BIOLOGIA CELULAR


   JUAN CARLOS MUNEVAR. Od.
   Postgrado en Biología Oral. MSc.
   D.E.A Biología Ósea.
   Especialista en Bioética
   Especialista en Docencia Universitaria.
LA CELULA
  Las células son altamente complejas y organizadas.
       Átomos       moléculas        polímeros
       Complejos subcelulares           organelos       células
  Cada célula tiene una apariencia consistente : localización y
forma de los organelos y cada organelo tiene una
composición consistente y similar de macromoléculas.
        Ej. Células epiteliales intestinales.
  Cultivos celulares: células HELA
  Las células poseen un programa genético y los mecanismos para
        utilizarlo.
  Las células se reproducen por división, proceso en el cual una
célula madre da origen a dos células hijas
Las células adquieren y utilizan energía.
        En los animales la glucosa se encuentra empacada.
        En los humanos la glucosa es liberada por el hígado a la sangre
para distribuirse a las células del cuerpo. ATP
  Las células efectúan reacciones bioquímicas: necesitan energía.
Metabolismo
  Actividades mecánicas: transporte de materiales, ensamble y
desensamble de estructuras.
  Cambios dinámicos y mecánicos dentro de la célula . Desplazamiento
  Las células son capaces de responder a estímulos
        Receptores para hormonas, factores de crecimiento etc.
Vías de señalización en respuesta a estímulos: Actividades
metabólicas, división celular, movimiento celular, apoptosis,
envejecimiento.
  Autorregulación: reparación del DNA, apoptosis,
PROCARIOTAS- EUCARIOTAS

        Membrana plasmática de diseño similar

        Presencia de ADN

        Mecanismos de trascripción y transducción similares

        Vías metabólicas compartidas: glicólisis, ciclo de krebs

        Aparatos similares para la conservación de la energía química como ATP

        PROTEOSOMAS


PROCARIOTAS- EUCARIOTAS
División de la célula en núcleo y citoplasma, separadas por una envoltura nuclear que contiene un
     complejo de poros
Cromosomas complejos: ADN + proteínas asociadas
Complejos organelos membranosos citoplasmáticos: RER, Aparato de Golgi,
Lisosomas, endosomas, peroxisomas, glioxisomas
Organelos citoplasmáticos especializados en la respiración aerobia
Sistema de citoesqueleto: Microfilamentos, filamentos intermedios, microtubulos
Flagelos y cilios
Endocitosis y fagocitosis
Paredes celulares que contiene celulosa
Diploidia. Meiosis
LA CELULA
  Las células similares se agrupan para formar tejidos
        epitelial, conectivo, muscular, nervioso
  Los tejidos se asocian para formar órganos y estos para formar
        sistemas con funciones especificas: digestión, reproducción.
  Cada célula esta rodeada por una membrana plasmática bilipídica
  Posee organelos que le permiten sintetizar macromoléculas,
descargar sus productos, producir energía.
  Cada célula es capaz de comunicarse con otras células
  Presencia de protoplasma: citoplasma- carioplasma
        Citoplasma: agua, proteínas, electrolitos, carbohidratos en
        donde están disueltas sustancias químicas y orgánicas. En el
        están suspendidos los organelos, estructuras
metabólicamente activas con funciones específicas
LA CELULA
  Movimiento y la señalización intracelular dependen de un sistema de
       tubulos y filamentos intermedios: citoesqueleto
  Presencia de inclusiones: productos metabólicos de desecho,
almacenamiento de nutrientes, cristales inertes y pigmentos.
  Ciclo celular: mitosis (cariocinesis) y citocinesis.
   Las membranas celulares delimitan varios compartimentos
intracelulares:
        Núcleo, mitocondria, REL, RER, aparato de Golgi,
        vesículas, lisosomas, peroxisomas.
ORGANELOS CELULARES
  ORGANELOS      ORGANELOS NO
 MEMBRANOSOS      MEMBRANOSOS
 • PLASMALEMA      • NUCLEOLO
   • NUCLEO.      • RIBOSOMAS
   • RETICULO    • CITOESQUELETO
ENDOPLASMATICO
                  • CENTRIOLOS
 • APARATO DE
     GOLGI.         • CILIOS Y
                     FLAGELOS
• MITOCONDRIA
                 • INCLUSIONES
 • LISOSOMAS     CITOPLASMICAS
  • VESICULAS
Membrana
   plasmática

  Bicapa fosfolipídica: compartimentos, superficie para reacciones
bioquímicas esenciales.
  Integridad estructural de la célula
 Control del paso de sustancias: permeabilidad selectiva
  Regula las interacciones entre las células
 Reconocimiento por medios de Rc de Ag, células extrañas y alteradas.
 Interfase entre le citoplasma y el ambiente externo.
  Sistema de transporte para moléculas específicas
  Efectúa transducción de señales físicas, químicas, mecánicas en
acontecimientos intracelulares.
COMPOSICION MOLECULAR Y
      BIOQUÍMICA
COMPOSICION MOLECULAR Y
         BIOQUÍMICA
   En la membrana celular existen otras moléculas anfipáticas:
glucolípidos y colesterol.
  Los ácidos grasos insaturados     la fluidez de la membrana y el
       colesterol la disminuye:   difusión lateral de proteínas de
       membrana y movilidad celular.
  Proteínas Integrales: transmembrana que a menudo forman canales
        iónicos o sirven como transportadores. Proteínas de membrana
        multipaso. Receptores de membrana
  Proteína de superficie: periféricas. Ubicadas sobre la cara
citoplasmática de la membrana celular, en ocasiones en la
superficie extracelular. A menudo se relacionan con el sistema   de
segundos mensajeros o con el citoesqueleto.
GLUCOCALIZ
  Cubierta externa de la membrana celular.
  Constituida por carbohidratos unidos covalentemente a las
proteínas transmembranales y a los fosfolípidos de la cara
externa.
   Protegen contra la interacción con proteínas inapropiadas,
lesiones químicas, físicas.
  Reconocimiento y adhesión entre células.
      Neutrófilo-Endotelio
      Cascada de coagulación sanguínea
      Proceso Inflamatorio
NUCLEO CELULAR
GENERALIDADES
CONTENIDO: ADN, proteínas nucleares y nucléolo
FORMA: esférica u ovoide. Diámetro aprox. 5 – 10 µm
Organelo basófilo. (Tinción hematoxilina – eosina)

Posee   dos   membranas concéntricas:
                º Membrana interna: proteínas específicas de
                membrana, anclaje de proteínas filamentosas (láminas)
                º Membrana externa: continua con el Retículo
                endoplásmico, puede asociarse con ribosomas.
La membrana nuclear posee unos complejos de PORO
                Continuidad entre citosol y núcleo.
Eucromatina

Cubierta nuclear

Lámina nuclear

  Heterocromatina

  Nucléolo

  Poro nuclear


  Retículo endoplásmico


  Ribosomas
COMPLEJO DE PORO NUCLEAR
Diámetro: 80 – 100 nm.
Abarca las dos membranas nucleares.
Constituido por 4 elementos:
                 ANDAMIO: Conectado a las membranas.
                              Brinda sostén al transportador
                              Ofrece conductos de difusión
                 SUBUNIDAD TRANSPORTADORA: Eje o centro
                               Transporta material (al interior / al exterior)
                 FILAMENTOS GRUESOS: Fijación de proteínas
                 CANASTILLA. Se desensambla en ausencia de Ca     2+


                               Transporte de ARN

Difusión simple de iones y moléculas pequeñas.

Partículas   >   11 nm = TRANSPORTE MEDIADO POR RECEPTOR
COMPLEJO DE PORO NUCLEAR
                             Filamento grueso
          Subunidad anular             Subunidad
            citoplásmica               transportadora
                                          Membrana
                                           externa




Andamio
                                      Membrana
                                       interna

 Subunidad anular
  nucleoplásmica                        Canastilla
El núcleo contiene ADN enrollado alrededor de proteínas especializadas
denominadas histonas para formar nucleosomas
           Los nucleosomas: estructuras globulares que se repiten como un
rosario.
        El rosario de nucleosomas se enrolla en filamentos de 30 nm de
diámetro para constituir la cromatina.
  La distribución de la cromatina no es uniforme:
                   distintos grados de plegamiento (transcripción de genes)
                   EUCROMATINA: ADN transcrito activamente
                   HETEROCROMATINA: Forma transcripcional inactiva
                                          Adyacente a la membrana nuclear.
30 nm




                                    11 nm   2 nm

                   300 nm
          700 nm




1400 nm
EL NUCLEOLO
Area esférica dentro del núcleo
DIAMETRO: 1 –3 µm
     Su tamaño aumenta cuando se presenta una transcripción activa de
     genes
     Las células metabólicamente activas tiene múltiples nucléolos
Doble afinidad por colorantes acidófilos y basófilos
Posee ARN ribosomal (futuras subunidades ribosomales) y proteínas.
Se distinguen 4 regiones (M.E.T):
              PARS AMORFA: Bucles de ADN (genes del ARN ribosomal)
              PARS FIBROSA: Transcritos de ARNr
              PARS GRANULOSA: Subunidades ribosomales en maduración
              MATRIZ NUCLEOLAR: Red fibrilar (organización nucleolar)
EL NUCLEOLO
PARS AMORFA: (coloración pálida)
             Extremos de cromosomas 13, 14, 15, 21 y 22. (humano)
             Genes que codifican el ARN ribosomal.
             Se localizan las regiones organizadoras nucleolares (NOR)
Se observa sólo durante la interfase
             Se disipa durante la división celular
Generalmente son 2 o 3 nucléolos por célula
             El número y tamaño se relacionan con la especie y la
             actividad sintética de la célula
             Puede ocupar hasta el 25% del volumen nuclear .
             En células neoplásicas se torna hipertrófico
SISTEMAS DE ENDOMEMBRANAS
RETÍCULO ENDOPLASMÁTICO
APARATO DE GOLGI
VESÍCULAS DE TRANSPORTE   SISTEMA DE
LISOSOMAS                 ENDOMEMBRANAS
ENDOSOMAS




NÚCLEO
MITOCONDRIAS              FUNCIONAMIENTO
                                NO
PEROXISOMAS               INTERCONECTADO
CLOROPLASTOS
RETICULO ENDOPLASMICO
  El R.E. y el aparato de Golgi son regiones independientes.
                Comunicadas por una misma estructura rodeada de
                membrana
  Participan en la biosíntesis y transporte de proteínas y lípidos.
                Su cantidad depende de las necesidades metabólicas
                de la célula
  Se organizan como capas de membranas muy plegadas y aplanadas
 o de perfil tubular elongado.
                Es el sistema membranoso de mayor tamaño de la
                célula (casi la mitad del volumen del plasmalema)
  Es un sistema de túbulos y vesículas interconectados cuya lumen se
conoce como CISTERNA.
RETICULO ENDOPLASMICO
PROCESOS METABOLICOS QUE SE EFECTUAN:
          º Síntesis y modificación de proteínas
                 (Plegamiento, sulfatación, hidroxilación,etc)
          ª Síntesis de Lípidos y esteroides
          º Detoxicación de compuestos tóxicos o dañinos
          º Elaboración de membranas celulares
El RETICULO ENDOPLASMICO tiene 2 componentes:

