Laringotraqueitis
AGUDA
DEFINICIÓN
•También llamado CRUP, es una enfermedad respiratoria
aguda, de inicio súbito, de presentación en edad pediátrica
• Se caracteriza por:
• Los agentes causales más frecuentes son los virus
Estridor
laríngeo
Tos
traqueal
Disfonía
Fuentes C. et al. Croup, tratamiento actual. Neumol Pediatr 2014; 9(2): 55-58.
EPIDEMIOLOGÍA
• 15% de las enfermedades respiratorias de la infancia
• Afecta más frecuentemente a hombres…
MESES AÑOS
• Promedio de edad 2 años
• Mayor incidencia a fines de otoño y principio de invierno
Fuentes C. et al. Croup, tratamiento actual. Neumol Pediatr 2014; 9(2): 55-58.
ETIOLOGÍA
• PARAINFLUENZA
1, 2 y 3 (65%)
• Influenza A y B
• Sincitial Respiratorio
• Metapneumovirus
• Enterovirus,
Sarampión,
Parotiditis…
Guía de Práctica Clínica IMSS 258: Diagnóstico y Manejo de Laringotraqueitis Aguda en Pacientes Mayores de 3 Meses Hasta 15 Años deEdad.
PATOGENIA
Transmisión
del virus por
gotas de
saliva
De la
nasofaringese
disemina a
laringe y
tráquea
Afecta la región
más estrecha:
región subglótica
Zona inextensible,
rodeada por
cartílago cricoides
La presencia de
edema reduce
diámetro y esto
es lo que
provoca el
estridor laríngeo
Bustos M. et al. Laringitis aguda obstructiva o crup vital. Rev Hosp Clin 2013; 25: 253-7.
CUADRO CLÍNICO
¡LA TRIADA CLÁSICA!
Disfonía
Estridor
Laríngeo
Tos
traqueal
Fuentes C. et al. Croup, tratamiento actual. Neumol Pediatr 2014; 9(2): 55-58.
• Inicio brusco
•Puede iniciar con síntomas catarrales,
posteriormente tos disfónica o ronca, estridor
inspiratorio, disfonía
• El estridor es nocturno
• Odinofagia, fiebre de poca cuantía
•Si la obstrucción progresa se instala un mayor
grado de dificultad respiratoria
Bustos M. et al. Laringitis aguda obstructiva o crup vital. Rev Hosp Clin 2013; 25: 253-7.
• Dejar al niño
tranquilo
porque puede
empeorar
la
sintomatología
Bustos M. et al. Laringitis aguda obstructiva o crup vital. Rev Hosp Clin 2013; 25: 253-7.
•El cuadro se normaliza en un plazo de 3 a 7
días
• Cuando aumenta edema…
Estridor en ambos
tiempos y uso de
musculatura
accesoria
Aumenta
frecuencia
cardiaca y
respiratoria
Signos de
hipoxemia,
inquieto, ansioso,
pálido, sudoroso.
Bustos M. et al. Laringitis aguda obstructiva o crup vital. Rev Hosp Clin 2013; 25: 253-7.
Paro
cardiorrespiratorio
Signos de
agotamiento con
disminución de
esfuerzo
respiratorio,
cianosis, hipotonía
Disminuye
murmullo
vesicular
• 1% de los niños requieren intubación
endotraqueal
Fuentes C. et al. Croup, tratamiento actual. Neumol Pediatr 2014; 9(2): 55-58.
GRAVEDAD…
Leve
• Ausencia de estridor y dificultad respiratoria
• Dificultad respiratoria leve
Moderada
• Estridor con dificultad respiratoria en
reposo sin agitación
Grave
• Estridor y dificultad respiratoria grave con
agitación o letargia
Bustos M. et al. Laringitis aguda obstructiva o crup vital. Rev Hosp Clin 2013; 25: 253-7.
DIAGNÓSTICO
• Diagnóstico 100% clínico
• NO se requieren realizar exámenes (no provocar llanto)
• Test para determinar la presencia de algún virus solo si:
Se requiere aislar al paciente, existen hermanos con
enfermedad crónica o lo solicita la madre
Children and Infants – Acute Management of Croup. August 2010 disponible en http://www0.health.nsw.gov.au/policies/pd/2010/pdf/PD2010_053.pdf
Radiografías…?
