCOGENES
• GENES SUPRESORES DE
TUMOR
ONCOGENES
• Inicialmente identificados como
genes portados por virus que
causan transformación en las
células blanco
• La mayoría de los oncogenes
virales tiene su contrapartida
celular involucrada en
funciones normales de la célula
(protoncogenes)
Son genes dominantes, (protooncogenes) que en
el genoma normal, codifican proteínas, las
cuales funcionan como:
• factores de crecimiento,
• receptores de factores de crecimiento,
• señales de traducción de proteínas
• proteínas nucleares involucradas en regulación
transcripcional.
La generación de un oncogen representa una
ganancia de función en la cual un protooncogen
celular está inapropiadamente activado.
Esto puede involucrar:
• un cambio mutacional en la proteína,
• o activación constitutiva,
• sobre-expresión
• o falla en el apagado de la expresión en el tiempo
adecuado.
La activación de oncogenes, actuando en forma
dominante, es un paso importante en la cascada
de eventos que finalmente conducen al
desarrollo de un cáncer invasivo
La transformación puede ocurrir:
•espontáneamente
•o puede ser causada por la infección de ciertos
virus tumorales.
VIRUS ONCOGENICOS
• la región temprana del virus utiliza
splicing alternativos para sintetizar
proteínas (T-antígenos) que son
requeridos para la expresión de la
región tardía y para la replicación del
ADN viral.
• Se integran al genoma de la célula
huésped produciendo transformación
• Los virus humanos equivalentes al SV40
y al polioma son los virus BK y JC. El BK
puede transformar células en cultivo
pero no se ha asociado a ningún cáncer
humano en concreto.
Poliomas (ADN)
• Provoca tumores epiteliales
generalmente benignos pero
también se asocian a cánceres
cervicales (E6, E7)
• Las proteínas producidas
inmortalizan las células blanco
Papiloma (ADN) HPV,
• Comprende un gran grupo de virus
relacionados
• En humanos generalmente se
asocia a enfermedades
respiratorias
• Las células transformadas ganan
una parte de la región temprana
del virus que contienen los gene
E1A y E1B que codifican para
proteínas nucleares.
• Ej: Epstein bar virus: carcinomas
Adenovirus (ADN)
Retrovirus (ARN)
 La transformación mediante
retrovirus es más complejo que la de
los virus a ADN
 Su ciclo de vida básico no incluye
proteínas con actividad
transformante.
ELEMENTOS
GENETICOS DEL
PROVIRUS Y DE LOS
PRODUCTOS
GENICOS DEL VIRUS
ESQUEMA DEL CICLO DE VIDA DE UN RETROVIRUS
Ciclo de vida
• 2 moléculas de ARN unidas por
enlaces no covalentes
• Cada molécula tiene un ARNt
unido
• Cada virión contiene alrededor de
50 moléculas de transcriptasa
inversa
• En el citoplasma la transcripción
inversa utiliza el ARNt como
cebador para iniciar la síntesis de
ADN
MECANISMO DE
TRANSCRIPCION INVERSA
• Después de la
transformación, el
transcripto inverso migra
hacia el núcleo donde se
circulariza y se integra al
genoma del huésped
INTEGRACIÓN
DE UNA
MOLÉCULA DE
ADN
CIRCULAR
DEL
RETROVIRUS
• El ADN integrado (provírico)
se convierte en el molde
para la síntesis de ARN
• Las secuencias de promotor
e intensificador y las
señales de poliadenilación
están en el LTR
• Ambas LTR poseen
secuencias idénticas pero la
5’ promueve la transcripción
y la 3’especifica el sitio del
poli(A)
• 1a evidencia de virus transductores:
virus de sarcoma de Rous contiene
secuencias de nucleótidos que no se
encuentran en retrovirus muy
relacionados pero no transformantes
(secuencia src)
• Esta secuencia fue encontrada luego
en los vertebrados en el ADN normal
• Un gen que es capaz de producir
transformación celular puede surgir
de un gen celular
• Por lo tanto la inducción del cáncer
puede implicar la acción de genes
normales
• Los oncogenes se denominan
con letras cursivas scr
• El gen en un retrovirus se indica
con el prefijo v (v-scr)
• El equivalente en el gen celular
normal o proto-oncogen se
indica con el prefijo c (c-scr)
• Los retrovirus transductores surgen
como resultado de reordenamientos
complejos después de la integración
del retrovirus cerca de un
protoncogen celular
• La actividad transformante es
proporcionada por la información
genética celular adquirida, los
elementos genéticos que permiten
que los oncogenes se expresen y se
transfieran de cél en cél se hereda
del retrovirus madre
¿Cómo un protooncogen se
convierte en oncogen?