          R.E. RUGOSO
          R.E. LISO
RETICULO ENDOPLASMICO LISO
   Constituido por túbulos anastomosados y vesículas aplanadas
fijadas a membranas
  Lugar de procesamiento de proteínas sintetizadas, de lípidos
celulares (fosfolípidos de membrana)
   Las enzimas que participan en la síntesis de lípidos se
localizan en la cara externa
               Rápido acceso a precursores.
               Al incorporarse en la cara externa se
               internalizan mediante “proteínas volteadoras”
  El R.E.L es abundante en células activas en:
              - síntesis de esteroides
              - síntesis de colesterol y triglicéridos
              - destoxicación de compuestos
RETICULO ENDOPLASMICO RUGOSO
  Abundante en células que funcionan en la síntesis de proteínas
que se exportan
   Las membranas de este organelo poseen proteínas integrales
que funcionan en:
1. el reconocimiento y fijación de ribosomas.
       - Receptor de la partícula de reconocimiento de señal

       - Proteína receptora del ribosoma (Riboforina I, II)
       - Proteína del poro.
2. Conservación de la morfología aplanada del R.E.R.
  La cisterna del R.E.R se continúa con la cisterna perinuclear
FUNCIONES
  Síntesis de proteínas que se van a empacar
o a descargar al plasmalema.
   Modificaciones postraduccionales
(glucosilación, sulfatación...)
  Síntesis de lípidos y proteínas de los
organelos.
RIBOSOMAS
RIBOSOMAS
 Partículas pequeñas. Ancho= 12 nm. Longitud= 25 nm aprox.
  Funciona como superficie para la traducción.
  Compuestos por una subunidad pequeña y una subunidad
grande.
              Sintetizadas en el nucléolo.
              Liberadas como entidades separadas al citosol
  La subunidad pequeña tiene un valor de sedimentación de 40S
              Compuesta por 33 proteínas y RNAr 18S
  La subunidad grande tiene un valor de sedimentación de 60S.
              Contiene 49 proteínas y 3 RNAr (5S, 5.8S, 28S)
Componentes del Ribosoma
LA SUBUNIDAD PEQUEÑA
                                    Sitio de fijación del RNAm
                                    Sitio P (peptidil tRNA)
                                    Sitio A (AMINOACIL tRNA)




  LA SUBUNIDAD PEQUEÑA Y GRANDE se localizan en el
citosol de manera individual
  El RIBOSOMA se forma cuando se inicia la síntesis de
proteínas
APARATO DE GOLGI
Síntesis de carbohidratos (polisacáridos).
  Procesamiento de macromoléculas sintetizadas.
       Modificación y ordenamiento de proteínas.
   Las vesículas que brotan del R.E.L se funden con la cara
interna del Golgi.(proceso ATP dependiente)
       - Las proteínas de membrana se incorporan a la membrana del
       Golgi.

       - Las proteínas luminales entran en el espacio de Golgi


  Se divide en 3 componentes funcionales:
       a. Cara cis o convexa (cercana al R.E.R = de entrada)
       b. Cara medial
       c. Cara trans o cóncava (opuesta al R.E.R = de salida)
El aparato de Golgi está compuesto por cisternas limitadas por
membranas ligeramente curvas y aplanadas, que no están en contacto
       APILAMIENTO DE GOLGI
  La periferia de cada cisterna está dilatada y tachonada de vesículas
       Proceso de gemación y fusión.
  Las vesículas de transporte que llegan desde el R.E.R se fusionan por
mecanismos dependientes de energía con la cara CIS
       - Descargando su contenido en la cisterna
              a. En la CCG se devuelven las proteínas destinadas a
              conservarse en el R.E.R. (VIA MEDIADA POR MICROTUBULOS)
              b. Las proteínas se transfieren hacia la cisterna MEDIAL y
              TRANS (Vesículas no recubiertas)
FUNCIONES
 Modificación de macromoléculas.
                      adición de oligosacáridos.
  Proteolisis de péptidos a formas activas.
  Clasificación de diferentes moléculas (vesículas)
              Incorporar en las biomembranas.
              Transporte a organelos.
              Secreción extracelular.
  Las proteínas sintetizadas y empacadas en el R.E.R deben
seguir una vía predeterminada hacia el GOLGI
               Modificación y empaque post traduccional.
               Las proteínas destinadas al R.E.R. o a otro
              organelo distinto poseen una señal que las dirige.
Procesamiento ordenado de los
 oligosacáridos en RE y Golgi
Compartimentalización funcional del Golgi



M6P a enzimas
lisosomales
Maduración N-
oligosacáridos
Unión O-
oligosacáridos
Proteoglicanos
Maduración
proteínas:
hidrólisis de
precursores,
condensación
MITOCONDRIAS
LOCALIZACION
ESTRUCTURA MITOCONDRIAL
MEMBRANAS
   EXTERNA
    Fosfolípidos, colesterol y proteínas(50%). Envoltura lisa,
    muy permeable a moléculas con PM ⇓ 5 Kda. Presenta
    porinas (poros 1 nm).

   INTERNA                            Cadena respiratoria
    Proteinas (76% peso total).        ATP sintasa
                                        Prot. transporte
    Fosfolípidos, ⇓ colesterol y ⇑ en cardiolipina.
    Invaginaciones: Crestas.
PROTEINAS DE TRANSPORTE




   ESPACIO
   INTERMEMBRANA      MATRIZ
FOSFATIDILGLICEROL: CARDIOLIPINA
COMPARTIMENTOS
   ESPACIO INTERMEMBRANA
    Químicamente equivalente al citosol (iones y
    pequeñas moléculas).
    Enzimas degradación de lípidos y ácidos grasos.

   MATRIZ MITOCONDRIAL
    ⇑ [] proteínas (hasta 500 mg/ml). Enzimas oxidación
    piruvato, ciclo de Krebs, fosforilación oxidativa y β-
    oxidación. mtDNA, tRNA, rRNA y mt mRNA, enzimas
    requeridas para expresión genes.
    Gránulos densos (fosfato de calcio)
ORIGEN: HIPÓTESIS ENDOSIMBIÓTICA
ORIGEN: HIPÓTESIS ENDOSIMBIÓTICA

   dsDNA circular desnudo
   rRNA (16S y 12S), ribosomas más pequeños
    (55S).
   Mecanismo de autoreproducción propio.
   Composición de membranas externa e interna.
    Externa: similar membrana celular eucariótica.
    Interna: similar membrana celular procariótica
   Antibióticos (cloranfenicol, eritromicina o
    tetraciclina) que inhiben síntesis proteica
    bacteriana también actúan sobre mitocondrias.
GENOMA MITOCONDRIAL
   dsDNA circular, múltiples copias por organelo. 16.5
    Kb unido a la membrana interna
                           22 tRNAs
   mtDNA: 37 genes          2 rRNA
                           13 mRNA

   Todos los RNAs mitocondriales son sintetizados en el
    organelo.
   Las enzimas de replicación, transcripción, traducción
    y reparación son codificadas por genes nucleares.
   Los transcritos de mtDNA y sus productos
    permanecen en mitocondria (no exportación).
CARACTERÍSTICAS
•   Poliplasmia: múltiples copias de mtDNA por organelo.
•   No evidencia de recombinación en mtDNA: homoplasmia.
•   mtDNA mamífero no contiene intrones
•   mtDNA se transcribe como un transcripto primario largo
    (tRNAs, rRNAs, mRNAs)
•   Genera 22 tRNA en lugar de 31 que codifica nDNA.
•   Ribosomas más pequeños 55S.
•   La tasa de mutación es 10 veces mayor en mtDNA que en
    DNA nuclear: (no histonas ni sistemas de reparación de DNA)
•   Origen exclusivamente materno.
•   Código genético propio ( 4 de 64 codones).
CODIGO GENETICO
IMPORTACIÓN DE PROTEÍNAS A MATRÍZ

1) Interacción con chaperona molecular
   (desplegamiento)
2) Reconocimiento del péptido señal o
   presecuencia por receptor
3) Traslocación a través de la membrana
   externa
4) Traslocación a través de membrana interna
   (Potencial de membrana)
5) Eliminación de presecuencia por proteasas
6) Interacción con chaperonas de matriz
   (Plegamiento)
IMPORTACIÓN HACIA OTROS DESTINOS
   Membrana externa: interacción con receptores e
    inserción directa en membrana.
   Membrana interna, espacio intermembranal:
        Modelo conservativo: Importación a matriz y luego
         transportadas a su destino final.
        Modelo no conservativo: 3 mecanismos
    -Traslocación directa a través de membrana externa a
     espacio intermembranal
    - Traslocación a través de membrana externa e
     inserción en membrana interna
    - Inserción en membrana interna y liberación a espacio
     intermembranal (clivaje)
MODELO CONSERVATIVO
MODELO NO CONSERVATIVO
IMPORTACIÓN DE FOSFOLÍPIDOS A LA
          MITOCONDRIA

                                          CARDIOLIPINA


                     CITOSOL
            Complejo proteína + lípido




       Proteína
       transportadora de
       fosfolípidos

                    Fosfatidilcolina o
  RE              fosfatidiletanolamina   MITOCONDRIA
DIVISIÓN DE LAS MITOCONDRIAS
• Fisión binaria de mitocondrias pre-existentes.
• ¿Cómo? Duplicación de masa y posterior división
  por la mitad.
• ¿Cuándo? Proliferación celular y renovación.
• Ocurre durante todo el ciclo celular (Interfase y
  mitosis).
• mtDNA se replica a lo largo del ciclo celular.
• No todas las mitocondrias se multiplican.
• Número de organelos / célula depende de
  requerimientos energéticos.
DIVISIÓN MITOCONDRIAL
FUNCIÓN MITOCONDRIAL
• Células requieren energía para realizar sus
  actividades básicas.
• La energía proviene de la ruptura gradual
  de enlaces covalentes de moléculas de
  compuestos orgánicos ricos en energía.
• El ATP, compuesto inestable, constituye
  fuente de energía más fácilmente utilizable.
• Mecanismos para retirar energía de
  nutrientes: la glicólisis (citoplasma) y el ciclo
  de Krebs acoplado a fosforilación oxidativa
  (mitocondria).
ADENOSÍN-TRIFOSFATO ATP
METABOLISMO DE CH EN EUCARIOTAS
GLICÓLISIS
   Ruta oxidativa universal de CH.
                    No requiere O2
   Ruta en la cual intervienen 10 enzimas.
   2 fases: preparatoria y fase de oxidaciones y
    producción de energía.
   La célula obtiene por oxidación de 1 glucosa:
    2 ATP por fosforilación a nivel de sustrato
    2 NADH = 4 o 6 ATP por fosforilación
    oxidativa
    2 Piruvato (3 carbonos)
METABOLISMO ENERGÉTICO MITOCONDRIAL
Citosol
                               Glicólisis


                                              Ala
 β -oxidación de               Piruvato
  ácidos grasos                               Cis
                                              Gli
                                              Ser
                                              Tre

   Matriz            AcetilCoA
mitocondrial               0
                          =