Children and Infants – Acute Management of Croup. August 2010 disponible en http://www0.health.nsw.gov.au/policies/pd/2010/pdf/PD2010_053.pdf
• No son de uso rutinario
•Radiografía AP de cuello 50% de lospacientes
muestran el signo clásico de aguja o torre
•Disminución de la columna de aire subglótico y
en la proyección lateral la presencia de
sobredistención de hipofaringe
• La BH no es útil
DIAGNÓSTICO DIFERENCIAL
Fiebre, mal estado general, no respuesta a
epinefrina: traqueítis bacteriana
Inicio súbito de síntomas, fiebre alta,
ausencia de tos, disfagia, sialorrea, angustia,
posición de trípode: epiglotitis
Estridor de inicio súbito, ausencia de fiebre,
sibilancias espiratorias, pérdida de la voz:
inhalación de cuerpo extraño
Children and Infants – Acute Management of Croup. August 2010 disponible en http://www0.health.nsw.gov.au/policies/pd/2010/pdf/PD2010_053.pdf
TRATAMIENTO
Children and Infants – Acute Management of Croup. August 2010 disponible en http://www0.health.nsw.gov.au/policies/pd/2010/pdf/PD2010_053.pdf
PRIMERO TENEMOS QUE DEFINIR SI ESTAMOS ANTE UN
CUADRO GRAVE, MODERADO O SEVERO
SCORE DE TAUSSING
0 1 2
Respiración NORMAL RONCUS DISMINUIDO
Estridor NO INSPIRATORIO INSP. Y ESP.
Retracción NO SUPRAESTERNAL UNIVERSAL
Cianosis NO AMBIENTAL CON 40% DE O2
Conciencia NORMAL AGITADO OBNUBILADO
Menos
de 4
Ambulatorio
4 o +
Hospitalización
7 o +
Unidad De
Cuidados
Intensivos
Children and Infants – Acute Management of Croup. August 2010 disponible en http://www0.health.nsw.gov.au/policies/pd/2010/pdf/PD2010_053.pdf
Tratamiento No
Farmacológico
Children and Infants – Acute Management of Croup. August 2010 disponible en http://www0.health.nsw.gov.au/policies/pd/2010/pdf/PD2010_053.pdf
Reposo
O2 solo si
saturación es
menor de 92%
Calma total
Aire
humidificado o
nebulizado
TRATAMIENTO FARMACOLÓGICO…
LOS GLUCOCORTICOIDES
SON LA PIEDA ANGULAR
Guía de Práctica Clínica IMSS 258: Diagnóstico y Manejo de Laringotraqueitis Aguda en Pacientes Mayores de 3 Meses Hasta 15 Años deEdad.
• A las 6-12 horas de iniciado el tratamiento
DEXAMETASONA
Guía de Práctica Clínica IMSS 258: Diagnóstico y Manejo de Laringotraqueitis Aguda en Pacientes Mayores de 3 Meses Hasta 15 Años deEdad.
•No se han documentado diferencias entre vía
oral e intramuscular
•Dosis única de dexametasona 0.60 mg/kg vía
oral (seguro, bajo costo y alta efectividad)
•En niños con vómito la
budesonida nebulizada o
dexametasona intramuscular
puede ser preferible
• Fluticasona es otra opción, pero
menos efectiva
Guía de Práctica Clínica IMSS 258: Diagnóstico y Manejo de Laringotraqueitis Aguda en Pacientes Mayores de 3 Meses Hasta 15 Años deEdad.
¿EPINEFRINA?
Guía de Práctica Clínica IMSS 258: Diagnóstico y Manejo de Laringotraqueitis Aguda en Pacientes Mayores de 3 Meses Hasta 15 Años deEdad.
•L-Epinefrina 1:1000 es efectiva y
segura en la mejoría de la gravedad
•4 ml, 4 ámpulas de 1 mLI (1 mg/ml)
1:10000 sin diluir administrada con O2
suplementario
0 1 2
Respiración NORMAL RONCUS DISMINUIDO
Estridor NO INSPIRATORIO INSP. Y ESP.
Retracción NO SUPRAESTERNAL UNIVERSAL
Cianosis NO AMBIENTAL CON 40% DE O2
Conciencia NORMAL AGITADO OBNUBILADO
Menos de 4
LEVE
4 o +
MODERADO
7 o +
GRAVE
Guía de Práctica Clínica IMSS 258: Diagnóstico y Manejo de Laringotraqueitis Aguda en Pacientes Mayores de 3 Meses Hasta 15 Años deEdad.
RESUMIENDO…
LEVE
Ausencia de estridor
Dificultad respiratoria leve
Manipulación mínima
Mantener cómodo
Dexametasona 0.6 mg/kg VO
Si hay buena respuesta se
egresa con manejo en casa
Datos de alarma
Guía de Práctica Clínica IMSS 258: Diagnóstico y Manejo de Laringotraqueitis Aguda en Pacientes Mayores de 3 Meses Hasta 15 Años deEdad.
