Md Denisse Ochoa Coronel.
NEUMOTORAX
ANATOMÍA
NEUMOTÓRAX
El neumotórax se define
acumulación
como la presencia o
anormal de
aire o gas en el espacio
pleural (espacio potencial
entre la pleura parietal y la
pleura visceral) de los
pulmones.
Neumotórax
Clasificación
Puede ser:
1. Espontáneo : sucede sin antecedente de trauma u otra causa obvia, puede ser:
a) Primario, ocurre en personas sin patología de base.
b) Secundario, ocurre como complicación en una enfermedad pulmonar de
fondo, usualmente crónica, ej. EPOC
2. Traumático: ocurre de un trauma directo o indirecto al tórax.
3. Iatrogénico: ocurre como una intención o inadvertida consecuencia de un diagnóstico
o maniobra terapéutica.
NEUMOTÓRAX ESPONTÁNEO
PRIMARIO (NEP)
Un neumotórax espontáneo es aquel que ocurre en ausencia de un evento externo.
EPIDEMIOLOGÍA
• Es más común en hombres que en mujeres (aproximadamente de tres a seis veces más).
• Mayor frecuencia en pacientes altos y delgados y con antecedentes de tabaquismo.
• El consumo de marihuana (cannabis) se asocia con enfermedad bullosa.
• Pico máximo de presentación entre 15-34 años (adolescentes y adultos jóvenes). Muy raro > 40
años.
• La tasa de recurrencia después del primer NEP va desde 17-54%, en el primer año después del
neumotórax, siendo el mayor riesgo en los primeros 30 días.
• La NEP se asocia con bajas tasas de morbilidad y mortalidad si es diagnosticado y manejado a
tiempo.
https://www.uptodate.com/contents/pneumothorax-in-adults-epidemiology-and-
etiology/print?search=neumot%C3%B3rax&topicRef=117242&source=see_link
tipo neumotórax Estrategias específicas de diagnóstico o manejo a considerar
Neumotórax espontáneo primario
Curso probablemente benigno con tratamiento conservador; drenaje de gas pleural (típicamente
aspiración), VATS para PAL; menor riesgo de recurrencia.
Neumotórax espontáneo secundario
PAL es más probable; típicamente se necesita una intervención temprana con pleurodesis
(sanguínea, química, quirúrgica); mayor riesgo de recurrencia.
EPOC Dejar de fumar.
FC Puede considerar estrategias limitadas de pleurodesis si se planea un trasplante.
Malignidad
Los agentes quimioterapéuticos o la radiación pueden ser apropiados. Es posible que el
neumotórax no cicatrice y que la PAL sea tal que las estrategias quirúrgicas agresivas fracasen.
Infección
Los antimicrobianos están garantizados. Es posible que el neumotórax no cicatrice y que la PAL
sea tal que las estrategias quirúrgicas agresivas fracasen.
Trastornos pulmonares quísticos
Es posible que se justifiquen investigaciones o terapias dirigidas a la causa sospechosa (p. ej.,
biopsia pulmonar, niveles de VEGF-D, análisis del gen de la foliculina, rapamicina*).
Catamenial (endometriosis) La terapia hormonal puede estar justificada.
Anomalías arquitectónicas (p. ej., síndrome de Marfan, síndrome de Ehlers-Danlos,
homocistinuria)
Puede necesitar investigaciones específicas dirigidas a la causa sospechosa (p. ej., niveles de
homocisteína).
iatrogénico
Curso probablemente benigno (a menos que el paciente esté ventilado mecánicamente). El
manejo conservador con drenaje de aire suele ser suficiente.
Traumático
Puede ser necesario manejar conjuntamente el traumatismo parenquimatoso y otros aspectos
vasculares y ortopédicos del traumatismo torácico.
Misceláneas
Anorexia Es necesario abordar la nutrición, es probable que sea PAL.
Ejercicio
El curso probablemente benigno y el manejo conservador con drenaje de aire pueden ser
suficientes.
Uso de drogas ilícitas Cese del consumo de drogas.
Medicamentos inmunosupresores Suspensión del agente agresor, si es factible.
Viaje aéreo Evitación de viajes aéreos por un período corto después del manejo definitivo.
Submarinismo Evitar el buceo hasta el manejo definitivo.
VATS: cirugía toracoscópica asistida por video; PAL: fuga de aire prolongada (persistente); EPOC: enfermedad pulmonar obstructiva crónica; FQ: fibrosis
quística; VEGF-D: factor de crecimiento endotelial vascular-D.
* La rapamicina, como inmunosupresor, es una terapia útil para algunos pacientes con linfangioleiomiomatosis, pero no debe iniciarse hasta que el
neumotórax se haya curado durante unas seis semanas. Consulte los temas de UpToDate sobre linfangioleiomiomatosis esporádica: presentación clínica y
evaluación diagnóstica y Linfangioleiomiomatosis esporádica: tratamiento y pronóstico.
Gráfico 120903 Versión 1.0
Factores etiológicos
Blebs: colecciones subpleurales de aire
dentro de las capas de la pleura visceral
por ruptura de alveolos.
Bula: es un espacio grande que contiene
aire dentro de la sustancia del pulmón que
resulta de la destruccion,dilatacion y
confluencia de espacios aéreos distales a
los bronquiolos terminales, su tamaño es
mayor de 1 cm de diámetro.
PATOGÉNESIS
 Aire en el espacio pleural  uno de tres eventos: 1) comunicación
entre los espacios alveolares y pleura; 2) comunicación directa o
indirecta entre la atmósfera y el espacio pleural; o 3) presencia de
organismos productores de gas en el espacio pleural.
 Puntos de debilidad en la pleura visceral debido a ampollas
subpleurales, bullas, necrosis pulmonar y anomalías del tejido
conectivo pueden predisponer a los alvéolos a romperse en ambos
tipos de NE.
 Ruptura espontánea de una ampolla o bulla subpleural generalmente
apical.
 Porosidad pleural: áreas de alteración de las células mesoteliales en la
pleura visceral, que son reemplazadas por una capa elastofibrótica
inflamatoria con mayor porosidad.
