CURSO DE
INDUCCION AL PUESTO
FEBRERO 2011
Salud
Bucal
C. D. Fernando Devesa Arteaga
Responsable
No omito mencionar que es el programa más importante…..de hoyNo omito mencionar que es el programa más importante…..de hoy
Diga lo que diga el ponente anterior...Diga lo que diga el ponente anterior...
Tradicionalmente, la odontología ha
estado separada de la medicina
siempre ha existido una línea definida
entre ambas profesiones;
los médicos atendiendo enfermedades
del cuerpo, …
mientras que los odontólogos tratan las
enfermedades de la cavidad oral y…
a la vez, existiendo un pequeño traslape
entre éstos.
…la salud bucal esparte integral de la salud general.
Los médicos y odontólogosmédicos y odontólogos están obligados a conocer las posibles
consecuencias sistémicas de los focos infecciosos existentes en la cavidad
bucal.
Las repercusiones causadas en el organismo por infecciones en la
cavidad oral, consideradas como factores de riesgo, nos permite inferir
que el tener un diente afectado por caries y/o enfermedad de la encía
puede generar complicaciones en la salud general de cualquier individuo.
C.D.
Dra.
T.S.
La salud bucal es parte
integral de la salud
general, por lo tanto se
hace necesario el trabajo
en equipoequipo entre
médico, odontólogo y
paciente.
…¿de acuerdo?
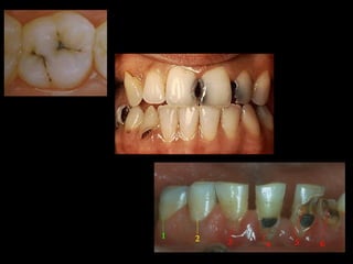
Caries dental:
enfermedad,
infecciosa,
bacteriana,
transmisible,
multifactorial
que provoca la destrucción de
órganos dentarios presentes en boca a
cualquier edad.
NOM-013-SSA
El control de enfermedades crónico-
degenerativas
Enfermedades Cardiovasculares
Nacimiento prematuro espontáneo y
de bajo peso
Enfermedades respiratorias agudas
...y también pueden dificultar el
control de algunas enfermedades
sistémicas tales como la diabetes.
Existe una relación estrecha entre las afecciones de la cavidad bucal, como
caries y enfermedad periodontal y …
Vamos a conocer el
programa...
SALUD
INDIVIDUO
EQUIPO DE
SALUD
SALUD
INDIVIDUO
EQUIPO DE
SALUD
Medico
Enfermera
Prom
otor
Trabajador
social
Nutriólogo
Psicólogo
Odontólogo
Administrativo
Etc.Etc.
EQUIPO DE
SALUD
SALUD
BUCAL
Medico Enfermera
Promotor
Trabajador
social
NutriólogoPsicólogo
Odontólogo
Administrativo
Etc. Etc.
HISTORIA NATURAL DE LA ENFERMEDAD
PROMOCIONPROMOCION
DE LA SALUDDE LA SALUD
DIAGNOSTICO
PRECOS
Y
TRATAMIENTO
OPORTUNO
PREVENCION
ESPECIFICA
LIMITACION
DEL DAÑO
REHABILITACION
PROMOCION DE LA SALUD
viviendamedio
ambiente
alimentación
cultura
educación
ingresos
servicios
recreación
PROTECCION ESPECIFICA
Enjuagues de
fluoruro de sodioSelladores de
fosetas y fisuras
Platicas
educativas
Profilaxis
Instrucción de
técnica de
cepillado
Odontoxesis
Instrucción
de uso de
hilo dental
Detección de
Placa Dentó
bacteriana
Revisión de
tejidos bucales
Revisión de
higiene de prótesis
DIAGNOSTICO PRECOZ
TRATAMIENTO
FARMACOLOGICO
REFERENCIA
LIMITACION DEL DAÑO
Grupos Prioritarios
Adultos mayores
Embarazadas
Diabéticos
Niños y niñas
PROBLEMÁTICA
 Alta incidencia y prevalencia de
enfermedades bucales
 Insatisfacción en la atención de los servicios odontológicos por parte
del usuario
 No contar con las suficiente información de calidad para una adecuada toma
de decisiones
 Escaso equipo apto para el cumplimiento del control de infecciones
OBJETIVO GENERAL
Contribuir a la disminución de las
enfermedades bucales de mayor incidencia
y prevalencia y a la recuperación de la
salud bucal
Contamos con …..
