ADAPTACIÓNADAPTACIÓN
CELULARCELULAR
U.N.AU.N.A
PATOLOGÍA GENERALPATOLOGÍA GENERAL
MEDICINAMEDICINA
FÉLIX PAÚL GARNICA ALATAFÉLIX PAÚL GARNICA ALATA
ADAPTACIÓN CELULAR
ESTRESS
Demanda
funcional
aumentada
Lesión
Celular
reversible
ADAPTACIÓN
Estrés
persistente
Leve
Lesión
celular
irreversible
Atrofía
Metaplasi
a
Displasia?
Almacenamient
o
Hipertrofía
Hiperplasi
a
Desaparición del estrés
Célula normal Necrosis por coagulación
Grave
ATROFIA
Disminución del tamaño de células 
disminuye función de células-función del
órgano.
(estrés sostenido  adaptación )
Causas:
- Isquemia: Disminución de oxigeno, necrosis
isquémica- infartos- oclusión vascular.
- Inflamación crónica (infecciones virales o bacterianas)
 atrofia.
- Disminución de la actividad del músculo esquelético:
reposo prolongado, inanición o nutrición inadecuada.
- Interrupción de las señales tróficas (denervación:
polio)
- Interrupción de las señales hormonales (ablación
glandular)
Ejemplos:
- Hipófisis anulada  TSH – ACTH – FSH insuficientes.
- Disminución de estrógenos: atrofia endometrial.
- Castración: Disminución de testosterona  disminuye
cáncer de próstata.
- Tirosina-- inhibe TSH  disminuye cáncer de tiroides.
- Poliomielitis y paraplejía traumática  atrofia muscular.
- Humo de cigarrillo  atrofia del epitelio respiratorio
- Insuficiencia cardiaca aumenta presión de los
sinusoides hepáticos  atrofia de células del centro
del lobulillo.
- Atrofia senil. Disminución del tamaño de los
órganos, envejecimiento “fisiológico”
- Atrofia de la médula ósea: anemia aplásica.
- Atrofia generalizada- caquexia – cáncer –
hipopituitarismo (envejecimiento precoz).
MecanismosMecanismos
 Disminución de la síntesisDisminución de la síntesis
 Mecanismos endocíticos: vacuolas autofágicas.Mecanismos endocíticos: vacuolas autofágicas.
Gránulos de lipofuscina que cuando alcanzan unaGránulos de lipofuscina que cuando alcanzan una
cantidad suficiente hace que el órgano adquiera uncantidad suficiente hace que el órgano adquiera un
color marrón. (atrofia parda, corazón y cerebro)color marrón. (atrofia parda, corazón y cerebro)
 Vía proteasomas: proteólisis aceleradaVía proteasomas: proteólisis acelerada
ATROFIAATROFIA
Atrofia muscularAtrofia muscular
(Tricrómico) 1(Tricrómico) 1
adelgazamiento de lasadelgazamiento de las
fibras musculares  yfibras musculares  y
reemplazo porreemplazo por
colágeno madurocolágeno maduro
(azul.(azul.
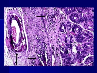
ATROFIAATROFIA
Atrofia glandularAtrofia glandular
prostática:prostática: epitelioepitelio
glandular  prostáticoglandular  prostático
aplanado, (H&E).aplanado, (H&E).
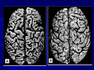
Atrophy of the brain
Proliferative endometrium
Atrophic endometrium
HIPERTROFI
A
HIPERTROFIA
- Aumento del tamaño de un órgano o tejido por
aumento del tamaño celular y aumento de su
función.
- Aumento de componentes celulares y estructurales.
- El Útero es receptor estrogénico en el músculo liso:
proteína y ADN: hipertrofia fisiológica.
- Músculo estriado y cardiaco: mayor capacidad de
hipertrofia.
- Aumento de síntesis de proteínas y miofilamentos.
- Demanda funcional aumentada. Músculos,
hipertrofía cardiaca por hipertensión, hepatocitos
(aumento de REL por estímulo de fenobarbital y
drogas hipolipemiantes)- hepatomegalia fisiológica
- Hipertrofia del riñón contralateral.
- Más frecuentes en tejidos pemanentes y
estables.
