ANATOMÍA FUNCIONAL
    DE COLUMNA
 VERTEBRAL Y TÓRX
EJE	
  AXIAL	
  
DEL	
  CUERPO	
  
 HUMANO	
  
Introducción
CURVATURAS	
  
FISIOLÓGICAS	
  DE	
  LA	
  
     COLUMNA	
  
     VERTEBRAL	
  
AL	
  NACER	
  
                               LA	
  COLUMNA	
  VERTEBRAL	
  DE	
  UN	
  
                               RECIÉN	
  NACIDO	
  SOLO	
  TIENE	
  
                               UNA	
  CURVATURA	
  CIFÓTICA	
  
                               (PRIMARIA)	
  
                               	
  


                                                                      ALREDEDEDOR	
  DE	
  LOS	
  SEIS	
  MESES	
  DE	
  EDAD	
  
                                                                      Como	
  el	
  niño	
  levanta	
  su	
  cabeza	
  en	
  los	
  
                                                                      primeros	
  mese	
  de	
  edad,	
  se	
  desarrolla	
  una	
  
                                                                      curvatura	
  cervical	
  inverEda	
  (lordosis)	
  que	
  
                                                                      resulta	
  de	
  vencer	
  la	
  gravedad	
  (curv.	
  
                                                                      Secundaria)	
  
Alrededor	
  de	
  los	
  nueve	
  meses	
                            	
  
Una	
  vez	
  que	
  el	
  niño	
  aprende	
  a	
  gatear	
  y	
  
ponerse	
  de	
  pie,	
  la	
  columna	
  lumbar	
  
desarrolla	
  una	
  nueva	
  curvatura.	
  
Los	
  fuertes	
  músculos	
  de	
  la	
  espalda	
  se	
  
desarrollan	
  y	
  	
  dan	
  la	
  fuerza	
  y	
  balanceo	
  para	
  
caminar	
  y	
  correr	
  
	
  
ALTERACIONES	
  PATOLÓGICAS	
  DE	
  LA	
  COLUMNA	
  VERTEBRAL	
  
Columna Vertebral




    Copyright 2009, John Wiley &
             Sons, Inc.
Todas	
  las	
  vértebras	
  Cenen	
  un	
  cuerpo,	
  
VERTEBRA	
  TIPO	
     Ø 
                             dos	
  procesos	
  transversos	
  
                             laterales,	
  un	
  proceso	
  espinoso	
  y	
  
                             un	
  foramen	
  vertebral.	
  
                       Ø    Adicionalmente,	
  cada	
  vértebra	
  Cene	
  
                             facetas	
  ar3culares	
  superiores	
  e	
  
                             inferiores	
  al	
  final	
  de	
  los	
  procesos	
  
                             ar3culares	
  superiores	
  e	
  
                             inferiores	
  respecCvamente	
  que	
  
                             permiten	
  la	
  arCculación	
  con	
  las	
  demás	
  
                             vértebras	
  arriba	
  y	
  abajo.	
  
VÉRTEBRAS	
  CERVICALES	
  
Ø     Las	
  vértebras	
  cervicales	
  se	
  nombran	
  de	
  la	
  
       más	
  superior	
  a	
  la	
  más	
  inferior	
  como	
  C1,	
  C2,	
  
       C3,	
  C4,	
  C5,	
  C6	
  y	
  C7	
  
Ø     Se	
  debe	
  notar	
  que	
  las	
  vértebras	
  cervicales	
  
       Cene	
  su	
  proceso	
  espinoso	
  bífido	
  y	
  un	
  
       foramen	
  en	
  cada	
  proceso	
  transverso	
  
       que	
  sirven	
  de	
  canales	
  para	
  los	
  vasos	
  
       sanguíneos	
  que	
  pasan	
  por	
  las	
  vértebras	
  
       cervicales.	
  
Ø     Estas	
  dos	
  caracterísCcas	
  son	
  únicas	
  de	
  las	
  
       vértebras	
  cervicales.	
  
Ø     Otra	
  estructura	
  importante	
  es	
  el	
  largo	
  
       proceso	
  espinoso	
  de	
  C7	
  que	
  es	
  fácilmente	
  
       palpable	
  (Su	
  palpación	
  es	
  de	
  fácil	
  realización	
  
       y	
  es	
  punto	
  de	
  referencia	
  para	
  idenCficar	
  las	
  
       otras	
  vértebras	
  adyacentes)	
  
ATLAS	
  Y	
  AXIS	
  
ARTICULACIONES	
  	
  DE	
  LA	
  
 COLUMNA	
  VERTEBRAL        	
  
ARTICULACIONES
        COLUMNA VERTEBRAL

•    A. ENTRE LOS CUERPOS
     VERTEBRALES
•    A. ENTRE LOS ARCOS V.
•    A. LUMBOSACRA
•    A.SACROCOCCÍGEA
•    A. ATLANTOOCCIPITAL
•    A. ATLANTOAXIAL
•    1- Entre los cuerpos vertebrales:
     –    Lig. Long. Anterior.( C1- h. Sacro)
     –    Lig. Long. Posterior.( C2- h. Sacro)


•    2- A. entre los arcos vertebrales:
     –    Lig. Flavo o amarillo.
     –    Lig. Interespinales.
     –    Lig. Supraespinal.
     –    Lig. de la nuca.
     –    Lig. Intertransversarios.
•    3- A. Lumbosacra:
     –    Lig. Intertransversarios.
     –    Lig. Iliolumbar.


•    4- A. Sacrococcígea:
     –    Lig. Sacrococcígeo dorsal.
     –    Lig. Sacrococcígeo ventral.
Ø    LIGAMENTOS	
  OCCÍPITO-­‐ATLANTO-­‐AXOIDEOS:	
  

       l    Los	
  ligamentos	
  de	
  la	
  arCculación	
  atlantoaxoidea	
  merecen	
  una	
  especial	
  atención,	
  ya	
  que	
  le	
  
             confieren	
  a	
  esta	
  unión	
  estabilidad,	
  limitando	
  el	
  movimiento	
  y	
  protegiendo	
  la	
  médula	
  
             espinal	
  que	
  pasa	
  por	
  el	
  canal	
  medular.	
  

       l    El	
  atlas	
  gira	
  alrededor	
  del	
  eje	
  longitudinal	
  de	
  la	
  apófisis	
  odontoides	
  unos	
  45	
  grados	
  en	
  
             ambos	
  senCdos	
  siendo	
  la	
  amplitud	
  total	
  de	
  movimiento	
  de	
  90	
  grados.	
  
