PERIODONCIA	
  
• Especialidad	
  de	
  la	
  odontología	
  que	
  
estudia	
  todos	
  los	
  aspectos	
  	
  
relacionados	
  con	
  los	
  tejidos	
  que	
  
rodean	
  el	
  diente.	
  
• Se	
  dedica	
  a	
  la	
  prevención,	
  diagnostico	
  
y	
  tratamiento	
  	
  de	
  todas	
  las	
  formas	
  de	
  
enfermedad	
  periodontal.	
  	
  	
  
TEJIDOS	
  NORMALES	
  DEL	
  
DIENTE	
  
PERIODONTO	
  NORMAL	
  
	
  
• Ligamento	
  periodontal	
  
• Proceso	
  alveolar	
  o	
  hueso	
  
• Encía	
  	
  
• Cemento	
  radicular	
  	
  
ENCIA	
  
La encía (en lat. 	
   Fibromucosa	
  formada	
  por	
  tejido	
  
conec<vo	
  denso	
  con	
  una	
  cubierta	
  de	
  
epitelio	
  escamoso	
  quera<nizado	
  que	
  
cubre	
  los	
  procesos	
  alveolares	
  y	
  rodea	
  
a	
  los	
  dientes.	
  
• ENCIA	
  LIBRE	
  
Espacio	
  comprendido	
  
entre	
  el	
  margen	
  
gingival	
  y	
  el	
  fondo	
  del	
  
surco	
  .	
  
Comprende	
  	
  3	
  
estructuras	
  
• Surco	
  gingival:	
  
• Encía	
  marginal	
  :	
  
• Papila	
  Interdental:	
  
	
  
• ENCIA	
  ADHERIDA	
  
Parte	
  de	
  la	
  encía	
  que	
  
esta	
  adherida	
  al	
  diente	
  
y	
  	
  hueso	
  alveolar	
  	
  
LIGAMENTO	
  PERIODONTAL	
  
•  Tejido	
  que	
  rodea	
  la	
  raíces	
  	
  de	
  los	
  dientes	
  	
  uniendo	
  el	
  cemento	
  	
  
radicular	
  con	
  el	
  hueso	
  alveolar.	
  
	
  	
  	
  Funciones:	
  
•  Nutre	
  cemento	
  radicular	
  	
  
•  Proporciona	
  Sensibilidad	
  al	
  periodonto	
  
CEMENTO	
  RADICULAR	
  	
  
•  Tejido	
  calcificado	
  que	
  recubre	
  las	
  raíces.	
  
	
  	
  	
  
	
  	
  
	
  Funciones:	
  
	
  Une	
  el	
  ligamento	
  periodontal	
  al	
  diente	
  	
  
HUESO	
  ALVEOLAR	
  
•  Es	
  donde	
  se	
  insertan	
  las	
  fibras	
  del	
  ligamento	
  periodontal.	
  
•  Soporte	
  	
  estructural	
  del	
  diente.	
  
PLACA	
  BACTERIANA	
  	
  
• Depósitos,	
  	
  microblandos	
  de	
  alimentos	
  
adheridos	
  al	
  dientes	
  u	
  otras	
  estructuras	
  
bucales.	
  	
  
• Se	
  forma	
  en	
  cualquier	
  	
  parte	
  	
  de	
  la	
  boca	
  .	
  
• Clínicamente	
  capa	
  blancuzca	
  amarillenta	
  	
  
• SUPRAGINGIVAL	
  
	
  	
  
	
  
Se	
  deposita	
  sobre	
  la	
  
corona	
  del	
  diente	
  .	
  
• SUBGINGIVAL	
  
	
  	
  
Ubicada	
  en	
  el	
  surco	
  
gingival	
  o	
  bolsa	
  
periodontal.	
  
