EPITELIOS   DRA . TAMARA LEON
EPITELIOS   CONCEPTO  ORIGEN  CARACTERISTICAS  CLASIFICACION
CLASIFICACION SIMPLES  COMPUESTOS  ESPECIALES
EPITELIOS SIMPLES EPITELIO SIMPLE PLANO  EPITELIO SIMPLE CUBICO  EPITELIO SIMPLE CILINDRICO
 
 
 
EPITELIOS ESTRATIFICADOS ESTRATIFICADO PLANO  ESTRATIFICADO CILINDRICO ESTRATIFICADO CUBICO
 
 
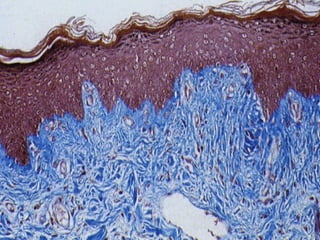
EPITELIOS ESPECIALES EPITELIO ESTRATIFICADO PLANO CON QUERATINA  : PIEL , LENGUA , PALADAR, ANO  VARIOS ESTRATOS  CAPA BASAL, CAPA ESPINOSA, CAPA GRANULOSA, CAPA LUCIDA, CAPA CORNEA, QUERATINA
 
 
EPITELIOS ESPECIALES EPITELIO ESTRATIFICADO PLANO SIN QUERATINA  LENGUA, ESOFAGO, ANO , MUCOSAS VARIOS ESTRATOS , CAPA BASAL, CAPA POLIEDRICA, CAPA GRANULOSA , MUCINA .
 
 
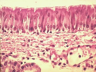
EPITELIOS ESPECIALES EPITELIO SEUDOESTRATIFICADO CILINDRICO CILIADO CON CELULAS CALICIFORMES VIAS AEREAS, TRAQUEA, LARINGE , BRONQUIOS , TROMPAS FALOPIO, ETC. UN SOLO ESTRATO CC.Y CC
 
 
 
 
EPITELIOS ESPECIALES EPITELIO DE TRANSICION, MIXTO O POLIMORFO  VEJIGA URINARIA, URETERES , VIAS URINARIAS. VARIOS ESTRATOS , CAPA BASAL, CAPA POLIEDRICA , CAPA POLIMORFA, SUPERFICIE CELULAS EN RAQUETA , OJOS DE BUHO
 
