Capitulo 5
Células contráctiles
Hay cuatro grupos de células contráctiles
• Musculares Forman el musculo estriado y liso
• Miofibroblastos Función contráctil y segregan colágeno
• Pericitos Rodean a los vasos sanguíneos
• Mioepiteliales Componente de ciertas glándulas secretoras
La contracción principalmente esta modulada por filamentos de actina
y miosina
Musculo esquelético
• Movimiento voluntario
• Multinuclear
• Tiene células precursoras musculares (células satélite)
• Su citoplasma contiene muchas mitocondrias
Un sincitio se forma por fusión de células individuales
Sarcolema: membrana celular
Sarcoplasma: citoplasma celular
Retículo sarcoplasmatico: retículo endoplasmatico
Sarcosoma: mitocondria
Sarcomero: es la unidad anatómica y funcional del músculo estriado
• El elemento contráctil son las miofibrillas
• Compuestas por ensamblajes finos-actina y gruesos-miosina
• El musculo estriado son cientos de miofibrillas alterando zonas de
filamentos gruesos y finos, musculo estriado
• Los filamentos se mantienen en posición por proteínas accesorias que
dividen las miofibrillas en sarcomeros
• En cada sarcomero cada filamento grueso esta rodeado de 6 finos
La contracción se produce con el deslizamiento de unos sobre otros
(Finos-actina sobre gruesos-miosina)
• Perfil aproximadamente
hexagonales
• Núcleos debajo de la
membrana celular
• Tabiques
fibrocartilaginosos
contienen vasos
sanguíneos
• Parece tener estriaciones
transversales debido a la
prescencia de pilas de
miofibrillas compuestas por
zonas alternantes y
superpuestas de filamentos
gruesos y finos
Contracción
• Los filamentos de actina se deslizan a lo largo de los de miosina ”caminan”
• La hidrolisis del ATP es la que proporciona energía
• La miosina actúa como una ATPasa que se activa al unirse a la actina
• Tropomiosina proteína larga en forma
de varilla, alrededor del filamento de
actina que da rigidez y estabiliza
• Troponina Regula la unión de actina-
miosina se une a la Tropomiosina y esta
compuesto por troponina T, L, C
• Troponina L evita la unión física
miosina- actina
• Troponina T une el complejo a la
Tropomiosina y coloca el filamento de
actina donde se debería unir con la
miosina
• Troponina C une iones de calcio
permitiendo que la miosina acceda al
filamento de actina
• La excitación de la membrana del sistema tubular T provoca la apertura de
los canales para los iones de calcio, permitiendo que los iones inunden el
interior del citoplasma, el aumento de calcio en el citosol inicia la
contracción muscular
• Una triada es la unión del retículo sarcoplasmatico con un túbulo T
• Las triadas controlan la contracción muscular mediante la regulación
del calcio
• Se extienden desde la superficie de la membrana hasta las partes mas
profundas del musculo
• Existen dos extensiones del retículo sarcoplasmatico que contienen
una elevada concentración de calcio
Datos clave
• Cada fibra muscular esquelética esta rodeada de una lamina externa
• El musculo estriado se basa en un alineamiento perfecto de los
filamentos de actina y miosina
• La actina se organiza en filamentos finos que se anclan a la línea Z
• La miosina se organiza en filamentos gruesos que se anclan a la línea M
• Las triadas de membrana acoplan la excitación de la membrana con la
liberación de calcio al citoplasma
• El acido citosolico regula la contracción
Musculo estriado cardiaco
• Similitudes
• Musculo estriado
• Organización similar de
filamentos de actina y misiona
en la contracción
• Diferencias
• Células mononucleares mas cortas
• Se producen fibras musculares
cardiacas largas por la unión de anclaje
• Existe una población de células madre
pero no regeneran de forma
significativa en una lesión
• En lugar de formar sincitios se alinean
en largas cadenas y desarrol
Tipos de uniones
• Desmosoma
• Adherente
• Comunicantes
Contracción
• Regulada por calcio
• El sistema de túbulos t consiste en
