UNIVERSIDAD AUTONOMA DE CHILE
FACULTAD DE CIENCIAS DE LA SALUD
DIRECCION DE CIENCIAS BIOMEDICAS
ENFERMERIA
ASIGNATURA: HISTOEMBRIOLOGIA
PRERREQUISITOS: INGRESO
REGIMEN: SEMESTRAL
CARACTER: OBLIGATORIO
NIVEL: 200
FECHA: AGOSTO - 2009
UNIDADES
UNIDAD I: TEJIDOS EPITELIALES
UNIDAD II: TEJIDOS CONECTIVOS PROPIAMENTE TALES
UNIDAD III: TEJIDOS CONECTIVOS ESPECIALIZADOS
UNIDAD IV: TEJIDO MUSCULAR
UNIDAD V: TEJIDO NERVIOSO
CALENDARIO DE EVALUACIONES
2009
PRIMERA PRUEBA PARCIAL: 07 DE SEPTIEMBRE (25%)
SEGUNDA PRUEBA PARCIAL: 23 DE OCTUBRE
(30%)
TERCERA PRUEBA PARCIAL: 20 DE NOVIEMBRE
(30%)
LABORATORIO: (15%)
PRUEBA RECUPERATIVA:
EXAMEN FINAL: (30%)
HISTOLOGÍA
Rama de la anatomía que estudia todo lo referente
a los tejidos orgánicos: estructura, desarrollo y
funciones
TEJIDO
Agrupamiento de células con una similitud de forma y
comportamiento fisiológico común
Tejidos Básicos
1.- Epitelial 3.- Muscular
2.- Conjuntivo 4.- Nervioso
TOMA DE MATERIAL
FIJACION
DESHIDRATACION
PREPARACION PARA LA INCLUSION
INCLUSION
MODELADO DEL BLOQUE
SECCION CON EL MICROTOMO
COLORACION
BIOPSIA
AUTOPSIA
FROTIS
ASPIRACION
PUNCION
SU FUNCION ES PRESERVAR EL TEJIDO EN LA FORMA MAS PARECIDA
A LA DE SU ESTADO NORMAL
LOS CONSTITUYENTES CELULARES SON TRATADOS QUIMICAMENTE
Y FISICAMENTE, QUEDANDO EN UN ESTADO QUE IMPIDE UNA
DISTORSION CELULAR SIGNIFICATIVA
FORMALDEHIDO
FIJADOR DE BOUIN
EXTRAER Y REMPLAZAR PAULATINAMENTE EL CONTENIDO DE
AGUA CON SUSTANCIA QUE TENGAN UNA CIERTA AFINIDAD CON
EL MEDIO ACUOSO EN QUE ESTAN LAS CELULAS: ALCOHOL
TRATADO DEL TEJIDO CON XILENO O BENZOL, PERMITE ELIMINAR EL
ALCOHOL Y FACILITAR LA PENETRACION DE LA RESINA DEL MEDIO
DE MONTAJE Y OTORGAR TRANSPARENCIA AL CORTE DE TEJIDO
REMPLAZO DE LA SOLUCIÓN DE ACLARAMIENTO POR UN MATERIAL
QUE DE CONSISTENCIA AL TEJIDO , COMO PARA PERMITIR CORTES
DELGADOS QUE NO DISTORSIONEN NI ALTEREN LA DISPOSICION
DE LOS ELEMENTOS CELULARES
PARAFINA LIQUIDA
50-55°C
MONTAJE
ESTA LABOR SE LLEVA A CABO MEDIANTE UN MICROTOMO
LOS CORTES DE PARAFINA SE MONTAN EN PORTAOBJETOS DE VIDRIO
Y A CONTINUACION SE TIÑEN MEDIANTE COLORANTES
HIDROSOLUBLES QUE PERMITEN DIFERENCIAR LOS DIVERSOS
COMPONENTES CELULARES
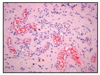
H
H
E
E
HFE
Epi = sobre telio = acúmulo
Es el tejido que se encuentra sobre acúmulos subyacentes de tejido conectivo
*Cubren todas las superficies externas e internas del cuerpo
*Descansa sobre una membrana basal y un tejido conectivo subyacente
*Se desarrolla de cada una de las tres capas germinales del embrión
*Son avasculares (no contiene vasos sanguíneos)
*Se nutren por difusión desde los vasos del tejido conectivo subyacente
*Posee escasa sustancia extracelular (láminas)
*Posee diversidad de funciones (protección, absorción, secreción,
transporte)
*Posee una marcada capacidad para renovarse y regenerarse
(mitosis)
*Posee la capacidad para desarrollar cambios morfológicos y
funcionales de un tipo de epitelio a otro (metaplasia)
Células estrechamente unidas entre sí formando láminas
Membrana basalMembrana basal
Tejido conectivoTejido conectivo
Células epitelialesCélulas epiteliales
Regeneración: Los epitelios están en continua regeneración: Las células
epiteliales tienen un ciclo celular de corta duración, debido al desgaste
continuo al que están sometidas.
