Incrustar presentación
Descargado 14 veces












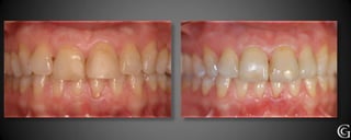
Este documento describe las incrustaciones dentales, que son restauraciones parciales fabricadas fuera de la boca y luego adheridas al diente, y pueden estar hechas de materiales como cerámica, composite o metal. Explica que una buena comunicación con el laboratorio dental permite mimetizar la restauración con el remanente dentario existente.