invaginaciones mucho mas
profundas de la superficie celular
• El retículo sarcoplasmatico no es
tan regular ni bien organizado
• La asociación del retículo
sarcoplasmatico con los tubulos t
adquiere forma de diadas en lugar
de triadas
MUSCULO ESTRIADO CARDIACO- CORTE TRANSVERSAL
Sus núcleos están organizados centralmente y presentar formas irregulares
entre las células musculares cardiacas hay un rico aporte sanguíneo
El musculo cardiaco aparece como una serie de cordones celulares anastomosados que se ramifican y se unen con fibras
adyacentes en las uniones celulares (discos intercalados)
Musculo liso
• Principal célula contráctil de las paredes de las vísceras y vasos sanguíneos
• Sistema de proteínas contráctiles menos organizado
• Control involuntario
• Tienen forma de huso y varían en tamaño 20 um a 500 um
• Tiene un núcleo por célula de forma elongada o elíptica
• Cada celula esta rodeada por una lamina externa a la cual se adhieren las
membranas pequeños grupos de células se organizan en colágeno que
contiene vasos sanguíneos y nervios
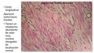
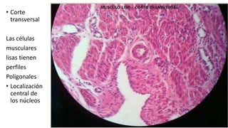
• Corte
transversal
Las células
musculares
lisas tienen
perfiles
Poligonales
• Localización
central de
los núcleos
• Corte
longitudinal
Aparecen
como haces
lineales
• Tienen un
citoplasma
abundante
de color
rosa,
nucleos
elongados
de
localización
central
• Densidades focales (una organización en la que los haces de proteínas
contráctiles entrecruzan la celula y se insertan en puntos de anclaje) se
encuentran alrededor de la membrana celular
• La tensión generada por la contracción se transmite por las densidades focales
• Los filamentos intermedios (desmina) se insertan en las densidades focales
• Las uniones comunicantes en el musculo liso se llaman “uniones de nexo”
permiten que se difunda la exitacion entre las células
• Cavéolas: numerosas invaginaciones de la membrana
• Las células musculares lisas tienen algo parecido a las caveolas, se piensa que
funcionan de la misma manera que los túbulos T controlan la entradade calcio
• Las proteínas contráctiles están organizadas siguiendo un patrón entrecruzado
y están insertadas en la membrana celular de forma circunferencial
• Su contracción adopta una forma globular
• Su relajación adopta una forma elongada
• Tipo funcional unitario
Las células tienden a generar su propio
nivel de contracción rítmica
Puede estimularse por nexos
Inervado por el sistema nervioso
autónomo
Musculo liso tónico-contracción lenta
• Tipo funcional multiunitario
Se encuentra en la pupila
En los vasos y algunas arterias
Inervación autónoma controla de
forma precisa la contracción
Musculo liso fasico-contracción rápida
Datos clave
• Las células en forma de huso están rodeadas por la lamina externa
• Es la principal célula contráctil de las vísceras huecas, vasos
sanguíneos y vías respiratorias
• Las proteínas contráctiles están insertadas en densidades focales
alrededor de la periferia celular
• La contracción esta modulada por factores neuronales y endocrinos
• Existen dos grandes tipos de musculo liso (tónico y fasico), que se
caracterizan por la organización y la velocidad de contracción
Miofibroblastos
• Son células con forma de huso que segregan colágeno similar a fibroblastos
• Propiedades contráctiles bien definidas similar al musculo liso
• En cortes histológicos se confunden, pero la tinción los revela
• Carecen de lamina externa
• Forman una población inactiva de células y son casi invisibles
• Se vuelven activos para proliferar y reparan los defectos de una muerte
tisular
• Forman una población escasa de tejido de sostén de colágeno laxo
• En heridas segregan colágeno y forman una cicatriz
•Pericitos
• Se encuentran alrededor de los vasos y pueden actuar como células madre
• Celulas en formade huso alrededor de los capilares y vénulas
• Rodeados por una lamina externa
