Grandes síndromes respiratorios
Republica Bolivariana de Venezuela
Ministerio del Poder Popular para la Educación Universitaria
Universidad Ciencias de la Salud ¨Hugo Chávez Frías¨
El Macaro – Estado Aragua
Doctora:
María Bolívar
Bachiller:
Jose Pereañez
C.I. 30.222.561
Es un proceso inflamatorio de la rama bronquial
asociado a una excesiva producción de moco
traqueo bronquial
Bronquitis
 Virus:
Influenza
Sincicial
Rinovirus
Adenovirus
Virus de Influenza A y B
Parainfluenza
Mycoplasma
Bacterias:
Haemophilus parainfluenzae.
Haemophilus influenzae (más común).
Moraxella catarrhalis (más común).
Streptococcus pneumoniae
Streptococcus pyogenes.
Staphylococcus aureus
 Agentes menos frecuentes:
Chlamydia pneumoniae
Klebsiella pneumoniae
Mycoplasma pneumoniae
Pseudomona aeruginosa
 Otros:
Inhalación de tóxicos
Tabaquismo
Contaminación
ambiental
Etiologia:
Clasificación:
 Principalmente en dos tipos:
Bronquitis aguda: Bronquitis crónica:
Menor de 12 semanas Mayor de 12 semanas
Fisiopatología:
Agente
Citocinas
TNF-a
IL-8
IL-6
Reclutaran y activaran:
Células dendríticas
Linfocitos T, B
Monocitos
Neutrófilos
Inflamación y
destrucción de las
células ciliadas
Aumentando las células
dendríticas y así teniendo
una sobre producción de
mucus
Cuadro clínico:
 Fiebre
 Astenia
 Mialgias
 Tos persistente con
predominio por las noches
 Disnea
 Cefaleas
 Rinorrea
 Vómica
 Diarrea (En algunos casos)
 Emesis (En algunos casos)
 Nauseas (En algunos casos)
Diagnostico:
Anamnesis:
El inicio de los signos y síntomas
¿Cuanto tiempo tiene con la sintomatología?
De color es la secreción mucosa
Antecedentes patológicos personales y familiares
A estado expuesto a contaminante del aire, polvos, gases
Examen físico:
 Medir la frecuencia respiratoria
 A la palpación: Disminución de la expansión torácica
 A la auscultación: Apreciar sibilancias
Complementarios:
 Hematología completa:
 Leucocitosis
 Neutrofilia
 Linfocitosis
 Eosinofilia
 Proteína C reactiva: > 5mg/L
 Velocidad de sedimentación
globular: >10mm/h
 Radiografía de tórax
 Cultivo de esputo con
antibiograma
Diagnostico diferencial:
Asma bronquial • Tiraje intercostal
EPOC • Perdida de peso sin razón
aparente
• Tórax en tonel
Traqueobronquitis • Hemoptisis
• Palpación de adenopatías
• Cianosis
Tratamiento:
Farmacológico:
 Acetaminofén: (tableta 650mg)
Tomar vía oral 1 tableta de cada 4
o 6 horas, si presenta fiebre ó
malestar general , ó dolor
 Amoxicilina/ Acido clavunalico:
(tableta 625mg)
Tomar vía oral 1 tableta cada 12
horas por 7 días
 Omeprazol: (Capsula 40mg)
Tomar vía oral 1 capsula día por 7
días
 Budesonida: aerosol
200mcg/dosis
Colocar 2 puff cada 12 horas por 5
días, después en solo en crisis
 Salbutamol: solución para
inhalación 0,5%
Diluir 15 gotas en 3cc de solución
fisiológica al 0,9%, primera
nebulización cada 20 min por 3
veces seguida, diario por 5 días
No farmacológico:
Reposo e hidratación abundante
Explicación clara por parte de médico de la naturaleza y el
curso clínico de la enfermedad.
