NEUMOTÓRAX
FIshman,A:P 2022, Pulmonary deseases and disordderes.Mc Graw Hill capitulo 79.
Definición.
Presencia de aire en la
cavidad pleural, que
separa la pleura visceral
de la parietal. Se requiere
aproximadamente 50 ml
de aire en el espacio
pleural para ser visible.
FIshman,A:P 2022, Pulmonary deseases and disordderes.Mc Graw Hill capitulo 79.
Clasificación.
Espontáneo:
Neumotórax espontáneo primario
Neumotórax espontáneo secundario
Causado por un traumatismo:
Perdida de la integridad del pulmon, pared toracica, el
esofago, traquea o los bronquios.
Consecuencia de procedimientos diagnósticos o terapéuticos
FIshman,A:P 2022, Pulmonary deseases and disordderes.Mc Graw Hill capitulo 79.
Comunicación entre:
Alveolo y pleura
Espacio pleural y Atmofera
Microorganismo productor
de gas
FISIOPATOLOGIA. La presión dentro del espacio pleural es
negativa con respecto a la presión
alveolar, tanto en inspiración como en
espiración. ( Presión transpulmonar)
La presión pleural también es
negativa con respecto a la presión
atmosférica. (760 mmhg)
Presencia de aire en la cavidad
pleural
FIshman,A:P 2022, Pulmonary deseases and disordderes.Mc Graw Hill capitulo 79.
Vaina
broncovascular
Arteriola
Alveolo
Bronquiolo
Sobre distensión de los
alveolos marginales
Diseccionar medialmente a lo largo de la
vaina broncovascular y dar neumomediastino,
que puede ir acompañado de inflamación
subcutánea.
Neumotórax primario.
Estudios histopatológicos de
pulmones resecados en PSP
muestran una ampolla o una
bula que se rompe al espacio
pleural.
Bula
Ampolla
Bolsa o vesícula
formada entre la
lámina elástica
interna y externa de
la pleura visceral, y
mide menos de 1 cm
Es un espacio aéreo que
mide más de 1 cm
delimitado por una
pared delgada menora 1
mm de espesor
FIshman,A:P 2022, Pulmonary deseases and disordderes.Mc Graw Hill capitulo 79.
Impacto clínico:
Dependerá del
grado de colapso
pulmonar
Capacidad
Vital Pulmonar
PaO2
 Baja relación ventilación perfusión.
 Ausencia de ventilación.
 Hipoventilación alveolar.
Capacidad pulmonar total
Capacidad residual funcional
Capacidad de difusión
El aire en el espacio pleural provoca una
ventilación pulmonar regional más uniforme
por la eliminación de los gradientes
gravitacionales de presión pleural, hay
cierre de las vías respiratorias con
volúmenes pulmonares bajos, que es la
principal causaV/̇Q Neumotórax
FIshman,A:P 2022, Pulmonary deseases and disordderes.Mc Graw Hill capitulo 79.
Reabsorción
del gas pleural.
1% a 6% se reabsorbe en 24 h solo con observación. Por difusión simple desde el espacio pleural a la sangre venosa.
Gradiente de
presión del gas.
Propìedades de
difusión del gas
en
espacio pleural
Área de
contacto del
gas en espacio
pleural y la
pleura.
Permeabilidad
de la superficie
pleural
El nitrógeno es el gas que se reabsorbe más lento
El dióxido de carbono, vapor de agua, se reabsorbe rápido
La presión del gas en el espacio pleura es de 760 mmhg, y en el espacio
capilar de 706 lo que genera una fuerza impulsora de 54mmhg.
FIshman,A:P 2022, Pulmonary deseases and disordderes.Mc Graw Hill capitulo 79.
Neumotórax
espontáneo primario
EN AUSENCIA DE ENFERMEDAD PULMONAR
SUBYACENTE.
FIshman,A:P 2022, Pulmonary deseases and disordderes.Mc Graw Hill capitulo 79.
Epidemiología
Incidencia: Hombres entre 7.4 a 18 por
100,000 habitantes
Mujeres 1.2 a 6 por 100,000 habitantes.
Relación Hombre/ Mujer: 3:1 Hasta 6:1
Incidencia máxima entre 3ra a 5ta
década de la vida ( Altos y delgados)
FIshman,A:P 2022, Pulmonary deseases and disordderes.Mc Graw Hill capitulo 79.
El tabaquismo aumentan el riesgo de neumotórax
espontáneo hasta nueve veces.
Medio paquete por día tienen hasta 20 veces posibilidad
de tener neumotórax espontaneo.
Un paquete al año tienen hasta 100 veces de padecer
neumotorax espontaneo.
FUMAR PRODUCE DEBILITAMIENTO DE LA PLEURA
VISCERAL O DILATACION DE LAVIA RESPIRATORIA
DISTAL.
FIshman,A:P 2022, Pulmonary deseases and disordderes.Mc Graw Hill capitulo 79.
Etiología.
“Sin obvia
enfermedad
pulmonar”.
Las bulas o ampollas subpleurales se
denominados cambios de tipo enfisematosos:
20% evidentes en rx de tórax. Pueden
observarse hasta en 80% en imágenes por TC y
evaluación QX
Porosidad pleural: Sustitución de células
mesoteliales por células inflamatorias, que
predisponen a la fuga de aire.