• Cuando un gen celular normal se
convierte en un oncogen de un
retrovirus se altera
significativamente
• Existen 3 tipos de alteraciones
las que pueden afectar a la
región de codificación del gen o
la expresión del mismo
• 1) un oncogen de un retrovirus es
transcripto en cantidades más
elevadas y en una gama diferente de
células que su protooncogen normal
• 2) pérdida de parte de los genes
celulares; la eliminación de
segmentos podría desrregluar la
actividad de una proteína que,
expresada a altos niveles
transformaría células
• 3) mutaciones puntuales deferencian
protooncogenes celulares de
oncogenes
CONSECUENCIAS DE LAS
ALTERACIONES
• A) Cambio cuantitativo a nivel
de la proteína codificada
• B) Cambio cualitativo de la
proteína en si misma
RETROVIRUS HUMANOS
• VIRUS DE INMUNODEFICIENCIA
ADQUIRIDA (VIH): destruyen los
linfocitos T
• HEPATITIS C
• VIRUS DE LA LEUCEMIA DE LAS
CELULAS T HUMANAS
(HTLV):su infección se asocia a
un tumor linfocítico-T
Los eventos tumorogénicos
pueden ser también causados
por:
• Mutaciones
• Translocaciones
• Amplificación
Todas involucran un proto-oncogen
MUTACIONES: ej. c-ras
• Variantes oncogénicas de c-ras
son encontradas en varios
tumores primarios.
• Los protoncogenes c-ras se
transforman en oncogénicos por
una única mutación,
• las mutaciones observadas en
varios tumores humanos es
causado por una sustitución de un
aa, (posición 12 o 61) en una de
las proteínas Ras
• Si se sustituye “in vitro” la glicina
de la posición 12 por otro aa
excepto prolina, el gen c-ras
mutado transforma las células
cultivadas (los diferentes aa
cambian la capacidad
transformante)
• En la posición 61 (ocupada por
glutamina) crea un gen con
actividad transformante (ác.
glutámico y prolina no afectan)
EXPERIMENTOS “IN VITRO”
• La proteína Ras es una unión
monomérica del nucleótido guanina
que se activa cuando se une a GTP
y es inactiva cuando se une al GDP.
COMO FUNCIONA?
RAS GTP FORMAACTIVA
RAS GDP FORMA INACTIVA
• Proteína GAP estimula la capacidad
de Ras para hidrolizar GTP,
convirtiendo a Ras de activa a
inactiva.
RAS GTP
GAP
HIDROLISA
RAS GDP SE INACTIVA RAS
• Proteínas GNRF estimulan el
reemplazo de GDP por GTP,
reactivando a la proteína
RAS GDP
GNRF
RAS GTP SE ACTIVA RAS
• Una activación constitutiva de
Ras puede ser causada por una
mutación lo que hace que Ras
sea refractario a la interacción
con GAP.
• La incapacidad de hidrolizar
GTP causa que Ras permanezca
en una forma activada
permanentemente
TRANSLOCACIONES
• La ubicación en un nuevo
cromosoma puede activar un
oncogen
• Se descubrió mediante la
conección entre los loci que
codifican Ig y la ocurrencia de
ciertos tumores (desde linfocitos
B no diferenciados).
• En el hombre, la translocación en
los tumores de células B involucra
al crom. 8 (portador de c-myc) y el
cr. 14 (portador del locus IgH)
(10%) o crom. 2 (locus kappa) o
crom 22 (locus lambda).
• En los tumores a células T
involucra al 8 y al 14 (locus TcR a)
• Cuando el c-myc está translocado
con el locus Ig, el nivel de expresión
está aumentado
• Por qué se activa?
A) se altere la estructura de c-myc
B) en la nueva posición hay
genes muy activos
• La sobreexpresión de c-myc apagaría
el proceso de diferenciación de los
linfocitos
• En algunos casos la
translocación genera un gen
híbrido en el cual la unidad de
transcripción activa cambia: los
exones de un gen se conectan
con los de otro gen.
• Ejemplo: cromosoma filadelfia
(Ph1) presente en pacientes con
leucemia mieloide crónica
(LMC)
AMPLIFICACIONES
• Secuencias endógenas pueden ser
producidas por amplificación de una
secuencia existente. (Generalmente son
rearreglos en tandem)
• Un gen contenido dentro de los repetidos
en tandem no necesariamente es
expresado por todas las copias pero su
expresión tiende a aumentar con el
número de copias.
• Son provocados por resistencia a ciertos
agentes
• Ej: c-myc, c-abl, c-myb, c-erbB, c-k-ras,
mdm2
• Estos tandem pueden existir en
en dos formas dentro de la
célula.
• UNIDAD EXTRACROMOSOMICA
se hereda en forma irregular
• UNIDAD INTEGRADA AL
GENOMA
• En las líneas estables las
amplificaciones pueden ser vistas a
nivel cromosómico en forma de
regiones de tinción homogénea
(HSR= homogeneously staining
region)
En líneas inestables los elementos
adicionales también pueden ser
observados y se comprueba
mediante tinción con Hoechst
Doble
diminutos
GENES SUPRESORES
• La pérdida o inactivación de ciertos genes pueden
también ser importantes pasos en el camino que
conduce a cánceres invasivos.
• Su función normal es suprimir la proliferación celular,
funcionan como barreras fisiológicas en contra de la
expansión clonal.
