Aparato urinario Dr. Jonatan Kasjan Jefe de trabajos prácticos de histología normal y ayudante anatomía patológica  UBA medicina
Generalidades El aparato urinario está compuesto por los dos  riñones  (que producen la orina), los dos  uréteres  (que con-ducen la orina hasta un reservorio situado en la pelvis), la  vejiga  (el reservorio pelviano que almacena tempo-ralmente la orina) y la  uretra  (que comunica con el exterior y sirve para evacuar el contenido vesical). Los riñones son órganos muy vascularizados que reci-ben aprox. el 25% del volumen minuto cardíaco (volu-men de sangre emitido en un minuto por el corazón).
Generalidades Producen la  orina,  que en un principio es un  ultra-filtrado  del plasma que luego las células renales modi-fican por reabsorción selectiva y secreción específica.  La orina definitiva contiene agua y electrólitos, pro-ductos de desecho como urea, ácido úrico y creatinina y productos de la degradación de diversas sustancias.
Órgano endocrino Síntesis y secreción de la hormona glucoproteica  eritropoyetina,  que regula la formación de los eritrocitos (eritropoyesis) en respuesta a una disminución de las concentraciones de oxígeno en la sangre.  Síntesis y secreción de la proteasa acida  renina,  una enzima que participa en el control de la tensión arterial y el volumen sanguíneo.  Hidroxilación de  25-OH vitamina D 3 ,  un precursor esteroide producido en el hígado, hacia su forma hormonal activa  1,25-(OH) 2  vitamina D 3 .
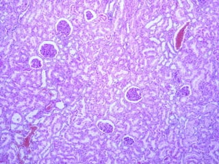
Estructura general del riñón Los riñones (lat.  ren , riñón; gr.  nefros ) son órganos grandes de color rojizo y forma de habichuela que se hallan situados en el retroperitoneo a ambos lados de la columna vertebral.  En el polo superior de cada riñón, incluida dentro de la fascia renal y de una gruesa capa protectora de tejido adiposo perirrenal, hay una  glándula suprarrenal. El borde medial del riñón es cóncavo y posee una incisura vertical denominada  hilio,  que permite la entrada y la salida de los vasos y los nervios renales y contiene el segmento inicial del uréter (dilatado a la manera de un embudo) llamado  pelvis  renal.
 
 
A causa de su distribución y sus diferencias de longitud los túbulos de la médula en conjunto forman varias estructuras cónicas llamadas  pirámides renales  o  medulares  (de Malpighi).  Cada pirámide está dividida en una  zona externa  o  médula externa  (contigua a la corteza) y una  zona interna  o  médula interna. La médula externa se subdivide a su vez en una  franja interna  y una  franja externa.
El vértice de cada pirámide, llamado  papila,  se proyecta dentro de un  cáliz menor,  que es una extensión con forma de copa de la pelvis renal. La punta de la papila, también conocida como  área cribosa  o  cribiforme (lat. cribrum, colador),  está perforada por los orificios de desembocadura de los conductos colectores .
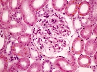
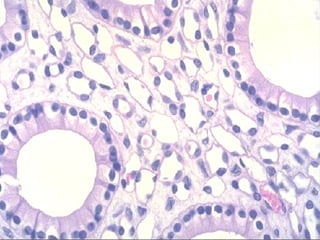
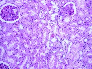
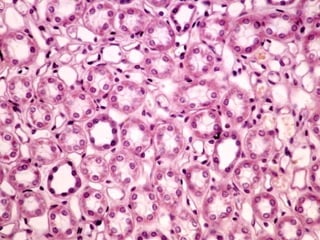
La nefrona o nefrón La nefrona o nefrón es la unidad estructural y funcional fundamental del riñón y en cada riñón humano hay alrededor de 2 millones de ellas. La nefrona consiste en el corpúsculo renal y un sistema de túbulos.
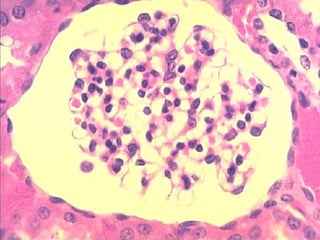
El  corpúsculo renal  constituye el comienzo de la nefrona y está compuesto por un  glomérulo,  que es un ovillo capilar formado por 10 a 20 asas capilares, rodeado por una estructura epitelial bilaminar caliciforme llamada  cápsula renal  o  cápsula de Bowman.  Los capilares glomerulares reciben la sangre desde una  arteriola aferente  y  la envían a una  arteriola eferente  que luego se ramifica para formar una red capilar nueva que irriga los túbulos renales.
Partes tubulares de la nefrona Segmento grueso proximal,  compuesto por el  túbulo contorneado proximal  (pars  convoluta)  y el  túbulo recto proximal  (pars  recta). Segmento delgado,  que forma la parte delgada del asa de Henle. Segmento grueso distal,  compuesto por el  túbulo recto distal  (pars  recta)  y el  túbulo contorneado distal  (pars  convoluta).
 