- Hipertrofia fisiológica (funcional): las hormonasHipertrofia fisiológica (funcional): las hormonas
sexuales en la pubertad conduce a la hipertrofia desexuales en la pubertad conduce a la hipertrofia de
los órganos sexuales juveniles. En el embarazo, lalos órganos sexuales juveniles. En el embarazo, la
prolactina y los estrógenos produce hipertrofiaprolactina y los estrógenos produce hipertrofia
mamaria. Bocio: la TSH produce hipertrofia de lasmamaria. Bocio: la TSH produce hipertrofia de las
células foliculares de la tiroidescélulas foliculares de la tiroides
Patogénesis de la hipertrofiaPatogénesis de la hipertrofia
 Un estímulo induce a la activación de losUn estímulo induce a la activación de los
protooncogenes, lo que da lugar al aumento deprotooncogenes, lo que da lugar al aumento de
factores de transcripción en la síntesis de ARN yfactores de transcripción en la síntesis de ARN y
ADN (que es la causa de la poliploidía nuclear)ADN (que es la causa de la poliploidía nuclear)
Cell InjuryCell Injury
Hypertrophy - grossHypertrophy - gross
Cell InjuryCell Injury
Hypertrophy - microHypertrophy - micro
Myocardial hypertrophy
HIPERPLASI
A
HIPERPLASIA
 Constituye el incremento del número de células deConstituye el incremento del número de células de
un órgano o tejido.un órgano o tejido.
 Habitualmente se acompaña de hipertrofia.Habitualmente se acompaña de hipertrofia.
 Se produce únicamente en las células capaces deSe produce únicamente en las células capaces de
sintetizar ADN (células epiteliales, hematopoyéticassintetizar ADN (células epiteliales, hematopoyéticas
y de l tejido conjuntivo)y de l tejido conjuntivo)
Tipos de hiperplasiaTipos de hiperplasia
HIPERPLASIA FISIOLÓGICA
 Estimulación hormonal
 Compensadora
MECANISMOS: Acción combinada de factores de crecimiento α,
citocinas (TNF α e IL 6). Las células deben ser estimuladas
por acción de mitógenos. La norepinefrina y la insulina
potencian los efectos de los factores de crecimiento y de las
citocinas. La interrupción del crecimento se debe a la acción
de factores inhibidores del crecimiento β.
HIPERPLASIA PATOLÓGICAHIPERPLASIA PATOLÓGICA
 Estimulación hormonal excesivaEstimulación hormonal excesiva
 Producción local de factores de crecimiento queProducción local de factores de crecimiento que
actúan sobre la célula diana (verrugas)actúan sobre la célula diana (verrugas)
 Desaparece cuando el estímulo desaparece.Desaparece cuando el estímulo desaparece.
 La hiperplasia atípica puede producir unaLa hiperplasia atípica puede producir una
proliferación neoplásica en cérvix y endometrioproliferación neoplásica en cérvix y endometrio
- Cáncer de riñón  aumento de eritropoyetina 
aumento de los precursores de los glóbulos rojos.
- Altura: Aumenta glóbulos rojos.
– Hemorragia crónica: Aumenta glóbulos rojos
– inflamación crónica: Aumenta los linfocitos.
– Injurias físicas o químicas en piel y epitelios.
– Hiperplasia anormal  psoriasis (hiperplasia
cutánea)
Hyperplasia
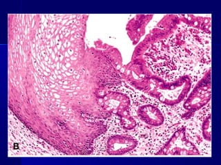
METAPLASIA
METAPLASIAMETAPLASIA
 Es una alteración reversible en la que un tipoEs una alteración reversible en la que un tipo
celular maduro es sustituido por otro (epitelial ocelular maduro es sustituido por otro (epitelial o
mesenquimatoso)mesenquimatoso)
 Ejemplos: metaplasia escamosa, Esófago deEjemplos: metaplasia escamosa, Esófago de
Barret.Barret.
 Los fibroblastos pueden transformarse enLos fibroblastos pueden transformarse en
osteoblastos o condroblastos.osteoblastos o condroblastos.
