Dra. Ela Alvarado
TEMAS A DESARROLLAR
 Terminología mas usada.
 Métodos clínicos y métodos de laboratorio.
 Árbol Genealógico Familiar.
 Obtención de cromosomas in vitro.
 Cultivos celulares.
 Mención de Ciclo celular y división celular.
 Cromosomas humanos: morfología
clasificación, identificación.
 Técnicas de bandeo: G, C, Q, NOR, ICH,
FISH.
 Cromatina sexual - Hipótesis de Lyon.
 Cromosomopatías Sexuales: Síndromes de
Turner y Klinefelter y similares.
RAMAS O CAPÍTULOS DE LA GENÉTICA
 CITOGENÉTICA
 GENÉTICA MOLECULAR
 GENÉTICA BIOQUÍMICA
 GENÉTICA POBLACIONAL
 INMUNOGENÉTICA
 FARMACOGENÉTICA
 INGENIERÍA GENÉTICA
 GENÉTICA DEL COMPORTAMIENTO
 LA GENÉTICA, LA LEY Y LA BIOÉTICA
 GENÉTICA DEL DESARROLLO
 EPIGENÉTICA.
TERMINOLOGÍA
 ALELOS, HOMOCIGOTOS, HETEROCIGOTOS,
HEMICIGOTO
 DOMINANCIA Y RECESIVIDAD
 GENOTIPO Y FENOTIPO
 CONGÉNITO Y HEREDITARIO
 HERENCIA Y AMBIENTE
 MOSAICISMO
I. MÉTODOS CLÍNICOS DE LA GENÉTICA:
1. AMNIOCENTESIS
2. RADIOGRAFÍAS
3. ULTRASONOGRAFÍA
4. FETOSCOPÍA
5. MANIPULACIÓN DE CÉLULAS GERMINALES
6. EMBRIONES IN VITRO
7. INGENIERÍA GENÉTICA
8. PREDICCIÓN DEL SEXO
9. PRODUCCIÓN DE CLONES
10. PROCREACIÓN SELECTIVA
AMNIOCENTÉSIS:
DESVENTAJAS
AMNIOCENTESIS
o Infección al bebe cuando se
introduce la aguja
o Escape del líquido amniótico
BIOPSIA DE MÉDULA
o No se presentan tantos casos
de sangrado e infección
ÁRBOL GENEALÓGICO FAMILIAR
DEFINICIÓN: heredograma, o pedigrí. Es un método
abreviado en las que se representa esquemáticamente
mediante símbolos conocidos la historia de una familia
indicando las personas afectadas y el parentesco que
guarda con el propósitus, probando o caso índice
A. G. BRAQUIDACTILIA
T
A
B
L
A
D
E
S
Í
M
B
O
L
O
S
T
A
B
L
A
D
E
S
Í
M
B
O
L
O
S
II. MÉTODOS DE LABORATORIO
CULTIVO
•Venopuntura con heparina
como anticoagulante.
•Se siembran 10 gotas se incuba a
37ºC durante 72 horas.
•Agregar fitohemaglutinina (factor
mitogénico).
• Agregar solución
colchicina para detener
la división en metafase.
•Agregar solución hipotónica (KCl) hace que
las células se hinchen y estallen con una
técnica de goteo sobre un portaobjeto y los
cromosomas se liberan.
•Posteriormente el material se
fija con carnoy y se tiñen de
acuerdo a las diferentes
técnicas.
CITOGENETICA CONVENCIONAL
DETERMINA:
 Prevalencia de anomalias y de variantes cromosomicas
 Presencia de alteraciones estructurales (translocaciones
deleciones, microdeleciones, inversiones, duplicaciones.
 Presencia de variantes cromosomicas (sitios fragiles,
variaciones satelitales, heterocromatina centromerica
aumentada, etc)
Bandas G
Bandas Q
Bandas C
Bandas R
Bandas NOR
FISH Clásico
M-FISH
SKY
CGH
TECNICAS DE COLORACION
I. COLORACION CONVENSIONAL
1. Bandas “Q”
2. Bandas “C”
3. Bandas “G”
4. Bandas “R”
5. Bandas “NOR”
6. Bandas “G-11”
7. ICH
8. FISH
II. DIFERENTES TÉCNICAS DE
BANDEO CROMOSÓMICO
BANDAS “Q”: Casperson, 1971
 Se colorean con mostaza de quinacrina o dihidroclorato de
quinacrina.
 Se visualiza en microscopio de fluorescencia.
 Fluorece en presencia de ADN rico en A-T (Ellison y Barr,
1972).
 Las bases G-C rompen la fluorescencia (Commings, 1975-
1978).
 Las proteínas NO HISTONAS limitan el acceso a la zona G-C
(Pachman & Riegler, 1972).
BANDAS “G”: Summer, 1971.
 Coloreadas con GIEMSA derivado de las TIAZINAS
(moléculas planas de carga (+) que interactúan con los
grupos fosfatos del “ADN”).
 Las bandas “G” (+) corresponden a CROMATINA LIBRE
para unirse al colorante. Ricas en A-T que replican
tardiamente con genes de tejido específicos (ej. gen de la ß-
globina). sin embargo replican temprano en el tejido que
expresa el gen. Dan lugar a bandas “G” oscuras.
 Las bandas “G” (-) son “DNA” no disponible y en parte
extraído. Ricas en G-C de replicación temprana, se
relacionan con genes estructurales. Dan lugar a bandas “G”
claras.
 Utiliza la tripsina (desnaturaliza las proteínas).
BANDAS “G”
PATRÓN
DE
BANDAS
PATRON
DE
BANDAS
“GTG”
BANDAS “C”: Pardue & Gall, 1970.
 Para marcar la heterocromatina constitutiva.
 Extracción del “DNA” no pericentromérica (heterocromatina
de la región centromérica). 20% del genoma humano.
 Se trata con solución de hipoclorito de sodio a temperatura
ambiente y se lava con solución salina (cloruro de Ba)
 Resultado: La heterocromatina constitutiva de distribución
pericéntrica en todos los cromosomas a excepción del “Y”
que se encuentra en el brazo largo
 Tiñe las constricciones secundarias de los cromosomas 1, 9
y 16.
BANDAS “R”: Dutrillaux & Lejuene, 1971.
 Llamadas también bandas REVERSA, por ser el reverso de las
Bandas “G”.
 Se obtienen con tratamiento de temperatura y colorante
Giemsa.
 También bandas “R” fluorescentes con ACRIDINA ORANGE.
 Detecta “DNA” rico en G-C.
 Denatura “DNA” rico en A-T.
 Se usa cuando se sospecha que los telómeros participan en
alguna anormalidad.
BANDAS “NOR”: Ferguson-Smith, 1961.
FUNDAMENTO:
 Emplea plata amoniacal para teñir regiones de los
organizadores nucleares, que contienen “ARNr”
 Para ver polimorfismo de los satélites.