                      CH3 - C - SCoA


               CICLO DEL ACIDO CÍTRICO O DE
                          KREBS
CICLO DE KREBS, DEL ÁCIDO CÍTRICO O DE
LOS ÁCIDOS TRICARBOXÍLICOS
   Científico que descubrió el ciclo, ácido citrico (ácido
    tricarboxílico) es el primer intermediario.
   Todas las macromoléculas que suministran energía a
    las células se descomponen en metabolitos del ciclo
    del ácido cítrico.
   La célula obtiene por molécula de acetilCoA oxidada:
    1 GTP por fosforilación a nivel de sustrato
    3 NADH = 9ATP por fosforilación oxidativa
    1 FADH2 = 2 ATP por fosforilación oxidativa
   AcetilCoA + 2H2O + FAD + 3 NAD + GDP + Pi
       2CO2 + FADH2 + 3 NADH + 3H+ + GTP + CoASH
CADENA RESPIRATORIA O DE TRANSPORTE DE
ELECTRONES
   Cadena, formada por enzimas y compuestos no
    enzimáticos, cuya función es transportar electrones
    que van gradualmente cediendo energía.
   Constituido por 4 complejos enzimáticos
    respiratorios: I, II, III, IV.
   Complejo I: NADH deshidrogenasa (41 polipéptidos).
   Complejo II: Succinato deshidrogenasa (4
    polipéptidos).
   Complejo III: Citocromo b-c1 (11 polipéptidos).
   Complejo IV: Citocromo C oxidasa (13 polipéptidos).
GRADIENTE ELECTROQUÍMICO
ATP SINTASA
• Toxinas endógenas y/o
   Mutaciones genes que                        exógenas
   codifican subunidades
   OXPHOS: mtDNA y nDNA                 •Mutación nDNA genes
                                       no subunidades OXPHOS



               Alteraciones en metabolismo
          mitocondrial: no fosforilación oxidativa



     DEFECTOS                        DEFECTOS SECUNDARIOS
     PRIMARIOS


ENFERMEDADES POR DEFICIENCIA MITOCONDRIAL
•• Cerebro y músculo altamente dependientes de energía
    Cerebro y músculo altamente dependientes de energía
•• Manifestaciones más comunes: Alteraciones
    Manifestaciones más comunes: Alteraciones
   neurológicas y las miopatías.
    neurológicas y las miopatías.
•• Heterogeneidad clínica: pueden afectar desde un
    Heterogeneidad clínica: pueden afectar desde un
   órgano hasta enfermedad multisistémica severa.
    órgano hasta enfermedad multisistémica severa.
   Relación mtDNA mutado //mtDNA salvaje
    Relación mtDNA mutado mtDNA salvaje
   Variación en umbral de expresión bioquímico para
   Variación en umbral de expresión bioquímico para
   mutación y tejido.
    mutación y tejido.
   Efecto modulador de genes nucleares y otros
    Efecto modulador de genes nucleares y otros
   mitocondriales.
    mitocondriales.
   Requerimientos energéticos de los tejidos u órganos.
    Requerimientos energéticos de los tejidos u órganos.
DEFECTOS PRIMARIOS
        DEFECTOS PRIMARIOS
             •Síndrome de Kearns-Sayre
             •Neuropatía óptica hereditaria de
             Leber (LHON)
mtDNA
             •Debilidad neurogénica, ataxia y
             retinitis pigmentosa (NARP)
             •Enfermedad de Leigh


             •Enfermedad de Leigh: flavoproteína
             de SDH (Complejo II) y polipéptidos
             Complejo I
nDNA
             •Encefalomiopatía: Polipéptido de 18
             kDa Complejo I
DEFECTOS SECUNDARIOS
                               •Frataxina: Ataxia
             Proteínas         de Friedreich
             mitocondriales:   •Surf-1: Síndrome
             no OXPHOS         de Leigh COX
                               deficiente
Mutaciones
 nDNA
             Proteínas no      •Huntingtina:
             mitocondriales    Enfermedad de
                               Huntington


  Toxinas    Cianuro           Inhibición de
 exógenas    azidas            citocromo c
                               oxidasa
MITOCONDRIA Y ENVEJECIMIENTO

• Aumento de edad: acumulación de mutaciones
  en mtDNA de varios tejidos (cerebro y músculo)
• La acumulación de mutaciones en el mtDNA
  lleva a reducción de la capacidad de
  fosforilación oxidativa (complejos I y IV).
• Incremento de enfermedades relacionadas con
  edad como: falla cardiaca, demencia, diabetes
  mellitus y neurodegeneración.
LISOSOMAS
LISOSOMAS
LOCALIZACION
   Se encuentran en el citoplasma celular
   Puede haber más de un lisosoma en una célula.


      Lisosomas

                                      Célula vegetal
LISOSOMAS
   Vesícula contiene enzimas digestivas
LISOSOMAS
   50 Diferentes enzimas degradativas
   Hidrolasas ácidas
       Activo pH 5 (interior del lisosoma)
       Inactivo en el citosol a pH 7.2
   pH ácido de los lisosomas es
    mantenido por una bomba de
    protones en la membrana lisosomal
       Requiere ATP, (como la mitocondria)
   Lisosoma primario
       Transporte del Golgi
       Materiales exogenos,
        organelos deteriorados

   Lisosoma secundario
       Fusión de primarios con
        un endosoma or
        fagosoma.
       Usualmente mas denso.
FUNCION
   Adquisición de nutrientes
   Los lisosomas también pueden ayudar a las
    células a auto renovarse.
   El hígado humano es reciclado cada semana
    por los lisosomas.
       Los lisosomas ayudan a las células a renovarse
   Defensa del huésped
       Ej., destrucción de células sanguíneas con bacterias.
FUNCION
   Digerir macromoléculas,
    partes celulares viejas y
    microorganismos.
   Sucede cuando una
    vacuola llena se combina
    con un lisosoma para
    formar una vacuola
    digestiva.
Vías lisosomales
                            Lisosoma
                                                 Fagosoma
                            secundario

                                                                   Fagocitosis




                             is
                           os
                    c it
                                         Lisosoma


                  go
                                         secundario                Pinocitosis
               Fa                   is                Vesicula
                               citos
                          pino                        pinocotica
                    Rec
    Lisosoma           ept
                          o
    primario          end r med
                          ocit iand                                Revestido
                              osis  o
               Autofa




                                                                   RME
                                   Lisosoma
                     go




                                   secundario                      Reciclaje de
                                                       Endosoma
                                                                   Receptores de
                                                                   membrana
          Lisosoma
                                                 Vacuola
          secundario
                                                autofagica
Vías lisosomales


    Cuerpo residual
Deficiencia de enzimas lisosomales
Enfermedad Tay
            Sach’s
• Una enfermedad debida a
    un defecto en almacena-
    miento lisosomal.
•   Debido a una mutación en enzimas
    lisosomales.
 Β-N-hexosaminidasa-A*
• Acumulos de glicolípidos no
  degradados dentro de
  lisosomas.
• Encontrado en neuronas del
  SNC.                             Inclusiones Whorled (cuerpos lamelares)
                                        ayudan a identificar Tay Sach’s
CELULAS CON LISOSOMAS


     Todas las células tienen
      lisosomas, pero algunas
      células son distinguidas
      por la abundancia de
      lisosomas.
MACROFAGOS

   Incluidos histiocitos y
    células presentadoras de
    antígenos (APCs)

   Fagocito profesional ,
    consumen desechos y
    antígenos del tejido
    conectivo.

   Originalmente es un
    monocito.
Lisosomas primarios y secundarios
del macrófago




         Primario    Secundario
NEUTROFILO
                           *
   Un fagocito
    profesional.

   Primera célula ante
    una infección.

   Componente principal
    del pus .
PROMIELOCITO
   Precursor de
    neutrófilos,
    basófilos y
    eosinófilos.
   Todos tienen
    lisosomas.
    # de lisosomas
    disminuye durante
    la maduración.
Osteoclastos
   Remodelado óseo.
   Células muy grandes de la
    fusión de pre - osteoclastos
    (monocitos)

   Coloración rosada H & E
    debido a la presencia del
    contenido ácido de lisosomas.
CELULAS PIGMENTADAS DE LA RETINA


   En la pared del ojo.
   La retina es una multicapa




                                       Fragmentos del
                                       fotoreceptor
                                       (membranas) son
                                       fagocitadas por
                                       estas celulas.
INCLUSIONES CELULARES

       A diferencia de los
        organelos, no tienen
        funciones especificas
       Exógenas
       Endógenas
Inclusiones celulares exógenas
   Generalmente dañinas
      Caroteno (lipido soluble)

            Abundante en zanahorias y calabazas

       Metales pesados
            Plomo y plata
       Asbestos, silicona, carbon
Inclusiones endógenas
   Gotitas de lípidos
      Encontradas en

       células adiposas ,
       hepáticas, algunas
       células que secretan
        esteroides.
      Reservas

       alimenticias
       importantes



                              FH 4.13
Glucógeno                        Note sER
   Principal almacén de
    carbohidratos
   Hígado, músculo, corteza
    adrenal.
   Requiere tinción especial
    para ser visto.
   EN MET se observan como
    agregados en forma de
    rosetas electrondensos
   Demasiado glucógeno da
    lugar a la enfermedad de
    Pompe’s:agrandamiento del
    hígado, deficiencia lisosomal.
Enzimas precursoras
   Zimogeno
       Encontrado en la porción
        apical de la célula.
       Contiene precursores de
        muchas proteínas
        enzimáticas
       Páncreas
          tripsinogeno

       Células del estomago
          pepsinogeno

       Glándulas salivares
          Precursor de amilasa
   Mucígeno
       Secreteado por células
        caliciformes
            Encontrado en células
             epiteliales del tracto
             respiratorio y
             gastrointestinal
            Liberado por exocitosis se
             mezcla con agua para
             formar moco.
            Usado para protección
       La irritación local puede
        hacer la célula lanzar
        contenido entero
Pigmentos
Melanina
   color a la piel y el pelo
   Neuromelanina encontrada en
    neuronas multipolares de la
    sustancia negra del cerebro
    medio.
   Contienen dopamina
      Enfermedad de Parkinson’s

         tremor, rigidez muscular y
           funciones motoras
          retardadas.
      Resulta de la degeneración
       de estas neuronas.
   Lipofuscina

       Función desconocida, pero
        aumenta con la edad,
        especialmente en neuronas.
       Representa la acumulación de
        desechos insolubles
        intracelulares después de la
        actividad lisosomal (cuerpos
        residuales)

       Encontrado en SNC, músculo,
        corazón e hígado.
Cristaloides
   Eosinofilos
       Tiene gránulos específicos
        angulares , cristaloides
       Ojo –gato
       Funcionan como los
        lisosomas.
       Ayuda a Eosinofilos
        infecciones parasitarias.
   Células de Leydig
    Proteicos, libremente en el
    citoplasma.
            Función desconocida.
PEROXISOMAS
PEROXISOMAS
GENERALIDADES
   Microsomas - microcuerpos - peroxisomas.
   Presentes en todas las células eucariotas.
   Abundantes en: hígado y riñón.
   Organelos rodeados por membrana simple
   0.1 - 1 µm de diámetro, redondo u oval.
   Morfológicamente similares a lisosomas.
   Contienen enzimas involucradas en variedad
    de reacciones metabólicas.
   Biogénesis similar a la mitocondrial.
NOMENCLATURA DE MICROSOMAS
   Peroxisoma: contiene al menos una
    flavinoxidasa productora de H2O2 , catalasa y
    sistema de β- oxidación. Mamíferos, vegetales.
   Glioxisoma: oxidasas, catalasa, cinco enzimas
    del ciclo del glioxilato, sistema de β- oxidación.
    Semillas germinantes - levaduras - protozoos
   Glicosomas: carecen de oxidasas y catalasas.
    Poseen siete enzimas de la glicólisis y de la
    síntesis de plasmalógenos y β- oxidación.
    Algunos protozoos (Trypanosoma brucei)
LOCALIZACIÓN
   Abundantes en tejidos activos en
    metabolismo lipídico (hígado, glándulas
    sebáceas y tej. graso). Tejido nervioso:
    oligodendrocitos productores de mielina.
   Hígado y riñón: redondos o ligeramente
    ovales. Ocupan 2.4% del volúmen celular.
   Peroxisomas hepáticos bovinos contienen
    cristales de uratooxidasa. No presente en
    tejidos humanos.
   Estrecha relación entre peroxisomas y sitios
    de síntesis lipídica como ER.
FUNCIONES
             REACCIONES CATABÓLICAS
    β - oxidación de ácidos grasos de cadena muy larga,
     ramificados y poliinsaturados (fitánico y pristánico).
    Oxidación del etanol / metanol / formato
    Oxidación de ácidos dicarboxílicos de cadena larga,
     prostaglandinas y xenobióticos.
    Catabolismo de las poliaminas y purinas.
              REACCIONES ANABÓLICAS
    Biosíntesis de plasmalógenos, colesterol y ácidos
     biliares.
    Ciclo del glioxilato (Gluconeogénesis).
    Transaminación del glioxilato.
OXIDASAS
 OXIDACIÓN      O2                           H2O2
                                             L- y D- aa, poliaminas,
                                             ácidos grasos de cadena
                     RH2             R       larga



                                  CATALASA
PEROXIDACIÓN   H2O2        R’H2                    2 H2O + R’
                      +
                                                Etanol, metanol y
                                                formato.