...personal altamente calificado...
Contamos con …..
...equipo y material sofisticado...
Contamos con …..
…instrumental altamente especializado ...
Contamos con …
Contamos con …..
... programas de atención a grupos de riesgo .
...y...y
embarazadasembarazadas
CONCORDANCIA CON EL PRINCIPIO DE
CALIDAD
Capacitar al personal de salud para propiciar
una mayor calidad en los servicios,
entendida esta como eficaz y eficiente, con
amabilidad, respeto y excelente comunicación
CONCORDANCIA CON EL PRINCIPIO
DE EQUIDAD
el programa de Salud Bucal esta dirigido a la
población de todos los estratos sociales y de
todas las zonas del territorio nacional
CONCORDANCIA CON EL PRINCIPIO DE
PROTECCION FINANCIERA
A través de los esquemas de prevención dirigidos a
los diferentes grupos prioritarios como son los
menores de 12 años y mujeres embarazadas se
evitaran gastos catastróficos por tratamientos
curativos y restaurativos.
1.- COBERTURA
Objetivo:
incrementar el numero de unidades dentales
funcionando para cubrir la demanda de
atención odontológica
1.- COBERTURA
total de unidades dentales funcionando en cada turno
entre el total de población no derechohabiente en el
estado por 9000 y el resultado multiplicado por 100
O sea…
cumplir con el indicador que dice
que deberá existir un odontólogo por
cada 9000 habitantes.
20%20%
2.- PRODUCTIVIDAD
Objetivo:
Incrementar el rendimiento de las unidades dentales
funcionando con odontólogos para satisfacer la demanda
de la población.
2.- PRODUCTIVIDAD
Es el total de consultas estomatologicas
proporcionadas entre el total de odontólogos y
pasantes en servicio social de estomatología con
unidad funcionando entre el total de días laborables al
año, entre el promedio de horas diarias contratadas por
odontólogos y pasantes entre 1.5 y el resultado
multiplicado por 100
O sea…
que cada personal de odontología
vea al menos 9 pacientes por turno
20%20%
3.- ESQUEMA BASICO DE PREVENCION
Objetivo:
Garantizar la aplicación del “esquema Básico de Prevención” a los
usuarios de los servicios de salud y así prevenir las enfermedades
bucales de mayor prevalencia.
3.- ESQUEMA BASICO DE PREVENCION
Es el total de...
Detecciones de placa bacteriana
Instrucciones de técnica de cepillado e hilo dental
 Profilaxis
Revisión de tejidos bucales y
Sesiones sobre salud bucal
proporcionadas entre el total de pacientes atendidos por
primera vez del periodo a avaluar y el resultado dividirlo entre
0.06
O sea…
que a todo paciente atendido por
primera ves se le aplique el esquema
básico de prevención 20%20%
4.- CALIDAD DE LA ATENCION
Objetivo:
Privilegiar las actividades curativas sobre las
mutilantes y así evitar el daño que ocasiona la falta
de órganos dentarios en la cavidad bucal.
4.- CALIDAD DE LA ATENCION
es el total de actividades restaurativas
intramuros realizadas (amalgamas, resinas,
ionómero de vidrio, etc..) entre el total de
actividades mutiulantes realizadas
(extracciones de dientes permanentes) y el
resultado dividirlo entre 0.03
O sea…
que se realicen al menos tres
tratamientos curativos o de restauración
por cada diente permanente extraído.
10%10%
5.- PROMOCION DE LA SALUD
Objetivo:
Promover las actividades preventivas, durante las
2 Semanas Nacionales de Salud Bucal.
5.- PROMOCION DE LA SALUD
es el numero total de actividades preventivas
realizadas durante las Semanas Nacionales de Salud
Bucal , entre la población beneficiada y el
resultado dividirlo entre 0.04
O sea…
que a toda la población beneficiada
durante las SNSB se le realice al menos 4
actividades preventivas.
6.- PREVENCION EN PREESCOLARES Y
ESCOLARES
Objetivo:
Garantizar la aplicación del Esquema Básico de
Prevención en Preescolares y Escolares durante el
ciclo escolar.
