Incrustar presentación
Descargado 13 veces

























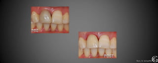
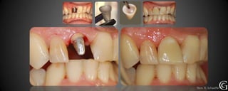
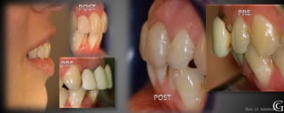
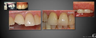
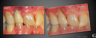
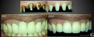
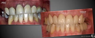
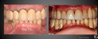
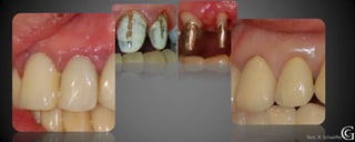
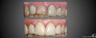
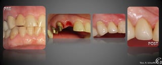
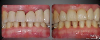
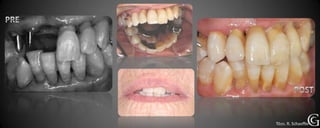
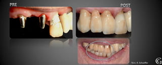
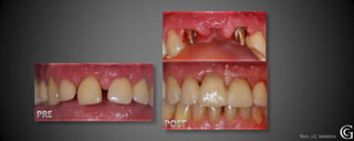
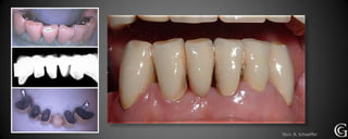
Las coronas son restauraciones dentales que involucran la totalidad del diente y son confeccionadas fuera de la boca antes de adherirse al diente. Los puentes sirven para reemplazar piezas dentales perdidas conectando los dientes vecinos a la pieza perdida, y también son confeccionados externamente antes de cementarse. Ambas son parte de las prótesis fijas convencionales.
























