Sandra Gargantilla  Curso: 1ºA LA LEUCEMIA
¿Qué es la leucemia?   La leucemia es el cáncer de la sangre y se desarrolla en la médula ósea. La médula ósea es el tejido esponjoso que se encuentra en el centro de los huesos grandes del cuerpo y que produce las tres principales células de la sangre: Glóbulos blancos, glóbulos rojos y plaquetas. Por razones que se desconocen, la médula ósea de una persona con leucemia produce glóbulos blancos que no maduran correctamente y no cumplen su función combatir las infecciones. Cuando los glóbulos blancos inmaduros, comienzan a desplazar a las células sanas de la médula ósea, se experimentan los síntomas de la leucemia (infecciones, anemia, sangrado).   
¿A quiénes afecta la leucemia? La leucemia puede manifestarse a cualquier edad, aunque es más frecuente en los niños entre 2 y 6 años de edad. Esta enfermedad se presenta con una frecuencia ligeramente mayor en los varones que en las mujeres.
Tipos de leucemias - En función de la población celular afectada: Leucemia mieloide crónica Leucemia mieloide aguda Leucemia linfoide crónica   Leucemia linfoide aguda   Leucemia mielógena   - En función de la gravedad de la patología: Aguda : en este caso, se da un aumento muy rápido de las células sanguíneas inmaduras e impiden el desarrollo de las células maduras. Es importante un tratamiento precoz ya que si no la  dispersión de las células malignas puede conducir a que la leucemia llegue a otros órganos corporales. Esta forma de leucemia es la más común en niños.  Crónica : se producen demasiados glóbulos blancos maduros pero anormales. Progresa durante meses o años, por lo que no siempre se administra el tratamiento inmediatamente. Aunque pueden ocurrir en cualquier grupo de edad, la leucemia crónica ocurre más a menudo en personas mayores.
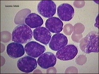
Leucemia linfoide
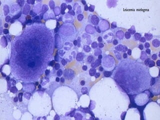
Leucemia mielogena
¿Cuáles son los síntomas de la leucemia?   Los síntomas iniciales generalmente se relacionan con el funcionamiento irregular de la médula ósea. Ésta es la responsable de almacenar y producir alrededor del 95% de las células sanguíneas, incluidos los glóbulos rojos, los glóbulos blancos y las  plaquetas.  Los síntomas pueden incluir:  Anemia:  se presenta cuando la médula no puede producir glóbulos rojos debido a la gran concentración de células en ella.  Sangrado y moretones:  Cuando la médula no puede producir plaquetas debido a la gran concentración de células que hay en ella, pueden presentarse sangrados o moretones con mayor facilidad. Infecciones recurrentes:  los glóbulos blancos, que son inmaduros no pueden combatir las infecciones. Se pueden  tener infecciones virales o bacteriales repetitivas. Dolor en los huesos y las articulaciones:  son otros síntomas comunes de la leucemia. Generalmente, este dolor es consecuencia de que la médula está superpoblada y "llena". Dolor abdominal:  Las células de la leucemia pueden acumularse en los riñones, el hígado y el bazo, y generar el agrandamiento de estos órganos. El dolor abdominal puede provocar la perdida del apetito y peso. Inflamación en los ganglios linfáticos:  se encuentran debajo de los brazos, la ingle, el pecho y el cuello. Los ganglios linfáticos son los responsables de filtrar la sangre. Las células de la leucemia pueden acumularse en los ganglios y provocar una inflamación.  Decaimiento, falta de fuerzas, mareos, náuseas, inapetencia, disminución de  peso importante.   Fiebre  que dura varios días sin una causa aparente, sudoración nocturna, escalofríos.
Las causas de la leucemia La leucemia, al igual que otros tipos de cáncer, es el resultado de mutaciones somáticas en el  ADN  .Estas mutaciones pueden ocurrir espontáneamente, como resultado de la exposición a la radiación o sustancias cancerígenas y por la influencia de factores genéticos El consumo de tabaco aumenta el riesgo de desarrollar leucemia mieloide aguda.  Algunas personas tienen una predisposición genética hacia la leucemia en desarrollo, las personas con anomalías cromosómicas u otras enfermedades genéticas tienen un mayor riesgo de leucemia.