Guérin JC. Pneumothorax spontané [Spontaneous pneumothorax]. Rev Prat. 1997 Jun
15;47(12):1320-5. French. PMID: 9248099.
Causas del neumotórax
espontáneo no traumático
Neumotórax primario
Hábito corporal
asténico/ampollas
subpleurales
El consumo de drogas
Fumar cigarrillos
esnifar cocaina
fumar marihuana
Aumento de la presión
transpulmonar
maniobra de Valsalva
Buceo, vuelo militar
.
Bintcliffe OJ, Hallifax RJ, Edey A, et al. Neumotórax espontáneo: ¿momento de repensar el
manejo? Lancet Respir Med 2015; 3:578.
Patogenia y factores de riesgo
Ampollas subpleurales: sugiere áreas rotas de células mesoteliales,
inflamación y poros de 10 a 20 micras de diámetro en lugar de una
brecha en la membrana pleural visceral.
Fumar (cigarrillos, cannabis): fumar cigarrillos (actualmente o en el
pasado) es un factor de riesgo importante para la PSP, probablemente
debido a la inflamación de las vías respiratorias y la bronquiolitis
respiratoria.
Predisposición genética: Se han propuesto mecanismos de herencia
autosómico dominante, autosómico recesivo, poligénico y recesivo
ligado al cromosoma X.
Otros: varios informes sugieren que las caídas en la presión atmosférica
pueden estar asociadas con un aumento en la incidencia de
neumotórax
NEUMOTORAX ESPONTÁNEO
SECUNDARIO
El neumotórax espontáneo secundario (SSP)
se presenta como una complicación de una
enfermedad pulmonar subyacente.
SSP de predominio en hombres en pacientes
mayores (> 55 años).
Las enfermedades asociadas más comunes
relacionadas con SSP son EPOC y, en áreas
endémicas, la tuberculosis (TB).
Otras causas comunes incluyen FQ, cáncer
pulmonar primario o metastásico y neumonía
necrosante.
Causas del neumotórax
espontáneo no traumático
Causas de la enfermedad quística
pulmonar en adultos
Amiloidosis
¶
Displasia broncopulmonar (quistes pulmonares probablemente como consecuencia de una infección)
Congénita/genética (p. ej., síndrome de Birt-Hogg-Dubé , síndrome de Down, neurofibromatosis, síndrome de Proteus)
Enfermedad de Chester Erdheim
pulmón de tragafuegos
Hongos (p. ej., coccidioidomicosis, Pneumocystic jirovecii )
Neumonitis por hipersensibilidad
Síndrome de hiperinmunoglobulina E (debido a neumonía estafilocócica recurrente)
Enfermedad por depósito de cadenas ligeras
Δ
Linfangioleiomiomatosis (esporádica o relacionada con el complejo de esclerosis tuberosa)
Neumonía intersticial linfoide
◊
(p. ej., asociada con la enfermedad de Sjögren, inmunodeficiencia)
paragonimiasis
Tumores primarios y metastásicos (p. ej., adenocarcinoma de pulmón, adenocarcinoma gastrointestinal y genitourinario metastásico, linfoma, hamartoma quístico
mesenquimatoso, sarcomas metastásicos, blastoma pleuropulmonar)
Papilomatosis respiratoria recurrente (parénquima pulmonar en adultos)
Enfermedad de Sjögren (p. ej., debido a enfermedad por depósito de cadenas ligeras o neumonía intersticial linfoide)
Enfermedad pulmonar intersticial relacionada con el tabaquismo (neumonía intersticial descamativa, histiocitosis pulmonar de células de Langerhans , bronquiolitis
respiratoria, enfermedad pulmonar intersticial)
Lesión de las vías respiratorias pequeñas relacionada con el tabaquismo
Neumonía estafilocócica
NEUMOTÓRAX ESPONTÁNEO
EXAMEN FÍSICO
Puede ser normal en neumotórax
pequeños (menos del 15% del hemitórax).
En neumotórax más grandes, los
movimientos de la pared torácica, los
sonidos respiratorios (auscultación) y el
frémito táctil (palpación) suelen estar
disminuidos o ausentes, y la percusión es
hiperresonante, en el lado afectado.
MANIFESTACIONES CLÍNICAS
Son frecuentemente asintomáticos.
Síntomas mínimos/sutiles.
Dolor torácico pleurítico ipsilateral y
disnea de inicio agudo.
Evolución rápida a hipotensión,
taquipnea, taquicardia, cianosis
compromiso hemodinámico  sospechar
de neumotórax a tensión
La mayoría de los episodios de NEP
ocurre mientras el paciente está en
reposo (80%).
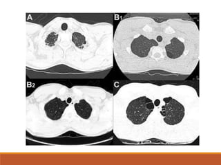
DIAGNÓSTICO
Historia del paciente y hallazgos al examen físico.
Radiografía de tórax PA (de pie)  suele confirmar el
diagnóstico en la mayoría de los casos.
US: sensibilidad 81% y especificidad 100%.
TC de tórax  en casos de NEP pequeños o loculados.
Mejor método para la estimación del tamaño del
neumotórax.
Diagnóstico
Persona delgada, alta y varón el diagnostico es sugerido por la
historia clínica y el examen físico.
El diagnostico consiste en demostrar una línea pleural a los Rx tórax.
Rx tórax.
Ultrasonido.
El TAC tórax no esta indicado de rutina. Espontáneo primario, si no
hay una cercana correlación entre la presencia de blebs
subpleurales y Pno. recurrente.
Cuantificación del Neumotórax
Debemos estimar la cantidad de colapso pulmonar cada vez que
tratamos a pac. con Pno.
“el volumen de el pulmón y el hemitorax son ordinariamente
proporcionales al cubo de sus diámetros ”Podemos calcular este colapso
midiendo el rango del diámetro pulmonar y el hemitorax, elevando al
cubo sus diámetros.
1- (diámetro pulmonar) 3
%neumotórax= 100
(diámetro hemitorax)3
A esto se le conoce como el índice de Light. Importante señalar que no
toma en cuenta la talla de la persona.
Metodo de Collins
Estima el porcentaje del colapso pulmonar y considera la talla de la
persona.