Ø    LIGAMENTOS	
  OCCÍPITO-­‐ATLANTO-­‐
      AXOIDEOS:	
  

       l    El	
  ligamento	
  transverso	
  manCene	
  
             la	
  apófisis	
  odontoides	
  arCculada	
  en	
  la	
  
             fóvea	
  denCs	
  del	
  arco	
  anterior	
  del	
  atlas.	
  
       l    Manteniendo	
  la	
  apófisis	
  odontoides	
  en	
  
             esta	
  localización,	
  estos	
  ligamentos	
  
             aseguran	
  el	
  espacio	
  suficiente	
  para	
  que	
  
             la	
  médula	
  espinal	
  discurra	
  a	
  través	
  del	
  
             canal	
  medular.	
  

       l    Los	
  ligamentos	
  alares	
  limitan	
  la	
  
             rotación	
  y	
  el	
  movimiento	
  lateral	
  del	
  axis	
  
             debido	
  a	
  su	
  anclaje	
  en	
  el	
  extremo	
  de	
  la	
  
             apófisis	
  odontoides	
  

       l    Los	
  ligamentos	
  apicales	
  fijan	
  la	
  
             apófisis	
  odontoides	
  insertándose	
  en	
  el	
  
             agujero	
  occipital.	
  
MENCIÓN	
  ESPECIAL:	
  
              LIGAMENTO	
  
              TRANSVERSO    	
  
Ø    El	
  ligamento	
  transverso	
  discurre	
  desde	
  
      un	
  proceso	
  transverso	
  del	
  atlas,	
  cruzando	
  el	
  
      foramen	
  vertebral	
  al	
  otro	
  proceso	
  
      transverso	
  del	
  atlas	
  sosteniendo	
  el	
  diente	
  o	
  
      proceso	
  odontoides	
  del	
  axis	
  en	
  su	
  lugar.	
  
Ø    La	
  falla	
  de	
  este	
  ligamento	
  para	
  contener	
  el	
  
      movimiento	
  del	
  diente	
  puede	
  causar	
  
      irreparables	
  daños	
  a	
  las	
  estructuras	
  que	
  
      pasan	
  por	
  el	
  foramen	
  vertebral	
  a	
  esta	
  
      altura.	
  
Ø    Muchos	
  autores	
  llaman	
  a	
  este	
  ligamento,	
  el	
  
      ligamento	
  del	
  verdugo,	
  porque	
  es	
  el	
  
      que	
  evita	
  que	
  una	
  persona	
  colgada	
  caiga	
  en	
  
      la	
  horca.	
  
Ø    El	
  diente	
  trata	
  de	
  romper	
  ligamento	
  
      lesionando	
  conectores	
  nerviosos	
  que	
  
      controlan	
  el	
  corazón	
  y	
  pulmones	
  
Ø    Ligamento	
  cruciforme	
  de	
  la	
  
      ar3culación	
  atlanto-­‐
      odontoidea:	
  

       l    En	
  la	
  línea	
  media,	
  el	
  
             ligamento	
  transverso	
  se	
  
             cruza	
  con	
  fibras	
  
             longitudinales	
  formando	
  
             una	
  cruz,	
  la	
  parte	
  verCcal	
  se	
  
             une	
  al	
  hueso	
  occipital	
  y	
  a	
  la	
  
             parte	
  posterior	
  del	
  cuerpo	
  del	
  
             axis,	
  conectando	
  así	
  las	
  dos	
  
             primeras	
  vértebras	
  cervicales.	
  

       l    Este	
  ligamento	
  limita	
  el	
  
             deslizamiento	
  anterior	
  y	
  
             posterior	
  y	
  algunos	
  
             movimientos	
  laterales	
  
Ø    Ligamentos	
  atlonto-­‐axoideos	
  
      accesorios:	
  

       l    Limitan	
  la	
  rotación	
  del	
  atlas	
  sobre	
  
             el	
  axis	
  debido	
  a	
  sus	
  inserciones	
  a	
  
             la	
  altura	
  de	
  los	
  cuerpos	
  
             vertebrales.	
  

       l    Estos	
  dos	
  ligamentos	
  parten	
  desde	
  
             la	
  cara	
  medial	
  de	
  los	
  cuerpos	
  
             vertebrales	
  del	
  atlas	
  hasta	
  
             converger	
  en	
  la	
  parte	
  posterior	
  
             inferior	
  de	
  la	
  apófisis	
  odontoides	
  

       l    La	
  lesión	
  o	
  rotura	
  de	
  uno	
  de	
  estos	
  
             ligamentos	
  permiCría	
  la	
  rotación	
  
             en	
  una	
  sola	
  dirección	
  y	
  la	
  altura	
  en	
  
             la	
  dirección	
  opuesta	
  
Vertebral Column




   Copyright 2009, John Wiley &
            Sons, Inc.
Copyright 2009, John Wiley &
         Sons, Inc.
MÁS	
  LIGAMENTOS	
  

Ø    El	
  ligamento	
  flava:	
  Discurre	
  entre	
  las	
  
      láminas	
  de	
  vértebras	
  sucesivas	
  

Ø    El	
  ligamento	
  interespinoso:	
  Se	
  
      encuentra	
  entre	
  cada	
  proceso	
  espinoso	
  

Ø    El	
  ligamento	
  supraespinoso:	
  Recorre	
  el	
  
      aspecto	
  dorsal	
  de	
  los	
  procesos	
  espinosos	
  
      desde	
  el	
  cóccix	
  hasta	
  la	
  protuberancia	
  
      externa	
  occipital.	
  

Ø    Ligamento	
  nucal:	
  Va	
  desde	
  la	
  
      protuberancia	
  occipital	
  hasta	
  el	
  proceso	
  
      espinoso	
  de	
  C7.	
  