 
 
 
 
Túbulos y conductos colectores Los túbulos colectores comienzan en el laberinto cortical en la forma de  túbulos de conexión  o de  túbulos colectores arciformes  y siguen hasta el rayo medular, donde se unen a los  conductos colectores. La región de la papila que contiene los orificios de desembocadura de estos conductos colectores se conoce como  área cribosa o cribiforme.
 
Aparato de filtración del riñón El corpúsculo renal es redondeado y tiene un diámetro promedio de 200  μ m. Consiste en un ovillo capilar glomerular y las hojas epiteliales visceral y parietal de la cápsula de Bowman circundante. El aparato de filtración, encerrado por la hoja parietal de la cápsula de Bowman, tiene tres componentes:
 
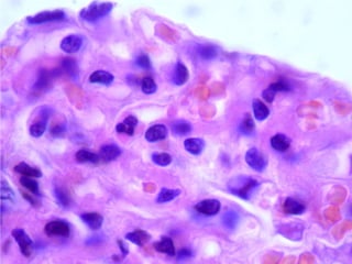
Aparato de filtración del riñón Endotelio de los capilares glomerulares,  que posee numerosas fenestraciones. Membrana basal glomerular  (MBG), una lámina basal gruesa (300 a 350 nm) que es el producto conjunto del endotelio y los podocitos, las células de la hoja visceral de la cápsula de Bowman. Hoja visceral de la cápsula de Bowman,  que contiene células especializadas llamadas  células epiteliales viscerales  o  podocitos.
 
 
 
 
Hoja parietal de la cápsula de Bowman La  hoja parietal de la cápsula de Bowman  contiene  células epiteliales parietales  que forman un epitelio plano simple. En el  polo urinario  del corpúsculo renal se continúa con el epitelio cúbico del  túbulo contorneado proximal . El espacio entre las hojas visceral y parietal de la cápsula de Bowman recibe el nombre de  espacio urinario, espacio capsular  o  espacio de Bowman .
 
 
 
Mesangio El corpúsculo renal contiene un grupo celular adicio-nal que consiste en las  células mesangiales. Estas células y su matriz extracelular constituyen el  mesangio. Las células mesangiales tienen una posición similar a la de los podocitos porque están encerradas por la lámina basal de los capilares glomerulares y se encuentran incluidas en una matriz mensagial laxa que ellas mismas producen.
Las células mesangiales no están confinadas solo dentro del corpúsculo renal; algunas se encuentran afuera del corpúsculo a lo largo del polo vascular, donde reciben el nombre de  células mesangiales extraglomerulares  o  células lacis  y forman parte del denominado  aparato yuxtaglomerular. Las células mesangiales cumplen importantes funciones como la  fagocitosis ,  sostén estructural  y  secreción  de IL-1 y PDGF.
 
 
Aparato yuxtaglomerular El aparato yuxtaglomerular regula la presión arte-rial mediante la activación del  sistema renina-angiotensina-aldosterona. Comprende la  mácula densa , las  células yuxtaglomerulares  y las  células mesangiales extraglomerulares .
Mácula densa La  mácula densa  regula la secreción de renina de acuerdo con la composición del líquido tubular en el túbulo distal, por lo que una  hiponatremia  ( disminución de la concentración de sodio en sangre ) o  hiperpotasemia  ( aumento de la concentración de potasio en sangre ) implica un aumento en la secreción de renina. El incremento de líquido en el túbulo distal, produce la expansión de este lo cual inhibe la secreción de renina.
Células yuxtaglomerulares   En esta misma región las células musculares lisas de la arteriola aferente (y, a veces, de la arteriola eferente) contigua están modificadas.  Contienen gránulos de secreción y sus núcleos son redondeados. Estas  células yuxtaglomerulares  (o  células JG ) están en íntimo contacto con las células de la mácula densa y sólo las separa una lámina basal incompleta.
 
