Atención odontológica en pacientes
embarazadas.
E.C.D. Pedro Alonso Lopez Morales
CONTROL PRENATAL Y LA
PRÁCTICA ODONTOLÓGICA
• Embarazo definicion:
• “Estado en que se halla la hembra gestante.”
(RAE)
• “El embarazo inicia cuando termina la
implantación “ (OMS)
• “El embarazo comienza en el momento de la
fecundación”
Fisiología
• Aspectos inmunológicos
•

Aumento de la relación de bacterias anaerobias/aerobias.

•

Disminución de la respuesta antigénica frente a s.
sanguis,
•
actinomyces viscosus, p.intermedius, bacteroides, etc.
• Puede presentarse enfermedad hemolítica fetoneonatal.
• Inmunosupresión
Farmacología
Clasificación de la FDA de los efectos de los
medicamentos sobre las embarazadas:
Categoría A

no han demostrado riesgo para el feto en el primer trimestre del embarazo

Categoría B

no han demostrado riesgo para el feto en el primer trimestre del embarazo

Categoría C

no hay estudios adecuados y bien controlados en seres humanos, sin embargo los beneficios

potenciales permiten utilizar el fármaco en mujeres embarazadas

Categoría D

Existe evidencia de riesgo para el feto basada en datos de investigación aunque los beneficios

potenciales de su uso en mujeres embarazadas pueden ser aceptables a pesar de los riesgos probables.

Categoría X
pueden quedar embarazadas.

El uso del producto farmacéutico está contraindicado en aquellas mujeres que están o que
Anestésicos Locales
Analgésicos
Antibióticos
Ansiolíticos y
Corticoesteroides
Diazepam
• Ansiolítico más utilizado en la práctica dental
• Asociado a fisuras orales (no confirmado).
Benzodiacepina
• Exposición única, riesgo mínimo de teratogenicidad.
Corticoesteroides
• Efectos teratógenos a dosis elevadas y tiempo prolongado.
• Fisura palatina.
Principales Patologías Orales
En el Embarazo
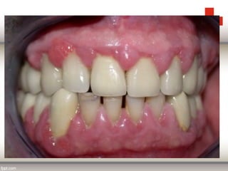
Alteraciones gingivo-periodontales
• Gingivitis del embarazo
Características Clínicas:
1. Presencia de signos de inflamación gingival.
2. Se agrava cuando aparece durante el segundo mes y alcanza su punto
máximo en el octavo mes.
3. Prevalencia:35%
4. Aumento de la progesterona
5. Afecta mayormente al sector anterior, sobre todo en interproximal
Etiología:
Bacteriana
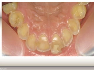
Alteraciones dentarias.
• Lesiones cariosas
Características Clínicas:
1. Descalcificación y erosión del esmalte (lingual o palatino dientes
anteriores )
2. Sensibilidad dentaria a estímulo.
Etiología:
1. Cambios composición salival
2. Disminución de pH (reflujo y vómito)
3. Higiene defectuosa
4. Cambios de hábitos y frecuencia dietéticos.
El calcio de los dientes está en forma cristalina estable, por lo tanto, no
disponible para las necesidades maternas.
Consideraciones clínicas
Santana y cols.:
Primer trimestre
• Enseñanza de higiene oral, control de placa.
• Tratamiento periodontal conservador.
• No utilizar el óxido nitroso.
• Tratamientos dentales de emergencia.
Segundo trimestre
• Enseñanza de higiene oral, control de placa.
• Tratamiento periodontal conservador. Momento ideal para el
tratamiento dental
• Radiografías con protección
• Tratamientos de emergencia y electivos.
Consideraciones clínicas
Tercer trimestre
• Enseñanza de higiene oral, control de placa.
• Tratamiento periodontal conservador.
• Radiografías con protección
• Evitar la posición supina durante tiempo prolongado. Visitas cortas.
Se aconseja una posición semisentada y con cambios de posición
frecuentes.
• Se debe evitar al máximo cualquier tratamiento en las últimas
semanas debido a la posibilidad de que presente un parto
prematuro en el gabinete dental.
• Tratamientos de emergencia .
Emergencias obstétricas en
la consulta dental.
Síndrome de hipotensión supina: compresión de la vena cava
inferior
Síncope: hipotensión, hipoglucemia, anemia, deshidratación y
desórdenes neurogénicos.
Crisis hipoglucémicas: ayuno prolongado.
Arritmia: aumento actividad parasimpática
Vómito y aspiración del contenido gástrico: Aumento de la
presión intragástrica. Peligroso asociado al desmayo.
Otras: pacientes con ruptura de las membranas del corion y
amnion, sangrado vaginal activo o contracciones dolorosas.
Conclusiones
•
•

•

•

Las embarazadas presentan cambios fisiológicos, lo que determina
tanto una distinta intervención como relación, debido a su estado
anímico y percepción más sensible.
Nuestra labor en la educación es importante, informar a nuestra
futura madre que las consideraciones clínicas se hacen tanto por su
salud como por la de su hijo, logrando una mayor confianza por
parte de nuestra paciente.
Es importante en el diálogo con nuestra paciente debe dar a
conocer la importancia de su salud bucal para prevenir la
transmisión vertical hacia su bebé, para incentivar el cuidado mas
minucioso por parte de ella.
Mantener una comunicación con un profesional ginecobstetra de
nuestra paciente es buen paso para lograr un mejor pronóstico.