Ø    Ligamento	
  iliolumbar:	
  	
  Va	
  desde	
  el	
  
      proceso	
  transverso	
  de	
  la	
  quinta	
  vértebra	
  
      lumbar	
  al	
  ílion	
  de	
  la	
  pelvis	
  

Ø    Ligamentos	
  intertransversos:	
  Conectan	
  
      los	
  procesos	
  transversos	
  adyacentes	
  
Hueso Hioides
Ø  No se articula con ningún otro
    hueso.
Ø  Proporciona soporte a
    músculos de la lengua y punto
    de inserción a músculos que
    participan en la deglución.
Ø  El hueso hioides también
    ayuda a mantener la laringe
    abierta todo el tiempo.
Ø  Lo ubicamos topográficamente
    delante de C3


          Copyright 2009, John Wiley &
                   Sons, Inc.
Ø  Sediferencias tres hojas de la fascia cervical:
Ø  HOJA SUPERFICIAL DE LA FASCIA
    CERVICAL
Ø  HOJA PRETRAQUEAL DE LA FASCIA
    CERVICAL
Ø  HOJA PREVERTEBRAL DE LA FASCIA
    CERVICAL
Hoja Superficial de la Fascia Cervical

Ø  Formaen el
  cuello una
  vaina
  completa.
Ø  Envuelve
  superficialment
  e todos los
  músculos del
  cuello salvo el
  Platisma.
Hoja Superficial de la Fascia Cervical

Ø  LÍMITES:
Ø  Superior:   Línea nucal superior; Pr.
    Mastoides; Cartílago del conducto auditivo
    interno; Fascia masetérica y Margen
    inferior de la mandíbula.
Ø  Inferior: Borde anterior de la Incisura
    esternal, cara anterior del manubrio
    esternal, margen superior de la clavícula,
    borde posterior de la espina escapular.
Hoja pretraqueal
Ø  Seextiende por
  debajo de la
  superficial entre
  los músculos
  omohioideos,
  lateralmente y
  hioides , esternón
  y escápula
  superorinferiorme
  nte.
Hoja prevertebral
Ø  Recorre    la
  columna
  vertebral y la
  musculatura
  cervical
  profunda:
  l    Largo del cuello
  l    Largo de la
        cabeza
  l    Escalenos
MUSCULOS DEL
   CUELLO
Músculos del cuello
Platisma
O: Fascia que cubre a los músculos pectoral mayor y deltoides

I: Borde inferior de la mandíbula

A: Tracciona posteroinferiormente el ángulo oral
   depresor de mandíbula y arrugador transversal del integumento cervical
Músculos del cuello
Esternocleidomastoideo
O: Manubrio esternal
   Clavícula

I: Proceso mastoides

A: Inflexor lateral, rotador heterolateral
   Extensor de cabeza
   Flexor de cabeza y cuello
Músculos prevertebrales

Músculos suprahioideos
Digástrico
O: Fosa digástrica de la mandíbula
  Incisura mastoidea del temporal

I: Cuerpo y cuerno mayor del hioides

A: Depresor de mandíbula
   Elevador y retractor del hioides
   Flexor accesorio de cabeza y cuello




Estilohioideo
O: Base del proceso estiloides

I: Unión entre el cuerpo y cuerno mayor del hioides

A: Elevador y retractor del hioides
Músculos prevertebrales

Músculos suprahioideos
Milohioideo
O: Línea milohioidea de la mandíbula

I: Cuerpo del hioides

A: Depresor de mandíbula
   Elevador del hioides
   Flexor accesorio de cabeza y cuello
   Elevador del piso de la cavidad oral

Geniohioideo
O: Espina mental

I: Cuerpo del hioides

A: Elevador y protractor del hioides
   Depresor de mandíbula
Músculos prevertebrales

Músculos infrahioideos
Esternohioideo
O: Manubrio esternal y clavícula

I: Borde inferior del hioides

A: Depresor del hioides


Omohioideo
O: Borde superior de la escápula

I: Borde inferior del hioides

A: Depresor del hioides
Músculos prevertebrales

Músculos infrahioideos
Estertiroideo
O: Manubrio esternal y I cartílago costal

I: Línea oblicua del tiroides

A: Depresor de laringe e indirectamente
   del hioides


Tirohioideo
O: Línea oblicua del tiroides

I: Cuerpo y cuerno mayor del hioides

A: Depresor del hioides, elevador de
   la laringe
MÚSCULOS QUE FLEXIONAN LA
           COLUMNA
             Flexores del cuello
Largo del cuello               L
Largo de la cabeza
Escaleno anterior              A
Escaleno medio                 M
Escalebo posterior             P
Recto anterior de la cabaza



                                                  Recto Lateral de la cabeza

                                              Atlas

 Largo de la cabeza




                                                           Largo del
                                                           cuello


Escaleno
Posterior
Medio
anterior




                                                               2 costilla




                                     1 costilla
Músculos prevertebrales
Longo del cuello
Parte oblicua superior
O: Tubérculos anteriores de los procesos
  transversos de C3 a C5

I: Tubérculo del arco anterior del Atlas

Parte oblicua inferior
O: Cuerpos vertebrales de T1 a T3

I: Tubérculos anteriores de los procesos
    transversos de C5 a C7

Parte Vertical
O: Cuerpos vertebrales de C5 a T3

I: Cuerpos vertebrales de C2 a C4

A: Flexor e inflexor lateral de cuello
  Rotador heterolateral de cuello
Músculos prevertebrales




Longo de la cabeza

O: Tubérculos anteriores de los procesos
  transversos de C3 a C6

I: Parte basilar del occipital

A: Flexor de cabeza

Los músculos rectos anterior y posterior
de la cabeza corresponden a los músculos
intertransversarios
Músculos prevertebrales
Músculos escálenos
Anterior
O: Tubérculos anteriores de los procesos
  transversos de C3 a C6

