Realizado por:
MV: DAWSON DUNO
TEJIDO
•Se denomina tejido a la agrupación de células con una
estructura determinada que realizan una función especializada,
vital para el organismo.


•Los tejidos animales adquieren su forma inicial a partir del
óvulo fecundado. A medida que las células se van diferenciando,
determinados grupos de células dan lugar a unidades más
especializadas para formar órganos que se componen,
en general, de varios tejidos formados por células
con la misma función.
ORIGEN EMBRIONARIO DE LOS TEJIDOS
TEJIDO EPITELIAL
• El epitelio es un tejido compuesto por células muy próximas
entre sí, sin sustancia intercelular que las separe.



• Los epitelios recubren todas las superficies libres del
organismo, tanto internas como externas.

• El epitelio recubre también las grandes cavidades internas
del organismo (pulmonar, cardíaca y abdominal) denominándose
mesotelio;     además recubre la superficie interna de los vasos
sanguíneos y linfáticos, donde se denomina   endotelio
CARACTERÍSTICAS DEL TEJIDO EPITELIAL

• Alta densidad celular

•Escasa sustancia intercelular

• Avascular

• Posee terminaciones Nerviosas

• Cél. Apoyadas sobre membrana basal

•Polaridad
• Simples

                     1. De revestimiento • Estratificados
                                          • De transición


Tipos de epitelios

                                    • Exocrino
                     2. Glandular • Endocrino
                                    • Mixto
CLASIFICACIÓN DE LOS EPITELIOS DE
             REVESTIMIENTO
• Epitelio   plano   o   pavimentoso   simple




Localización:
• Endotelio de los vasos sanguíneos y linfáticos
• Mesotelio de las cavidades abdominal y pleural
Epitelio plano o pavimentoso simple
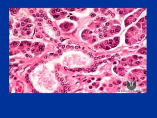
EPITELIO      CÚBICO SIMPLE




Única capa de células cuya altura, anchura y grosor
son semejantes. Núcleo en posición central
Localización: Túbulos renales, folículos tiroideos,
plexos coroideos y conductos excretores de
pequeño y mediano calibre
EPITELIO   CÚBICO SIMPLE
EPITELIO     CILÍNDRICO SIMPLE




• Células cuya altura es 2 ó 3 veces superior a la
anchura. Núcleos en posición basal

Localización: Estómago, vesícula biliar, conductos
excretores de mediano calibre
EPITELIO   CILÍNDRICO SIMPLE
EPITELIO   CILÍNDRICO SIMPLE
EPITELIO CILÍNDRICO
          PSEUDOESTRATIFICADO




• Las células descansan todas en la misma membrana basal,
pero los núcleos no están todos en el mismo nivel dentro
de la célula.
EPITELIO PSEUDOESTRATIFICADO
CILÍNDRICO con estereocilios
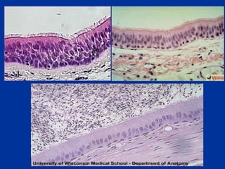
Epitelio   plano   o   pavimentoso estratificado




  • Varias capas de células aplanadas en la porción
  superficial y poligonales en las capas media o
  basal
  • Localización: vagina, esófago, porción interna de
  la cavidad bucal, preestómagos, porción terminal
  del tubo digestivo
Epitelio   plano   opavimentoso estratificado
                   queratinizado
plano o pavimentoso estratificado no
Epitelio
queratinizado
plano o pavimentoso estratificado no
Epitelio
queratinizado
Epitelio de transición
Epitelio de transición
Epitelio cúbico estratificado
Epitelio cilíndrico estratificado
FUNCIONES GENERALES DE LAS ESPECIALIZACIONES
          APICALES DE LOS EPITELIOS
• Aumentar el área de superfície celular para aumentar
la absorción de nutrientes y de otras sustancias
(células intestinais e dos túbulos renais);



• Transporte de una película de moco sobre la superficie celular
en las vías respiratorias, y del ovocito y espermatozoides
en los genitales femininos y masculinos;