• Funcion contráctil prescencia de actina y miosina
• Despues de la lesión de un tejido proliferan y adoptan el papel de células
mesenquimatosas primitivas pasa a ser tejido de sostén y vasos sanguíneos
nuevos
Células Mioepiteliales
• Se encuentran en las glándulas exocrinas
• Se ven con la tinción H-E (núcleos oscuros, citoplasma claro)
• Alrededor de los acinos forman un entramado contráctil que encierra
las unidades secretoras de las glándulas
• Se pueden detectar en los cortes por su alto contenido en desmina
• Corre a cargo del sistema nervioso autónomo
• Su estimulación hace contracción y expulsión de las secreciones
glandulares
Musculo cardiaco y enfermedad
• El factor mas importante que afecta la función muscular cardiaca es
un oxigenación inadecuada, suele ser consecuencia de una irrigación
inadecuada por la arteria coronaria
• Cuando la célula del musculo cardiaco muere, otras tienen que
aumentar su tamaño y trabajo para compensarlo (se hipertrofian)
• Los trastornos genéticos afectan la estructura y la función del
musculo cardiaco, se denomina miocardiopatías
Hipertrofia muscular
• Disminución de células aumento de tamaño y carga de la célula
• El musculo esquelético la sufre cuando aumenta la actividad física
• El musculo cardiaco puede sufrir hipertrofia en muchas circunstancias
Hiperplasia muscular
• Incremento del numero de células
• Para que se produzca las células deben ser capaces de dividirse, solo
se presenta en el musculo liso
Artrofia muscular
• Musculo que asume una carga de trabajo reducida
• Ocurre cuando los musculos se utilizan poco ejemplo paralisis o lesiones
• Es frecuente en los ancianos que están inactivos desde hace tiempo
• El corazón se vuelve mas pequeño
Miofibroblastos en la enfermedad
• Son importantes en la curación de heridas
• En estas enfermedades los estímulos que causan la proliferación de
los Miofibroblastos están muy claros, pero participa la producción
local de factores de crecimiento
• Bibliografía
Stevens y lowe histología humana 4ta edicion

Capitulo 5 Células contráctiles histologia

  • 1.
  • 2.
    Hay cuatro gruposde células contráctiles • Musculares Forman el musculo estriado y liso • Miofibroblastos Función contráctil y segregan colágeno • Pericitos Rodean a los vasos sanguíneos • Mioepiteliales Componente de ciertas glándulas secretoras La contracción principalmente esta modulada por filamentos de actina y miosina
  • 3.
    Musculo esquelético • Movimientovoluntario • Multinuclear • Tiene células precursoras musculares (células satélite) • Su citoplasma contiene muchas mitocondrias Un sincitio se forma por fusión de células individuales Sarcolema: membrana celular Sarcoplasma: citoplasma celular Retículo sarcoplasmatico: retículo endoplasmatico Sarcosoma: mitocondria Sarcomero: es la unidad anatómica y funcional del músculo estriado
  • 4.
    • El elementocontráctil son las miofibrillas • Compuestas por ensamblajes finos-actina y gruesos-miosina • El musculo estriado son cientos de miofibrillas alterando zonas de filamentos gruesos y finos, musculo estriado • Los filamentos se mantienen en posición por proteínas accesorias que dividen las miofibrillas en sarcomeros • En cada sarcomero cada filamento grueso esta rodeado de 6 finos
  • 5.
    La contracción seproduce con el deslizamiento de unos sobre otros (Finos-actina sobre gruesos-miosina)
  • 6.
    • Perfil aproximadamente hexagonales •Núcleos debajo de la membrana celular • Tabiques fibrocartilaginosos contienen vasos sanguíneos
  • 7.
    • Parece tenerestriaciones transversales debido a la prescencia de pilas de miofibrillas compuestas por zonas alternantes y superpuestas de filamentos gruesos y finos
  • 9.
    Contracción • Los filamentosde actina se deslizan a lo largo de los de miosina ”caminan” • La hidrolisis del ATP es la que proporciona energía • La miosina actúa como una ATPasa que se activa al unirse a la actina
  • 10.