I: Tubérculo escaleno de primera costilla

Medio
O: Tubérculos posteriores de los procesos
  transversos de C2 a C7

I: Primera costilla detrás del surco para la
   arteria subclavia

Posterior
O: Tubérculos posteriores de los procesos
  transversos de C4 a C6

I: Segunda costilla

A: Inspiradores accesorios, inflexores laterales
   rotadores homolaterales y flexores de cuello
MUSCULOS DE LA REGION POSTERIOR
          DEL CUELLO
                MUSCULOS SUBOCCIPITALES


Recto posterior menor de la cabeza
        O: tubérculo posterior del Atlas
        I: 1/3 Medial de la línea nucal inferior
       A: extensor de cabeza
MUSCULOS SUBOCCIPITALES



Recto posterior mayor de la cabeza
        O: proceso espinoso del Axis
        I: 1/3 medio línea nucal inferior
       A: extensor y rotador homolateral de la cabeza
MUSCULOS SUBOCCIPITALES

Oblicuo inferior de la cabeza
        O: Ápex del proceso espinoso del axis
        I: proceso transverso del atlas
        A: rotador homolateral de la cabeza
MUSCULOS SUBOCCIPITALES


Oblicuo superior de la cabeza
        O: proceso transverso del atlas
        I: 1/3 lateral de la línea nucal inferior
        A: extensor e inflexor lateral de cabeza
MUSCULOS DEL DORSO Y
      LA NUCA


Ø  PLANO   SUPERFICIAL

Ø  PLANO   MEDIO

Ø  PLANO   PROFUNDO
Músculos del plano superficial de
               la columna vertebral
                                    Región Cervical
Trapecio
O: 1/3 medial de la línea nucal superior
   Protuberancia occipital externa
   Ligamento nucal
   Procesos espinosos de C7 a T12
   Ligamentos supraespinales

I: Tercio lateral de la clavícula
   Borde medial del Acromión
   Espina de la escápula

A: Elevador y rotador superior de escápula
   Depresor y rotador superior de escápula
   Retractor de escápula
   Extensor de cuello y cabeza
   Inflexor lateral y rotador heterolateral de cabeza
Músculos del plano medio de la
                columna vertebral
                               Región Cervical
Elevador de la escápula
O: Tubérculos posteriores de los procesos transversos de C1 a C4

I: Borde medial de la escápula (ángulo superior)

A: Elevador y rotador inferior de escápula
   Extensor de cuello
   Inflexor lateral y rotador homolateral de cuello
Región Cervical

Esplenio de la cabeza
O: Procesos espinosos de C7 a T3
   Ligamento nucal

I: Mitad inferior y lateral de línea nucal superior
   Proceso mastoides

A: Extensor e Inflexor lateral de cabeza
   Rotador homolateral de cabeza
Región Cervical

Esplenio del cuello
O: Procesos espinosos de T3 y T6

I: Tubérculos posteriores de los procesos
    transversos de C1 a C4

A: Extensor e Inflexor lateral de cuello
ERECTOR DE LA COLUMNA




        SILO
MÚSCULOS PLANO PROFUNDO
TRANSVERSOS ESPINOSOS
Rotadores       Multifidos   semiespinal
Cortos y largos
MÚSCULOS PLANO PROFUNDO
MÚSCULOS SEGMENTARIOS
MÚSCULOS SEGMENTARIOS




Elevador de las costillas
MÚSCULOS SEGMENTARIOS




      Músculos interespinosos
Músculos del plano profundo de la
               columna vertebral
                               Región Cervical
Iliocostal del cuello
O: Angulo de costillas 1 a 5

I: Tubérculos posteriores de los procesos
    transversos de C4 a C6

A: Extensor e Inflexor lateral y rotador
   homolateral de cuello
Región Cervical

Longuísimo del cuello
O: procesos transversos de T1 a T5

I: Tubérculos posteriores de los procesos
    transversos de C2 a C6

A: Extensor e Inflexor lateral y rotador
   homolateral de cuello

Longuísimo de la cabeza
O: procesos transversos de T1 a T5

I: Borde posterior del proceso mastoides

A: Extensor e Inflexor lateral y rotador
   homolateral de cabeza
Región Cervical

Espinal del cuello (inconstante)
O: Procesos espinosos C7 a T2

I: Procesos espinosos C2 a C4

A: Extensor e Inflexor lateral y rotador
   homolateral de cuello

Espinal de la cabeza
Se confunde con el semiespinal de la cabeza
Región Cervical

Semiespinal del cuello
O: Procesos transversos de T1 a T6

I: Tubérculos posteriores de los procesos
    transversos de C2 a C5

A: Extensor y rotador heterolateral de cuello

Semiespinal de la cabeza
O: procesos transversos de T1 a T6

I: Procesos articulares de C4 a C7
   Línea nucal superior e inferior

A: Extensor y rotador heterolateral de cabeza
Región Cervical

Multífidos
O: Procesos articulares C4 a C7

I: Borde inferior de laminas y procesos espinosos desde C7 a C2

A: Extensor, inflexor lateral y rotador heterolateral de cuello
Región Cervical

Rotadores
O: Procesos transversos

I: Procesos espinosos

A: Rotador heterolateral de cuello
Región Cervical

Intertransversarios
O: Procesos transversos

I: Procesos transversos

A: inflexor lateral de cuello
Anatomía de Superficie de Columna Vertebral

    Protuberancia
   Occipital Externa      C1
                        C2


                        C6
                       C7
                        T1


                        T3




                       T7




                       L4



                       S2

                       S3
Escalenos




Elevador de la escapula
Biomecánica de la Columna
    Vertebral y Cadera
Más del 90% de los sujetos presentan un desequilibrio postural:




                Aumento                           Dorso plano
Normal             de          Escápula            (escápula     Disminución
                 curvas        posterior            anterior)     de curvas
ALTERACIONES DE LA COLUMNA
                   VERTEBRAL
Ø    ESCOLIOSIS
        Consecuencias:
      - Fatiga en la columna.

      - Alteración de la apariencia física y
      estética

      - Alteraciones visuales.

      - Disminución del descanso nocturno.

      - Dolor.

      - Enfermedades degenerativas.

      - Problemas respiratorios.