• Son "genes recesivos" : deben ocurrir mutaciones o
deleciones en ambos alelos antes de que la
transformación celular ocurra.
La pérdida de la función de los genes
supresores puede ocurrir por el daño
provocado al genoma a través de
RETINOBLASTOMA
• Es un enfermedad infantil que
involucra un tumor de retina
• Puede ocurrir con una forma
heredable o en forma
esporádica
• Está asociado con delecciones
en la banda q14 del cromosoma
13 (13q14)
La pérdida de RB está involucrada en
otras formas de cáncer
• Ej: osteosarcomas y cáncer pulmonar a
células pequeñas
• RB es una fosfoproteína nuclear que
tiene influencia en el ciclo celular
• Durante G0/G1 del ciclo celular RB no
está fosforilado.
• Durante el ciclo RB es fosforilado por el
complejo cdk/ciclina (final de G1)
• Se desfosforila durante la mitosis
• La forma no-fosforilada de RB
específicamente se une a varias
proteínas (ocurre sólo durante parte del
ciclo: fase S)
• La fosforilación suelta las proteínas las
cuales están accesibles nuevamente
• Estas proteínas incluyen el grupo E2F de
los factores de transcripción, los cuales
activan genes blanco cuyos productos
son esenciales para la fase S
• Su unión con RB inhibe la
capacidad de E2F de activar la
transcripción:
• RB indirectamente evita la entrada
en fase S
• El complejo RB-E2Fdirectamente
reprime algunos genes blanco, su
discociación permite que ello se
expresen.
• Ciertos antigenos tumorales virales
se unen especificamente a la forma
no fosforilada de RB
Antioncogen p53
• Múltiples cánceres humanos
muestran ausencia de la proteína
p53 o mutaciones en el gen
• Mapea en el brazo corto del
cromosoma 17 (17p13).
• La proteína p53 codificada por este
gen es una fosfoproteína nuclear de
53 kd
 el control del ciclo celular,
 la reparación y síntesis del ADN,
 la diferenciación celular
 la muerte celular programada
Ha sido relacionada con:
• la proteína p53 normal regula la
transcripción a través de uniones
secuencia-específicas con el ADN
mientras que mutaciones en el gen
anulan esta actividad de activación
en trans resultando una
proliferación celular no controlada
• la proteína p53 induciría la transcripción
de diferentes genes que presenten una
secuencia de ADN específica en la región
reguladora corriente arriba ("upstream").
Ejemplos:
 Onc. mdm-2 (murine double minute),
 gen creatin-kinasa del músculo y el
GADD45 (growth arrest DNA damage
inducible)
 gen bcl-2
El efecto de la proteína p53 sobre la
transcripción de un gen puede estar
influenciado por :
• modificaciones en el gen en si
mismo,
• modificaciones post-
transcripcionales (como
fosforilación)
• interacciones con otras proteínas
tanto celulares como virales
• Normalmente, cuando existe un
daño en el ADN se activa el p53
• Dependiendo del estadio en que se
produzca el daño existen 2 caminos
• 1) temprano: activa la maquinaria
que previene la futura propagación
del daño hasta que éste es reparado
• 2) tarde: p53 dispara los
mecanismos de apoptosis
irradiación
Interacción de genes
supresores de tumor en
el ciclo celular
Ciclina A,B
Cdc2 G0
Cd4,6
Ciclina D
p16
p53
p27
p21
cdk2
ciclinaE
CITOGENETICA
origen clonal
• por lo menos dos células
contienen la misma aberración
cromosómica
• se utiliza para la
nomenclatura el cariotipo
compuesto "composite
karyotype" (ISCN).
Ejemplo:
58-68,XX(p+)Y,-1x3,i(1p),
i(1q),+2,-3,del(3)(q21),-4,+5,
del(5)(q31),-8,-9,del(9)(q22),
-11,del(11)(q14),-12,-13,
-14x2,-15,-17x2,
ins(17;3)(p13;q21q29),
i(17q)x2,-19,
-21,-22x2,m2 [cp12].
2) CITOGENETICA2009.ppt

2) CITOGENETICA2009.ppt

  • 1.
    METODOLOGÍA DE ANÁLISIS DELA INFORMACIÓN HEREDITARIA Dra. Adriana Mimbacas
  • 2.
  • 3.
     1866: Mendeldescribe las unidades fundamentales de la herencia  1925: se descubre que la actividad del gen está relacionada con su posición en el cromosoma.  1953: se propone la estructura en doble hélice del ADN  1956: Tijo y col.: Nº real de cromosomas = 46  1959: Lejeune y col. describieron la primera aberración cromosómica numérica (síndrome de Down)
  • 4.
    inclusión en parafinay cortes con micrótomo, técnica de aplastado cultivo celulares "in vitro". METODOS DE ESTUDIOS
  • 5.
     esterilidad,  mediosde cultivos apropiados y sus aditivos,  dispositivos apropiados para el cultivo,  temperatura,  pH,  tensión del gas. Existen múltiples factores que inciden en la obtención exitosa de un cultivo:
  • 6.