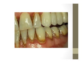
CALCULO	
  DENTAL	
  
•  Depósitos	
  	
  calcificados	
  en	
  los	
  dientes	
  y	
  otras	
  estructuras	
  	
  
sólidas,	
  producida	
  por	
  la	
  mineralización	
  de	
  la	
  placa	
  bacteriana.	
  	
  
	
  	
  Composición:	
  
	
  70%-­‐80%	
  sales	
  inorgánicas.	
  
40%	
  	
  calcio	
  
20%	
  fosforo	
  
Fosforo,	
  magnesio,	
  carbonato,	
  floruro.	
  
CLASIFICACIÓN	
  
• SUPRAGINGIVAL	
  
	
  Visibles	
  en	
  las	
  
coronas	
  	
  clínicas	
  de	
  
los	
  dientes.	
  
Depósitos	
  amarillos	
  
y	
  blancos	
  	
  
• SUBGINGIVAL	
  
Se	
  ubica	
  hacia	
  apical	
  
del	
  margen	
  gingival,	
  
surco	
  o	
  bolsa	
  
periodontal.	
  
De	
  color	
  parduzco	
  y	
  
negro,	
  mas	
  duro	
  y	
  mas	
  
adherido	
  a	
  la	
  
superficie	
  dental	
  	
  
INICIO	
  DE	
  LA	
  ENFERMEDAD	
  
PERIODONTAL	
  	
  	
  
•  La	
  primera	
  etapa	
  de	
  la	
  enfermedad	
  periodontal:	
  	
  
•  Gingivitis	
  y	
  se	
  destaca	
  por	
  el	
  enrojecimiento	
  de	
  la	
  encía	
  y	
  el	
  
sangrado	
  	
  durante	
  el	
  cepillado.	
  
Presencia	
  de	
  placa	
  bacteriana.	
  
SIGNOS	
  Y	
  SINTOMAS	
  
•  Encia	
  roja	
  
•  Sangrado	
  provocado	
  
•  Edema	
  
•  Halitosis	
  
	
  TRATAMIENTO	
  
Eliminar	
  el	
  origen	
  placa	
  bacteriana	
  y	
  calculo	
  
Buena	
  higiene	
  	
  Oral	
  
CALCULO	
  Y	
  PERDIDA	
  OSEA	
  
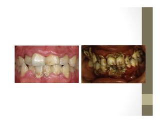
ENFERMEDAD	
  PERIODONTAL	
  
ENFERMEDAD	
  PERIODONTAL	
  
• Como	
  generalmente	
  esta	
  enfermedad	
  se	
  
presenta	
  sin	
  dolor,	
  el	
  paciente	
  suele	
  
desconocer	
  que	
  la	
  padece.	
  Por	
  esos	
  es	
  
importante	
  conocer	
  cuales	
  son	
  los	
  síntomas	
  
que	
  se	
  presentan,	
  y	
  consultar	
  
inmediatamente	
  a	
  su	
  dentista	
  
	
  
	
  
SIGNOS	
  Y	
  SINTOMAS	
  
	
  
• Sangrado	
  	
  gingival	
  expontaneo.	
  	
  
• Inflamación	
  gingival	
  (roja	
  ,	
  brillante)	
  
• Halitosis.	
  	
  
• Perdida	
  de	
  hueso.	
  
• Movilidad	
  dental.	
  	
  
• Perdida	
  de	
  dientes.	
  	
  
• Hipersensibilidad	
  dental.	
  
• Es	
  característica	
  una	
  abundante	
  
acumulación	
  de	
  calculos	
  por	
  debajo	
  del	
  
borde	
  gingival.	
  La	
  encía	
  se	
  van	
  
desprendiendo	
  progresivamente	
  de	
  los	
  
dientes,	
  y	
  se	
  produce	
  una	
  pérdida	
  ósea	
  
que	
  incrementa	
  la	
  profundidad	
  de	
  las	
  
bolsas	
  periodontales.	
  