Sistema  renina-angiotensina-aldosterona  (SRAA) En algunas situaciones fisiológicas (ingesta reducida de sodio) o patológicas (disminución del volumen sanguíneo circulante por hemorragia o baja perfusión renal por compresión de las arterias renales) las células yuxtaglomerulares activan el sistema  renina-angiotensina-aldosterona.  Los gránulos de las células yuxtaglomerulares contienen una proteasa, llamada  renina,  que es sintetizada, almacenada y secretada hacia la sangre por estas células musculares lisas modificadas.
En la sangre la  renina  cataliza la hidrólisis del  angiotensinógeno,  para producir  angiotensina I. La  angiotensina I  es convertida en  angiotensina  II  por la  enzima convertidora de angiotensina (ECA)  que hay en las células endoteliales de los capilares pulmonares.  La  angiotensina II  estimula la síntesis y la liberación de la hormona  aldosterona  desde la  zona glomerular de la corteza suprarrenal.  También es un  vasoconstrictor arteriolar  y estimula la secreción de la  hormona antidiurética  ( ADH ) por la hipófisis.
Aldosterona Actúa sobre los receptores de mineralo-corticoides en las células principales en el  túbulo distal  estimulando la reabsorción de iones Na +  y de agua hacia el torrente sanguíneo, y la secreción de iones K +  en la orina. La aldosterona estimula la secreción de H +  por las células intercaladas en el túbulo colector, regulando los niveles plasmáticos de bicarbonato (HCO 3 − ) y su equilibrio ácido-base.
 
Túbulo contorneado proximal El túbulo   recibe el ultrafiltrado desde el espacio urinario de la cápsula de Bowman. Presenta un  ribete en cepillo  compuesto por micro-vellosidades rectas, largas y muy juntas (luz sucia). Estriaciones básales,  que consisten en mitocondrias alargadas concentradas en las prolongaciones básales y con orientación vertical. La pared del túbulo está formada por una capa de  células cubicas altas  o  cilíndricas bajas  con citoplasma muy eosinófilo y un núcleo central redondo.
 
De los 180 L/día de ultrafiltrado que ingresan en las nefronas cerca de 120 L/día, o sea el 65% del ultrafil-trado, se reabsorben en el túbulo contorneado proximal.  La  ATPasa de Na + /K +  (bomba de sodio) es  una proteína transmembrana que está situada en los pliegues de la membrana plasmática y se encarga de la  reabsorción de Na + ,  que es la fuerza impulsora para la reabsorción del agua en el túbulo contorneado proximal.  La  AQP-1  es   una proteína transmembrana que actúa como canal para el agua en la membrana plasmática de las células del túbulo contorneado proximal.
Segmento delgado del asa de Henle Las nefronas yuxtamedulares tienen las ramas más largas mientras que las nefronas corticales tienen las más cortas. Presenta un  epitelio plano simple . Es parte del sistema  intercambiador de contra-corriente  que actúa para concentrar la orina.
Túbulo  contorneado distal El núcleo está ubicado en la región apical y a veces provoca la protrusión de la célula dentro de la luz.  Las células cúbicas grandes del túbulo apenas se tiñen con la eosina y los límites celulares laterales no se ven.  También exhiben una cantidad mucho menor de microvellosidades que están menos desarrolladas que las de las células del túbulo recto proximal.
 