Su método mide la distancia del ápex del pulmón colapsado y el ápex de
la cavidad torácica (distancia A), distancia desde el punto medio a la
parte superior del pulmón colapsado a la inferior (distancia B), y la
mitad del pulmón colapsado y la pared lateral del tórax. Se mide en
centímetros.
%neumotórax = 4.2+[4.7x(A+B+C)]
Metodo de Rhea
Relaciona el rango de distancia intrapleural al tamaño del Pno. En este
por cada cm. de distancia intrapleural hay 10% de Pno. Este método
con el de Collins son los más recomendados.
También puede calcularse por TAC.
Las guías de manejo de Pno. espontaneo British Thoracic Society,
definieron como Pno. pequeño cuando midiendo a la altura del hilio
pulmonar desde el borde de la pleura visceral y el borde interno de la
pared torácica es menor de 2 cm es pequeño y grande cuando es mayor
de 2 cm.
American College of Chest Physicians definió como neumotórax
pequeño cuando al medir entre la cúpula tórax y el ápex pulmonar la
distancia fue menos de 3 cm. Y grande cuando esta distancia es mayor
de 3 cm.
Los métodos de Collins y Rhea son preferidos para medir distancia de
cúpula – ápex pues son mas precisos en estimar el tamaño del Pno.
TRATAMIENTO
TAMAÑO DEL NEUMOTÓRAX
P: < 3 cm
G: > 3 cm
P: < 2 cm
G: > 2 cm
ACCP (2010) BTS (2010)
1 cm = 25%
2 cm = 50%
No existe un
consenso universal
TRATAMIENTO
TAMAÑO DEL NEUMOTÓRAX
(VOLUMEN %)
Índice de light
Punto de corte para neumotórax de
gran tamaño: 20%.
Índice de Reah
Distancia interpleural
ajustada a un nomograma.
media
Tasa de recurrencia
Quien tenga un Pno. Espontaneo primario esta en riesgo de sufrir una
recurrencia, según Sadikot et al, recurren en 54.2%, de estos en
mujeres 71% y hombres 46%, y fueron menos en quienes
suspendieron el hábito de fumar 40% que en fumador activo 70%.
16% recurrió contralateral y solamente 1 caso de bilateral.
No hay relación con la recurrencia por el tamaño del pno. sufrido o el
método de tratamiento usado.
en una serie de 110 enfermos en quienes no se les colocó tubo
inicialmente: 52% recurrencia ipsilateral, 62% un segundo y 83%
un tercer episodio.
Globbel et al. En su trabajo determinaron que el intervalo de
recurrencia entre el primer y segundo neumotórax fue 2.3 años.
Seremetis según su estudio, la recurrencia sucede a los 17 meses.
Estudios mas recientes sugieren que la mayoría de las recurrencias
suceden dentro del primer año.
Se han hecho muchos intentos por predecir que enfermo de Pno.
espontaneo primario tendrá recurrencia, aun no ha sido posible.
La presencia de blebs en un TAC tórax no lo predice.
Abolnik et al concluyeron que los enfermos altos y delgados tendrán
recurrencia.
Guo et al. Estudio de análisis con multivariables demostró que la
recurrencia es mas frecuente en personas altas y bajo peso corporal.
Ganesalingam et al. Presentaron un cuidadoso análisis de radiografías
iniciales de tórax de 100 enfermos de Pno.espontaneo: engrosamiento
pleural, blebas/bulas, irregularidades pleurales y adherencias pleurales,
en un periodo de 57 meses, obtuvieron: 52% tuvo recurrencia
También concluyeron que los enfermos que presentaban una, dos, tres
o mas anormalidades recurrían 3,5.3 y 12.6 veces mas
respectivamente,
Recomiendan que el tratamiento quirúrgico debe ser ofrecido a los
enfermos en quienes dos o mas anormalidades radiológicas sean
identificadas.
TRATAMIENTO
OBJETIVOS
Evacuación del aire en la cavidad
pleural  reexpansión pulmonar
(alivia los síntomas, + disnea).
Prevenir futuras recurrencias.
Excluir el neumotórax a tensión.
Reducir la morbilidad.
ALTERNATIVAS
Existe una considerable disparidad en
guías para el manejo del neumotórax.
Las opciones de manejo disponibles
van desde la observación, aspiración
con un catéter, drenaje con tubo a
tórax hasta intervención quirúrgica
torácica (VATS, pleurodesis,
toracotomía).
TRATAMIENTO
ELECCIÓN DEL TRATAMIENTO
Esta determinado en gran medida por:
Presencia o no de síntomas (gravedad) y compromiso hemodinámico (+
importante).
Tamaño y causa del neumotórax.
Primer episodio o recurrente.
Éxito o fracaso del manejo inicial.
Definición de estabilidad
La definición de estabilidad sugerida por la ACCP comprende
pacientes con todo lo siguiente:
●Frecuencia respiratoria <24 respiraciones por minuto
●Frecuencia cardíaca <120 y >60 latidos por minuto
●Presión arterial normal (no definida)
●Saturación de oxígeno en el aire de la habitación > 90 por
ciento
●Habilidad para hablar en oraciones completas.
Observación
Si la comunicación entre el alveolo y el espacio pleural es
eliminado el aire es lento la absorción, pero se estimo en
consenso que el promedio de absorción es de 2.2%/día, que
el uso de oxígeno suplementario aumenta la absorción del
aire.
Por lo tanto se recomienda considerar este manejo solo en
pacientes con pno. espontaneo primario menores del 15%,
si la persona esta ingresada debería dársele oxigeno
suplementario.
TRATAMIENTO
PARCIAL TOTAL
COMPLETO
TRATAMIENTO
MANEJO CONSERVADOR
Pacientes clínicamente estables, con un
primer episodio, neumotórax pequeño o
síntomas leves (sin disnea significativa):
Oxigeno suplementario a
esto aumenta 4 veces
reabsorción.
alto flujo 
la tasa de
Monitorización cardiopulmonar continúa.
Analgesia.
Observación clínica por lo menos 6 horas.
Radiografía de tórax de control.