    CULTIVOS IN VITROPermiten obtener células en el estadio de metafases en la división mitótica
  • 7.
    Se observan diferentesregiones: estrechamientos o constricciones. Primarias Secundarias MORFOLOGÍA DE LOS CROMOSOMAS METAFÁSICOS
  • 8.
    HUMANOS: Centrómero localizado Centrómerodifuso: holocéntrico (ej: insectos, arácnidos primitivos). CONSTRICCION PRIMARIA
  • 9.
    Estrechamientos constantes en posicióny tamaño. En ciertos casos están íntimamente relacionadas al organizador nucleolar (evidenciadas por hibridización "in situ" con ARN ribosomal) CONSTRICCIONES SECUNDARIAS:
  • 10.
    segmento cromosómico presente entreel organizador nucleolar y el telómero (grupo D humano). SATELITES
  • 11.
    Caracterizan a unaespecie. Se evidencian fundamentalmente en metafase. Las más importantes son: CONSTANTES CROMOSOMICAS
  • 12.
    número cromosómico el complementosomático diploide (2n) del ser humano es 46 formado por el aporte haploide de cada gameto (23 cr=n) (n23+n23=2n46).
  • 13.
    característico de cada especie. Setiene en cuenta la longitud relativa con respecto a la suma de la longitud de un conjunto cromosómico haploide tamaño cromosómico
  • 14.
    morfología cromosómica • Presentan2 brazos cromosómicos – Brazo corto: p – Brazo largo: q • Se clasifican de acuerdo a la posición del centrómero en: – Metacéntricos – Submetacéntricos – Acrocéntricos – Telocéntricos (no existen en el hombre)
  • 16.
    CENTROMERO BRAZO LARGO BRAZO CORTO METACENTRICO CENTROMERO CENTRAL CENTROMERO SUBMETACENTRICO BRAZOSDESIGUALES CENTROMERO ACROCENTRICO CENTROMERO EN POSICION SUBTERMINAL (UN BRAZO MUY CORTO) Morfología cromosómica
  • 18.
    Es un arreglosistematizado de los cromosomas de una célula la cual es fotografiada y ordenada de acuerdo a las normas establecidas (tamaño, morfología). Es característico de un individuo y no cambia. CARIOTIPO
  • 20.
    Bandas transversales clarasy oscuras . Localización fija, Su nombre se debe a que la tinción se realiza con Giemsa Corresponden a: 1) genes de replicación tardía ricas en AT (oscuras) 2) Genes de replicación temprana ricas en GC (claras) BANDEO G:
  • 24.
  • 27.
    Es la representaciónen forma de diagrama del cariotipo y su construcción se realiza en base a valores promedios. IDIOGRAMA:
  • 29.
     métodos salinos, enzimáticos (tripsina, pronasa),  técnicas varias en las que se incluyen sustancias como urea, permanganato de potasio). Los métodos de obtención e bandas cromosómicas son variados y pueden agruparse en:
  • 30.
    Bandeo G: • Esel bandeo que se utiliza en la nomenclatura de los cariotipos
  • 32.
    NOMENCLATURA Sigue ciertas normasestablecidas por convención  Número de cromosomas seguidos de una coma  cromosomas sexuales, seguidos de una coma  alteraciones encontradas:  del = delección  t = translocación  ins = inserción  I = isocromosoma  r = anillo Seguidos de paréntesis cromosoma involucrado(s), bandas afectadas
  • 33.
    ejemplos mujer normal: 46,XX hombre normal 46, XY mujer con alteración numérica: 45, XX, -8 hombre con alteración estructural: 46, XY, t(8,14) mujer con alteración estructural: 46, XX, del(9p12)
  • 34.
    El complemento cromosómicopuede experimentar variaciones debido a: ALTERACIONES DEL COMPLEMENTO CROMOSOMICO •modificaciones en el número de los cromosomas que lo constituyen: alteraciones numéricas •Modificaciones en la estructura de los cromosomas: alteraciones estructurales
  • 35.
    HETEROPLOIDIA: cualquier alteraciónen el número normal del cariotipo 1. HAPLOIDIA: 1 sólo juego crom. (monoploide) 2. POLIPLOIDIA: aumento por duplicación del complemento cromosómico entero (poliploide) 3. ANEUPLOIDIA: organismos o células que tienen uno o más cromosomas que el número básico de la especie. ANOMALIAS NUMERICAS
  • 36.
    Aneuploidía Monosomías: ausencia deun cromosoma del par de homólogos = 2n - 1 (viable 45 X0) Trisomías: presencia de más de un cromosoma en el par de homólogos = 2n +1 (producen abortos aunque existen algunas que son viables con diferente grado de sobrevida: tri 21, tri 13, tri 18, 47XXY) Mosaicos: coexistencia de células normales y alteradas
  • 37.
  • 38.
    Síndrome de Down47, XX, + 21
  • 39.
  • 40.
  • 41.