6.- PREVENCION EN PREESCOLARES Y
ESCOLARES
es el numero total de actividades preventivas en
preescolares y escolares (extramuros) entre el
total de odontólogos y pasantes en servicio
social entre 11232 y el resultado multiplicarlo por
100
O sea…
que cada personal de odontología
realice un porcentaje promedio de
actividades preventivas (extramuros) por
cada alumno preescolar y escolar 10%10%
7.- SISTEMA DE VIGILANCIA EPIDEMIOLOGICA EN
PATOGIAS BUCALES
Objetivo:
Garantizar un adecuado funcionamiento del SIVEPAB a
nivel sectorial en el estado, para así contar con una
herramienta que permita planificar los servicios de salud
de acuerdo a la realidad.
O sea…
se evalúa la participación de unidades
centinelas (SLP), oportunidad con la que se
envía la información y la calidad de la
información notificada. 10%10%
SUAVE
CIE-10 Clasificación Estadística Internacional de Enfermedades y
Problemas Relacionados con la Salud
Capitulo XI Enfermedades del Sistema Digestivo (K00 – k93)
Enfermedades de la cavidad bucal, de las glándulas salivales y de los maxilares:
K05 GINGIBITIS Y ENFERMEDADES PERIODONTALES
•Gingivitis aguda
•Gingivitis crónica
•Periodontitis aguda
•Periodontitis crónica
•Periodontosis
•Otras enfermedades periodontales
•Enfermedad del periodonto no especificada
DEFINICCIONES OPERACIONALES
A fin de que todas las personas involucradas en los sistemas de
vigilancia epidemiológica manejen conceptos y criterios homogéneos
para la identificación, estudio y notificación de caso, se han
establecido las siguientes definiciones:
Caso confirmado de caries dental
Todo individuo que al realizarse un examen clínico
odontológico con espejo y explorador se identifique uno o
mas dientes cariados, (cuando en una foseta, fisura o
superficie lisa se presente una lesión reblandecida),
perdidos u obturados por caries, ya sea en dentición
primaria o permanente. Utilizando los criterios del índice
CPOD y ceod de la OMS.
Caso probable de gingivitis
Individuo que al examen clínico presente en la encia
inflamación, edema, sangrado, cambios en el contorno y al
parecer no haya perdida de inserción o de hueso alveolar.
Caso confirmado de gingivitis
Individuo que al examen clínico presente en la encia
inflamación, edema, sangrado, cambios en el contorno y al
utilizar auxiliares de diagnostico (sonda y/o rayos X) se
detecta que no hay perdida de inserción o de hueso alveolar.
Caso probable de periodontitis
Individuo que al examen clínico presente en la encia
inflamación, edema, sangrado, cambios en el contorno y
al parecer existen bolsas y pérdida de inserción o de
hueso alveolar.
Caso probable de periodontitis
Individuo que al examen clínico presente en la encia
inflamación, edema, sangrado, cambios en el contorno,
movilidad dentaria, perdida de la inserción o de hueso
alveolar y al utilizar auxiliares de diagnostico (sonda y/o
rayos X) se detecta que existen bolsas mayores o igual 4
mm de profundidad
gracias por su
atención
ya vamonos…
Indicadores de Salud Bucal 2014
1. Infraestructura (10%)1. Infraestructura (10%)
2. Eficacia (25%)2. Eficacia (25%)
3. Educativo – Preventivo intramuros
(25%)
3. Educativo – Preventivo intramuros
(25%)
4. Preescolares y Escolares (30%)4. Preescolares y Escolares (30%)
5. Sistema de Vigilancia
Epidemiológica de Patologías Bucales
(10%)
5. Sistema de Vigilancia
Epidemiológica de Patologías Bucales
(10%)
Unidades
necesarias
Unidades
existentes
Ampliación de Cobertura principalmente en zonas rurales
3. Educativo –3. Educativo – PreventivoPreventivo IntramurosIntramuros
(25%)(25%)
a)a) Educativo IntramurosEducativo Intramuros
(50%)(50%)
b) Preventivo Intramurosb) Preventivo Intramuros
(50%)(50%)
LIBERACION DE OPSS.