La mayoría de los tumores malignos se originan en los epitelios y se
denominan carcinomas
Resumen de la progresión de alteraciones histopatológicas (microfotografías)
y genéticas en el desarrollo de carcinoma escamoso de pulmón.
La hiperplasia es el aumento de tamaño de un
órgano o de un tejido, debido a que sus células
han aumentado en número. Puede producirse
en los tejidos cuyas células se pueden
multiplicar. Ocurre en forma fisiológica en las
glándulas mamarias durante la lactancia, la
hiperplasia del endometrio en el ciclo
menstrual, la FSH hace crecer el endometrio y
los estrógenos ováricos, el 14º día, la
progesterona detiene este crecimiento.
Patológicamente hay hiperplasia de la próstata en el
anciano (hiperplasia benigna de la próstata; en el
bocio tiroideo, etc).
Protección: Función inherente a los epitelios, ya que revisten o recubren a distintos
órganos protegiéndolos del medio externo o interno.
Absorción: Este fenómeno consiste en la incorporación activa o pasiva de sustancias
ubicadas en el medio hacia los líquidos tisulares y vasculares.
Movimiento: esta función la ejercen los epitelios ciliados, mediante su movimiento
las cilias producen un arrastre del moco.
Secreción: Es un proceso por el cual las células epiteliales elaboran sustancias que
recubren la superficie epitelial. Ejemplo epitelio estomacal.
FUNCIONES DEL TEJIDO EPITELIAL
La membrana basal es una capa acelular de sostén de
espesor variable y que se encuentra en la base de los
tejidos epiteliales
Los epitelios están sujetos a una membrana basal o lámina basal, que tapizan en
toda su longitud y las separa del tejido conectivo. Es producto de la acción
conjunta del epitelio y el tejido conectivo
Está formada por una asociación de colágeno tipo IV con glucoproteínas.
No es visible al microscopio óptico.
Entre las funciones de la lámina basal destacan:
++sirve de elemento de anclaje para las células epiteliales
++participa en la determinación de la polaridad celular
++induce diferenciación celular
++ filtración molecular pasiva, deja pasar determinadas moléculas .
Las células epiteliales están polarizadas en la mayoría de los casos, es
decir, tienen:
Un polo luminal o apical cuya superficie está en contacto con el exterior
del cuerpo o con la luz del conducto o cavidad.
Un polo basal cuya superficie está en contacto y paralela a la lámina basal
sobre la que se apoya la célula.
Las especializaciones apicales son modificaciones que
comprenden a la membrana citoplasmática
y a la porción apical del citoplasma.
CILIOS
ESTRUCTURAS PILIFORMES Y LARGAS
QUE SURGEN DE LA SUPERFICIE DE LA
CELULA APICAL, COMPUESTA POR UNA
DISPOSICION COMPLEJA DE
MICROTUBULOS
TRAQUEA – BRONQUIOS
OVIDUCTOS
MOVIMIENTO
TRAQUEA
Las microvellosidades son
evaginaciones del citoplasma de
las células del epitelio intestinal.
Su función es aumentar la
superficie de absorción de los
nutrientes.
Los estereocilios son variaciones
de las microvellosidades pero son
mucho más largas y sobretodo a
pesar de su nombre no tienen nada
que ver con los cilios. Estos
estereocilios se encuentran en
células epiteliales que revisten los
epidídimos y actúan como
sensores de las células cocleares
(audición) y vestibulares
(equilibrio)
COMPORTAMIENTO SOCIAL DE LAS CELULAS
UNIONES IMPERMEABLES
UNIONES COMUNICANTESDESMOSOMAS
Uniones impermeables o Unión estrecha
Se unen las membranas de las células entre si herméticamente para impedir el paso
de sustancias a través de las capas celulares. Se encuentran por ejemplo, en las
células epiteliales del intestino.
Desmosomas
Unen las células entre sí como si fuera una unión mecánica, que recuerda el
sistema de corchetes que se usan en prendas de vestir.
Uniones comunicantes o de tipo "gap“
Unen las membranas adyacentes de las células de forma íntima mediante
grupos de canales proteicos, pero permiten el paso de moléculas pequeñas
y de impulsos eléctricos.
Son células mucosas que se encuentran entre las
células epiteliales del revestimiento de la tráquea y el
intestino. Constituyen un ejemplo de glándula
unicelular.