• Algunas otras funciones relacionadas com el reconocimento
celular y la formación de una barrera externa de protección
CLASIFICACIÓN DE LAS ESPECIALIZACIONES APICALES



  • MICROVELLOSIDADES
  • ESTEREOCILIOS
  • CILIOS
  • GLUCOCÁLIX
  • QUERATINA
MICROVELLOSIDADES
MICROSCOPIA ELECTRÓNICA DE TRANSMISIÓN DE LAS
    MICROVELLOSIDADES (CORTE LONGITUDINAL)
MICROSCOPIA ELECTRÓNICA DE TRANSMISIÓN DE LAS
    MICROVELLOSIDADES (CORTE TRANSVERSAL)
ESTEREOCILIOS




                                          Prolongaciones citoplasmáticas
                                          extremamente largas y ligera-
                                          mente irregulares.




En el epitelio sensorial del oído estos
funcionan como dispositivo sensorial
Y no como estrutura de absorción
CILIOS
• Se presentan como estructuras cortas, finas, semelhantes a pelos, que se proyec-
 tan de la superficie libre de la célula
TRÁQUEA




OVIDUCTO
ESTRUCTURA DEL CILIO
GLUCOCÁLIX
• Delgada CAPA de glúcidos (glucoproteínas y glucolípidos de la membrana plasmá-
 tica ) que reviste las células;

• IMPORTANTE PARA:
 Adesión celular
 Pinocitosis (endocitosis)
 Fenómenos inmunológicos (reconocimiento de antígenos)
ORIGEN EMBRIONARIO
• Por invaginación de superficies epiteliales
  (ectodérmicas) hacia el tejido conectivo.
• Pueden quedar o no unidas a la superficie
  por un conducto
    excretor.
SEGÚN la forma DE SECRECIÓN

• MEROCRINAS:
  – Si la secreción respeta la integridad de la célula.
  – Ejemplo: salivares, acinos pancreáticos,...
• APOCRINAS:
  – La secreción conlleva la expulsión de la parte
    apical de la célula.
  – Ej. Glándulas mamarias.
• HOLOCRINAS
  – La secreción conlleva la muerte celular.
  – Ej. Glándulas sebáceas de la piel.
Tejido epitelial
Tejido epitelial
Tejido epitelial
Tejido epitelial
Tejido epitelial