      - Otros.
ALTERACIONES DE LA COLUMNA
                VERTEBRAL
        ALTERACIONES EN LA COLUMNA
                VERTEBRAL (I)
 HIPERLORDOSIS LUMBAR:
   HIPERLORDOSIS LUMBAR
  Es un aumento exagerado y progresivo de la curva lumbar
    Es un aumento exagerado y progresivo de la curva lumbar
 fisiológica.
fisiológica
 2 actitudes posturales son las que inducen a a esta patología:
   2 actitudes posturales son las que inducen esta patología:


                                 Anteversión
  Antepulsión
 pélvica                        pélvica
ALTERACIONES DE LA COLUMNA
             VERTEBRAL
CIFOSIS:
     Es un aumento de la curvatura
dorsal por causas patológicas.

      Común en adolescentes en el
periodo de crecimiento.
ALTERACIONES DE LA COLUMNA
                  VERTEBRAL
•  ESCOLIOSIS:
   Es cualquier desviación lateral de la columna en el plano frontal.
          - Leve
          - Grave
          - Muy grave
Más frecuente en el sexo femenino.
Suele aparecer entre los 9 y los 14 años.

 Escoliosis funcional o actitud Escoliosis estructurada:
 escoliótica:
                                   Ø Zonas afectadas rígidas
 Ø Zonas afectadas flexibles
                                   Ø Acompañada de:
 Ø Malos hábitos posturales
                                        - Acuñamiento vertebral
 Ø Puede ser corregida
                                        - Rotación vertebral
Evaluación
Test de la PLOMADA
TEST DE ADAMS
Método de Cobb: para medición del
   grado de curva de la escoliosis
Ø    Se traza una línea paralela a la
      superficie de los cuerpos de los
      extremos de las curvas y luego
      una línea perpendicular a la
      línea ya trazada: el ángulo que
      se forma con estas dos líneas
      perpendiculares es el ángulo
      que representa la magnitud en
      grados de la desviación de la
      columna. Las vértebras de los
      extremos de la curva son los
      últimos que miran hacia la
      concavidad de ella.
Método de Cobbs
Desplazamiento de imagen de
              los pedículos
Ø    El proceso espinoso semeja
      una "cara de lechuza" en la
      proyección A.P., en que la
      nariz es la apófisis espinosa
      y los ojos los pedículos.

Ø     Cuando el cuerpo vertebral
      esta rotado los ojos migran,
      uno hacia fuera de los límites
      del cuerpo y el otro hacia la
      línea media.
MÉTODO DE RISSER
EN RESUMEN
Mal de Pott
Enfermedades degenerativas
Discopatía lumbar