FIshman,A:P 2022, Pulmonary deseases and disordderes.Mc Graw Hill capitulo 79.
Factores de
riesgo
Inflamación de la vía respiratoria.
Bronquiolitis respiratoria en fumadores.
Anomalías del tejido conectivo.
Hereditario.
Habito corporal ectomorfico.
FIshman,A:P 2022, Pulmonary deseases and disordderes.Mc Graw Hill capitulo 79.
Tasa de recurrencia después de un primer
episodio es de 33% (rango de 23 a 52%) y
ocurre después de 1 a 2 años del primer
episodio.
Después de un segundo episodio la
recurrencia es de 60%
Depues de un tercer episodio llega hasta
83%.
FIshman,A:P 2022, Pulmonary deseases and disordderes.Mc Graw Hill capitulo 79.
 75% de las recurrencias son del mismo lado del primer
neumotórax.
 El riesgo de neumotórax contralateral solo es de 5 al 10%.
FIshman,A:P 2022, Pulmonary deseases and disordderes.Mc Graw Hill capitulo 79.
Neumotórax
Espontaneo
Secundario
EL PACIENTETIENE UNA
PATOLOGIA PULMONAR
SUBYACENTE
FIshman,A:P 2022, Pulmonary deseases and disordderes.Mc Graw Hill capitulo 79.
Epidemiologia
 La incidencia 6.3 por 100,000 para los hombres y 2.3 por 100,000
para las mujeres.
 La recurrencia es mayor con 40 a 80%, debido a la patología
pulmonar subyacente. ( EPOC, Fibrosis quística, asma grave)
FIshman,A:P 2022, Pulmonary deseases and disordderes.Mc Graw Hill capitulo 79.
Neumotórax
secundario
espontaneó:
Causas
FIshman,A:P 2022, Pulmonary deseases and disordderes.Mc Graw Hill capitulo 79.
EPOC
FQ
EPOC moderadamente grave, con FEV1 menor a 1 L, y
con fistulas broncopleurales.
3.5% de los pacientes con FQ tendrán esta
complicación durante su vida. (edad 21 años). Denota
mal pronóstico, un estudio demuestra que después de
un primer episodio la media de vida fue 29.9 meses.
Aumenta con la edad, y con la disminución de FEV1.(
riesgo del 50% con FEV1 menor a 30)
Con recurrencia del 37%
FIshman,A:P 2022, Pulmonary deseases and disordderes.Mc Graw Hill capitulo 79.
Neumotórax
catamenial.
 Ocurre en mujeres 72 horas antes o después de haber iniciado la
menstruación.
 Este síndrome ocurre generalmente entre la 3ra y 4ta década de la
vida
 La incidencia es entre 18 a 33% en mujeres de edad reproductiva
con neumotórax recurrente.
FIshman,A:P 2022, Pulmonary deseases and disordderes.Mc Graw Hill capitulo 79.
SIDA
 2% de los px con SIDA, por etiologías infecciosa como
.Pneumocystis jiroveci, sarcoma de Kaposi, citomegalovirus,
criptococosis.
 La tuberculosis pulmonar/VIH, neumotórax presente hasta en un
7%.
 Por quistes subpleurales y necrosis subpleural en los ápices de los
pulmones
FIshman,A:P 2022, Pulmonary deseases and disordderes.Mc Graw Hill capitulo 79.
NEUMOTORAX
TRAUMATICO
20% de todos los casos.
FIshman,A:P 2022, Pulmonary deseases and disordderes.Mc Graw Hill capitulo 79.
Si se altera la continuidad de la pared torácica se
produce neumotórax abierto.
Neumotórax cerrado, por trauma contundente por
lesión por explosión o por caída de gran altura en agua.
Rotura del esófago produce hidro neumotórax,
disfagia, neumomediastino.
Una concentración alta de amilasa en liquido pleural
confirma rotura esofágica.
FIshman,A:P 2022, Pulmonary deseases and disordderes.Mc Graw Hill capitulo 79.
NEUMOTORAX
IATROGÉNICO
Aspiración
transtorácica
con aguja.
Colocación de
catéter en
vena subclavia
Toracocentesis
Biopsia
transbronquial
Biopsia pleural
Ventilación a
presión
positiva
FIshman,A:P 2022, Pulmonary deseases and disordderes.Mc Graw Hill capitulo 79.
FIshman,A:P 2022, Pulmonary deseases and disordderes.Mc Graw Hill capitulo 79.
Cuando
sospechar un
neumotórax
Aumento repentino de la
frecuencia respiratoria
Disincronía entre el paciente y
ventilador
Aumento de la presión máxima
y meseta del ventilador.
FIshman,A:P 2022, Pulmonary deseases and disordderes.Mc Graw Hill capitulo 79.
 proyecciones en posición erecta o en decúbito, o mediante
ecografía
FIshman,A:P 2022, Pulmonary deseases and disordderes.Mc Graw Hill capitulo 79.
Caracterización clínica
 Dolor de pecho y disnea en el 95% de los pacientes.
 El dolor es agudo localizado en el lado del neumotórax,
típicamente pleurítico.
 Menos frecuente:
 Tos, hemoptisis, ortopnea, síndrome de Horner.