 
 
Túbulo  contorneado distal Funciones : Reabsorción de Na +  y secreción de K +  hacia el ultrafiltrado para conservar el Na + . Reabsorción de ion bicarbonato,  con la secreción de iones hidrógeno, lo que conduce a la acidificación adicional de la orina. Secreción de amonio  en respuesta a la necesidad de excretar ácido y generar bicarbonato.
Túbulos colectores y conductos colectores Los túbulos y los conductos colectores presentan un epitelio cúbico y se distinguen con facilidad de los túbulos proximales y distales a causa de los límites celulares que pueden verse con el microscopio óptico.  El núcleo de las células es redondo y central, y en la superficie apical se forma una eminencia cónica convexa característica en la luz.
En estos túbulos y conductos hay dos tipos celulares bien definidos, a saber: Células claras , también llamadas  células principa-les, del conducto colector  o  células CD ,   que son las células principales del sistema. Estas células poseen una cantidad abundante de canales acuosos regulados por ADH (AQP-2), lo que explica la permeabilidad al agua de los conductos colectores. Células oscuras,  conocidas como  células interca-lares  ( IC ),   que aparecen en una cantidad  menor.
 
 
 
Regulación  hormonal  de los conductos colectores La permeabilidad al agua del epitelio de los conductos colectores está regulada por la hormona antidiurética (ADH o   vasopresina). Esta hormona actúa sobre canales acuosos regulados por ADH (AQP-2) situados en el epitelio de la porción terminal del túbulo contorneado  distal  y en el epitelio de los túbulos y los conductos colectores. A través de la secreción de ADH es posible regular la eliminación de agua entre unos 500 cc 3  y 23 litros /día.
Células intersticiales El tejido conectivo del parénquima renal, llamado  tejido intersticial , rodea las nefronas, los conductos y los vasos sanguíneos y linfáticos. Algunos fibroblastos de la corteza se encargan de la producción del factor de crecimiento  eritropoyetina  ( EPO ). Se trata de una glucoproteína producida por las células intersticiales renales con sensores para O 2  que reaccionan ante un estado de hipoxia (disminución de la presión de oxígeno). La EPO estimula la eritropoyesis, sobre todo, por acción de las CFU-E, que tienen especial sensibilidad para EPO
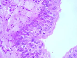
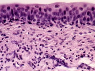
Vías urinarias La orina fluye secuencialmente hacia un  cáliz menor,  un  cáliz mayor  y la  pelvis renal  y abandona cada riñón a través del  uréter  que la conduce hasta la  vejiga , donde se almacena. Al final la orina se elimi­na a través de la  uretra . Todos estos conductos de excreción de la orina (vías urinarias), excepto la uretra, tienen la misma organización general; una mucosa (revestida por epitelio de transición o urotelio), una muscular y una adventicia (o, en algunas regiones, una serosa).
Epitelio de transición ,  polimorfo  o  urotelio El urotelio se podrá encontrar en dos estados, uno se denomina  estado contraído  y el otro  relajado . En el estado contraído (vejiga vacía) hay  muchas ca-pas celulares , las células apicales se  hacen globosas . Cuando el epitelio se estira al llenase la vejiga (estado relajado) se llegan a distinguir  sólo dos capas  de células.
Todas las células de este epitelio presentan finas prolongaciones mediante las cuales están ancladas a la membrana basal. A estas células se las denomina  células en forma de raqueta  y el glucógeno almacenado perinuclear es utilizado para poder obtener energía y lograr este reordenamiento a medida que cambia el volumen vesical.
 
 
 
 
 
Uréteres La superficie luminal de la pared del uréter está revestida por un epitelio de transición (urotelio). El resto de la pared está compuesto por músculo liso y tejido conectivo. El músculo liso está organizado en tres capas: una  longitudinal interna , una  circular media  y una  longitudinal externa .
 
Vejiga En los  cortes histológicos  de rutina obtenidos de la vejiga vacía las células epiteliales superficiales suelen ser cuboides y protruir dentro de la luz. Con frecuencia se describen como abombadas o "en cúpula" por la curvatura de su superficie apical, las células apicales son globosas y esta es una diferencia muy importante para no confundir al urotelio de la vejiga con el epitelio plano estratificado de la piel.
 
Bibliografía consultada Finn Geneser. Histología. 3ª Edición 2000 Editorial Panamericana. Ross MH-Pawlina. Histología Texto y Atlas color con Biología Celular y Molecular. 5ª Edición 2007 Editorial Panamericana. Fawcett D.W. Tratado de Histología. 12ª Edición 1995 Editorial Interamericana. Mc Graw-Hill. Manuales Micromeds Histología (Riobamba 781 1ºA, esquina Av. Córdoba).

