ADAPTACIÓN
ADAPTACIÓN
CELULAR
CELULAR
ADAPTACIÓN CELULAR
ESTRESS
Demanda
funcional
aumentada
Lesión
Celular
reversible
ADAPTACIÓN
Estrés persistente
Leve
Lesión
celular
irreversible
Atrofía
Metaplasia
Displasia?
Almacenamiento
Hipertrofía
Hiperplasia
Desaparición del estrés
Célula normal Necrosis por coagulación
Grave
ATROFIA
Disminución del tamaño de células 
disminuye función de células-función del
órgano.
(estrés sostenido  adaptación )
Causas:
- Isquemia: Disminución de oxigeno, necrosis
isquémica- infartos- oclusión vascular.
- Inflamación crónica (infecciones virales o bacterianas)
 atrofia.
- Disminución de la actividad del músculo esquelético:
reposo prolongado, inanición o nutrición inadecuada.
- Interrupción de las señales tróficas (denervación:
polio)
- Interrupción de las señales hormonales (ablación
glandular)
Ejemplos:
- Hipófisis anulada  TSH – ACTH – FSH insuficientes.
- Disminución de estrógenos: atrofia endometrial.
- Castración: Disminución de testosterona  disminuye
cáncer de próstata.
- Tirosina-- inhibe TSH  disminuye cáncer de tiroides.
- Poliomielitis y paraplejía traumática  atrofia
muscular.
- Humo de cigarrillo  atrofia del epitelio respiratorio
- Insuficiencia cardiaca aumenta presión de los
sinusoides hepáticos  atrofia de células del centro del
lobulillo.
- Atrofia senil. Disminución del tamaño de los
órganos, envejecimiento “fisiológico”
- Atrofia de la médula ósea: anemia aplásica.
- Atrofia generalizada- caquexia – cáncer –
hipopituitarismo (envejecimiento precoz).
Mecanismos
Mecanismos
 Disminución de la síntesis
Disminución de la síntesis
 Mecanismos endocíticos: vacuolas autofágicas.
Mecanismos endocíticos: vacuolas autofágicas.
Gránulos de lipofuscina que cuando alcanzan una
Gránulos de lipofuscina que cuando alcanzan una
cantidad suficiente hace que el órgano adquiera un
cantidad suficiente hace que el órgano adquiera un
color marrón. (atrofia parda, corazón y cerebro)
color marrón. (atrofia parda, corazón y cerebro)
 Vía proteasomas: proteólisis acelerada
Vía proteasomas: proteólisis acelerada
ATROFIA
ATROFIA
Atrofia muscular
Atrofia muscular
(Tricrómico) 1
(Tricrómico) 1
adelgazamiento de las
adelgazamiento de las
fibras musculares y
fibras musculares y
reemplazo por
reemplazo por
colágeno maduro (azul.
colágeno maduro (azul.
ATROFIA
ATROFIA
Atrofia glandular
Atrofia glandular
prostática:
prostática: epitelio
epitelio
glandular prostático
glandular prostático
aplanado, (H&E).
aplanado, (H&E).
Atrophy of the brain
Proliferative endometrium
Atrophic endometrium
HIPERTROFIA
HIPERTROFIA
- Aumento del tamaño de un órgano o tejido por
aumento del tamaño celular y aumento de su
función.
- Aumento de componentes celulares y estructurales.
- El Útero es receptor estrogénico en el músculo liso:
proteína y ADN: hipertrofia fisiológica.
- Músculo estriado y cardiaco: mayor capacidad de
hipertrofia.
- Aumento de síntesis de proteínas y miofilamentos.
- Demanda funcional aumentada. Músculos,
hipertrofía cardiaca por hipertensión, hepatocitos
(aumento de REL por estímulo de fenobarbital y
drogas hipolipemiantes)- hepatomegalia fisiológica
- Hipertrofia del riñón contralateral.
- Más frecuentes en tejidos pemanentes y
estables.
