Salud Gingival
 Antes de comenzar cualquier tratamiento, debemos lograr un control de la
placa dental, para que las encías estén en salud. Esto se logra, corrigiendo la
higiene del paciente de ser necesario y en el consultorio eliminando la placa
            mineralizada la cual no es eliminada por el cepillado.
Restauraciones Plásticas
Las restauraciones plásticas, son realizadas con un material de base orgánica
   y refuerzo cerámico, conocido como composite. Polimeriza (endurece)
 cuando se lo expone a la luz halógena. El composite se moldea en boca, es
               por esto que se llaman restauraciones directas.
Buscando estética, imitando lo natural
Prótesis Removible Parcial - Total
 Las prótesis removibles, reemplazan piezas perdidas. El paciente puede y
   debe sacarlas para limpiarlas. Las parciales reemplazan algunas piezas de
  la arcada, y la totales toda la arcada. Pueden tener o no un esqueleto para
                      reforzarlas, darles soporte y retención.
Prótesis Fija Convencional
Restauraciones parciales “incrustaciones”
     Las incrustaciones son restauraciones que involucran parte de la pieza
     dentaria, confeccionadas fuera de la boca (indirectas parciales) que luego
          son adheridas al diente en tratamiento. Pueden ser de diversos
                   materiales, cerámicas, composite o metálicas.
Manteniendo una buena
comunicación con el laboratorio
  dental, se logra mimetizar la
 restauración con el remanente
            dentario
                                  Técn. J.C. Sebático
Técn. J.C. Sebático
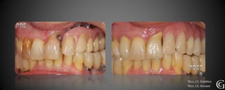
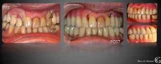
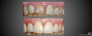
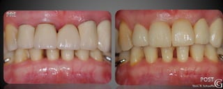
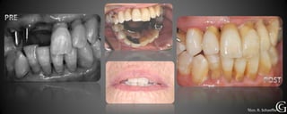
Prótesis Fija Convencional
Restauraciones periféricas totales “coronas”
      Las coronas son restauraciones que involucran la totalidad del
       diente, confeccionadas fuera de la boca (indirectas totales) que
        luego son adheridas al diente en tratamiento. Pueden ser de
          diversos materiales, cerámicas, composite y/o metálicas.
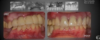
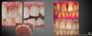
Técn. R. Schaeffer
Técn. R. Schaeffer
PRE




      Técn. R. Schaeffer
Prótesis Fija Convencional
               Puentes
Los puentes son restauraciones que sirven para reemplazar piezas
  perdidas, involucrando piezas vecinas. Son confeccionadas fuera
 de la boca y luego adheridas o cementadas a los dientes vecinos a
                        a la pieza perdida.
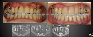
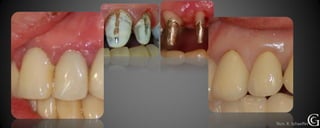
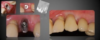
Prótesis Implanto Asistida

Las prótesis implanto asistidas, son restauraciones que utilizan los implantes
   para retenerse y/o apoyarse. Los implantes sirven para reemplazar la raíz
    del diente dentro del hueso, luego se realizará la restauración necesarias
                 (coronas, puentes, prótesis parciales o totales)
Técn. R. Schaeffer
Técn. S. Pacchioni y equipo
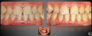
Evidencias clinicas
Evidencias clinicas
Evidencias clinicas
Evidencias clinicas

Evidencias clinicas

  • 1.
    Salud Gingival Antesde comenzar cualquier tratamiento, debemos lograr un control de la placa dental, para que las encías estén en salud. Esto se logra, corrigiendo la higiene del paciente de ser necesario y en el consultorio eliminando la placa mineralizada la cual no es eliminada por el cepillado.
  • 3.
    Restauraciones Plásticas Las restauracionesplásticas, son realizadas con un material de base orgánica y refuerzo cerámico, conocido como composite. Polimeriza (endurece) cuando se lo expone a la luz halógena. El composite se moldea en boca, es por esto que se llaman restauraciones directas.
  • 5.
  • 7.
    Prótesis Removible Parcial- Total Las prótesis removibles, reemplazan piezas perdidas. El paciente puede y debe sacarlas para limpiarlas. Las parciales reemplazan algunas piezas de la arcada, y la totales toda la arcada. Pueden tener o no un esqueleto para reforzarlas, darles soporte y retención.
  • 11.
    Prótesis Fija Convencional Restauracionesparciales “incrustaciones” Las incrustaciones son restauraciones que involucran parte de la pieza dentaria, confeccionadas fuera de la boca (indirectas parciales) que luego son adheridas al diente en tratamiento. Pueden ser de diversos materiales, cerámicas, composite o metálicas.
  • 13.
    Manteniendo una buena comunicacióncon el laboratorio dental, se logra mimetizar la restauración con el remanente dentario Técn. J.C. Sebático
  • 14.
  • 15.
    Prótesis Fija Convencional Restauracionesperiféricas totales “coronas” Las coronas son restauraciones que involucran la totalidad del diente, confeccionadas fuera de la boca (indirectas totales) que luego son adheridas al diente en tratamiento. Pueden ser de diversos materiales, cerámicas, composite y/o metálicas.
  • 17.
  • 18.
  • 19.
    PRE Técn. R. Schaeffer
  • 24.
    Prótesis Fija Convencional Puentes Los puentes son restauraciones que sirven para reemplazar piezas perdidas, involucrando piezas vecinas. Son confeccionadas fuera de la boca y luego adheridas o cementadas a los dientes vecinos a a la pieza perdida.
  • 30.
    Prótesis Implanto Asistida Lasprótesis implanto asistidas, son restauraciones que utilizan los implantes para retenerse y/o apoyarse. Los implantes sirven para reemplazar la raíz del diente dentro del hueso, luego se realizará la restauración necesarias (coronas, puentes, prótesis parciales o totales)
  • 33.
  • 34.