 
QUIERES SER MEDICO HIJO MIO? Aspiración es ésta de una alma generosa, de un espíritu ávido de ciencia. Deseas que los hombres te tengan  por un Dios que alivia sus males y ahuyenta de ellos el espanto? Has pensado bien en lo que ha de ser tu vida? La mayoría de los ciudadanos pueden , terminada su tarea, aislarse lejos de los inoportunos: tu puerta quedará siempre abierta a todos: vendrán a turbar tu sueño, tus placeres, tu meditación : ya no te pertenecerás
Los pobres, acostumbrados a padecer, no te llamarán sino en casos de urgencia ; pero los ricos te tratarán como a un esclavo encargado de remediar sus excesos; sea porque tengan una indigestión , sea porque estén acatarrados, harán que te despierten a toda prisa tan pronto como sientan la menor inquietud; habrás de mostrar interés por los detalles más vulgares de su existencia, decidir si han de comer cordero o carnero, si  han de andar de tal o cual modo.  No podrás ausentarte , ni estar enfermo; tendrás que  estar siempre  listo para acudir tan pronto como te llame tu amo.
Tienes fe en tu trabajo para conquistarte una reputación? Ten presente que te juzgarán no por tu ciencia, sino por las casualidades del destino, por el corte de tu capa, por la apariencia  de tu casa, por el número de tus criados, por la atención que dediques a las charlas y a los gustos de tu clientela.
Los habrá que desconfiarán de ti si no vienes del Asia: otros  si crees en los dioses, otros si no crees en ellos.  Tu vecino el carnicero, el tendero, el zapatero , no te confiarán su clientela si no eres parroquiano suyo; el herborista no te elogiará , sino , en tanto que recetes sus hierbas.  Habrás de luchar  contra las superticiones de los ignorantes. Te gusta la sencillez? Habrás de adoptar la actitud de  un augur.  Eres activo, sabes que vale el tiempo?
No habrás de manifestar fastidio ni impaciencia; tendrás que aguantar relatos que arranquen del principio de los tiempos para explicarte un cólico. Sientes pasión por la verdad?  Ya no podrás decirla. Habrás de ocultar a algunos la gravedad de su mal, a otros su insignificancia, pues les molestaría. Habrás de ocultar secretos que posees, consentir en parecer  burlado, ignorante, cómplice.
No te será permitido dudar nunca, so pena de perder todo el crédito: si no afirmas que conoces la naturaleza de la enfermedad que posees  un remedio infalible para  curarla, el vulgo irá a charlatanes que venden la mentira que necesita.  No cuentes con agradecimiento: cuando el enfermo sana, la curación es debida a su robustez, si muere tú eres el que los has matado. Mientras está en peligro te trata como a un Dios, te suplica, te promete, te colma de halagos, no bien está en convalecencia ya le estorbas; cuando se trata de pagar los cuidados que le has prodigado, se enfada y te denigra.
Te compadezco si sientes afán por la belleza: verás lo más feo y repugnante que hay en la especie humana: todos tus sentidos serán maltratados. Habrás de pegar tu oído  contra el sudor de pechos sucios, respirar el olor de míseras viviendas, los perfumes harto subidos de las cortesanas, palpar tumores, curar llagas verdes de pus, contemplar los orines, escudriñar los esputos, fijar la mirada y tu olfato en inmundicias, meter el dedo en muchos sitios.
Te llamarán para un hombre que , molestado por dolores del vientre, te presentará un bacín nauseabundo , diciéndote satisfecho: “ gracias a que he tenido la precaución de no tirarlo”.  Recuerda entonces que  habrá de parecer interesante mucho aquella deyección. Tu oficio será para ti una túnica de Neso: en la calle, en los banquetes, en el teatro, en tu cama misma, los desconocidos, tus amigos, tus allegados te hablarán de sus males para pedirte un remedio. El mundo te parecerá un vasto hospital, una asamblea de individuos que se quejan.
Cuando a costa de muchos  esfuerzos hayas prolongado la existencia de algunos ancianos o de niños deformes, vendrá una guerra que destruirá lo más sano y lo más robusto que hay en la ciudad. Entonces, te  encargarán que separes  los débiles de los fuertes, para salvar a los débiles y enviar a los fuertes a la muerte. Piénsalo bien mientras estás a tiempo...
Pero sí , indiferente a la fortuna, a los placeres, a la ingratitud, si sabiendo que te verás sólo entre las fieras humanas , tienes una alma  lo bastante estoica para satisfacerte con el deber cumplido sin ilusiones; si te juzgas pagado lo bastante con la dicha de una madre, con una cara que sonríe porque ya no padece, con la faz de un moribundo a quien ocultas la llegada de la muerte, si ansías conocer al hombre, penetrar  todo lo trágico de su destino, entonces   hazte médico hijo mío. ESCULAPIO 1936
MEDIOS DE UNION CELULARES  O CONTACTOS CELULARES SE ENCUENTRAN EN LA MAYOR PARTE DE TEJIDOS O EPITELIOS  PROPIAS EPITELIOS  CAPAS ADHERENTES CON PERMEABILIDAD SELECTIVA QUE TAMBIÈN SON A LA VEZ BARRERAS MECANICAS MUY FUERTES
CLASIFICACION  CONTACTOS DE ANCLAJE : ZONULA ADHERENS FASCIA ADHERENS DESMOSOMA  HEMIDESMOSOMA PROTEINAS DE ADHESION  CONTACTOS OCLUYENTES : ZONULA OCLUDENS CONTACTOS DE COMUNICACIÓN NEXOS UNION  SINAPSIS
CONTACTOS OCLUYENTES: ZONULA OCLUDENS LOCALIZACION APICAL ENTRE MEMBRANAS CELULARES EN EL INTERMEDIO OCLUDINA ENGRANAJE A MANERA CIERRE EPITELIOS DE TRANSPORTE
ZONULA OCLUDENS
 
 
CONTACTOS ANCLAJE: ZONULA ADHERENS ZONULA ALREDEDOR CELULAR  CITOESQUELETO ACTINA -PLACAS VINCULINA FIJADAS – CADHERINAS CONTRALATERALES  DEPENDIENTES CALCIO DEBAJO DE Z. O.
 