¿Cómo se diagnostica la leucemia? * Aspiración y biopsia de la médula ósea:  Procedimiento que consiste en extraer médula por aspiración o con una aguja. En la biopsia por aspiración, se retira una muestra de líquido de la médula ósea. * Recuento sanguíneo completo:  Medición del tamaño, la cantidad y la madurez de las diferentes células sanguíneas que se encuentran en un volumen de sangre específico, mas análisis de sangre adicionales * Biopsia del ganglio linfático. * Resonancia magnética nuclear * Radiografía * Ecografía
Tratamiento de la leucemia El tratamiento específico para la leucemia será determinado por el médico basándose en lo siguiente:  * La edad, su estado general de salud y su historia médica.  * Qué tan avanzada está la enfermedad.  * La tolerancia de la persona a ciertos medicamentos y terapias.  * Sus expectativas para la evolución de la enfermedad.  Generalmente, el tratamiento comienza cuando se presentan síntomas  * Quimioterapia. * Medicamentos o quimioterapia por vía intratecal.  * Radioterapia. * Trasplante de médula ósea. * Terapia biológica. * Medicamentos  * Transfusiones sanguíneas  * Seguimiento médico continuo
¿Cuáles son las diferentes etapas del tratamiento de la leucemia? Existen varias etapas en el tratamiento de la leucemia, entre ellas, las siguientes:  * Inducción:  Combinación de quimioterapia o radiación y medicamentos que se administra para detener el proceso de producción de células anormales por parte de la médula ósea. El objetivo de esta etapa del tratamiento es impedir la producción de células de la leucemia. Esta fase puede durar aproximadamente un mes, y puede repetirse si no se alcanza el objetivo. * Intensificación:  Es un tratamiento continuo. Las células de la leucemia pueden no visualizarse en un análisis de sangre o en un examen de médula ósea; sin embargo, es posible que aún estén en el cuerpo. * Mantenimiento:  Esta fase puede durar desde meses hasta varios años. Se requieren visitas regulares al médico para controlar la respuesta al tratamiento, controlar sus efectos secundarios y detectar la reaparición de la enfermedad.  * Recaída:  La recaída significa que la médula ósea comienza nuevamente a producir células anormales. Puede producirse durante cualquier etapa del tratamiento o incluso meses o años.

Leucemia Sandra Gargantilla

  • 1.
    Sandra Gargantilla Curso: 1ºA LA LEUCEMIA
  • 2.
    ¿Qué es laleucemia? La leucemia es el cáncer de la sangre y se desarrolla en la médula ósea. La médula ósea es el tejido esponjoso que se encuentra en el centro de los huesos grandes del cuerpo y que produce las tres principales células de la sangre: Glóbulos blancos, glóbulos rojos y plaquetas. Por razones que se desconocen, la médula ósea de una persona con leucemia produce glóbulos blancos que no maduran correctamente y no cumplen su función combatir las infecciones. Cuando los glóbulos blancos inmaduros, comienzan a desplazar a las células sanas de la médula ósea, se experimentan los síntomas de la leucemia (infecciones, anemia, sangrado).  
  • 3.
    ¿A quiénes afectala leucemia? La leucemia puede manifestarse a cualquier edad, aunque es más frecuente en los niños entre 2 y 6 años de edad. Esta enfermedad se presenta con una frecuencia ligeramente mayor en los varones que en las mujeres.
  • 4.
    Tipos de leucemias- En función de la población celular afectada: Leucemia mieloide crónica Leucemia mieloide aguda Leucemia linfoide crónica Leucemia linfoide aguda Leucemia mielógena - En función de la gravedad de la patología: Aguda : en este caso, se da un aumento muy rápido de las células sanguíneas inmaduras e impiden el desarrollo de las células maduras. Es importante un tratamiento precoz ya que si no la dispersión de las células malignas puede conducir a que la leucemia llegue a otros órganos corporales. Esta forma de leucemia es la más común en niños. Crónica : se producen demasiados glóbulos blancos maduros pero anormales. Progresa durante meses o años, por lo que no siempre se administra el tratamiento inmediatamente. Aunque pueden ocurrir en cualquier grupo de edad, la leucemia crónica ocurre más a menudo en personas mayores.
  • 5.
  • 6.
  • 7.