 Un pequeño porcentaje: Fatiga y debilidad.
FIshman,A:P 2022, Pulmonary deseases and disordderes.Mc Graw Hill capitulo 79.
 Neumotórax secundario espontaneo: Dificultad respiratoria con taquicardia y
taquipnea significativa
 Neumotórax aTensión: Diaforesis profusa, hipoxemia marcada, cianosis, acidosis
respiratoria e hipotensión.
FIshman,A:P 2022, Pulmonary deseases and disordderes.Mc Graw Hill capitulo 79.
Exploración
física
Los signos vitales
suelen ser normales.
A la inspección el tórax
afectado suele ser más
grande y se mueve
menos durante la
respiración.
El frémito táctil está
ausente.
A la percusión es hiper
resonante y los ruidos
respiratorios están
ausentes o reducidos del
lado del neumotórax.
FIshman,A:P 2022, Pulmonary deseases and disordderes.Mc Graw Hill capitulo 79.
Exámenes de
laboratorio y
gabinete
 GSA: Hipoxemia e hipocapnia por hiperventilación.
 ECG: Disminución del voltaje de la onda R precordial, QRS con
amplitud disminuida, inversión de la ondaT precordial.
FIshman,A:P 2022, Pulmonary deseases and disordderes.Mc Graw Hill capitulo 79.
Exploración
radiológica.
 RAYOS X SIMPLE:
Demostración del margen
externo de la pleura visceral
separa de la pleura parietal, por
una expansión transparente
desprovisto de vasos
vasculares
FIshman,A:P 2022, Pulmonary deseases and disordderes.Mc Graw Hill capitulo 79.
Estimación del tamaño de un neumotórax.
Diámetro de pulmón colapsado y del
hemitórax afectado y elevarlos al cubo.
Nomograma: Midiendo la distancia intrapleural
en el vértice y en los puntos medios de los
pulmones superior e inferior, se promedian los
tres valores
FIshman,A:P 2022, Pulmonary deseases and disordderes.Mc Graw Hill capitulo 79.
1.Desplazamient
o del mediastino
2. Depresión
diafragmática
3.Expansión de
la caja torácica
Neumotórax a tensión.
FIshman,A:P 2022, Pulmonary deseases and disordderes.Mc Graw Hill capitulo 79.
Ultrasonido
pulmonar
Sensibilidad 79a95%
Especificidad 98 a99%
 Pulmón y pleura normal hallazgo ecográficos: Deslizamiento
pulmonar y líneasA
 La pleura aparece como una línea blanca brillante hiperecoica
 La presencia de deslizamiento pulmonar descarta el neumotórax
con un valor predictivo de 100%.
 la ausencia de deslizamiento pulmonar no es específica del
neumotórax y puede observarse con cualquier causa de sínfisis
pleural (pleurodesis química, enfermedad infecciosa/inflamatoria).
FIshman,A:P 2022, Pulmonary deseases and disordderes.Mc Graw Hill capitulo 79.
La superficie pleural se ve
debajo de las costillas.
Las pleuras visceral y
parietal están superpuestas
dando una apariencia
reluciente a medida que la
pleura visceral se
desliza hacia adelante y
hacia atrás contra la pleura
parietal con las
respiraciones.
FIshman,A:P 2022, Pulmonary deseases and disordderes.Mc Graw Hill capitulo 79.
Pared torácica
Patrón granular por
pulmón aireado
Línea hiper ecoica
de la pleura
Pulmón normal en modo M:
EL signo de “orilla del mar”, en el que el
parénquima pulmonar aireado representa la
playa y la pared
torácica representa el océano.
En el neumotórax se pierde el patrón granular
del parénquima pulmonar aireado y se observan
líneas horizontales y lineales.
FIshman,A:P 2022, Pulmonary deseases and disordderes.Mc Graw Hill capitulo 79.
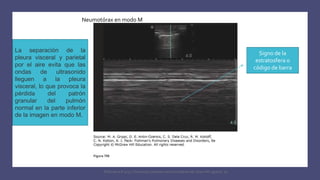
Signo de la
estratosfera o
código de barra
Neumotórax en modo M
La separación de la
pleura visceral y parietal
por el aire evita que las
ondas de ultrasonido
lleguen a la pleura
visceral, lo que provoca la
pérdida del patrón
granular del pulmón
normal en la parte inferior
de la imagen en modo M.
FIshman,A:P 2022, Pulmonary deseases and disordderes.Mc Graw Hill capitulo 79.
Punto
pulmonar en
modo M
Esta imagen en modo M muestra
patrones alternos de pulmón
normal y neumotórax a medida
que el pulmón normal y aireado se
desliza sobre el área del pulmón
colapsado.
El patrón de modo M del
neumotórax a menudo se
denomina signo de “estratosfera”
o “código de barras”
FIshman,A:P 2022, Pulmonary deseases and disordderes.Mc Graw Hill capitulo 79.
Punto pulmonar en modo M.
muestra patrones alternos de
pulmón normal y neumotórax a
medida que el pulmón normal y
aireado se desliza sobre el área
del pulmón colapsado.
FIshman,A:P 2022, Pulmonary deseases and disordderes.Mc Graw Hill capitulo 79.
