CASO CLÍNICO 4
Roberto Joel Vazquez Ortiz
Ana Paulina Garcia Olivas
Cristian Otoniel Betancurt Castro
Cesar Alexis Saenz Ramos
SESIONES CLÍNICAS
10° “C”
FICHA DE IDENTIFICACIÓN :
● NOMBRE: JMNC
● EDAD: 34 años
● ESTADO CIVIL: SOLTERO
● L. DE ORIGEN: SURESTE DE USA
● L. DE RESIDENCIA: BOSTON USA
● F. DE HISTORIA CLÍNICA: 28 09 2018
ANTECEDENTES PERSONALES PATOLÓGICOS
● Asma de larga evolución.
● Empleando LABA LAMA, y CEI
diariamente.
● Síndrome depresivo empleando
Alprazolam .250 mg diariamente.
● Con ETS Gonorrea y Chlamydia en su
juventud manejada medicamente.
● VIH + de tiempo no precisado.
● Pérdida de peso de 13.6 kg en dos meses.
Con anorexia, nausea y vomito dolor
abdominal difuso, moderado.
ANTECEDENTES PERSONALES NO
PATOLÓGICOS
● Viaje a África en un pasado remoto,
vivienda inestable y dormía en refugios o
en casas de familiares o amigos en la Costa
de Nueva Inglaterra.
● Tabaquismo 10 cigarrillo diarios desde los
18 años, consume dos shots de vino
diariamente por la mañana los recientes 15
años.
● Emplea marihuana ocasional, sin emplear
otras drogas parenterales.
● Ha tenido 20 compañeros sexuales de
ambos sexos Sin protección.
MOTIVO DE INGRESO
• Trasladado por sus familiares de urgencia por disnea progresiva severa de
un mes de evolución, se acompañaba de tos productiva con expectoración
escasa hemoptoica, que no mejoró con LABA,LAMA y CEI.
• De dos semanas a la fecha ha presentado mialgias, astenia adinamia,
diaforesis nocturna, escalosfrió y dolor torácico medioesternal tolerable.
Además dolor abdominal; leve, difuso, acompañado de nauseas y llegó al
vómito de contenido alimentario ocasionalmente, los recientes 3 días se
agregó fiebre no cuantificada.
EXPLORACIÓN FÍSICA
• Talla 1.70 mts. • Peso 49.9 kg. IMC 17.3
SIGNOS VITALES • TA 96/65 mmHg, FC 120´, FR 20´, TEMP 38.7ºC, Sp02 95%
EXPLORACION EXTERNA • masc. somnoliento, caquéctico, febril, mal hidratado mucosas
orales secas con placas blanquecinas que invaden orofaringe.
CRANEO • sin exostosis ni hundimientos, pelo escaso, sin alteración en
pares craneales
CUELLO • móvil, sin ganglios ni tiroides palpables, sin IY.
TORAX • sin tiros respiratorios, con estertores crepitantes bilaterales
basales, Rs. Cardiacos rítmicos con taquicardia.
ABDOMEN • Sin panículo adiposo, sin anillos herniarios, sin
hepatoesplenomegalia, peristálsis presente, con dolor difuso a
la palpación manifestado con mínima resistencia muscular,
tacto rectal y genitales sin aparentes elementos agregados
EXTREMIDADES • Adelgazadas simétricas, sin edemas, pulsos isócronos, la piel
con xerosis difusa, manchas de hipopigmentación dispersas
en los brazos, con una placa violácea de bordes irregulares
en el pie izquierdo cara medial, dolorosa a la palpación.
EVOLUCIÓN INTRAHOSPITALARIA
A su ingreso se le administraron O2 por puntas nasales 4 litros por minuto , se le colocó cathéter subclavio sin
incidentes
Se le pasaron soluciones cristaloides balanceadas, se le inicio infusión de Norepinefrina 4 mcgr/min , se le indicaron
inhibidores de bomba de protones, se le suministró una suspensión de nistatina oral cuatro veces al día además de
medicamentos parenterales a base de Trimetoprim con sulfametoxazol, y levofloxacina.
Su Sp02 subió a 98%, la TA mejoró a 110/60, FC 90´ FR 20´ la temperatura se controló a 36ºc,
se le iniciaron búsqueda de antígeno neumococcico y legionella en orina negativos, se reportó ( 1,3 ) - β-D-glucano en
>de 500 pg/mm3 (VN < 60), se le retiró levofloxacino y se agregó Trimetoprim- Sulfametoxazol, vancomicina, cefepime,
fluconazol y prednisona.
Al siguiente día se le retiró la infusión de Norepinefrina, se recibieron resultados de pruebas de laboratorio
adicionales. Indices eritrocitarios normales, niveles sanguíneos de glucosa, calcio, FA, Bilirruubinas totales, Acido
láctico normales, Examen General de Orina normal Azoados normales, un Electrocardiograma con taquicardia
sinusal,
Cultivo de frotis nasofaríngeo para antigenos de influenza A y B negativos, pruebas para legionella y neumococo en
orina negativos.