 
CONTACTOS ANCLAJE: FASCIA ADHERENS- CONTACTO DE ANCLAJE. PLACA CONTACTO NO INVOLUCRA A TODA LA CELULA  ENTRE CELULA Y MEMBRANA BASAL –SUPERFICIE EXTRACELULAR. ACTINA CITOESQUELETO- VINCULINA-TALLINA-  INTEGRINAS ( FIBRONECTINA ) EN LA SUP. EXTRACE. RECEPTORES PARA FIBRONEC.  MUSCULATURA CARDIACA -FASCIA
 
CONTACTOS DE ANCLAJE: DESMOSOMA  UNIONES MUY FUERTES TERCER COMPONENTE COMPLEJO CONTACTO  CADA UNO PUEDE SER INDEPENDIENTE  GRAN FUERZA TRACCION  FILAMENTOS INTERMEDIOS –QUERATINAS—PLACOGLOBINA DESMOPLAQUINA –CADHERINAS –DESMOGLEINA DESMOCOLINA  FORMAN LAZOS
 
 
 
CONTACTOS ANCLAJE: HEMIDESMOSOMAS. MITAD E UN DESMOSOMA SUPERFICIE BASAL  CELULAS EPITELIALES  NO SE FORMAN LAZOS COMO DESMOSOMA FILAMENTOS INTERMEDIOS-QUERATINAS—PLACA DESMOPLAQUINA PLACOGLOBINA--INTEGRINAS
HEMIDESMOSOMA
CONTACTOS DE COMUNICACIÓN :NEXOS  CONTACTO INTERCELULAR EXTENDIDO SOBRE LAS SUPERFICIES LATERALES  TUBOS ENTRE MEMBRANAS CELULARES CONEXONES. CONEXINAS 6 APROX. ACOPLAMIENTOS ELECTRICOS
 
 
CONTACTOS COMUNICACIÒN : SINAPSIS PROCESOS QUIMICOS MEDIANTE EL CUAL EXISTE COMUNICACIÓN Y TRANSMISION DE INFORMACIÒN.
 
 
ESTRUCTURA MEMBRANA BASAL LAMINA BASAL :   LAMINA LUCIDA LAMINA DENSA  LAMINA RETICULAR
MEMBRANA BASAL LAMINA LUCIDA   LAMINA DENSA  :  COLAGENO TIPO IV, PERLECANO, LAMININA, ENTACTINA LAMINA RETICULAR  : COLAGENO TIPO I  Y  TIPO III
 