Aparato Urinario

  • 1.
    Aparato urinario Dr.Jonatan Kasjan Jefe de trabajos prácticos de histología normal y ayudante anatomía patológica UBA medicina
  • 2.
    Generalidades El aparatourinario está compuesto por los dos riñones (que producen la orina), los dos uréteres (que con-ducen la orina hasta un reservorio situado en la pelvis), la vejiga (el reservorio pelviano que almacena tempo-ralmente la orina) y la uretra (que comunica con el exterior y sirve para evacuar el contenido vesical). Los riñones son órganos muy vascularizados que reci-ben aprox. el 25% del volumen minuto cardíaco (volu-men de sangre emitido en un minuto por el corazón).
  • 3.
    Generalidades Producen la orina, que en un principio es un ultra-filtrado del plasma que luego las células renales modi-fican por reabsorción selectiva y secreción específica. La orina definitiva contiene agua y electrólitos, pro-ductos de desecho como urea, ácido úrico y creatinina y productos de la degradación de diversas sustancias.
  • 4.
    Órgano endocrino Síntesisy secreción de la hormona glucoproteica eritropoyetina, que regula la formación de los eritrocitos (eritropoyesis) en respuesta a una disminución de las concentraciones de oxígeno en la sangre. Síntesis y secreción de la proteasa acida renina, una enzima que participa en el control de la tensión arterial y el volumen sanguíneo. Hidroxilación de 25-OH vitamina D 3 , un precursor esteroide producido en el hígado, hacia su forma hormonal activa 1,25-(OH) 2 vitamina D 3 .
  • 5.
    Estructura general delriñón Los riñones (lat. ren , riñón; gr. nefros ) son órganos grandes de color rojizo y forma de habichuela que se hallan situados en el retroperitoneo a ambos lados de la columna vertebral. En el polo superior de cada riñón, incluida dentro de la fascia renal y de una gruesa capa protectora de tejido adiposo perirrenal, hay una glándula suprarrenal. El borde medial del riñón es cóncavo y posee una incisura vertical denominada hilio, que permite la entrada y la salida de los vasos y los nervios renales y contiene el segmento inicial del uréter (dilatado a la manera de un embudo) llamado pelvis renal.
  • 6.
  • 7.
  • 8.
    A causa desu distribución y sus diferencias de longitud los túbulos de la médula en conjunto forman varias estructuras cónicas llamadas pirámides renales o medulares (de Malpighi). Cada pirámide está dividida en una zona externa o médula externa (contigua a la corteza) y una zona interna o médula interna. La médula externa se subdivide a su vez en una franja interna y una franja externa.
  • 9.
    El vértice decada pirámide, llamado papila, se proyecta dentro de un cáliz menor, que es una extensión con forma de copa de la pelvis renal. La punta de la papila, también conocida como área cribosa o cribiforme (lat. cribrum, colador), está perforada por los orificios de desembocadura de los conductos colectores .
  • 10.
    La nefrona onefrón La nefrona o nefrón es la unidad estructural y funcional fundamental del riñón y en cada riñón humano hay alrededor de 2 millones de ellas. La nefrona consiste en el corpúsculo renal y un sistema de túbulos.
  • 11.
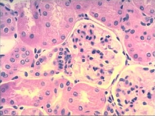
    El corpúsculorenal constituye el comienzo de la nefrona y está compuesto por un glomérulo, que es un ovillo capilar formado por 10 a 20 asas capilares, rodeado por una estructura epitelial bilaminar caliciforme llamada cápsula renal o cápsula de Bowman. Los capilares glomerulares reciben la sangre desde una arteriola aferente y la envían a una arteriola eferente que luego se ramifica para formar una red capilar nueva que irriga los túbulos renales.
  • 12.
    Partes tubulares dela nefrona Segmento grueso proximal, compuesto por el túbulo contorneado proximal (pars convoluta) y el túbulo recto proximal (pars recta). Segmento delgado, que forma la parte delgada del asa de Henle. Segmento grueso distal, compuesto por el túbulo recto distal (pars recta) y el túbulo contorneado distal (pars convoluta).