Un análisis de detección para los anticuerpos VIH tipo 1 (VIH-1) y VIH tipo 2 (VIH-2) y el antígeno VIH-1, p24 fue
positivo, la carga viral de ARN del VIH-1 en plasma fue de 363,000 copias por mililitro, el recuento de células T CD4
+ en sangre fue de 77 por milímetro cúbico (rango de referencia, 348 a 1456).
EVOLUCIÓN
INTRAHOSPITALARIA
análisis de sangre para anticuerpos contra Treponema pallidum - positivo.
prueba de aglutinacion de particulas de T Pallidum (TP-PA) - positiva
punción lumbar reveló LCR agua de roca 2% de linfocitos por cc. sin glóbulos rojos, niveles
normales de proteínas y glucosa;
prueba de laboratorio de investigación de enfermedades venéreas - negativa.
Tres frotis de esputo inducidos que se examinaron para detectar bacilos ácido- alcohol
resistentes fueron negativos, al igual que una prueba de reacción en cadena de la
polimerasa (PCR) de esputo para Mycobacterium tuberculosis ,
Una prueba de anticuerpos IgG para citomegalovirus fue positiva, el resultado de una
prueba de PCR para ADN de citomegalovirus realizado en una muestra de sangre fue
indetectable.
La disnea y la tos del paciente disminuyeron gradualmente, se disminuyó el tratamiento
con oxígeno suplementario, se suspendieron vancomicina y cefepima.
Al cuarto día de hospitalización, se inició un curso de penicilina intravenosa de 2
semanas.
EVOLUCIÓN
INTRAHOSPITALARIA
El quinto día de hospitalización, el paciente informó que su dolor abdominal había
aumentado. El dolor era difuso, de intensidad moderada y agudo, y empeoró cuando
estaba en posición supina.
En el examen, el abdomen estaba blando, con sensibilidad dolorosa difusa a la
palpación que era más severa en los cuadrantes superiores derecho e izquierdo. Se le
tomó TAC simple y contrastada de abdomen que solo reveló distensión de colon distal
con carga fecal se administraron polietilenglicol y senósidos orales.
El sexto día de hospitalización, se inició una formulación de dosis fija de bictegravir,
emtricitabina y tenofovir alafenamida, y se disminuyó la dosis de prednisona.
Durante los siguientes 4 días, el dolor abdominal empeoró y se asoció con distensión
abdominal, náuseas y varios episodios de emesis teñida de sangre con heces blandas; a
la E. Física, el abdomen estaba difusamente sensible a la palpación; ruidos intestinales
presentes, normales. Nueva TAC sin alteraciones, los estudios de laboratorio de la
función hepática normales solo ácido láctico en sangre de 4.1 mmol por litro (rango de
referencia, 0.5 a 2.0). Que mejoró con la administracion de cristaloides.
Se le realizó una maniobra diagnóstica :……
EVOLUCIÓN
INTRAHOSPITALARIA
La endoscopia superior reveló: esófago de apariencia
normal. En el estómago, se observaron
aproximadamente 15 nódulos hiperémicos firmes que
se distribuían uniformemente desde debajo de la
unión gastroesofágica hasta el antro, la mucosa gástrica
parecía normal.
La primera y segunda parte del duodeno mostraron
vellosidades y mucosas normales.
En la tercera parte del duodeno, había lesiones
adicionales que tenían la misma apariencia hiperémica
pero eran más arquitectónicamente
planas que sobresalientes.
Se realizaron biopsias de las lesiones gástricas y
duodenales.
A su ingreso, el paciente también tenía
una lesión dolorosa en cara interna del pie
izquierdo que, en un examen más
detallado, se encontró que era una placa
violácea con bordes irregulares.
Una muestra de biopsia de la lesión a bajo
aumento mostró piel acral en gran parte
intacta con espacios vasculares dilatados
y dispersos en la dermis superficial y
profunda a mayor aumento, se descubrió
que los espacios vasculares estaban
estrechamente asociados con las
estructuras anexiales normales y estaban
revestidos por células endoteliales
agujereadas hipercromáticas.
La tinción inmunohistoquímica para HHV-8
reveló células endoteliales atípicas
Síndrome constitucional
Astenia, anorexia y pérdida significativa de peso (definida como una disminución involuntaria
del 5 % del peso corporal total en 6 meses).
Tumorales
Cáncer pancreático
Cáncer gástrico
Cáncer colorrectal
Hepatocarcinoma
Cáncer prostático
Digestivas
Enfermedad péptica
S. de malabsorción
E. inflamatoria intestinal
Hepatopatías crónicas
Psiquiátricas
Depresión
Anorexia nerviosa
TOC
Esquizofrenia
Sistémicas
LES
Polimialgia reumática
Esclerodermia
AR
Sarcoidosis
Endocrinas
Hipertiroidismo
E. Addison
Panhipopituitarismo
Infecciosas
TB
VIH
VHB-C
Brucelosis
Sifils
Diagnósticos
diferenciales
• Tuberculosis
• Citomegalovirus
• Neumonía bacteriana
• Linfoma no Hodgkin
DIAGNÓSTICOS PRESUNTIVOS
SARCOMA DE
KAPOSI
NEUMONIA
POR P.