ALTA MÉDICA
Ausencia de progresión del neumotórax
confirmado por radiografía de tórax de
control.
Pacientes confiables para el cumplimento
de tratamiento ambulatorio.
Facilidad de acceso inmediato a los
servicios de urgencias.
Se debe realizar seguimiento ambulatorio
por 2-4 semanas después de egreso (con
radiografía de tórax de control).
TRATAMIENTO
INTERVENCIÓN ACTIVA
Pacientes con NEP o NES y disnea
significativa asociado con cualquier
tamaño de neumotórax debe someterse
a una intervención activa:
Aspiración con aguja (14-16 G).
Drenaje torácico (< 14 Fr).
Válvula de Heimlich (ambulatorio) 
(pequeño, asintomático).
Se recomienda manejo
intrahospitalario a todos los pacientes
con episodios de NES (observación
mínimo por 24 horas).
La mayoría de los pacientes con NES
requerirán drenaje torácico.
TRATAMIENTO
FUGA DE AIRE PERSISTENTE / FALLA EN LA
REEXPANSIÓN
Succión a través de drenajes torácicos.
Acelera salida de aire.
BTS  no usar rutinariamente en el tratamiento del
neumotórax.
En persistencia de fuga aérea 48 horas después de la
inserción del drenaje.
 Presión de succión: -10 a-20 cm H2O.
Alta presión y volumen de succión puede perpetuar o
empeorar la fuga de aire.
Edema pulmonar por reexpansión (si se expande
abruptamente): tos, disnea, dolor torácico post
inserción de tubo.
TRATAMIENTO
INDICACIONES DE MANEJO DEFINITIVO (QUIRÚRGICO)
Neumotórax ipsilateral recurrente (segundo episodio).
Primer neumotórax contralateral, después de un episodio anterior de neumotórax.
Neumotórax espontáneo bilateral simultáneo.
Fuga de aire persistente (ACCCP 4 d, BTS 3-5 días de drenaje por tubo a tórax).
Fracaso en la reexpansión pulmonar a pesar de un adecuado drenaje del espacio pleural
en el primer episodio.
Primer episodio de neumotórax a tensión, hemoneumotórax espontáneo significativo
en el primer episodio.
Profesiones en riesgo (por ejemplo, pilotos, buceadores, paracaidistas).
Embarazo.
TRATAMIENTO
TORACOTOMIA
Si la toracoscopia no está disponible o ha fallado.
Pacientes con ocupaciones de alto riesgo y
aquellos expuestos a altas variaciones de presión
atmosférica (buceadores, pilotos de aviones).
Se asocia con una mayor pérdida de sangre y
dolor postoperatorio, hospitalización más
prolongada y complicaciones postoperatorias
más frecuentes (12%).
Tiene la tasa de recurrencia más baja (< 0,5%).
VATS
Procedimiento mínimamente invasivo.
Ventajas: menos dolor postoperatorio, mejor
función pulmonar postoperatoria, estancia
hospitalaria más corta
En pacientes en el primer episodio de
neumotórax, cuando se identifican ampollas o
bullas en la TC.
La tasa de neumotórax recurrente es < 5%
después de VATS con resección de
ampolla/bullas y pleurodesis.
Medida eficaz en el tratamiento y la
prevención de la recurrencias.
Se prefiere la VATS a la toracotomía como
abordaje quirúrgico (de elección).
Tubo de toracostomía
Libera el aire rápidamente si el tubo es posicionado adecuadamente es decir la punta en la
parte mas superior de la cavidad torácica en donde se forman cámaras aéreas con facilidad.
Rango de hospitalización 3 a 6 días promedio 4 días.
Se recomienda no aplicar succión a los tubos por pno. espontáneos debido al edema al
expanderse el pulmón, resultado es igual en trampa de agua o válvula de Heimlich.
Si después de 24 hrs no expande el pulmón colocar succión.
El tubo debe permanecer 24 hrs mas de cuando el pulmón expanda y cesado la fuga
aérea.
Si a las 48 hrs no expande colocar un tubo más grueso, si no expande a los 4 días existe una
fistula bronco pleural hacer toracotomía o VATS o aplicar un parche de sangre autóloga
TRATAMIENTO
PLEURODESIS
Procedimiento que precipita un proceso
inflamatorio aséptico que conduce a la adherencia
de la pleura parietal y visceral, obliterando así el
espacio pleural (sínfisis pleural).
Pleurodesis química (agente esclerosante  talco,
yodopovidona, derivados de tetraciclinas como
doxiciclina o minociclina).
Pleurodesis mecánica (abrasión mecánica de la
pleura).
Pleurectomía parietal.
BENEFICIOS
Prevenir recurrencias (después de primer
episodios de neumotórax).
Menor recurrencia talco por toracoscopia vs por
tubo a tórax.
INDICACIONES
Pacientes con fuga de aire persistente que no
son aptos para una intervención quirúrgica.
Pacientes con mal pronóstico a corto plazo de su
enfermedad subyacente (e.j. neoplasia).
Se recomienda la pleurodesis quirúrgica
mediante VATS para fuga de aire que persiste
más de 4 días.
BIBLIOGRAFÍA
 Walker SP, Keenan E, Bintcliffe O, et al. Manejo ambulatorio del neumotórax espontáneo secundario:
un ensayo controlado aleatorio. Eur Respir J 2021; 57.
 Bintcliffe Oliver, Nick Maskell Nick. Spontaneous pneumothorax. BMJ 2014; 348:g2928
 Jean-Marie Tschopp et al. ERS task force statement: diagnosis and treatment of primary
spontaneous pneumothorax. European Respiratory Journal 2015; 46: 321–335.
 Takuya Onuki et al. Primary and Secondary Spontaneous Pneumothorax: Prevalence, Clinical
Features, and In-Hospital Mortality. Canadian
Respiratory Journal 2017.
 Wong Amy, Galiabovitch Elena & Bhagwat Krishna. Management of primary spontaneous
pneumothorax: a review. ANZ Journal of Surgery, 2018.
 Giraldo Fabián, Romero Rubby, Mejía Melissa & Quijano Estefanía. Primary Spontaneous
Pneumothorax, a Clinical Challenge. Intech Open 2019.