Dx de salud
Informe de Servicio Social
Proyecto de Investigación en salud
1ra Sesión de Asesoría:
•Idea
•Planteamiento del Problema
•Justificación
•Hipótesis
Metodología de la investigación de Roberto Sampieri
4. Preescolares y
Escolaresa) Esquema Básico de
Prevención2. Eficacia 2.1 Preescolar
/ 0.04 =/ 0.04 =Fórmula:Fórmula:
Total de Detec. de Placa Bacteriana en
preescolares
Total de alumnos preescolares atendidos de
1ra vez
Total de Detec. de Placa Bacteriana en
preescolares
Total de alumnos preescolares atendidos de
1ra vez
/ 0.04
=
/ 0.04
=
Fórmula:Fórmula:
Total de Sesiones de Salud Bucal en
preescolares
Total de alumnos preescolares atendidos de
1ra vez
Total de Sesiones de Salud Bucal en
preescolares
Total de alumnos preescolares atendidos de
1ra vez
4. Preescolares y Escolares
a) Esquema Básico de Prevención
2. Eficacia 2.2 Escolar
/ 0.04 =/ 0.04 =Fórmula:Fórmula:
Total de Detec. de Placa Bacteriana en
escolares
Total de alumnos escolares atendidos de 1ra
vez
Total de Detec. de Placa Bacteriana en
escolares
Total de alumnos escolares atendidos de 1ra
vez
/ 0.04
=
/ 0.04
=
Fórmula:Fórmula:
Total de Instruc. del Uso del Hilo Dental en
escolares
Total de alumnos escolares atendidos de 1ra
vez
Total de Instruc. del Uso del Hilo Dental en
escolares
Total de alumnos escolares atendidos de 1ra
vez
/ 0.04 =/ 0.04 =Fórmula:Fórmula:
Total de Sesiones de Salud Bucal en
escolares
Total de alumnos escolares atendidos de 1ra
Total de Sesiones de Salud Bucal en
escolares
Total de alumnos escolares atendidos de 1ra
4. Preescolares y Escolares
(30%)
a) Esquema Básico
de Prevención
(80%)
b) Sistema de
Atención Gradual
(20%)
Técnica de Cepillado.
(6 pts.)
Detección de Placa
Bacteriana. (8 pts.)
Sesiones de Salud
Bucal. (6 pts.)
Técnica. de
Cepillado. (6 pts.)
Inst. Hilo Dental. (6 pts.)
Sesiones de Salud
Bucal. (6 pts.)
Enjuagues de Flúor.
(14 pts.)
Detección de Placa
Bacteriana. (8 pts.)
Eficacia
(60 pts.)
Productividad
(10 pts.)
Cobertura
(10 pts.)
Sistema de Atención
Gradual (20 pts.)
Periodicidad anualPreescolar
(20 pts.)
Escolar
Primaria
Secundaria
Bachillerato
(40 pts.)
5. Sistema de Vigilancia
Epidemiológica de Patologías
Bucales (10%)
a) Participación
(20%)
b) Oportunidad
(30%)
c) Calidad de la
Información
(50%)

++++++++++Induccion 2015

  • 1.
    CURSO DE INDUCCION ALPUESTO FEBRERO 2011
  • 2.
    Salud Bucal C. D. FernandoDevesa Arteaga Responsable No omito mencionar que es el programa más importante…..de hoyNo omito mencionar que es el programa más importante…..de hoy Diga lo que diga el ponente anterior...Diga lo que diga el ponente anterior...
  • 3.
    Tradicionalmente, la odontologíaha estado separada de la medicina siempre ha existido una línea definida entre ambas profesiones; los médicos atendiendo enfermedades del cuerpo, … mientras que los odontólogos tratan las enfermedades de la cavidad oral y… a la vez, existiendo un pequeño traslape entre éstos.
  • 4.
    …la salud bucalesparte integral de la salud general. Los médicos y odontólogosmédicos y odontólogos están obligados a conocer las posibles consecuencias sistémicas de los focos infecciosos existentes en la cavidad bucal. Las repercusiones causadas en el organismo por infecciones en la cavidad oral, consideradas como factores de riesgo, nos permite inferir que el tener un diente afectado por caries y/o enfermedad de la encía puede generar complicaciones en la salud general de cualquier individuo. C.D. Dra. T.S.
  • 5.
    La salud bucales parte integral de la salud general, por lo tanto se hace necesario el trabajo en equipoequipo entre médico, odontólogo y paciente. …¿de acuerdo?
  • 6.
    Caries dental: enfermedad, infecciosa, bacteriana, transmisible, multifactorial que provocala destrucción de órganos dentarios presentes en boca a cualquier edad. NOM-013-SSA
  • 7.