Células caliciformes liberando su mucus, en epitelio de revestimiento intestinal
EPITELIOS DE REVESTIMIENTO
Número de sus capas celulares
A.- Si está constituida por una capa de células: EPITELIO SIMPLE
B.- Cuando se compone de más de una capa celular: EPITELIO ESTRATIFICADO
La forma de sus células
A.- Planas, pavimentosas o escamosas
B.- Cúbicas
C.- Cilíndricas o prismáticas
Cubren superficies externas, cavidades y conductos corporales y se apoyan sobre
una capa de tejido conjuntivo
EPITELIOS DE REVESTIMIENTO
EPITELIOS DE REVESTIMIENTO
SIMPLE
a) Pavimentosos o planos
Endotelios (vasos sanguíneos y linfáticos)
Mesotelios (pleural, peritoneal y pericárdica)
Cara parietal de la cápsula de Bowman
Alveolos pulmonares
b) Cúbicos
Superficie libre del ovario (epitelio germinativo)
Bronquiolos
Conductos glandulares de excreción
Túbulos renales (corteza y médula)
Folículos tiroideos
SIMPLESSIMPLES
PLANOSPLANOS
ENDOTELIO
(vasos sanguíneos)
en la CÁPSULA GLOMERULAR
(corteza del riñón)
Endotelio
(vasos sanguíneos)
Cara parietal de la cápsula de Bowman
El corte histológico corresponde a la arteria aorta. El epitelio que tapiza la
túnica íntima se denomina endotelio. Es un epitelio simple plano. Las
células son alargadas y los núcleos hacen prominencia
PULMON DE RATA
SIMPLE PLANO
SIMPLESIMPLE
CÚBICOCÚBICO
FOLÍCULOS TIROIDEOS
(glándula tiroides)
FOLÍCULOS TIROÍDEOS
(GLÁNDULAS TIROIDES)
RIÑON: estructuras tubulares
SIMPLE CUBICO
CONDUCTOS EXCRETORES
c) Cilíndrico
intestino delgado y grueso
vesícula biliar
trompa uterina y mucosa endometrial
Con células mucosas
mucosa gástrica
Con microvellosidades
Con cilios móviles
PSEUDOESTRATIFICADOS
CILÍNDRICOS
Con dos filas de núcleos
-Conductos excretores principales
-Conducto lacrimo-nasal
-Conducto epididimario y deferente
(con estereocilios)
Muchas filas de núcleos y cilios móviles
-Vías respiratorias altas
-Trompa de Eustaquio
- Traquea y bronquios
A pesar de tener una apariencia estratificada, todas
las células descansan en la membrana basal. Núcleos
a distintos niveles y células aparecen apiñadas debido
a las diferentes formas celulares
PSEUDOESTRATIFICADOPSEUDOESTRATIFICADO
CON MICROVELLOSIDADESCON MICROVELLOSIDADES
LARGASLARGAS
EPIDÍDIMOEPIDÍDIMO
El epidídimo está revestido por un epitelio pseudoestratificado
cilíndrico con estereocilios.
PSEUDOESTRATIFICADOPSEUDOESTRATIFICADO
CON CILIOSCON CILIOS
TRÁQUEATRÁQUEA
Cilios
Células
caliciformes
Epitelios simples . a) Epitelio plano; b) Epitelio pseudoestratificado.
VIAS
URINARIAS
POLIMORFO O TRANSICIONAL
Los cortes histológicos
corresponden a vejiga y uréter
La luz está revestida por un epitelio
estratificado (de transición)
Se llama de transición porque el
número de estratos depende del grado
de distensión del órgano.
EPITELIOS ESTRATIFICADOS
a) PLANOS
b) CÚBICOS
Queratinizados
No Queratinizados
Epidermis
Vestíbulo nasal
Mucosa oral masticatoria
(encía y paladar duro)
Mucosa oral de revestimiento
(suelo, mejillas y cara interna
de los labios)
Esófago y conducto anal
Vagina
Porciones de la uretra
Algunos conductos
El corte histológico corresponde a una muestra de piel. La epidermis
presenta varias capas celulares (estratos germinativo, espinoso,
granuloso, lúcido, y córneo). La última capa está constituida por células
aplanadas que han perdido el núcleo, con queratina. La cantidad de
queratina presente y el grosor de la epidérmis depende de la especie y de
la región corporal.