FIN

Epitelios esculapio

  • 1.
    EPITELIOS DRA . TAMARA LEON
  • 2.
    EPITELIOS CONCEPTO ORIGEN CARACTERISTICAS CLASIFICACION
  • 3.
    CLASIFICACION SIMPLES COMPUESTOS ESPECIALES
  • 4.
    EPITELIOS SIMPLES EPITELIOSIMPLE PLANO EPITELIO SIMPLE CUBICO EPITELIO SIMPLE CILINDRICO
  • 5.
  • 6.
  • 7.
  • 8.
    EPITELIOS ESTRATIFICADOS ESTRATIFICADOPLANO ESTRATIFICADO CILINDRICO ESTRATIFICADO CUBICO
  • 9.
  • 10.
  • 11.
    EPITELIOS ESPECIALES EPITELIOESTRATIFICADO PLANO CON QUERATINA : PIEL , LENGUA , PALADAR, ANO VARIOS ESTRATOS CAPA BASAL, CAPA ESPINOSA, CAPA GRANULOSA, CAPA LUCIDA, CAPA CORNEA, QUERATINA
  • 12.
  • 13.
  • 14.
    EPITELIOS ESPECIALES EPITELIOESTRATIFICADO PLANO SIN QUERATINA LENGUA, ESOFAGO, ANO , MUCOSAS VARIOS ESTRATOS , CAPA BASAL, CAPA POLIEDRICA, CAPA GRANULOSA , MUCINA .
  • 15.
  • 16.
  • 17.
    EPITELIOS ESPECIALES EPITELIOSEUDOESTRATIFICADO CILINDRICO CILIADO CON CELULAS CALICIFORMES VIAS AEREAS, TRAQUEA, LARINGE , BRONQUIOS , TROMPAS FALOPIO, ETC. UN SOLO ESTRATO CC.Y CC
  • 18.
  • 19.
  • 20.
  • 21.
  • 22.
    EPITELIOS ESPECIALES EPITELIODE TRANSICION, MIXTO O POLIMORFO VEJIGA URINARIA, URETERES , VIAS URINARIAS. VARIOS ESTRATOS , CAPA BASAL, CAPA POLIEDRICA , CAPA POLIMORFA, SUPERFICIE CELULAS EN RAQUETA , OJOS DE BUHO
  • 23.
  • 24.
  • 25.
    QUIERES SER MEDICOHIJO MIO? Aspiración es ésta de una alma generosa, de un espíritu ávido de ciencia. Deseas que los hombres te tengan por un Dios que alivia sus males y ahuyenta de ellos el espanto? Has pensado bien en lo que ha de ser tu vida? La mayoría de los ciudadanos pueden , terminada su tarea, aislarse lejos de los inoportunos: tu puerta quedará siempre abierta a todos: vendrán a turbar tu sueño, tus placeres, tu meditación : ya no te pertenecerás
  • 26.
    Los pobres, acostumbradosa padecer, no te llamarán sino en casos de urgencia ; pero los ricos te tratarán como a un esclavo encargado de remediar sus excesos; sea porque tengan una indigestión , sea porque estén acatarrados, harán que te despierten a toda prisa tan pronto como sientan la menor inquietud; habrás de mostrar interés por los detalles más vulgares de su existencia, decidir si han de comer cordero o carnero, si han de andar de tal o cual modo. No podrás ausentarte , ni estar enfermo; tendrás que estar siempre listo para acudir tan pronto como te llame tu amo.
  • 27.
    Tienes fe entu trabajo para conquistarte una reputación? Ten presente que te juzgarán no por tu ciencia, sino por las casualidades del destino, por el corte de tu capa, por la apariencia de tu casa, por el número de tus criados, por la atención que dediques a las charlas y a los gustos de tu clientela.
  • 28.
    Los habrá quedesconfiarán de ti si no vienes del Asia: otros si crees en los dioses, otros si no crees en ellos. Tu vecino el carnicero, el tendero, el zapatero , no te confiarán su clientela si no eres parroquiano suyo; el herborista no te elogiará , sino , en tanto que recetes sus hierbas. Habrás de luchar contra las superticiones de los ignorantes. Te gusta la sencillez? Habrás de adoptar la actitud de un augur. Eres activo, sabes que vale el tiempo?
  • 29.
    No habrás demanifestar fastidio ni impaciencia; tendrás que aguantar relatos que arranquen del principio de los tiempos para explicarte un cólico. Sientes pasión por la verdad? Ya no podrás decirla. Habrás de ocultar a algunos la gravedad de su mal, a otros su insignificancia, pues les molestaría. Habrás de ocultar secretos que posees, consentir en parecer burlado, ignorante, cómplice.
  • 30.
    No te serápermitido dudar nunca, so pena de perder todo el crédito: si no afirmas que conoces la naturaleza de la enfermedad que posees un remedio infalible para curarla, el vulgo irá a charlatanes que venden la mentira que necesita. No cuentes con agradecimiento: cuando el enfermo sana, la curación es debida a su robustez, si muere tú eres el que los has matado. Mientras está en peligro te trata como a un Dios, te suplica, te promete, te colma de halagos, no bien está en convalecencia ya le estorbas; cuando se trata de pagar los cuidados que le has prodigado, se enfada y te denigra.
  • 31.
