Incrustar presentación
Descargado 69 veces

























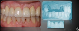
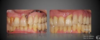
El documento habla sobre las prótesis implanto asistidas, que son restauraciones dentales que utilizan implantes para retenerse u apoyarse en el hueso. Los implantes sirven para reemplazar las raíces de los dientes perdidos y luego se colocan coronas, puentes u otras prótesis sobre los implantes. El documento lista los técnicos y cirujanos involucrados en varios casos de prótesis implanto asistidas.
