El corte histológico corresponde a esófago de carnívoro. El
epitelio que tapiza la luz es de tipo estratificado plano no
queratinizado
ESOFAGO
ESTRATIFICADO PLANO
signos de infección por virus papiloma
EPITELIO ESTRATIFICADO PLANO
NO QUERATINIZADO
ESTRATIFICADOESTRATIFICADO
CÚBICOCÚBICO
CONDUCTO EXCRETOR DECONDUCTO EXCRETOR DE
GLÁNDULA SUDORÍPARAGLÁNDULA SUDORÍPARA
ESTRATIFICADOESTRATIFICADO
CILÍNDRICOCILÍNDRICO
ES UN TEJIDO RARO,ES UN TEJIDO RARO,
PRESENTE EN ALGUNASPRESENTE EN ALGUNAS
PORCIONES DE CONDUCTOSPORCIONES DE CONDUCTOS
EXCRETORES, v.g.EXCRETORES, v.g.
GLÁNDULAS MAMARIASGLÁNDULAS MAMARIAS
GLÁNDULA: epitelio especializado en la secreción de sustancias
¿Cómo se forman las glándulas?
Células epiteliales que dejan la superficie y penetran en el tejido
conectivo subyacente y elaboran alrededor de ellas una lámina basal
PRODUCTOS DE SECRECIÓN
CLASIFICACIÓN DE LAS GLÁNDULAS
1.- Según lugar donde vierten la secreción
1.1.- GLÁNDULA ENDOCRINA: no tiene conductos secretores, vierten su
contenido al torrente sanguíneo (hipófisis, páncreas endocrino, tiroides)
1.2.- GLÁNDULA EXOCRINA: secretan sus productos a través de conductos
hacia la superficie epitelial externa o interna de la que se origina ( salivales,
páncreas exocrino, hígado)
2.- Según las formas de secreción (GLANDULAS EXOCRINAS)
2.1.- GLÁNDULAS MEROCRINAS: liberan el producto de secreción a través
de la membrana plasmática (exocitosis), conservándose la integridad celular
(glándula parótida)
2.2.- GLÁNDULAS APOCRINAS: se elimina una porción pequeña del citoplasma
apical junto con el producto secretorio (glándula mamaria en lactancia)
2.3.- GLÁNDULAS HOLOCRINAS: la célula en su totalidad se vierte en la secreción
(glándulas sebáceas)
FORMAS DE SECRECIÓN
3.- Según el producto de secreción
3.1.- GLÁNDULAS MUCOSAS: secretan mucinógenos, proteínas glicosidadas
grandes que, cuando se hidratan, se hinchan para constituir un lubricante
protector grueso y viscoso llamado MUCINA (glándulas caliciformes, glándulas
salivales menores de la lengua y el paladar
3.2.- GLÁNDULAS SEROSAS: secretan un líquido acuoso rico en enzimas
(páncreas exocrino)
3.3.- GLÁNDULAS MIXTAS: contienen acinos (unidades secretoras) que producen
secreciones mucosas y también acinos que elaboran secreciones serosas,
algunos de sus acinos mucosos poseen SEMILUNAS SEROSAS,
secretan un líquido seroso (glándulas sublinguales, glándulas submandibulares)
GLANDULAS EXOCRINAS
ACINOS: UNIDADES SECRETORAS
En este corte histológico pueden observarse en la submucosa del
esófago grupos de glándulas mucosas. Los acinos glandulares se
caracterizan porque las células presentan los núcleos alargados
desplazados hacia la periferia. El citoplasma de las células es claro
debido al contenido mucoso.
M
SM
GLÁNDULAS SEROSAS
PORCION EXOCRINA
GLÁNDULAS
MIXTAS
M
S
Se pueden observar acinos glandulares mayoritariamente
mucosos en los que algunas células son serosas, constituyendo
las llamadas semilunas serosas.
GLÁNDULAS
MIXTAS
Las glándulas exocrinas multicelulares mayores
presentan ciertas características comunes en
todas ellas.
Están rodeadas por una capa de tejido conectivo
que constituye la cápsula y están divididas en
lóbulos por tabiques o septos conjuntivos que se
introducen en la glándula a partir de la cápsula.
Los lóbulos a su vez se dividen por delgados
tabiques en unidades menores: los lobulillos y
todavía en estructuras menores ya no visibles
macroscópicamente: los lobulillos microscópicos,
en los que el tejido colágeno penetra
parcialmente.
Los vasos y nervios acompañan en su
distribución al tejido conjuntivo.
Mencionemos los diferentes conductos secretorios:
Desde el adenómero glandular surge un pequeño conducto llamado intercalar,
varios conductos intercalares se unen formando el conducto intralobulillar (que
siempre se halla dentro del lobulillo). Los conductos intralobulillares drenan la
secreción de varios lobulillos vecinos y a los conductos interlobulillares (que siempre
se hallan entre los lobulillos). Todos los conductos interlobullillares se unen para
abandonar el lóbulo desembocando en el conducto excretor principal.