 Existe una reprogramación genética en las célulasExiste una reprogramación genética en las células
mesenquimatosas indiferenciadas de los epiteliosmesenquimatosas indiferenciadas de los epitelios
por citocinas, factores de crecimiento.por citocinas, factores de crecimiento.
1. Metaplasias epiteliales:
Metaplasia epitelial escamosa: mucosas, conductos,
bronquios, cervix, endometrio y próstata.
Metaplasia epitelial apocrina: glándulas exocrinas de
la mama.
Metaplasia intestinal: En las gastritis y colecistitis
crónicas y esófago de Barrett.
Metaplasia antral: En la vesícula biliar y cuerpo
gástrico.
2. Metaplasias mesenquimales:
Metaplasia cartilaginosa: En cicatrices y en
seudoartrosis.
Metaplasia ósea: En cicatrices, tuberculosis y en post-
traumatismos.
Las metaplasias tienen un remoto carácter
premaligno por:
1. Las mismas causas pueden producir metaplasias y
tumores.
2. Sobre áreas de metaplasia aparecen con
frecuencia displasias y carcinomas.
3. Algunos tumores solo aparecen sobre tejidos
metaplásicos.
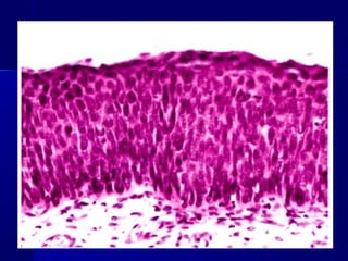
Squamous metaplasia
Anatomy of the cervix
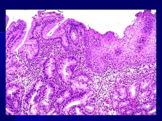
DISPLASIA
DISPLASIADISPLASIA
 Es la alteración citológica y arquitectural de un tejido.Es la alteración citológica y arquitectural de un tejido.
 Indica: 1) Variaciones del tamaño y forma de lasIndica: 1) Variaciones del tamaño y forma de las
células. 2) Aumento, irregularidad e hipercromatismocélulas. 2) Aumento, irregularidad e hipercromatismo
de los núcleos y 3) Disposición desordenada de lasde los núcleos y 3) Disposición desordenada de las
células en el epiteliocélulas en el epitelio
 Es una lesión preneoplásicaEs una lesión preneoplásica
 Representa la expresión morfológica de la alteraciónRepresenta la expresión morfológica de la alteración
de la regulación del crecimientode la regulación del crecimiento
- En la displasia del epitelio escamoso (pavimentoso
o espinoso), hay alteración de la polaridad de las
células del tercio inferior hasta el tercio superior
según se trate de la displasia leve, moderada o
severa, respectivamente.
- La displasia es una lesión reversible pero cuanto
más grave, mayor es su semejanza con el
carcinoma.
Anatomy of the cervix
OTRAS
ALTERACIONE
S
CALCIFICACIÓNCALCIFICACIÓN
PATOLÓGICAPATOLÓGICA
Depósito anormal de sales de calcio.Depósito anormal de sales de calcio.
Hay dos formas de calcificaciónHay dos formas de calcificación
patológica.patológica.
* Calcificación Distrófica* Calcificación Distrófica
* Calcificación Metastásica* Calcificación Metastásica
CALCIFICACIÓ
N DISTRÓFICA
CALCIFICACIÓNCALCIFICACIÓN
DISTRÓFICADISTRÓFICA
 Esta alteración se da en áreas deEsta alteración se da en áreas de necrosis
coagulativa, caseosa o licuefactiva, necrosiscoagulativa, caseosa o licuefactiva, necrosis
enzimática de grasa. Casi inevitable en los ateromasenzimática de grasa. Casi inevitable en los ateromas
de la aterosclerosis avanzada, las sales de calcio sede la aterosclerosis avanzada, las sales de calcio se
muestran desde el punto de vista macroscópico,muestran desde el punto de vista macroscópico,
como gránulos o grumos blancos y finos.como gránulos o grumos blancos y finos.
CALCIFICACIÓ
N
METASTÁSICA
 Depósito de fosfato cálcico en tejido normal.
 Debido al incremento del calcio sérico.
 Hipercalcemia en hiperparatiroidismo primario.
 Hiperfosfatemia en falla renal e hipoparatiroidismo
primario. Esto introduce calcio en el tejido normal.