No hay necesidad de Antibióticos
Evitar irritantes ambientales; tabaco, gases tóxicos
 Dejar de fumar, en el caso de ser fumador
Cumplimiento del tratamiento
 El uso de tapaboca
 Lavado nasales
Broncoespasmo:
Se define como una contracción anormal del musculo liso de
la vía aérea a expensas principalmente de los bronquios terciario
y secundarios, dando así un broncoconstricción de la luz del
tracto bronquial
Por:
 Asma bronquial
 EPOC
 Bronquitis crónica
 Fumar
 Contaminación del aire
 Cambio climático
 Alergias por químicos
 Infecciones respiratorias
Etiologia:
Clasificación:
 Según su causa:
 Inducido por ejercicios
 Por infecciones respiratorias
 Medicamentoso
 Asociado a enfermedades crónica
 Según su gravedad:
 Leve
 Moderado
 Severo
Fisiopatología:
Estimulación de
receptores
adrenérgicos
Mediadores de la
inflamatorios como:
La histamina
Los leucotrienos
En caso de la inflamación crónica se observa en el asma
bronquial, provocando un aumento de la producción de mocus
y engrosamiento de las paredes bronquiales
Contribuyendo al aumento de la
sensibilidad por diversos
desencadenantes como
alérgenos y contaminantes
Siendo susceptible al broncoespasmo
provocado una disminución en el flujo de
aire llevando a una hipoxia e hipercapnia
Cuadro clínico:
 Disnea
 Tos
 Vértigo
 Dolor torácico
 Astenia
Diagnostico:
Anamnesis:
El inicio de los signos y síntomas
¿Cuanto tiempo tiene con la
sintomatología?
Antecedentes patológicos personales
y familiares
Examen físico:
 Medir la frecuencia respiratoria
 A la auscultación: se aprecia sibilancias
Complementarios:
 Hematología completa
Leucocitosis
Neutrofilia
Linfocitosis
Eosinofilia
 Proteína C reactiva: > 5mg/L
 Velocidad de sedimentación
globular: >10mm/h
 Radiografía de Tórax
 Tomografía axial computarizada
de tórax
Diagnostico diferencial:
Asma bronquial • Tiraje intercostal
EPOC • Perdida de peso sin razón
aparente
• Tórax en tonel
Bronquitis • Diarrea
• Emesis
• Nauseas
Tratamiento:
Farmacológico:
Amoxicilina/ Acido clavunalico: (tableta
625mg)
Tomar vía oral 1 tableta cada 12 horas por 7
días
Omeprazol: (Capsula 40mg)
Tomar vía oral 1 capsula día por 7 días
Budesonida: aerosol 200mcg/dosis
Colocar 2 puff cada 12 horas 5 días
Salbutamol 5 mg diluidos en 3 ml de suero
fisiológico. La dosis se puede repetir cada 20
minutos, en total 3 dosis en 1 hora.
No farmacológico:
Las técnicas de relajación, como la respiración
diafragmática y la meditación
Identificación y Evitación de Desencadenantes
Reposo e hidratación abundante
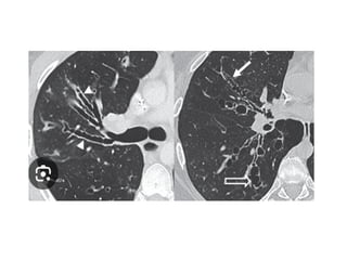
Bronquiectasia:
Se define como la dilatación excesiva irreversible de lo
bronquios primarios y secundarios, debido a la destrucción de
los componentes elásticos y musculares de la paredes
bronquiales.