 Las regiones “NOR” se ubican en el tallo del satélite de los
cromosomas acrocéntricos, corresponden a proteínas NO
HISTONAS que aparecen con la síntesis del “ARNr”.
RESULTADOS:
Las constriciones secundarias (tallos) de los cromosomas
acrocéntrico con satélites se tiñen con plata amoniacal.
BANDAS “G-11”:
FUNDAMENTO:
 Modificación de la banda “G” con pH elevado para demostrar
variantes normales comunes (polimorfismos).
RESULTADOS: Se tiñen:
 Las constricciones secundarias del cromosoma 9,
 El segmento distal largo del cromosoma “Y”,
 El área pericéntrica del cromosoma 20.
ICH (INTERCAMBIO DE CROMATIDES
HERMANAS)
 Mediante la autoradiografía usando sustancias como
Bromo-desoxiuridina que sustituye a la timidina.
 Se observa el intercambio entre los segmentos de las
cromatides hermanas.
 Se realizan normalmente de 6-9 intercambios por metafase,
y aumentan cuando se exponen a mutágenos o en algunas
enfermedades donde se observan los GAPS sitios frágiles
como brechas que no se tiñen bien.
.
FISH (HIBRIDACION FLUORECENTE
IN SITU
Se emplean sondas (PROBES) específicas para la coloración
de determinados cromosomas, y diagnostican anomalías
cromosómicas.
FUNDAMENTO:
A partir del “ADNc” o “ADN” genómico. La sonda se
marca y se añade por hibridación, y la señal se identifica
por autoradiografía o fluorescencia. Se observan gránulos
en la zona que hubo hibridación
CITOGENÉTICA MOLECULAR
Fusión entre la citogenética
clásica y la biología molecula
Permite la detección de
alteraciones cromosómicas.
numéricas y/o estructurales
submicroscópicas reponsab
de diferentes patologías de
origen genético imposibles
de diagnosticar con las
Técnicas de Citogenética
Convencional.
Gen glicogeno fosforilasa 1 del músculo en el cromosoma 11
F I S H: (HIBRIDACIÓN FLUORESCENTE IN SITU)
Tecnica de citogené
mol, utilizando mol
fluorescentes para
localizar genes o
fragmentos de DNA,
para identificar abe
rrraciones estructruc
cromos. En cel
cancerigenas u otras
patologías cuando el
baneo GIEMSA u
otras tecnicas no son
lo suficientemente
específicas
 SONDAS CENTROMÉRICAS :
• Están formadas por una secuencia repetitiva de ADN que
hibrida con el ADN de la región centromérica del
cromosoma. Éstas permiten detectar alteraciones
cromosómicas numéricas (monosomías o trisomías)
 SONDAS DE PINTADO CROMOSÓMICO :
• Están formadas por una batería de sondas que en su
conjunto hibridan con todo el cromosoma. Dichas sondas
permiten visualizar alteraciones citogenéticas numéricas y
estructurales.
 LAS SONDAS DE SECUENCIA ÚNICA O LOCUS
ESPECIFICO:
• Hibridan con el ADN de una región genómica concreta,
correspondiente a un gen o a una banda cromosómica.
Con ellas es posible detectar alteraciones numéricas y
estructurales
TIPOS DE SONDAS
CARIOTIPO ESPECTRAL (SKY)
El análisis espectral de los
cariotipo (SKY): Tecnol de
Citogenética Molecular que
permite estudiar y visualizar
los 23 pares de cromosom en
forma simultánea con Sondas
Fluorescentes específicas
para cada cromosoma al
marcar el DNA con diferentes
fluorócromos. Mapeando
genes o determinando
anomalías específicas. Se
basan en la cohibridación de
24 sondas de pintado cromos
marcadas con fluorescencia
sobre metafases.La hibridación
visualiza c/par crom de dife color
 VENTAJAS:
- Requiere poco ADN
- Permite análisis de neoplasias con un bajo índice de
proliferación
 DESVENTAJAS
- No detectan Translocacio Reciprocas ni Robertsonianas
- No detecta inversiones
- No detecta mutaciones puntuales
- El mosaicismo afecta la detección de cambios
F I S H : continuación
M E T O D O
Se basa en la hibridación con fluorescencia de doble color marcando ADN
con fluorocromos distintos. Normalmente se marca con rojo al ADN de
referencia o control y con verde al ADN que se esta estudiando.
Luego , se realiza una
hibridación competitiva
entre los ADN de control y
estudio sobre metafases
normales en presencia de
ADN Cot 1 humano cuya
función es suprimir las
secuencias repetitivas de
ADN.
Se realiza un análisis
mediante un microscopio
de fluorescencia
cuantificando las
proporciones de colores
verde y rojo en los cromo
HIBRIDACION GEENOMICA
COMPARADA (CGH)
La hibridación genómica
comparada o CGH (de
sus siglas en inglés
Comparative Genomic
Hybridization es una
técnica citogenética
mediante la cual es
posible identificar y
analizar alteraciones
genéticas del tipo de
ganancia o pérdida de
material genético en una
muestra de DNA en
comparación con una
muestra de referencia.
CGH convencional:
 Se pueden distinguir
pequeñas variaciones
cromosómicas.
 ADN de muestra (verde),
ADN control (rojo)
 Fluorescencia amarilla
(cromosomas con lugares
en proporción normal)
 RESULTADOS: Delección
(rojo), duplicación (verde)
 Se utiliza principalmente
en el cáncer por la
acumulación de cromos-
omas en su fase terminal.
CGH (EN ARRAYS):
• Detecta variaciones de menor N° de Kb
• No es necesario obtener las muestras
en metafase
• De mayor resolución que el convencion.
• Se pueden distinguir los puntos de
cortes de las alteraciones cromosomi.
METODO:
Si hay igual cantidad de ADN en el
control y en la muestra, el color del posi
llo será amarillo
• Si hay más cantidad de ADN del control
(microdeleción del ADN de la muestra),
el pocillo tendrá el color del que hemos
marcado la muestra
• Si hay más cantidad de ADN de la
muestra (micro amplificación del ADN
de la muestra), el pocillo se teñirá del
color del que hayamos marcado .
CICLO CELULAR
Telomero
Centrómero
Baja
resolución
Alta
resolución
Región
Banda
EL CROMOSOMA Y SUS PARTES
Brazos
Región
Banda
Sub-Banda
MAPA GENETICO
DEL
CROMOSOMA 1
Marcadores genéticos: Son
variedades moleculares
obtenidos por tecnicas de
ADN recombinante
cM
MAPA FISICO
CROMOSOMA 1
1,990
C-1
2,005
HETEROMORFISMOS CROMOSOMICOS
Las diferencias interindividuales en el contenido de “ADN” de
los cromosomas se han precisado mediante la CITOMETRIA
DE FLUJO O MICRODENSITOMETRIA.
