ALTERACIÓN DEL
CRECIMIENTO Y DE LA
DIFERENCIACIÓN
CELULAR
ADAPTACION CELULAR
El aumento de la demanda
funcional sobre un tejido puede
compensarse mediante el
aumento en el número de células
(Hiperplasia) o del tamaño celular
(Hipertrofia).
LAS CELULAS SON UNIDADES ADAPTABLES
Las células se adaptan a cambios tolerables de
su entorno modificando su metabolismo
(adaptación metabólica fisiológica) o patrón de
crecimiento
 Las células están constantemente expuestas a
cambios de su entorno. (Proceso fisiológicos
normales y cambios ambientales externos)
ADAPTACIONES
ESTRUCTURALES FISIOLOGICAS
 Aumento de la actividad celular
 Disminución de la actividad celular
 Alteración de la morfología celular
CAMBIOS EN EL PATRÓN DE
CRECIMIENTO DE LAS CELULAS
Cambios en el
tamaño celular
Cambio en el
número de células
Cambio en la
diferenciación celular
Atrofia
Hipertrofia
Hiperplasia Metaplasia
Displasia
Hiperplasia:
- Aumento del número de células de un tejido u
órgano.
- Se produce en células que se dividen.
- Pueden ser secundarias a hipertrofias.
- Clasificación:
1) Fisiológica ( Hormonal o Compensadora)
2) Patológica
Hiperplasia Fisiológica
a) Hormonal: Las hormonas actúan como factor de
crecimiento y desencadenan la trascripción de diversos
genes.
b) Compensadora: Se produce por proliferación de las
células restantes o proliferación de nuevas células a partir
de células madres.
Hiperplasia:
Mecanismo de hiperplasia fisiológica:
1. Aumento de factores de crecimiento.
2. Aumento de los receptores de los factores de crecimiento.
3. Activación de la vía de señalización intracelular.
4. Factores de transcripción que activan a los genes de
proliferación celular (genes de factores de crecimiento y
genes del ciclo celular)
FC
Activación Genes de
proliferación celular
Aumento de factores de crecimiento
Aumento de los receptores de
los factores de crecimiento
Activación de la vía de
señalización intracelular
Hiperplasia Patológica
a) Estímulos hormonales excesivos
(endometrio)
b) Factores de crecimiento que actúan sobre células
dianas
HIPERPLASIA
DE PRÓSTATA
HIPERPLASIA ENDOMETRIAL
Aumento del tamaño celular, lo que da lugar al
aumento de tamaño del órgano.
Se produce en células que no se dividen.
Hipertrofia
Ortológica Patológica
H.M.A Miometrio H. de trabajo H. Endocrina H. Ideopática
MECANISMO:
Inducción del número de genes.
Estimulan la síntesis de numerosas proteínas
celulares
Dra. Carmen Beltrame/07
Atrofia
Disminución del tamaño celular (puede ser reversible)
a) Fisiológica: Timo-Ovario.
b) Patológica: 1) Disminución de la función
2) Compresión
3) Disminución de la irrigación
4) Denervación
5) Nutrición
6) Hormonal
7) Senil
ATROFIA
MECANISMO:
 Desequilibrio entre síntesis y degradación de
proteínas.
Aumento de la degradación:
Lisosomas
Vacuolas autofágicas
Gránulos de lipofucsina
Dra. Carmen Beltrame/07
ATROFIA
TESTICULAR
ATROFIA CEREBRAL
La diferenciación celular es la emergencia de células
fenotípicamente distintas a partir de un
precursor genotípico común, por expresión
selectiva de los genes.
Existen tres tipos diferentes de alteración en la
diferenciación celular: Metaplasia – Displasia –
Anaplasia.
METAPLASIA
Es un cambio reversible por el cual
una célula de tipo adulto (epitelial o
mesenquimática) se sustituye por otra
de tipo celular adulto
Fenómeno de adaptación
ADAPTACION CELULAR DE
DIFERENCIACIÓN
Metaplasia de
cuello uterino
Metaplasia en
esófago
Causas de Metaplasia
a) Irritación. Ejemplos: la litiasis en la metaplasia pavimentosa del urotelio. El
reflujo de jugo gástrico ácido en la metaplasia glandular del esófago.
b) Sustancias químicas. Ejemplos: metaplasia bronquial en los fumadores; la
administración de nitrosamina en animales de experimentación determina la
diferenciación de las células acinares pancreáticas hacia hepatocitos. El
exceso de vitamina A en la dieta produce metaplasia mucosa del epitelio
pavimentoso de la bolsa de la mejilla del hámster.
c) Estrógenos: un exceso de estrógenos produce metaplasia pavimentosa del
epitelio cilíndrico del endocérvix y de la próstata.
d) Déficit de vitamina A: produce metaplasia pavimentosa en epitelios de la
nariz, bronquios, epitelios secretores de glándulas lacrimales y salivales.