- Hipertrofia fisiológica (funcional): las hormonas
Hipertrofia fisiológica (funcional): las hormonas
sexuales en la pubertad conduce a la hipertrofia de
sexuales en la pubertad conduce a la hipertrofia de
los órganos sexuales juveniles. En el embarazo, la
los órganos sexuales juveniles. En el embarazo, la
prolactina y los estrógenos produce hipertrofia
prolactina y los estrógenos produce hipertrofia
mamaria. Bocio: la TSH produce hipertrofia de las
mamaria. Bocio: la TSH produce hipertrofia de las
células foliculares de la tiroides
células foliculares de la tiroides
Patogénesis de la hipertrofia
Patogénesis de la hipertrofia
 Un estímulo induce a la activación de los
Un estímulo induce a la activación de los
protooncogenes, lo que da lugar al aumento de
protooncogenes, lo que da lugar al aumento de
factores de transcripción en la síntesis de ARN y
factores de transcripción en la síntesis de ARN y
ADN (que es la causa de la poliploidía nuclear)
ADN (que es la causa de la poliploidía nuclear)
Cell Injury
Cell Injury
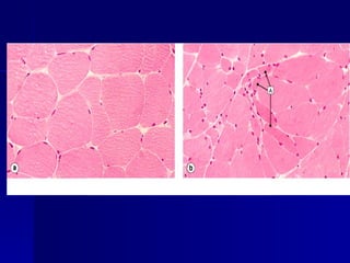
Hypertrophy - gross
Hypertrophy - gross
Cell Injury
Cell Injury
Hypertrophy - micro
Hypertrophy - micro
Myocardial hypertrophy
HIPERPLASIA
HIPERPLASIA
 Constituye el incremento del número de células de
Constituye el incremento del número de células de
un órgano o tejido.
un órgano o tejido.
 Habitualmente se acompaña de hipertrofia.
Habitualmente se acompaña de hipertrofia.
 Se produce únicamente en las células capaces de
Se produce únicamente en las células capaces de
sintetizar ADN (células epiteliales, hematopoyéticas
sintetizar ADN (células epiteliales, hematopoyéticas
y de l tejido conjuntivo)
y de l tejido conjuntivo)
Tipos de hiperplasia
Tipos de hiperplasia
HIPERPLASIA FISIOLÓGICA
 Estimulación hormonal
 Compensadora
MECANISMOS: Acción combinada de factores de crecimiento α,
citocinas (TNF α e IL 6). Las células deben ser estimuladas
por acción de mitógenos. La norepinefrina y la insulina
potencian los efectos de los factores de crecimiento y de las
citocinas. La interrupción del crecimento se debe a la acción
de factores inhibidores del crecimiento β.
HIPERPLASIA PATOLÓGICA
HIPERPLASIA PATOLÓGICA
 Estimulación hormonal excesiva
Estimulación hormonal excesiva
 Producción local de factores de crecimiento que
Producción local de factores de crecimiento que
actúan sobre la célula diana (verrugas)
actúan sobre la célula diana (verrugas)
 Desaparece cuando el estímulo desaparece.
Desaparece cuando el estímulo desaparece.
 La hiperplasia atípica puede producir una
La hiperplasia atípica puede producir una
proliferación neoplásica en cérvix y endometrio
proliferación neoplásica en cérvix y endometrio
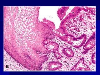
METAPLASIA
METAPLASIA
METAPLASIA
 Es una alteración reversible en la que un tipo
Es una alteración reversible en la que un tipo
celular maduro es sustituido por otro (epitelial o
celular maduro es sustituido por otro (epitelial o
mesenquimatoso)
mesenquimatoso)
 Ejemplos: metaplasia escamosa, Esófago de Barret.
Ejemplos: metaplasia escamosa, Esófago de Barret.