                      CATALASA
           2 H2O2                        2 H2O + O2
β - oxidación peroxisomal de ácidos grasos
   Sustratos: ésteres acil-CoA.
    Ácidos grasos más poliinsaturados (ácido araquidónico C20:4 ∆ 5,8,11,14).
    Ácidos grasos de cadena ramificada (ácidos fitanico y pristánico)
    Ácidos dicarboxílicos
    Prostaglandinas
    Xenobióticos con cadenas laterales acilo
   Proceso: ingreso del ácido graso a través de la
    membrana peroxisomal, activación por acil-CoA
    sintetasas en matriz y oxidación por acil-CoA
    oxidasas.
   No genera ATP (se libera calor)
   Los grupos acetil-CoA son trasportados al citosol
    donde son usados para reacciones biosintéticas.
Biosíntesis de lípidos
   Colesterol y dolicol: en peroxisomas y en el ER, en
    células animales.
   Ácidos biliares: en hígado. Derivados del colesterol.
   Plasmalógenos: importantes componentes de
    membrana en algunos tejidos (corazón y cerebro),
    aunque en otros no están presentes
CICLO DEL GLIOXILATO
FORMACIÓN
   Los peroxisomas se forman a partir de
    peroxisomas pre-existentes, mediante un
    proceso de crecimiento y fisión.
   Todas las proteínas (de matriz, integrales de
    membrana) síntetizadas en ribosomas libres
    e importadas al peroxisoma.
         Casi todas son sintetizadas en su tamaño
         final.
   Los lípidos necesarios para formar nuevas
    membranas también son importados.
   Proceso consume ATP.
             no requiere potencial de membrana.
IMPORTACIÓN DE PROTEÍNAS
   Señales blanco peroxisomales o Peroxisomal
    Targeting Signals: PTS.
   Extremo C- terminal de proteínas de matriz: secuencia
    específica de 3 aa (PTS 1). No clivada en peroxisoma.
           SKL (Serina, lisina, leucina) Ej: Luciferasa
       Sustituciones conservativas (primeros 2 aa.):
             (Ser/Ala/Cys) - (Lys/Arg/His) - Leu
   Extremo N- terminal de proteínas de matriz: secuencia
    de 9 o más aa. (PTS 2). Puede ser o no clivada en
    peroxisoma.
      Ej: Tiolasa: precursor N-terminal de 26 aa. clivados.
   Proteínas integrales de membrana: señales internas
    (stop transfer).
MODELOS ALTERNOS DE IMPORTACIÓN
          PEROXISOMAL
CLASIFICACIÓN DE ENFERMEDADES
PEROXISOMALES



 Grupo 1. Defectos del ensamblaje      Grupo 2. Déficit de una única enzima
           peroxisomal                             peroxisomal
     Síndrome de Zellweger                  X – adrenoleucodistrofia
  Adrenoleucodistrofia neonatal        Pseudoadrenoleucodistrofia neonatal
  Enfermedad de refsum infantil                 Pseudo-Zellweger
     Acidemia hiperpicólica            Deficiencia de la enzima bifuncional
Condrodisplasia punctata rizomiélica         Enfermedad de Refsum
SÍNDROME DE ZELLWEGER
   Enfermedad autosómica recesiva. Peroxisomas
    “vacios”.
   Defecto en proteínas de importación conduce a
    deficiencia peroxisomal grave. La membrana es
    ensamblada normalmente pero no hay proteinas de
    matriz.
   Ej. proteína defectuosa: factor 1 de ensamblaje
    peroxisomal.
   Alteraciones metabólicas múltiples: β - oxidación,
    biosíntesis de plasmalógenos.
   Manifestaciones clínicas: anormalidades
    neurológicas, características dismórficas,
    hepatomegalia, quistes renales múltiples.
   Órganos blanco: cerebro, hígado y riñones, muerte
    poco tiempo después del nacimiento.
ADRENOLEUCODISTROFIA LIGADA A X. (X –ALD)

   Oxidación de VLCFA está alterada específicamente, la
    de ácidos grasos de cadena intermedia (10-20 C) es
    normal.
   Los VLCFA son transportados normalmente al
    peroxisoma, pero no son esterificados al derivado acil-
    CoA y no pueden ser oxidados.
   Mutación en gen ALD. Codifica para transportador de
    CoA sintasa de ácidos grasos de cadena larga.
   Desordenes neurológicos severos en niñez que
    rápidamente llevan a muerte por acumulación de
    VLCFA en tejidos, plasma.
HIPEROXALURIA TIPO I
   Deficiencia de la enzima alanina: glioxilato
    aminotransferasa I (AGT I), peroxisomal en
    humanos.
   La falla en la detoxificación del glioxilato lleva a
    la conversión del glioxilato en oxalato con baja
    solubilidad, lo cual genera oxaluria.
   En 20% de casos, se debe a alteración en
    secuencia de entrada peroxisomal PTS. La señal
    alterada es reconocida por receptor mitocondrial
    no por el peroxisomal.
Citoesqueleto
Las tres redes de filamentos están interconectadas



                                      Actina



                                    Microtúbulos



                               Filamentos intermedios
Filamentos de actina




•5-9 nm de
diámetro
•Forman redes más
densas en el cortex
celular
•Son muy dinámicos
•Componentes:
actina y proteínas
que interaccionan
Microtúbulos




•25 nm de diámetro
•Un extremo unido al centrosoma
y otro libre en citoplasma
•Muy dinámicas: crecen y se
acortan
•Soporte de proteínas motoras:
transporte de orgánulos
•Componentes: tubulina y varias
proteínas ascociadas
                                  Tratamiento con colcemida
Filamentos intermedios
        •10 nm de diámetro
        •Muy resistentes y estables
        •Conectan con desmosomas
        •Componentes: proteínas fibrosas
        (queratina, vimentina, GFAP,
        neurofilamentos, etc)
Filamentos intermedios
1. Red que rodea el nucleo
     y se extiende hasta la   Soportan tensiones mecánicas
     membrana plasmática      mayores que los microtúbulos y la
2.   Lámina nuclear           actina
Proteínas de filamentos intermedios
  Tipo de filamento           Proteína             Localización

Lámina nuclear        Lamininas A,B y C     Lámina nuclear
                      (65.000-75.000)
Familia de las        Vimentina (54.000)    Mesénquima
vimentinas                                  (transitoria durante
                                            desarrollo)
                      Desmina (53.000)      Músculo

                      GFAP (50.000)         Glia

                      Periferina (66.000)   Neuronas

Queratinas            Tipo I (ácidas)       Células epiteliales
                      Tipo II
                      (neutras/básicas)
                      (40.000-70.000)
Neurofilamentos       NF-L, NF-M, NF-H      Neuronas
                      (60.000-130.000)
Filamentos intermedios
                                     Cada tipo varía en sus
                                     extremos lo que permite,
                                     en cada tipo celular, la
                                     interacción con diferentes
                                     componentes de la célula



Formados por proteínas
fibrilares con una región central
que contiene repeticiones en
heptada.

El tetrámero ( la unidad
fundamental) no está
polarizada.

Se desensamblan al fosforilarse
en los extremos amino.
Lámina nuclear

                 Se anclan a la
                 membrana nuclear
                 interna y sirven de
                 anclaje a la
                 cromatina




             Su fosforilación
             produce la rotura de la
             estructura nuclear en la
             mitosis
La lámina nuclear está formada por proteínas
       similares a los filamentos intermedios




                        Se ensamblan formando redes
El dímero
forma un
complejo
similar a la
miosina
Epidermolisis bullosa simple
Actina




Microtúbulos
Participación de microtúbulos en el
movimiento de orgánulos celulares


                       Imagen de campo claro



                       Inmunofluorescencia de
                       tubulina


                          Movimientos de
                      agregación y dispersión
                     de gránulos pigmentarios
                        en células de peces
Movimiento microtúbulos y vesículas en pez
La vida media de un    La vida media de una
microtúbulo es de 10   molécula de tubulina es de
        min            20 horas



                           Los microtúbulos pueden
                           formar un nuevo centro
                                 organizador
Un microtúbulo estás formado por 13 protofiamentos
  El heterodímero ab tubulina se ensambla de forma polar

Sección transversal              Vista longitudinal
La ab tubulina unida a GTP forma protofilamentos
                   más estables
Polimerización
                      de tubulina




Los Mts crecen más
 rapidamente en el
     extremo +
La inestabilidad dinámica de los Mts depende de la hidrólisis de
GTP. El GTP unido a subnidad beta se hidroliza a GDP más
lentamente que la incorporación de la subunidad al polímero
Las proteínas asociadas a microtúbulos
(MAPs y tau) modifican sus propiedades
RE   Golgi
             Las proteínas
             motoras
             asociadas a
             Mts
             determinan la
             posición de los
             orgánulos
             celulares




             RE


             Golgi
La interacción entre Mts y la red de actina
          puede polarizar la célula




                                  Linfocito T
                                  citotóxico
                                  después de
                                  reconocer
                                  una célula
                                  diana
Estructura de los microtúbulos de cilios y flagelos
    2 Mts sencillos centrales (13 subunidades)
9 dobletes de Mts especiales (1 de 13 + 1 de 11)
        Dineina ciliar (cola unida al Mt A)




 Axonema
Dineína ciliar

Es un complejo
proteico grande
de 2x106 daltons

Las colas se unen
al Mt A y las
cabezas (en una
unión dependiente
de ATP) al Mt B
El desplazamiento de la cabeza de dineína hacia el
      extremo menos del Mt B produce la flexión del cilio




Si se rompen
los puentes
entre
dobletes los
dobletes se
deslizan


Estirándose
hasta 9 veces
Corpúsculos basales

Estructura similar a centríolo:
9 tripletes con tres tipos de
mts (a, b y c)
Puente entre a y c
Los Mts de cada uno de los
dobletes del axonema ciliar se
generan por elongación de dos
de los mts del corpúsculo basal
Formación de cilios y flagelos

