Incrustar presentación
Descargado 77 veces




























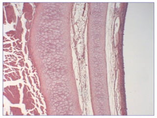
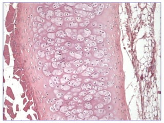
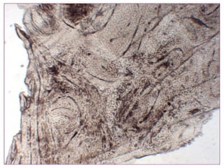
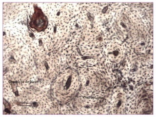
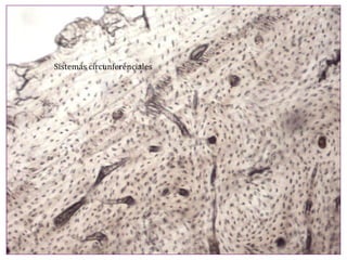
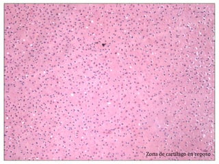
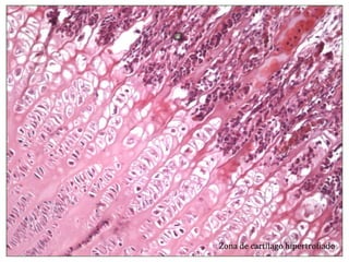
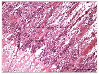
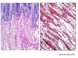
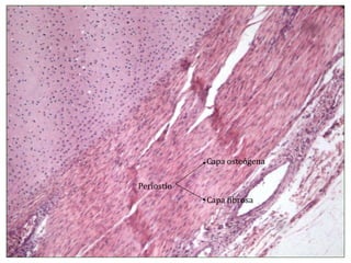
El documento describe diferentes aspectos de la histología del cartílago y el hueso, incluyendo las estructuras del cartílago como condroblastos, matriz y lagunas, y las estructuras óseas como conductos de Havers, osteoblastos y osteoclastos. También describe las etapas de la osificación endocondral, el proceso por el cual el cartílago se transforma en hueso, incluyendo las zonas de cartílago en reposo, proliferación, hipertrofia, erosión y osificación.


