 Los fibroblastos pueden transformarse en
Los fibroblastos pueden transformarse en
osteoblastos o condroblastos.
osteoblastos o condroblastos.
 Existe una reprogramación genética en las células
Existe una reprogramación genética en las células
mesenquimatosas indiferenciadas de los epitelios
mesenquimatosas indiferenciadas de los epitelios
por citocinas, factores de crecimiento.
por citocinas, factores de crecimiento.
1. Metaplasias epiteliales:
Metaplasia epitelial escamosa: mucosas, conductos,
bronquios, cervix, endometrio y próstata.
Metaplasia epitelial apocrina: glándulas exocrinas de
la mama.
Metaplasia intestinal: En las gastritis y colecistitis
crónicas y esófago de Barrett.
Metaplasia antral: En la vesícula biliar y cuerpo
gástrico.
2. Metaplasias mesenquimales:
Metaplasia cartilaginosa: En cicatrices y en
seudoartrosis.
Metaplasia ósea: En cicatrices, tuberculosis y en post-
traumatismos.
Las metaplasias tienen un remoto carácter
premaligno por:
1. Las mismas causas pueden producir metaplasias y
tumores.
2. Sobre áreas de metaplasia aparecen con frecuencia
displasias y carcinomas.
3. Algunos tumores solo aparecen sobre tejidos
metaplásicos.
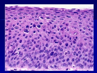
DISPLASIA
DISPLASIA
DISPLASIA
 Es la alteración citológica y arquitectural de un tejido.
Es la alteración citológica y arquitectural de un tejido.
 Indica: 1) Variaciones del tamaño y forma de las
Indica: 1) Variaciones del tamaño y forma de las
células. 2) Aumento, irregularidad e hipercromatismo
células. 2) Aumento, irregularidad e hipercromatismo
de los núcleos y 3) Disposición desordenada de las
de los núcleos y 3) Disposición desordenada de las
células en el epitelio
células en el epitelio
 Es una lesión preneoplásica
Es una lesión preneoplásica
 Representa la expresión morfológica de la alteración
Representa la expresión morfológica de la alteración
de la regulación del crecimiento
de la regulación del crecimiento
- En la displasia del epitelio escamoso (pavimentoso
o espinoso), hay alteración de la polaridad de las
células del tercio inferior hasta el tercio superior
según se trate de la displasia leve, moderada o
severa, respectivamente.
- La displasia es una lesión reversible pero cuanto
más grave, mayor es su semejanza con el
carcinoma.
Anatomy of the cervix
Anatomía patológica, tema: Adaptación celular

Anatomía patológica, tema: Adaptación celular

  • 1.
  • 3.
  • 4.
  • 5.
    Disminución del tamañode células  disminuye función de células-función del órgano. (estrés sostenido  adaptación )
  • 6.
    Causas: - Isquemia: Disminuciónde oxigeno, necrosis isquémica- infartos- oclusión vascular. - Inflamación crónica (infecciones virales o bacterianas)  atrofia. - Disminución de la actividad del músculo esquelético: reposo prolongado, inanición o nutrición inadecuada. - Interrupción de las señales tróficas (denervación: polio) - Interrupción de las señales hormonales (ablación glandular)
  • 7.
    Ejemplos: - Hipófisis anulada TSH – ACTH – FSH insuficientes. - Disminución de estrógenos: atrofia endometrial. - Castración: Disminución de testosterona  disminuye cáncer de próstata. - Tirosina-- inhibe TSH  disminuye cáncer de tiroides. - Poliomielitis y paraplejía traumática  atrofia muscular. - Humo de cigarrillo  atrofia del epitelio respiratorio - Insuficiencia cardiaca aumenta presión de los sinusoides hepáticos  atrofia de células del centro del lobulillo.
  • 8.
    - Atrofia senil.Disminución del tamaño de los órganos, envejecimiento “fisiológico” - Atrofia de la médula ósea: anemia aplásica. - Atrofia generalizada- caquexia – cáncer – hipopituitarismo (envejecimiento precoz).