CALCIFICACION
METASTASICA
HIALINOSIS
DEGENERACIÓN HIALINADEGENERACIÓN HIALINA
 Término histológico descriptivo de lesión celular,
proporciona un aspecto homogéneo, vítreo y rosado
a las secciones histológicas rutinarias teñidas con
hematoxilina y eosina.
 En la hipertensión de larga duración y en la
diabetes mellitus, las paredes de las arteriolas,
especialmente en el riñón, se hialinizan, debido a la
proteína plasmática extravasada y al depósito de
material en la membrana basal.
Adaptacion celular
Adaptacion celular

Adaptacion celular

  • 1.
  • 3.
  • 4.
  • 5.
    Disminución del tamañode células  disminuye función de células-función del órgano. (estrés sostenido  adaptación )
  • 6.
    Causas: - Isquemia: Disminuciónde oxigeno, necrosis isquémica- infartos- oclusión vascular. - Inflamación crónica (infecciones virales o bacterianas)  atrofia. - Disminución de la actividad del músculo esquelético: reposo prolongado, inanición o nutrición inadecuada. - Interrupción de las señales tróficas (denervación: polio) - Interrupción de las señales hormonales (ablación glandular)
  • 7.
    Ejemplos: - Hipófisis anulada TSH – ACTH – FSH insuficientes. - Disminución de estrógenos: atrofia endometrial. - Castración: Disminución de testosterona  disminuye cáncer de próstata. - Tirosina-- inhibe TSH  disminuye cáncer de tiroides. - Poliomielitis y paraplejía traumática  atrofia muscular. - Humo de cigarrillo  atrofia del epitelio respiratorio - Insuficiencia cardiaca aumenta presión de los sinusoides hepáticos  atrofia de células del centro del lobulillo.
  • 8.
    - Atrofia senil.Disminución del tamaño de los órganos, envejecimiento “fisiológico” - Atrofia de la médula ósea: anemia aplásica. - Atrofia generalizada- caquexia – cáncer – hipopituitarismo (envejecimiento precoz).
  • 9.
    MecanismosMecanismos  Disminución dela síntesisDisminución de la síntesis  Mecanismos endocíticos: vacuolas autofágicas.Mecanismos endocíticos: vacuolas autofágicas. Gránulos de lipofuscina que cuando alcanzan unaGránulos de lipofuscina que cuando alcanzan una cantidad suficiente hace que el órgano adquiera uncantidad suficiente hace que el órgano adquiera un color marrón. (atrofia parda, corazón y cerebro)color marrón. (atrofia parda, corazón y cerebro)  Vía proteasomas: proteólisis aceleradaVía proteasomas: proteólisis acelerada
  • 12.
    ATROFIAATROFIA Atrofia muscularAtrofia muscular (Tricrómico)1(Tricrómico) 1 adelgazamiento de lasadelgazamiento de las fibras musculares  yfibras musculares  y reemplazo porreemplazo por colágeno madurocolágeno maduro (azul.(azul.
  • 13.
    ATROFIAATROFIA Atrofia glandularAtrofia glandular prostática:prostática:epitelioepitelio glandular  prostáticoglandular  prostático aplanado, (H&E).aplanado, (H&E).
  • 18.
  • 19.
  • 24.
  • 25.
    HIPERTROFIA - Aumento deltamaño de un órgano o tejido por aumento del tamaño celular y aumento de su función. - Aumento de componentes celulares y estructurales. - El Útero es receptor estrogénico en el músculo liso: proteína y ADN: hipertrofia fisiológica. - Músculo estriado y cardiaco: mayor capacidad de hipertrofia. - Aumento de síntesis de proteínas y miofilamentos.
  • 26.
    - Demanda funcionalaumentada. Músculos, hipertrofía cardiaca por hipertensión, hepatocitos (aumento de REL por estímulo de fenobarbital y drogas hipolipemiantes)- hepatomegalia fisiológica - Hipertrofia del riñón contralateral. - Más frecuentes en tejidos pemanentes y estables.
  • 27.