	
  
	
  
• Los	
  estados	
  más	
  avanzados	
  de	
  la	
  
enfermedad	
  periodontal,	
  se	
  los	
  conoce	
  
como	
  periodontitis.	
  La	
  placa	
  bacteriana	
  y	
  
los	
  cálculos	
  están	
  presentes	
  adheridos	
  al	
  
diente.	
  En	
  este	
  estado	
  encontramos	
  daño	
  
tanto	
  en	
  la	
  encía	
  como	
  en	
  el	
  hueso.	
  
BOLSA	
  PERIODONTAL	
  
Profundización	
  
patológica	
  del	
  
surco	
  gingival	
  
SONDAJE	
  
TRATAMIENTO	
  PERIODONTAL	
  
CURETAS	
  PERIODONTALES	
  
CAVITRON	
  
Sistema	
  	
  de	
  limpieza	
  	
  dental	
  a	
  base	
  de	
  
ultrasonido,	
  proporciona	
  efecto	
  limpiador	
  y	
  
pulido	
  mas	
  profundo,	
  eliminando	
  
pigmentos,	
  residuos	
  y	
  calculos.	
  
PREVENCION	
  
	
  
Para	
  mantener	
  sus	
  dientes	
  completos	
  y	
  
sanos	
  durante	
  toda	
  la	
  vida,	
  es	
  necesario	
  
remover	
  la	
  placa	
  bacteriana	
  mediante	
  
un	
  cepillado	
  frecuente	
  y	
  cuidadoso	
  y	
  
con	
  la	
  ayuda	
  de	
  la	
  seda	
  dental.	
  
	
  
PREVENCION	
  
• Las	
  visitas	
  regulares	
  al	
  odontólogo	
  son	
  
igualmente	
  importantes.	
  La	
  limpieza	
  diaria	
  
mantendrá	
  la	
  formación	
  de	
  cálculos	
  
reducida	
  a	
  un	
  mínimo,	
  pero	
  no	
  la	
  puede	
  
prevenir	
  completamente.	
  Una	
  limpieza	
  
profesional	
  efectuada	
  por	
  el	
  odontólogo	
  
removerá	
  los	
  cálculos	
  endurecidos	
  que	
  se	
  
hayan	
  formado	
  en	
  sitios	
  donde	
  el	
  cepillo	
  o	
  
la	
  seda,	
  dado	
  un	
  difícil	
  acceso,	
  no	
  hayan	
  
prevenido	
  su	
  formación.	
  
• La	
  remoción	
  de	
  cálculos	
  lleva	
  por	
  
nombre	
  raspaje	
  y	
  curetaje.	
  Muchos	
  
odontólogos	
  utilizan	
  máquinas	
  de	
  
ultrasonido	
  que,	
  por	
  vibración,	
  causan	
  
el	
  desprendimiento	
  del	
  cálculo	
  de	
  la	
  
pared	
  dentaria,	
  para	
  luego,	
  valiéndose	
  
de	
  instrumentos	
  manuales,	
  terminar	
  
la	
  limpieza	
  con	
  un	
  alisado	
  final.	
  
• Su	
  odontólogo	
  puede	
  diseñarle	
  un	
  
programa	
  personalizado	
  de	
  higiene	
  oral	
  
diaria	
  que	
  se	
  adapte	
  a	
  sus	
  necesidades	
  
específicas.	
  Este	
  programa	
  incluiría	
  
técnicas	
  de	
  cepillado	
  adecuadas	
  para	
  
remover	
  completamente	
  la	
  placa	
  
bacteriana	
  sin	
  causar	
  daño	
  a	
  las	
  encías	
  o	
  
dientes.	
  
• Una	
  visita	
  al	
  odontólogo	
  le	
  puede	
  
servir	
  para	
  seleccionar	
  mejor	
  los	
  
productos	
  dentales	
  de	
  higiene	
  oral.	
  
