• EOSINOFILOS; no son abundantes en el t.c.
humano, pero si en las glándulas mamarias
durante la lactancia, en las vías respiratorias
y digestivas.
• Su núcleo es reniforme o bilobulado y el
citoplasma contiene gránulos esféricos muy
refringentes.
• Se acumulan en la sangre y en los tejidos en
estado alérgicos e inflamatorios subagudos
provocados por enfermedades parasitarias.
J.T.
J.T.
CELULAS PLASMATICAS.
• Son semejantes a los linfocitos, tienen un diámetro de 10 a 20 um.
• Poseen mas citoplasma que los linfocitos el cual es basofilo, su
núcleo esta en posición excéntrica.
• Son raras en el t.c. y se encuentran mas en las membranas serosas,
el tejido linfoide y la lamina propia del tubo digestivo.
• Abundan en los lugares de inflamación crónica.
• Son una diferenciación especial de los linfocitos, la cual su principal
función es la producción de anticuerpos.
• Estos son transportados a la superficie en pequeñas vesículas.
J.T.
J.T.
CELULAS DE PIGMENTO.
• Llamadas CROMATOFOROS son raras en el t.c. laxo, pero si es
común en el t.c. denso de la piel, piamadre y en la coroides
del ojo.
• En la dermis se hallan otras células de pigmento llamadas
MELANOCITOS, derivadas de la cresta neural embrionaria.
• Su citoplasma contiene gránulos pequeños de pigmento
llamados melanosomas.
J.T.
J.T.
TIPOS DE TEJIDO CONECTIVO.
• El t.c. varia mucho en las diferentes partes del cuerpo.
• Su aspecto depende de la proporciones relativas y la
disposición de los componentes celular, fibroso y amorfo.
• La principal subdivisión en la clasificación se hace por la
concentración de las fibras.
• Así tenemos:
J.T.
• TEJIDOS CONECTIVOS LAXOS; hay menos
fibras y relativamente mas células.
Estos se pueden subdividir a su vez en:
Los que se encuentran en el EMBRION:
o mesenquima.
oTejido conectivo mucoso.
Los que se encuentran en el ADULTO:
oTejido conectivo laxo.
oTejido adiposo.
oTejido reticular.
J.T.
• TEJIDOS CONECTIVOS DENSOS;
porque poseen abundancia de fibras
dispuesta de forma compacta y
pocas células.
Estos se subdividen en:
Tejido conectivo denso
irregular.
Tejido conectivo denso regular.
Tejido elástico.
J.T.
TEJIDOS CONECTIVOS LAXOS.
MESENQUIMA.
• Es un tejido conectivo típico, no especializado, de las
primeras semanas de vida embrionaria.
• Posteriormente desaparece cuando las células que lo
componen se diferencian.
• Esta formado por células mesenquimatosas cuyas
prolongaciones ramificadas parecen unirse y por una
sustancia fundamental.
• Esta sustancia fundamental mas tarde contiene fibras
reticulares delgadas.
• Estas fibras reticulares son sustituidas en forma
gradual por fibras colágenas a medida que se
diferencia en tejido conectivo adulto.
J.T.
J.T.
TEJIDO CONECTIVO MUCOSO.
• Es un tejido transitorio que aparece en el
desarrollo y diferenciación normales de los
tejidos conectivos.
• Se le encuentra también en el cordón umbilical
como gelatina llamada gelatina de Wharton, aquí
ya no se diferencia.
• Lo forman fibroblastos grandes y estrellados,
algunos macrófagos y linfocitos errantes.
• La sustancia fundamental es especialmente
abundante y es blanda y gelatinosa.
• Contiene una delicada red de fibras colágenas
delgadas.
J.T.
J.T.
TEJIDO CONECTIVO LAXO (AREOLAR).
• Es un tejido conectivo fibroelastico dispuesto de
manera laxa.
• Se encuentra en casi todos los cortes
microscópicos del cuerpo por ser el material de
empaque, fijación y medio de inclusión de
muchas estructuras.
• Debido a su flexibilidad permite un grado
considerable de movilidad entre estos elementos.
• En el se encuentran casi todos los elementos
estructurales descriptos ( sustancia fundamental
amorfa, fibras y células ).
J.T.
• Los dos tipos celulares mas comunes son
los fibroblastos y los macrófagos.
• Las fibras colágenas son las mas
notables.