MODERADA
Manipulación mínima
Dexametasona 0.6 mg/kg VO
Observar 2-4 horas en urgencias
MALA RESPUESTA A LAS 4 HORAS:
Falta de mejoría con dexametasona. Persiste dificultad respiratoria. Persiste estridor en reposo
ADMINISTRAR EPINEFRINA NEBULIZADA
Observar 2-4 horas
MALA RESPUESTA
Dificultad respiratoria severa recurrente. Valoración por UCI. L-epinefrina nebulizada 5 ml. Oxígeno si
saturación menor de 92%
Mala respuesta… ¡considerar otro diagnóstico!
Guía de Práctica Clínica IMSS 258: Diagnóstico y Manejo de Laringotraqueitis Aguda en Pacientes Mayores de 3 Meses Hasta 15 Años deEdad.
GRAVE
 Manipulación mínima indispensable
 Oxígeno si hay cianosis o saturación menor de
92%
 L-epinefrina
1:1000 Dexametasona
oral y valorar segunda
dosis
 SI NO HAY RESPUESTA:
inminente paro
respiratorio y alta
probabilidad de
intubación
BUENA RESPUESTA:
Disminución de gravedad de los síntomas
Egreso con datos de alarma a padres
Guía de Práctica Clínica IMSS 258: Diagnóstico y Manejo de Laringotraqueitis Aguda en Pacientes Mayores de 3 Meses Hasta 15 Años deEdad.
NO
ANTIBIÓTICOS
Children and Infants – Acute Management of Croup. August 2010 disponible en http://www0.health.nsw.gov.au/policies/pd/2010/pdf/PD2010_053.pdf
X
Guía de Práctica Clínica IMSS 258: Diagnóstico y Manejo de Laringotraqueitis Aguda en Pacientes Mayores de 3 Meses Hasta 15 Años deEdad.
CRITERIOS DE
REFERENCIA A
SEGUNDO O
TERCER NIVEL
 Si no se cuenta con sala de observación
 Si no responde a glucocorticoides
 Niños con patología pre existente
Guía de Práctica Clínica IMSS 258: Diagnóstico y Manejo de Laringotraqueitis Aguda en Pacientes Mayores de 3 Meses Hasta 15 Años deEdad.

laringotraqueitisaguda.pptx

  • 1.
  • 2.
    DEFINICIÓN •También llamado CRUP,es una enfermedad respiratoria aguda, de inicio súbito, de presentación en edad pediátrica • Se caracteriza por: • Los agentes causales más frecuentes son los virus Estridor laríngeo Tos traqueal Disfonía Fuentes C. et al. Croup, tratamiento actual. Neumol Pediatr 2014; 9(2): 55-58.
  • 3.
    EPIDEMIOLOGÍA • 15% delas enfermedades respiratorias de la infancia • Afecta más frecuentemente a hombres… MESES AÑOS • Promedio de edad 2 años • Mayor incidencia a fines de otoño y principio de invierno Fuentes C. et al. Croup, tratamiento actual. Neumol Pediatr 2014; 9(2): 55-58.
  • 4.
    ETIOLOGÍA • PARAINFLUENZA 1, 2y 3 (65%) • Influenza A y B • Sincitial Respiratorio • Metapneumovirus • Enterovirus, Sarampión, Parotiditis… Guía de Práctica Clínica IMSS 258: Diagnóstico y Manejo de Laringotraqueitis Aguda en Pacientes Mayores de 3 Meses Hasta 15 Años deEdad.
  • 5.
    PATOGENIA Transmisión del virus por gotasde saliva De la nasofaringese disemina a laringe y tráquea Afecta la región más estrecha: región subglótica Zona inextensible, rodeada por cartílago cricoides La presencia de edema reduce diámetro y esto es lo que provoca el estridor laríngeo Bustos M. et al. Laringitis aguda obstructiva o crup vital. Rev Hosp Clin 2013; 25: 253-7.
  • 6.
    CUADRO CLÍNICO ¡LA TRIADACLÁSICA! Disfonía Estridor Laríngeo Tos traqueal Fuentes C. et al. Croup, tratamiento actual. Neumol Pediatr 2014; 9(2): 55-58.
  • 7.
    • Inicio brusco •Puedeiniciar con síntomas catarrales, posteriormente tos disfónica o ronca, estridor inspiratorio, disfonía • El estridor es nocturno • Odinofagia, fiebre de poca cuantía •Si la obstrucción progresa se instala un mayor grado de dificultad respiratoria Bustos M. et al. Laringitis aguda obstructiva o crup vital. Rev Hosp Clin 2013; 25: 253-7.
