CASO CLÍNICO
IMAGENOLOGÍA
INTEGRANTES
CONTENIDO
01
04
02
05
03
06
Historia Clínica
Exámenes
Complementarios Diagnóstico
Revisión
Bibliográfica
Anatomía
Métodos
diagnósticos
HISTORIA
CLÍNICA
01
Anamnesis
Datos de Filiación:
• 87 años
• Femenina
Enfermedad Actual:
Paciente con antecedente de caída de su propia
altura 3 días previos a su ingreso, con trauma en
cadera izquierda, posterior dolor, valorada con
médico particular quien descarta patología, sin
embargo, 12 horas previas a su ingreso presenta
disnea, dolor torácico y desaturación.
ANTECEDENTES PERSONALES
Patológicos Quirúrgicos
Hipertensión arterial en
tratamiento con Concor
1.25mg VO am, Losartán
100mg VO pm.
Accidente Cerebrovascular
Isquémico Transitorio.
Artroplastaia total de cadera
bilateral (7-3 años
aproximadamente, primero
izquierda)
No conocidos.
Alérgicos
LEUCOCITOS. 6.78,
NEUTROLIFOS % 61.6,
HEMOGLOBINA. 13.9,
HEMATOCRITO 42.4,
PLAQUETAS 162.000
GLUCOSA 110.0, UREA 41.7,
CREATININA 0.87,
POTASIO* 5.21,
PCR latex * 2.92
Dimero D * 4.41 ( 0.50),
≤
Troponina T: * 24.73 (0.00 - 14.00)
(Ph) * 7.340,
PCO2 * 52.0,
PO2 * 27.00,
HCO3 * 28.10,
TP 10.6,
TIEMPO DE PROTROMBINA% 100.0,
INR 0.97,
TTP 22.3
LABORATORIO
BIOMETRÍA
GASOMETRÍA
QUÍMICA
COAGULOGRAMA
01
EXAMENES COMPLEMENTARIOS
DIAGNÓSTICO PRESUNTIVO:
Neumonía
Tromboembolia Pulmonar
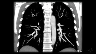
VENAS PULMONARES
01
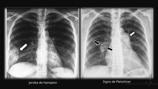
HALLAZGOS RADIOGRÁFICOS
RADIOGRAFÍA DE TORAX
 Ensanchamiento de la silueta cardiomediastínica, debido al aumento del
calibre de las arterias centrales.
 Infarto pulmonar. Se observa un infiltrado alveolar localizado , en forma de
cuña, triangular y de base pleural, generalmente basal, con borde inferior
convexo (joroba de Hampton)
 Signos de Wetsermark: área de enfisema local causado por un defecto
en la perfusión que con leva una hiperclaridad marcada.
 Signo de Fleischner: dilatación de la arteria debido a la impactación del
émbolo.
 Atelectasias laminares basales con elevación del hemidiafragma
 Derrame pleural
Joroba de Hampton Signo de Fleischner
Signo de Westermark
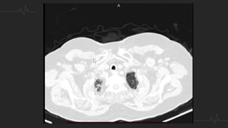
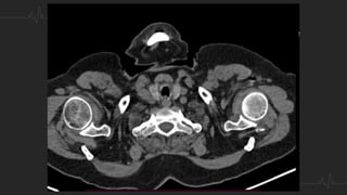
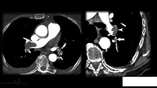
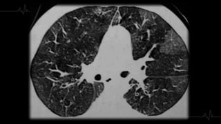
TÉCNICA - ANGIOTAC
• Contraste: 50 ml a un flujo de 4 ml/sg y lavado posterior con 30 ml de
suero salino
• Kilovoltaje se decide en función del peso del paciente: 80 kV hasta 70
Kg, 100 kV entre 70-100 Kg y 120 kV por encima de 100 Kg.
• Se dispara con un retardo de 6 seg, con técnica de bolus tracking,
posicionando el (ROI) en la arteria pulmonar, a 100 (UH).
• Adquisición se realiza con la respiración suspendida, pero no tras
inspiración profunda para evitar la dilución del contraste en la aurícula
derecha.