Existen cuatro grupos principales:
1. TAMAÑO DEL BRAZO “q” DEL CROMOSOMA “Y”:
 FRECUENCIA: 10% de los hombres tienen el
cromosoma “Y” mas largo o mas corto que lo usual.
 COLORACION: BANDAS “Q” Y BANCAS “C”.
2. TAMAÑO DE HETEROCROMATINA CONSTITUTIVA:
 VARIACIONES EN LOS CROMOSOMAS 1, 9, 16.
 TINCION: BANDAS “C”.
3. POLIMORFISMOS DE LOS SATELITES:
 VARIACIONES EN LOS CROMOSOMAS 13, 14, 15, 21, 22.
 TINCION: BANDAS “Q” Y “NOR”.
4. SITIOS FRAGILES:
 Rasgos estructurales de los cromosomas que se hacen visibles en cietas
condiciones en el cultivo de tejidos. Se heredan en forma codominante
Por lo menos existen 20 sitios frágiles comunes y 18 sitios raros.
SISTEMA INTERNACIONAL DE NOMENCLATURA
PARA CITOGENÉTICA HUMANA
 CONGRESO DE DENVER (Colorado EE.UU. 1,960:
Se acordó agrupar a los cromosomas en base a la longitud
relativa cuociente de los brazos, índice centromérico y
propuso un sistema estándar de nomenclatura de los grupos.
 CONFERENCIA DE LONDRES 1,963 :
Modificaciones al Sistema anterior y se añadió letras a los gurpos
(A,B.C.D.E.F.G) más los cromosomas sexuales.
 REUNIÓN EN CHICAGO 1,966 :
Se convino añadir una serie de símbolos que designan
determinados caracteres. Así se adoptó un sistema
taquigráfico (abreviaturas) para describir las anormalidades
cromosómicas (deleciones, inversiones ,etc. )
DEFINICIONES MAS USADAS EN
CITOGENÉTICA HUMANA:
CARIOTIPO, CARIOGRAMA E HIDIOGRAMA.
NOMENCLATURA CROMOSÓMICA IS C N ( INTERNATIONAL
SYSTEM CYTOGENEITC NOMENCLATURE ) 1,995
 En cromosomas normales : Varón normal : 46,XY
Mujer normal : 46,XX
 En anomalías numéricas : S. de Down : 47,XY,+21
S. de Klinefelter : 47,XXY
 En anomalías estructurales : S. Cri-duchat : 46,XY,del(5)(p15)
S. de Down : 46,XX, der ( 14;21) (q10;q10),+21
Anomalía en cromosoma sexual X : 46,X, r (X) (p13 q26)
SÍMBOLOS MAS USADOS EN LA NOMENCLATURA
CROMOSÓMICA
A – G Grupos cromosómicos pat Origen paterno
1 – 22 Numeración de autosomas mar Marcador
X, Y Cromosomas sexuales dic Dicéntrico
/ Indica mosaicismo fra Sitio Frágil
del Deleción h Heterocromatina
dup Duplicación p Brazo corto
i Isocromosama q Brazo largo.
ins Inserción
inv Inversión
mat Origen materno
SÍMBOLOS MAS USADOS EN LA NOMENCLATURA
CROMOSÓMICA
r Cromosoma en anillo
s Satélite
t Translocación
t rep Translocación robersoniana
t rob Translocación tandem
ter o qter Terminal
desde hasta
+(delante del Nº de cromosoma indica adición)
Ej +21
- (indica pérdida) Ej 5p-
CROMOSOMAS EN INTERFASE
(CROMATINA SEXUAL)
LYONOZACIÒN O INACTIVACIÓN DEL CROMOSMA “X”
HIPÓTESIS DE LYON
LYONIZACIÓN: ( Mary Lyon en 1,961) Proceso por el cual uno de los crom.X
en la mujer se inactiva al azar en c/u de las células somáticas
Proceso de desarrollo q’ afecta al cro. X en etapas sucesivas
aún incompletamente conocidas.
GEN “XIST” : Responsable de la inactivación característica de 1 de los 2
crom. X de la mujer y se manifiesta citológicamente como
corp. de Barr. Un EH de 14º día es mosaico para el Xm Xp .
ASPECTOS MOLECULARES DE LA H.L. :
El gen “XIST” está ubicado en el Xq13, estrechamente ligado
al gen RP4X y al PHKA1, se extiende por cerca de 80 kb.
Consta de 8 exones y su producto de transcripción es >15 kb
Algúnos genes q’ se encuentran en el X inactivo son resisten
a la lionización y mantienen su actividad transcripcional.
ASPECTO MOLECULAR DE LA CROMATINA SEXUAL
La cromatina sexual es un complejo de ADN mas histonas
(Arg – Lis).
Estas proteinas son de dos grupos :
 Histonas proteinas pequeñas con alto contenido de aa
básicos, se distribuyen en paquetes de 8 moleculas:
H2A, H2B, H3 y H4.
H1, se encuentra en el ADN espaciador y en la parte
externa de los nucleosomas.
 No histonas grupo heterogéneo, forma la estructura de
los cromosomas, otros se relacionan con la
la transcripción y la replicación.
ASPECTO MOLECULAR DEL CORPÚSCULO DE BARR
La cromatina en el núcleo se puede encontrar en dos formas:
 HETEROCROMATINA: forma inactiva condensada,
Localizada en la periferia del nucleo.
Se tiñe fuertemente, y es de replicación tardìa.
a.- H. Constitutiva: Carece de informaciòn genética.
b.- H. Facultativa : Contiene información de los
genes que no se expresan.
 EUCROMATINA:forma activa condensada. Se tiñe debilme
contiene la mayoria de los genes estructurales.
CROMOSOMOPATÍAS SEXUALES FRECUENTES
 FENOTIPO FEMENINO:
- SINDROME DE TURNER 45,X0
- TRISOMIA X 47,XXX
- SINDROME PENTA X 49,XXXXX
- FEMINIZACION TESTICULAR 46,XY
 FENOTIPO MASCULINO:
- SINDROME DE KLINEFELTER 47,XXY
- SINDROME XXXXY 49,XXXXY
- HOMBRES XYY 47,XYY
- VARONES XX 46,XX
- SINDROME DE NOONAN 46,XY
CARIOGRAMA
NORMAL
SINDROME DE
TURNER
FRECUENCIA:
•1/2500 RNV de sexo
femenino
•90% de embriones
con cariotipo 45,X0
son abortados en el
1er trimestre.
•En México la talla
promedio de mujeres
45,X0 es 1.376 +/- 0.58
cm.