• Las fibras elásticas, forman una red
continua ramificada son menos notables.
• Las fibras reticulares también están
presentes pero solo son abundantes en
los limites entre el tejido areolar y otras
estructuras.
J.T.
• La sustancia fundamental es semilíquida
y ocupa muchas zonas pequeñas
(areolas) en los cortes donde no es
común observar estructuras.
• Este tejido se encuentra muy
vascularizado.
J.T.
TEJIDO ADIPOSO BLANCO.
• En el tejido areolar hay células de grasa dispersa,
cuando estas forman grandes cúmulos y son el
principal tipo celular, se le denomina ADIPOSO.
• Como cada célula de grasa contiene una sola grande de
aceite, el tejido recibe el nombre de TEJIDO ADIPOSO
UNILOCULAR.
• Cada célula grasa esta rodeada de un velo de fibras
reticulares finas.
• Entre los espacios de las células hay fibroblastos,
células linfáticas, eosinofilos, algunos macrófagos y
células cebadas.
• Agrupadas estas células muy juntas forman lobulillos
separados por tabiques fibrosos.
J.T.
• Hay una red abundante de capilares entre los
lobulillos la cual es indicadora de alta
actividad metabólica del tejido adiposo.
• Los lugares mas comunes de acumulación de
grasa son los tejidos subcutáneos (panículo
adiposo), los mesenterios y epiplones, la
medula ósea y alrededor de los riñones.
• La distribución y densidad de la grasa en los
tejidos subcutáneos defieren en los sexos,
explican en parte la diferencia en la forma de
los cuerpos.
J.T.
• En la mujer se acumula grasa en las
mamas, regiones glúteas, y en las caras
anterior y externa de los muslos.
• En el varón se localiza en la zonas de los
hombros y brazos, la nuca, las regiones
glúteas y la región lumbosacra.
• Su función primaria es actuar como
amortiguador de los golpes y como
aislante para impedir el enfriamiento o
calentamiento excesivo de la piel.
J.T.
J.T.
TEJIDO ADIPOSO PARDO.
• Es un tipo especial de tejido adiposo relacionado con la
producción de calor, muy importante en el recién nacido.
• Es relativamente común en el feto y en los niños pequeños.
• En el adulto se limita al cuello y regiones que rodean la
aorta abdominal y el riñón.
• El riego sanguíneo es abundante y presenta abundantes
citocromos en las mitocondrias que le da su color
característico.
• Las células grasas son mas pequeñas que el tejido adiposo
blanco.
• Su citoplasma contiene muchas gotitas de lípido de tamaño
variable que no se fusionan por lo que se dice que este
tejido es MULTILOCULAR.
J.T.
• En los cortes histológicos aparecen como
vacuolas pequeñas dentro del citoplasma
de las células.
• A diferencia de la blanca, la parda no se
afecta con facilidad por los cambios
nutricionales.
• La estimulación del sistema nervioso
simpático hace que se movilicen lípidos a
partir de las células grasa y se genere
calor.
J.T.
J.T.
TEJIDO RETICULAR.
• Es un tipo primitivo de tejido conectivo caracterizado una red
de fibras reticulares con relación a las células reticulares
primitivas.
• Son células estrelladas y tienen prolongaciones citoplasmáticas
largas que parecen unirse con las de otras células.
• Su aspecto es parecido al de las células mesenquimatosas.
• Tiene núcleos grandes y pálidos con nucléolos notables y
citoplasma basofilo abundante.
J.T.
• Forma el armazón de los órganos
linfáticos, la medula ósea y el hígado.
• Son poco manifiesto ya que el intersticio
del tejido normalmente esta lleno de
otros tipos celulares, en especial
linfocitos y otras células sanguíneas.
J.T.
J.T.
TEJIDOS CONECTIVOS DENSOS.
• Se caracterizan por la abundancia de sus fibras.
• Tiene menos células y sustancia fundamental amorfa que los
tejidos conectivos laxos.
• En lugares donde se ejercen tenciones en todas direcciones las
fibras están entretejidas y no tienen una orientación regular, se
dice entonces que los tejidos son de disposición irregular.
• En estructuras con tensiones en una sola dirección las fibras se
disponen de manera paralela y ordenada, se dice entonces que los
tejidos son de disposición regular.
• Las fibras colágenas son su componente principal de este tejido
pero en algunos ligamentos predominan las fibras elásticas.
J.T.
