HISTOLOGÍA
2025-1
Dra. Patricia F. Saucedo Sosa.
psaucedo@usat.edu.pe
ESCUELA DE MEDICINA
OÍDO Y SUS REGIONES
HISTOLOGÍA DEL OÍDO
DRA SAUCEDO SOSA, PATRICIA FIORELLA.
Resultado de aprendizaje
Unidad :
 Reconoce las características histológicas del oído,
demostrando respeto, interés y cumplimiento de
bioseguridad.
Evidencia.
Instrumento de evaluación.
Indicador.
 Identifica las estructuras histológicas del oído demostrando respeto, interés y cumplimiento.
 Desempeño en práctica Histología
 Examen práctico Histología
 Examen teórico: histología
 Rúbrica de desempeño en práctica
 Lista de respuestas esperadas Histología
• OÍDO EXTERNO
• OÍDO MEDIO
• OÍDO INTERNO
OÍDO
Sistema auditivo
Sistema vestibular
3 porciones
Oído externo
Oído medio
Oído interno
Ventana
Oval
OÍDO
EXTERNO
OIDO EXTERNO
Pabellón auricular
Conducto auditivo externo
Membrana timpánica
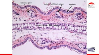
OIDO EXTERNO: Pabellón auricular
• Lámina delgada de cartílago elástico recubierta de piel fina.
• El cartílago de la oreja se continúa con el recubrimiento de cartílago de la
porción cartilaginosa del meato auditivo externo.
Pabellon auricular externo:Cartilago elastico (EC) , *Piel con pelos y
glàndulas sebaceas
OIDO EXTERNO: Conducto auditivo externo
3.5cm de longitud: desde el pabellón auricular hasta
superficie externa de la membrana timpánica.
Porción superficial formado por cartílago elástico
2/3 internos por hueso
Conducto auditivo externo
Cartílago
elástico (1/3)
Hueso temporal
reemplaza el
cartílago (2/3)
Epitelio plano poliestratificado, pelos,
glándulas sebáceas y glándulas
ceruminosas.
Epitelio cambia de queratinizado a no
queratinizado cerca de la membrana
timpánica.
Glándulas ceruminosas recubiertas por
epitelio cuboidal.
OIDO EXTERNO: Conducto auditivo externo
Glándulas
ceruminosas
=
Glándulas
sudoríparas
apocrinas
modificadas
Cerumen
=
secreción de
glándulas
sebáceas y
glándulas
ceruminosas
Las secreciones de las glándulas sebáceas y ceruminosas se combinan
para formar la cera.
Protege a la piel de la desecación.
Protege al conducto auditivo del ingreso de cuerpos extraños.
OIDO EXTERNO: Conducto auditivo externo
E
P
I
D
E
R
M
I
S
D
E
L
G
A
D
A
Fibras de
colágeno
Fibras
elásticas
Fibroblastos
E
P
I
T
E
L
I
O
P
L
A
N
O
O
C
Ú
B
I
C
O
S
I
M
P
L
E
Membrana timpánica
OÍDO
MEDIO
Espacio lleno de aire dentro del hueso temporal: porción petrosa
6 – 15mm de diámetro
OíDO MEDIO
"Cavidad timpánica“.
3 huesecillos:martillo, yunque y estribo
Cubierta de epitélio escamoso simple.
Epitelio cilíndrico ciliado seudoestratificado.
Convierte las ondas sonoras del oído externo en vibraciones mecánicas que son
trasmitidas al oído interno.
OÍDO MEDIO
ventana oval
Trompa de eustaquío
YUNQUE
MARTILLO
ESTRIBO

Sistema de celdas aéreas en el hueso temporal continuo
con el oído medio.
OIDO MEDIO: celdas mastoideas
Huesecillo y músculos
Martillo, yunque y estribo
Unidos por articulaciones sinoviales, verdaderas, de
poco movimiento
Articulaciones cubiertas por epitelio escamoso simple
que es una continuación del de la cavidad timpánica
Músculos asociados a los huesecillos
Músculo tensor del tímpano:
Inervación: n. Mandibular, su
contracción disminuye la fuerza de
las vibraciones en respuesta a los
ruidos fuertes.
Músculo estapedio: músculo más
pequeño del cuerpo, se origina en el
interior de la eminencia piramidal y
se inserta en el estribo. Inervación:
n. facial, Responde a los ruidos
fuertes, tracciona e impide la
oscilación excesiva.
OÍDO
INTERNO
OÍDO
INTERNO
El laberinto
óseo
El laberinto
membranoso
OÍDO INTERNO
Sinónimo: laberinto
2 porciones: ósea y membranosa
Laberinto óseo: sistema de cavidades y conductos continuos ubicados
en la pars petrosa del hueso temporal.
Laberinto membranoso: formado por epitelio derivado del ectodermo
embrionario, se encuentra dentro del laberinto óseo.