 La localización del punto pulmonar es un signo especifico de
neumotórax. (localización del pulmón colapsado y aireado)
FIshman,A:P 2022, Pulmonary deseases and disordderes.Mc Graw Hill capitulo 79.
Las líneas A se ven como una serie de líneas blancas horizontales equidistantes y
profundas hasta la pleura. Se observan en pulmones normales, pero también en
neumotórax, embolia pulmonar, EPOC o asma debido a reverberaciones entre la pleura
parietal y el transductor.
FIshman,A:P 2022, Pulmonary deseases and disordderes.Mc Graw Hill capitulo 79.
Líneas B son un tipo de
artefacto de reverberación,
también conocido como
artefactos de cola de cometa.
Surgen de la superficie pleural
y se extienden verticalmente
hasta la parte inferior de la
pantalla como rayos
hiperecoicos discretos
Su presencia descarta
neumotórax.
FIshman,A:P 2022, Pulmonary deseases and disordderes.Mc Graw Hill capitulo 79.
FIshman,A:P 2022, Pulmonary deseases and disordderes.Mc Graw Hill capitulo 79.
Los transductores mejores para
neumotórax son los de matriz linea de 5 a
10 MHz o el micro convexo.
mayoría de los neumotórax se detectarán
en la pared anterior del tórax o inferior en
pacientes en decúbito supino, a menos
que el neumotórax esté loculado.
FIshman,A:P 2022, Pulmonary deseases and disordderes.Mc Graw Hill capitulo 79.
Tratamiento
EVACUAR EL
ESPACIO
LOGRAR
CIERRE DE LA
FUGA
PREVENIR O
REDUCIR
RECURRENCIA
Tamaño
Sintomatología
Etiología
FIshman,A:P 2022, Pulmonary deseases and disordderes.Mc Graw Hill capitulo 79.
ASPIRACION
simple vs tubo
torácico.
 La aspiración simple es ventajosa por tiempos de
hospitalización más corto, y sin complicaciones
significativas.
 Neumotórax no complicados sin sangre o liquido
idealmente tubos pequeños ( cola de cerdo) de 8 a
14 french
 Neumotórax pequeños colocar tubo torácico tipo
pigtail medio clavicular anterior
 Tubos torácicos de gran calibre en Hemotórax y en
casos selectivos de neumotórax pequeños con
ventilación mecánica que el riego de inserción de una
aguja es grande.
FIshman,A:P 2022, Pulmonary deseases and disordderes.Mc Graw Hill capitulo 79.
Pleurodesis
 El mecanismo básico implica irritación química o física de la
superficie pleural para promover inflamación y posteriormente
adherencias.
 Irritantes pleurales:Talcos,ATB ( minociclina, doxiciclina)
quinacrina, platanitrato, bleomicina, sangre autóloga.
 Dosis 0.5 a 1 gr de doxiciclina / 600mg de minociclina.
 Talco esclerosante 3 a 5 gr. Están asociado a mayores
complicaciones.
FIshman,A:P 2022, Pulmonary deseases and disordderes.Mc Graw Hill capitulo 79.
pautas
Fuga de aire prolongada por más de 4 ª 5
días.
Neumotórax recurrentes.
Como parte del tratamiento del neumotórax
catamenial.
Neumotórax asociado alVIH
FIshman,A:P 2022, Pulmonary deseases and disordderes.Mc Graw Hill capitulo 79.
TratamientoQuirúrgico
 Fuga de aire persistente a pesar del drenaje con tubo torácico.
 Fuga de aire que persiste después de 72 a 96 h de succión.
 Reexpansión pulmonar incompleta.
 Neumotórax loculado.
 Pulmón atrapado por cascara fibrótica.
FIshman,A:P 2022, Pulmonary deseases and disordderes.Mc Graw Hill capitulo 79.
Toracotomía
abierta
 Permite examinar el pulmón en busca del sitio de fuga de aire,
permite la lisis de adherencias previas, liberación de cascara
fibrótica.
FIshman,A:P 2022, Pulmonary deseases and disordderes.Mc Graw Hill capitulo 79.
Tubos de
drenaje
El frasco recolector permite el drenaje estéril
de los espacios pleurales. El frasco con sello
de agua actúa como una válvula
unidireccional en ausencia de succión, y el
frasco de succión permite la regulación de la
presión negativa aplicada al espacio pleural
FIshman,A:P 2022, Pulmonary deseases and disordderes.Mc Graw Hill capitulo 79.

Emergencias Neumológicas: "Neumotórax ".

  • 1.
    NEUMOTÓRAX FIshman,A:P 2022, Pulmonarydeseases and disordderes.Mc Graw Hill capitulo 79.
  • 2.
    Definición. Presencia de aireen la cavidad pleural, que separa la pleura visceral de la parietal. Se requiere aproximadamente 50 ml de aire en el espacio pleural para ser visible. FIshman,A:P 2022, Pulmonary deseases and disordderes.Mc Graw Hill capitulo 79.
  • 3.
    Clasificación. Espontáneo: Neumotórax espontáneo primario Neumotóraxespontáneo secundario Causado por un traumatismo: Perdida de la integridad del pulmon, pared toracica, el esofago, traquea o los bronquios. Consecuencia de procedimientos diagnósticos o terapéuticos FIshman,A:P 2022, Pulmonary deseases and disordderes.Mc Graw Hill capitulo 79.