    El control deenfermedades crónico- degenerativas Enfermedades Cardiovasculares Nacimiento prematuro espontáneo y de bajo peso Enfermedades respiratorias agudas ...y también pueden dificultar el control de algunas enfermedades sistémicas tales como la diabetes. Existe una relación estrecha entre las afecciones de la cavidad bucal, como caries y enfermedad periodontal y …
  • 8.
    Vamos a conocerel programa...
  • 9.
  • 10.
  • 11.
  • 12.
  • 13.
    HISTORIA NATURAL DELA ENFERMEDAD PROMOCIONPROMOCION DE LA SALUDDE LA SALUD DIAGNOSTICO PRECOS Y TRATAMIENTO OPORTUNO PREVENCION ESPECIFICA LIMITACION DEL DAÑO REHABILITACION
  • 14.
    PROMOCION DE LASALUD viviendamedio ambiente alimentación cultura educación ingresos servicios recreación
  • 15.
    PROTECCION ESPECIFICA Enjuagues de fluorurode sodioSelladores de fosetas y fisuras Platicas educativas Profilaxis Instrucción de técnica de cepillado Odontoxesis Instrucción de uso de hilo dental Detección de Placa Dentó bacteriana Revisión de tejidos bucales Revisión de higiene de prótesis
  • 16.
  • 17.
  • 18.
  • 20.
    PROBLEMÁTICA  Alta incidenciay prevalencia de enfermedades bucales  Insatisfacción en la atención de los servicios odontológicos por parte del usuario  No contar con las suficiente información de calidad para una adecuada toma de decisiones  Escaso equipo apto para el cumplimiento del control de infecciones
  • 21.
    OBJETIVO GENERAL Contribuir ala disminución de las enfermedades bucales de mayor incidencia y prevalencia y a la recuperación de la salud bucal
  • 22.
    Contamos con ….. ...personalaltamente calificado...
  • 23.
    Contamos con ….. ...equipoy material sofisticado...
  • 24.
    Contamos con ….. …instrumentalaltamente especializado ...
  • 25.
  • 26.
    Contamos con ….. ...programas de atención a grupos de riesgo . ...y...y embarazadasembarazadas
  • 27.
    CONCORDANCIA CON ELPRINCIPIO DE CALIDAD Capacitar al personal de salud para propiciar una mayor calidad en los servicios, entendida esta como eficaz y eficiente, con amabilidad, respeto y excelente comunicación
  • 28.
    CONCORDANCIA CON ELPRINCIPIO DE EQUIDAD el programa de Salud Bucal esta dirigido a la población de todos los estratos sociales y de todas las zonas del territorio nacional
  • 29.
    CONCORDANCIA CON ELPRINCIPIO DE PROTECCION FINANCIERA A través de los esquemas de prevención dirigidos a los diferentes grupos prioritarios como son los menores de 12 años y mujeres embarazadas se evitaran gastos catastróficos por tratamientos curativos y restaurativos.
  • 31.
    1.- COBERTURA Objetivo: incrementar elnumero de unidades dentales funcionando para cubrir la demanda de atención odontológica
  • 32.
    1.- COBERTURA total deunidades dentales funcionando en cada turno entre el total de población no derechohabiente en el estado por 9000 y el resultado multiplicado por 100 O sea… cumplir con el indicador que dice que deberá existir un odontólogo por cada 9000 habitantes. 20%20%
  • 33.
    2.- PRODUCTIVIDAD Objetivo: Incrementar elrendimiento de las unidades dentales funcionando con odontólogos para satisfacer la demanda de la población.
  • 34.
    2.- PRODUCTIVIDAD Es eltotal de consultas estomatologicas proporcionadas entre el total de odontólogos y pasantes en servicio social de estomatología con unidad funcionando entre el total de días laborables al año, entre el promedio de horas diarias contratadas por odontólogos y pasantes entre 1.5 y el resultado multiplicado por 100 O sea… que cada personal de odontología vea al menos 9 pacientes por turno 20%20%
  • 35.
    3.- ESQUEMA BASICODE PREVENCION Objetivo: Garantizar la aplicación del “esquema Básico de Prevención” a los usuarios de los servicios de salud y así prevenir las enfermedades bucales de mayor prevalencia.
  • 36.