TEJIDO CONECTIVO DENSO IRREGULAR.
• Se presenta en forma de hojas y sus fibras se entrelazan para
formar una especie de fieltro grueso y resistente.
• Constituye la mayor parte de las fascias, la dermis de la piel, las
capsulas fibrosas de algunos órganos como los testículos, hígado y
ganglios linfáticos, y las envolturas fibrosas del hueso (periostio) y
del cartílago (pericondrio).
• Las fibras colágenas gruesas son su principal componente, pero
también hay fibras elásticas y reticulares, sobre todo en la dermis.
• Hay poca sustancia fundamental.
J.T.
• Las células principalmente los
fibroblastos, localizadas entre las fibras
agrupadas de manera compacta, son
difíciles de identificar.
J.T.
J.T.
TEJIDO CONECTIVO DENSO REGULAR.
• Contiene fibras agrupadas muy juntas y paralelas entre si formar
estructuras de gran resistencia a la tensión.
• Así tenemos a los tendones, ligamentos y aponeurosis.
• En los tendones las fibras colágenas o haces tendinosos primarios
siguen trayectos paralelos.
• Las únicas células que se encuentran en ellos son los fibroblastos o
células tendinosas.
• En cortes longitudinales se disponen en hileras entre las fibras
colágenas, su citoplasma es poco manifiesto.
J.T.
J.T.
M
• En cortes transversales presentan forma
estrellada, con prolongaciones citoplasmáticas
que se extienden entre los haces.
• Cada haz primario esta cubierto por una pequeña
cantidad de t.c. laxo (fibroelastico) llamado
endotendon.
• Varios haces primarios forman haces o fascículos
secundario envueltos por un t.c. grueso llamado
peritendón.
• El tendón formado por varios fascículos, presenta
una vaina de t.c. mas grueso llamado epitendon.
J.T.
J.T.
• Los nervios y vasos sanguíneos cruzan por los
tabiques principales del t.c., pero no invaden
los fascículos.
• Los ligamentos, son semejantes al tendón
pero los elementos colágenos son un poco
menos regular.
• Las aponeurosis son igual que los tendones o
ligamentos pero son anchas y aplanadas.
• La mayoría de los ligamentos tienen la misma
composición pero algunos están formados casi
por completo por fibras elásticas.
J.T.
J.T.
TEJIDO ELASTICO.
• En los ligamentos elásticos amarillos las fibras gruesas
paralelas de tejido elástico quedan unidas por una pequeña
cantidad de t.c. en el que están los fibroblastos típicos.
• Su diámetro es de 10 a 15 um; se ramifican y fusionan entre si.
• Individualmente las fibras están rodeadas de una delicada red
de fibras reticulares.
• Entre las fibras se observa muchos núcleos ovales o alargados
y poco citoplasma que corresponden a los fibroblastos
(característica principal).
J.T.
• En el ser humano lo encontramos en los
ligamentos amarillos de las vertebras, el
ligamento suspensor del pene y las
cuerdas vocales verdaderas.
J.T.
CORDON UMBILICAL
Arterias
Tejido mesenquimal (tejido
conectivo embrionario)
TEJIDO CONECTIVO LAXO (INTESTINO
DELGADO)
Vellosidad intestinal
Lámina propia
(Tej. Conectivo
laxo)
Músculo liso
TEJIDO CONECTIVO LAXO
(VELLOSIDAD INTESTINAL)
Lámina propia
Epitelio cilíndrico
simple con chapa
estriada
Célula caliciforme
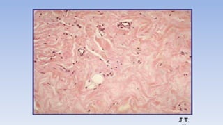
TEJIDO CONECTIVO DENSO
IRREGULAR (DERMIS – PIEL)
DERMIS
Epidermis
Fibroblastos
Haces fibras de
colágena
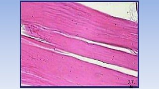
TEJIDO CONECTIVO DENSO REGULAR
COLAGENOSO (TENDON)
Haces fibras de
colágena
Fibroblastos
TEJIDO CONECTIVO DENSO REGULAR
ELASTICO (AORTA)
LUZ
Endotelio
vascular
FIBRAS ELASTICAS
Tejido conectivo
TEJIDO CONECTIVO RETICULAR (ISLOTE DE
LANGERHANS)
Islote de Langerhans
Acinos pancreáticos
TEJIDO CONECTIVO ADIPOSO BLANCO
(TIMO)
Tejido adiposo
blanco
Tabique tejido conectivo
Corteza
Médula

Tejido conectivo parte 2

  • 1.
