Tejido glandular

Universidad Nacional del Este
     Dr. Erwin Escobar
Epitelio Glandular
• Es un tipo de tejido epitelial en que las células se
  diferencian y se especializan en la elaboración de
  productos de secreción
• La secreción glandular incluye productos como:
  glucoproteínas, cimógeno, enzimas, hormonas, etc.
• Glándulas Exocrinas: Si se mantienen unidas al
  conducto excretor de eliminación del producto
• Glándulas Endocrinas: Si el epitelio glandular
  queda aislado
GLÁNDULAS


            Cúmulos células



FUNCIÓN                   CLASIFICACION


Secreción           Glándulas exocrinas
                    Glándulas endocrinas
                    Células glandulares parácrinas
SECRECIÓN


   proceso


transformación


   sustancias


    Energía
SECRECION



CONSTITUTIVA                   REGULADA


Proceso continuo               Liberación


   Exocitosis             Productos específicos


                           Enzimas digestivas
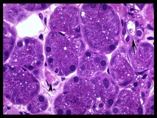
Glándulas Exocrinas

• Son las que expulsan sus productos de secreción hacia el
  medio exterior, mediante conductos excretores
• Nacen de un epitelio celular pero se diferencian en
  producir y conducir
• Porción Secretora: corresponde a grupos de células
  especializadas que producen secreciones
• Porción Conductora: corresponde a conductos tubulares
  que llevan estas secreciones hasta una superficie cubierta
  por un epitelio
GLÁNDULAS EXOCRINAS


                      Secretan

                      conductos



           Externos                Internos



                      Proceso



Síntesis
                      Transporte
                                          Liberación
Glándula exocrina
CLASIFICACION
               DE LAS
GLANDULAS EXOCRINAS



UNICELULARES            PLURICELULARES
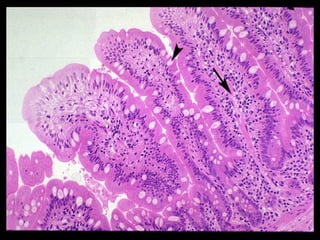
GLANDULAS UNICELULARES


         Célula secretora


            Caliciforme


                Mucina



Glucoproteína               H2O



                Mucus
Células caliciformes
Células Caliciformes de la membrana mucosa del intestino delgado
GLÁNDULAS
                          MULTICELULARES



                               Conformación
Grado de Ramificaciones           de las           Tipo de secreción
                           Terminales Secretoras
Glándulas multicelulares

• Están compuestas por más de una
  célula y exhiben grados de complejidad
  variables

• Su organización estructural permite
  subclasificarlas según la disposición de
  las células secretoras y según haya
  ramificación     de    los    conductos
  excretores o no
Clasificación según el sistema
         de conductos
Grado de Ramificaciones




             Simple




           Compuesta
Conformación de las Terminales Secretoras




   Tubular             Tubular




    Alveolar        Saco o alveolo




     Acinosa          Combinada
MECANISMOS DE SECRECIÓN


MERÓCRINA              HOLÓCRINA


            APÓCRINA
MERÓCRINA


                         Exocitosis


                         No pierden


                   Sustancia fundamental

                     Glándula parótida




Glándula salival
APÓCRINA

      Libera


    Citoplasma


       Apical


Glándula sudorípara
HOLÓCRINA


Destrucción


   Células


   Enteras


Glándulas sebáceas
     de la piel
Tipo de secreción




    Mucoso          Producto
                     viscoso



                    Secreción
     Seroso
                    liquida




     Mixtas           La dos
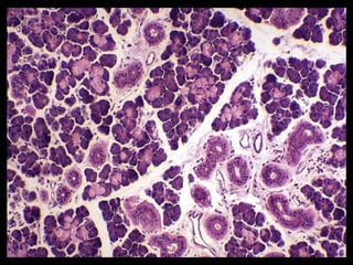
Características Histológicas de las Glándulas Exocrinas