Cuatro cilios en
estadíos sucesivos de
formación a partir del
corpúsculo basal

Los flagelos surgen a
partir de uno de los
centríolos

En D (formación de la cola
de esperma) cada uno de
los centríolos en el proceso
de formación del flagelo y
otras estructuras
Formación de
estructura del
flagelo en
continuidad
con dos de los
Mts del
centriolo
Comparación del movimiento
     de cilios y flagelos              Cilios   Flagelos



      Movimiento   Movimiento
      ondulante    oscilante



150
mm
                                6-10
                                mm
Comparación de cilios y microvilli

                                                       Enpaquetamiento de
Epitelio del oviducto      Epitelio tráquea            cilia en protozoos e
humano                     de rata                     invertebrados




La dirección del movimiento ciliar es perpendicular a la línea entre los dos mts
centrales. Idéntica orientación del par central en todos los cilios
Herencia cortical del patrón de
            orientación de los cilios en
                    Paramecium
La orientación de los cilios se mantiene por más de 100
generaciones gracias a la duplicación estereospecífica de los
corpúsculos basales
Filamentos de actina:
•Estructuras estables y lábiles
•Actina: proteína muy
abundante en todas las células
eucariotas
•Su polimerización se acopla a la
hidrólisis de ATP
•El recambio ATP-ADP es muy
lento (minutos)
Dos tipos de filamentos de actina
Uniones de miosinas I y II a actina: posibles funciones
Modificación de la polimerización de actina por diferentes proteínas
Diversas disposiciones
de los filamentos de
  actina en la célula
Interacciones moleculares en los contactos focales
La interacción del citoesqueleto de actina con el
       sustrato en el avance de la célula
Cell