    • EOSINOFILOS; noson abundantes en el t.c. humano, pero si en las glándulas mamarias durante la lactancia, en las vías respiratorias y digestivas. • Su núcleo es reniforme o bilobulado y el citoplasma contiene gránulos esféricos muy refringentes. • Se acumulan en la sangre y en los tejidos en estado alérgicos e inflamatorios subagudos provocados por enfermedades parasitarias. J.T.
  • 2.
  • 3.
    CELULAS PLASMATICAS. • Sonsemejantes a los linfocitos, tienen un diámetro de 10 a 20 um. • Poseen mas citoplasma que los linfocitos el cual es basofilo, su núcleo esta en posición excéntrica. • Son raras en el t.c. y se encuentran mas en las membranas serosas, el tejido linfoide y la lamina propia del tubo digestivo. • Abundan en los lugares de inflamación crónica. • Son una diferenciación especial de los linfocitos, la cual su principal función es la producción de anticuerpos. • Estos son transportados a la superficie en pequeñas vesículas. J.T.
  • 4.
  • 5.
    CELULAS DE PIGMENTO. •Llamadas CROMATOFOROS son raras en el t.c. laxo, pero si es común en el t.c. denso de la piel, piamadre y en la coroides del ojo. • En la dermis se hallan otras células de pigmento llamadas MELANOCITOS, derivadas de la cresta neural embrionaria. • Su citoplasma contiene gránulos pequeños de pigmento llamados melanosomas. J.T.
  • 6.
  • 7.
    TIPOS DE TEJIDOCONECTIVO. • El t.c. varia mucho en las diferentes partes del cuerpo. • Su aspecto depende de la proporciones relativas y la disposición de los componentes celular, fibroso y amorfo. • La principal subdivisión en la clasificación se hace por la concentración de las fibras. • Así tenemos: J.T.
  • 8.
    • TEJIDOS CONECTIVOSLAXOS; hay menos fibras y relativamente mas células. Estos se pueden subdividir a su vez en: Los que se encuentran en el EMBRION: o mesenquima. oTejido conectivo mucoso. Los que se encuentran en el ADULTO: oTejido conectivo laxo. oTejido adiposo. oTejido reticular. J.T.
  • 9.
    • TEJIDOS CONECTIVOSDENSOS; porque poseen abundancia de fibras dispuesta de forma compacta y pocas células. Estos se subdividen en: Tejido conectivo denso irregular. Tejido conectivo denso regular. Tejido elástico. J.T.
  • 10.
    TEJIDOS CONECTIVOS LAXOS. MESENQUIMA. •Es un tejido conectivo típico, no especializado, de las primeras semanas de vida embrionaria. • Posteriormente desaparece cuando las células que lo componen se diferencian. • Esta formado por células mesenquimatosas cuyas prolongaciones ramificadas parecen unirse y por una sustancia fundamental. • Esta sustancia fundamental mas tarde contiene fibras reticulares delgadas. • Estas fibras reticulares son sustituidas en forma gradual por fibras colágenas a medida que se diferencia en tejido conectivo adulto. J.T.
  • 11.
  • 12.
    TEJIDO CONECTIVO MUCOSO. •Es un tejido transitorio que aparece en el desarrollo y diferenciación normales de los tejidos conectivos. • Se le encuentra también en el cordón umbilical como gelatina llamada gelatina de Wharton, aquí ya no se diferencia. • Lo forman fibroblastos grandes y estrellados, algunos macrófagos y linfocitos errantes. • La sustancia fundamental es especialmente abundante y es blanda y gelatinosa. • Contiene una delicada red de fibras colágenas delgadas. J.T.
  • 13.
  • 14.
    TEJIDO CONECTIVO LAXO(AREOLAR). • Es un tejido conectivo fibroelastico dispuesto de manera laxa. • Se encuentra en casi todos los cortes microscópicos del cuerpo por ser el material de empaque, fijación y medio de inclusión de muchas estructuras. • Debido a su flexibilidad permite un grado considerable de movilidad entre estos elementos. • En el se encuentran casi todos los elementos estructurales descriptos ( sustancia fundamental amorfa, fibras y células ). J.T.
  • 15.