 Velandia Rafael, Brito Isabel. Yodopovidona en pleurodesis química en pacientes con derrame pleural
y neumotórax espontáneo: serie de casos. Revista Científica de Ciencias Médicas 2019; 22 (1): 17-23.
GRACIAS

neumotorax pres.pptx

  • 1.
    Md Denisse OchoaCoronel. NEUMOTORAX
  • 2.
  • 3.
    NEUMOTÓRAX El neumotórax sedefine acumulación como la presencia o anormal de aire o gas en el espacio pleural (espacio potencial entre la pleura parietal y la pleura visceral) de los pulmones.
  • 4.
    Neumotórax Clasificación Puede ser: 1. Espontáneo: sucede sin antecedente de trauma u otra causa obvia, puede ser: a) Primario, ocurre en personas sin patología de base. b) Secundario, ocurre como complicación en una enfermedad pulmonar de fondo, usualmente crónica, ej. EPOC 2. Traumático: ocurre de un trauma directo o indirecto al tórax. 3. Iatrogénico: ocurre como una intención o inadvertida consecuencia de un diagnóstico o maniobra terapéutica.
  • 5.
    NEUMOTÓRAX ESPONTÁNEO PRIMARIO (NEP) Unneumotórax espontáneo es aquel que ocurre en ausencia de un evento externo. EPIDEMIOLOGÍA • Es más común en hombres que en mujeres (aproximadamente de tres a seis veces más). • Mayor frecuencia en pacientes altos y delgados y con antecedentes de tabaquismo. • El consumo de marihuana (cannabis) se asocia con enfermedad bullosa. • Pico máximo de presentación entre 15-34 años (adolescentes y adultos jóvenes). Muy raro > 40 años. • La tasa de recurrencia después del primer NEP va desde 17-54%, en el primer año después del neumotórax, siendo el mayor riesgo en los primeros 30 días. • La NEP se asocia con bajas tasas de morbilidad y mortalidad si es diagnosticado y manejado a tiempo. https://www.uptodate.com/contents/pneumothorax-in-adults-epidemiology-and- etiology/print?search=neumot%C3%B3rax&topicRef=117242&source=see_link
  • 6.
    tipo neumotórax Estrategiasespecíficas de diagnóstico o manejo a considerar Neumotórax espontáneo primario Curso probablemente benigno con tratamiento conservador; drenaje de gas pleural (típicamente aspiración), VATS para PAL; menor riesgo de recurrencia. Neumotórax espontáneo secundario PAL es más probable; típicamente se necesita una intervención temprana con pleurodesis (sanguínea, química, quirúrgica); mayor riesgo de recurrencia. EPOC Dejar de fumar. FC Puede considerar estrategias limitadas de pleurodesis si se planea un trasplante. Malignidad Los agentes quimioterapéuticos o la radiación pueden ser apropiados. Es posible que el neumotórax no cicatrice y que la PAL sea tal que las estrategias quirúrgicas agresivas fracasen. Infección Los antimicrobianos están garantizados. Es posible que el neumotórax no cicatrice y que la PAL sea tal que las estrategias quirúrgicas agresivas fracasen. Trastornos pulmonares quísticos Es posible que se justifiquen investigaciones o terapias dirigidas a la causa sospechosa (p. ej., biopsia pulmonar, niveles de VEGF-D, análisis del gen de la foliculina, rapamicina*). Catamenial (endometriosis) La terapia hormonal puede estar justificada. Anomalías arquitectónicas (p. ej., síndrome de Marfan, síndrome de Ehlers-Danlos, homocistinuria) Puede necesitar investigaciones específicas dirigidas a la causa sospechosa (p. ej., niveles de homocisteína). iatrogénico Curso probablemente benigno (a menos que el paciente esté ventilado mecánicamente). El manejo conservador con drenaje de aire suele ser suficiente. Traumático Puede ser necesario manejar conjuntamente el traumatismo parenquimatoso y otros aspectos vasculares y ortopédicos del traumatismo torácico. Misceláneas Anorexia Es necesario abordar la nutrición, es probable que sea PAL. Ejercicio El curso probablemente benigno y el manejo conservador con drenaje de aire pueden ser suficientes. Uso de drogas ilícitas Cese del consumo de drogas. Medicamentos inmunosupresores Suspensión del agente agresor, si es factible. Viaje aéreo Evitación de viajes aéreos por un período corto después del manejo definitivo. Submarinismo Evitar el buceo hasta el manejo definitivo. VATS: cirugía toracoscópica asistida por video; PAL: fuga de aire prolongada (persistente); EPOC: enfermedad pulmonar obstructiva crónica; FQ: fibrosis quística; VEGF-D: factor de crecimiento endotelial vascular-D. * La rapamicina, como inmunosupresor, es una terapia útil para algunos pacientes con linfangioleiomiomatosis, pero no debe iniciarse hasta que el neumotórax se haya curado durante unas seis semanas. Consulte los temas de UpToDate sobre linfangioleiomiomatosis esporádica: presentación clínica y evaluación diagnóstica y Linfangioleiomiomatosis esporádica: tratamiento y pronóstico. Gráfico 120903 Versión 1.0
  • 8.
    Factores etiológicos Blebs: coleccionessubpleurales de aire dentro de las capas de la pleura visceral por ruptura de alveolos. Bula: es un espacio grande que contiene aire dentro de la sustancia del pulmón que resulta de la destruccion,dilatacion y confluencia de espacios aéreos distales a los bronquiolos terminales, su tamaño es mayor de 1 cm de diámetro.
  • 9.
    PATOGÉNESIS  Aire enel espacio pleural  uno de tres eventos: 1) comunicación entre los espacios alveolares y pleura; 2) comunicación directa o indirecta entre la atmósfera y el espacio pleural; o 3) presencia de organismos productores de gas en el espacio pleural.  Puntos de debilidad en la pleura visceral debido a ampollas subpleurales, bullas, necrosis pulmonar y anomalías del tejido conectivo pueden predisponer a los alvéolos a romperse en ambos tipos de NE.  Ruptura espontánea de una ampolla o bulla subpleural generalmente apical.  Porosidad pleural: áreas de alteración de las células mesoteliales en la pleura visceral, que son reemplazadas por una capa elastofibrótica inflamatoria con mayor porosidad. Guérin JC. Pneumothorax spontané [Spontaneous pneumothorax]. Rev Prat. 1997 Jun 15;47(12):1320-5. French. PMID: 9248099.