Laberinto
óseo
Laberinto
membranoso
Perilinfa
Endolinfa
Laberinto
óseo
Conductos
semicirculares
Vestíbulo
Cóclea
•Superior
•Posterior
•Lateral
•Ventana Oval
•Ventana redonda
OÍDO INTERNO: LABERINTOS
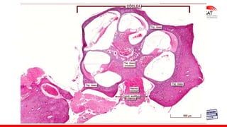
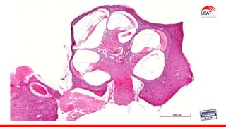
La cóclea es un tubo ligeramente cónico
enrollado sobre sí mismo en 2 1/2 vueltas,
de aspecto muy similar al de un caracol,
su longitud total aproximadamente es de
32 - 35 mm.
El eje en torno al cual se
enrolla la cóclea se
conoce como modiolo o
Colúmella
OIDO
INTERNO
COCLEA
Lámina ósea espiral:contiene vasos sanguineos y el ganglio espiral,la
porción coclear del nervio vestibulococlear.
OIDO INTERNO,GANGLIO ESPIRAL
Axones del órgano de Corti tienen sus cuerpos celulares en el ganglio espiral.
Laberinto óseo
Ocupado por la perilinfa que lo separa del laberinto membranoso.
La perilinfa tiene alto contenido de Naᶧ.
Filamentos delgados de tejido conjuntivo se insertan en el endostio y unen el
laberinto óseo con el laberinto membranoso.
El laberinto membranoso
Laberinto membranoso:
Revestido por epitelio.
Forma:
▪ dos sacos pequeños: sáculo y utrículo
▪ los conductos semicirculares
▪ conducto coclear
Endolinfa: composición similar al líquido intracelular: baja
concentración de Naᶧ y alta concentración de K+.
Conducto coclear
Receptores sensoriales del laberinto
membranoso:
6 regiones sensoriales:
Sistema vestibular:
3 crestas ampulares (aceleración angular: velocidad de giro) en ampollas
de los conductos semicirculares
2 máculas:
✓ Mácula del sáculo: aceleración vertical lineal
✓ Mácula del utrículo: aceleración horizontal lineal
Sistema auditivo:
Órgano espiral de Corti: audición
Laberinto
óseo
Laberinto
membranoso
Perilinfa
Endolinfa
Na+
K+
Filamentos
delgados de
Tejido conectivo
SÁCULO Y UTRÍCULO
Estructuras saculares que contienen células neuroepiteliales para percibir el sentido
de posición de la cabeza y el movimiento lineal. Unidos por el conducto utrículosacular.
Conducto endolinfático: formado por la unión de pequeños conductos, termina en el
saco endolinfático
Conducto colector o reuniens : une el sáculo con el conducto de la cóclea
Saco endolinfático
Conducto de reunión
(conducto colector) Conducto coclear
Conducto endolinfático
Utrículo y
Sáculo
Epitelio
no
receptor
Epitelio
receptor
•Epitelio simple plano o
cuboide (células claras y
células oscuras) sobre un
tejido conectivo vascular.
•Una zona especializada
llamada MÁCULA (mácula del
utrículo y mácula del sáculo)
•De 2 a 3 mm de diámetro
MÁCULAS DEL SÁCULO Y UTRÍCULO
Áreas engrosadas de epitelio
2 a 3mm de diámetro
Células neuroepiteliales: células vellosas o ciliadas tipo I y II
Células de soporte asentadas en la lámina basal
Membrana otolítica: masa de glucoproteína gelatinosa y
gruesa con otolitos u otoconios
Inervación de las células vellosas: porción vestibular del
nervio vestibulococlear
MÁCULA DEL SÁCULO Y DEL
UTRÍCULO
MÁCULA DEL SÁCULO Y DEL UTRÍCULO
MÁCULA DEL SÁCULO Y DEL UTRÍCULO
Oído Interno: Utrículo y canal semicircular
FIBRAS NERVIOSAS
que provienen de la porciòn vestibular del
nervio vestibulococlear.
Células neuroepiteliales
(células vellosas) tipo I
Células de sostén
Células
neuroepiteliales
(células vellosas)
tipo II
Mácula del
utrículo y
sáculo
Células
neuroepiteliales
Células de
sostén
Células vellosas tipo I
•Células grandes
•Base redondeada
•Tiene un cinocilio
•50-100 esterocilios
•Cada estereocilio con núcleo de actina
entrelazados con fimbrina
•Están sobre la lámina basal
•Están entre las células vellosas
•Tienen pocas microvellosidades
•Unidas entre y con las células vellosas con
complejos de unión gruesos.
• Complejo de golgi bien desarrollado y
gránulos secretores.
•Conserva a las células vellosas.