                  Externamente


                   Internamente


                   Sistema Nervioso


                   Vasos linfáticos


                  Vasos sanguíneos


                  Sistema de Conductos Excretores


                   Regulación Secretora Exócrina
Externamente


                         Cápsula


                          Sostén




                      Internamente


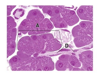
                         Tabiques



 Interlobulares                      Lobulillos
        o
                          Lóbulos
  Intralobulares
(Interlobulillares)
Sistema Nervioso, vasos linfáticos y sanguíneos


                   atraviesan


                    Cápsula


             Tabiques interlobulares


                   Lobulillos
Vasos Sanguíneos y Linfáticos


                  rodean


terminales glandulares y conductos excretores


                Finas redes




      Ramificaciones terminales nerviosas


            forman engrosamientos


              Superficie glandular
CONDUCTO EXCRETOR PRINCIPAL


                  Conductos lobulares



Tabiques intralobulares                 Lobulillos

Conductos interlobulares       Conductos intralobulares


                                    Desembocan


                                Terminales secretoras
Organización de las glándulas de gran
              tamaño
Regulación Secretora Exócrina



                      Estímulos



Nervioso autónomo     hormonal    Nervioso autónomo hormonal
Glándulas Endocrinas
          Características histológicas

• Carencia de sistemas de conductos excretores
  (Glándulas cerradas)
• Rica vascularización
• Arquitectura: placas o cordones anastomosados y
  folículos
• Según la base de la composición química del
  producto de secreción:
   • Células endocrinas que secretan hormonas
     proteicas (polipeptídicas).
   • Células endocrinas que secretan hormonas
     esteroides
Glándulas Endocrinas
          Características histológicas

• Glándulas endocrinas:
   • Hipófisis, glándula pineal, glándula Tiroides,
     glándula Paratiroides, Páncreas, glándulas
     suprarrenales, ovarios, testículos y placenta.
   • Sistema endocrino difuso
• Transmisor       Químico      (molécula      señal):
  Sustancia química sintetizada por células con la
  finalidad de influir sobre la actividad de otras
  células del mismo organismo. Tres tipos:
  Neurotrasmisores,      Mediadores       locales   y
  Hormonas
Glándulas Endocrinas
       Características histológicas

• Células u órgano blanco: aquellas donde
  actuará la molécula señal
• Hormona: Sustancia química sintetizada
  por células (aisladas u organizadas en un
  tejido y órgano endocrino) y secretada al
  torrente sanguíneo para ser transportada a
  sitios alejados con la finalidad de influir
  sobre la actividad de otras células
Tejido glandular une. dr erwin