GLÁNDULA EXOCRINA
En la muestra alternan las porciones secretoras (PS) y excretoras (PE),
característica de una glándula exocrina
PORCIONES SECRETORAS
C.I.
C.I.
PORCIONES EXCRETORAS
Conducto excretor revestido por un epitelio simple cúbico
El epitelio de estos conductos va
siendo más alto a medida que el
conducto toma
mayor calibre.
Comienza siendo simple cúbico en los
intercalares, para pasar a estratificado
cilíndrico o cúbico en el conducto
principal.

Enfer histo1

  • 1.
    UNIVERSIDAD AUTONOMA DECHILE FACULTAD DE CIENCIAS DE LA SALUD DIRECCION DE CIENCIAS BIOMEDICAS ENFERMERIA ASIGNATURA: HISTOEMBRIOLOGIA PRERREQUISITOS: INGRESO REGIMEN: SEMESTRAL CARACTER: OBLIGATORIO NIVEL: 200 FECHA: AGOSTO - 2009
  • 2.
    UNIDADES UNIDAD I: TEJIDOSEPITELIALES UNIDAD II: TEJIDOS CONECTIVOS PROPIAMENTE TALES UNIDAD III: TEJIDOS CONECTIVOS ESPECIALIZADOS UNIDAD IV: TEJIDO MUSCULAR UNIDAD V: TEJIDO NERVIOSO
  • 3.
    CALENDARIO DE EVALUACIONES 2009 PRIMERAPRUEBA PARCIAL: 07 DE SEPTIEMBRE (25%) SEGUNDA PRUEBA PARCIAL: 23 DE OCTUBRE (30%) TERCERA PRUEBA PARCIAL: 20 DE NOVIEMBRE (30%) LABORATORIO: (15%) PRUEBA RECUPERATIVA: EXAMEN FINAL: (30%)
  • 5.
    HISTOLOGÍA Rama de laanatomía que estudia todo lo referente a los tejidos orgánicos: estructura, desarrollo y funciones TEJIDO Agrupamiento de células con una similitud de forma y comportamiento fisiológico común Tejidos Básicos 1.- Epitelial 3.- Muscular 2.- Conjuntivo 4.- Nervioso
  • 10.
    TOMA DE MATERIAL FIJACION DESHIDRATACION PREPARACIONPARA LA INCLUSION INCLUSION MODELADO DEL BLOQUE SECCION CON EL MICROTOMO COLORACION
  • 11.
  • 17.
    SU FUNCION ESPRESERVAR EL TEJIDO EN LA FORMA MAS PARECIDA A LA DE SU ESTADO NORMAL LOS CONSTITUYENTES CELULARES SON TRATADOS QUIMICAMENTE Y FISICAMENTE, QUEDANDO EN UN ESTADO QUE IMPIDE UNA DISTORSION CELULAR SIGNIFICATIVA FORMALDEHIDO FIJADOR DE BOUIN
  • 18.
    EXTRAER Y REMPLAZARPAULATINAMENTE EL CONTENIDO DE AGUA CON SUSTANCIA QUE TENGAN UNA CIERTA AFINIDAD CON EL MEDIO ACUOSO EN QUE ESTAN LAS CELULAS: ALCOHOL TRATADO DEL TEJIDO CON XILENO O BENZOL, PERMITE ELIMINAR EL ALCOHOL Y FACILITAR LA PENETRACION DE LA RESINA DEL MEDIO DE MONTAJE Y OTORGAR TRANSPARENCIA AL CORTE DE TEJIDO
  • 19.
    REMPLAZO DE LASOLUCIÓN DE ACLARAMIENTO POR UN MATERIAL QUE DE CONSISTENCIA AL TEJIDO , COMO PARA PERMITIR CORTES DELGADOS QUE NO DISTORSIONEN NI ALTEREN LA DISPOSICION DE LOS ELEMENTOS CELULARES PARAFINA LIQUIDA 50-55°C MONTAJE
  • 22.
    ESTA LABOR SELLEVA A CABO MEDIANTE UN MICROTOMO
  • 25.
    LOS CORTES DEPARAFINA SE MONTAN EN PORTAOBJETOS DE VIDRIO Y A CONTINUACION SE TIÑEN MEDIANTE COLORANTES HIDROSOLUBLES QUE PERMITEN DIFERENCIAR LOS DIVERSOS COMPONENTES CELULARES
  • 27.
  • 28.
  • 32.