Existe	
  una	
  amplia	
  gama	
  de	
  cepillos,	
  
enjuagues	
  bucales	
  y	
  sedas	
  dentales	
  en	
  
el	
  mercado.	
  Los	
  irrigadores	
  orales,	
  las	
  
puntas	
  de	
  caucho	
  y	
  los	
  cepillos	
  
interdentales	
  amplían	
  aún	
  más	
  la	
  
selección.	
  	
  	
  
GRACIAS	
  

Periodoncia

  • 1.
  • 2.
    • Especialidad  de  la  odontología  que   estudia  todos  los  aspectos     relacionados  con  los  tejidos  que   rodean  el  diente.   • Se  dedica  a  la  prevención,  diagnostico   y  tratamiento    de  todas  las  formas  de   enfermedad  periodontal.      
  • 3.
  • 4.
    PERIODONTO  NORMAL     • Ligamento  periodontal   • Proceso  alveolar  o  hueso   • Encía     • Cemento  radicular    
  • 6.
    ENCIA   La encía(en lat.   Fibromucosa  formada  por  tejido   conec<vo  denso  con  una  cubierta  de   epitelio  escamoso  quera<nizado  que   cubre  los  procesos  alveolares  y  rodea   a  los  dientes.  
  • 7.
    • ENCIA  LIBRE   Espacio  comprendido   entre  el  margen   gingival  y  el  fondo  del   surco  .   Comprende    3   estructuras   • Surco  gingival:   • Encía  marginal  :   • Papila  Interdental:     • ENCIA  ADHERIDA   Parte  de  la  encía  que   esta  adherida  al  diente   y    hueso  alveolar    
  • 9.
    LIGAMENTO  PERIODONTAL   • Tejido  que  rodea  la  raíces    de  los  dientes    uniendo  el  cemento     radicular  con  el  hueso  alveolar.        Funciones:   •  Nutre  cemento  radicular     •  Proporciona  Sensibilidad  al  periodonto  
  • 11.
    CEMENTO  RADICULAR     •  Tejido  calcificado  que  recubre  las  raíces.              Funciones:    Une  el  ligamento  periodontal  al  diente    
  • 12.
    HUESO  ALVEOLAR   • Es  donde  se  insertan  las  fibras  del  ligamento  periodontal.   •  Soporte    estructural  del  diente.  
  • 14.
    PLACA  BACTERIANA     • Depósitos,    microblandos  de  alimentos   adheridos  al  dientes  u  otras  estructuras   bucales.     • Se  forma  en  cualquier    parte    de  la  boca  .   • Clínicamente  capa  blancuzca  amarillenta    
  • 15.
    • SUPRAGINGIVAL         Se  deposita  sobre  la   corona  del  diente  .   • SUBGINGIVAL       Ubicada  en  el  surco   gingival  o  bolsa   periodontal.  
  • 16.
    CALCULO  DENTAL   • Depósitos    calcificados  en  los  dientes  y  otras  estructuras     sólidas,  producida  por  la  mineralización  de  la  placa  bacteriana.        Composición:    70%-­‐80%  sales  inorgánicas.   40%    calcio   20%  fosforo   Fosforo,  magnesio,  carbonato,  floruro.  
  • 17.
    CLASIFICACIÓN   • SUPRAGINGIVAL    Visibles  en  las   coronas    clínicas  de   los  dientes.   Depósitos  amarillos   y  blancos     • SUBGINGIVAL   Se  ubica  hacia  apical   del  margen  gingival,   surco  o  bolsa   periodontal.   De  color  parduzco  y   negro,  mas  duro  y  mas   adherido  a  la   superficie  dental    
  • 20.
    INICIO  DE  LA  ENFERMEDAD   PERIODONTAL       •  La  primera  etapa  de  la  enfermedad  periodontal:     •  Gingivitis  y  se  destaca  por  el  enrojecimiento  de  la  encía  y  el   sangrado    durante  el  cepillado.   Presencia  de  placa  bacteriana.  
  • 21.
    SIGNOS  Y  SINTOMAS   •  Encia  roja   •  Sangrado  provocado   •  Edema   •  Halitosis    TRATAMIENTO   Eliminar  el  origen  placa  bacteriana  y  calculo   Buena  higiene    Oral  