    - Hipertrofia fisiológica(funcional): las hormonasHipertrofia fisiológica (funcional): las hormonas sexuales en la pubertad conduce a la hipertrofia desexuales en la pubertad conduce a la hipertrofia de los órganos sexuales juveniles. En el embarazo, lalos órganos sexuales juveniles. En el embarazo, la prolactina y los estrógenos produce hipertrofiaprolactina y los estrógenos produce hipertrofia mamaria. Bocio: la TSH produce hipertrofia de lasmamaria. Bocio: la TSH produce hipertrofia de las células foliculares de la tiroidescélulas foliculares de la tiroides
  • 28.
    Patogénesis de lahipertrofiaPatogénesis de la hipertrofia  Un estímulo induce a la activación de losUn estímulo induce a la activación de los protooncogenes, lo que da lugar al aumento deprotooncogenes, lo que da lugar al aumento de factores de transcripción en la síntesis de ARN yfactores de transcripción en la síntesis de ARN y ADN (que es la causa de la poliploidía nuclear)ADN (que es la causa de la poliploidía nuclear)
  • 31.
    Cell InjuryCell Injury Hypertrophy- grossHypertrophy - gross
  • 33.
    Cell InjuryCell Injury Hypertrophy- microHypertrophy - micro
  • 35.
  • 38.
  • 39.
    HIPERPLASIA  Constituye elincremento del número de células deConstituye el incremento del número de células de un órgano o tejido.un órgano o tejido.  Habitualmente se acompaña de hipertrofia.Habitualmente se acompaña de hipertrofia.  Se produce únicamente en las células capaces deSe produce únicamente en las células capaces de sintetizar ADN (células epiteliales, hematopoyéticassintetizar ADN (células epiteliales, hematopoyéticas y de l tejido conjuntivo)y de l tejido conjuntivo)
  • 40.
    Tipos de hiperplasiaTiposde hiperplasia HIPERPLASIA FISIOLÓGICA  Estimulación hormonal  Compensadora MECANISMOS: Acción combinada de factores de crecimiento α, citocinas (TNF α e IL 6). Las células deben ser estimuladas por acción de mitógenos. La norepinefrina y la insulina potencian los efectos de los factores de crecimiento y de las citocinas. La interrupción del crecimento se debe a la acción de factores inhibidores del crecimiento β.
  • 41.
    HIPERPLASIA PATOLÓGICAHIPERPLASIA PATOLÓGICA Estimulación hormonal excesivaEstimulación hormonal excesiva  Producción local de factores de crecimiento queProducción local de factores de crecimiento que actúan sobre la célula diana (verrugas)actúan sobre la célula diana (verrugas)  Desaparece cuando el estímulo desaparece.Desaparece cuando el estímulo desaparece.  La hiperplasia atípica puede producir unaLa hiperplasia atípica puede producir una proliferación neoplásica en cérvix y endometrioproliferación neoplásica en cérvix y endometrio
  • 42.
    - Cáncer deriñón  aumento de eritropoyetina  aumento de los precursores de los glóbulos rojos. - Altura: Aumenta glóbulos rojos. – Hemorragia crónica: Aumenta glóbulos rojos – inflamación crónica: Aumenta los linfocitos. – Injurias físicas o químicas en piel y epitelios. – Hiperplasia anormal  psoriasis (hiperplasia cutánea)
  • 47.
  • 50.
  • 51.
    METAPLASIAMETAPLASIA  Es unaalteración reversible en la que un tipoEs una alteración reversible en la que un tipo celular maduro es sustituido por otro (epitelial ocelular maduro es sustituido por otro (epitelial o mesenquimatoso)mesenquimatoso)  Ejemplos: metaplasia escamosa, Esófago deEjemplos: metaplasia escamosa, Esófago de Barret.Barret.  Los fibroblastos pueden transformarse enLos fibroblastos pueden transformarse en osteoblastos o condroblastos.osteoblastos o condroblastos.  Existe una reprogramación genética en las célulasExiste una reprogramación genética en las células mesenquimatosas indiferenciadas de los epiteliosmesenquimatosas indiferenciadas de los epitelios por citocinas, factores de crecimiento.por citocinas, factores de crecimiento.
  • 52.