Tejido glandular une. dr erwin

  • 1.
    Tejido glandular Universidad Nacionaldel Este Dr. Erwin Escobar
  • 2.
    Epitelio Glandular • Esun tipo de tejido epitelial en que las células se diferencian y se especializan en la elaboración de productos de secreción • La secreción glandular incluye productos como: glucoproteínas, cimógeno, enzimas, hormonas, etc. • Glándulas Exocrinas: Si se mantienen unidas al conducto excretor de eliminación del producto • Glándulas Endocrinas: Si el epitelio glandular queda aislado
  • 5.
    GLÁNDULAS Cúmulos células FUNCIÓN CLASIFICACION Secreción Glándulas exocrinas Glándulas endocrinas Células glandulares parácrinas
  • 7.
    SECRECIÓN proceso transformación sustancias Energía
  • 8.
    SECRECION CONSTITUTIVA REGULADA Proceso continuo Liberación Exocitosis Productos específicos Enzimas digestivas
  • 9.
    Glándulas Exocrinas • Sonlas que expulsan sus productos de secreción hacia el medio exterior, mediante conductos excretores • Nacen de un epitelio celular pero se diferencian en producir y conducir • Porción Secretora: corresponde a grupos de células especializadas que producen secreciones • Porción Conductora: corresponde a conductos tubulares que llevan estas secreciones hasta una superficie cubierta por un epitelio
  • 10.
    GLÁNDULAS EXOCRINAS Secretan conductos Externos Internos Proceso Síntesis Transporte Liberación
  • 11.
  • 12.
    CLASIFICACION DE LAS GLANDULAS EXOCRINAS UNICELULARES PLURICELULARES
  • 13.
    GLANDULAS UNICELULARES Célula secretora Caliciforme Mucina Glucoproteína H2O Mucus
  • 14.
  • 15.
    Células Caliciformes dela membrana mucosa del intestino delgado
  • 17.
    GLÁNDULAS MULTICELULARES Conformación Grado de Ramificaciones de las Tipo de secreción Terminales Secretoras
  • 18.
    Glándulas multicelulares • Estáncompuestas por más de una célula y exhiben grados de complejidad variables • Su organización estructural permite subclasificarlas según la disposición de las células secretoras y según haya ramificación de los conductos excretores o no
  • 20.
    Clasificación según elsistema de conductos
  • 21.
    Grado de Ramificaciones Simple Compuesta
  • 22.
    Conformación de lasTerminales Secretoras Tubular Tubular Alveolar Saco o alveolo Acinosa Combinada
  • 29.
  • 31.
    MERÓCRINA Exocitosis No pierden Sustancia fundamental Glándula parótida Glándula salival
  • 32.
    APÓCRINA Libera Citoplasma Apical Glándula sudorípara
  • 33.
    HOLÓCRINA Destrucción Células Enteras Glándulas sebáceas de la piel
  • 34.
    Tipo de secreción Mucoso Producto viscoso Secreción Seroso liquida Mixtas La dos
  • 42.
    Características Histológicas delas Glándulas Exocrinas Externamente Internamente Sistema Nervioso Vasos linfáticos Vasos sanguíneos Sistema de Conductos Excretores Regulación Secretora Exócrina
  • 43.
    Externamente Cápsula Sostén Internamente Tabiques Interlobulares Lobulillos o Lóbulos Intralobulares (Interlobulillares)
  • 44.
    Sistema Nervioso, vasoslinfáticos y sanguíneos atraviesan Cápsula Tabiques interlobulares Lobulillos
  • 45.
    Vasos Sanguíneos yLinfáticos rodean terminales glandulares y conductos excretores Finas redes Ramificaciones terminales nerviosas forman engrosamientos Superficie glandular
  • 46.
    CONDUCTO EXCRETOR PRINCIPAL Conductos lobulares Tabiques intralobulares Lobulillos Conductos interlobulares Conductos intralobulares Desembocan Terminales secretoras
  • 47.
    Organización de lasglándulas de gran tamaño
  • 50.
    Regulación Secretora Exócrina Estímulos Nervioso autónomo hormonal Nervioso autónomo hormonal
  • 51.
    Glándulas Endocrinas Características histológicas • Carencia de sistemas de conductos excretores (Glándulas cerradas) • Rica vascularización • Arquitectura: placas o cordones anastomosados y folículos • Según la base de la composición química del producto de secreción: • Células endocrinas que secretan hormonas proteicas (polipeptídicas). • Células endocrinas que secretan hormonas esteroides
  • 53.
    Glándulas Endocrinas Características histológicas • Glándulas endocrinas: • Hipófisis, glándula pineal, glándula Tiroides, glándula Paratiroides, Páncreas, glándulas suprarrenales, ovarios, testículos y placenta. • Sistema endocrino difuso • Transmisor Químico (molécula señal): Sustancia química sintetizada por células con la finalidad de influir sobre la actividad de otras células del mismo organismo. Tres tipos: Neurotrasmisores, Mediadores locales y Hormonas
  • 54.
    Glándulas Endocrinas Características histológicas • Células u órgano blanco: aquellas donde actuará la molécula señal • Hormona: Sustancia química sintetizada por células (aisladas u organizadas en un tejido y órgano endocrino) y secretada al torrente sanguíneo para ser transportada a sitios alejados con la finalidad de influir sobre la actividad de otras células