    Epi = sobretelio = acúmulo Es el tejido que se encuentra sobre acúmulos subyacentes de tejido conectivo *Cubren todas las superficies externas e internas del cuerpo *Descansa sobre una membrana basal y un tejido conectivo subyacente *Se desarrolla de cada una de las tres capas germinales del embrión *Son avasculares (no contiene vasos sanguíneos) *Se nutren por difusión desde los vasos del tejido conectivo subyacente *Posee escasa sustancia extracelular (láminas)
  • 33.
    *Posee diversidad defunciones (protección, absorción, secreción, transporte) *Posee una marcada capacidad para renovarse y regenerarse (mitosis) *Posee la capacidad para desarrollar cambios morfológicos y funcionales de un tipo de epitelio a otro (metaplasia)
  • 34.
    Células estrechamente unidasentre sí formando láminas Membrana basalMembrana basal Tejido conectivoTejido conectivo Células epitelialesCélulas epiteliales
  • 38.
    Regeneración: Los epiteliosestán en continua regeneración: Las células epiteliales tienen un ciclo celular de corta duración, debido al desgaste continuo al que están sometidas. La mayoría de los tumores malignos se originan en los epitelios y se denominan carcinomas
  • 40.
    Resumen de laprogresión de alteraciones histopatológicas (microfotografías) y genéticas en el desarrollo de carcinoma escamoso de pulmón.
  • 41.
    La hiperplasia esel aumento de tamaño de un órgano o de un tejido, debido a que sus células han aumentado en número. Puede producirse en los tejidos cuyas células se pueden multiplicar. Ocurre en forma fisiológica en las glándulas mamarias durante la lactancia, la hiperplasia del endometrio en el ciclo menstrual, la FSH hace crecer el endometrio y los estrógenos ováricos, el 14º día, la progesterona detiene este crecimiento. Patológicamente hay hiperplasia de la próstata en el anciano (hiperplasia benigna de la próstata; en el bocio tiroideo, etc).
  • 42.
    Protección: Función inherentea los epitelios, ya que revisten o recubren a distintos órganos protegiéndolos del medio externo o interno. Absorción: Este fenómeno consiste en la incorporación activa o pasiva de sustancias ubicadas en el medio hacia los líquidos tisulares y vasculares. Movimiento: esta función la ejercen los epitelios ciliados, mediante su movimiento las cilias producen un arrastre del moco. Secreción: Es un proceso por el cual las células epiteliales elaboran sustancias que recubren la superficie epitelial. Ejemplo epitelio estomacal. FUNCIONES DEL TEJIDO EPITELIAL
  • 43.
    La membrana basales una capa acelular de sostén de espesor variable y que se encuentra en la base de los tejidos epiteliales
  • 44.
    Los epitelios estánsujetos a una membrana basal o lámina basal, que tapizan en toda su longitud y las separa del tejido conectivo. Es producto de la acción conjunta del epitelio y el tejido conectivo Está formada por una asociación de colágeno tipo IV con glucoproteínas. No es visible al microscopio óptico. Entre las funciones de la lámina basal destacan: ++sirve de elemento de anclaje para las células epiteliales ++participa en la determinación de la polaridad celular ++induce diferenciación celular ++ filtración molecular pasiva, deja pasar determinadas moléculas .
  • 46.
    Las células epitelialesestán polarizadas en la mayoría de los casos, es decir, tienen: Un polo luminal o apical cuya superficie está en contacto con el exterior del cuerpo o con la luz del conducto o cavidad. Un polo basal cuya superficie está en contacto y paralela a la lámina basal sobre la que se apoya la célula.
  • 48.
    Las especializaciones apicalesson modificaciones que comprenden a la membrana citoplasmática y a la porción apical del citoplasma.
  • 49.
    CILIOS ESTRUCTURAS PILIFORMES YLARGAS QUE SURGEN DE LA SUPERFICIE DE LA CELULA APICAL, COMPUESTA POR UNA DISPOSICION COMPLEJA DE MICROTUBULOS TRAQUEA – BRONQUIOS OVIDUCTOS MOVIMIENTO
  • 50.
  • 52.
    Las microvellosidades son evaginacionesdel citoplasma de las células del epitelio intestinal. Su función es aumentar la superficie de absorción de los nutrientes.
  • 54.
    Los estereocilios sonvariaciones de las microvellosidades pero son mucho más largas y sobretodo a pesar de su nombre no tienen nada que ver con los cilios. Estos estereocilios se encuentran en células epiteliales que revisten los epidídimos y actúan como sensores de las células cocleares (audición) y vestibulares (equilibrio)
  • 55.
  • 56.
  • 57.