METAPLASIA DE TEJIDO
CONECTIVO O MESENQUIMÁTICA
Es la formación de hueso, cartílago o
tejido adiposo en tejidos que
normalmente no contienen esos
elementos
METAPLASIA ÓSEA EN EL TRACTO
GASTROINTESTINAL
Adenomas tubulovellosos
Adenocarcinoma colorectal
Carcinoide gástrico
Esófago de Barrett
METAPLASIA OSEA EN TUBO
DIGESTIVO
Células tumorales segregan sustancias que
estimulan la formación ósea.
En las neoplasias benignas se relaciona a la
hipoxia.
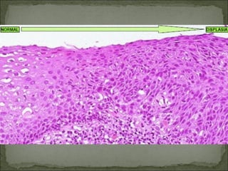
B) Displasia:.-Anormalidad en el aspecto de las
células. Existen diversos grados de acuerdo a
la discariosis, hipercromasia, e irregularidad
nuclear.
C) Anaplasia: El cambio tisular es a un tejido del
mismo tipo pero totalmente inmaduro, con
diversos grados de diferenciación e
irreversible.
Durante el desarrollo de los órganos y tejidos, se
producen con alguna frecuencia lesiones
conocidas como
“ ANOMALÍAS CONGÉNITAS”.
Causas Genéticas: Por alteración intrínseca del genoma,
que puede expresarse como un trastorno metabólico
usualmente ligado a la carencia de una enzima por un
gen defectuoso o por una alteración cromosómica.
Agentes Físicos: Radiaciones ionizantes.
Agentes Químicos: Antimetabolitos, drogas etc.
Agentes Biológicos: Virus (rubéola, influenza).
Carenciales (vitaminas).
Formación de la masa
celular embrionaria
Diferenciación a tejidos
específicos de órgano
Organización estructural
de los tejidos en un
órgano
Crecimiento de un órgano hasta
el tamaño normal
Órgano normal
AGENESIA
HIPOPLASIA
APLASIA
DISGENESIA
 Agenesia: Falta total del órgano.
 Aplasia: Existe esbozo rudimentario del órgano
 (ej. Anencefalia).
 Hipoplasia: Deficiente desarrollo -Función
insuficiente. (ej. Hipoplasia uterina).
 Atresia: Insuficiente desarrollo de un órgano
tubular u orificio (ej. Atresia de la válvula aórtica –
Atresia duodenal o esofágica).
 Ectopia: Cambio de lugar de un órgano
(ej. Ectopia cordis).
 Heterotopia: Fragmento de tejido fuera de lugar (ej.
Tejido pancreático o mucosa gástrica heterotopica).
Adaptaciones celulares modificado
Adaptaciones celulares modificado

Adaptaciones celulares modificado

  • 1.
    ALTERACIÓN DEL CRECIMIENTO YDE LA DIFERENCIACIÓN CELULAR
  • 5.
    ADAPTACION CELULAR El aumentode la demanda funcional sobre un tejido puede compensarse mediante el aumento en el número de células (Hiperplasia) o del tamaño celular (Hipertrofia).
  • 6.
    LAS CELULAS SONUNIDADES ADAPTABLES Las células se adaptan a cambios tolerables de su entorno modificando su metabolismo (adaptación metabólica fisiológica) o patrón de crecimiento  Las células están constantemente expuestas a cambios de su entorno. (Proceso fisiológicos normales y cambios ambientales externos)
  • 7.
    ADAPTACIONES ESTRUCTURALES FISIOLOGICAS  Aumentode la actividad celular  Disminución de la actividad celular  Alteración de la morfología celular
  • 8.
    CAMBIOS EN ELPATRÓN DE CRECIMIENTO DE LAS CELULAS Cambios en el tamaño celular Cambio en el número de células Cambio en la diferenciación celular Atrofia Hipertrofia Hiperplasia Metaplasia Displasia
  • 9.
    Hiperplasia: - Aumento delnúmero de células de un tejido u órgano. - Se produce en células que se dividen. - Pueden ser secundarias a hipertrofias. - Clasificación: 1) Fisiológica ( Hormonal o Compensadora) 2) Patológica
  • 10.
    Hiperplasia Fisiológica a) Hormonal:Las hormonas actúan como factor de crecimiento y desencadenan la trascripción de diversos genes. b) Compensadora: Se produce por proliferación de las células restantes o proliferación de nuevas células a partir de células madres.
  • 11.
    Hiperplasia: Mecanismo de hiperplasiafisiológica: 1. Aumento de factores de crecimiento. 2. Aumento de los receptores de los factores de crecimiento. 3. Activación de la vía de señalización intracelular. 4. Factores de transcripción que activan a los genes de proliferación celular (genes de factores de crecimiento y genes del ciclo celular)
  • 12.
    FC Activación Genes de proliferacióncelular Aumento de factores de crecimiento Aumento de los receptores de los factores de crecimiento Activación de la vía de señalización intracelular
  • 13.
