Tejido
Nervioso
Juliana Zapata
M.V, MSc
CARACTERISTICAS
Se origina del ectodermo
FUNCIONES
 Recepción.
 Interpretación.
 Elaboración de respuesta.
 Regulación de órganos
Componentes
Parénquima: Neuronas.
Sostén: Neuroglia y Neuropilo
El tejido nervioso forma el sistema nervioso:
Sistema nervioso central (SNC)
Sistema nervioso periférico (SNP)
Componentes
 SISTEMA NERVIOSO CENTRAL:
Compuesto por el encéfalo y la médula espinal.
 SISTEMA NERVIOSO PERIFERICO:
 Ganglios
 Plexos
 Nervios o raíces nerviosas
COMPOSICION HISTOLOGICA
CELULAS NERVIOSAS:
Neuronas
CELULAS DE SOSTEN neuroglia:
SNC: Astrocito
Oligodendrocito
Microglia
Células Ependimarias
SNP: Neurolemmocitos (Schwann)
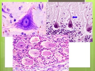
Las Neuronas
Unidad funcional y estructural
Longevidad
Maduras son incapaces de hacer mitosis.
Cuentan con procesos alargados,
denominados axones y dendritas, que se
extienden distancias variables desde el cuerpo
(Soma) celular.
Variedad de formas y tamaños → Función
Las Neuronas
 Los neuroblastos dan origen a las
neuronas.
 Funciones: irritabilidad y
conductibilidad.
COMPOSICION:
 Núcleo
 Soma
Prolongaciones de la neurona
 Axón
 Dendritas
Cuerpo Celular (Soma)
Visible con tinciones convencionales
Forma Variable
El tamaño del cuerpo celular es proporcional al
volumen neuronal total.
Núcleo central, esférico u ovoide.
Nucléolo prominente
sustancia de Nissl- (REr), ribosomas libres y
poliribosomas
Procesos neuronales
Una neurona típica tiene un solo axón y
múltiples dendritas originadas como procesos
desde el cuerpo celular.
Axon – axoplasma
Dendritas - telodendritas
No son visibles con tinciones
convencionales
CLASIFICACIÓN SEGÚN
FORMA DEL SOMA
 PIRAMIDALES: Cerebro
 PIRIFORMES: Cerebelo
 ESTRELLADAS: Cerebro
 FUSIFORMES: Hipocampo
 GLOBULARES: ganglios, cerebro, cerebelo.
Neuroglia
comprenden el 90% de las células que hacen el
sistema nervioso.
FUNCIONES:
 Forman la vaina de mielina que rodea los axones
mielinicos.
 Fagocitosis y formación de tejido cicatrizal.
 Mantienen concentración de iones en el espacio
extracelular.
 Forman la barrera hematoencefàlica.
CELULAS DE LA
NEUROGLIA
SISTEMA NERVIOSO CENTRAL
 Astrocitos.
 Oligodendroglias.
 Microglia
 Células ependimarias.
SISTEMA NERVIOSO PERIFERICO
 NEUROLEMMOCITO (Schwann)
OLIGODENDROGLIA
MICROGLIA
ASTROCITO
Células de la Glia
Astrocitos
ASTROCITO
VASO
Sustancia blanca y
gris
Pies chupadores
Núcleo ovoide, son
los más grandes
Barrera Hematoencefálica
SNC
 Endotelio vascular
 Espacio perivascular
 Podocitos de astrocitos
Oligodendroglia
OLIGODENDROGLIA
Aislamiento
Pocas Prolongaciones
Mielina
núcleo pequeño, esférico
y densamente teñido
Microglia
MICROGLIA
MICROGLIA
Núcleo pequeño, elongado y
cromatofílico.
sintetizan y liberan factores
tróficos.
Macrófagos
Células ependimarias
• Cilíndricas
• Producen LCR - cavidades ventriculares y el canal central de la
médula espinal.
• Microvellosidades ciliadas.
Células Ependimarias
Neurolemmocitos
Mielinizan los axones
Protección para las neuronas del SNP
Vitales para la función y supervivencia axonal.
Cada axón en el SNP está envainado o mielinizado a
lo largo de toda su longitud por neurolemmocitos
No mielinizados
Nervio
Vaina de MIELINA
Oligoendrocitos en el SNC y en neurolemmocitos
en el SNP.
Coyuntura de gliocitos adyacentes es llamada
como nodo (de Rainver).
Aislamiento eléctrico y así el potencial de acción
brinca de nodo a nodo
Nervio
Miles de axones, cada vaina mielinizada por
neurolemmocitos y todo organizado en
fascículos envueltos en tejido conectivo.
 fascículo nervioso: perineuro - epineuro
- Endoneuro - vasa nervorum
Nervio

histología Nervioso