•Contribuye a la formación de la endolinfa
Células vellosas tipo II
•Son mas cilíndricas que las tipo I
•Tiene un cinocilio
•50-100 esterocilios
•Cada estereocilio con núcleo de actina
entrelazados con fimbrina
•Tienen mas vesículas y complejo de golgi
más grande
Conductos
Semicirculares
membranosos
Conductos semicirculares
membranosos surgen del
utrículo.
AMPOLLAS que contienen
LAS CRESTAS AMPOLLARES
del conducto semicircular.
Conductos semicirculares membranosos
Cresta
ampollar
AMPOLLA del
conducto semicircular
CRESTA AMPULAR: Región sensorial epitelial en la ampolla de los conductos semicirculares
Cresta ampular
Células neurosensoriales o células ciliadas tipo I y II alineadas en la misma dirección.
Células de sostén: cilíndricas altas, desde la MB hasta la superficie luminal.
Cúpula: masa gelatinosa de glicoproteínas con canales que reciben a los estereocilios
tiene forma de cono.
Conducto coclear y
órgano de Corti
Órgano receptor en forma de cuña:
Techo del conductor coclear :membrana vestibular o Reissner
Suelo del conducto coclear: membrana basilar
Conducto coclear
El conducto coclear y su
órgano de Corti se encargan
del mecanismo de la
audición.
Rampa
vestibular
llena de Perilinfa
CONDUCTO
COCLEAR
O
Rampa media
lleno de Endolinfa
Rampa
Timpánica
llena de Perilinfa
Rampa vestibular
llena de Perilinfa
CONDUCTO
COCLEAR
O
Rampa
media
lleno de
Endolinfa
Rampa Timpánica
llena de Perilinfa
Membrana vestibular
(de Reissner)
compuesta de dos capas de epitelio escamoso
separadas entre sí por una lámina basal
Membrana
basilar
Membrana
Basilar
La zona
arqueada
La zona
pectinada
Es más delgada, su
posición es más medial y
apoya el órgano de
Corti.
Es similar a una red
fibrosa y contiene
unos cuantos
fibroblastos.
Rampa Timpánica
Rampa
Vestibular
ESTRIA
VASCULAR
Prominencia
espiral
Estria vascular:Epitelio pseudoestratificado vascularizado
Limbo de la
lámina espiral
Limbo de la lámina espiral=Abultamiento del periostio
Surco espiral
interno (Túnel)
MEMBRANA TECTORIAL
Una masa gelatinosa rica en proteoglucanos que contiene múltiples filamentos finos semejantes a queratina.
Las células interdentales ubicadas en el limbo espiral secretan la membrana tectorial.
MEMBRANA
TECTORIAL
ÓRGANO DE CORTI:órgano receptor de la audición compuesto por células ciliadas neuroepiteliales y
células de soporte
Organo de corti
ESTRIA VASCULAR : epitelio seudoestratificado, 3 tipos de células marginales, basales e intermedias
ÓRGANO
DE CORTI
CÉLULAS DE SOSTEN
CÉLULAS
NEUROEPITELIALES
(CELULAS VELLOSAS)
1. Las células pilares
internas y externas
2. Las células falángícas
internas y externas
3. Las células de Hensen
y del borde.
1. Células vellosas
internas
2. Células vellosas
externas.
DEL ORGANO DE CORTI
Célula pilar externa
Célula pilar
interna
Túnel interno
CÉLULAS NEUROEPITELIALES (CELULAS CILIADAS)
Células ciliadas internas
•Una hilera aislada de células apoyadas
por células falángicas internas
•Son cortas
•Núcleo central
•La parte apical incluye 50-60
estereocilisos dispuestos en forma de
“V” (actina+fimbrina)
•No cinocilio
•Las superficies basilares de estas
células hacen sinapsis con fibras
aferentes de la porción coclear del
nervio vestibulococlear.
Células ciliadas
externas
▪Apoyadas en células falángicas
externas
▪Están dispuestas en hileras de tres (o
cuatro)
▪Cilíndricas alargadas.
▪Núcleo se halla cerca de su base.
▪Citoplasma: RED CORTICAL (filamentos)
▪La parte apical presenta hasta 100
estereocilios organizados en la forma
“w”.
▪No cinocilio
•Las superficies basilares de estas
células hacen sinapsis con fibras
aferentes y eferentes .

1.- Geneser F. Histología. 4ta edición. México, D.F.: Médica
Panamericana, 2015. Código: 611.018 G37H 2015
2.- Gartner L. Histología: atlas en color y texto. 7ma edición.
Barcelona: Wolters Kluwer, 2018. Código: 611.018 G25H 2018
3.- Ross MH, Histología Texto y Atlas 7ma edicion 2016 4.-
Welsh U., Histología Sobotta, 3ra edicion 2014. Ed.
Panamericana
4.- Welsh U., Histología Sobotta, 3ra edicion 2014. Ed.
Panamericana
Referencias Bibliográficas y Links
105

histologia - oÍdo 2025.pdffffffffffffffff