SIGNO POR
CIENTO
Talla baja
Cubitus valgus
Implantación baja del cabello
Epicanto
Linfedema
Malformación renal
Pterygium coli
Cardiopatía congénita
Nevos pigmentados
Metacarpo, metatarso o falanges cortas
100
95
78
76
67
60
59
53
44
33
HALLAZOS CLINICOS MAS FRECUENTES EN EL
SINDROME DE TURNER CON 45,X0
SINDROME DE
TURNER
SINDROME DE TURNER
SINDROME DE
TURNER
SINDROME DE TURNER
Paciente con S. de T.
antes y después del
Tratamiento.
Se observa el Ptery-
gium Coli y el Cubitus
Valgus.
El desarrollo mamario
es evidente después
del tratamiento con
Estrógenos y Proges-
terona.
ABORTO CON S. DE TURNER
- Feto macerado
y momificado.
- Placenta con
fibrosis severa
ABORTO CON S. DE TURNER
• 90 % de embriones
con cariotipo 45,X0
son abortados en
forma espontánea
durante el 1er.
trimestre.
CARIOTIPO
SINDROME DE
TURNER
T R I S O M I A X
CARIOTIPO : 47, XXX
INCIDENCIA: 1/1,000 – 1/2,000 R.N. vivas.
FENOTIPO: Amenorrea 2°, hipoplasia de labios menores.
Mas alta que el resto de las niñas en su familia.
El 75% son fértiles. R.M. en 25% de ellas.
1ra. infancia con alteraciones de carácter y
posterior esquizofrenia y psicosis.
Problemas mentales de aprendizaje y comporta.
Trastornos neuroepilepticos similar a XXY.
Efecto de edad materna avanzada.
SINDROME TRIPLE X
CARIOTIPO: 47,XXX.
INCIDENCIA: 1/1,000 niñas vivas
ANTECEDENTES: Jacobs, 1959.
ETIOLOGÍA: No disyunción en
cualquiera de las dos meiósis
maternas, o en la 2º D.M.P.
- El RR no aumenta en parejas
que ya han tenido una hija
afectada.
SINDROME TRIPLE X
SISTEMA GENITAL:
- El 75% son fértiles.
- Amenorrea secundaria,
- Hipoplasia de labios meno
- Hipoplasia de mamas y
genitales externos
- infantilismo y escasa
menstruación.
- La mayoría de hijos son
cromosomicamente norm.
SÍNDROME PENTA X
CARITIPO : 49,XXXXX
FENOTIPO :
 Hendidura parpebral mongoloide
 Hpertelorismo, coloboma del iris.
 Conducto artereoso permeable.
 Oídos de asentamiento bajo.
 Cuello corto, surco simiescos,
 Pie quinovaro.
 Manos pequeñas con clinodactilia
en los meñiques.
FEMINIZACIÓN TESTICULAR
(pseudohermafroditismo masculino)
CARIOTIPO : 46, XY
FENOTIPO :
 Fenotipo externo es como el de
una mujer nomal.
 Vagina termina en fondo de saco,
no existe útero ni trompas de
Falopio.
 Testículos de ubicación abdominal
o inguinal.
 Causada por falta de receptores de
andrógenos
SINDROME DE KLINEFELTER
HALLAZGOS CLINICOS:
 Hipoplsia testicular con azoorpermia u oligospermia.
 Caracteres sexuales deficinetes por niveles disminuidos de
testosterona.
 Ginecomastia uni o bilateral en 40%.
 Escaso vello púbico. Hábito eunucoide.
 Retardo metal moderado nunca profundo (CI = 10-15 ptos
menor a los normales).
 15% de casos son mosaicos y algunos son fértiles. Otros
mosaicos con 3 o más líneas celulares se observan ocasionalm.
CARIOTIPO:
47,XX
SINDROME
DE
KLINEFELTER
FRECUENCIA:
•1/1000 nacidos vivos de
sexo masculino.
•100/1000 en varones
infestados.
•10/1000 en varones en
instituciones para
retardados mentales.
CARIOTIPO
SINDROME
KLINEFELTER
SINDROME XXXXY
CARIOTIPO: 49,XXXXY
- Cuello corto, esternon grueso.
- Hipogenitalismo, pronación limitada de los codos.
- Recuento bajo de crestas dérmicas en los pulpejos digitales.
- Deficiencia mental, C.I. medio 34
- Peso y estatura baja al nacimiento.
- Hipertelorismo, estrabismo, epicantos internos.
- Prognatismo mandibular.
SINDROME XXXXY , Recien nacido
Recien Nacido: (INMP)
Peso = 2,610 grs.
Talla = 44 cm.
Apgar = 7’ , 9 a los 5’
Otros valores adecuados
para la E.G.
Facies parecido al S. Down
Parece no influir la edad
materna avanzada
SINDROME XXXXY ( R.N )
Ex. Cromatina Sexual:
Núcleos sin corpúsculo 55%
“ con 1 “ 23
“ con 2 “ 19
“ con 3 “ 09
Ex. Citogenético: Ban. GTG
Cariotipo: 49,XXXXY (en 100%
de las metafases analizadas).
No mosaicismos, estudio a los
padres fueron cariot.normales.
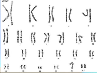
V A R O N E S: XYY
CARIOTIPO : 47, XYY
 Frecuencia: 1/1,000 R.N. vivos.
 En varones internados en instituciones para subnormales
mentales es de 20/1,000 entre hombres adultos deficientes
mentales 3/1,000.
 Fenotipo: Presentan un tamaño mayor de los diente, mas
alto que sus hermanos. Testículos de tamaño normal.
 Algúnos tienen problemas de comportamineto social.
 Función endocrina conservada. Se reproducen normalmen
SINDROME DE XYY
FENOTIPO:
- Presentan un tamaño > de dient
- Mas alto que sus hermanos.
- Testículos de tamaño normal.
- Algúnos tienen problems educa
cionales debido a retraso en el
lenguaje y dificultades en la lec-
tura. Y de comportamiento socia
- Se reproducen normalmente.
- La mayoria de sus hijos son cro-
mosómicamente normal. ya sea
46,XX ó 46,XY.
- Función endocrina conserva.
V A R O N E S : XX
CARIOTIPO: 46,XX
 Frecuencia: 1/20,000 R.N. vivos.
 Etiología: En el 80% de los casos el cariotipo demuestra
transferencia de material genético: Yp11.2 al Xp.
 El 20% de los casos se identifica por analisis de ADN o por
hibridación in situ y en Xp.
 Fenotipo: son infértiles con manifestaciones exocrinas
semejantes al Síndrome de Klinefelter.
 Testículos pequeños. Inteligencia normal.
 Desproporción esquelética entre el segmento superior e infer
SINDROME DE NOONAN
- CARIOTIPO: 46,XY
-FENOTIPO : Similar al Sóndrome de Turner:
 Pabellones auriculatres de asentamiento bajo y/o
anormales
 Implantación baja de cabello.