Cell

  • 1.
    BIOLOGIA CELULAR JUAN CARLOS MUNEVAR. Od. Postgrado en Biología Oral. MSc. D.E.A Biología Ósea. Especialista en Bioética Especialista en Docencia Universitaria.
  • 2.
    LA CELULA Las células son altamente complejas y organizadas. Átomos moléculas polímeros Complejos subcelulares organelos células Cada célula tiene una apariencia consistente : localización y forma de los organelos y cada organelo tiene una composición consistente y similar de macromoléculas. Ej. Células epiteliales intestinales. Cultivos celulares: células HELA Las células poseen un programa genético y los mecanismos para utilizarlo. Las células se reproducen por división, proceso en el cual una célula madre da origen a dos células hijas
  • 3.
    Las células adquiereny utilizan energía. En los animales la glucosa se encuentra empacada. En los humanos la glucosa es liberada por el hígado a la sangre para distribuirse a las células del cuerpo. ATP Las células efectúan reacciones bioquímicas: necesitan energía. Metabolismo Actividades mecánicas: transporte de materiales, ensamble y desensamble de estructuras. Cambios dinámicos y mecánicos dentro de la célula . Desplazamiento Las células son capaces de responder a estímulos Receptores para hormonas, factores de crecimiento etc. Vías de señalización en respuesta a estímulos: Actividades metabólicas, división celular, movimiento celular, apoptosis, envejecimiento. Autorregulación: reparación del DNA, apoptosis,
  • 4.
    PROCARIOTAS- EUCARIOTAS Membrana plasmática de diseño similar Presencia de ADN Mecanismos de trascripción y transducción similares Vías metabólicas compartidas: glicólisis, ciclo de krebs Aparatos similares para la conservación de la energía química como ATP PROTEOSOMAS PROCARIOTAS- EUCARIOTAS División de la célula en núcleo y citoplasma, separadas por una envoltura nuclear que contiene un complejo de poros Cromosomas complejos: ADN + proteínas asociadas Complejos organelos membranosos citoplasmáticos: RER, Aparato de Golgi, Lisosomas, endosomas, peroxisomas, glioxisomas Organelos citoplasmáticos especializados en la respiración aerobia Sistema de citoesqueleto: Microfilamentos, filamentos intermedios, microtubulos Flagelos y cilios Endocitosis y fagocitosis Paredes celulares que contiene celulosa Diploidia. Meiosis
  • 5.
    LA CELULA Las células similares se agrupan para formar tejidos epitelial, conectivo, muscular, nervioso Los tejidos se asocian para formar órganos y estos para formar sistemas con funciones especificas: digestión, reproducción. Cada célula esta rodeada por una membrana plasmática bilipídica Posee organelos que le permiten sintetizar macromoléculas, descargar sus productos, producir energía. Cada célula es capaz de comunicarse con otras células Presencia de protoplasma: citoplasma- carioplasma Citoplasma: agua, proteínas, electrolitos, carbohidratos en donde están disueltas sustancias químicas y orgánicas. En el están suspendidos los organelos, estructuras metabólicamente activas con funciones específicas
  • 6.
    LA CELULA Movimiento y la señalización intracelular dependen de un sistema de tubulos y filamentos intermedios: citoesqueleto Presencia de inclusiones: productos metabólicos de desecho, almacenamiento de nutrientes, cristales inertes y pigmentos. Ciclo celular: mitosis (cariocinesis) y citocinesis. Las membranas celulares delimitan varios compartimentos intracelulares: Núcleo, mitocondria, REL, RER, aparato de Golgi, vesículas, lisosomas, peroxisomas.
  • 7.
    ORGANELOS CELULARES ORGANELOS ORGANELOS NO MEMBRANOSOS MEMBRANOSOS • PLASMALEMA • NUCLEOLO • NUCLEO. • RIBOSOMAS • RETICULO • CITOESQUELETO ENDOPLASMATICO • CENTRIOLOS • APARATO DE GOLGI. • CILIOS Y FLAGELOS • MITOCONDRIA • INCLUSIONES • LISOSOMAS CITOPLASMICAS • VESICULAS
  • 8.
    Membrana plasmática Bicapa fosfolipídica: compartimentos, superficie para reacciones bioquímicas esenciales. Integridad estructural de la célula Control del paso de sustancias: permeabilidad selectiva Regula las interacciones entre las células Reconocimiento por medios de Rc de Ag, células extrañas y alteradas. Interfase entre le citoplasma y el ambiente externo. Sistema de transporte para moléculas específicas Efectúa transducción de señales físicas, químicas, mecánicas en acontecimientos intracelulares.
  • 9.
  • 10.
    COMPOSICION MOLECULAR Y BIOQUÍMICA En la membrana celular existen otras moléculas anfipáticas: glucolípidos y colesterol. Los ácidos grasos insaturados la fluidez de la membrana y el colesterol la disminuye: difusión lateral de proteínas de membrana y movilidad celular. Proteínas Integrales: transmembrana que a menudo forman canales iónicos o sirven como transportadores. Proteínas de membrana multipaso. Receptores de membrana Proteína de superficie: periféricas. Ubicadas sobre la cara citoplasmática de la membrana celular, en ocasiones en la superficie extracelular. A menudo se relacionan con el sistema de segundos mensajeros o con el citoesqueleto.
  • 12.
    GLUCOCALIZ Cubiertaexterna de la membrana celular. Constituida por carbohidratos unidos covalentemente a las proteínas transmembranales y a los fosfolípidos de la cara externa. Protegen contra la interacción con proteínas inapropiadas, lesiones químicas, físicas. Reconocimiento y adhesión entre células. Neutrófilo-Endotelio Cascada de coagulación sanguínea Proceso Inflamatorio
  • 13.
  • 14.
    GENERALIDADES CONTENIDO: ADN, proteínasnucleares y nucléolo FORMA: esférica u ovoide. Diámetro aprox. 5 – 10 µm Organelo basófilo. (Tinción hematoxilina – eosina) Posee dos membranas concéntricas: º Membrana interna: proteínas específicas de membrana, anclaje de proteínas filamentosas (láminas) º Membrana externa: continua con el Retículo endoplásmico, puede asociarse con ribosomas. La membrana nuclear posee unos complejos de PORO Continuidad entre citosol y núcleo.
  • 15.
    Eucromatina Cubierta nuclear Lámina nuclear Heterocromatina Nucléolo Poro nuclear Retículo endoplásmico Ribosomas
  • 16.
    COMPLEJO DE PORONUCLEAR Diámetro: 80 – 100 nm. Abarca las dos membranas nucleares. Constituido por 4 elementos: ANDAMIO: Conectado a las membranas. Brinda sostén al transportador Ofrece conductos de difusión SUBUNIDAD TRANSPORTADORA: Eje o centro Transporta material (al interior / al exterior) FILAMENTOS GRUESOS: Fijación de proteínas CANASTILLA. Se desensambla en ausencia de Ca 2+ Transporte de ARN Difusión simple de iones y moléculas pequeñas. Partículas > 11 nm = TRANSPORTE MEDIADO POR RECEPTOR
  • 17.
    COMPLEJO DE PORONUCLEAR Filamento grueso Subunidad anular Subunidad citoplásmica transportadora Membrana externa Andamio Membrana interna Subunidad anular nucleoplásmica Canastilla
  • 18.
    El núcleo contieneADN enrollado alrededor de proteínas especializadas denominadas histonas para formar nucleosomas Los nucleosomas: estructuras globulares que se repiten como un rosario. El rosario de nucleosomas se enrolla en filamentos de 30 nm de diámetro para constituir la cromatina. La distribución de la cromatina no es uniforme: distintos grados de plegamiento (transcripción de genes) EUCROMATINA: ADN transcrito activamente HETEROCROMATINA: Forma transcripcional inactiva Adyacente a la membrana nuclear.
  • 19.
    30 nm 11 nm 2 nm 300 nm 700 nm 1400 nm
  • 20.
    EL NUCLEOLO Area esféricadentro del núcleo DIAMETRO: 1 –3 µm Su tamaño aumenta cuando se presenta una transcripción activa de genes Las células metabólicamente activas tiene múltiples nucléolos Doble afinidad por colorantes acidófilos y basófilos Posee ARN ribosomal (futuras subunidades ribosomales) y proteínas. Se distinguen 4 regiones (M.E.T): PARS AMORFA: Bucles de ADN (genes del ARN ribosomal) PARS FIBROSA: Transcritos de ARNr PARS GRANULOSA: Subunidades ribosomales en maduración MATRIZ NUCLEOLAR: Red fibrilar (organización nucleolar)
  • 22.
    EL NUCLEOLO PARS AMORFA:(coloración pálida) Extremos de cromosomas 13, 14, 15, 21 y 22. (humano) Genes que codifican el ARN ribosomal. Se localizan las regiones organizadoras nucleolares (NOR) Se observa sólo durante la interfase Se disipa durante la división celular Generalmente son 2 o 3 nucléolos por célula El número y tamaño se relacionan con la especie y la actividad sintética de la célula Puede ocupar hasta el 25% del volumen nuclear . En células neoplásicas se torna hipertrófico
  • 23.
  • 24.
    RETÍCULO ENDOPLASMÁTICO APARATO DEGOLGI VESÍCULAS DE TRANSPORTE SISTEMA DE LISOSOMAS ENDOMEMBRANAS ENDOSOMAS NÚCLEO MITOCONDRIAS FUNCIONAMIENTO NO PEROXISOMAS INTERCONECTADO CLOROPLASTOS
  • 25.
    RETICULO ENDOPLASMICO El R.E. y el aparato de Golgi son regiones independientes. Comunicadas por una misma estructura rodeada de membrana Participan en la biosíntesis y transporte de proteínas y lípidos. Su cantidad depende de las necesidades metabólicas de la célula Se organizan como capas de membranas muy plegadas y aplanadas o de perfil tubular elongado. Es el sistema membranoso de mayor tamaño de la célula (casi la mitad del volumen del plasmalema) Es un sistema de túbulos y vesículas interconectados cuya lumen se conoce como CISTERNA.
  • 27.
    RETICULO ENDOPLASMICO PROCESOS METABOLICOSQUE SE EFECTUAN: º Síntesis y modificación de proteínas (Plegamiento, sulfatación, hidroxilación,etc) ª Síntesis de Lípidos y esteroides º Detoxicación de compuestos tóxicos o dañinos º Elaboración de membranas celulares El RETICULO ENDOPLASMICO tiene 2 componentes: R.E. RUGOSO R.E. LISO
  • 28.
    RETICULO ENDOPLASMICO LISO Constituido por túbulos anastomosados y vesículas aplanadas fijadas a membranas Lugar de procesamiento de proteínas sintetizadas, de lípidos celulares (fosfolípidos de membrana) Las enzimas que participan en la síntesis de lípidos se localizan en la cara externa Rápido acceso a precursores. Al incorporarse en la cara externa se internalizan mediante “proteínas volteadoras” El R.E.L es abundante en células activas en: - síntesis de esteroides - síntesis de colesterol y triglicéridos - destoxicación de compuestos
  • 29.
    RETICULO ENDOPLASMICO RUGOSO Abundante en células que funcionan en la síntesis de proteínas que se exportan Las membranas de este organelo poseen proteínas integrales que funcionan en: 1. el reconocimiento y fijación de ribosomas. - Receptor de la partícula de reconocimiento de señal - Proteína receptora del ribosoma (Riboforina I, II) - Proteína del poro. 2. Conservación de la morfología aplanada del R.E.R. La cisterna del R.E.R se continúa con la cisterna perinuclear
  • 30.
    FUNCIONES Síntesisde proteínas que se van a empacar o a descargar al plasmalema. Modificaciones postraduccionales (glucosilación, sulfatación...) Síntesis de lípidos y proteínas de los organelos.
  • 31.
  • 32.
    RIBOSOMAS Partículas pequeñas.Ancho= 12 nm. Longitud= 25 nm aprox. Funciona como superficie para la traducción. Compuestos por una subunidad pequeña y una subunidad grande. Sintetizadas en el nucléolo. Liberadas como entidades separadas al citosol La subunidad pequeña tiene un valor de sedimentación de 40S Compuesta por 33 proteínas y RNAr 18S La subunidad grande tiene un valor de sedimentación de 60S. Contiene 49 proteínas y 3 RNAr (5S, 5.8S, 28S)
  • 33.
  • 35.
    LA SUBUNIDAD PEQUEÑA Sitio de fijación del RNAm Sitio P (peptidil tRNA) Sitio A (AMINOACIL tRNA) LA SUBUNIDAD PEQUEÑA Y GRANDE se localizan en el citosol de manera individual El RIBOSOMA se forma cuando se inicia la síntesis de proteínas
  • 37.
  • 38.
    Síntesis de carbohidratos(polisacáridos). Procesamiento de macromoléculas sintetizadas. Modificación y ordenamiento de proteínas. Las vesículas que brotan del R.E.L se funden con la cara interna del Golgi.(proceso ATP dependiente) - Las proteínas de membrana se incorporan a la membrana del Golgi. - Las proteínas luminales entran en el espacio de Golgi Se divide en 3 componentes funcionales: a. Cara cis o convexa (cercana al R.E.R = de entrada) b. Cara medial c. Cara trans o cóncava (opuesta al R.E.R = de salida)
  • 40.
    El aparato deGolgi está compuesto por cisternas limitadas por membranas ligeramente curvas y aplanadas, que no están en contacto APILAMIENTO DE GOLGI La periferia de cada cisterna está dilatada y tachonada de vesículas Proceso de gemación y fusión. Las vesículas de transporte que llegan desde el R.E.R se fusionan por mecanismos dependientes de energía con la cara CIS - Descargando su contenido en la cisterna a. En la CCG se devuelven las proteínas destinadas a conservarse en el R.E.R. (VIA MEDIADA POR MICROTUBULOS) b. Las proteínas se transfieren hacia la cisterna MEDIAL y TRANS (Vesículas no recubiertas)
  • 42.