Tejido epitelial

  • 1.
  • 2.
    TEJIDO •Se denomina tejidoa la agrupación de células con una estructura determinada que realizan una función especializada, vital para el organismo. •Los tejidos animales adquieren su forma inicial a partir del óvulo fecundado. A medida que las células se van diferenciando, determinados grupos de células dan lugar a unidades más especializadas para formar órganos que se componen, en general, de varios tejidos formados por células con la misma función.
  • 4.
  • 5.
    TEJIDO EPITELIAL • Elepitelio es un tejido compuesto por células muy próximas entre sí, sin sustancia intercelular que las separe. • Los epitelios recubren todas las superficies libres del organismo, tanto internas como externas. • El epitelio recubre también las grandes cavidades internas del organismo (pulmonar, cardíaca y abdominal) denominándose mesotelio; además recubre la superficie interna de los vasos sanguíneos y linfáticos, donde se denomina endotelio
  • 6.
    CARACTERÍSTICAS DEL TEJIDOEPITELIAL • Alta densidad celular •Escasa sustancia intercelular • Avascular • Posee terminaciones Nerviosas • Cél. Apoyadas sobre membrana basal •Polaridad
  • 7.
    • Simples 1. De revestimiento • Estratificados • De transición Tipos de epitelios • Exocrino 2. Glandular • Endocrino • Mixto
  • 8.
    CLASIFICACIÓN DE LOSEPITELIOS DE REVESTIMIENTO • Epitelio plano o pavimentoso simple Localización: • Endotelio de los vasos sanguíneos y linfáticos • Mesotelio de las cavidades abdominal y pleural
  • 9.
    Epitelio plano opavimentoso simple
  • 10.
    EPITELIO CÚBICO SIMPLE Única capa de células cuya altura, anchura y grosor son semejantes. Núcleo en posición central Localización: Túbulos renales, folículos tiroideos, plexos coroideos y conductos excretores de pequeño y mediano calibre
  • 11.
    EPITELIO CÚBICO SIMPLE
  • 12.
    EPITELIO CILÍNDRICO SIMPLE • Células cuya altura es 2 ó 3 veces superior a la anchura. Núcleos en posición basal Localización: Estómago, vesícula biliar, conductos excretores de mediano calibre
  • 13.
    EPITELIO CILÍNDRICO SIMPLE
  • 14.
    EPITELIO CILÍNDRICO SIMPLE
  • 15.
    EPITELIO CILÍNDRICO PSEUDOESTRATIFICADO • Las células descansan todas en la misma membrana basal, pero los núcleos no están todos en el mismo nivel dentro de la célula.
  • 17.
  • 18.
    Epitelio plano o pavimentoso estratificado • Varias capas de células aplanadas en la porción superficial y poligonales en las capas media o basal • Localización: vagina, esófago, porción interna de la cavidad bucal, preestómagos, porción terminal del tubo digestivo
  • 19.
    Epitelio plano opavimentoso estratificado queratinizado
  • 20.
    plano o pavimentosoestratificado no Epitelio queratinizado
  • 21.
    plano o pavimentosoestratificado no Epitelio queratinizado
  • 22.
  • 23.
  • 24.
  • 25.
  • 26.
    FUNCIONES GENERALES DELAS ESPECIALIZACIONES APICALES DE LOS EPITELIOS • Aumentar el área de superfície celular para aumentar la absorción de nutrientes y de otras sustancias (células intestinais e dos túbulos renais); • Transporte de una película de moco sobre la superficie celular en las vías respiratorias, y del ovocito y espermatozoides en los genitales femininos y masculinos; • Algunas otras funciones relacionadas com el reconocimento celular y la formación de una barrera externa de protección
  • 27.
    CLASIFICACIÓN DE LASESPECIALIZACIONES APICALES • MICROVELLOSIDADES • ESTEREOCILIOS • CILIOS • GLUCOCÁLIX • QUERATINA
  • 28.
  • 29.
    MICROSCOPIA ELECTRÓNICA DETRANSMISIÓN DE LAS MICROVELLOSIDADES (CORTE LONGITUDINAL)
  • 30.
    MICROSCOPIA ELECTRÓNICA DETRANSMISIÓN DE LAS MICROVELLOSIDADES (CORTE TRANSVERSAL)
  • 31.
    ESTEREOCILIOS Prolongaciones citoplasmáticas extremamente largas y ligera- mente irregulares. En el epitelio sensorial del oído estos funcionan como dispositivo sensorial Y no como estrutura de absorción
  • 33.
    CILIOS • Se presentancomo estructuras cortas, finas, semelhantes a pelos, que se proyec- tan de la superficie libre de la célula
  • 34.
  • 35.
  • 37.
    GLUCOCÁLIX • Delgada CAPAde glúcidos (glucoproteínas y glucolípidos de la membrana plasmá- tica ) que reviste las células; • IMPORTANTE PARA:  Adesión celular  Pinocitosis (endocitosis)  Fenómenos inmunológicos (reconocimiento de antígenos)
  • 40.
    ORIGEN EMBRIONARIO • Porinvaginación de superficies epiteliales (ectodérmicas) hacia el tejido conectivo. • Pueden quedar o no unidas a la superficie por un conducto excretor.
  • 48.
    SEGÚN la formaDE SECRECIÓN • MEROCRINAS: – Si la secreción respeta la integridad de la célula. – Ejemplo: salivares, acinos pancreáticos,... • APOCRINAS: – La secreción conlleva la expulsión de la parte apical de la célula. – Ej. Glándulas mamarias. • HOLOCRINAS – La secreción conlleva la muerte celular. – Ej. Glándulas sebáceas de la piel.