  • 8.
    • Dejar alniño tranquilo porque puede empeorar la sintomatología Bustos M. et al. Laringitis aguda obstructiva o crup vital. Rev Hosp Clin 2013; 25: 253-7.
  • 9.
    •El cuadro senormaliza en un plazo de 3 a 7 días • Cuando aumenta edema… Estridor en ambos tiempos y uso de musculatura accesoria Aumenta frecuencia cardiaca y respiratoria Signos de hipoxemia, inquieto, ansioso, pálido, sudoroso. Bustos M. et al. Laringitis aguda obstructiva o crup vital. Rev Hosp Clin 2013; 25: 253-7.
  • 10.
    Paro cardiorrespiratorio Signos de agotamiento con disminuciónde esfuerzo respiratorio, cianosis, hipotonía Disminuye murmullo vesicular • 1% de los niños requieren intubación endotraqueal Fuentes C. et al. Croup, tratamiento actual. Neumol Pediatr 2014; 9(2): 55-58.
  • 11.
    GRAVEDAD… Leve • Ausencia deestridor y dificultad respiratoria • Dificultad respiratoria leve Moderada • Estridor con dificultad respiratoria en reposo sin agitación Grave • Estridor y dificultad respiratoria grave con agitación o letargia Bustos M. et al. Laringitis aguda obstructiva o crup vital. Rev Hosp Clin 2013; 25: 253-7.
  • 12.
    DIAGNÓSTICO • Diagnóstico 100%clínico • NO se requieren realizar exámenes (no provocar llanto) • Test para determinar la presencia de algún virus solo si: Se requiere aislar al paciente, existen hermanos con enfermedad crónica o lo solicita la madre Children and Infants – Acute Management of Croup. August 2010 disponible en http://www0.health.nsw.gov.au/policies/pd/2010/pdf/PD2010_053.pdf
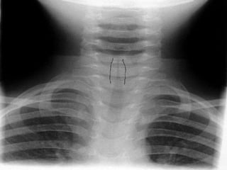
  • 13.
    Radiografías…? Children and Infants– Acute Management of Croup. August 2010 disponible en http://www0.health.nsw.gov.au/policies/pd/2010/pdf/PD2010_053.pdf • No son de uso rutinario •Radiografía AP de cuello 50% de lospacientes muestran el signo clásico de aguja o torre •Disminución de la columna de aire subglótico y en la proyección lateral la presencia de sobredistención de hipofaringe • La BH no es útil
  • 17.
    DIAGNÓSTICO DIFERENCIAL Fiebre, malestado general, no respuesta a epinefrina: traqueítis bacteriana Inicio súbito de síntomas, fiebre alta, ausencia de tos, disfagia, sialorrea, angustia, posición de trípode: epiglotitis Estridor de inicio súbito, ausencia de fiebre, sibilancias espiratorias, pérdida de la voz: inhalación de cuerpo extraño Children and Infants – Acute Management of Croup. August 2010 disponible en http://www0.health.nsw.gov.au/policies/pd/2010/pdf/PD2010_053.pdf
  • 18.
    TRATAMIENTO Children and Infants– Acute Management of Croup. August 2010 disponible en http://www0.health.nsw.gov.au/policies/pd/2010/pdf/PD2010_053.pdf PRIMERO TENEMOS QUE DEFINIR SI ESTAMOS ANTE UN CUADRO GRAVE, MODERADO O SEVERO SCORE DE TAUSSING 0 1 2 Respiración NORMAL RONCUS DISMINUIDO Estridor NO INSPIRATORIO INSP. Y ESP. Retracción NO SUPRAESTERNAL UNIVERSAL Cianosis NO AMBIENTAL CON 40% DE O2 Conciencia NORMAL AGITADO OBNUBILADO
  • 19.
    Menos de 4 Ambulatorio 4 o+ Hospitalización 7 o + Unidad De Cuidados Intensivos Children and Infants – Acute Management of Croup. August 2010 disponible en http://www0.health.nsw.gov.au/policies/pd/2010/pdf/PD2010_053.pdf
  • 20.
    Tratamiento No Farmacológico Children andInfants – Acute Management of Croup. August 2010 disponible en http://www0.health.nsw.gov.au/policies/pd/2010/pdf/PD2010_053.pdf Reposo O2 solo si saturación es menor de 92% Calma total Aire humidificado o nebulizado
  • 21.
    TRATAMIENTO FARMACOLÓGICO… LOS GLUCOCORTICOIDES SONLA PIEDA ANGULAR Guía de Práctica Clínica IMSS 258: Diagnóstico y Manejo de Laringotraqueitis Aguda en Pacientes Mayores de 3 Meses Hasta 15 Años deEdad. • A las 6-12 horas de iniciado el tratamiento
  • 22.