  • 13.
  • 14.
  • 15.
  • 16.
  • 17.
  • 18.
    Túbulos y conductoscolectores Los túbulos colectores comienzan en el laberinto cortical en la forma de túbulos de conexión o de túbulos colectores arciformes y siguen hasta el rayo medular, donde se unen a los conductos colectores. La región de la papila que contiene los orificios de desembocadura de estos conductos colectores se conoce como área cribosa o cribiforme.
  • 19.
  • 20.
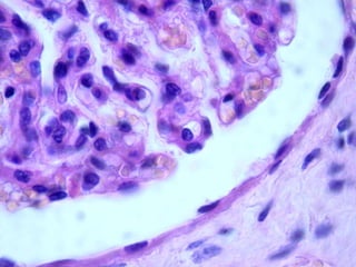
    Aparato de filtracióndel riñón El corpúsculo renal es redondeado y tiene un diámetro promedio de 200 μ m. Consiste en un ovillo capilar glomerular y las hojas epiteliales visceral y parietal de la cápsula de Bowman circundante. El aparato de filtración, encerrado por la hoja parietal de la cápsula de Bowman, tiene tres componentes:
  • 21.
  • 22.
    Aparato de filtracióndel riñón Endotelio de los capilares glomerulares, que posee numerosas fenestraciones. Membrana basal glomerular (MBG), una lámina basal gruesa (300 a 350 nm) que es el producto conjunto del endotelio y los podocitos, las células de la hoja visceral de la cápsula de Bowman. Hoja visceral de la cápsula de Bowman, que contiene células especializadas llamadas células epiteliales viscerales o podocitos.
  • 23.
  • 24.
  • 25.
  • 26.
  • 27.
    Hoja parietal dela cápsula de Bowman La hoja parietal de la cápsula de Bowman contiene células epiteliales parietales que forman un epitelio plano simple. En el polo urinario del corpúsculo renal se continúa con el epitelio cúbico del túbulo contorneado proximal . El espacio entre las hojas visceral y parietal de la cápsula de Bowman recibe el nombre de espacio urinario, espacio capsular o espacio de Bowman .
  • 28.
  • 29.
  • 30.
  • 31.
    Mesangio El corpúsculorenal contiene un grupo celular adicio-nal que consiste en las células mesangiales. Estas células y su matriz extracelular constituyen el mesangio. Las células mesangiales tienen una posición similar a la de los podocitos porque están encerradas por la lámina basal de los capilares glomerulares y se encuentran incluidas en una matriz mensagial laxa que ellas mismas producen.
  • 32.
    Las células mesangialesno están confinadas solo dentro del corpúsculo renal; algunas se encuentran afuera del corpúsculo a lo largo del polo vascular, donde reciben el nombre de células mesangiales extraglomerulares o células lacis y forman parte del denominado aparato yuxtaglomerular. Las células mesangiales cumplen importantes funciones como la fagocitosis , sostén estructural y secreción de IL-1 y PDGF.
  • 33.
  • 34.
  • 35.
    Aparato yuxtaglomerular Elaparato yuxtaglomerular regula la presión arte-rial mediante la activación del sistema renina-angiotensina-aldosterona. Comprende la mácula densa , las células yuxtaglomerulares y las células mesangiales extraglomerulares .
  • 36.
    Mácula densa La mácula densa regula la secreción de renina de acuerdo con la composición del líquido tubular en el túbulo distal, por lo que una hiponatremia ( disminución de la concentración de sodio en sangre ) o hiperpotasemia ( aumento de la concentración de potasio en sangre ) implica un aumento en la secreción de renina. El incremento de líquido en el túbulo distal, produce la expansión de este lo cual inhibe la secreción de renina.
  • 37.
    Células yuxtaglomerulares En esta misma región las células musculares lisas de la arteriola aferente (y, a veces, de la arteriola eferente) contigua están modificadas. Contienen gránulos de secreción y sus núcleos son redondeados. Estas células yuxtaglomerulares (o células JG ) están en íntimo contacto con las células de la mácula densa y sólo las separa una lámina basal incompleta.
  • 38.
  • 39.