  • 42.
  • 43.
  • 45.
  • 46.
    INTRA CROMOSOMICA INTER CROMOSOMICA NORMALIDAD REUNION CORRECTA SIN PERDIDA DE MATERIAL CONPERDIDA DE MATERIAL ANOMALIAS ESTRUCTURALES REUNION INCORRECTA RUPTURA CROMOSOMICA
  • 47.
    ALTERACIONES ESTRUCTURALES Los cambiosde la estructura cromosómica pueden ser agrupados en dos grandes categorías:  cromáticas cuando afectan a una sola de las cromátidas y  cromosómicas cuando afectan a ambas cromátidas en el mismo punto.
  • 48.
    cambios submicroscópicos: mutación génicao puntual • cambios microscópicos: afectan el número y/o el arreglo de los loci de los genes pérdida de un segmento aumento de un segmento reordenamiento intracromosómico reordenamiento intercromosómico
  • 52.
  • 53.
    Cri du Chat:46, XX, del (5p14)
  • 54.
  • 55.
    INVERSION fracturas con girode 180º del fragmento intersticial. En el hombre las inversiones más frecuentes son las que afecta las regiones heterocromatínicas del 1, 9, 16 pueden no causar alteraciones en el individuo, pero pueden provocan alteraciones en la descendencia.
  • 56.
    Se clasifican en: SIMPLES:un sólo segmento invertido y según su relación al centrómero pueden ser: - pericéntrica: si el fragmento involucra el centrómero - paracéntrica: si no lo involucra
  • 57.
  • 58.
    SI LA INVERSIONOCURRE EN LOS PRECURSORES DE LOS GAMETOS PUEDE PRODUCIR GENOMAS ANORMALES EN LA PROGRESION A TRAVES DE LA MEIOSIS. LA RECOMBINACION ENTRE HOMOLOGOS EN EL CUAL UNO DE ELLOS TENGA UNA INVERSION Y EL OTRO NO PUEDE RESULTAR EN ANOMALIAS CROMOSOMICAS
  • 60.
  • 61.
  • 62.
  • 63.
  • 65.
    Anormalidades Cromosómicas Amniocentesis enPoblación General Rearreglos Otras Aneuploidías Otros Mosaicos Mosaicos X&Y Trisomía 21 Aneuploidías X & Y Trisomía 13, 18 18.5 3.3 4.0 2.4 53.9 24.0 22.1 N = 354.341 amniocentesis; 5.802 anormalidades (1.64%) 71.9
  • 66.
    Anormalidades Cromosómicas Población deEdad Materna Avanzada Rearreglos Otras aneuploidías Otros mosaicos Mosaicos X&Y Trisomía 21 Aneuploidías X&Y Trisomía 13, 18 1.9 3.5 1.2 14.8 63.6 17.0 19.4 N=88.800 amniocentesis; 1.833 anormalidades (2.08%) 78.5
  • 67.
    Estudios en: • sangreperiférica • líquido amniótico • Vellosidades coriales • Sangre o tejidos neoplásicos APLICACION DEL ANALISIS CITOGENETICO
  • 68.
  • 69.
    Fue originalmente descriptaen 1969 utilizando sondas marcadas con 32P radioactivo (Gall y Pardue, 1969). HIBRIDIZACION IN SITU
  • 70.
    SONDA: fragmento deADN que es “marcado “ con métodos radioactivos o por inmuno-histoquímica Estas sondas se unen a su ADN complementario localizado en cromosomas fijados en un portaobjeto
  • 71.
    DEFINICION • La hibridización"in situ" es una detección directa de ácidos nucleícos en el material celular en el cual se puede realizar a la vez, un análisis morfológico. (Herrington y McGee, 1994)
  • 72.
    APLICACIONES Rápida identificación decromosomas humanos específicos en híbridos celulares somáticos Identificación de cromosomas marcadores en metafases cromosómicas Mapeo de genes en la investigación del genoma.
  • 73.
    Búsqueda de aberracionescromosómicas en estudios de dosimetría de radiación. Identificación de cambios cromosómicos
  • 74.
     Estas sondasse obtienen de genotecas de ADN recombinante producidos a partir de cromosomas específicos aislados por medio de un clasificador celular y clonados en vectores (fago lambda o plásmido pBR)  Se marcan con fluoroforos
  • 75.
    WHOLE CHROMOSOME PAINTING Utiliza comosonda fragmentos que contienen secuencias homólogas de ADN a lo largo de todo un cromosoma
  • 77.
    Deleción del 22q11.23 SondaDual Color DiGeorge/VCFS TUPLE 1
  • 78.
    Microdeleción Prader-Willi /Angelman Sonda LSI SNRPN/ CEP 15/ PML •FISH detecta la deleción de la región 15q11-13.
  • 79.
    Traslocación del SRYal Xp Mezcla de sondas: LSI SRY SpectrumOrange – región delecionada CEP X SpectrumGreen – sonda control
  • 80.
  • 82.