    DEXAMETASONA Guía de PrácticaClínica IMSS 258: Diagnóstico y Manejo de Laringotraqueitis Aguda en Pacientes Mayores de 3 Meses Hasta 15 Años deEdad. •No se han documentado diferencias entre vía oral e intramuscular •Dosis única de dexametasona 0.60 mg/kg vía oral (seguro, bajo costo y alta efectividad)
  • 23.
    •En niños convómito la budesonida nebulizada o dexametasona intramuscular puede ser preferible • Fluticasona es otra opción, pero menos efectiva Guía de Práctica Clínica IMSS 258: Diagnóstico y Manejo de Laringotraqueitis Aguda en Pacientes Mayores de 3 Meses Hasta 15 Años deEdad.
  • 24.
    ¿EPINEFRINA? Guía de PrácticaClínica IMSS 258: Diagnóstico y Manejo de Laringotraqueitis Aguda en Pacientes Mayores de 3 Meses Hasta 15 Años deEdad. •L-Epinefrina 1:1000 es efectiva y segura en la mejoría de la gravedad •4 ml, 4 ámpulas de 1 mLI (1 mg/ml) 1:10000 sin diluir administrada con O2 suplementario
  • 25.
    0 1 2 RespiraciónNORMAL RONCUS DISMINUIDO Estridor NO INSPIRATORIO INSP. Y ESP. Retracción NO SUPRAESTERNAL UNIVERSAL Cianosis NO AMBIENTAL CON 40% DE O2 Conciencia NORMAL AGITADO OBNUBILADO Menos de 4 LEVE 4 o + MODERADO 7 o + GRAVE Guía de Práctica Clínica IMSS 258: Diagnóstico y Manejo de Laringotraqueitis Aguda en Pacientes Mayores de 3 Meses Hasta 15 Años deEdad. RESUMIENDO…
  • 26.
    LEVE Ausencia de estridor Dificultadrespiratoria leve Manipulación mínima Mantener cómodo Dexametasona 0.6 mg/kg VO Si hay buena respuesta se egresa con manejo en casa Datos de alarma Guía de Práctica Clínica IMSS 258: Diagnóstico y Manejo de Laringotraqueitis Aguda en Pacientes Mayores de 3 Meses Hasta 15 Años deEdad.
  • 27.
    MODERADA Manipulación mínima Dexametasona 0.6mg/kg VO Observar 2-4 horas en urgencias MALA RESPUESTA A LAS 4 HORAS: Falta de mejoría con dexametasona. Persiste dificultad respiratoria. Persiste estridor en reposo ADMINISTRAR EPINEFRINA NEBULIZADA Observar 2-4 horas MALA RESPUESTA Dificultad respiratoria severa recurrente. Valoración por UCI. L-epinefrina nebulizada 5 ml. Oxígeno si saturación menor de 92% Mala respuesta… ¡considerar otro diagnóstico! Guía de Práctica Clínica IMSS 258: Diagnóstico y Manejo de Laringotraqueitis Aguda en Pacientes Mayores de 3 Meses Hasta 15 Años deEdad.
  • 28.
    GRAVE  Manipulación mínimaindispensable  Oxígeno si hay cianosis o saturación menor de 92%  L-epinefrina 1:1000 Dexametasona oral y valorar segunda dosis  SI NO HAY RESPUESTA: inminente paro respiratorio y alta probabilidad de intubación BUENA RESPUESTA: Disminución de gravedad de los síntomas Egreso con datos de alarma a padres Guía de Práctica Clínica IMSS 258: Diagnóstico y Manejo de Laringotraqueitis Aguda en Pacientes Mayores de 3 Meses Hasta 15 Años deEdad.
  • 29.
    NO ANTIBIÓTICOS Children and Infants– Acute Management of Croup. August 2010 disponible en http://www0.health.nsw.gov.au/policies/pd/2010/pdf/PD2010_053.pdf
  • 30.
    X Guía de PrácticaClínica IMSS 258: Diagnóstico y Manejo de Laringotraqueitis Aguda en Pacientes Mayores de 3 Meses Hasta 15 Años deEdad. CRITERIOS DE REFERENCIA A SEGUNDO O TERCER NIVEL  Si no se cuenta con sala de observación  Si no responde a glucocorticoides  Niños con patología pre existente
  • 31.
    Guía de PrácticaClínica IMSS 258: Diagnóstico y Manejo de Laringotraqueitis Aguda en Pacientes Mayores de 3 Meses Hasta 15 Años deEdad.