  • 4.
    Comunicación entre: Alveolo ypleura Espacio pleural y Atmofera Microorganismo productor de gas FISIOPATOLOGIA. La presión dentro del espacio pleural es negativa con respecto a la presión alveolar, tanto en inspiración como en espiración. ( Presión transpulmonar) La presión pleural también es negativa con respecto a la presión atmosférica. (760 mmhg) Presencia de aire en la cavidad pleural FIshman,A:P 2022, Pulmonary deseases and disordderes.Mc Graw Hill capitulo 79.
  • 5.
    Vaina broncovascular Arteriola Alveolo Bronquiolo Sobre distensión delos alveolos marginales Diseccionar medialmente a lo largo de la vaina broncovascular y dar neumomediastino, que puede ir acompañado de inflamación subcutánea. Neumotórax primario.
  • 6.
    Estudios histopatológicos de pulmonesresecados en PSP muestran una ampolla o una bula que se rompe al espacio pleural. Bula Ampolla Bolsa o vesícula formada entre la lámina elástica interna y externa de la pleura visceral, y mide menos de 1 cm Es un espacio aéreo que mide más de 1 cm delimitado por una pared delgada menora 1 mm de espesor FIshman,A:P 2022, Pulmonary deseases and disordderes.Mc Graw Hill capitulo 79.
  • 7.
    Impacto clínico: Dependerá del gradode colapso pulmonar Capacidad Vital Pulmonar PaO2  Baja relación ventilación perfusión.  Ausencia de ventilación.  Hipoventilación alveolar. Capacidad pulmonar total Capacidad residual funcional Capacidad de difusión El aire en el espacio pleural provoca una ventilación pulmonar regional más uniforme por la eliminación de los gradientes gravitacionales de presión pleural, hay cierre de las vías respiratorias con volúmenes pulmonares bajos, que es la principal causaV/̇Q Neumotórax FIshman,A:P 2022, Pulmonary deseases and disordderes.Mc Graw Hill capitulo 79.
  • 8.
    Reabsorción del gas pleural. 1%a 6% se reabsorbe en 24 h solo con observación. Por difusión simple desde el espacio pleural a la sangre venosa. Gradiente de presión del gas. Propìedades de difusión del gas en espacio pleural Área de contacto del gas en espacio pleural y la pleura. Permeabilidad de la superficie pleural El nitrógeno es el gas que se reabsorbe más lento El dióxido de carbono, vapor de agua, se reabsorbe rápido La presión del gas en el espacio pleura es de 760 mmhg, y en el espacio capilar de 706 lo que genera una fuerza impulsora de 54mmhg. FIshman,A:P 2022, Pulmonary deseases and disordderes.Mc Graw Hill capitulo 79.
  • 9.
    Neumotórax espontáneo primario EN AUSENCIADE ENFERMEDAD PULMONAR SUBYACENTE. FIshman,A:P 2022, Pulmonary deseases and disordderes.Mc Graw Hill capitulo 79.
  • 10.
    Epidemiología Incidencia: Hombres entre7.4 a 18 por 100,000 habitantes Mujeres 1.2 a 6 por 100,000 habitantes. Relación Hombre/ Mujer: 3:1 Hasta 6:1 Incidencia máxima entre 3ra a 5ta década de la vida ( Altos y delgados) FIshman,A:P 2022, Pulmonary deseases and disordderes.Mc Graw Hill capitulo 79.
  • 11.
    El tabaquismo aumentanel riesgo de neumotórax espontáneo hasta nueve veces. Medio paquete por día tienen hasta 20 veces posibilidad de tener neumotórax espontaneo. Un paquete al año tienen hasta 100 veces de padecer neumotorax espontaneo. FUMAR PRODUCE DEBILITAMIENTO DE LA PLEURA VISCERAL O DILATACION DE LAVIA RESPIRATORIA DISTAL. FIshman,A:P 2022, Pulmonary deseases and disordderes.Mc Graw Hill capitulo 79.
  • 12.
    Etiología. “Sin obvia enfermedad pulmonar”. Las bulaso ampollas subpleurales se denominados cambios de tipo enfisematosos: 20% evidentes en rx de tórax. Pueden observarse hasta en 80% en imágenes por TC y evaluación QX Porosidad pleural: Sustitución de células mesoteliales por células inflamatorias, que predisponen a la fuga de aire. FIshman,A:P 2022, Pulmonary deseases and disordderes.Mc Graw Hill capitulo 79.
  • 13.
    Factores de riesgo Inflamación dela vía respiratoria. Bronquiolitis respiratoria en fumadores. Anomalías del tejido conectivo. Hereditario. Habito corporal ectomorfico. FIshman,A:P 2022, Pulmonary deseases and disordderes.Mc Graw Hill capitulo 79.
  • 14.
    Tasa de recurrenciadespués de un primer episodio es de 33% (rango de 23 a 52%) y ocurre después de 1 a 2 años del primer episodio. Después de un segundo episodio la recurrencia es de 60% Depues de un tercer episodio llega hasta 83%. FIshman,A:P 2022, Pulmonary deseases and disordderes.Mc Graw Hill capitulo 79.
  • 15.