    Uniones impermeables oUnión estrecha Se unen las membranas de las células entre si herméticamente para impedir el paso de sustancias a través de las capas celulares. Se encuentran por ejemplo, en las células epiteliales del intestino. Desmosomas Unen las células entre sí como si fuera una unión mecánica, que recuerda el sistema de corchetes que se usan en prendas de vestir. Uniones comunicantes o de tipo "gap“ Unen las membranas adyacentes de las células de forma íntima mediante grupos de canales proteicos, pero permiten el paso de moléculas pequeñas y de impulsos eléctricos.
  • 58.
    Son células mucosasque se encuentran entre las células epiteliales del revestimiento de la tráquea y el intestino. Constituyen un ejemplo de glándula unicelular.
  • 59.
    Células caliciformes liberandosu mucus, en epitelio de revestimiento intestinal
  • 60.
    EPITELIOS DE REVESTIMIENTO Númerode sus capas celulares A.- Si está constituida por una capa de células: EPITELIO SIMPLE B.- Cuando se compone de más de una capa celular: EPITELIO ESTRATIFICADO La forma de sus células A.- Planas, pavimentosas o escamosas B.- Cúbicas C.- Cilíndricas o prismáticas Cubren superficies externas, cavidades y conductos corporales y se apoyan sobre una capa de tejido conjuntivo
  • 61.
  • 62.
    EPITELIOS DE REVESTIMIENTO SIMPLE a)Pavimentosos o planos Endotelios (vasos sanguíneos y linfáticos) Mesotelios (pleural, peritoneal y pericárdica) Cara parietal de la cápsula de Bowman Alveolos pulmonares b) Cúbicos Superficie libre del ovario (epitelio germinativo) Bronquiolos Conductos glandulares de excreción Túbulos renales (corteza y médula) Folículos tiroideos
  • 63.
    SIMPLESSIMPLES PLANOSPLANOS ENDOTELIO (vasos sanguíneos) en laCÁPSULA GLOMERULAR (corteza del riñón) Endotelio (vasos sanguíneos) Cara parietal de la cápsula de Bowman
  • 64.
    El corte histológicocorresponde a la arteria aorta. El epitelio que tapiza la túnica íntima se denomina endotelio. Es un epitelio simple plano. Las células son alargadas y los núcleos hacen prominencia
  • 65.
  • 66.
  • 67.
  • 68.
  • 69.
    c) Cilíndrico intestino delgadoy grueso vesícula biliar trompa uterina y mucosa endometrial Con células mucosas mucosa gástrica Con microvellosidades Con cilios móviles
  • 72.
    PSEUDOESTRATIFICADOS CILÍNDRICOS Con dos filasde núcleos -Conductos excretores principales -Conducto lacrimo-nasal -Conducto epididimario y deferente (con estereocilios) Muchas filas de núcleos y cilios móviles -Vías respiratorias altas -Trompa de Eustaquio - Traquea y bronquios A pesar de tener una apariencia estratificada, todas las células descansan en la membrana basal. Núcleos a distintos niveles y células aparecen apiñadas debido a las diferentes formas celulares
  • 73.
  • 74.
    El epidídimo estárevestido por un epitelio pseudoestratificado cilíndrico con estereocilios.
  • 75.
  • 76.
    Epitelios simples .a) Epitelio plano; b) Epitelio pseudoestratificado.
  • 77.
  • 78.
  • 79.
    La luz estárevestida por un epitelio estratificado (de transición) Se llama de transición porque el número de estratos depende del grado de distensión del órgano.
  • 80.
    EPITELIOS ESTRATIFICADOS a) PLANOS b)CÚBICOS Queratinizados No Queratinizados Epidermis Vestíbulo nasal Mucosa oral masticatoria (encía y paladar duro) Mucosa oral de revestimiento (suelo, mejillas y cara interna de los labios) Esófago y conducto anal Vagina Porciones de la uretra Algunos conductos
  • 81.
    El corte histológicocorresponde a una muestra de piel. La epidermis presenta varias capas celulares (estratos germinativo, espinoso, granuloso, lúcido, y córneo). La última capa está constituida por células aplanadas que han perdido el núcleo, con queratina. La cantidad de queratina presente y el grosor de la epidérmis depende de la especie y de la región corporal.
  • 82.
    El corte histológicocorresponde a esófago de carnívoro. El epitelio que tapiza la luz es de tipo estratificado plano no queratinizado
  • 83.
  • 84.
    signos de infecciónpor virus papiloma EPITELIO ESTRATIFICADO PLANO NO QUERATINIZADO
  • 85.
    ESTRATIFICADOESTRATIFICADO CÚBICOCÚBICO CONDUCTO EXCRETOR DECONDUCTOEXCRETOR DE GLÁNDULA SUDORÍPARAGLÁNDULA SUDORÍPARA
  • 86.