 Pterigion coli.
 Estatura baja.Torax en escudo, pectus escavatum.
 Cardiopatía congénita: estenosis de la pulmonar,
defectos septales.
 Pene y testículos pequeños. Criptoquídea.
S.TURNER MASCULINO (S. NOONAN)
Niño de 9 años:
La edad estatural a los
10 años y ½, era la de 5
años y 8 meses.
(defecto cardiaco).
CARIOTIPO : 45,XO
GENÉ-HUMANA- UNFV -
GENÉ-HUMANA- UNFV -

GENÉ-HUMANA- UNFV -

  • 1.
  • 2.
    TEMAS A DESARROLLAR Terminología mas usada.  Métodos clínicos y métodos de laboratorio.  Árbol Genealógico Familiar.  Obtención de cromosomas in vitro.  Cultivos celulares.  Mención de Ciclo celular y división celular.  Cromosomas humanos: morfología clasificación, identificación.  Técnicas de bandeo: G, C, Q, NOR, ICH, FISH.  Cromatina sexual - Hipótesis de Lyon.  Cromosomopatías Sexuales: Síndromes de Turner y Klinefelter y similares.
  • 3.
    RAMAS O CAPÍTULOSDE LA GENÉTICA  CITOGENÉTICA  GENÉTICA MOLECULAR  GENÉTICA BIOQUÍMICA  GENÉTICA POBLACIONAL  INMUNOGENÉTICA  FARMACOGENÉTICA  INGENIERÍA GENÉTICA  GENÉTICA DEL COMPORTAMIENTO  LA GENÉTICA, LA LEY Y LA BIOÉTICA  GENÉTICA DEL DESARROLLO  EPIGENÉTICA.
  • 4.
    TERMINOLOGÍA  ALELOS, HOMOCIGOTOS,HETEROCIGOTOS, HEMICIGOTO  DOMINANCIA Y RECESIVIDAD  GENOTIPO Y FENOTIPO  CONGÉNITO Y HEREDITARIO  HERENCIA Y AMBIENTE  MOSAICISMO
  • 5.
    I. MÉTODOS CLÍNICOSDE LA GENÉTICA: 1. AMNIOCENTESIS 2. RADIOGRAFÍAS 3. ULTRASONOGRAFÍA 4. FETOSCOPÍA 5. MANIPULACIÓN DE CÉLULAS GERMINALES 6. EMBRIONES IN VITRO 7. INGENIERÍA GENÉTICA 8. PREDICCIÓN DEL SEXO 9. PRODUCCIÓN DE CLONES 10. PROCREACIÓN SELECTIVA
  • 6.
  • 7.
    DESVENTAJAS AMNIOCENTESIS o Infección albebe cuando se introduce la aguja o Escape del líquido amniótico BIOPSIA DE MÉDULA o No se presentan tantos casos de sangrado e infección
  • 8.
    ÁRBOL GENEALÓGICO FAMILIAR DEFINICIÓN:heredograma, o pedigrí. Es un método abreviado en las que se representa esquemáticamente mediante símbolos conocidos la historia de una familia indicando las personas afectadas y el parentesco que guarda con el propósitus, probando o caso índice
  • 9.
  • 10.
  • 11.
  • 12.
    II. MÉTODOS DELABORATORIO
  • 14.
    CULTIVO •Venopuntura con heparina comoanticoagulante. •Se siembran 10 gotas se incuba a 37ºC durante 72 horas. •Agregar fitohemaglutinina (factor mitogénico). • Agregar solución colchicina para detener la división en metafase. •Agregar solución hipotónica (KCl) hace que las células se hinchen y estallen con una técnica de goteo sobre un portaobjeto y los cromosomas se liberan. •Posteriormente el material se fija con carnoy y se tiñen de acuerdo a las diferentes técnicas.
  • 15.
    CITOGENETICA CONVENCIONAL DETERMINA:  Prevalenciade anomalias y de variantes cromosomicas  Presencia de alteraciones estructurales (translocaciones deleciones, microdeleciones, inversiones, duplicaciones.  Presencia de variantes cromosomicas (sitios fragiles, variaciones satelitales, heterocromatina centromerica aumentada, etc)
  • 16.
    Bandas G Bandas Q BandasC Bandas R Bandas NOR FISH Clásico M-FISH SKY CGH
  • 17.
    TECNICAS DE COLORACION I.COLORACION CONVENSIONAL
  • 19.
    1. Bandas “Q” 2.Bandas “C” 3. Bandas “G” 4. Bandas “R” 5. Bandas “NOR” 6. Bandas “G-11” 7. ICH 8. FISH II. DIFERENTES TÉCNICAS DE BANDEO CROMOSÓMICO
  • 20.
    BANDAS “Q”: Casperson,1971  Se colorean con mostaza de quinacrina o dihidroclorato de quinacrina.  Se visualiza en microscopio de fluorescencia.  Fluorece en presencia de ADN rico en A-T (Ellison y Barr, 1972).  Las bases G-C rompen la fluorescencia (Commings, 1975- 1978).  Las proteínas NO HISTONAS limitan el acceso a la zona G-C (Pachman & Riegler, 1972).
  • 21.
    BANDAS “G”: Summer,1971.  Coloreadas con GIEMSA derivado de las TIAZINAS (moléculas planas de carga (+) que interactúan con los grupos fosfatos del “ADN”).  Las bandas “G” (+) corresponden a CROMATINA LIBRE para unirse al colorante. Ricas en A-T que replican tardiamente con genes de tejido específicos (ej. gen de la ß- globina). sin embargo replican temprano en el tejido que expresa el gen. Dan lugar a bandas “G” oscuras.  Las bandas “G” (-) son “DNA” no disponible y en parte extraído. Ricas en G-C de replicación temprana, se relacionan con genes estructurales. Dan lugar a bandas “G” claras.  Utiliza la tripsina (desnaturaliza las proteínas).
  • 22.
  • 23.
  • 24.
  • 25.
    BANDAS “C”: Pardue& Gall, 1970.  Para marcar la heterocromatina constitutiva.  Extracción del “DNA” no pericentromérica (heterocromatina de la región centromérica). 20% del genoma humano.  Se trata con solución de hipoclorito de sodio a temperatura ambiente y se lava con solución salina (cloruro de Ba)  Resultado: La heterocromatina constitutiva de distribución pericéntrica en todos los cromosomas a excepción del “Y” que se encuentra en el brazo largo  Tiñe las constricciones secundarias de los cromosomas 1, 9 y 16.
  • 26.
    BANDAS “R”: Dutrillaux& Lejuene, 1971.  Llamadas también bandas REVERSA, por ser el reverso de las Bandas “G”.  Se obtienen con tratamiento de temperatura y colorante Giemsa.  También bandas “R” fluorescentes con ACRIDINA ORANGE.  Detecta “DNA” rico en G-C.  Denatura “DNA” rico en A-T.  Se usa cuando se sospecha que los telómeros participan en alguna anormalidad.