  • 23.
  • 24.
  • 25.
  • 26.
    • Como  generalmente  esta  enfermedad  se   presenta  sin  dolor,  el  paciente  suele   desconocer  que  la  padece.  Por  esos  es   importante  conocer  cuales  son  los  síntomas   que  se  presentan,  y  consultar   inmediatamente  a  su  dentista      
  • 27.
    SIGNOS  Y  SINTOMAS     • Sangrado    gingival  expontaneo.     • Inflamación  gingival  (roja  ,  brillante)   • Halitosis.     • Perdida  de  hueso.   • Movilidad  dental.     • Perdida  de  dientes.     • Hipersensibilidad  dental.  
  • 28.
    • Es  característica  una  abundante   acumulación  de  calculos  por  debajo  del   borde  gingival.  La  encía  se  van   desprendiendo  progresivamente  de  los   dientes,  y  se  produce  una  pérdida  ósea   que  incrementa  la  profundidad  de  las   bolsas  periodontales.      
  • 29.
    • Los  estados  más  avanzados  de  la   enfermedad  periodontal,  se  los  conoce   como  periodontitis.  La  placa  bacteriana  y   los  cálculos  están  presentes  adheridos  al   diente.  En  este  estado  encontramos  daño   tanto  en  la  encía  como  en  el  hueso.  
  • 30.
    BOLSA  PERIODONTAL   Profundización   patológica  del   surco  gingival  
  • 31.
  • 32.
  • 33.
  • 34.
    CAVITRON   Sistema    de  limpieza    dental  a  base  de   ultrasonido,  proporciona  efecto  limpiador  y   pulido  mas  profundo,  eliminando   pigmentos,  residuos  y  calculos.  
  • 35.
    PREVENCION     Para  mantener  sus  dientes  completos  y   sanos  durante  toda  la  vida,  es  necesario   remover  la  placa  bacteriana  mediante   un  cepillado  frecuente  y  cuidadoso  y   con  la  ayuda  de  la  seda  dental.    
  • 37.
    PREVENCION   • Las  visitas  regulares  al  odontólogo  son   igualmente  importantes.  La  limpieza  diaria   mantendrá  la  formación  de  cálculos   reducida  a  un  mínimo,  pero  no  la  puede   prevenir  completamente.  Una  limpieza   profesional  efectuada  por  el  odontólogo   removerá  los  cálculos  endurecidos  que  se   hayan  formado  en  sitios  donde  el  cepillo  o   la  seda,  dado  un  difícil  acceso,  no  hayan   prevenido  su  formación.  
  • 38.
    • La  remoción  de  cálculos  lleva  por   nombre  raspaje  y  curetaje.  Muchos   odontólogos  utilizan  máquinas  de   ultrasonido  que,  por  vibración,  causan   el  desprendimiento  del  cálculo  de  la   pared  dentaria,  para  luego,  valiéndose   de  instrumentos  manuales,  terminar   la  limpieza  con  un  alisado  final.  
  • 40.
    • Su  odontólogo  puede  diseñarle  un   programa  personalizado  de  higiene  oral   diaria  que  se  adapte  a  sus  necesidades   específicas.  Este  programa  incluiría   técnicas  de  cepillado  adecuadas  para   remover  completamente  la  placa   bacteriana  sin  causar  daño  a  las  encías  o   dientes.  
  • 41.
    • Una  visita  al  odontólogo  le  puede   servir  para  seleccionar  mejor  los   productos  dentales  de  higiene  oral.   Existe  una  amplia  gama  de  cepillos,   enjuagues  bucales  y  sedas  dentales  en   el  mercado.  Los  irrigadores  orales,  las   puntas  de  caucho  y  los  cepillos   interdentales  amplían  aún  más  la   selección.      
  • 43.