    Te compadezco sisientes afán por la belleza: verás lo más feo y repugnante que hay en la especie humana: todos tus sentidos serán maltratados. Habrás de pegar tu oído contra el sudor de pechos sucios, respirar el olor de míseras viviendas, los perfumes harto subidos de las cortesanas, palpar tumores, curar llagas verdes de pus, contemplar los orines, escudriñar los esputos, fijar la mirada y tu olfato en inmundicias, meter el dedo en muchos sitios.
  • 32.
    Te llamarán paraun hombre que , molestado por dolores del vientre, te presentará un bacín nauseabundo , diciéndote satisfecho: “ gracias a que he tenido la precaución de no tirarlo”. Recuerda entonces que habrá de parecer interesante mucho aquella deyección. Tu oficio será para ti una túnica de Neso: en la calle, en los banquetes, en el teatro, en tu cama misma, los desconocidos, tus amigos, tus allegados te hablarán de sus males para pedirte un remedio. El mundo te parecerá un vasto hospital, una asamblea de individuos que se quejan.
  • 33.
    Cuando a costade muchos esfuerzos hayas prolongado la existencia de algunos ancianos o de niños deformes, vendrá una guerra que destruirá lo más sano y lo más robusto que hay en la ciudad. Entonces, te encargarán que separes los débiles de los fuertes, para salvar a los débiles y enviar a los fuertes a la muerte. Piénsalo bien mientras estás a tiempo...
  • 34.
    Pero sí ,indiferente a la fortuna, a los placeres, a la ingratitud, si sabiendo que te verás sólo entre las fieras humanas , tienes una alma lo bastante estoica para satisfacerte con el deber cumplido sin ilusiones; si te juzgas pagado lo bastante con la dicha de una madre, con una cara que sonríe porque ya no padece, con la faz de un moribundo a quien ocultas la llegada de la muerte, si ansías conocer al hombre, penetrar todo lo trágico de su destino, entonces hazte médico hijo mío. ESCULAPIO 1936
  • 35.
    MEDIOS DE UNIONCELULARES O CONTACTOS CELULARES SE ENCUENTRAN EN LA MAYOR PARTE DE TEJIDOS O EPITELIOS PROPIAS EPITELIOS CAPAS ADHERENTES CON PERMEABILIDAD SELECTIVA QUE TAMBIÈN SON A LA VEZ BARRERAS MECANICAS MUY FUERTES
  • 36.
    CLASIFICACION CONTACTOSDE ANCLAJE : ZONULA ADHERENS FASCIA ADHERENS DESMOSOMA HEMIDESMOSOMA PROTEINAS DE ADHESION CONTACTOS OCLUYENTES : ZONULA OCLUDENS CONTACTOS DE COMUNICACIÓN NEXOS UNION SINAPSIS
  • 37.
    CONTACTOS OCLUYENTES: ZONULAOCLUDENS LOCALIZACION APICAL ENTRE MEMBRANAS CELULARES EN EL INTERMEDIO OCLUDINA ENGRANAJE A MANERA CIERRE EPITELIOS DE TRANSPORTE
  • 38.
  • 39.
  • 40.
  • 41.
    CONTACTOS ANCLAJE: ZONULAADHERENS ZONULA ALREDEDOR CELULAR CITOESQUELETO ACTINA -PLACAS VINCULINA FIJADAS – CADHERINAS CONTRALATERALES DEPENDIENTES CALCIO DEBAJO DE Z. O.
  • 42.
  • 43.
  • 44.
    CONTACTOS ANCLAJE: FASCIAADHERENS- CONTACTO DE ANCLAJE. PLACA CONTACTO NO INVOLUCRA A TODA LA CELULA ENTRE CELULA Y MEMBRANA BASAL –SUPERFICIE EXTRACELULAR. ACTINA CITOESQUELETO- VINCULINA-TALLINA- INTEGRINAS ( FIBRONECTINA ) EN LA SUP. EXTRACE. RECEPTORES PARA FIBRONEC. MUSCULATURA CARDIACA -FASCIA
  • 45.
  • 46.
    CONTACTOS DE ANCLAJE:DESMOSOMA UNIONES MUY FUERTES TERCER COMPONENTE COMPLEJO CONTACTO CADA UNO PUEDE SER INDEPENDIENTE GRAN FUERZA TRACCION FILAMENTOS INTERMEDIOS –QUERATINAS—PLACOGLOBINA DESMOPLAQUINA –CADHERINAS –DESMOGLEINA DESMOCOLINA FORMAN LAZOS
  • 47.
  • 48.
  • 49.
  • 50.
    CONTACTOS ANCLAJE: HEMIDESMOSOMAS.MITAD E UN DESMOSOMA SUPERFICIE BASAL CELULAS EPITELIALES NO SE FORMAN LAZOS COMO DESMOSOMA FILAMENTOS INTERMEDIOS-QUERATINAS—PLACA DESMOPLAQUINA PLACOGLOBINA--INTEGRINAS
  • 51.
  • 52.
    CONTACTOS DE COMUNICACIÓN:NEXOS CONTACTO INTERCELULAR EXTENDIDO SOBRE LAS SUPERFICIES LATERALES TUBOS ENTRE MEMBRANAS CELULARES CONEXONES. CONEXINAS 6 APROX. ACOPLAMIENTOS ELECTRICOS
  • 53.
  • 54.
  • 55.
    CONTACTOS COMUNICACIÒN :SINAPSIS PROCESOS QUIMICOS MEDIANTE EL CUAL EXISTE COMUNICACIÓN Y TRANSMISION DE INFORMACIÒN.
  • 56.
  • 57.
  • 58.
    ESTRUCTURA MEMBRANA BASALLAMINA BASAL : LAMINA LUCIDA LAMINA DENSA LAMINA RETICULAR
  • 59.
    MEMBRANA BASAL LAMINALUCIDA LAMINA DENSA : COLAGENO TIPO IV, PERLECANO, LAMININA, ENTACTINA LAMINA RETICULAR : COLAGENO TIPO I Y TIPO III
  • 60.
  • 61.