  • 27.
    BANDAS “NOR”: Ferguson-Smith,1961. FUNDAMENTO:  Emplea plata amoniacal para teñir regiones de los organizadores nucleares, que contienen “ARNr”  Para ver polimorfismo de los satélites.  Las regiones “NOR” se ubican en el tallo del satélite de los cromosomas acrocéntricos, corresponden a proteínas NO HISTONAS que aparecen con la síntesis del “ARNr”. RESULTADOS: Las constriciones secundarias (tallos) de los cromosomas acrocéntrico con satélites se tiñen con plata amoniacal.
  • 28.
    BANDAS “G-11”: FUNDAMENTO:  Modificaciónde la banda “G” con pH elevado para demostrar variantes normales comunes (polimorfismos). RESULTADOS: Se tiñen:  Las constricciones secundarias del cromosoma 9,  El segmento distal largo del cromosoma “Y”,  El área pericéntrica del cromosoma 20.
  • 29.
    ICH (INTERCAMBIO DECROMATIDES HERMANAS)  Mediante la autoradiografía usando sustancias como Bromo-desoxiuridina que sustituye a la timidina.  Se observa el intercambio entre los segmentos de las cromatides hermanas.  Se realizan normalmente de 6-9 intercambios por metafase, y aumentan cuando se exponen a mutágenos o en algunas enfermedades donde se observan los GAPS sitios frágiles como brechas que no se tiñen bien.
  • 30.
    . FISH (HIBRIDACION FLUORECENTE INSITU Se emplean sondas (PROBES) específicas para la coloración de determinados cromosomas, y diagnostican anomalías cromosómicas. FUNDAMENTO: A partir del “ADNc” o “ADN” genómico. La sonda se marca y se añade por hibridación, y la señal se identifica por autoradiografía o fluorescencia. Se observan gránulos en la zona que hubo hibridación
  • 31.
    CITOGENÉTICA MOLECULAR Fusión entrela citogenética clásica y la biología molecula Permite la detección de alteraciones cromosómicas. numéricas y/o estructurales submicroscópicas reponsab de diferentes patologías de origen genético imposibles de diagnosticar con las Técnicas de Citogenética Convencional.
  • 32.
    Gen glicogeno fosforilasa1 del músculo en el cromosoma 11
  • 36.
    F I SH: (HIBRIDACIÓN FLUORESCENTE IN SITU) Tecnica de citogené mol, utilizando mol fluorescentes para localizar genes o fragmentos de DNA, para identificar abe rrraciones estructruc cromos. En cel cancerigenas u otras patologías cuando el baneo GIEMSA u otras tecnicas no son lo suficientemente específicas
  • 39.
     SONDAS CENTROMÉRICAS: • Están formadas por una secuencia repetitiva de ADN que hibrida con el ADN de la región centromérica del cromosoma. Éstas permiten detectar alteraciones cromosómicas numéricas (monosomías o trisomías)  SONDAS DE PINTADO CROMOSÓMICO : • Están formadas por una batería de sondas que en su conjunto hibridan con todo el cromosoma. Dichas sondas permiten visualizar alteraciones citogenéticas numéricas y estructurales.  LAS SONDAS DE SECUENCIA ÚNICA O LOCUS ESPECIFICO: • Hibridan con el ADN de una región genómica concreta, correspondiente a un gen o a una banda cromosómica. Con ellas es posible detectar alteraciones numéricas y estructurales TIPOS DE SONDAS
  • 40.
    CARIOTIPO ESPECTRAL (SKY) Elanálisis espectral de los cariotipo (SKY): Tecnol de Citogenética Molecular que permite estudiar y visualizar los 23 pares de cromosom en forma simultánea con Sondas Fluorescentes específicas para cada cromosoma al marcar el DNA con diferentes fluorócromos. Mapeando genes o determinando anomalías específicas. Se basan en la cohibridación de 24 sondas de pintado cromos marcadas con fluorescencia sobre metafases.La hibridación visualiza c/par crom de dife color
  • 44.
     VENTAJAS: - Requierepoco ADN - Permite análisis de neoplasias con un bajo índice de proliferación  DESVENTAJAS - No detectan Translocacio Reciprocas ni Robertsonianas - No detecta inversiones - No detecta mutaciones puntuales - El mosaicismo afecta la detección de cambios F I S H : continuación
  • 45.
    M E TO D O Se basa en la hibridación con fluorescencia de doble color marcando ADN con fluorocromos distintos. Normalmente se marca con rojo al ADN de referencia o control y con verde al ADN que se esta estudiando. Luego , se realiza una hibridación competitiva entre los ADN de control y estudio sobre metafases normales en presencia de ADN Cot 1 humano cuya función es suprimir las secuencias repetitivas de ADN. Se realiza un análisis mediante un microscopio de fluorescencia cuantificando las proporciones de colores verde y rojo en los cromo
  • 46.
    HIBRIDACION GEENOMICA COMPARADA (CGH) Lahibridación genómica comparada o CGH (de sus siglas en inglés Comparative Genomic Hybridization es una técnica citogenética mediante la cual es posible identificar y analizar alteraciones genéticas del tipo de ganancia o pérdida de material genético en una muestra de DNA en comparación con una muestra de referencia.
  • 47.
    CGH convencional:  Sepueden distinguir pequeñas variaciones cromosómicas.  ADN de muestra (verde), ADN control (rojo)  Fluorescencia amarilla (cromosomas con lugares en proporción normal)  RESULTADOS: Delección (rojo), duplicación (verde)  Se utiliza principalmente en el cáncer por la acumulación de cromos- omas en su fase terminal.
  • 48.
    CGH (EN ARRAYS): •Detecta variaciones de menor N° de Kb • No es necesario obtener las muestras en metafase • De mayor resolución que el convencion. • Se pueden distinguir los puntos de cortes de las alteraciones cromosomi. METODO: Si hay igual cantidad de ADN en el control y en la muestra, el color del posi llo será amarillo • Si hay más cantidad de ADN del control (microdeleción del ADN de la muestra), el pocillo tendrá el color del que hemos marcado la muestra • Si hay más cantidad de ADN de la muestra (micro amplificación del ADN de la muestra), el pocillo se teñirá del color del que hayamos marcado .
  • 51.
  • 58.
  • 59.
  • 60.
    EL CROMOSOMA YSUS PARTES Brazos Región Banda Sub-Banda
  • 61.
    MAPA GENETICO DEL CROMOSOMA 1 Marcadoresgenéticos: Son variedades moleculares obtenidos por tecnicas de ADN recombinante cM
  • 62.
  • 63.
  • 64.