    3.- ESQUEMA BASICODE PREVENCION Es el total de... Detecciones de placa bacteriana Instrucciones de técnica de cepillado e hilo dental  Profilaxis Revisión de tejidos bucales y Sesiones sobre salud bucal proporcionadas entre el total de pacientes atendidos por primera vez del periodo a avaluar y el resultado dividirlo entre 0.06 O sea… que a todo paciente atendido por primera ves se le aplique el esquema básico de prevención 20%20%
  • 37.
    4.- CALIDAD DELA ATENCION Objetivo: Privilegiar las actividades curativas sobre las mutilantes y así evitar el daño que ocasiona la falta de órganos dentarios en la cavidad bucal.
  • 38.
    4.- CALIDAD DELA ATENCION es el total de actividades restaurativas intramuros realizadas (amalgamas, resinas, ionómero de vidrio, etc..) entre el total de actividades mutiulantes realizadas (extracciones de dientes permanentes) y el resultado dividirlo entre 0.03 O sea… que se realicen al menos tres tratamientos curativos o de restauración por cada diente permanente extraído. 10%10%
  • 39.
    5.- PROMOCION DELA SALUD Objetivo: Promover las actividades preventivas, durante las 2 Semanas Nacionales de Salud Bucal.
  • 40.
    5.- PROMOCION DELA SALUD es el numero total de actividades preventivas realizadas durante las Semanas Nacionales de Salud Bucal , entre la población beneficiada y el resultado dividirlo entre 0.04 O sea… que a toda la población beneficiada durante las SNSB se le realice al menos 4 actividades preventivas.
  • 41.
    6.- PREVENCION ENPREESCOLARES Y ESCOLARES Objetivo: Garantizar la aplicación del Esquema Básico de Prevención en Preescolares y Escolares durante el ciclo escolar.
  • 42.
    6.- PREVENCION ENPREESCOLARES Y ESCOLARES es el numero total de actividades preventivas en preescolares y escolares (extramuros) entre el total de odontólogos y pasantes en servicio social entre 11232 y el resultado multiplicarlo por 100 O sea… que cada personal de odontología realice un porcentaje promedio de actividades preventivas (extramuros) por cada alumno preescolar y escolar 10%10%
  • 43.
    7.- SISTEMA DEVIGILANCIA EPIDEMIOLOGICA EN PATOGIAS BUCALES Objetivo: Garantizar un adecuado funcionamiento del SIVEPAB a nivel sectorial en el estado, para así contar con una herramienta que permita planificar los servicios de salud de acuerdo a la realidad. O sea… se evalúa la participación de unidades centinelas (SLP), oportunidad con la que se envía la información y la calidad de la información notificada. 10%10%
  • 44.
    SUAVE CIE-10 Clasificación EstadísticaInternacional de Enfermedades y Problemas Relacionados con la Salud Capitulo XI Enfermedades del Sistema Digestivo (K00 – k93) Enfermedades de la cavidad bucal, de las glándulas salivales y de los maxilares: K05 GINGIBITIS Y ENFERMEDADES PERIODONTALES •Gingivitis aguda •Gingivitis crónica •Periodontitis aguda •Periodontitis crónica •Periodontosis •Otras enfermedades periodontales •Enfermedad del periodonto no especificada
  • 45.
    DEFINICCIONES OPERACIONALES A finde que todas las personas involucradas en los sistemas de vigilancia epidemiológica manejen conceptos y criterios homogéneos para la identificación, estudio y notificación de caso, se han establecido las siguientes definiciones: Caso confirmado de caries dental Todo individuo que al realizarse un examen clínico odontológico con espejo y explorador se identifique uno o mas dientes cariados, (cuando en una foseta, fisura o superficie lisa se presente una lesión reblandecida), perdidos u obturados por caries, ya sea en dentición primaria o permanente. Utilizando los criterios del índice CPOD y ceod de la OMS.
  • 47.
    Caso probable degingivitis Individuo que al examen clínico presente en la encia inflamación, edema, sangrado, cambios en el contorno y al parecer no haya perdida de inserción o de hueso alveolar. Caso confirmado de gingivitis Individuo que al examen clínico presente en la encia inflamación, edema, sangrado, cambios en el contorno y al utilizar auxiliares de diagnostico (sonda y/o rayos X) se detecta que no hay perdida de inserción o de hueso alveolar.