Secundario a un proceso inflamatorio crónico que implica un
circulo vicioso de infección e inflamación de la vía aéreas
Etiologia:
Post infecciosa (30%): (Bacteriana (TBC), virus, hongos)
Idiopática (25-45%)
Inmunodeficiencia (4,5-9%)
Genética con alteración del sistema mucociliar (2,5-2,9%):
• Discinesia ciliar primaria. · Fibrosis quística
Asociado a enfermedades respiratorias crónica:
• EPOC (3,9-7,8%), Asma Bronquial (1,4-5,4%)
Asociado a enfermedades sistémica (1,4-3,8%):
• Artritis Reumatoide, Lupus
 Causas obstructiva (<1%)
• Tumores, cuerpos extraños, estenosis
Clasificación:
 Según su causa:
• Infecciosa
• Inmunodeficiencias
• Enfermedades inflamatoria
sistémica
• Inhalación
• Obstrucción de las vías
aéreas
Según su tipo:
Cilíndricas
Varicosas
Quística
Fisiopatología:
Circulo vicioso de cole:
Cuadro clínico:
 Tos crónica
 Expectoración mucosa
 Vómica
 Disnea
 Astenia
 Diaforesis nocturna
 Hemoptisis
 Fiebre (en algunos casos)
Diagnostico:
Anamnesis:
 Antecedentes patológicos personales y familiares
 El inicio de los signos y síntomas
 Antecedentes de infección
Examen físico:
A la inspección: Apreciamos acropaquias
Disminución de peso
A la auscultación crepitante, roncus o sibilancias
Complementarios:
 Hematología completa:
 Anemia leve
 Leucocitosis
 Neutrofilia
 Linfocitosis
 Eosinofilia
 Tomografía axial
computarizada de tórax
 Test de esputo con
antibiograma
 Proteína C reactiva: > 5mg/L
 Velocidad de sedimentación
globular: >10mm/h
Diagnostico diferencial:
Tuberculosis • Positivo al test de BAAR
• Presencia de cavernas en
la radiografía de tórax
EPOC • Consumo excesivo de
tabaco
• Tórax en tonel
Fibrosis Quística • Diarrea
• Pancreatitis
Tratamiento:
Farmacológico:
 Doxiciclina: tableta 100mg
Tomar vía oral 1 tableta cada 12 horas por
14 días
 Omeprazol: capsula 40mg
Tomar vía oral 1 capsula diaria por 1 mes
 Budesonida: aerosol 200mcg/dosis
Colocar 2 puff cada 8 horas
 Salbutamol: solución para inhalación
0,5%
Diluir 15 gotas en 3cc de solución fisiológica
al 0,9%, primera nebulización cada 20 min
por 3 veces
No farmacológico:
 Se utilizan técnicas de fisioterapia torácica, que incluyen
ejercicios de respiración y drenaje postural, para ayudar a
eliminar las secreciones acumuladas en los pulmones.
 Reposo e hidratación abundante

Bronquitis, broncoespàsmo, broncoestacsia.pptx

  • 1.
    Grandes síndromes respiratorios RepublicaBolivariana de Venezuela Ministerio del Poder Popular para la Educación Universitaria Universidad Ciencias de la Salud ¨Hugo Chávez Frías¨ El Macaro – Estado Aragua Doctora: María Bolívar Bachiller: Jose Pereañez C.I. 30.222.561
  • 2.
    Es un procesoinflamatorio de la rama bronquial asociado a una excesiva producción de moco traqueo bronquial Bronquitis
  • 3.
     Virus: Influenza Sincicial Rinovirus Adenovirus Virus deInfluenza A y B Parainfluenza Mycoplasma Bacterias: Haemophilus parainfluenzae. Haemophilus influenzae (más común). Moraxella catarrhalis (más común). Streptococcus pneumoniae Streptococcus pyogenes. Staphylococcus aureus  Agentes menos frecuentes: Chlamydia pneumoniae Klebsiella pneumoniae Mycoplasma pneumoniae Pseudomona aeruginosa  Otros: Inhalación de tóxicos Tabaquismo Contaminación ambiental Etiologia:
  • 4.
    Clasificación:  Principalmente endos tipos: Bronquitis aguda: Bronquitis crónica: Menor de 12 semanas Mayor de 12 semanas
  • 5.
  • 6.
    Inflamación y destrucción delas células ciliadas Aumentando las células dendríticas y así teniendo una sobre producción de mucus
  • 7.
    Cuadro clínico:  Fiebre Astenia  Mialgias  Tos persistente con predominio por las noches  Disnea  Cefaleas  Rinorrea  Vómica  Diarrea (En algunos casos)  Emesis (En algunos casos)  Nauseas (En algunos casos)
  • 8.