  • 11.
    Causas del neumotórax espontáneono traumático Neumotórax primario Hábito corporal asténico/ampollas subpleurales El consumo de drogas Fumar cigarrillos esnifar cocaina fumar marihuana Aumento de la presión transpulmonar maniobra de Valsalva Buceo, vuelo militar . Bintcliffe OJ, Hallifax RJ, Edey A, et al. Neumotórax espontáneo: ¿momento de repensar el manejo? Lancet Respir Med 2015; 3:578.
  • 12.
    Patogenia y factoresde riesgo Ampollas subpleurales: sugiere áreas rotas de células mesoteliales, inflamación y poros de 10 a 20 micras de diámetro en lugar de una brecha en la membrana pleural visceral. Fumar (cigarrillos, cannabis): fumar cigarrillos (actualmente o en el pasado) es un factor de riesgo importante para la PSP, probablemente debido a la inflamación de las vías respiratorias y la bronquiolitis respiratoria. Predisposición genética: Se han propuesto mecanismos de herencia autosómico dominante, autosómico recesivo, poligénico y recesivo ligado al cromosoma X. Otros: varios informes sugieren que las caídas en la presión atmosférica pueden estar asociadas con un aumento en la incidencia de neumotórax
  • 13.
    NEUMOTORAX ESPONTÁNEO SECUNDARIO El neumotóraxespontáneo secundario (SSP) se presenta como una complicación de una enfermedad pulmonar subyacente. SSP de predominio en hombres en pacientes mayores (> 55 años). Las enfermedades asociadas más comunes relacionadas con SSP son EPOC y, en áreas endémicas, la tuberculosis (TB). Otras causas comunes incluyen FQ, cáncer pulmonar primario o metastásico y neumonía necrosante.
  • 14.
  • 15.
    Causas de laenfermedad quística pulmonar en adultos Amiloidosis ¶ Displasia broncopulmonar (quistes pulmonares probablemente como consecuencia de una infección) Congénita/genética (p. ej., síndrome de Birt-Hogg-Dubé , síndrome de Down, neurofibromatosis, síndrome de Proteus) Enfermedad de Chester Erdheim pulmón de tragafuegos Hongos (p. ej., coccidioidomicosis, Pneumocystic jirovecii ) Neumonitis por hipersensibilidad Síndrome de hiperinmunoglobulina E (debido a neumonía estafilocócica recurrente) Enfermedad por depósito de cadenas ligeras Δ Linfangioleiomiomatosis (esporádica o relacionada con el complejo de esclerosis tuberosa) Neumonía intersticial linfoide ◊ (p. ej., asociada con la enfermedad de Sjögren, inmunodeficiencia) paragonimiasis Tumores primarios y metastásicos (p. ej., adenocarcinoma de pulmón, adenocarcinoma gastrointestinal y genitourinario metastásico, linfoma, hamartoma quístico mesenquimatoso, sarcomas metastásicos, blastoma pleuropulmonar) Papilomatosis respiratoria recurrente (parénquima pulmonar en adultos) Enfermedad de Sjögren (p. ej., debido a enfermedad por depósito de cadenas ligeras o neumonía intersticial linfoide) Enfermedad pulmonar intersticial relacionada con el tabaquismo (neumonía intersticial descamativa, histiocitosis pulmonar de células de Langerhans , bronquiolitis respiratoria, enfermedad pulmonar intersticial) Lesión de las vías respiratorias pequeñas relacionada con el tabaquismo Neumonía estafilocócica
  • 16.
    NEUMOTÓRAX ESPONTÁNEO EXAMEN FÍSICO Puedeser normal en neumotórax pequeños (menos del 15% del hemitórax). En neumotórax más grandes, los movimientos de la pared torácica, los sonidos respiratorios (auscultación) y el frémito táctil (palpación) suelen estar disminuidos o ausentes, y la percusión es hiperresonante, en el lado afectado. MANIFESTACIONES CLÍNICAS Son frecuentemente asintomáticos. Síntomas mínimos/sutiles. Dolor torácico pleurítico ipsilateral y disnea de inicio agudo. Evolución rápida a hipotensión, taquipnea, taquicardia, cianosis compromiso hemodinámico  sospechar de neumotórax a tensión La mayoría de los episodios de NEP ocurre mientras el paciente está en reposo (80%).
  • 17.
    DIAGNÓSTICO Historia del pacientey hallazgos al examen físico. Radiografía de tórax PA (de pie)  suele confirmar el diagnóstico en la mayoría de los casos. US: sensibilidad 81% y especificidad 100%. TC de tórax  en casos de NEP pequeños o loculados. Mejor método para la estimación del tamaño del neumotórax.
  • 18.
    Diagnóstico Persona delgada, altay varón el diagnostico es sugerido por la historia clínica y el examen físico. El diagnostico consiste en demostrar una línea pleural a los Rx tórax. Rx tórax. Ultrasonido. El TAC tórax no esta indicado de rutina. Espontáneo primario, si no hay una cercana correlación entre la presencia de blebs subpleurales y Pno. recurrente.
  • 24.
    Cuantificación del Neumotórax Debemosestimar la cantidad de colapso pulmonar cada vez que tratamos a pac. con Pno. “el volumen de el pulmón y el hemitorax son ordinariamente proporcionales al cubo de sus diámetros ”Podemos calcular este colapso midiendo el rango del diámetro pulmonar y el hemitorax, elevando al cubo sus diámetros. 1- (diámetro pulmonar) 3 %neumotórax= 100 (diámetro hemitorax)3 A esto se le conoce como el índice de Light. Importante señalar que no toma en cuenta la talla de la persona.
  • 25.