    ESTRATIFICADOESTRATIFICADO CILÍNDRICOCILÍNDRICO ES UN TEJIDORARO,ES UN TEJIDO RARO, PRESENTE EN ALGUNASPRESENTE EN ALGUNAS PORCIONES DE CONDUCTOSPORCIONES DE CONDUCTOS EXCRETORES, v.g.EXCRETORES, v.g. GLÁNDULAS MAMARIASGLÁNDULAS MAMARIAS
  • 88.
    GLÁNDULA: epitelio especializadoen la secreción de sustancias ¿Cómo se forman las glándulas? Células epiteliales que dejan la superficie y penetran en el tejido conectivo subyacente y elaboran alrededor de ellas una lámina basal PRODUCTOS DE SECRECIÓN
  • 90.
    CLASIFICACIÓN DE LASGLÁNDULAS 1.- Según lugar donde vierten la secreción 1.1.- GLÁNDULA ENDOCRINA: no tiene conductos secretores, vierten su contenido al torrente sanguíneo (hipófisis, páncreas endocrino, tiroides) 1.2.- GLÁNDULA EXOCRINA: secretan sus productos a través de conductos hacia la superficie epitelial externa o interna de la que se origina ( salivales, páncreas exocrino, hígado) 2.- Según las formas de secreción (GLANDULAS EXOCRINAS) 2.1.- GLÁNDULAS MEROCRINAS: liberan el producto de secreción a través de la membrana plasmática (exocitosis), conservándose la integridad celular (glándula parótida) 2.2.- GLÁNDULAS APOCRINAS: se elimina una porción pequeña del citoplasma apical junto con el producto secretorio (glándula mamaria en lactancia) 2.3.- GLÁNDULAS HOLOCRINAS: la célula en su totalidad se vierte en la secreción (glándulas sebáceas)
  • 91.
  • 92.
    3.- Según elproducto de secreción 3.1.- GLÁNDULAS MUCOSAS: secretan mucinógenos, proteínas glicosidadas grandes que, cuando se hidratan, se hinchan para constituir un lubricante protector grueso y viscoso llamado MUCINA (glándulas caliciformes, glándulas salivales menores de la lengua y el paladar 3.2.- GLÁNDULAS SEROSAS: secretan un líquido acuoso rico en enzimas (páncreas exocrino) 3.3.- GLÁNDULAS MIXTAS: contienen acinos (unidades secretoras) que producen secreciones mucosas y también acinos que elaboran secreciones serosas, algunos de sus acinos mucosos poseen SEMILUNAS SEROSAS, secretan un líquido seroso (glándulas sublinguales, glándulas submandibulares) GLANDULAS EXOCRINAS
  • 93.
  • 94.
    En este cortehistológico pueden observarse en la submucosa del esófago grupos de glándulas mucosas. Los acinos glandulares se caracterizan porque las células presentan los núcleos alargados desplazados hacia la periferia. El citoplasma de las células es claro debido al contenido mucoso. M SM
  • 95.
  • 96.
  • 97.
    Se pueden observaracinos glandulares mayoritariamente mucosos en los que algunas células son serosas, constituyendo las llamadas semilunas serosas.
  • 98.
  • 100.
    Las glándulas exocrinasmulticelulares mayores presentan ciertas características comunes en todas ellas. Están rodeadas por una capa de tejido conectivo que constituye la cápsula y están divididas en lóbulos por tabiques o septos conjuntivos que se introducen en la glándula a partir de la cápsula. Los lóbulos a su vez se dividen por delgados tabiques en unidades menores: los lobulillos y todavía en estructuras menores ya no visibles macroscópicamente: los lobulillos microscópicos, en los que el tejido colágeno penetra parcialmente. Los vasos y nervios acompañan en su distribución al tejido conjuntivo.
  • 102.
    Mencionemos los diferentesconductos secretorios: Desde el adenómero glandular surge un pequeño conducto llamado intercalar, varios conductos intercalares se unen formando el conducto intralobulillar (que siempre se halla dentro del lobulillo). Los conductos intralobulillares drenan la secreción de varios lobulillos vecinos y a los conductos interlobulillares (que siempre se hallan entre los lobulillos). Todos los conductos interlobullillares se unen para abandonar el lóbulo desembocando en el conducto excretor principal.
  • 103.
    GLÁNDULA EXOCRINA En lamuestra alternan las porciones secretoras (PS) y excretoras (PE), característica de una glándula exocrina
  • 104.
  • 105.
    PORCIONES EXCRETORAS Conducto excretorrevestido por un epitelio simple cúbico
  • 106.
    El epitelio deestos conductos va siendo más alto a medida que el conducto toma mayor calibre. Comienza siendo simple cúbico en los intercalares, para pasar a estratificado cilíndrico o cúbico en el conducto principal.