    • Tropomiosina proteínalarga en forma de varilla, alrededor del filamento de actina que da rigidez y estabiliza • Troponina Regula la unión de actina- miosina se une a la Tropomiosina y esta compuesto por troponina T, L, C • Troponina L evita la unión física miosina- actina • Troponina T une el complejo a la Tropomiosina y coloca el filamento de actina donde se debería unir con la miosina • Troponina C une iones de calcio permitiendo que la miosina acceda al filamento de actina
  • 11.
    • La excitaciónde la membrana del sistema tubular T provoca la apertura de los canales para los iones de calcio, permitiendo que los iones inunden el interior del citoplasma, el aumento de calcio en el citosol inicia la contracción muscular
  • 12.
    • Una triadaes la unión del retículo sarcoplasmatico con un túbulo T • Las triadas controlan la contracción muscular mediante la regulación del calcio • Se extienden desde la superficie de la membrana hasta las partes mas profundas del musculo • Existen dos extensiones del retículo sarcoplasmatico que contienen una elevada concentración de calcio
  • 13.
    Datos clave • Cadafibra muscular esquelética esta rodeada de una lamina externa • El musculo estriado se basa en un alineamiento perfecto de los filamentos de actina y miosina • La actina se organiza en filamentos finos que se anclan a la línea Z • La miosina se organiza en filamentos gruesos que se anclan a la línea M • Las triadas de membrana acoplan la excitación de la membrana con la liberación de calcio al citoplasma • El acido citosolico regula la contracción
  • 14.
    Musculo estriado cardiaco •Similitudes • Musculo estriado • Organización similar de filamentos de actina y misiona en la contracción • Diferencias • Células mononucleares mas cortas • Se producen fibras musculares cardiacas largas por la unión de anclaje • Existe una población de células madre pero no regeneran de forma significativa en una lesión • En lugar de formar sincitios se alinean en largas cadenas y desarrol
  • 15.
    Tipos de uniones •Desmosoma • Adherente • Comunicantes Contracción • Regulada por calcio • El sistema de túbulos t consiste en invaginaciones mucho mas profundas de la superficie celular • El retículo sarcoplasmatico no es tan regular ni bien organizado • La asociación del retículo sarcoplasmatico con los tubulos t adquiere forma de diadas en lugar de triadas
  • 16.
    MUSCULO ESTRIADO CARDIACO-CORTE TRANSVERSAL Sus núcleos están organizados centralmente y presentar formas irregulares entre las células musculares cardiacas hay un rico aporte sanguíneo
  • 17.
    El musculo cardiacoaparece como una serie de cordones celulares anastomosados que se ramifican y se unen con fibras adyacentes en las uniones celulares (discos intercalados)
  • 18.
    Musculo liso • Principalcélula contráctil de las paredes de las vísceras y vasos sanguíneos • Sistema de proteínas contráctiles menos organizado • Control involuntario • Tienen forma de huso y varían en tamaño 20 um a 500 um • Tiene un núcleo por célula de forma elongada o elíptica • Cada celula esta rodeada por una lamina externa a la cual se adhieren las membranas pequeños grupos de células se organizan en colágeno que contiene vasos sanguíneos y nervios
  • 19.
    • Corte transversal Las células musculares lisastienen perfiles Poligonales • Localización central de los núcleos
  • 20.
    • Corte longitudinal Aparecen como haces lineales •Tienen un citoplasma abundante de color rosa, nucleos elongados de localización central
  • 21.
    • Densidades focales(una organización en la que los haces de proteínas contráctiles entrecruzan la celula y se insertan en puntos de anclaje) se encuentran alrededor de la membrana celular • La tensión generada por la contracción se transmite por las densidades focales • Los filamentos intermedios (desmina) se insertan en las densidades focales • Las uniones comunicantes en el musculo liso se llaman “uniones de nexo” permiten que se difunda la exitacion entre las células
  • 22.