    • Los dostipos celulares mas comunes son los fibroblastos y los macrófagos. • Las fibras colágenas son las mas notables. • Las fibras elásticas, forman una red continua ramificada son menos notables. • Las fibras reticulares también están presentes pero solo son abundantes en los limites entre el tejido areolar y otras estructuras. J.T.
  • 16.
    • La sustanciafundamental es semilíquida y ocupa muchas zonas pequeñas (areolas) en los cortes donde no es común observar estructuras. • Este tejido se encuentra muy vascularizado. J.T.
  • 17.
    TEJIDO ADIPOSO BLANCO. •En el tejido areolar hay células de grasa dispersa, cuando estas forman grandes cúmulos y son el principal tipo celular, se le denomina ADIPOSO. • Como cada célula de grasa contiene una sola grande de aceite, el tejido recibe el nombre de TEJIDO ADIPOSO UNILOCULAR. • Cada célula grasa esta rodeada de un velo de fibras reticulares finas. • Entre los espacios de las células hay fibroblastos, células linfáticas, eosinofilos, algunos macrófagos y células cebadas. • Agrupadas estas células muy juntas forman lobulillos separados por tabiques fibrosos. J.T.
  • 18.
    • Hay unared abundante de capilares entre los lobulillos la cual es indicadora de alta actividad metabólica del tejido adiposo. • Los lugares mas comunes de acumulación de grasa son los tejidos subcutáneos (panículo adiposo), los mesenterios y epiplones, la medula ósea y alrededor de los riñones. • La distribución y densidad de la grasa en los tejidos subcutáneos defieren en los sexos, explican en parte la diferencia en la forma de los cuerpos. J.T.
  • 19.
    • En lamujer se acumula grasa en las mamas, regiones glúteas, y en las caras anterior y externa de los muslos. • En el varón se localiza en la zonas de los hombros y brazos, la nuca, las regiones glúteas y la región lumbosacra. • Su función primaria es actuar como amortiguador de los golpes y como aislante para impedir el enfriamiento o calentamiento excesivo de la piel. J.T.
  • 20.
  • 21.
    TEJIDO ADIPOSO PARDO. •Es un tipo especial de tejido adiposo relacionado con la producción de calor, muy importante en el recién nacido. • Es relativamente común en el feto y en los niños pequeños. • En el adulto se limita al cuello y regiones que rodean la aorta abdominal y el riñón. • El riego sanguíneo es abundante y presenta abundantes citocromos en las mitocondrias que le da su color característico. • Las células grasas son mas pequeñas que el tejido adiposo blanco. • Su citoplasma contiene muchas gotitas de lípido de tamaño variable que no se fusionan por lo que se dice que este tejido es MULTILOCULAR. J.T.
  • 22.
    • En loscortes histológicos aparecen como vacuolas pequeñas dentro del citoplasma de las células. • A diferencia de la blanca, la parda no se afecta con facilidad por los cambios nutricionales. • La estimulación del sistema nervioso simpático hace que se movilicen lípidos a partir de las células grasa y se genere calor. J.T.
  • 23.
  • 24.
    TEJIDO RETICULAR. • Esun tipo primitivo de tejido conectivo caracterizado una red de fibras reticulares con relación a las células reticulares primitivas. • Son células estrelladas y tienen prolongaciones citoplasmáticas largas que parecen unirse con las de otras células. • Su aspecto es parecido al de las células mesenquimatosas. • Tiene núcleos grandes y pálidos con nucléolos notables y citoplasma basofilo abundante. J.T.
  • 25.
    • Forma elarmazón de los órganos linfáticos, la medula ósea y el hígado. • Son poco manifiesto ya que el intersticio del tejido normalmente esta lleno de otros tipos celulares, en especial linfocitos y otras células sanguíneas. J.T.
  • 26.
  • 27.
    TEJIDOS CONECTIVOS DENSOS. •Se caracterizan por la abundancia de sus fibras. • Tiene menos células y sustancia fundamental amorfa que los tejidos conectivos laxos. • En lugares donde se ejercen tenciones en todas direcciones las fibras están entretejidas y no tienen una orientación regular, se dice entonces que los tejidos son de disposición irregular. • En estructuras con tensiones en una sola dirección las fibras se disponen de manera paralela y ordenada, se dice entonces que los tejidos son de disposición regular. • Las fibras colágenas son su componente principal de este tejido pero en algunos ligamentos predominan las fibras elásticas. J.T.