    1. Metaplasias epiteliales: Metaplasiaepitelial escamosa: mucosas, conductos, bronquios, cervix, endometrio y próstata. Metaplasia epitelial apocrina: glándulas exocrinas de la mama. Metaplasia intestinal: En las gastritis y colecistitis crónicas y esófago de Barrett. Metaplasia antral: En la vesícula biliar y cuerpo gástrico.
  • 53.
    2. Metaplasias mesenquimales: Metaplasiacartilaginosa: En cicatrices y en seudoartrosis. Metaplasia ósea: En cicatrices, tuberculosis y en post- traumatismos.
  • 54.
    Las metaplasias tienenun remoto carácter premaligno por: 1. Las mismas causas pueden producir metaplasias y tumores. 2. Sobre áreas de metaplasia aparecen con frecuencia displasias y carcinomas. 3. Algunos tumores solo aparecen sobre tejidos metaplásicos.
  • 57.
  • 58.
  • 63.
  • 64.
    DISPLASIADISPLASIA  Es laalteración citológica y arquitectural de un tejido.Es la alteración citológica y arquitectural de un tejido.  Indica: 1) Variaciones del tamaño y forma de lasIndica: 1) Variaciones del tamaño y forma de las células. 2) Aumento, irregularidad e hipercromatismocélulas. 2) Aumento, irregularidad e hipercromatismo de los núcleos y 3) Disposición desordenada de lasde los núcleos y 3) Disposición desordenada de las células en el epiteliocélulas en el epitelio  Es una lesión preneoplásicaEs una lesión preneoplásica  Representa la expresión morfológica de la alteraciónRepresenta la expresión morfológica de la alteración de la regulación del crecimientode la regulación del crecimiento
  • 65.
    - En ladisplasia del epitelio escamoso (pavimentoso o espinoso), hay alteración de la polaridad de las células del tercio inferior hasta el tercio superior según se trate de la displasia leve, moderada o severa, respectivamente. - La displasia es una lesión reversible pero cuanto más grave, mayor es su semejanza con el carcinoma.
  • 66.
  • 71.
  • 72.
    CALCIFICACIÓNCALCIFICACIÓN PATOLÓGICAPATOLÓGICA Depósito anormal desales de calcio.Depósito anormal de sales de calcio. Hay dos formas de calcificaciónHay dos formas de calcificación patológica.patológica. * Calcificación Distrófica* Calcificación Distrófica * Calcificación Metastásica* Calcificación Metastásica
  • 73.
  • 74.
    CALCIFICACIÓNCALCIFICACIÓN DISTRÓFICADISTRÓFICA  Esta alteraciónse da en áreas deEsta alteración se da en áreas de necrosis coagulativa, caseosa o licuefactiva, necrosiscoagulativa, caseosa o licuefactiva, necrosis enzimática de grasa. Casi inevitable en los ateromasenzimática de grasa. Casi inevitable en los ateromas de la aterosclerosis avanzada, las sales de calcio sede la aterosclerosis avanzada, las sales de calcio se muestran desde el punto de vista macroscópico,muestran desde el punto de vista macroscópico, como gránulos o grumos blancos y finos.como gránulos o grumos blancos y finos.
  • 77.
  • 78.
     Depósito defosfato cálcico en tejido normal.  Debido al incremento del calcio sérico.  Hipercalcemia en hiperparatiroidismo primario.  Hiperfosfatemia en falla renal e hipoparatiroidismo primario. Esto introduce calcio en el tejido normal. CALCIFICACION METASTASICA
  • 81.
  • 82.
    DEGENERACIÓN HIALINADEGENERACIÓN HIALINA Término histológico descriptivo de lesión celular, proporciona un aspecto homogéneo, vítreo y rosado a las secciones histológicas rutinarias teñidas con hematoxilina y eosina.
  • 83.
     En lahipertensión de larga duración y en la diabetes mellitus, las paredes de las arteriolas, especialmente en el riñón, se hialinizan, debido a la proteína plasmática extravasada y al depósito de material en la membrana basal.

Notas del editor

  • #32 Note concentric hypertrophy of the left ventricle. This is commonly seen in systemic hypertension. Normally, the LV should not be more than 1.4 cm in thickness. The RV should not be more than 0.4 cm in thickness.
  • #34 Note “boxcar” nuclei and variation in nuclear size.