caso clinico 1 y 2

  • 1.
    ANATOMÍA FUNCIONAL DE COLUMNA VERTEBRAL Y TÓRX
  • 2.
    EJE  AXIAL   DEL  CUERPO   HUMANO  
  • 3.
  • 4.
    CURVATURAS   FISIOLÓGICAS  DE  LA   COLUMNA   VERTEBRAL  
  • 5.
    AL  NACER   LA  COLUMNA  VERTEBRAL  DE  UN   RECIÉN  NACIDO  SOLO  TIENE   UNA  CURVATURA  CIFÓTICA   (PRIMARIA)     ALREDEDEDOR  DE  LOS  SEIS  MESES  DE  EDAD   Como  el  niño  levanta  su  cabeza  en  los   primeros  mese  de  edad,  se  desarrolla  una   curvatura  cervical  inverEda  (lordosis)  que   resulta  de  vencer  la  gravedad  (curv.   Secundaria)   Alrededor  de  los  nueve  meses     Una  vez  que  el  niño  aprende  a  gatear  y   ponerse  de  pie,  la  columna  lumbar   desarrolla  una  nueva  curvatura.   Los  fuertes  músculos  de  la  espalda  se   desarrollan  y    dan  la  fuerza  y  balanceo  para   caminar  y  correr    
  • 6.
    ALTERACIONES  PATOLÓGICAS  DE  LA  COLUMNA  VERTEBRAL  
  • 7.
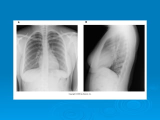
    Columna Vertebral Copyright 2009, John Wiley & Sons, Inc.
  • 8.
    Todas  las  vértebras  Cenen  un  cuerpo,   VERTEBRA  TIPO   Ø  dos  procesos  transversos   laterales,  un  proceso  espinoso  y   un  foramen  vertebral.   Ø  Adicionalmente,  cada  vértebra  Cene   facetas  ar3culares  superiores  e   inferiores  al  final  de  los  procesos   ar3culares  superiores  e   inferiores  respecCvamente  que   permiten  la  arCculación  con  las  demás   vértebras  arriba  y  abajo.  
  • 9.
    VÉRTEBRAS  CERVICALES   Ø  Las  vértebras  cervicales  se  nombran  de  la   más  superior  a  la  más  inferior  como  C1,  C2,   C3,  C4,  C5,  C6  y  C7   Ø  Se  debe  notar  que  las  vértebras  cervicales   Cene  su  proceso  espinoso  bífido  y  un   foramen  en  cada  proceso  transverso   que  sirven  de  canales  para  los  vasos   sanguíneos  que  pasan  por  las  vértebras   cervicales.   Ø  Estas  dos  caracterísCcas  son  únicas  de  las   vértebras  cervicales.   Ø  Otra  estructura  importante  es  el  largo   proceso  espinoso  de  C7  que  es  fácilmente   palpable  (Su  palpación  es  de  fácil  realización   y  es  punto  de  referencia  para  idenCficar  las   otras  vértebras  adyacentes)  
  • 11.
  • 20.
    ARTICULACIONES    DE  LA   COLUMNA  VERTEBRAL  
  • 21.
    ARTICULACIONES COLUMNA VERTEBRAL •  A. ENTRE LOS CUERPOS VERTEBRALES •  A. ENTRE LOS ARCOS V. •  A. LUMBOSACRA •  A.SACROCOCCÍGEA •  A. ATLANTOOCCIPITAL •  A. ATLANTOAXIAL
  • 22.
    •  1- Entre los cuerpos vertebrales: –  Lig. Long. Anterior.( C1- h. Sacro) –  Lig. Long. Posterior.( C2- h. Sacro) •  2- A. entre los arcos vertebrales: –  Lig. Flavo o amarillo. –  Lig. Interespinales. –  Lig. Supraespinal. –  Lig. de la nuca. –  Lig. Intertransversarios.
  • 23.
    •  3- A. Lumbosacra: –  Lig. Intertransversarios. –  Lig. Iliolumbar. •  4- A. Sacrococcígea: –  Lig. Sacrococcígeo dorsal. –  Lig. Sacrococcígeo ventral.
  • 27.
    Ø  LIGAMENTOS  OCCÍPITO-­‐ATLANTO-­‐AXOIDEOS:   l  Los  ligamentos  de  la  arCculación  atlantoaxoidea  merecen  una  especial  atención,  ya  que  le   confieren  a  esta  unión  estabilidad,  limitando  el  movimiento  y  protegiendo  la  médula   espinal  que  pasa  por  el  canal  medular.   l  El  atlas  gira  alrededor  del  eje  longitudinal  de  la  apófisis  odontoides  unos  45  grados  en   ambos  senCdos  siendo  la  amplitud  total  de  movimiento  de  90  grados.  
  • 28.
    Ø  LIGAMENTOS  OCCÍPITO-­‐ATLANTO-­‐ AXOIDEOS:   l  El  ligamento  transverso  manCene   la  apófisis  odontoides  arCculada  en  la   fóvea  denCs  del  arco  anterior  del  atlas.   l  Manteniendo  la  apófisis  odontoides  en   esta  localización,  estos  ligamentos   aseguran  el  espacio  suficiente  para  que   la  médula  espinal  discurra  a  través  del   canal  medular.   l  Los  ligamentos  alares  limitan  la   rotación  y  el  movimiento  lateral  del  axis   debido  a  su  anclaje  en  el  extremo  de  la   apófisis  odontoides   l  Los  ligamentos  apicales  fijan  la   apófisis  odontoides  insertándose  en  el   agujero  occipital.  
  • 29.
    MENCIÓN  ESPECIAL:   LIGAMENTO   TRANSVERSO   Ø  El  ligamento  transverso  discurre  desde   un  proceso  transverso  del  atlas,  cruzando  el   foramen  vertebral  al  otro  proceso   transverso  del  atlas  sosteniendo  el  diente  o   proceso  odontoides  del  axis  en  su  lugar.   Ø  La  falla  de  este  ligamento  para  contener  el   movimiento  del  diente  puede  causar   irreparables  daños  a  las  estructuras  que   pasan  por  el  foramen  vertebral  a  esta   altura.   Ø  Muchos  autores  llaman  a  este  ligamento,  el   ligamento  del  verdugo,  porque  es  el   que  evita  que  una  persona  colgada  caiga  en   la  horca.   Ø  El  diente  trata  de  romper  ligamento   lesionando  conectores  nerviosos  que   controlan  el  corazón  y  pulmones  
  • 30.
    Ø  Ligamento  cruciforme  de  la   ar3culación  atlanto-­‐ odontoidea:   l  En  la  línea  media,  el   ligamento  transverso  se   cruza  con  fibras   longitudinales  formando   una  cruz,  la  parte  verCcal  se   une  al  hueso  occipital  y  a  la   parte  posterior  del  cuerpo  del   axis,  conectando  así  las  dos   primeras  vértebras  cervicales.   l  Este  ligamento  limita  el   deslizamiento  anterior  y   posterior  y  algunos   movimientos  laterales  
  • 31.
    Ø  Ligamentos  atlonto-­‐axoideos   accesorios:   l  Limitan  la  rotación  del  atlas  sobre   el  axis  debido  a  sus  inserciones  a   la  altura  de  los  cuerpos   vertebrales.   l  Estos  dos  ligamentos  parten  desde   la  cara  medial  de  los  cuerpos   vertebrales  del  atlas  hasta   converger  en  la  parte  posterior   inferior  de  la  apófisis  odontoides   l  La  lesión  o  rotura  de  uno  de  estos   ligamentos  permiCría  la  rotación   en  una  sola  dirección  y  la  altura  en   la  dirección  opuesta  
  • 38.
    Vertebral Column Copyright 2009, John Wiley & Sons, Inc.
  • 41.
    Copyright 2009, JohnWiley & Sons, Inc.