  • 28.
    TEJIDO CONECTIVO DENSOIRREGULAR. • Se presenta en forma de hojas y sus fibras se entrelazan para formar una especie de fieltro grueso y resistente. • Constituye la mayor parte de las fascias, la dermis de la piel, las capsulas fibrosas de algunos órganos como los testículos, hígado y ganglios linfáticos, y las envolturas fibrosas del hueso (periostio) y del cartílago (pericondrio). • Las fibras colágenas gruesas son su principal componente, pero también hay fibras elásticas y reticulares, sobre todo en la dermis. • Hay poca sustancia fundamental. J.T.
  • 29.
    • Las célulasprincipalmente los fibroblastos, localizadas entre las fibras agrupadas de manera compacta, son difíciles de identificar. J.T.
  • 30.
  • 31.
    TEJIDO CONECTIVO DENSOREGULAR. • Contiene fibras agrupadas muy juntas y paralelas entre si formar estructuras de gran resistencia a la tensión. • Así tenemos a los tendones, ligamentos y aponeurosis. • En los tendones las fibras colágenas o haces tendinosos primarios siguen trayectos paralelos. • Las únicas células que se encuentran en ellos son los fibroblastos o células tendinosas. • En cortes longitudinales se disponen en hileras entre las fibras colágenas, su citoplasma es poco manifiesto. J.T.
  • 32.
  • 33.
    • En cortestransversales presentan forma estrellada, con prolongaciones citoplasmáticas que se extienden entre los haces. • Cada haz primario esta cubierto por una pequeña cantidad de t.c. laxo (fibroelastico) llamado endotendon. • Varios haces primarios forman haces o fascículos secundario envueltos por un t.c. grueso llamado peritendón. • El tendón formado por varios fascículos, presenta una vaina de t.c. mas grueso llamado epitendon. J.T.
  • 34.
  • 35.
    • Los nerviosy vasos sanguíneos cruzan por los tabiques principales del t.c., pero no invaden los fascículos. • Los ligamentos, son semejantes al tendón pero los elementos colágenos son un poco menos regular. • Las aponeurosis son igual que los tendones o ligamentos pero son anchas y aplanadas. • La mayoría de los ligamentos tienen la misma composición pero algunos están formados casi por completo por fibras elásticas. J.T.
  • 36.
  • 37.
    TEJIDO ELASTICO. • Enlos ligamentos elásticos amarillos las fibras gruesas paralelas de tejido elástico quedan unidas por una pequeña cantidad de t.c. en el que están los fibroblastos típicos. • Su diámetro es de 10 a 15 um; se ramifican y fusionan entre si. • Individualmente las fibras están rodeadas de una delicada red de fibras reticulares. • Entre las fibras se observa muchos núcleos ovales o alargados y poco citoplasma que corresponden a los fibroblastos (característica principal). J.T.
  • 38.
    • En elser humano lo encontramos en los ligamentos amarillos de las vertebras, el ligamento suspensor del pene y las cuerdas vocales verdaderas. J.T.
  • 39.
    CORDON UMBILICAL Arterias Tejido mesenquimal(tejido conectivo embrionario)
  • 40.
    TEJIDO CONECTIVO LAXO(INTESTINO DELGADO) Vellosidad intestinal Lámina propia (Tej. Conectivo laxo) Músculo liso
  • 41.
    TEJIDO CONECTIVO LAXO (VELLOSIDADINTESTINAL) Lámina propia Epitelio cilíndrico simple con chapa estriada Célula caliciforme
  • 42.
    TEJIDO CONECTIVO DENSO IRREGULAR(DERMIS – PIEL) DERMIS Epidermis Fibroblastos Haces fibras de colágena
  • 43.
    TEJIDO CONECTIVO DENSOREGULAR COLAGENOSO (TENDON) Haces fibras de colágena Fibroblastos
  • 44.
    TEJIDO CONECTIVO DENSOREGULAR ELASTICO (AORTA) LUZ Endotelio vascular FIBRAS ELASTICAS Tejido conectivo
  • 45.
    TEJIDO CONECTIVO RETICULAR(ISLOTE DE LANGERHANS) Islote de Langerhans Acinos pancreáticos
  • 46.
    TEJIDO CONECTIVO ADIPOSOBLANCO (TIMO) Tejido adiposo blanco Tabique tejido conectivo Corteza Médula