     75% delas recurrencias son del mismo lado del primer neumotórax.  El riesgo de neumotórax contralateral solo es de 5 al 10%. FIshman,A:P 2022, Pulmonary deseases and disordderes.Mc Graw Hill capitulo 79.
  • 16.
    Neumotórax Espontaneo Secundario EL PACIENTETIENE UNA PATOLOGIAPULMONAR SUBYACENTE FIshman,A:P 2022, Pulmonary deseases and disordderes.Mc Graw Hill capitulo 79.
  • 17.
    Epidemiologia  La incidencia6.3 por 100,000 para los hombres y 2.3 por 100,000 para las mujeres.  La recurrencia es mayor con 40 a 80%, debido a la patología pulmonar subyacente. ( EPOC, Fibrosis quística, asma grave) FIshman,A:P 2022, Pulmonary deseases and disordderes.Mc Graw Hill capitulo 79.
  • 18.
    Neumotórax secundario espontaneó: Causas FIshman,A:P 2022, Pulmonarydeseases and disordderes.Mc Graw Hill capitulo 79.
  • 19.
    EPOC FQ EPOC moderadamente grave,con FEV1 menor a 1 L, y con fistulas broncopleurales. 3.5% de los pacientes con FQ tendrán esta complicación durante su vida. (edad 21 años). Denota mal pronóstico, un estudio demuestra que después de un primer episodio la media de vida fue 29.9 meses. Aumenta con la edad, y con la disminución de FEV1.( riesgo del 50% con FEV1 menor a 30) Con recurrencia del 37% FIshman,A:P 2022, Pulmonary deseases and disordderes.Mc Graw Hill capitulo 79.
  • 20.
    Neumotórax catamenial.  Ocurre enmujeres 72 horas antes o después de haber iniciado la menstruación.  Este síndrome ocurre generalmente entre la 3ra y 4ta década de la vida  La incidencia es entre 18 a 33% en mujeres de edad reproductiva con neumotórax recurrente. FIshman,A:P 2022, Pulmonary deseases and disordderes.Mc Graw Hill capitulo 79.
  • 21.
    SIDA  2% delos px con SIDA, por etiologías infecciosa como .Pneumocystis jiroveci, sarcoma de Kaposi, citomegalovirus, criptococosis.  La tuberculosis pulmonar/VIH, neumotórax presente hasta en un 7%.  Por quistes subpleurales y necrosis subpleural en los ápices de los pulmones FIshman,A:P 2022, Pulmonary deseases and disordderes.Mc Graw Hill capitulo 79.
  • 22.
    NEUMOTORAX TRAUMATICO 20% de todoslos casos. FIshman,A:P 2022, Pulmonary deseases and disordderes.Mc Graw Hill capitulo 79.
  • 23.
    Si se alterala continuidad de la pared torácica se produce neumotórax abierto. Neumotórax cerrado, por trauma contundente por lesión por explosión o por caída de gran altura en agua. Rotura del esófago produce hidro neumotórax, disfagia, neumomediastino. Una concentración alta de amilasa en liquido pleural confirma rotura esofágica. FIshman,A:P 2022, Pulmonary deseases and disordderes.Mc Graw Hill capitulo 79.
  • 24.
    NEUMOTORAX IATROGÉNICO Aspiración transtorácica con aguja. Colocación de catéteren vena subclavia Toracocentesis Biopsia transbronquial Biopsia pleural Ventilación a presión positiva FIshman,A:P 2022, Pulmonary deseases and disordderes.Mc Graw Hill capitulo 79.
  • 25.
    FIshman,A:P 2022, Pulmonarydeseases and disordderes.Mc Graw Hill capitulo 79.
  • 26.
    Cuando sospechar un neumotórax Aumento repentinode la frecuencia respiratoria Disincronía entre el paciente y ventilador Aumento de la presión máxima y meseta del ventilador. FIshman,A:P 2022, Pulmonary deseases and disordderes.Mc Graw Hill capitulo 79.
  • 27.
     proyecciones enposición erecta o en decúbito, o mediante ecografía FIshman,A:P 2022, Pulmonary deseases and disordderes.Mc Graw Hill capitulo 79.
  • 28.
    Caracterización clínica  Dolorde pecho y disnea en el 95% de los pacientes.  El dolor es agudo localizado en el lado del neumotórax, típicamente pleurítico.  Menos frecuente:  Tos, hemoptisis, ortopnea, síndrome de Horner.  Un pequeño porcentaje: Fatiga y debilidad. FIshman,A:P 2022, Pulmonary deseases and disordderes.Mc Graw Hill capitulo 79.
  • 29.
     Neumotórax secundarioespontaneo: Dificultad respiratoria con taquicardia y taquipnea significativa  Neumotórax aTensión: Diaforesis profusa, hipoxemia marcada, cianosis, acidosis respiratoria e hipotensión. FIshman,A:P 2022, Pulmonary deseases and disordderes.Mc Graw Hill capitulo 79.
  • 30.
    Exploración física Los signos vitales suelenser normales. A la inspección el tórax afectado suele ser más grande y se mueve menos durante la respiración. El frémito táctil está ausente. A la percusión es hiper resonante y los ruidos respiratorios están ausentes o reducidos del lado del neumotórax. FIshman,A:P 2022, Pulmonary deseases and disordderes.Mc Graw Hill capitulo 79.