    Diagnostico: Anamnesis: El inicio delos signos y síntomas ¿Cuanto tiempo tiene con la sintomatología? De color es la secreción mucosa Antecedentes patológicos personales y familiares A estado expuesto a contaminante del aire, polvos, gases
  • 9.
    Examen físico:  Medirla frecuencia respiratoria  A la palpación: Disminución de la expansión torácica  A la auscultación: Apreciar sibilancias
  • 10.
    Complementarios:  Hematología completa: Leucocitosis  Neutrofilia  Linfocitosis  Eosinofilia  Proteína C reactiva: > 5mg/L  Velocidad de sedimentación globular: >10mm/h  Radiografía de tórax  Cultivo de esputo con antibiograma
  • 11.
    Diagnostico diferencial: Asma bronquial• Tiraje intercostal EPOC • Perdida de peso sin razón aparente • Tórax en tonel Traqueobronquitis • Hemoptisis • Palpación de adenopatías • Cianosis
  • 12.
    Tratamiento: Farmacológico:  Acetaminofén: (tableta650mg) Tomar vía oral 1 tableta de cada 4 o 6 horas, si presenta fiebre ó malestar general , ó dolor  Amoxicilina/ Acido clavunalico: (tableta 625mg) Tomar vía oral 1 tableta cada 12 horas por 7 días  Omeprazol: (Capsula 40mg) Tomar vía oral 1 capsula día por 7 días
  • 13.
     Budesonida: aerosol 200mcg/dosis Colocar2 puff cada 12 horas por 5 días, después en solo en crisis  Salbutamol: solución para inhalación 0,5% Diluir 15 gotas en 3cc de solución fisiológica al 0,9%, primera nebulización cada 20 min por 3 veces seguida, diario por 5 días
  • 14.
    No farmacológico: Reposo ehidratación abundante Explicación clara por parte de médico de la naturaleza y el curso clínico de la enfermedad. No hay necesidad de Antibióticos Evitar irritantes ambientales; tabaco, gases tóxicos  Dejar de fumar, en el caso de ser fumador Cumplimiento del tratamiento  El uso de tapaboca  Lavado nasales
  • 15.
    Broncoespasmo: Se define comouna contracción anormal del musculo liso de la vía aérea a expensas principalmente de los bronquios terciario y secundarios, dando así un broncoconstricción de la luz del tracto bronquial
  • 16.
    Por:  Asma bronquial EPOC  Bronquitis crónica  Fumar  Contaminación del aire  Cambio climático  Alergias por químicos  Infecciones respiratorias Etiologia:
  • 17.
    Clasificación:  Según sucausa:  Inducido por ejercicios  Por infecciones respiratorias  Medicamentoso  Asociado a enfermedades crónica  Según su gravedad:  Leve  Moderado  Severo
  • 18.
    Fisiopatología: Estimulación de receptores adrenérgicos Mediadores dela inflamatorios como: La histamina Los leucotrienos
  • 19.
    En caso dela inflamación crónica se observa en el asma bronquial, provocando un aumento de la producción de mocus y engrosamiento de las paredes bronquiales Contribuyendo al aumento de la sensibilidad por diversos desencadenantes como alérgenos y contaminantes Siendo susceptible al broncoespasmo provocado una disminución en el flujo de aire llevando a una hipoxia e hipercapnia
  • 20.
    Cuadro clínico:  Disnea Tos  Vértigo  Dolor torácico  Astenia
  • 21.
    Diagnostico: Anamnesis: El inicio delos signos y síntomas ¿Cuanto tiempo tiene con la sintomatología? Antecedentes patológicos personales y familiares Examen físico:  Medir la frecuencia respiratoria  A la auscultación: se aprecia sibilancias
  • 22.
    Complementarios:  Hematología completa Leucocitosis Neutrofilia Linfocitosis Eosinofilia Proteína C reactiva: > 5mg/L  Velocidad de sedimentación globular: >10mm/h  Radiografía de Tórax  Tomografía axial computarizada de tórax
  • 23.