  • 49.
    MÁS  LIGAMENTOS   Ø  El  ligamento  flava:  Discurre  entre  las   láminas  de  vértebras  sucesivas   Ø  El  ligamento  interespinoso:  Se   encuentra  entre  cada  proceso  espinoso   Ø  El  ligamento  supraespinoso:  Recorre  el   aspecto  dorsal  de  los  procesos  espinosos   desde  el  cóccix  hasta  la  protuberancia   externa  occipital.   Ø  Ligamento  nucal:  Va  desde  la   protuberancia  occipital  hasta  el  proceso   espinoso  de  C7.   Ø  Ligamento  iliolumbar:    Va  desde  el   proceso  transverso  de  la  quinta  vértebra   lumbar  al  ílion  de  la  pelvis   Ø  Ligamentos  intertransversos:  Conectan   los  procesos  transversos  adyacentes  
  • 50.
    Hueso Hioides Ø  Nose articula con ningún otro hueso. Ø  Proporciona soporte a músculos de la lengua y punto de inserción a músculos que participan en la deglución. Ø  El hueso hioides también ayuda a mantener la laringe abierta todo el tiempo. Ø  Lo ubicamos topográficamente delante de C3 Copyright 2009, John Wiley & Sons, Inc.
  • 51.
    Ø  Sediferencias treshojas de la fascia cervical: Ø  HOJA SUPERFICIAL DE LA FASCIA CERVICAL Ø  HOJA PRETRAQUEAL DE LA FASCIA CERVICAL Ø  HOJA PREVERTEBRAL DE LA FASCIA CERVICAL
  • 53.
    Hoja Superficial dela Fascia Cervical Ø  Formaen el cuello una vaina completa. Ø  Envuelve superficialment e todos los músculos del cuello salvo el Platisma.
  • 54.
    Hoja Superficial dela Fascia Cervical Ø  LÍMITES: Ø  Superior: Línea nucal superior; Pr. Mastoides; Cartílago del conducto auditivo interno; Fascia masetérica y Margen inferior de la mandíbula. Ø  Inferior: Borde anterior de la Incisura esternal, cara anterior del manubrio esternal, margen superior de la clavícula, borde posterior de la espina escapular.
  • 56.
    Hoja pretraqueal Ø  Seextiendepor debajo de la superficial entre los músculos omohioideos, lateralmente y hioides , esternón y escápula superorinferiorme nte.
  • 57.
    Hoja prevertebral Ø  Recorre la columna vertebral y la musculatura cervical profunda: l  Largo del cuello l  Largo de la cabeza l  Escalenos
  • 58.
  • 59.
    Músculos del cuello Platisma O:Fascia que cubre a los músculos pectoral mayor y deltoides I: Borde inferior de la mandíbula A: Tracciona posteroinferiormente el ángulo oral depresor de mandíbula y arrugador transversal del integumento cervical
  • 60.
    Músculos del cuello Esternocleidomastoideo O:Manubrio esternal Clavícula I: Proceso mastoides A: Inflexor lateral, rotador heterolateral Extensor de cabeza Flexor de cabeza y cuello
  • 63.
    Músculos prevertebrales Músculos suprahioideos Digástrico O:Fosa digástrica de la mandíbula Incisura mastoidea del temporal I: Cuerpo y cuerno mayor del hioides A: Depresor de mandíbula Elevador y retractor del hioides Flexor accesorio de cabeza y cuello Estilohioideo O: Base del proceso estiloides I: Unión entre el cuerpo y cuerno mayor del hioides A: Elevador y retractor del hioides
  • 64.
    Músculos prevertebrales Músculos suprahioideos Milohioideo O:Línea milohioidea de la mandíbula I: Cuerpo del hioides A: Depresor de mandíbula Elevador del hioides Flexor accesorio de cabeza y cuello Elevador del piso de la cavidad oral Geniohioideo O: Espina mental I: Cuerpo del hioides A: Elevador y protractor del hioides Depresor de mandíbula
  • 65.
    Músculos prevertebrales Músculos infrahioideos Esternohioideo O:Manubrio esternal y clavícula I: Borde inferior del hioides A: Depresor del hioides Omohioideo O: Borde superior de la escápula I: Borde inferior del hioides A: Depresor del hioides
  • 66.
    Músculos prevertebrales Músculos infrahioideos Estertiroideo O:Manubrio esternal y I cartílago costal I: Línea oblicua del tiroides A: Depresor de laringe e indirectamente del hioides Tirohioideo O: Línea oblicua del tiroides I: Cuerpo y cuerno mayor del hioides A: Depresor del hioides, elevador de la laringe
  • 68.
    MÚSCULOS QUE FLEXIONANLA COLUMNA Flexores del cuello Largo del cuello L Largo de la cabeza Escaleno anterior A Escaleno medio M Escalebo posterior P
  • 69.
    Recto anterior dela cabaza Recto Lateral de la cabeza Atlas Largo de la cabeza Largo del cuello Escaleno Posterior Medio anterior 2 costilla 1 costilla
  • 70.
    Músculos prevertebrales Longo delcuello Parte oblicua superior O: Tubérculos anteriores de los procesos transversos de C3 a C5 I: Tubérculo del arco anterior del Atlas Parte oblicua inferior O: Cuerpos vertebrales de T1 a T3 I: Tubérculos anteriores de los procesos transversos de C5 a C7 Parte Vertical O: Cuerpos vertebrales de C5 a T3 I: Cuerpos vertebrales de C2 a C4 A: Flexor e inflexor lateral de cuello Rotador heterolateral de cuello
  • 71.
    Músculos prevertebrales Longo dela cabeza O: Tubérculos anteriores de los procesos transversos de C3 a C6 I: Parte basilar del occipital A: Flexor de cabeza Los músculos rectos anterior y posterior de la cabeza corresponden a los músculos intertransversarios
  • 72.
    Músculos prevertebrales Músculos escálenos Anterior O:Tubérculos anteriores de los procesos transversos de C3 a C6 I: Tubérculo escaleno de primera costilla Medio O: Tubérculos posteriores de los procesos transversos de C2 a C7 I: Primera costilla detrás del surco para la arteria subclavia Posterior O: Tubérculos posteriores de los procesos transversos de C4 a C6 I: Segunda costilla A: Inspiradores accesorios, inflexores laterales rotadores homolaterales y flexores de cuello
  • 74.
    MUSCULOS DE LAREGION POSTERIOR DEL CUELLO MUSCULOS SUBOCCIPITALES Recto posterior menor de la cabeza O: tubérculo posterior del Atlas I: 1/3 Medial de la línea nucal inferior A: extensor de cabeza
  • 75.
    MUSCULOS SUBOCCIPITALES Recto posteriormayor de la cabeza O: proceso espinoso del Axis I: 1/3 medio línea nucal inferior A: extensor y rotador homolateral de la cabeza
  • 76.
    MUSCULOS SUBOCCIPITALES Oblicuo inferiorde la cabeza O: Ápex del proceso espinoso del axis I: proceso transverso del atlas A: rotador homolateral de la cabeza
  • 77.