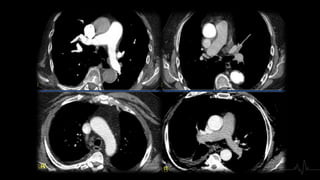
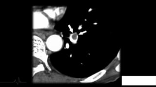
1. REPLECIÓN
Localización en el vaso
Morfología
Ángulo con respecto a la luz
2. TIPO DE TROMBO
Trombos Agudos
Localizados - centro
de la luz del vaso
Provocan dilatación Ocupan la totalidad de
la luz
Paso de contraste en
la periferia
Trombo rodeado de
contraste
(Signo de tranvía) Localización
excéntrica
Presentan ángulo
agudo con la luz del
vaso
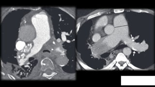
Trombo Crónico
Defecto de
repleción completo
Disminución de
calibre y atrofia
vascular
Defecto de
repleción parcial
Localizarse en la
periferia del vaso
A veces son
concéntricos
Morfología de
banda lineal, red o
trombo mural
excéntrico
Calcificación del
trombo
Aumento de calibre
de las arterias
bronquiales y
colaterales
Menos frecuente
dilatación
segmentaria
bronquial
3. Extensión
4. AFECTACIÓN
PARENQUIMATOS
A● Inicialmente: Opacidad en vidrio
deslustrado, segmentaria, de morfología
triangular y base pleural.
● Con el paso del tiempo: Consolidación.
● Se puede identificar una atelectasia del
área afecta, la isquemia pulmonar provoca
una alteración del surfactante con colapso
secundario.
Imposibilidad de distribuir toda la
volemia de la circulación derecha al
pulmón, aumento de presión y aumento
de calibre de la arteria pulmonar.
Debe ser inferior al de la aorta
ascendente y debe medir menos de 3 cm
5. Hipertensión
Pulmonar
GRACIAS
Bibliografía
Wittram, C., Maher, M. M., Yoo, A. J., Kalra, M. K., Shepard, J.-A. O., & McLoud, T. C. (2004). CT angiography
of pulmonary embolism: Diagnostic criteria and causes of misdiagnosis. Radiographics: A Review
Publication of the Radiological Society of North America, Inc, 24(5), 1219–1238.
https://doi.org/10.1148/rg.245045008
Pulmonary Arteries. (s/f). Science Photo Gallery. Recuperado el 6 de agosto de 2024, de
https://sciencephotogallery.com/featured/pulmonary-arteries-asklepios-medical-atlas.html
A. M. H., Larrañaga, N., Espil, G., De Salazar, A., Dos Ramos Alferes, J., & S., K. (s/f). Hallazgos en TC del TEP
agudo y crónico. Org.ar. Recuperado el 6 de agosto de 2024, de
https://congreso.sordic.org.ar/uploads/2017/poster/2017_436_PE_Torax.pdf
A. Navarro, P. B., & Serrano, D. C. (2022, febrero 14). Anatomía del corazón.
CT contrast injection and protocols. (s/f). Radiologyassistant.Nl. Recuperado el 6 de agosto de 2024, de
https://radiologyassistant.nl/more/ct-protocols/ct-contrast-injection-and-protocols
Grignola, J. C., & Domingo, E. (2017). Conceptos básicos en circulación pulmonar. Revista colombiana de
cardiologia, 24, 3–10. https://doi.org/10.1016/j.rccar.2017.08.003

CASO CLINICO. sobre TEP......................

  • 1.
  • 2.
  • 3.
  • 4.
    Anamnesis Datos de Filiación: •87 años • Femenina Enfermedad Actual: Paciente con antecedente de caída de su propia altura 3 días previos a su ingreso, con trauma en cadera izquierda, posterior dolor, valorada con médico particular quien descarta patología, sin embargo, 12 horas previas a su ingreso presenta disnea, dolor torácico y desaturación.
  • 5.
    ANTECEDENTES PERSONALES Patológicos Quirúrgicos Hipertensiónarterial en tratamiento con Concor 1.25mg VO am, Losartán 100mg VO pm. Accidente Cerebrovascular Isquémico Transitorio. Artroplastaia total de cadera bilateral (7-3 años aproximadamente, primero izquierda) No conocidos. Alérgicos
  • 6.
    LEUCOCITOS. 6.78, NEUTROLIFOS %61.6, HEMOGLOBINA. 13.9, HEMATOCRITO 42.4, PLAQUETAS 162.000 GLUCOSA 110.0, UREA 41.7, CREATININA 0.87, POTASIO* 5.21, PCR latex * 2.92 Dimero D * 4.41 ( 0.50), ≤ Troponina T: * 24.73 (0.00 - 14.00) (Ph) * 7.340, PCO2 * 52.0, PO2 * 27.00, HCO3 * 28.10, TP 10.6, TIEMPO DE PROTROMBINA% 100.0, INR 0.97, TTP 22.3 LABORATORIO BIOMETRÍA GASOMETRÍA QUÍMICA COAGULOGRAMA
  • 7.