    FUNCIONES Modificación demacromoléculas. adición de oligosacáridos. Proteolisis de péptidos a formas activas. Clasificación de diferentes moléculas (vesículas) Incorporar en las biomembranas. Transporte a organelos. Secreción extracelular. Las proteínas sintetizadas y empacadas en el R.E.R deben seguir una vía predeterminada hacia el GOLGI  Modificación y empaque post traduccional.  Las proteínas destinadas al R.E.R. o a otro organelo distinto poseen una señal que las dirige.
  • 44.
    Procesamiento ordenado delos oligosacáridos en RE y Golgi
  • 45.
    Compartimentalización funcional delGolgi M6P a enzimas lisosomales Maduración N- oligosacáridos Unión O- oligosacáridos Proteoglicanos Maduración proteínas: hidrólisis de precursores, condensación
  • 46.
  • 47.
  • 48.
  • 51.
    MEMBRANAS  EXTERNA Fosfolípidos, colesterol y proteínas(50%). Envoltura lisa, muy permeable a moléculas con PM ⇓ 5 Kda. Presenta porinas (poros 1 nm).  INTERNA Cadena respiratoria Proteinas (76% peso total). ATP sintasa Prot. transporte Fosfolípidos, ⇓ colesterol y ⇑ en cardiolipina. Invaginaciones: Crestas.
  • 52.
    PROTEINAS DE TRANSPORTE ESPACIO INTERMEMBRANA MATRIZ
  • 53.
  • 54.
    COMPARTIMENTOS  ESPACIO INTERMEMBRANA Químicamente equivalente al citosol (iones y pequeñas moléculas). Enzimas degradación de lípidos y ácidos grasos.  MATRIZ MITOCONDRIAL ⇑ [] proteínas (hasta 500 mg/ml). Enzimas oxidación piruvato, ciclo de Krebs, fosforilación oxidativa y β- oxidación. mtDNA, tRNA, rRNA y mt mRNA, enzimas requeridas para expresión genes. Gránulos densos (fosfato de calcio)
  • 55.
  • 56.
    ORIGEN: HIPÓTESIS ENDOSIMBIÓTICA  dsDNA circular desnudo  rRNA (16S y 12S), ribosomas más pequeños (55S).  Mecanismo de autoreproducción propio.  Composición de membranas externa e interna. Externa: similar membrana celular eucariótica. Interna: similar membrana celular procariótica  Antibióticos (cloranfenicol, eritromicina o tetraciclina) que inhiben síntesis proteica bacteriana también actúan sobre mitocondrias.
  • 57.
    GENOMA MITOCONDRIAL  dsDNA circular, múltiples copias por organelo. 16.5 Kb unido a la membrana interna 22 tRNAs  mtDNA: 37 genes 2 rRNA 13 mRNA  Todos los RNAs mitocondriales son sintetizados en el organelo.  Las enzimas de replicación, transcripción, traducción y reparación son codificadas por genes nucleares.  Los transcritos de mtDNA y sus productos permanecen en mitocondria (no exportación).
  • 60.
    CARACTERÍSTICAS • Poliplasmia: múltiples copias de mtDNA por organelo. • No evidencia de recombinación en mtDNA: homoplasmia. • mtDNA mamífero no contiene intrones • mtDNA se transcribe como un transcripto primario largo (tRNAs, rRNAs, mRNAs) • Genera 22 tRNA en lugar de 31 que codifica nDNA. • Ribosomas más pequeños 55S. • La tasa de mutación es 10 veces mayor en mtDNA que en DNA nuclear: (no histonas ni sistemas de reparación de DNA) • Origen exclusivamente materno. • Código genético propio ( 4 de 64 codones).
  • 63.
  • 64.
    IMPORTACIÓN DE PROTEÍNASA MATRÍZ 1) Interacción con chaperona molecular (desplegamiento) 2) Reconocimiento del péptido señal o presecuencia por receptor 3) Traslocación a través de la membrana externa 4) Traslocación a través de membrana interna (Potencial de membrana) 5) Eliminación de presecuencia por proteasas 6) Interacción con chaperonas de matriz (Plegamiento)
  • 66.
    IMPORTACIÓN HACIA OTROSDESTINOS  Membrana externa: interacción con receptores e inserción directa en membrana.  Membrana interna, espacio intermembranal:  Modelo conservativo: Importación a matriz y luego transportadas a su destino final.  Modelo no conservativo: 3 mecanismos -Traslocación directa a través de membrana externa a espacio intermembranal - Traslocación a través de membrana externa e inserción en membrana interna - Inserción en membrana interna y liberación a espacio intermembranal (clivaje)
  • 67.
  • 69.
  • 70.
    IMPORTACIÓN DE FOSFOLÍPIDOSA LA MITOCONDRIA CARDIOLIPINA CITOSOL Complejo proteína + lípido Proteína transportadora de fosfolípidos Fosfatidilcolina o RE fosfatidiletanolamina MITOCONDRIA
  • 71.
    DIVISIÓN DE LASMITOCONDRIAS • Fisión binaria de mitocondrias pre-existentes. • ¿Cómo? Duplicación de masa y posterior división por la mitad. • ¿Cuándo? Proliferación celular y renovación. • Ocurre durante todo el ciclo celular (Interfase y mitosis). • mtDNA se replica a lo largo del ciclo celular. • No todas las mitocondrias se multiplican. • Número de organelos / célula depende de requerimientos energéticos.
  • 73.
  • 74.
  • 77.
    • Células requierenenergía para realizar sus actividades básicas. • La energía proviene de la ruptura gradual de enlaces covalentes de moléculas de compuestos orgánicos ricos en energía. • El ATP, compuesto inestable, constituye fuente de energía más fácilmente utilizable. • Mecanismos para retirar energía de nutrientes: la glicólisis (citoplasma) y el ciclo de Krebs acoplado a fosforilación oxidativa (mitocondria).
  • 78.
  • 79.
    METABOLISMO DE CHEN EUCARIOTAS
  • 80.
    GLICÓLISIS  Ruta oxidativa universal de CH. No requiere O2  Ruta en la cual intervienen 10 enzimas.  2 fases: preparatoria y fase de oxidaciones y producción de energía.  La célula obtiene por oxidación de 1 glucosa: 2 ATP por fosforilación a nivel de sustrato 2 NADH = 4 o 6 ATP por fosforilación oxidativa 2 Piruvato (3 carbonos)
  • 83.
  • 84.
    Citosol Glicólisis Ala β -oxidación de Piruvato ácidos grasos Cis Gli Ser Tre Matriz AcetilCoA mitocondrial 0 = CH3 - C - SCoA CICLO DEL ACIDO CÍTRICO O DE KREBS
  • 85.
    CICLO DE KREBS,DEL ÁCIDO CÍTRICO O DE LOS ÁCIDOS TRICARBOXÍLICOS  Científico que descubrió el ciclo, ácido citrico (ácido tricarboxílico) es el primer intermediario.  Todas las macromoléculas que suministran energía a las células se descomponen en metabolitos del ciclo del ácido cítrico.  La célula obtiene por molécula de acetilCoA oxidada: 1 GTP por fosforilación a nivel de sustrato 3 NADH = 9ATP por fosforilación oxidativa 1 FADH2 = 2 ATP por fosforilación oxidativa  AcetilCoA + 2H2O + FAD + 3 NAD + GDP + Pi 2CO2 + FADH2 + 3 NADH + 3H+ + GTP + CoASH
  • 88.
    CADENA RESPIRATORIA ODE TRANSPORTE DE ELECTRONES  Cadena, formada por enzimas y compuestos no enzimáticos, cuya función es transportar electrones que van gradualmente cediendo energía.  Constituido por 4 complejos enzimáticos respiratorios: I, II, III, IV.  Complejo I: NADH deshidrogenasa (41 polipéptidos).  Complejo II: Succinato deshidrogenasa (4 polipéptidos).  Complejo III: Citocromo b-c1 (11 polipéptidos).  Complejo IV: Citocromo C oxidasa (13 polipéptidos).
  • 90.
  • 93.
  • 97.
    • Toxinas endógenasy/o Mutaciones genes que exógenas codifican subunidades OXPHOS: mtDNA y nDNA •Mutación nDNA genes no subunidades OXPHOS Alteraciones en metabolismo mitocondrial: no fosforilación oxidativa DEFECTOS DEFECTOS SECUNDARIOS PRIMARIOS ENFERMEDADES POR DEFICIENCIA MITOCONDRIAL
  • 98.
    •• Cerebro ymúsculo altamente dependientes de energía Cerebro y músculo altamente dependientes de energía •• Manifestaciones más comunes: Alteraciones Manifestaciones más comunes: Alteraciones neurológicas y las miopatías. neurológicas y las miopatías. •• Heterogeneidad clínica: pueden afectar desde un Heterogeneidad clínica: pueden afectar desde un órgano hasta enfermedad multisistémica severa. órgano hasta enfermedad multisistémica severa. Relación mtDNA mutado //mtDNA salvaje Relación mtDNA mutado mtDNA salvaje Variación en umbral de expresión bioquímico para Variación en umbral de expresión bioquímico para mutación y tejido. mutación y tejido. Efecto modulador de genes nucleares y otros Efecto modulador de genes nucleares y otros mitocondriales. mitocondriales. Requerimientos energéticos de los tejidos u órganos. Requerimientos energéticos de los tejidos u órganos.
  • 99.
    DEFECTOS PRIMARIOS DEFECTOS PRIMARIOS •Síndrome de Kearns-Sayre •Neuropatía óptica hereditaria de Leber (LHON) mtDNA •Debilidad neurogénica, ataxia y retinitis pigmentosa (NARP) •Enfermedad de Leigh •Enfermedad de Leigh: flavoproteína de SDH (Complejo II) y polipéptidos Complejo I nDNA •Encefalomiopatía: Polipéptido de 18 kDa Complejo I
  • 100.
    DEFECTOS SECUNDARIOS •Frataxina: Ataxia Proteínas de Friedreich mitocondriales: •Surf-1: Síndrome no OXPHOS de Leigh COX deficiente Mutaciones nDNA Proteínas no •Huntingtina: mitocondriales Enfermedad de Huntington Toxinas Cianuro Inhibición de exógenas azidas citocromo c oxidasa
  • 101.
    MITOCONDRIA Y ENVEJECIMIENTO •Aumento de edad: acumulación de mutaciones en mtDNA de varios tejidos (cerebro y músculo) • La acumulación de mutaciones en el mtDNA lleva a reducción de la capacidad de fosforilación oxidativa (complejos I y IV). • Incremento de enfermedades relacionadas con edad como: falla cardiaca, demencia, diabetes mellitus y neurodegeneración.
  • 102.
  • 103.
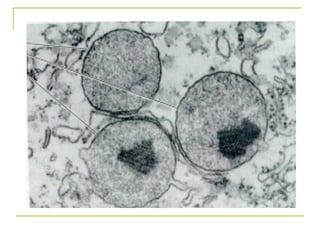
    LOCALIZACION  Se encuentran en el citoplasma celular  Puede haber más de un lisosoma en una célula. Lisosomas Célula vegetal
  • 104.
    LISOSOMAS  Vesícula contiene enzimas digestivas
  • 105.
    LISOSOMAS  50 Diferentes enzimas degradativas  Hidrolasas ácidas  Activo pH 5 (interior del lisosoma)  Inactivo en el citosol a pH 7.2  pH ácido de los lisosomas es mantenido por una bomba de protones en la membrana lisosomal  Requiere ATP, (como la mitocondria)
  • 106.
    Lisosoma primario  Transporte del Golgi  Materiales exogenos, organelos deteriorados  Lisosoma secundario  Fusión de primarios con un endosoma or fagosoma.  Usualmente mas denso.
  • 107.
    FUNCION  Adquisición de nutrientes  Los lisosomas también pueden ayudar a las células a auto renovarse.  El hígado humano es reciclado cada semana por los lisosomas.  Los lisosomas ayudan a las células a renovarse  Defensa del huésped  Ej., destrucción de células sanguíneas con bacterias.
  • 108.
    FUNCION  Digerir macromoléculas, partes celulares viejas y microorganismos.  Sucede cuando una vacuola llena se combina con un lisosoma para formar una vacuola digestiva.
  • 109.
    Vías lisosomales Lisosoma Fagosoma secundario Fagocitosis is os c it Lisosoma go secundario Pinocitosis Fa is Vesicula citos pino pinocotica Rec Lisosoma ept o primario end r med ocit iand Revestido osis o Autofa RME Lisosoma go secundario Reciclaje de Endosoma Receptores de membrana Lisosoma Vacuola secundario autofagica
  • 110.
    Vías lisosomales Cuerpo residual
  • 111.
  • 112.
    Enfermedad Tay Sach’s • Una enfermedad debida a un defecto en almacena- miento lisosomal. • Debido a una mutación en enzimas lisosomales.  Β-N-hexosaminidasa-A* • Acumulos de glicolípidos no degradados dentro de lisosomas. • Encontrado en neuronas del SNC. Inclusiones Whorled (cuerpos lamelares) ayudan a identificar Tay Sach’s
  • 113.
    CELULAS CON LISOSOMAS  Todas las células tienen lisosomas, pero algunas células son distinguidas por la abundancia de lisosomas.
  • 114.
    MACROFAGOS  Incluidos histiocitos y células presentadoras de antígenos (APCs)  Fagocito profesional , consumen desechos y antígenos del tejido conectivo.  Originalmente es un monocito.
  • 115.
    Lisosomas primarios ysecundarios del macrófago Primario Secundario
  • 116.
    NEUTROFILO *  Un fagocito profesional.  Primera célula ante una infección.  Componente principal del pus .
  • 117.
    PROMIELOCITO  Precursor de neutrófilos, basófilos y eosinófilos.  Todos tienen lisosomas.  # de lisosomas disminuye durante la maduración.
  • 118.
    Osteoclastos  Remodelado óseo.  Células muy grandes de la fusión de pre - osteoclastos (monocitos)  Coloración rosada H & E debido a la presencia del contenido ácido de lisosomas.
  • 119.
    CELULAS PIGMENTADAS DELA RETINA  En la pared del ojo.  La retina es una multicapa Fragmentos del fotoreceptor (membranas) son fagocitadas por estas celulas.
  • 120.
    INCLUSIONES CELULARES  A diferencia de los organelos, no tienen funciones especificas  Exógenas  Endógenas
  • 121.
    Inclusiones celulares exógenas  Generalmente dañinas  Caroteno (lipido soluble)  Abundante en zanahorias y calabazas  Metales pesados  Plomo y plata  Asbestos, silicona, carbon
  • 122.
    Inclusiones endógenas  Gotitas de lípidos  Encontradas en células adiposas , hepáticas, algunas células que secretan esteroides.  Reservas alimenticias importantes FH 4.13
  • 123.
    Glucógeno Note sER  Principal almacén de carbohidratos  Hígado, músculo, corteza adrenal.  Requiere tinción especial para ser visto.  EN MET se observan como agregados en forma de rosetas electrondensos  Demasiado glucógeno da lugar a la enfermedad de Pompe’s:agrandamiento del hígado, deficiencia lisosomal.
  • 124.
    Enzimas precursoras  Zimogeno  Encontrado en la porción apical de la célula.  Contiene precursores de muchas proteínas enzimáticas  Páncreas  tripsinogeno  Células del estomago  pepsinogeno  Glándulas salivares  Precursor de amilasa
  • 125.
    Mucígeno  Secreteado por células caliciformes  Encontrado en células epiteliales del tracto respiratorio y gastrointestinal  Liberado por exocitosis se mezcla con agua para formar moco.  Usado para protección  La irritación local puede hacer la célula lanzar contenido entero