Control prenatal y la práctica odontológica

  • 1.
    Atención odontológica enpacientes embarazadas. E.C.D. Pedro Alonso Lopez Morales
  • 2.
    CONTROL PRENATAL YLA PRÁCTICA ODONTOLÓGICA • Embarazo definicion: • “Estado en que se halla la hembra gestante.” (RAE) • “El embarazo inicia cuando termina la implantación “ (OMS) • “El embarazo comienza en el momento de la fecundación”
  • 3.
    Fisiología • Aspectos inmunológicos • Aumentode la relación de bacterias anaerobias/aerobias. • Disminución de la respuesta antigénica frente a s. sanguis, • actinomyces viscosus, p.intermedius, bacteroides, etc. • Puede presentarse enfermedad hemolítica fetoneonatal. • Inmunosupresión
  • 4.
    Farmacología Clasificación de laFDA de los efectos de los medicamentos sobre las embarazadas: Categoría A no han demostrado riesgo para el feto en el primer trimestre del embarazo Categoría B no han demostrado riesgo para el feto en el primer trimestre del embarazo Categoría C no hay estudios adecuados y bien controlados en seres humanos, sin embargo los beneficios potenciales permiten utilizar el fármaco en mujeres embarazadas Categoría D Existe evidencia de riesgo para el feto basada en datos de investigación aunque los beneficios potenciales de su uso en mujeres embarazadas pueden ser aceptables a pesar de los riesgos probables. Categoría X pueden quedar embarazadas. El uso del producto farmacéutico está contraindicado en aquellas mujeres que están o que
  • 5.
  • 6.
  • 7.
  • 8.
    Ansiolíticos y Corticoesteroides Diazepam • Ansiolíticomás utilizado en la práctica dental • Asociado a fisuras orales (no confirmado). Benzodiacepina • Exposición única, riesgo mínimo de teratogenicidad. Corticoesteroides • Efectos teratógenos a dosis elevadas y tiempo prolongado. • Fisura palatina.
  • 9.
    Principales Patologías Orales Enel Embarazo Alteraciones gingivo-periodontales • Gingivitis del embarazo Características Clínicas: 1. Presencia de signos de inflamación gingival. 2. Se agrava cuando aparece durante el segundo mes y alcanza su punto máximo en el octavo mes. 3. Prevalencia:35% 4. Aumento de la progesterona 5. Afecta mayormente al sector anterior, sobre todo en interproximal Etiología: Bacteriana
  • 11.
    Alteraciones dentarias. • Lesionescariosas Características Clínicas: 1. Descalcificación y erosión del esmalte (lingual o palatino dientes anteriores ) 2. Sensibilidad dentaria a estímulo. Etiología: 1. Cambios composición salival 2. Disminución de pH (reflujo y vómito) 3. Higiene defectuosa 4. Cambios de hábitos y frecuencia dietéticos. El calcio de los dientes está en forma cristalina estable, por lo tanto, no disponible para las necesidades maternas.
  • 13.
    Consideraciones clínicas Santana ycols.: Primer trimestre • Enseñanza de higiene oral, control de placa. • Tratamiento periodontal conservador. • No utilizar el óxido nitroso. • Tratamientos dentales de emergencia. Segundo trimestre • Enseñanza de higiene oral, control de placa. • Tratamiento periodontal conservador. Momento ideal para el tratamiento dental • Radiografías con protección • Tratamientos de emergencia y electivos.
  • 14.
    Consideraciones clínicas Tercer trimestre •Enseñanza de higiene oral, control de placa. • Tratamiento periodontal conservador. • Radiografías con protección • Evitar la posición supina durante tiempo prolongado. Visitas cortas. Se aconseja una posición semisentada y con cambios de posición frecuentes. • Se debe evitar al máximo cualquier tratamiento en las últimas semanas debido a la posibilidad de que presente un parto prematuro en el gabinete dental. • Tratamientos de emergencia .
  • 15.
    Emergencias obstétricas en laconsulta dental. Síndrome de hipotensión supina: compresión de la vena cava inferior Síncope: hipotensión, hipoglucemia, anemia, deshidratación y desórdenes neurogénicos. Crisis hipoglucémicas: ayuno prolongado. Arritmia: aumento actividad parasimpática Vómito y aspiración del contenido gástrico: Aumento de la presión intragástrica. Peligroso asociado al desmayo. Otras: pacientes con ruptura de las membranas del corion y amnion, sangrado vaginal activo o contracciones dolorosas.
  • 16.
    Conclusiones • • • • Las embarazadas presentancambios fisiológicos, lo que determina tanto una distinta intervención como relación, debido a su estado anímico y percepción más sensible. Nuestra labor en la educación es importante, informar a nuestra futura madre que las consideraciones clínicas se hacen tanto por su salud como por la de su hijo, logrando una mayor confianza por parte de nuestra paciente. Es importante en el diálogo con nuestra paciente debe dar a conocer la importancia de su salud bucal para prevenir la transmisión vertical hacia su bebé, para incentivar el cuidado mas minucioso por parte de ella. Mantener una comunicación con un profesional ginecobstetra de nuestra paciente es buen paso para lograr un mejor pronóstico.