  • 48.
    Caso probable deperiodontitis Individuo que al examen clínico presente en la encia inflamación, edema, sangrado, cambios en el contorno y al parecer existen bolsas y pérdida de inserción o de hueso alveolar. Caso probable de periodontitis Individuo que al examen clínico presente en la encia inflamación, edema, sangrado, cambios en el contorno, movilidad dentaria, perdida de la inserción o de hueso alveolar y al utilizar auxiliares de diagnostico (sonda y/o rayos X) se detecta que existen bolsas mayores o igual 4 mm de profundidad
  • 54.
  • 55.
    Indicadores de SaludBucal 2014 1. Infraestructura (10%)1. Infraestructura (10%) 2. Eficacia (25%)2. Eficacia (25%) 3. Educativo – Preventivo intramuros (25%) 3. Educativo – Preventivo intramuros (25%) 4. Preescolares y Escolares (30%)4. Preescolares y Escolares (30%) 5. Sistema de Vigilancia Epidemiológica de Patologías Bucales (10%) 5. Sistema de Vigilancia Epidemiológica de Patologías Bucales (10%)
  • 56.
  • 57.
    3. Educativo –3.Educativo – PreventivoPreventivo IntramurosIntramuros (25%)(25%) a)a) Educativo IntramurosEducativo Intramuros (50%)(50%) b) Preventivo Intramurosb) Preventivo Intramuros (50%)(50%)
  • 58.
    LIBERACION DE OPSS. Dxde salud Informe de Servicio Social Proyecto de Investigación en salud 1ra Sesión de Asesoría: •Idea •Planteamiento del Problema •Justificación •Hipótesis Metodología de la investigación de Roberto Sampieri
  • 59.
    4. Preescolares y Escolaresa)Esquema Básico de Prevención2. Eficacia 2.1 Preescolar / 0.04 =/ 0.04 =Fórmula:Fórmula: Total de Detec. de Placa Bacteriana en preescolares Total de alumnos preescolares atendidos de 1ra vez Total de Detec. de Placa Bacteriana en preescolares Total de alumnos preescolares atendidos de 1ra vez / 0.04 = / 0.04 = Fórmula:Fórmula: Total de Sesiones de Salud Bucal en preescolares Total de alumnos preescolares atendidos de 1ra vez Total de Sesiones de Salud Bucal en preescolares Total de alumnos preescolares atendidos de 1ra vez
  • 60.
    4. Preescolares yEscolares a) Esquema Básico de Prevención 2. Eficacia 2.2 Escolar / 0.04 =/ 0.04 =Fórmula:Fórmula: Total de Detec. de Placa Bacteriana en escolares Total de alumnos escolares atendidos de 1ra vez Total de Detec. de Placa Bacteriana en escolares Total de alumnos escolares atendidos de 1ra vez / 0.04 = / 0.04 = Fórmula:Fórmula: Total de Instruc. del Uso del Hilo Dental en escolares Total de alumnos escolares atendidos de 1ra vez Total de Instruc. del Uso del Hilo Dental en escolares Total de alumnos escolares atendidos de 1ra vez / 0.04 =/ 0.04 =Fórmula:Fórmula: Total de Sesiones de Salud Bucal en escolares Total de alumnos escolares atendidos de 1ra Total de Sesiones de Salud Bucal en escolares Total de alumnos escolares atendidos de 1ra
  • 61.
    4. Preescolares yEscolares (30%) a) Esquema Básico de Prevención (80%) b) Sistema de Atención Gradual (20%) Técnica de Cepillado. (6 pts.) Detección de Placa Bacteriana. (8 pts.) Sesiones de Salud Bucal. (6 pts.) Técnica. de Cepillado. (6 pts.) Inst. Hilo Dental. (6 pts.) Sesiones de Salud Bucal. (6 pts.) Enjuagues de Flúor. (14 pts.) Detección de Placa Bacteriana. (8 pts.) Eficacia (60 pts.) Productividad (10 pts.) Cobertura (10 pts.) Sistema de Atención Gradual (20 pts.) Periodicidad anualPreescolar (20 pts.) Escolar Primaria Secundaria Bachillerato (40 pts.)
  • 62.
    5. Sistema deVigilancia Epidemiológica de Patologías Bucales (10%) a) Participación (20%) b) Oportunidad (30%) c) Calidad de la Información (50%)