    HETEROMORFISMOS CROMOSOMICOS Las diferenciasinterindividuales en el contenido de “ADN” de los cromosomas se han precisado mediante la CITOMETRIA DE FLUJO O MICRODENSITOMETRIA. Existen cuatro grupos principales: 1. TAMAÑO DEL BRAZO “q” DEL CROMOSOMA “Y”:  FRECUENCIA: 10% de los hombres tienen el cromosoma “Y” mas largo o mas corto que lo usual.  COLORACION: BANDAS “Q” Y BANCAS “C”.
  • 65.
    2. TAMAÑO DEHETEROCROMATINA CONSTITUTIVA:  VARIACIONES EN LOS CROMOSOMAS 1, 9, 16.  TINCION: BANDAS “C”. 3. POLIMORFISMOS DE LOS SATELITES:  VARIACIONES EN LOS CROMOSOMAS 13, 14, 15, 21, 22.  TINCION: BANDAS “Q” Y “NOR”. 4. SITIOS FRAGILES:  Rasgos estructurales de los cromosomas que se hacen visibles en cietas condiciones en el cultivo de tejidos. Se heredan en forma codominante Por lo menos existen 20 sitios frágiles comunes y 18 sitios raros.
  • 66.
    SISTEMA INTERNACIONAL DENOMENCLATURA PARA CITOGENÉTICA HUMANA  CONGRESO DE DENVER (Colorado EE.UU. 1,960: Se acordó agrupar a los cromosomas en base a la longitud relativa cuociente de los brazos, índice centromérico y propuso un sistema estándar de nomenclatura de los grupos.  CONFERENCIA DE LONDRES 1,963 : Modificaciones al Sistema anterior y se añadió letras a los gurpos (A,B.C.D.E.F.G) más los cromosomas sexuales.  REUNIÓN EN CHICAGO 1,966 : Se convino añadir una serie de símbolos que designan determinados caracteres. Así se adoptó un sistema taquigráfico (abreviaturas) para describir las anormalidades cromosómicas (deleciones, inversiones ,etc. )
  • 67.
    DEFINICIONES MAS USADASEN CITOGENÉTICA HUMANA: CARIOTIPO, CARIOGRAMA E HIDIOGRAMA. NOMENCLATURA CROMOSÓMICA IS C N ( INTERNATIONAL SYSTEM CYTOGENEITC NOMENCLATURE ) 1,995  En cromosomas normales : Varón normal : 46,XY Mujer normal : 46,XX  En anomalías numéricas : S. de Down : 47,XY,+21 S. de Klinefelter : 47,XXY  En anomalías estructurales : S. Cri-duchat : 46,XY,del(5)(p15) S. de Down : 46,XX, der ( 14;21) (q10;q10),+21 Anomalía en cromosoma sexual X : 46,X, r (X) (p13 q26)
  • 68.
    SÍMBOLOS MAS USADOSEN LA NOMENCLATURA CROMOSÓMICA A – G Grupos cromosómicos pat Origen paterno 1 – 22 Numeración de autosomas mar Marcador X, Y Cromosomas sexuales dic Dicéntrico / Indica mosaicismo fra Sitio Frágil del Deleción h Heterocromatina dup Duplicación p Brazo corto i Isocromosama q Brazo largo. ins Inserción inv Inversión mat Origen materno
  • 69.
    SÍMBOLOS MAS USADOSEN LA NOMENCLATURA CROMOSÓMICA r Cromosoma en anillo s Satélite t Translocación t rep Translocación robersoniana t rob Translocación tandem ter o qter Terminal desde hasta +(delante del Nº de cromosoma indica adición) Ej +21 - (indica pérdida) Ej 5p-
  • 70.
  • 72.
    LYONOZACIÒN O INACTIVACIÓNDEL CROMOSMA “X” HIPÓTESIS DE LYON LYONIZACIÓN: ( Mary Lyon en 1,961) Proceso por el cual uno de los crom.X en la mujer se inactiva al azar en c/u de las células somáticas Proceso de desarrollo q’ afecta al cro. X en etapas sucesivas aún incompletamente conocidas. GEN “XIST” : Responsable de la inactivación característica de 1 de los 2 crom. X de la mujer y se manifiesta citológicamente como corp. de Barr. Un EH de 14º día es mosaico para el Xm Xp . ASPECTOS MOLECULARES DE LA H.L. : El gen “XIST” está ubicado en el Xq13, estrechamente ligado al gen RP4X y al PHKA1, se extiende por cerca de 80 kb. Consta de 8 exones y su producto de transcripción es >15 kb Algúnos genes q’ se encuentran en el X inactivo son resisten a la lionización y mantienen su actividad transcripcional.
  • 73.
    ASPECTO MOLECULAR DELA CROMATINA SEXUAL La cromatina sexual es un complejo de ADN mas histonas (Arg – Lis). Estas proteinas son de dos grupos :  Histonas proteinas pequeñas con alto contenido de aa básicos, se distribuyen en paquetes de 8 moleculas: H2A, H2B, H3 y H4. H1, se encuentra en el ADN espaciador y en la parte externa de los nucleosomas.  No histonas grupo heterogéneo, forma la estructura de los cromosomas, otros se relacionan con la la transcripción y la replicación.
  • 74.
    ASPECTO MOLECULAR DELCORPÚSCULO DE BARR La cromatina en el núcleo se puede encontrar en dos formas:  HETEROCROMATINA: forma inactiva condensada, Localizada en la periferia del nucleo. Se tiñe fuertemente, y es de replicación tardìa. a.- H. Constitutiva: Carece de informaciòn genética. b.- H. Facultativa : Contiene información de los genes que no se expresan.  EUCROMATINA:forma activa condensada. Se tiñe debilme contiene la mayoria de los genes estructurales.
  • 75.
    CROMOSOMOPATÍAS SEXUALES FRECUENTES FENOTIPO FEMENINO: - SINDROME DE TURNER 45,X0 - TRISOMIA X 47,XXX - SINDROME PENTA X 49,XXXXX - FEMINIZACION TESTICULAR 46,XY  FENOTIPO MASCULINO: - SINDROME DE KLINEFELTER 47,XXY - SINDROME XXXXY 49,XXXXY - HOMBRES XYY 47,XYY - VARONES XX 46,XX - SINDROME DE NOONAN 46,XY
  • 76.
  • 77.
    SINDROME DE TURNER FRECUENCIA: •1/2500 RNVde sexo femenino •90% de embriones con cariotipo 45,X0 son abortados en el 1er trimestre. •En México la talla promedio de mujeres 45,X0 es 1.376 +/- 0.58 cm.
  • 78.
    SIGNO POR CIENTO Talla baja Cubitusvalgus Implantación baja del cabello Epicanto Linfedema Malformación renal Pterygium coli Cardiopatía congénita Nevos pigmentados Metacarpo, metatarso o falanges cortas 100 95 78 76 67 60 59 53 44 33 HALLAZOS CLINICOS MAS FRECUENTES EN EL SINDROME DE TURNER CON 45,X0
  • 79.