    Metodo de Collins Estimael porcentaje del colapso pulmonar y considera la talla de la persona. Su método mide la distancia del ápex del pulmón colapsado y el ápex de la cavidad torácica (distancia A), distancia desde el punto medio a la parte superior del pulmón colapsado a la inferior (distancia B), y la mitad del pulmón colapsado y la pared lateral del tórax. Se mide en centímetros. %neumotórax = 4.2+[4.7x(A+B+C)]
  • 26.
    Metodo de Rhea Relacionael rango de distancia intrapleural al tamaño del Pno. En este por cada cm. de distancia intrapleural hay 10% de Pno. Este método con el de Collins son los más recomendados. También puede calcularse por TAC. Las guías de manejo de Pno. espontaneo British Thoracic Society, definieron como Pno. pequeño cuando midiendo a la altura del hilio pulmonar desde el borde de la pleura visceral y el borde interno de la pared torácica es menor de 2 cm es pequeño y grande cuando es mayor de 2 cm.
  • 27.
    American College ofChest Physicians definió como neumotórax pequeño cuando al medir entre la cúpula tórax y el ápex pulmonar la distancia fue menos de 3 cm. Y grande cuando esta distancia es mayor de 3 cm. Los métodos de Collins y Rhea son preferidos para medir distancia de cúpula – ápex pues son mas precisos en estimar el tamaño del Pno.
  • 28.
    TRATAMIENTO TAMAÑO DEL NEUMOTÓRAX P:< 3 cm G: > 3 cm P: < 2 cm G: > 2 cm ACCP (2010) BTS (2010) 1 cm = 25% 2 cm = 50% No existe un consenso universal
  • 29.
    TRATAMIENTO TAMAÑO DEL NEUMOTÓRAX (VOLUMEN%) Índice de light Punto de corte para neumotórax de gran tamaño: 20%. Índice de Reah Distancia interpleural ajustada a un nomograma. media
  • 31.
    Tasa de recurrencia Quientenga un Pno. Espontaneo primario esta en riesgo de sufrir una recurrencia, según Sadikot et al, recurren en 54.2%, de estos en mujeres 71% y hombres 46%, y fueron menos en quienes suspendieron el hábito de fumar 40% que en fumador activo 70%. 16% recurrió contralateral y solamente 1 caso de bilateral. No hay relación con la recurrencia por el tamaño del pno. sufrido o el método de tratamiento usado.
  • 32.
    en una seriede 110 enfermos en quienes no se les colocó tubo inicialmente: 52% recurrencia ipsilateral, 62% un segundo y 83% un tercer episodio. Globbel et al. En su trabajo determinaron que el intervalo de recurrencia entre el primer y segundo neumotórax fue 2.3 años. Seremetis según su estudio, la recurrencia sucede a los 17 meses. Estudios mas recientes sugieren que la mayoría de las recurrencias suceden dentro del primer año.
  • 33.
    Se han hechomuchos intentos por predecir que enfermo de Pno. espontaneo primario tendrá recurrencia, aun no ha sido posible. La presencia de blebs en un TAC tórax no lo predice. Abolnik et al concluyeron que los enfermos altos y delgados tendrán recurrencia. Guo et al. Estudio de análisis con multivariables demostró que la recurrencia es mas frecuente en personas altas y bajo peso corporal.
  • 34.
    Ganesalingam et al.Presentaron un cuidadoso análisis de radiografías iniciales de tórax de 100 enfermos de Pno.espontaneo: engrosamiento pleural, blebas/bulas, irregularidades pleurales y adherencias pleurales, en un periodo de 57 meses, obtuvieron: 52% tuvo recurrencia También concluyeron que los enfermos que presentaban una, dos, tres o mas anormalidades recurrían 3,5.3 y 12.6 veces mas respectivamente, Recomiendan que el tratamiento quirúrgico debe ser ofrecido a los enfermos en quienes dos o mas anormalidades radiológicas sean identificadas.
  • 35.
    TRATAMIENTO OBJETIVOS Evacuación del aireen la cavidad pleural  reexpansión pulmonar (alivia los síntomas, + disnea). Prevenir futuras recurrencias. Excluir el neumotórax a tensión. Reducir la morbilidad. ALTERNATIVAS Existe una considerable disparidad en guías para el manejo del neumotórax. Las opciones de manejo disponibles van desde la observación, aspiración con un catéter, drenaje con tubo a tórax hasta intervención quirúrgica torácica (VATS, pleurodesis, toracotomía).
  • 36.
    TRATAMIENTO ELECCIÓN DEL TRATAMIENTO Estadeterminado en gran medida por: Presencia o no de síntomas (gravedad) y compromiso hemodinámico (+ importante). Tamaño y causa del neumotórax. Primer episodio o recurrente. Éxito o fracaso del manejo inicial.
  • 37.
    Definición de estabilidad Ladefinición de estabilidad sugerida por la ACCP comprende pacientes con todo lo siguiente: ●Frecuencia respiratoria <24 respiraciones por minuto ●Frecuencia cardíaca <120 y >60 latidos por minuto ●Presión arterial normal (no definida) ●Saturación de oxígeno en el aire de la habitación > 90 por ciento ●Habilidad para hablar en oraciones completas.
  • 38.
    Observación Si la comunicaciónentre el alveolo y el espacio pleural es eliminado el aire es lento la absorción, pero se estimo en consenso que el promedio de absorción es de 2.2%/día, que el uso de oxígeno suplementario aumenta la absorción del aire. Por lo tanto se recomienda considerar este manejo solo en pacientes con pno. espontaneo primario menores del 15%, si la persona esta ingresada debería dársele oxigeno suplementario.
  • 39.
  • 40.
    TRATAMIENTO MANEJO CONSERVADOR Pacientes clínicamenteestables, con un primer episodio, neumotórax pequeño o síntomas leves (sin disnea significativa): Oxigeno suplementario a esto aumenta 4 veces reabsorción. alto flujo  la tasa de Monitorización cardiopulmonar continúa. Analgesia. Observación clínica por lo menos 6 horas. Radiografía de tórax de control. ALTA MÉDICA Ausencia de progresión del neumotórax confirmado por radiografía de tórax de control. Pacientes confiables para el cumplimento de tratamiento ambulatorio. Facilidad de acceso inmediato a los servicios de urgencias. Se debe realizar seguimiento ambulatorio por 2-4 semanas después de egreso (con radiografía de tórax de control).