  • 31.
    Exámenes de laboratorio y gabinete GSA: Hipoxemia e hipocapnia por hiperventilación.  ECG: Disminución del voltaje de la onda R precordial, QRS con amplitud disminuida, inversión de la ondaT precordial. FIshman,A:P 2022, Pulmonary deseases and disordderes.Mc Graw Hill capitulo 79.
  • 32.
    Exploración radiológica.  RAYOS XSIMPLE: Demostración del margen externo de la pleura visceral separa de la pleura parietal, por una expansión transparente desprovisto de vasos vasculares FIshman,A:P 2022, Pulmonary deseases and disordderes.Mc Graw Hill capitulo 79.
  • 33.
    Estimación del tamañode un neumotórax. Diámetro de pulmón colapsado y del hemitórax afectado y elevarlos al cubo. Nomograma: Midiendo la distancia intrapleural en el vértice y en los puntos medios de los pulmones superior e inferior, se promedian los tres valores FIshman,A:P 2022, Pulmonary deseases and disordderes.Mc Graw Hill capitulo 79.
  • 34.
    1.Desplazamient o del mediastino 2.Depresión diafragmática 3.Expansión de la caja torácica Neumotórax a tensión. FIshman,A:P 2022, Pulmonary deseases and disordderes.Mc Graw Hill capitulo 79.
  • 35.
    Ultrasonido pulmonar Sensibilidad 79a95% Especificidad 98a99%  Pulmón y pleura normal hallazgo ecográficos: Deslizamiento pulmonar y líneasA  La pleura aparece como una línea blanca brillante hiperecoica  La presencia de deslizamiento pulmonar descarta el neumotórax con un valor predictivo de 100%.  la ausencia de deslizamiento pulmonar no es específica del neumotórax y puede observarse con cualquier causa de sínfisis pleural (pleurodesis química, enfermedad infecciosa/inflamatoria). FIshman,A:P 2022, Pulmonary deseases and disordderes.Mc Graw Hill capitulo 79.
  • 36.
    La superficie pleuralse ve debajo de las costillas. Las pleuras visceral y parietal están superpuestas dando una apariencia reluciente a medida que la pleura visceral se desliza hacia adelante y hacia atrás contra la pleura parietal con las respiraciones. FIshman,A:P 2022, Pulmonary deseases and disordderes.Mc Graw Hill capitulo 79.
  • 37.
    Pared torácica Patrón granularpor pulmón aireado Línea hiper ecoica de la pleura Pulmón normal en modo M: EL signo de “orilla del mar”, en el que el parénquima pulmonar aireado representa la playa y la pared torácica representa el océano. En el neumotórax se pierde el patrón granular del parénquima pulmonar aireado y se observan líneas horizontales y lineales. FIshman,A:P 2022, Pulmonary deseases and disordderes.Mc Graw Hill capitulo 79.
  • 38.
    Signo de la estratosferao código de barra Neumotórax en modo M La separación de la pleura visceral y parietal por el aire evita que las ondas de ultrasonido lleguen a la pleura visceral, lo que provoca la pérdida del patrón granular del pulmón normal en la parte inferior de la imagen en modo M. FIshman,A:P 2022, Pulmonary deseases and disordderes.Mc Graw Hill capitulo 79.
  • 39.
    Punto pulmonar en modo M Estaimagen en modo M muestra patrones alternos de pulmón normal y neumotórax a medida que el pulmón normal y aireado se desliza sobre el área del pulmón colapsado. El patrón de modo M del neumotórax a menudo se denomina signo de “estratosfera” o “código de barras” FIshman,A:P 2022, Pulmonary deseases and disordderes.Mc Graw Hill capitulo 79.
  • 40.
    Punto pulmonar enmodo M. muestra patrones alternos de pulmón normal y neumotórax a medida que el pulmón normal y aireado se desliza sobre el área del pulmón colapsado. FIshman,A:P 2022, Pulmonary deseases and disordderes.Mc Graw Hill capitulo 79.
  • 41.
     La localizacióndel punto pulmonar es un signo especifico de neumotórax. (localización del pulmón colapsado y aireado) FIshman,A:P 2022, Pulmonary deseases and disordderes.Mc Graw Hill capitulo 79.
  • 42.
    Las líneas Ase ven como una serie de líneas blancas horizontales equidistantes y profundas hasta la pleura. Se observan en pulmones normales, pero también en neumotórax, embolia pulmonar, EPOC o asma debido a reverberaciones entre la pleura parietal y el transductor. FIshman,A:P 2022, Pulmonary deseases and disordderes.Mc Graw Hill capitulo 79.
  • 43.
    Líneas B sonun tipo de artefacto de reverberación, también conocido como artefactos de cola de cometa. Surgen de la superficie pleural y se extienden verticalmente hasta la parte inferior de la pantalla como rayos hiperecoicos discretos Su presencia descarta neumotórax. FIshman,A:P 2022, Pulmonary deseases and disordderes.Mc Graw Hill capitulo 79.
  • 44.
    FIshman,A:P 2022, Pulmonarydeseases and disordderes.Mc Graw Hill capitulo 79.
  • 45.