    Sistema renina-angiotensina-aldosterona (SRAA) En algunas situaciones fisiológicas (ingesta reducida de sodio) o patológicas (disminución del volumen sanguíneo circulante por hemorragia o baja perfusión renal por compresión de las arterias renales) las células yuxtaglomerulares activan el sistema renina-angiotensina-aldosterona. Los gránulos de las células yuxtaglomerulares contienen una proteasa, llamada renina, que es sintetizada, almacenada y secretada hacia la sangre por estas células musculares lisas modificadas.
  • 40.
    En la sangrela renina cataliza la hidrólisis del angiotensinógeno, para producir angiotensina I. La angiotensina I es convertida en angiotensina II por la enzima convertidora de angiotensina (ECA) que hay en las células endoteliales de los capilares pulmonares. La angiotensina II estimula la síntesis y la liberación de la hormona aldosterona desde la zona glomerular de la corteza suprarrenal. También es un vasoconstrictor arteriolar y estimula la secreción de la hormona antidiurética ( ADH ) por la hipófisis.
  • 41.
    Aldosterona Actúa sobrelos receptores de mineralo-corticoides en las células principales en el túbulo distal estimulando la reabsorción de iones Na + y de agua hacia el torrente sanguíneo, y la secreción de iones K + en la orina. La aldosterona estimula la secreción de H + por las células intercaladas en el túbulo colector, regulando los niveles plasmáticos de bicarbonato (HCO 3 − ) y su equilibrio ácido-base.
  • 42.
  • 43.
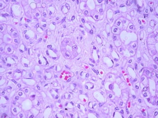
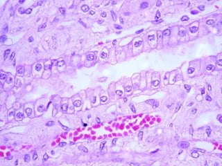
    Túbulo contorneado proximalEl túbulo recibe el ultrafiltrado desde el espacio urinario de la cápsula de Bowman. Presenta un ribete en cepillo compuesto por micro-vellosidades rectas, largas y muy juntas (luz sucia). Estriaciones básales, que consisten en mitocondrias alargadas concentradas en las prolongaciones básales y con orientación vertical. La pared del túbulo está formada por una capa de células cubicas altas o cilíndricas bajas con citoplasma muy eosinófilo y un núcleo central redondo.
  • 44.
  • 45.
    De los 180L/día de ultrafiltrado que ingresan en las nefronas cerca de 120 L/día, o sea el 65% del ultrafil-trado, se reabsorben en el túbulo contorneado proximal. La ATPasa de Na + /K + (bomba de sodio) es una proteína transmembrana que está situada en los pliegues de la membrana plasmática y se encarga de la reabsorción de Na + , que es la fuerza impulsora para la reabsorción del agua en el túbulo contorneado proximal. La AQP-1 es una proteína transmembrana que actúa como canal para el agua en la membrana plasmática de las células del túbulo contorneado proximal.
  • 46.
    Segmento delgado delasa de Henle Las nefronas yuxtamedulares tienen las ramas más largas mientras que las nefronas corticales tienen las más cortas. Presenta un epitelio plano simple . Es parte del sistema intercambiador de contra-corriente que actúa para concentrar la orina.
  • 47.
    Túbulo contorneadodistal El núcleo está ubicado en la región apical y a veces provoca la protrusión de la célula dentro de la luz. Las células cúbicas grandes del túbulo apenas se tiñen con la eosina y los límites celulares laterales no se ven. También exhiben una cantidad mucho menor de microvellosidades que están menos desarrolladas que las de las células del túbulo recto proximal.
  • 48.
  • 49.
  • 50.
  • 51.
    Túbulo contorneadodistal Funciones : Reabsorción de Na + y secreción de K + hacia el ultrafiltrado para conservar el Na + . Reabsorción de ion bicarbonato, con la secreción de iones hidrógeno, lo que conduce a la acidificación adicional de la orina. Secreción de amonio en respuesta a la necesidad de excretar ácido y generar bicarbonato.
  • 52.
    Túbulos colectores yconductos colectores Los túbulos y los conductos colectores presentan un epitelio cúbico y se distinguen con facilidad de los túbulos proximales y distales a causa de los límites celulares que pueden verse con el microscopio óptico. El núcleo de las células es redondo y central, y en la superficie apical se forma una eminencia cónica convexa característica en la luz.
  • 53.