  • 9.
    Mecanismos Mecanismos  Disminución dela síntesis Disminución de la síntesis  Mecanismos endocíticos: vacuolas autofágicas. Mecanismos endocíticos: vacuolas autofágicas. Gránulos de lipofuscina que cuando alcanzan una Gránulos de lipofuscina que cuando alcanzan una cantidad suficiente hace que el órgano adquiera un cantidad suficiente hace que el órgano adquiera un color marrón. (atrofia parda, corazón y cerebro) color marrón. (atrofia parda, corazón y cerebro)  Vía proteasomas: proteólisis acelerada Vía proteasomas: proteólisis acelerada
  • 12.
    ATROFIA ATROFIA Atrofia muscular Atrofia muscular (Tricrómico)1 (Tricrómico) 1 adelgazamiento de las adelgazamiento de las fibras musculares y fibras musculares y reemplazo por reemplazo por colágeno maduro (azul. colágeno maduro (azul.
  • 13.
    ATROFIA ATROFIA Atrofia glandular Atrofia glandular prostática: prostática:epitelio epitelio glandular prostático glandular prostático aplanado, (H&E). aplanado, (H&E).
  • 15.
  • 16.
  • 19.
  • 20.
    HIPERTROFIA - Aumento deltamaño de un órgano o tejido por aumento del tamaño celular y aumento de su función. - Aumento de componentes celulares y estructurales. - El Útero es receptor estrogénico en el músculo liso: proteína y ADN: hipertrofia fisiológica. - Músculo estriado y cardiaco: mayor capacidad de hipertrofia. - Aumento de síntesis de proteínas y miofilamentos.
  • 21.
    - Demanda funcionalaumentada. Músculos, hipertrofía cardiaca por hipertensión, hepatocitos (aumento de REL por estímulo de fenobarbital y drogas hipolipemiantes)- hepatomegalia fisiológica - Hipertrofia del riñón contralateral. - Más frecuentes en tejidos pemanentes y estables.
  • 22.
    - Hipertrofia fisiológica(funcional): las hormonas Hipertrofia fisiológica (funcional): las hormonas sexuales en la pubertad conduce a la hipertrofia de sexuales en la pubertad conduce a la hipertrofia de los órganos sexuales juveniles. En el embarazo, la los órganos sexuales juveniles. En el embarazo, la prolactina y los estrógenos produce hipertrofia prolactina y los estrógenos produce hipertrofia mamaria. Bocio: la TSH produce hipertrofia de las mamaria. Bocio: la TSH produce hipertrofia de las células foliculares de la tiroides células foliculares de la tiroides
  • 23.
    Patogénesis de lahipertrofia Patogénesis de la hipertrofia  Un estímulo induce a la activación de los Un estímulo induce a la activación de los protooncogenes, lo que da lugar al aumento de protooncogenes, lo que da lugar al aumento de factores de transcripción en la síntesis de ARN y factores de transcripción en la síntesis de ARN y ADN (que es la causa de la poliploidía nuclear) ADN (que es la causa de la poliploidía nuclear)
  • 26.
    Cell Injury Cell Injury Hypertrophy- gross Hypertrophy - gross
  • 28.
    Cell Injury Cell Injury Hypertrophy- micro Hypertrophy - micro
  • 30.
  • 32.
  • 33.
    HIPERPLASIA  Constituye elincremento del número de células de Constituye el incremento del número de células de un órgano o tejido. un órgano o tejido.  Habitualmente se acompaña de hipertrofia. Habitualmente se acompaña de hipertrofia.  Se produce únicamente en las células capaces de Se produce únicamente en las células capaces de sintetizar ADN (células epiteliales, hematopoyéticas sintetizar ADN (células epiteliales, hematopoyéticas y de l tejido conjuntivo) y de l tejido conjuntivo)
  • 34.