    • Cavéolas: numerosasinvaginaciones de la membrana • Las células musculares lisas tienen algo parecido a las caveolas, se piensa que funcionan de la misma manera que los túbulos T controlan la entradade calcio • Las proteínas contráctiles están organizadas siguiendo un patrón entrecruzado y están insertadas en la membrana celular de forma circunferencial • Su contracción adopta una forma globular • Su relajación adopta una forma elongada
  • 23.
    • Tipo funcionalunitario Las células tienden a generar su propio nivel de contracción rítmica Puede estimularse por nexos Inervado por el sistema nervioso autónomo Musculo liso tónico-contracción lenta • Tipo funcional multiunitario Se encuentra en la pupila En los vasos y algunas arterias Inervación autónoma controla de forma precisa la contracción Musculo liso fasico-contracción rápida
  • 24.
    Datos clave • Lascélulas en forma de huso están rodeadas por la lamina externa • Es la principal célula contráctil de las vísceras huecas, vasos sanguíneos y vías respiratorias • Las proteínas contráctiles están insertadas en densidades focales alrededor de la periferia celular • La contracción esta modulada por factores neuronales y endocrinos • Existen dos grandes tipos de musculo liso (tónico y fasico), que se caracterizan por la organización y la velocidad de contracción
  • 25.
    Miofibroblastos • Son célulascon forma de huso que segregan colágeno similar a fibroblastos • Propiedades contráctiles bien definidas similar al musculo liso • En cortes histológicos se confunden, pero la tinción los revela • Carecen de lamina externa • Forman una población inactiva de células y son casi invisibles • Se vuelven activos para proliferar y reparan los defectos de una muerte tisular • Forman una población escasa de tejido de sostén de colágeno laxo • En heridas segregan colágeno y forman una cicatriz
  • 26.
    •Pericitos • Se encuentranalrededor de los vasos y pueden actuar como células madre • Celulas en formade huso alrededor de los capilares y vénulas • Rodeados por una lamina externa • Funcion contráctil prescencia de actina y miosina • Despues de la lesión de un tejido proliferan y adoptan el papel de células mesenquimatosas primitivas pasa a ser tejido de sostén y vasos sanguíneos nuevos
  • 27.
    Células Mioepiteliales • Seencuentran en las glándulas exocrinas • Se ven con la tinción H-E (núcleos oscuros, citoplasma claro) • Alrededor de los acinos forman un entramado contráctil que encierra las unidades secretoras de las glándulas • Se pueden detectar en los cortes por su alto contenido en desmina • Corre a cargo del sistema nervioso autónomo • Su estimulación hace contracción y expulsión de las secreciones glandulares
  • 28.
    Musculo cardiaco yenfermedad • El factor mas importante que afecta la función muscular cardiaca es un oxigenación inadecuada, suele ser consecuencia de una irrigación inadecuada por la arteria coronaria • Cuando la célula del musculo cardiaco muere, otras tienen que aumentar su tamaño y trabajo para compensarlo (se hipertrofian) • Los trastornos genéticos afectan la estructura y la función del musculo cardiaco, se denomina miocardiopatías
  • 29.
    Hipertrofia muscular • Disminuciónde células aumento de tamaño y carga de la célula • El musculo esquelético la sufre cuando aumenta la actividad física • El musculo cardiaco puede sufrir hipertrofia en muchas circunstancias
  • 30.
    Hiperplasia muscular • Incrementodel numero de células • Para que se produzca las células deben ser capaces de dividirse, solo se presenta en el musculo liso
  • 31.
    Artrofia muscular • Musculoque asume una carga de trabajo reducida • Ocurre cuando los musculos se utilizan poco ejemplo paralisis o lesiones • Es frecuente en los ancianos que están inactivos desde hace tiempo • El corazón se vuelve mas pequeño
  • 32.
    Miofibroblastos en laenfermedad • Son importantes en la curación de heridas • En estas enfermedades los estímulos que causan la proliferación de los Miofibroblastos están muy claros, pero participa la producción local de factores de crecimiento
  • 33.
    • Bibliografía Stevens ylowe histología humana 4ta edicion