    Los transductores mejorespara neumotórax son los de matriz linea de 5 a 10 MHz o el micro convexo. mayoría de los neumotórax se detectarán en la pared anterior del tórax o inferior en pacientes en decúbito supino, a menos que el neumotórax esté loculado. FIshman,A:P 2022, Pulmonary deseases and disordderes.Mc Graw Hill capitulo 79.
  • 46.
    Tratamiento EVACUAR EL ESPACIO LOGRAR CIERRE DELA FUGA PREVENIR O REDUCIR RECURRENCIA Tamaño Sintomatología Etiología FIshman,A:P 2022, Pulmonary deseases and disordderes.Mc Graw Hill capitulo 79.
  • 47.
    ASPIRACION simple vs tubo torácico. La aspiración simple es ventajosa por tiempos de hospitalización más corto, y sin complicaciones significativas.  Neumotórax no complicados sin sangre o liquido idealmente tubos pequeños ( cola de cerdo) de 8 a 14 french  Neumotórax pequeños colocar tubo torácico tipo pigtail medio clavicular anterior  Tubos torácicos de gran calibre en Hemotórax y en casos selectivos de neumotórax pequeños con ventilación mecánica que el riego de inserción de una aguja es grande. FIshman,A:P 2022, Pulmonary deseases and disordderes.Mc Graw Hill capitulo 79.
  • 48.
    Pleurodesis  El mecanismobásico implica irritación química o física de la superficie pleural para promover inflamación y posteriormente adherencias.  Irritantes pleurales:Talcos,ATB ( minociclina, doxiciclina) quinacrina, platanitrato, bleomicina, sangre autóloga.  Dosis 0.5 a 1 gr de doxiciclina / 600mg de minociclina.  Talco esclerosante 3 a 5 gr. Están asociado a mayores complicaciones. FIshman,A:P 2022, Pulmonary deseases and disordderes.Mc Graw Hill capitulo 79.
  • 49.
    pautas Fuga de aireprolongada por más de 4 ª 5 días. Neumotórax recurrentes. Como parte del tratamiento del neumotórax catamenial. Neumotórax asociado alVIH FIshman,A:P 2022, Pulmonary deseases and disordderes.Mc Graw Hill capitulo 79.
  • 50.
    TratamientoQuirúrgico  Fuga deaire persistente a pesar del drenaje con tubo torácico.  Fuga de aire que persiste después de 72 a 96 h de succión.  Reexpansión pulmonar incompleta.  Neumotórax loculado.  Pulmón atrapado por cascara fibrótica. FIshman,A:P 2022, Pulmonary deseases and disordderes.Mc Graw Hill capitulo 79.
  • 51.
    Toracotomía abierta  Permite examinarel pulmón en busca del sitio de fuga de aire, permite la lisis de adherencias previas, liberación de cascara fibrótica. FIshman,A:P 2022, Pulmonary deseases and disordderes.Mc Graw Hill capitulo 79.
  • 52.
    Tubos de drenaje El frascorecolector permite el drenaje estéril de los espacios pleurales. El frasco con sello de agua actúa como una válvula unidireccional en ausencia de succión, y el frasco de succión permite la regulación de la presión negativa aplicada al espacio pleural FIshman,A:P 2022, Pulmonary deseases and disordderes.Mc Graw Hill capitulo 79.

Notas del editor

  • #7 24La inflamación de las vías respiratorias secundaria al tabaquismo puede estar asociada o contribuir al desarrollo de estas ampollas. La bronquiolitis respiratoria en fumadores puede ser un elemento importante en el desarrollo de la PSP.25Se encontró evidencia patológica de bronquiolitis respiratoria en más del 88% de los fumadores sometidos a cirugía por PSP. La tasa de recurrencia después de una PSP es de aproximadamente 33% (rango, 23% a 52%) y la recurrencia generalmente ocurre dentro de 1 a 2 años después del primer episodio.39 La tasa de recurrencia puede aumentar con cada neumotórax sucesivo. En un estudio, el riesgo de recurrencia aumentó a más del 60% después del segundo neumotórax y al 83% después del tercero
  • #8 La capacidad pulmonar total, la capacidad residual funcional y la capacidad de difusión también se reducen, aunque menos que la capacidad vital. El aire en el espacio pleural provoca una ventilación pulmonar regional más uniforme y, por tanto, reducida mediante la eliminación de los gradientes gravitacionales de presión pleural. Los pulmones demuestran cierre de las vías respiratorias con volúmenes pulmonares bajos, que es la principal causa del desequilibrio V/̇Q en pacientes con neumotórax.7
  • #13 Además de la estatura y el sexo masculino, el tabaquismo aumenta significativamente el riesgo de neumotórax espontáneo y se ha asociado con un riesgo nueve veces mayor. mayor riesgo de desarrollar una primera PSP.15Se ha demostrado que el riesgo relativo de PSP presenta una relación dosis-respuesta con la cantidad de cigarrillos por día y la duración de la exposición, aumentando más de 20 veces en hombres que fuman medio paquete por día y 100 veces en hombres que fuman un paquete. por día en comparación con los no fumadores. El riesgo de por vida en hombres fumadores sanos puede llegar al 12%, frente al 0,1% en los no fumadores.
  • #19 RECURRENCIA DE UN 40 A 80 % DEBIDO A LA PATOLOGIA SUBYACENTE Y LA MAYOR EDAD.