    MUSCULOS SUBOCCIPITALES Oblicuo superiorde la cabeza O: proceso transverso del atlas I: 1/3 lateral de la línea nucal inferior A: extensor e inflexor lateral de cabeza
  • 78.
    MUSCULOS DEL DORSOY LA NUCA Ø  PLANO SUPERFICIAL Ø  PLANO MEDIO Ø  PLANO PROFUNDO
  • 79.
    Músculos del planosuperficial de la columna vertebral Región Cervical Trapecio O: 1/3 medial de la línea nucal superior Protuberancia occipital externa Ligamento nucal Procesos espinosos de C7 a T12 Ligamentos supraespinales I: Tercio lateral de la clavícula Borde medial del Acromión Espina de la escápula A: Elevador y rotador superior de escápula Depresor y rotador superior de escápula Retractor de escápula Extensor de cuello y cabeza Inflexor lateral y rotador heterolateral de cabeza
  • 83.
    Músculos del planomedio de la columna vertebral Región Cervical Elevador de la escápula O: Tubérculos posteriores de los procesos transversos de C1 a C4 I: Borde medial de la escápula (ángulo superior) A: Elevador y rotador inferior de escápula Extensor de cuello Inflexor lateral y rotador homolateral de cuello
  • 84.
    Región Cervical Esplenio dela cabeza O: Procesos espinosos de C7 a T3 Ligamento nucal I: Mitad inferior y lateral de línea nucal superior Proceso mastoides A: Extensor e Inflexor lateral de cabeza Rotador homolateral de cabeza
  • 85.
    Región Cervical Esplenio delcuello O: Procesos espinosos de T3 y T6 I: Tubérculos posteriores de los procesos transversos de C1 a C4 A: Extensor e Inflexor lateral de cuello
  • 91.
    ERECTOR DE LACOLUMNA SILO
  • 93.
  • 94.
  • 95.
    Rotadores Multifidos semiespinal Cortos y largos
  • 96.
  • 98.
  • 99.
  • 100.
    MÚSCULOS SEGMENTARIOS Músculos interespinosos
  • 101.
    Músculos del planoprofundo de la columna vertebral Región Cervical Iliocostal del cuello O: Angulo de costillas 1 a 5 I: Tubérculos posteriores de los procesos transversos de C4 a C6 A: Extensor e Inflexor lateral y rotador homolateral de cuello
  • 102.
    Región Cervical Longuísimo delcuello O: procesos transversos de T1 a T5 I: Tubérculos posteriores de los procesos transversos de C2 a C6 A: Extensor e Inflexor lateral y rotador homolateral de cuello Longuísimo de la cabeza O: procesos transversos de T1 a T5 I: Borde posterior del proceso mastoides A: Extensor e Inflexor lateral y rotador homolateral de cabeza
  • 103.
    Región Cervical Espinal delcuello (inconstante) O: Procesos espinosos C7 a T2 I: Procesos espinosos C2 a C4 A: Extensor e Inflexor lateral y rotador homolateral de cuello Espinal de la cabeza Se confunde con el semiespinal de la cabeza
  • 104.
    Región Cervical Semiespinal delcuello O: Procesos transversos de T1 a T6 I: Tubérculos posteriores de los procesos transversos de C2 a C5 A: Extensor y rotador heterolateral de cuello Semiespinal de la cabeza O: procesos transversos de T1 a T6 I: Procesos articulares de C4 a C7 Línea nucal superior e inferior A: Extensor y rotador heterolateral de cabeza
  • 105.
    Región Cervical Multífidos O: Procesosarticulares C4 a C7 I: Borde inferior de laminas y procesos espinosos desde C7 a C2 A: Extensor, inflexor lateral y rotador heterolateral de cuello
  • 106.
    Región Cervical Rotadores O: Procesostransversos I: Procesos espinosos A: Rotador heterolateral de cuello
  • 107.
    Región Cervical Intertransversarios O: Procesostransversos I: Procesos transversos A: inflexor lateral de cuello
  • 108.
    Anatomía de Superficiede Columna Vertebral Protuberancia Occipital Externa C1 C2 C6 C7 T1 T3 T7 L4 S2 S3
  • 112.
  • 114.
    Biomecánica de laColumna Vertebral y Cadera
  • 118.
    Más del 90%de los sujetos presentan un desequilibrio postural: Aumento Dorso plano Normal de Escápula (escápula Disminución curvas posterior anterior) de curvas
  • 119.
    ALTERACIONES DE LACOLUMNA VERTEBRAL Ø  ESCOLIOSIS Consecuencias: - Fatiga en la columna. - Alteración de la apariencia física y estética - Alteraciones visuales. - Disminución del descanso nocturno. - Dolor. - Enfermedades degenerativas. - Problemas respiratorios. - Otros.
  • 121.
    ALTERACIONES DE LACOLUMNA VERTEBRAL ALTERACIONES EN LA COLUMNA VERTEBRAL (I) HIPERLORDOSIS LUMBAR: HIPERLORDOSIS LUMBAR Es un aumento exagerado y progresivo de la curva lumbar Es un aumento exagerado y progresivo de la curva lumbar fisiológica. fisiológica 2 actitudes posturales son las que inducen a a esta patología: 2 actitudes posturales son las que inducen esta patología: Anteversión Antepulsión pélvica pélvica
  • 122.
    ALTERACIONES DE LACOLUMNA VERTEBRAL CIFOSIS: Es un aumento de la curvatura dorsal por causas patológicas. Común en adolescentes en el periodo de crecimiento.
  • 123.
    ALTERACIONES DE LACOLUMNA VERTEBRAL •  ESCOLIOSIS: Es cualquier desviación lateral de la columna en el plano frontal. - Leve - Grave - Muy grave Más frecuente en el sexo femenino. Suele aparecer entre los 9 y los 14 años. Escoliosis funcional o actitud Escoliosis estructurada: escoliótica: Ø Zonas afectadas rígidas Ø Zonas afectadas flexibles Ø Acompañada de: Ø Malos hábitos posturales - Acuñamiento vertebral Ø Puede ser corregida - Rotación vertebral
  • 126.
  • 127.
    Test de laPLOMADA
  • 128.
  • 129.
    Método de Cobb:para medición del grado de curva de la escoliosis Ø  Se traza una línea paralela a la superficie de los cuerpos de los extremos de las curvas y luego una línea perpendicular a la línea ya trazada: el ángulo que se forma con estas dos líneas perpendiculares es el ángulo que representa la magnitud en grados de la desviación de la columna. Las vértebras de los extremos de la curva son los últimos que miran hacia la concavidad de ella.
  • 130.
  • 134.
    Desplazamiento de imagende los pedículos Ø  El proceso espinoso semeja una "cara de lechuza" en la proyección A.P., en que la nariz es la apófisis espinosa y los ojos los pedículos. Ø  Cuando el cuerpo vertebral esta rotado los ojos migran, uno hacia fuera de los límites del cuerpo y el otro hacia la línea media.
  • 138.
  • 139.
  • 140.
  • 143.
  • 144.