Incrustar presentación
Descargar para leer sin conexión

























































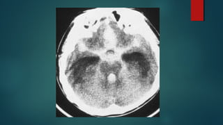
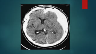
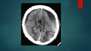
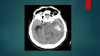
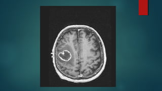
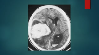
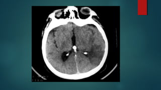
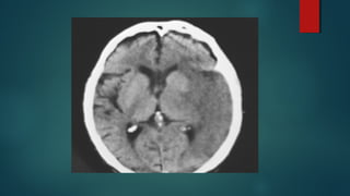
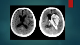
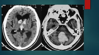
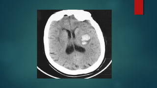
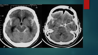
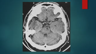
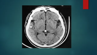
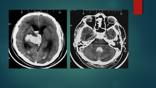
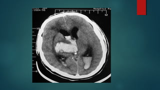
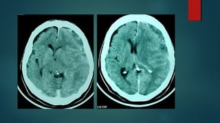
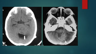
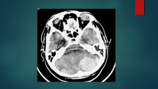
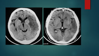
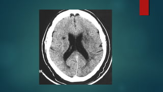
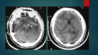
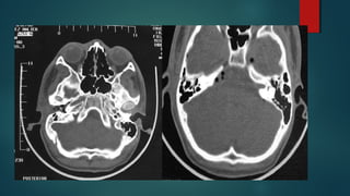
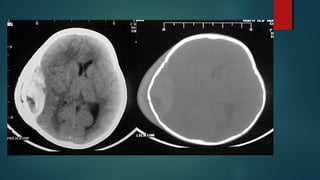
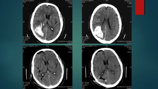
Este documento es el programa para un taller de imágenes del curso de emergencia 2015 impartido por el Dr. Víctor Delgado. El taller se centra en el uso de imágenes médicas para el diagnóstico y tratamiento de pacientes en coma traumático según la base de datos de Marshall. El Dr. Delgado es el único instructor repetido a lo largo del documento.
























