    APLICACIONES  Rápida identificaciónde cromosomas humanos específicos en híbridos celulares somáticos  Identificación de cromosomas marcadores en metafases cromosómicas  Mapeo de genes en la investigación del genoma.  Búsqueda de aberraciones cromosómicas en estudios de dosimetría de radiación.  Identificación de cambios cromosómicos
  • 84.
    GENOMA DEFINICIÓN • 1920: setde cromosomas de una célula haploide de un organismo. • 1970: suma total de genes. (no se conocía aún la existencia secuencias no codificantes). • Hoy: es un sistema estructural, funcional y evolutivo. (Es mucho más que la suma de sus partes: regiones codificantes 3% del total y no codificantes).
  • 85.
    Un marcador “genético”es una característica genética discreta y segregante que caracteriza a una población por virtud de su presencia, ausencia, alta o baja frecuencia (Crawford, 1973). Marcador genético: corresponde a un lugar específico en el genoma con segregación demostrable y de confiable determinación que presenta variación (polimorfismo) en las poblaciones.
  • 86.
  • 87.
    Las diferencias crucialesentre células normales y células cancerosas se encuentran en los cambios discretos que se producen en genes específicos que controlan la proliferación y homeostasis tisular Esos genes cuando son activados conducen a una proliferación celular desregulada.
  • 88.
    Existen tres tiposde cambios que ocurren cuando una célula comienza la tumorogénesis • Inmortalización: crecimiento indefinido • Transformación: describe los fallos que se observan en el crecimiento normal • Metástasis: capacidad de las
  • 89.
    Existen dos clasesde genes en los cuales las mutaciones pueden inducir la transformación • ONCOGENES • GENES SUPRESORES DE TUMOR
  • 90.
    ONCOGENES • Inicialmente identificadoscomo genes portados por virus que causan transformación en las células blanco • La mayoría de los oncogenes virales tiene su contrapartida celular involucrada en funciones normales de la célula (protoncogenes)
  • 91.
    Son genes dominantes,(protooncogenes) que en el genoma normal, codifican proteínas, las cuales funcionan como: • factores de crecimiento, • receptores de factores de crecimiento, • señales de traducción de proteínas • proteínas nucleares involucradas en regulación transcripcional.
  • 92.
    La generación deun oncogen representa una ganancia de función en la cual un protooncogen celular está inapropiadamente activado. Esto puede involucrar: • un cambio mutacional en la proteína, • o activación constitutiva, • sobre-expresión • o falla en el apagado de la expresión en el tiempo adecuado.
  • 94.
    La activación deoncogenes, actuando en forma dominante, es un paso importante en la cascada de eventos que finalmente conducen al desarrollo de un cáncer invasivo La transformación puede ocurrir: •espontáneamente •o puede ser causada por la infección de ciertos virus tumorales.
  • 95.
  • 96.
    • la regióntemprana del virus utiliza splicing alternativos para sintetizar proteínas (T-antígenos) que son requeridos para la expresión de la región tardía y para la replicación del ADN viral. • Se integran al genoma de la célula huésped produciendo transformación • Los virus humanos equivalentes al SV40 y al polioma son los virus BK y JC. El BK puede transformar células en cultivo pero no se ha asociado a ningún cáncer humano en concreto. Poliomas (ADN)
  • 98.
    • Provoca tumoresepiteliales generalmente benignos pero también se asocian a cánceres cervicales (E6, E7) • Las proteínas producidas inmortalizan las células blanco Papiloma (ADN) HPV,
  • 99.
    • Comprende ungran grupo de virus relacionados • En humanos generalmente se asocia a enfermedades respiratorias • Las células transformadas ganan una parte de la región temprana del virus que contienen los gene E1A y E1B que codifican para proteínas nucleares. • Ej: Epstein bar virus: carcinomas Adenovirus (ADN)
  • 100.
    Retrovirus (ARN)  Latransformación mediante retrovirus es más complejo que la de los virus a ADN  Su ciclo de vida básico no incluye proteínas con actividad transformante.
  • 101.
    ELEMENTOS GENETICOS DEL PROVIRUS YDE LOS PRODUCTOS GENICOS DEL VIRUS
  • 102.
    ESQUEMA DEL CICLODE VIDA DE UN RETROVIRUS
  • 103.
    Ciclo de vida •2 moléculas de ARN unidas por enlaces no covalentes • Cada molécula tiene un ARNt unido • Cada virión contiene alrededor de 50 moléculas de transcriptasa inversa • En el citoplasma la transcripción inversa utiliza el ARNt como cebador para iniciar la síntesis de ADN
  • 104.
  • 106.
    • Después dela transformación, el transcripto inverso migra hacia el núcleo donde se circulariza y se integra al genoma del huésped
  • 107.
  • 108.
    • El ADNintegrado (provírico) se convierte en el molde para la síntesis de ARN • Las secuencias de promotor e intensificador y las señales de poliadenilación están en el LTR • Ambas LTR poseen secuencias idénticas pero la 5’ promueve la transcripción y la 3’especifica el sitio del poli(A)
  • 109.