    ¿Cuáles son lossíntomas de la leucemia? Los síntomas iniciales generalmente se relacionan con el funcionamiento irregular de la médula ósea. Ésta es la responsable de almacenar y producir alrededor del 95% de las células sanguíneas, incluidos los glóbulos rojos, los glóbulos blancos y las plaquetas. Los síntomas pueden incluir: Anemia: se presenta cuando la médula no puede producir glóbulos rojos debido a la gran concentración de células en ella. Sangrado y moretones: Cuando la médula no puede producir plaquetas debido a la gran concentración de células que hay en ella, pueden presentarse sangrados o moretones con mayor facilidad. Infecciones recurrentes: los glóbulos blancos, que son inmaduros no pueden combatir las infecciones. Se pueden tener infecciones virales o bacteriales repetitivas. Dolor en los huesos y las articulaciones: son otros síntomas comunes de la leucemia. Generalmente, este dolor es consecuencia de que la médula está superpoblada y "llena". Dolor abdominal: Las células de la leucemia pueden acumularse en los riñones, el hígado y el bazo, y generar el agrandamiento de estos órganos. El dolor abdominal puede provocar la perdida del apetito y peso. Inflamación en los ganglios linfáticos: se encuentran debajo de los brazos, la ingle, el pecho y el cuello. Los ganglios linfáticos son los responsables de filtrar la sangre. Las células de la leucemia pueden acumularse en los ganglios y provocar una inflamación. Decaimiento, falta de fuerzas, mareos, náuseas, inapetencia, disminución de peso importante. Fiebre que dura varios días sin una causa aparente, sudoración nocturna, escalofríos.
  • 8.
    Las causas dela leucemia La leucemia, al igual que otros tipos de cáncer, es el resultado de mutaciones somáticas en el ADN .Estas mutaciones pueden ocurrir espontáneamente, como resultado de la exposición a la radiación o sustancias cancerígenas y por la influencia de factores genéticos El consumo de tabaco aumenta el riesgo de desarrollar leucemia mieloide aguda. Algunas personas tienen una predisposición genética hacia la leucemia en desarrollo, las personas con anomalías cromosómicas u otras enfermedades genéticas tienen un mayor riesgo de leucemia.
  • 9.
    ¿Cómo se diagnosticala leucemia? * Aspiración y biopsia de la médula ósea: Procedimiento que consiste en extraer médula por aspiración o con una aguja. En la biopsia por aspiración, se retira una muestra de líquido de la médula ósea. * Recuento sanguíneo completo: Medición del tamaño, la cantidad y la madurez de las diferentes células sanguíneas que se encuentran en un volumen de sangre específico, mas análisis de sangre adicionales * Biopsia del ganglio linfático. * Resonancia magnética nuclear * Radiografía * Ecografía
  • 10.
    Tratamiento de laleucemia El tratamiento específico para la leucemia será determinado por el médico basándose en lo siguiente: * La edad, su estado general de salud y su historia médica. * Qué tan avanzada está la enfermedad. * La tolerancia de la persona a ciertos medicamentos y terapias. * Sus expectativas para la evolución de la enfermedad. Generalmente, el tratamiento comienza cuando se presentan síntomas * Quimioterapia. * Medicamentos o quimioterapia por vía intratecal. * Radioterapia. * Trasplante de médula ósea. * Terapia biológica. * Medicamentos * Transfusiones sanguíneas * Seguimiento médico continuo
  • 11.
    ¿Cuáles son lasdiferentes etapas del tratamiento de la leucemia? Existen varias etapas en el tratamiento de la leucemia, entre ellas, las siguientes: * Inducción: Combinación de quimioterapia o radiación y medicamentos que se administra para detener el proceso de producción de células anormales por parte de la médula ósea. El objetivo de esta etapa del tratamiento es impedir la producción de células de la leucemia. Esta fase puede durar aproximadamente un mes, y puede repetirse si no se alcanza el objetivo. * Intensificación: Es un tratamiento continuo. Las células de la leucemia pueden no visualizarse en un análisis de sangre o en un examen de médula ósea; sin embargo, es posible que aún estén en el cuerpo. * Mantenimiento: Esta fase puede durar desde meses hasta varios años. Se requieren visitas regulares al médico para controlar la respuesta al tratamiento, controlar sus efectos secundarios y detectar la reaparición de la enfermedad. * Recaída: La recaída significa que la médula ósea comienza nuevamente a producir células anormales. Puede producirse durante cualquier etapa del tratamiento o incluso meses o años.