    Hiperplasia Patológica a) Estímuloshormonales excesivos (endometrio) b) Factores de crecimiento que actúan sobre células dianas
  • 14.
  • 15.
  • 17.
    Aumento del tamañocelular, lo que da lugar al aumento de tamaño del órgano. Se produce en células que no se dividen.
  • 18.
    Hipertrofia Ortológica Patológica H.M.A MiometrioH. de trabajo H. Endocrina H. Ideopática
  • 19.
    MECANISMO: Inducción del númerode genes. Estimulan la síntesis de numerosas proteínas celulares
  • 20.
  • 22.
    Atrofia Disminución del tamañocelular (puede ser reversible) a) Fisiológica: Timo-Ovario. b) Patológica: 1) Disminución de la función 2) Compresión 3) Disminución de la irrigación 4) Denervación 5) Nutrición 6) Hormonal 7) Senil
  • 23.
    ATROFIA MECANISMO:  Desequilibrio entresíntesis y degradación de proteínas. Aumento de la degradación: Lisosomas Vacuolas autofágicas Gránulos de lipofucsina
  • 24.
  • 26.
  • 32.
    La diferenciación celulares la emergencia de células fenotípicamente distintas a partir de un precursor genotípico común, por expresión selectiva de los genes. Existen tres tipos diferentes de alteración en la diferenciación celular: Metaplasia – Displasia – Anaplasia.
  • 33.
    METAPLASIA Es un cambioreversible por el cual una célula de tipo adulto (epitelial o mesenquimática) se sustituye por otra de tipo celular adulto Fenómeno de adaptación ADAPTACION CELULAR DE DIFERENCIACIÓN
  • 42.
  • 43.
    Causas de Metaplasia a)Irritación. Ejemplos: la litiasis en la metaplasia pavimentosa del urotelio. El reflujo de jugo gástrico ácido en la metaplasia glandular del esófago. b) Sustancias químicas. Ejemplos: metaplasia bronquial en los fumadores; la administración de nitrosamina en animales de experimentación determina la diferenciación de las células acinares pancreáticas hacia hepatocitos. El exceso de vitamina A en la dieta produce metaplasia mucosa del epitelio pavimentoso de la bolsa de la mejilla del hámster. c) Estrógenos: un exceso de estrógenos produce metaplasia pavimentosa del epitelio cilíndrico del endocérvix y de la próstata. d) Déficit de vitamina A: produce metaplasia pavimentosa en epitelios de la nariz, bronquios, epitelios secretores de glándulas lacrimales y salivales.
  • 44.
    METAPLASIA DE TEJIDO CONECTIVOO MESENQUIMÁTICA Es la formación de hueso, cartílago o tejido adiposo en tejidos que normalmente no contienen esos elementos
  • 48.
    METAPLASIA ÓSEA ENEL TRACTO GASTROINTESTINAL Adenomas tubulovellosos Adenocarcinoma colorectal Carcinoide gástrico Esófago de Barrett
  • 49.
    METAPLASIA OSEA ENTUBO DIGESTIVO Células tumorales segregan sustancias que estimulan la formación ósea. En las neoplasias benignas se relaciona a la hipoxia.
  • 52.
    B) Displasia:.-Anormalidad enel aspecto de las células. Existen diversos grados de acuerdo a la discariosis, hipercromasia, e irregularidad nuclear. C) Anaplasia: El cambio tisular es a un tejido del mismo tipo pero totalmente inmaduro, con diversos grados de diferenciación e irreversible.
  • 65.
    Durante el desarrollode los órganos y tejidos, se producen con alguna frecuencia lesiones conocidas como “ ANOMALÍAS CONGÉNITAS”. Causas Genéticas: Por alteración intrínseca del genoma, que puede expresarse como un trastorno metabólico usualmente ligado a la carencia de una enzima por un gen defectuoso o por una alteración cromosómica. Agentes Físicos: Radiaciones ionizantes. Agentes Químicos: Antimetabolitos, drogas etc. Agentes Biológicos: Virus (rubéola, influenza). Carenciales (vitaminas).
  • 66.
    Formación de lamasa celular embrionaria Diferenciación a tejidos específicos de órgano Organización estructural de los tejidos en un órgano Crecimiento de un órgano hasta el tamaño normal Órgano normal AGENESIA HIPOPLASIA APLASIA DISGENESIA
  • 67.
     Agenesia: Faltatotal del órgano.  Aplasia: Existe esbozo rudimentario del órgano  (ej. Anencefalia).  Hipoplasia: Deficiente desarrollo -Función insuficiente. (ej. Hipoplasia uterina).  Atresia: Insuficiente desarrollo de un órgano tubular u orificio (ej. Atresia de la válvula aórtica – Atresia duodenal o esofágica).  Ectopia: Cambio de lugar de un órgano (ej. Ectopia cordis).  Heterotopia: Fragmento de tejido fuera de lugar (ej. Tejido pancreático o mucosa gástrica heterotopica).