    • 1a evidenciade virus transductores: virus de sarcoma de Rous contiene secuencias de nucleótidos que no se encuentran en retrovirus muy relacionados pero no transformantes (secuencia src) • Esta secuencia fue encontrada luego en los vertebrados en el ADN normal • Un gen que es capaz de producir transformación celular puede surgir de un gen celular • Por lo tanto la inducción del cáncer puede implicar la acción de genes normales
  • 110.
    • Los oncogenesse denominan con letras cursivas scr • El gen en un retrovirus se indica con el prefijo v (v-scr) • El equivalente en el gen celular normal o proto-oncogen se indica con el prefijo c (c-scr)
  • 111.
    • Los retrovirustransductores surgen como resultado de reordenamientos complejos después de la integración del retrovirus cerca de un protoncogen celular • La actividad transformante es proporcionada por la información genética celular adquirida, los elementos genéticos que permiten que los oncogenes se expresen y se transfieran de cél en cél se hereda del retrovirus madre
  • 112.
    ¿Cómo un protooncogense convierte en oncogen? • Cuando un gen celular normal se convierte en un oncogen de un retrovirus se altera significativamente • Existen 3 tipos de alteraciones las que pueden afectar a la región de codificación del gen o la expresión del mismo
  • 113.
    • 1) unoncogen de un retrovirus es transcripto en cantidades más elevadas y en una gama diferente de células que su protooncogen normal • 2) pérdida de parte de los genes celulares; la eliminación de segmentos podría desrregluar la actividad de una proteína que, expresada a altos niveles transformaría células • 3) mutaciones puntuales deferencian protooncogenes celulares de oncogenes
  • 114.
    CONSECUENCIAS DE LAS ALTERACIONES •A) Cambio cuantitativo a nivel de la proteína codificada • B) Cambio cualitativo de la proteína en si misma
  • 115.
    RETROVIRUS HUMANOS • VIRUSDE INMUNODEFICIENCIA ADQUIRIDA (VIH): destruyen los linfocitos T • HEPATITIS C • VIRUS DE LA LEUCEMIA DE LAS CELULAS T HUMANAS (HTLV):su infección se asocia a un tumor linfocítico-T
  • 116.
    Los eventos tumorogénicos puedenser también causados por: • Mutaciones • Translocaciones • Amplificación Todas involucran un proto-oncogen
  • 117.
    MUTACIONES: ej. c-ras •Variantes oncogénicas de c-ras son encontradas en varios tumores primarios. • Los protoncogenes c-ras se transforman en oncogénicos por una única mutación, • las mutaciones observadas en varios tumores humanos es causado por una sustitución de un aa, (posición 12 o 61) en una de las proteínas Ras
  • 118.
    • Si sesustituye “in vitro” la glicina de la posición 12 por otro aa excepto prolina, el gen c-ras mutado transforma las células cultivadas (los diferentes aa cambian la capacidad transformante) • En la posición 61 (ocupada por glutamina) crea un gen con actividad transformante (ác. glutámico y prolina no afectan) EXPERIMENTOS “IN VITRO”
  • 119.
    • La proteínaRas es una unión monomérica del nucleótido guanina que se activa cuando se une a GTP y es inactiva cuando se une al GDP. COMO FUNCIONA? RAS GTP FORMAACTIVA RAS GDP FORMA INACTIVA
  • 120.
    • Proteína GAPestimula la capacidad de Ras para hidrolizar GTP, convirtiendo a Ras de activa a inactiva. RAS GTP GAP HIDROLISA RAS GDP SE INACTIVA RAS
  • 121.
    • Proteínas GNRFestimulan el reemplazo de GDP por GTP, reactivando a la proteína RAS GDP GNRF RAS GTP SE ACTIVA RAS
  • 122.
    • Una activaciónconstitutiva de Ras puede ser causada por una mutación lo que hace que Ras sea refractario a la interacción con GAP. • La incapacidad de hidrolizar GTP causa que Ras permanezca en una forma activada permanentemente
  • 124.
    TRANSLOCACIONES • La ubicaciónen un nuevo cromosoma puede activar un oncogen • Se descubrió mediante la conección entre los loci que codifican Ig y la ocurrencia de ciertos tumores (desde linfocitos B no diferenciados).
  • 125.
    • En elhombre, la translocación en los tumores de células B involucra al crom. 8 (portador de c-myc) y el cr. 14 (portador del locus IgH) (10%) o crom. 2 (locus kappa) o crom 22 (locus lambda). • En los tumores a células T involucra al 8 y al 14 (locus TcR a)
  • 127.
    • Cuando elc-myc está translocado con el locus Ig, el nivel de expresión está aumentado • Por qué se activa? A) se altere la estructura de c-myc B) en la nueva posición hay genes muy activos • La sobreexpresión de c-myc apagaría el proceso de diferenciación de los linfocitos
  • 128.