  • 80.
  • 81.
  • 82.
    SINDROME DE TURNER Pacientecon S. de T. antes y después del Tratamiento. Se observa el Ptery- gium Coli y el Cubitus Valgus. El desarrollo mamario es evidente después del tratamiento con Estrógenos y Proges- terona.
  • 83.
    ABORTO CON S.DE TURNER - Feto macerado y momificado. - Placenta con fibrosis severa
  • 84.
    ABORTO CON S.DE TURNER • 90 % de embriones con cariotipo 45,X0 son abortados en forma espontánea durante el 1er. trimestre.
  • 85.
  • 86.
    T R IS O M I A X CARIOTIPO : 47, XXX INCIDENCIA: 1/1,000 – 1/2,000 R.N. vivas. FENOTIPO: Amenorrea 2°, hipoplasia de labios menores. Mas alta que el resto de las niñas en su familia. El 75% son fértiles. R.M. en 25% de ellas. 1ra. infancia con alteraciones de carácter y posterior esquizofrenia y psicosis. Problemas mentales de aprendizaje y comporta. Trastornos neuroepilepticos similar a XXY. Efecto de edad materna avanzada.
  • 88.
    SINDROME TRIPLE X CARIOTIPO:47,XXX. INCIDENCIA: 1/1,000 niñas vivas ANTECEDENTES: Jacobs, 1959. ETIOLOGÍA: No disyunción en cualquiera de las dos meiósis maternas, o en la 2º D.M.P. - El RR no aumenta en parejas que ya han tenido una hija afectada.
  • 89.
    SINDROME TRIPLE X SISTEMAGENITAL: - El 75% son fértiles. - Amenorrea secundaria, - Hipoplasia de labios meno - Hipoplasia de mamas y genitales externos - infantilismo y escasa menstruación. - La mayoría de hijos son cromosomicamente norm.
  • 90.
    SÍNDROME PENTA X CARITIPO: 49,XXXXX FENOTIPO :  Hendidura parpebral mongoloide  Hpertelorismo, coloboma del iris.  Conducto artereoso permeable.  Oídos de asentamiento bajo.  Cuello corto, surco simiescos,  Pie quinovaro.  Manos pequeñas con clinodactilia en los meñiques.
  • 91.
    FEMINIZACIÓN TESTICULAR (pseudohermafroditismo masculino) CARIOTIPO: 46, XY FENOTIPO :  Fenotipo externo es como el de una mujer nomal.  Vagina termina en fondo de saco, no existe útero ni trompas de Falopio.  Testículos de ubicación abdominal o inguinal.  Causada por falta de receptores de andrógenos
  • 92.
    SINDROME DE KLINEFELTER HALLAZGOSCLINICOS:  Hipoplsia testicular con azoorpermia u oligospermia.  Caracteres sexuales deficinetes por niveles disminuidos de testosterona.  Ginecomastia uni o bilateral en 40%.  Escaso vello púbico. Hábito eunucoide.  Retardo metal moderado nunca profundo (CI = 10-15 ptos menor a los normales).  15% de casos son mosaicos y algunos son fértiles. Otros mosaicos con 3 o más líneas celulares se observan ocasionalm.
  • 93.
  • 94.
    SINDROME DE KLINEFELTER FRECUENCIA: •1/1000 nacidos vivosde sexo masculino. •100/1000 en varones infestados. •10/1000 en varones en instituciones para retardados mentales.
  • 95.
  • 96.
    SINDROME XXXXY CARIOTIPO: 49,XXXXY -Cuello corto, esternon grueso. - Hipogenitalismo, pronación limitada de los codos. - Recuento bajo de crestas dérmicas en los pulpejos digitales. - Deficiencia mental, C.I. medio 34 - Peso y estatura baja al nacimiento. - Hipertelorismo, estrabismo, epicantos internos. - Prognatismo mandibular.
  • 97.
    SINDROME XXXXY ,Recien nacido Recien Nacido: (INMP) Peso = 2,610 grs. Talla = 44 cm. Apgar = 7’ , 9 a los 5’ Otros valores adecuados para la E.G. Facies parecido al S. Down Parece no influir la edad materna avanzada
  • 98.
    SINDROME XXXXY (R.N ) Ex. Cromatina Sexual: Núcleos sin corpúsculo 55% “ con 1 “ 23 “ con 2 “ 19 “ con 3 “ 09 Ex. Citogenético: Ban. GTG Cariotipo: 49,XXXXY (en 100% de las metafases analizadas). No mosaicismos, estudio a los padres fueron cariot.normales.
  • 99.
    V A RO N E S: XYY CARIOTIPO : 47, XYY  Frecuencia: 1/1,000 R.N. vivos.  En varones internados en instituciones para subnormales mentales es de 20/1,000 entre hombres adultos deficientes mentales 3/1,000.  Fenotipo: Presentan un tamaño mayor de los diente, mas alto que sus hermanos. Testículos de tamaño normal.  Algúnos tienen problemas de comportamineto social.  Función endocrina conservada. Se reproducen normalmen
  • 100.
    SINDROME DE XYY FENOTIPO: -Presentan un tamaño > de dient - Mas alto que sus hermanos. - Testículos de tamaño normal. - Algúnos tienen problems educa cionales debido a retraso en el lenguaje y dificultades en la lec- tura. Y de comportamiento socia - Se reproducen normalmente. - La mayoria de sus hijos son cro- mosómicamente normal. ya sea 46,XX ó 46,XY. - Función endocrina conserva.
  • 102.
    V A RO N E S : XX CARIOTIPO: 46,XX  Frecuencia: 1/20,000 R.N. vivos.  Etiología: En el 80% de los casos el cariotipo demuestra transferencia de material genético: Yp11.2 al Xp.  El 20% de los casos se identifica por analisis de ADN o por hibridación in situ y en Xp.  Fenotipo: son infértiles con manifestaciones exocrinas semejantes al Síndrome de Klinefelter.  Testículos pequeños. Inteligencia normal.  Desproporción esquelética entre el segmento superior e infer
  • 103.
    SINDROME DE NOONAN -CARIOTIPO: 46,XY -FENOTIPO : Similar al Sóndrome de Turner:  Pabellones auriculatres de asentamiento bajo y/o anormales  Implantación baja de cabello.  Pterigion coli.  Estatura baja.Torax en escudo, pectus escavatum.  Cardiopatía congénita: estenosis de la pulmonar, defectos septales.  Pene y testículos pequeños. Criptoquídea.
  • 104.
    S.TURNER MASCULINO (S.NOONAN) Niño de 9 años: La edad estatural a los 10 años y ½, era la de 5 años y 8 meses. (defecto cardiaco). CARIOTIPO : 45,XO