    Diagnostico diferencial: Asma bronquial• Tiraje intercostal EPOC • Perdida de peso sin razón aparente • Tórax en tonel Bronquitis • Diarrea • Emesis • Nauseas
  • 24.
    Tratamiento: Farmacológico: Amoxicilina/ Acido clavunalico:(tableta 625mg) Tomar vía oral 1 tableta cada 12 horas por 7 días Omeprazol: (Capsula 40mg) Tomar vía oral 1 capsula día por 7 días Budesonida: aerosol 200mcg/dosis Colocar 2 puff cada 12 horas 5 días Salbutamol 5 mg diluidos en 3 ml de suero fisiológico. La dosis se puede repetir cada 20 minutos, en total 3 dosis en 1 hora.
  • 25.
    No farmacológico: Las técnicasde relajación, como la respiración diafragmática y la meditación Identificación y Evitación de Desencadenantes Reposo e hidratación abundante
  • 26.
    Bronquiectasia: Se define comola dilatación excesiva irreversible de lo bronquios primarios y secundarios, debido a la destrucción de los componentes elásticos y musculares de la paredes bronquiales. Secundario a un proceso inflamatorio crónico que implica un circulo vicioso de infección e inflamación de la vía aéreas
  • 27.
    Etiologia: Post infecciosa (30%):(Bacteriana (TBC), virus, hongos) Idiopática (25-45%) Inmunodeficiencia (4,5-9%) Genética con alteración del sistema mucociliar (2,5-2,9%): • Discinesia ciliar primaria. · Fibrosis quística Asociado a enfermedades respiratorias crónica: • EPOC (3,9-7,8%), Asma Bronquial (1,4-5,4%) Asociado a enfermedades sistémica (1,4-3,8%): • Artritis Reumatoide, Lupus  Causas obstructiva (<1%) • Tumores, cuerpos extraños, estenosis
  • 28.
    Clasificación:  Según sucausa: • Infecciosa • Inmunodeficiencias • Enfermedades inflamatoria sistémica • Inhalación • Obstrucción de las vías aéreas Según su tipo: Cilíndricas Varicosas Quística
  • 30.
  • 32.
    Cuadro clínico:  Toscrónica  Expectoración mucosa  Vómica  Disnea  Astenia  Diaforesis nocturna  Hemoptisis  Fiebre (en algunos casos)
  • 33.
    Diagnostico: Anamnesis:  Antecedentes patológicospersonales y familiares  El inicio de los signos y síntomas  Antecedentes de infección Examen físico: A la inspección: Apreciamos acropaquias Disminución de peso A la auscultación crepitante, roncus o sibilancias
  • 34.
    Complementarios:  Hematología completa: Anemia leve  Leucocitosis  Neutrofilia  Linfocitosis  Eosinofilia  Tomografía axial computarizada de tórax  Test de esputo con antibiograma  Proteína C reactiva: > 5mg/L  Velocidad de sedimentación globular: >10mm/h
  • 35.
    Diagnostico diferencial: Tuberculosis •Positivo al test de BAAR • Presencia de cavernas en la radiografía de tórax EPOC • Consumo excesivo de tabaco • Tórax en tonel Fibrosis Quística • Diarrea • Pancreatitis
  • 36.
    Tratamiento: Farmacológico:  Doxiciclina: tableta100mg Tomar vía oral 1 tableta cada 12 horas por 14 días  Omeprazol: capsula 40mg Tomar vía oral 1 capsula diaria por 1 mes  Budesonida: aerosol 200mcg/dosis Colocar 2 puff cada 8 horas  Salbutamol: solución para inhalación 0,5% Diluir 15 gotas en 3cc de solución fisiológica al 0,9%, primera nebulización cada 20 min por 3 veces
  • 37.
    No farmacológico:  Seutilizan técnicas de fisioterapia torácica, que incluyen ejercicios de respiración y drenaje postural, para ayudar a eliminar las secreciones acumuladas en los pulmones.  Reposo e hidratación abundante