UCE FCM HISTOLOGIA DRA TAMARA LEON
TEJIDO MUSCULAR  DEFINICION  CONJUNTO DE CELULAS MUSSCULARES ESPECIALIZADAS EN EL MOVIMIENTO. ORIGEN MESODERMO
CELULA MUSCULAR SINONIMOS:  FIBRA MUSCULAR CITOPLASMA : SARCOPLASMA MEM.CELULAR: SARCOLEMA MITOCONDRIAS : SARCOSOMAS
CLASIFICACION TEJIDO MUSCULAR LISO TEJIDO MUSCULAR ESTRIADO TEJIDO MUSCULAR CARDIACO
TEJIDO MUS. LISO CELULAS AHUSADAS- FUSO UN SOLO NUCLEO  SE ENCUENTRA VISCERAS INERVACION SNAUTONOMO ES INVOLUNTARIO UNIDAS POR TEJ. CONJUNTIVO
 
 
TEJIDO MUSCULAR LISO CONTRACCION LENTA , SOSTENIDA Y PARCAIL.  EL ESTADO DE CONTRACCIÓN PARCIAL PROLONGADA EN EL MÚSCULO ESTRIADO O LISO ES EL  TONO MUSCULAR CITOPLASMA :FILAMENTOS ACTINA, MIOSINA , INTERMEDIOS
 
PLACA DE INSERCION CONDENSACION CITOPLAS. UNIDAD DE FILAMENTOS ACTINA MIOSINA
PLACA INSERCION.TALLINA-VINCULINA CONDENSACION CITOPLASMATICA: ACTINA Y ALFAACTININA FILAMENTOS INTERMEDIOS DESDE CONDENSACION CITOPLASMATICA HACIA PLACA INSERCION CONTIENE DESMINA Y EN VASOS SANG. VIMETINA.
 
MOVIMIENTO DE F. M. LISA MECANISMO DE DESLIZAMIENTO DE MIOFILAMENTOS DE ACTINA Y MIOSINA.
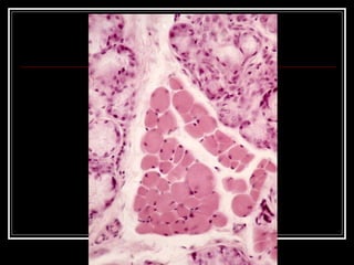
TEJIDO MUSC. ESTRIADO CELULAS ALARGADAS MUCHOS NUCLEOS VOLUNTARIO FORMANDO MUSCULOS ESQUELETICOS INERVACION SNC
 
TEJ. MUS. ESTRIADO RODEADO POR TEJ. CONJUNTIVO EPIMISIO PERIMISIO ENDOMISIO
 
 
 
 
 
TEJ. MUS. ESTRIADO CAMPOS COHNHEIM FIBRA MUSCULAR MIOFIBRILLAS MIOFILAMENTOS ACTINA  MIOSINA
 
 
 
 
 
BASE ULTRAESTRUCURAL DE LA CONTRACCION 1. LA LONGITUD SARCOMERO DISMINUYE  FILAMENTOS DE ACTINA SE DESLIZAN HACIA LA MIOSINA ACORTAMIENTO SARCOMERO,ANGOSTAS BANDAS H Y LA I . LA BANDA A INALTERADA ACORTAMIENTO MIOFIBRILLA -FIBRA
BASE BIOMOLECULAR DE LA CONTRACCION FILAMENTOS DE ACTINA: ESPIRAL ACTINA F EXTREMO POSITIVO Y NEGATIVO POSTIVO DISCO Z TROPOMIOSINA  TROPONINA-UNE CON LA ACTINA Y CA,TROPOMIOSINA FILAMENTOS MIOSINA CABEZA Y COLA  MEROMIOSINA LIVIANA  MEROMIOSINA PESADA ACTUAN ATP ASA
ROTURA DE ATP, CAMBIO POSICION LIBERACION CA  UNION A TROPONINA DESPLAZA TROPOMIOSINA UNION AC-MIO POSICION INCLINACION FIJA ATP INTERRUMPE UNION MIO-AC
 
FIBRAS ROJAS, INTERMEDIAS Y BLANCAS MUSCULOS ROJOS –FIBRAS ROJAS  MIOGLOBINA  MUSCULOS BLANCOS –FIBRAS BLANCAS FIBRAS TIPO I  POBRES EN ATPASA  FIBRAS TIPO II RICAS  ATPASA TIPOIIA –TIPO IIB  -TIPO IIC
 
Con el impulso nervioso se libera Acetilcolina
Al contacto de la Acetilcolina con la miofibrilla, la fibra muscular libera Calcio
Al interior de la miofibrilla se distinguen la Actina y la Miosina
El Calcio se distribuye entre los filamentos de la miofibrilla
El Calcio se distribuye entre los filamentos de la miofibrilla.
Se distinguen Tropomiosina, Troponina y la molécula de ATP
El proceso de contracción muscular
Los filamentos de Actina y Miosina en el proceso de Contracción-Relajación
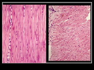
TEJ.MUSCULAR CARDIACO CELULAS RAMIFICADAS  DISCOS INTERCALARES NUCLEO CENTRAL SARCOPLASMA MAS ABUNDANTE MAS MITOCONDRIAS  CARECE CAPACIDAD REGENERATIVA
 
 
 
 
 