    Tipos de hiperplasia Tiposde hiperplasia HIPERPLASIA FISIOLÓGICA  Estimulación hormonal  Compensadora MECANISMOS: Acción combinada de factores de crecimiento α, citocinas (TNF α e IL 6). Las células deben ser estimuladas por acción de mitógenos. La norepinefrina y la insulina potencian los efectos de los factores de crecimiento y de las citocinas. La interrupción del crecimento se debe a la acción de factores inhibidores del crecimiento β.
  • 35.
    HIPERPLASIA PATOLÓGICA HIPERPLASIA PATOLÓGICA Estimulación hormonal excesiva Estimulación hormonal excesiva  Producción local de factores de crecimiento que Producción local de factores de crecimiento que actúan sobre la célula diana (verrugas) actúan sobre la célula diana (verrugas)  Desaparece cuando el estímulo desaparece. Desaparece cuando el estímulo desaparece.  La hiperplasia atípica puede producir una La hiperplasia atípica puede producir una proliferación neoplásica en cérvix y endometrio proliferación neoplásica en cérvix y endometrio
  • 37.
  • 38.
    METAPLASIA METAPLASIA  Es unaalteración reversible en la que un tipo Es una alteración reversible en la que un tipo celular maduro es sustituido por otro (epitelial o celular maduro es sustituido por otro (epitelial o mesenquimatoso) mesenquimatoso)  Ejemplos: metaplasia escamosa, Esófago de Barret. Ejemplos: metaplasia escamosa, Esófago de Barret.  Los fibroblastos pueden transformarse en Los fibroblastos pueden transformarse en osteoblastos o condroblastos. osteoblastos o condroblastos.  Existe una reprogramación genética en las células Existe una reprogramación genética en las células mesenquimatosas indiferenciadas de los epitelios mesenquimatosas indiferenciadas de los epitelios por citocinas, factores de crecimiento. por citocinas, factores de crecimiento.
  • 39.
    1. Metaplasias epiteliales: Metaplasiaepitelial escamosa: mucosas, conductos, bronquios, cervix, endometrio y próstata. Metaplasia epitelial apocrina: glándulas exocrinas de la mama. Metaplasia intestinal: En las gastritis y colecistitis crónicas y esófago de Barrett. Metaplasia antral: En la vesícula biliar y cuerpo gástrico.
  • 40.
    2. Metaplasias mesenquimales: Metaplasiacartilaginosa: En cicatrices y en seudoartrosis. Metaplasia ósea: En cicatrices, tuberculosis y en post- traumatismos.
  • 41.
    Las metaplasias tienenun remoto carácter premaligno por: 1. Las mismas causas pueden producir metaplasias y tumores. 2. Sobre áreas de metaplasia aparecen con frecuencia displasias y carcinomas. 3. Algunos tumores solo aparecen sobre tejidos metaplásicos.
  • 44.
  • 45.
    DISPLASIA DISPLASIA  Es laalteración citológica y arquitectural de un tejido. Es la alteración citológica y arquitectural de un tejido.  Indica: 1) Variaciones del tamaño y forma de las Indica: 1) Variaciones del tamaño y forma de las células. 2) Aumento, irregularidad e hipercromatismo células. 2) Aumento, irregularidad e hipercromatismo de los núcleos y 3) Disposición desordenada de las de los núcleos y 3) Disposición desordenada de las células en el epitelio células en el epitelio  Es una lesión preneoplásica Es una lesión preneoplásica  Representa la expresión morfológica de la alteración Representa la expresión morfológica de la alteración de la regulación del crecimiento de la regulación del crecimiento
  • 46.
    - En ladisplasia del epitelio escamoso (pavimentoso o espinoso), hay alteración de la polaridad de las células del tercio inferior hasta el tercio superior según se trate de la displasia leve, moderada o severa, respectivamente. - La displasia es una lesión reversible pero cuanto más grave, mayor es su semejanza con el carcinoma.
  • 47.