  • 41.
    TRATAMIENTO INTERVENCIÓN ACTIVA Pacientes conNEP o NES y disnea significativa asociado con cualquier tamaño de neumotórax debe someterse a una intervención activa: Aspiración con aguja (14-16 G). Drenaje torácico (< 14 Fr). Válvula de Heimlich (ambulatorio)  (pequeño, asintomático). Se recomienda manejo intrahospitalario a todos los pacientes con episodios de NES (observación mínimo por 24 horas). La mayoría de los pacientes con NES requerirán drenaje torácico.
  • 45.
    TRATAMIENTO FUGA DE AIREPERSISTENTE / FALLA EN LA REEXPANSIÓN Succión a través de drenajes torácicos. Acelera salida de aire. BTS  no usar rutinariamente en el tratamiento del neumotórax. En persistencia de fuga aérea 48 horas después de la inserción del drenaje.  Presión de succión: -10 a-20 cm H2O. Alta presión y volumen de succión puede perpetuar o empeorar la fuga de aire. Edema pulmonar por reexpansión (si se expande abruptamente): tos, disnea, dolor torácico post inserción de tubo.
  • 47.
    TRATAMIENTO INDICACIONES DE MANEJODEFINITIVO (QUIRÚRGICO) Neumotórax ipsilateral recurrente (segundo episodio). Primer neumotórax contralateral, después de un episodio anterior de neumotórax. Neumotórax espontáneo bilateral simultáneo. Fuga de aire persistente (ACCCP 4 d, BTS 3-5 días de drenaje por tubo a tórax). Fracaso en la reexpansión pulmonar a pesar de un adecuado drenaje del espacio pleural en el primer episodio. Primer episodio de neumotórax a tensión, hemoneumotórax espontáneo significativo en el primer episodio. Profesiones en riesgo (por ejemplo, pilotos, buceadores, paracaidistas). Embarazo.
  • 48.
    TRATAMIENTO TORACOTOMIA Si la toracoscopiano está disponible o ha fallado. Pacientes con ocupaciones de alto riesgo y aquellos expuestos a altas variaciones de presión atmosférica (buceadores, pilotos de aviones). Se asocia con una mayor pérdida de sangre y dolor postoperatorio, hospitalización más prolongada y complicaciones postoperatorias más frecuentes (12%). Tiene la tasa de recurrencia más baja (< 0,5%). VATS Procedimiento mínimamente invasivo. Ventajas: menos dolor postoperatorio, mejor función pulmonar postoperatoria, estancia hospitalaria más corta En pacientes en el primer episodio de neumotórax, cuando se identifican ampollas o bullas en la TC. La tasa de neumotórax recurrente es < 5% después de VATS con resección de ampolla/bullas y pleurodesis. Medida eficaz en el tratamiento y la prevención de la recurrencias. Se prefiere la VATS a la toracotomía como abordaje quirúrgico (de elección).
  • 49.
    Tubo de toracostomía Liberael aire rápidamente si el tubo es posicionado adecuadamente es decir la punta en la parte mas superior de la cavidad torácica en donde se forman cámaras aéreas con facilidad. Rango de hospitalización 3 a 6 días promedio 4 días. Se recomienda no aplicar succión a los tubos por pno. espontáneos debido al edema al expanderse el pulmón, resultado es igual en trampa de agua o válvula de Heimlich. Si después de 24 hrs no expande el pulmón colocar succión. El tubo debe permanecer 24 hrs mas de cuando el pulmón expanda y cesado la fuga aérea. Si a las 48 hrs no expande colocar un tubo más grueso, si no expande a los 4 días existe una fistula bronco pleural hacer toracotomía o VATS o aplicar un parche de sangre autóloga
  • 50.
    TRATAMIENTO PLEURODESIS Procedimiento que precipitaun proceso inflamatorio aséptico que conduce a la adherencia de la pleura parietal y visceral, obliterando así el espacio pleural (sínfisis pleural). Pleurodesis química (agente esclerosante  talco, yodopovidona, derivados de tetraciclinas como doxiciclina o minociclina). Pleurodesis mecánica (abrasión mecánica de la pleura). Pleurectomía parietal. BENEFICIOS Prevenir recurrencias (después de primer episodios de neumotórax). Menor recurrencia talco por toracoscopia vs por tubo a tórax. INDICACIONES Pacientes con fuga de aire persistente que no son aptos para una intervención quirúrgica. Pacientes con mal pronóstico a corto plazo de su enfermedad subyacente (e.j. neoplasia). Se recomienda la pleurodesis quirúrgica mediante VATS para fuga de aire que persiste más de 4 días.
  • 51.
    BIBLIOGRAFÍA  Walker SP,Keenan E, Bintcliffe O, et al. Manejo ambulatorio del neumotórax espontáneo secundario: un ensayo controlado aleatorio. Eur Respir J 2021; 57.  Bintcliffe Oliver, Nick Maskell Nick. Spontaneous pneumothorax. BMJ 2014; 348:g2928  Jean-Marie Tschopp et al. ERS task force statement: diagnosis and treatment of primary spontaneous pneumothorax. European Respiratory Journal 2015; 46: 321–335.  Takuya Onuki et al. Primary and Secondary Spontaneous Pneumothorax: Prevalence, Clinical Features, and In-Hospital Mortality. Canadian Respiratory Journal 2017.  Wong Amy, Galiabovitch Elena & Bhagwat Krishna. Management of primary spontaneous pneumothorax: a review. ANZ Journal of Surgery, 2018.  Giraldo Fabián, Romero Rubby, Mejía Melissa & Quijano Estefanía. Primary Spontaneous Pneumothorax, a Clinical Challenge. Intech Open 2019.  Velandia Rafael, Brito Isabel. Yodopovidona en pleurodesis química en pacientes con derrame pleural y neumotórax espontáneo: serie de casos. Revista Científica de Ciencias Médicas 2019; 22 (1): 17-23.
  • 52.