    • En algunoscasos la translocación genera un gen híbrido en el cual la unidad de transcripción activa cambia: los exones de un gen se conectan con los de otro gen. • Ejemplo: cromosoma filadelfia (Ph1) presente en pacientes con leucemia mieloide crónica (LMC)
  • 130.
    AMPLIFICACIONES • Secuencias endógenaspueden ser producidas por amplificación de una secuencia existente. (Generalmente son rearreglos en tandem) • Un gen contenido dentro de los repetidos en tandem no necesariamente es expresado por todas las copias pero su expresión tiende a aumentar con el número de copias. • Son provocados por resistencia a ciertos agentes • Ej: c-myc, c-abl, c-myb, c-erbB, c-k-ras, mdm2
  • 131.
    • Estos tandempueden existir en en dos formas dentro de la célula. • UNIDAD EXTRACROMOSOMICA se hereda en forma irregular • UNIDAD INTEGRADA AL GENOMA
  • 133.
    • En laslíneas estables las amplificaciones pueden ser vistas a nivel cromosómico en forma de regiones de tinción homogénea (HSR= homogeneously staining region) En líneas inestables los elementos adicionales también pueden ser observados y se comprueba mediante tinción con Hoechst
  • 135.
  • 136.
  • 137.
    • La pérdidao inactivación de ciertos genes pueden también ser importantes pasos en el camino que conduce a cánceres invasivos. • Su función normal es suprimir la proliferación celular, funcionan como barreras fisiológicas en contra de la expansión clonal. • Son "genes recesivos" : deben ocurrir mutaciones o deleciones en ambos alelos antes de que la transformación celular ocurra.
  • 138.
    La pérdida dela función de los genes supresores puede ocurrir por el daño provocado al genoma a través de
  • 140.
    RETINOBLASTOMA • Es unenfermedad infantil que involucra un tumor de retina • Puede ocurrir con una forma heredable o en forma esporádica • Está asociado con delecciones en la banda q14 del cromosoma 13 (13q14)
  • 142.
    La pérdida deRB está involucrada en otras formas de cáncer • Ej: osteosarcomas y cáncer pulmonar a células pequeñas • RB es una fosfoproteína nuclear que tiene influencia en el ciclo celular • Durante G0/G1 del ciclo celular RB no está fosforilado. • Durante el ciclo RB es fosforilado por el complejo cdk/ciclina (final de G1) • Se desfosforila durante la mitosis
  • 144.
    • La formano-fosforilada de RB específicamente se une a varias proteínas (ocurre sólo durante parte del ciclo: fase S) • La fosforilación suelta las proteínas las cuales están accesibles nuevamente • Estas proteínas incluyen el grupo E2F de los factores de transcripción, los cuales activan genes blanco cuyos productos son esenciales para la fase S
  • 145.
    • Su unióncon RB inhibe la capacidad de E2F de activar la transcripción: • RB indirectamente evita la entrada en fase S • El complejo RB-E2Fdirectamente reprime algunos genes blanco, su discociación permite que ello se expresen. • Ciertos antigenos tumorales virales se unen especificamente a la forma no fosforilada de RB
  • 146.
    Antioncogen p53 • Múltiplescánceres humanos muestran ausencia de la proteína p53 o mutaciones en el gen • Mapea en el brazo corto del cromosoma 17 (17p13). • La proteína p53 codificada por este gen es una fosfoproteína nuclear de 53 kd
  • 147.
     el controldel ciclo celular,  la reparación y síntesis del ADN,  la diferenciación celular  la muerte celular programada Ha sido relacionada con:
  • 148.
    • la proteínap53 normal regula la transcripción a través de uniones secuencia-específicas con el ADN mientras que mutaciones en el gen anulan esta actividad de activación en trans resultando una proliferación celular no controlada
  • 149.
    • la proteínap53 induciría la transcripción de diferentes genes que presenten una secuencia de ADN específica en la región reguladora corriente arriba ("upstream"). Ejemplos:  Onc. mdm-2 (murine double minute),  gen creatin-kinasa del músculo y el GADD45 (growth arrest DNA damage inducible)  gen bcl-2
  • 150.
    El efecto dela proteína p53 sobre la transcripción de un gen puede estar influenciado por : • modificaciones en el gen en si mismo, • modificaciones post- transcripcionales (como fosforilación) • interacciones con otras proteínas tanto celulares como virales
  • 151.
    • Normalmente, cuandoexiste un daño en el ADN se activa el p53 • Dependiendo del estadio en que se produzca el daño existen 2 caminos • 1) temprano: activa la maquinaria que previene la futura propagación del daño hasta que éste es reparado • 2) tarde: p53 dispara los mecanismos de apoptosis
  • 152.
  • 153.
    Interacción de genes supresoresde tumor en el ciclo celular
  • 154.
    Ciclina A,B Cdc2 G0 Cd4,6 CiclinaD p16 p53 p27 p21 cdk2 ciclinaE
  • 158.
  • 159.
    origen clonal • porlo menos dos células contienen la misma aberración cromosómica • se utiliza para la nomenclatura el cariotipo compuesto "composite karyotype" (ISCN).
  • 160.