  • 10.
  • 15.
  • 17.
  • 18.
    RADIOGRAFÍA DE TORAX Ensanchamiento de la silueta cardiomediastínica, debido al aumento del calibre de las arterias centrales.  Infarto pulmonar. Se observa un infiltrado alveolar localizado , en forma de cuña, triangular y de base pleural, generalmente basal, con borde inferior convexo (joroba de Hampton)  Signos de Wetsermark: área de enfisema local causado por un defecto en la perfusión que con leva una hiperclaridad marcada.  Signo de Fleischner: dilatación de la arteria debido a la impactación del émbolo.  Atelectasias laminares basales con elevación del hemidiafragma  Derrame pleural
  • 19.
    Joroba de HamptonSigno de Fleischner
  • 20.
  • 21.
    TÉCNICA - ANGIOTAC •Contraste: 50 ml a un flujo de 4 ml/sg y lavado posterior con 30 ml de suero salino • Kilovoltaje se decide en función del peso del paciente: 80 kV hasta 70 Kg, 100 kV entre 70-100 Kg y 120 kV por encima de 100 Kg. • Se dispara con un retardo de 6 seg, con técnica de bolus tracking, posicionando el (ROI) en la arteria pulmonar, a 100 (UH). • Adquisición se realiza con la respiración suspendida, pero no tras inspiración profunda para evitar la dilución del contraste en la aurícula derecha.
  • 25.
  • 26.
    Localización en elvaso Morfología Ángulo con respecto a la luz 2. TIPO DE TROMBO
  • 27.
    Trombos Agudos Localizados -centro de la luz del vaso Provocan dilatación Ocupan la totalidad de la luz Paso de contraste en la periferia Trombo rodeado de contraste (Signo de tranvía) Localización excéntrica Presentan ángulo agudo con la luz del vaso
  • 30.
    Trombo Crónico Defecto de replecióncompleto Disminución de calibre y atrofia vascular Defecto de repleción parcial Localizarse en la periferia del vaso A veces son concéntricos Morfología de banda lineal, red o trombo mural excéntrico Calcificación del trombo Aumento de calibre de las arterias bronquiales y colaterales Menos frecuente dilatación segmentaria bronquial
  • 33.
  • 34.
    4. AFECTACIÓN PARENQUIMATOS A● Inicialmente:Opacidad en vidrio deslustrado, segmentaria, de morfología triangular y base pleural. ● Con el paso del tiempo: Consolidación. ● Se puede identificar una atelectasia del área afecta, la isquemia pulmonar provoca una alteración del surfactante con colapso secundario.
  • 36.
    Imposibilidad de distribuirtoda la volemia de la circulación derecha al pulmón, aumento de presión y aumento de calibre de la arteria pulmonar. Debe ser inferior al de la aorta ascendente y debe medir menos de 3 cm 5. Hipertensión Pulmonar
  • 37.
  • 38.
    Bibliografía Wittram, C., Maher,M. M., Yoo, A. J., Kalra, M. K., Shepard, J.-A. O., & McLoud, T. C. (2004). CT angiography of pulmonary embolism: Diagnostic criteria and causes of misdiagnosis. Radiographics: A Review Publication of the Radiological Society of North America, Inc, 24(5), 1219–1238. https://doi.org/10.1148/rg.245045008 Pulmonary Arteries. (s/f). Science Photo Gallery. Recuperado el 6 de agosto de 2024, de https://sciencephotogallery.com/featured/pulmonary-arteries-asklepios-medical-atlas.html A. M. H., Larrañaga, N., Espil, G., De Salazar, A., Dos Ramos Alferes, J., & S., K. (s/f). Hallazgos en TC del TEP agudo y crónico. Org.ar. Recuperado el 6 de agosto de 2024, de https://congreso.sordic.org.ar/uploads/2017/poster/2017_436_PE_Torax.pdf A. Navarro, P. B., & Serrano, D. C. (2022, febrero 14). Anatomía del corazón. CT contrast injection and protocols. (s/f). Radiologyassistant.Nl. Recuperado el 6 de agosto de 2024, de https://radiologyassistant.nl/more/ct-protocols/ct-contrast-injection-and-protocols Grignola, J. C., & Domingo, E. (2017). Conceptos básicos en circulación pulmonar. Revista colombiana de cardiologia, 24, 3–10. https://doi.org/10.1016/j.rccar.2017.08.003