 
PLACA MOTORA
 
FIN

Tejido mus

  • 1.
    UCE FCM HISTOLOGIADRA TAMARA LEON
  • 2.
    TEJIDO MUSCULAR DEFINICION CONJUNTO DE CELULAS MUSSCULARES ESPECIALIZADAS EN EL MOVIMIENTO. ORIGEN MESODERMO
  • 3.
    CELULA MUSCULAR SINONIMOS: FIBRA MUSCULAR CITOPLASMA : SARCOPLASMA MEM.CELULAR: SARCOLEMA MITOCONDRIAS : SARCOSOMAS
  • 4.
    CLASIFICACION TEJIDO MUSCULARLISO TEJIDO MUSCULAR ESTRIADO TEJIDO MUSCULAR CARDIACO
  • 5.
    TEJIDO MUS. LISOCELULAS AHUSADAS- FUSO UN SOLO NUCLEO SE ENCUENTRA VISCERAS INERVACION SNAUTONOMO ES INVOLUNTARIO UNIDAS POR TEJ. CONJUNTIVO
  • 6.
  • 7.
  • 8.
    TEJIDO MUSCULAR LISOCONTRACCION LENTA , SOSTENIDA Y PARCAIL. EL ESTADO DE CONTRACCIÓN PARCIAL PROLONGADA EN EL MÚSCULO ESTRIADO O LISO ES EL TONO MUSCULAR CITOPLASMA :FILAMENTOS ACTINA, MIOSINA , INTERMEDIOS
  • 9.
  • 10.
    PLACA DE INSERCIONCONDENSACION CITOPLAS. UNIDAD DE FILAMENTOS ACTINA MIOSINA
  • 11.
    PLACA INSERCION.TALLINA-VINCULINA CONDENSACIONCITOPLASMATICA: ACTINA Y ALFAACTININA FILAMENTOS INTERMEDIOS DESDE CONDENSACION CITOPLASMATICA HACIA PLACA INSERCION CONTIENE DESMINA Y EN VASOS SANG. VIMETINA.
  • 12.
  • 13.
    MOVIMIENTO DE F.M. LISA MECANISMO DE DESLIZAMIENTO DE MIOFILAMENTOS DE ACTINA Y MIOSINA.
  • 14.
    TEJIDO MUSC. ESTRIADOCELULAS ALARGADAS MUCHOS NUCLEOS VOLUNTARIO FORMANDO MUSCULOS ESQUELETICOS INERVACION SNC
  • 15.
  • 16.
    TEJ. MUS. ESTRIADORODEADO POR TEJ. CONJUNTIVO EPIMISIO PERIMISIO ENDOMISIO
  • 17.
  • 18.
  • 19.
  • 20.
  • 21.
  • 22.
    TEJ. MUS. ESTRIADOCAMPOS COHNHEIM FIBRA MUSCULAR MIOFIBRILLAS MIOFILAMENTOS ACTINA MIOSINA
  • 23.
  • 24.
  • 25.
  • 26.
  • 27.
  • 28.
    BASE ULTRAESTRUCURAL DELA CONTRACCION 1. LA LONGITUD SARCOMERO DISMINUYE FILAMENTOS DE ACTINA SE DESLIZAN HACIA LA MIOSINA ACORTAMIENTO SARCOMERO,ANGOSTAS BANDAS H Y LA I . LA BANDA A INALTERADA ACORTAMIENTO MIOFIBRILLA -FIBRA
  • 29.
    BASE BIOMOLECULAR DELA CONTRACCION FILAMENTOS DE ACTINA: ESPIRAL ACTINA F EXTREMO POSITIVO Y NEGATIVO POSTIVO DISCO Z TROPOMIOSINA TROPONINA-UNE CON LA ACTINA Y CA,TROPOMIOSINA FILAMENTOS MIOSINA CABEZA Y COLA MEROMIOSINA LIVIANA MEROMIOSINA PESADA ACTUAN ATP ASA
  • 30.
    ROTURA DE ATP,CAMBIO POSICION LIBERACION CA UNION A TROPONINA DESPLAZA TROPOMIOSINA UNION AC-MIO POSICION INCLINACION FIJA ATP INTERRUMPE UNION MIO-AC
  • 31.
  • 32.
    FIBRAS ROJAS, INTERMEDIASY BLANCAS MUSCULOS ROJOS –FIBRAS ROJAS MIOGLOBINA MUSCULOS BLANCOS –FIBRAS BLANCAS FIBRAS TIPO I POBRES EN ATPASA FIBRAS TIPO II RICAS ATPASA TIPOIIA –TIPO IIB -TIPO IIC
  • 33.
  • 34.
    Con el impulsonervioso se libera Acetilcolina
  • 35.
    Al contacto dela Acetilcolina con la miofibrilla, la fibra muscular libera Calcio
  • 36.
    Al interior dela miofibrilla se distinguen la Actina y la Miosina
  • 37.
    El Calcio sedistribuye entre los filamentos de la miofibrilla
  • 38.
    El Calcio sedistribuye entre los filamentos de la miofibrilla.
  • 39.
    Se distinguen Tropomiosina,Troponina y la molécula de ATP
  • 40.
    El proceso decontracción muscular
  • 41.
    Los filamentos deActina y Miosina en el proceso de Contracción-Relajación
  • 42.
    TEJ.MUSCULAR CARDIACO CELULASRAMIFICADAS DISCOS INTERCALARES NUCLEO CENTRAL SARCOPLASMA MAS ABUNDANTE MAS MITOCONDRIAS CARECE CAPACIDAD REGENERATIVA
  • 43.
  • 44.
  • 45.
  • 46.
  • 47.
  • 48.
  • 49.
  • 50.
  • 51.