  • 126.
    Pigmentos Melanina  color a la piel y el pelo  Neuromelanina encontrada en neuronas multipolares de la sustancia negra del cerebro medio.  Contienen dopamina  Enfermedad de Parkinson’s  tremor, rigidez muscular y funciones motoras retardadas.  Resulta de la degeneración de estas neuronas.
  • 127.
    Lipofuscina  Función desconocida, pero aumenta con la edad, especialmente en neuronas.  Representa la acumulación de desechos insolubles intracelulares después de la actividad lisosomal (cuerpos residuales)  Encontrado en SNC, músculo, corazón e hígado.
  • 128.
    Cristaloides  Eosinofilos  Tiene gránulos específicos angulares , cristaloides  Ojo –gato  Funcionan como los lisosomas.  Ayuda a Eosinofilos infecciones parasitarias.  Células de Leydig Proteicos, libremente en el citoplasma.  Función desconocida.
  • 129.
  • 130.
    GENERALIDADES  Microsomas - microcuerpos - peroxisomas.  Presentes en todas las células eucariotas.  Abundantes en: hígado y riñón.  Organelos rodeados por membrana simple  0.1 - 1 µm de diámetro, redondo u oval.  Morfológicamente similares a lisosomas.  Contienen enzimas involucradas en variedad de reacciones metabólicas.  Biogénesis similar a la mitocondrial.
  • 132.
    NOMENCLATURA DE MICROSOMAS  Peroxisoma: contiene al menos una flavinoxidasa productora de H2O2 , catalasa y sistema de β- oxidación. Mamíferos, vegetales.  Glioxisoma: oxidasas, catalasa, cinco enzimas del ciclo del glioxilato, sistema de β- oxidación. Semillas germinantes - levaduras - protozoos  Glicosomas: carecen de oxidasas y catalasas. Poseen siete enzimas de la glicólisis y de la síntesis de plasmalógenos y β- oxidación. Algunos protozoos (Trypanosoma brucei)
  • 134.
    LOCALIZACIÓN  Abundantes en tejidos activos en metabolismo lipídico (hígado, glándulas sebáceas y tej. graso). Tejido nervioso: oligodendrocitos productores de mielina.  Hígado y riñón: redondos o ligeramente ovales. Ocupan 2.4% del volúmen celular.  Peroxisomas hepáticos bovinos contienen cristales de uratooxidasa. No presente en tejidos humanos.  Estrecha relación entre peroxisomas y sitios de síntesis lipídica como ER.
  • 135.
    FUNCIONES REACCIONES CATABÓLICAS  β - oxidación de ácidos grasos de cadena muy larga, ramificados y poliinsaturados (fitánico y pristánico).  Oxidación del etanol / metanol / formato  Oxidación de ácidos dicarboxílicos de cadena larga, prostaglandinas y xenobióticos.  Catabolismo de las poliaminas y purinas. REACCIONES ANABÓLICAS  Biosíntesis de plasmalógenos, colesterol y ácidos biliares.  Ciclo del glioxilato (Gluconeogénesis).  Transaminación del glioxilato.
  • 136.
    OXIDASAS OXIDACIÓN O2 H2O2 L- y D- aa, poliaminas, ácidos grasos de cadena RH2 R larga CATALASA PEROXIDACIÓN H2O2 R’H2 2 H2O + R’ + Etanol, metanol y formato. CATALASA 2 H2O2 2 H2O + O2
  • 137.
    β - oxidaciónperoxisomal de ácidos grasos  Sustratos: ésteres acil-CoA. Ácidos grasos más poliinsaturados (ácido araquidónico C20:4 ∆ 5,8,11,14). Ácidos grasos de cadena ramificada (ácidos fitanico y pristánico) Ácidos dicarboxílicos Prostaglandinas Xenobióticos con cadenas laterales acilo  Proceso: ingreso del ácido graso a través de la membrana peroxisomal, activación por acil-CoA sintetasas en matriz y oxidación por acil-CoA oxidasas.  No genera ATP (se libera calor)  Los grupos acetil-CoA son trasportados al citosol donde son usados para reacciones biosintéticas.
  • 138.
    Biosíntesis de lípidos  Colesterol y dolicol: en peroxisomas y en el ER, en células animales.  Ácidos biliares: en hígado. Derivados del colesterol.  Plasmalógenos: importantes componentes de membrana en algunos tejidos (corazón y cerebro), aunque en otros no están presentes
  • 139.
  • 141.
    FORMACIÓN  Los peroxisomas se forman a partir de peroxisomas pre-existentes, mediante un proceso de crecimiento y fisión.  Todas las proteínas (de matriz, integrales de membrana) síntetizadas en ribosomas libres e importadas al peroxisoma. Casi todas son sintetizadas en su tamaño final.  Los lípidos necesarios para formar nuevas membranas también son importados.  Proceso consume ATP. no requiere potencial de membrana.
  • 143.
    IMPORTACIÓN DE PROTEÍNAS  Señales blanco peroxisomales o Peroxisomal Targeting Signals: PTS.  Extremo C- terminal de proteínas de matriz: secuencia específica de 3 aa (PTS 1). No clivada en peroxisoma. SKL (Serina, lisina, leucina) Ej: Luciferasa Sustituciones conservativas (primeros 2 aa.): (Ser/Ala/Cys) - (Lys/Arg/His) - Leu  Extremo N- terminal de proteínas de matriz: secuencia de 9 o más aa. (PTS 2). Puede ser o no clivada en peroxisoma. Ej: Tiolasa: precursor N-terminal de 26 aa. clivados.  Proteínas integrales de membrana: señales internas (stop transfer).
  • 148.
    MODELOS ALTERNOS DEIMPORTACIÓN PEROXISOMAL
  • 149.
    CLASIFICACIÓN DE ENFERMEDADES PEROXISOMALES Grupo 1. Defectos del ensamblaje Grupo 2. Déficit de una única enzima peroxisomal peroxisomal Síndrome de Zellweger X – adrenoleucodistrofia Adrenoleucodistrofia neonatal Pseudoadrenoleucodistrofia neonatal Enfermedad de refsum infantil Pseudo-Zellweger Acidemia hiperpicólica Deficiencia de la enzima bifuncional Condrodisplasia punctata rizomiélica Enfermedad de Refsum
  • 150.
    SÍNDROME DE ZELLWEGER  Enfermedad autosómica recesiva. Peroxisomas “vacios”.  Defecto en proteínas de importación conduce a deficiencia peroxisomal grave. La membrana es ensamblada normalmente pero no hay proteinas de matriz.  Ej. proteína defectuosa: factor 1 de ensamblaje peroxisomal.  Alteraciones metabólicas múltiples: β - oxidación, biosíntesis de plasmalógenos.  Manifestaciones clínicas: anormalidades neurológicas, características dismórficas, hepatomegalia, quistes renales múltiples.  Órganos blanco: cerebro, hígado y riñones, muerte poco tiempo después del nacimiento.
  • 152.
    ADRENOLEUCODISTROFIA LIGADA AX. (X –ALD)  Oxidación de VLCFA está alterada específicamente, la de ácidos grasos de cadena intermedia (10-20 C) es normal.  Los VLCFA son transportados normalmente al peroxisoma, pero no son esterificados al derivado acil- CoA y no pueden ser oxidados.  Mutación en gen ALD. Codifica para transportador de CoA sintasa de ácidos grasos de cadena larga.  Desordenes neurológicos severos en niñez que rápidamente llevan a muerte por acumulación de VLCFA en tejidos, plasma.
  • 153.
    HIPEROXALURIA TIPO I  Deficiencia de la enzima alanina: glioxilato aminotransferasa I (AGT I), peroxisomal en humanos.  La falla en la detoxificación del glioxilato lleva a la conversión del glioxilato en oxalato con baja solubilidad, lo cual genera oxaluria.  En 20% de casos, se debe a alteración en secuencia de entrada peroxisomal PTS. La señal alterada es reconocida por receptor mitocondrial no por el peroxisomal.
  • 154.
  • 155.
    Las tres redesde filamentos están interconectadas Actina Microtúbulos Filamentos intermedios
  • 156.
    Filamentos de actina •5-9nm de diámetro •Forman redes más densas en el cortex celular •Son muy dinámicos •Componentes: actina y proteínas que interaccionan
  • 157.
    Microtúbulos •25 nm dediámetro •Un extremo unido al centrosoma y otro libre en citoplasma •Muy dinámicas: crecen y se acortan •Soporte de proteínas motoras: transporte de orgánulos •Componentes: tubulina y varias proteínas ascociadas Tratamiento con colcemida
  • 158.
    Filamentos intermedios •10 nm de diámetro •Muy resistentes y estables •Conectan con desmosomas •Componentes: proteínas fibrosas (queratina, vimentina, GFAP, neurofilamentos, etc)
  • 159.
    Filamentos intermedios 1. Redque rodea el nucleo y se extiende hasta la Soportan tensiones mecánicas membrana plasmática mayores que los microtúbulos y la 2. Lámina nuclear actina
  • 160.
    Proteínas de filamentosintermedios Tipo de filamento Proteína Localización Lámina nuclear Lamininas A,B y C Lámina nuclear (65.000-75.000) Familia de las Vimentina (54.000) Mesénquima vimentinas (transitoria durante desarrollo) Desmina (53.000) Músculo GFAP (50.000) Glia Periferina (66.000) Neuronas Queratinas Tipo I (ácidas) Células epiteliales Tipo II (neutras/básicas) (40.000-70.000) Neurofilamentos NF-L, NF-M, NF-H Neuronas (60.000-130.000)
  • 161.
    Filamentos intermedios Cada tipo varía en sus extremos lo que permite, en cada tipo celular, la interacción con diferentes componentes de la célula Formados por proteínas fibrilares con una región central que contiene repeticiones en heptada. El tetrámero ( la unidad fundamental) no está polarizada. Se desensamblan al fosforilarse en los extremos amino.
  • 162.
    Lámina nuclear Se anclan a la membrana nuclear interna y sirven de anclaje a la cromatina Su fosforilación produce la rotura de la estructura nuclear en la mitosis
  • 163.
    La lámina nuclearestá formada por proteínas similares a los filamentos intermedios Se ensamblan formando redes El dímero forma un complejo similar a la miosina
  • 164.
  • 165.
  • 166.
    Participación de microtúbulosen el movimiento de orgánulos celulares Imagen de campo claro Inmunofluorescencia de tubulina Movimientos de agregación y dispersión de gránulos pigmentarios en células de peces
  • 167.
    Movimiento microtúbulos yvesículas en pez
  • 168.
    La vida mediade un La vida media de una microtúbulo es de 10 molécula de tubulina es de min 20 horas Los microtúbulos pueden formar un nuevo centro organizador
  • 169.
    Un microtúbulo estásformado por 13 protofiamentos El heterodímero ab tubulina se ensambla de forma polar Sección transversal Vista longitudinal
  • 170.
    La ab tubulinaunida a GTP forma protofilamentos más estables
  • 171.
    Polimerización de tubulina Los Mts crecen más rapidamente en el extremo +
  • 173.
    La inestabilidad dinámicade los Mts depende de la hidrólisis de GTP. El GTP unido a subnidad beta se hidroliza a GDP más lentamente que la incorporación de la subunidad al polímero
  • 174.
    Las proteínas asociadasa microtúbulos (MAPs y tau) modifican sus propiedades
  • 175.
    RE Golgi Las proteínas motoras asociadas a Mts determinan la posición de los orgánulos celulares RE Golgi
  • 177.
    La interacción entreMts y la red de actina puede polarizar la célula Linfocito T citotóxico después de reconocer una célula diana
  • 181.
    Estructura de losmicrotúbulos de cilios y flagelos 2 Mts sencillos centrales (13 subunidades) 9 dobletes de Mts especiales (1 de 13 + 1 de 11) Dineina ciliar (cola unida al Mt A) Axonema
  • 182.
    Dineína ciliar Es uncomplejo proteico grande de 2x106 daltons Las colas se unen al Mt A y las cabezas (en una unión dependiente de ATP) al Mt B
  • 183.
    El desplazamiento dela cabeza de dineína hacia el extremo menos del Mt B produce la flexión del cilio Si se rompen los puentes entre dobletes los dobletes se deslizan Estirándose hasta 9 veces
  • 184.
    Corpúsculos basales Estructura similara centríolo: 9 tripletes con tres tipos de mts (a, b y c) Puente entre a y c Los Mts de cada uno de los dobletes del axonema ciliar se generan por elongación de dos de los mts del corpúsculo basal
  • 185.
    Formación de ciliosy flagelos Cuatro cilios en estadíos sucesivos de formación a partir del corpúsculo basal Los flagelos surgen a partir de uno de los centríolos En D (formación de la cola de esperma) cada uno de los centríolos en el proceso de formación del flagelo y otras estructuras
  • 186.
    Formación de estructura del flageloen continuidad con dos de los Mts del centriolo
  • 187.
    Comparación del movimiento de cilios y flagelos Cilios Flagelos Movimiento Movimiento ondulante oscilante 150 mm 6-10 mm
  • 188.
    Comparación de ciliosy microvilli Enpaquetamiento de Epitelio del oviducto Epitelio tráquea cilia en protozoos e humano de rata invertebrados La dirección del movimiento ciliar es perpendicular a la línea entre los dos mts centrales. Idéntica orientación del par central en todos los cilios
  • 189.
    Herencia cortical delpatrón de orientación de los cilios en Paramecium La orientación de los cilios se mantiene por más de 100 generaciones gracias a la duplicación estereospecífica de los corpúsculos basales
  • 190.
    Filamentos de actina: •Estructurasestables y lábiles •Actina: proteína muy abundante en todas las células eucariotas •Su polimerización se acopla a la hidrólisis de ATP •El recambio ATP-ADP es muy lento (minutos)
  • 192.
    Dos tipos defilamentos de actina
  • 193.
    Uniones de miosinasI y II a actina: posibles funciones
  • 194.
    Modificación de lapolimerización de actina por diferentes proteínas
  • 195.
    Diversas disposiciones de losfilamentos de actina en la célula
  • 196.
    Interacciones moleculares enlos contactos focales
  • 197.
    La interacción delcitoesqueleto de actina con el sustrato en el avance de la célula