    En estos túbulosy conductos hay dos tipos celulares bien definidos, a saber: Células claras , también llamadas células principa-les, del conducto colector o células CD , que son las células principales del sistema. Estas células poseen una cantidad abundante de canales acuosos regulados por ADH (AQP-2), lo que explica la permeabilidad al agua de los conductos colectores. Células oscuras, conocidas como células interca-lares ( IC ), que aparecen en una cantidad menor.
  • 54.
  • 55.
  • 56.
  • 57.
    Regulación hormonal de los conductos colectores La permeabilidad al agua del epitelio de los conductos colectores está regulada por la hormona antidiurética (ADH o vasopresina). Esta hormona actúa sobre canales acuosos regulados por ADH (AQP-2) situados en el epitelio de la porción terminal del túbulo contorneado distal y en el epitelio de los túbulos y los conductos colectores. A través de la secreción de ADH es posible regular la eliminación de agua entre unos 500 cc 3 y 23 litros /día.
  • 58.
    Células intersticiales Eltejido conectivo del parénquima renal, llamado tejido intersticial , rodea las nefronas, los conductos y los vasos sanguíneos y linfáticos. Algunos fibroblastos de la corteza se encargan de la producción del factor de crecimiento eritropoyetina ( EPO ). Se trata de una glucoproteína producida por las células intersticiales renales con sensores para O 2 que reaccionan ante un estado de hipoxia (disminución de la presión de oxígeno). La EPO estimula la eritropoyesis, sobre todo, por acción de las CFU-E, que tienen especial sensibilidad para EPO
  • 59.
    Vías urinarias Laorina fluye secuencialmente hacia un cáliz menor, un cáliz mayor y la pelvis renal y abandona cada riñón a través del uréter que la conduce hasta la vejiga , donde se almacena. Al final la orina se elimi­na a través de la uretra . Todos estos conductos de excreción de la orina (vías urinarias), excepto la uretra, tienen la misma organización general; una mucosa (revestida por epitelio de transición o urotelio), una muscular y una adventicia (o, en algunas regiones, una serosa).
  • 60.
    Epitelio de transición, polimorfo o urotelio El urotelio se podrá encontrar en dos estados, uno se denomina estado contraído y el otro relajado . En el estado contraído (vejiga vacía) hay muchas ca-pas celulares , las células apicales se hacen globosas . Cuando el epitelio se estira al llenase la vejiga (estado relajado) se llegan a distinguir sólo dos capas de células.
  • 61.
    Todas las célulasde este epitelio presentan finas prolongaciones mediante las cuales están ancladas a la membrana basal. A estas células se las denomina células en forma de raqueta y el glucógeno almacenado perinuclear es utilizado para poder obtener energía y lograr este reordenamiento a medida que cambia el volumen vesical.
  • 62.
  • 63.
  • 64.
  • 65.
  • 66.
  • 67.
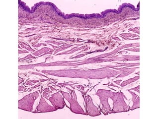
    Uréteres La superficieluminal de la pared del uréter está revestida por un epitelio de transición (urotelio). El resto de la pared está compuesto por músculo liso y tejido conectivo. El músculo liso está organizado en tres capas: una longitudinal interna , una circular media y una longitudinal externa .
  • 68.
  • 69.
    Vejiga En los cortes histológicos de rutina obtenidos de la vejiga vacía las células epiteliales superficiales suelen ser cuboides y protruir dentro de la luz. Con frecuencia se describen como abombadas o "en cúpula" por la curvatura de su superficie apical, las células apicales son globosas y esta es una diferencia muy importante para no confundir al urotelio de la vejiga con el epitelio plano estratificado de la piel.
  • 70.
  • 71.
    Bibliografía consultada FinnGeneser. Histología. 3ª Edición 2000 Editorial Panamericana. Ross MH-Pawlina. Histología Texto y Atlas color con Biología Celular y Molecular. 5ª Edición 2007 Editorial Panamericana. Fawcett D.W. Tratado de Histología. 12ª Edición 1995 Editorial Interamericana. Mc Graw-Hill. Manuales Micromeds Histología (Riobamba 781 1ºA, esquina Av. Córdoba).