JIROVECCI
VIH-SIDA
Neumonía por Pneumocistys jirovecci
P. jirovecii constituye uno de los
principales agentes causantes de
infección oportunista en pacientes
inmunocomprometidos. En la mayoría de
los pacientes, se presenta un cuadro de
neumonitis que progresa a neumonía. Este
tipo de neumonía es causado por el hongo
Pneumocystis jiroveci. Este hongo es común
en el medio ambiente y pocas veces causa
enfermedad en personas sanas. Sin embargo,
puede causar una infección pulmonar en
personas con un sistema inmunitario debilitado
• Factores de riesgo tales como: episodios de neumonía
bacteriana recurrentes, infección por VIH con recuento de
CD4 < 200 células/µL, carga viral elevada, presencia de
candidiasis oral, pérdida de peso y antecedente de PCP.
• Los síntomas se presentan de forma subaguda
• Fiebre, tos no productiva gradualmente progresiva y disnea.
• Exploracion fisica: crepitantes finos, taquicardia, taquipnea
Diagnóstico
• Hasta un 90% tiene elevado el nivel de LDH
• Análisis sérico de beta-1.3-glucan proporciona el apoyo para identificar un
proceso neumónico relacionado con P. jirovecii, puntos de cohorte diagnóstico
(30-60 pg/mL)
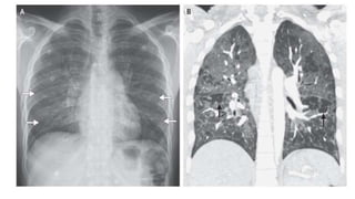
• Rx de tórax: infiltrado intersticial difuso con un patrón que inicia en las regiones
parahiliares y progresa a las zonas apicales y periféricas. En el 20% de los casos
se pueden encontrar lesiones quísticas y neumotórax; rx normal en 30%.
• TAC de torax: presencia de opacidades en vidrio deslustrado y/o lesiones
quísticas
VIH-SIDA
Las condiciones definitorias de SIDA son un conjunto de condiciones potencialmente
mortales que indican la progresión de la infección por VIH a SIDA.
A medida que disminuye el recuento de CD4(<200), el sistema inmunológico se debilita
y pueden ocurrir muchos procesos patológicos.
• Desarrrollo de neoplasias malignas
• Propagación rápida de infecciones bacterianas y fúngicas oportunistas y no oportunistas.
• Reactivación de infecciones latentes.
• Promiscuidad, relaciones sexuales sin protección y sexo con hombres
• En el paciente existe anticuerpos positivos para VIH1 y 2, así como CD4+ de
77/mm3
1. Sarcoma de Kaposi
2. TB/ Neumonia P.
jirovecci
Sarcoma de
Kaposi
• Llos pacientes suelen presentar múltiples tumores elevados cutáneos
o viscerales de rápido crecimiento.
• Afecta con más frecuencia a la piel, pero también puede afectar a los
ganglios linfáticos, las mucosas y las vísceras.
• Puede ocurrir con cualquier recuento de CD4 (típicamente <
500/mm3)
• Etapa inicial:
Pápulas o nódulos violáceos indoloros y no pruriginosos en la piel y las
mucosas (especialmente en la cara/cavidad oral y el tórax)
Placas solitarias de pigmentación oscura, que pueden evolucionar a
cambios cutáneos nodulares, azulados, submucosos y dolorosos
• Progresión: puede diseminarse a los órganos, particularmente el
tracto gastrointestinal, el tracto respiratorio y los ganglios linfáticos.
• Compromiso del tracto gastrointestinal: dolor abdominal y diarrea;
hemorragia y obstrucción intestinal en casos severos
• Afectación pulmonar: Las lesiones provocan disnea, tos y/o
hemoptisis.
Diagnóstico
• Detección del VIH
• Biopsia e histología de lesiones cutáneas o viscerales (indicadas en
todos los pacientes)
• La inmunotinción ayuda a diferenciar el KS de otros diagnósticos
similares (p. ej., angiomatosis bacilar)
• TC con contraste intravenoso: realce de lesiones con contraste.
• La endoscopia y la broncoscopia pueden mostrar lesiones de color
rojo púrpura; la hemorragia también puede ser visible.
Causada por el virus del herpes humano 8 (HHV8), un gran virus
del herpes gamma de ADN
Las rutas de transmisión incluyen:
Saliva
contacto sexual
Potencialmente a través de transfusiones de sangre y uso de
drogas intravenosas
• Proliferación de células endoteliales (anormales) en vasos sanguíneos, con invasión a tejidos circundantes.
• Etapas avanzadas afectan otros órganos (pulmones, hígado, TGI)
• Proliferación vascular: Se observa una proliferación de células endoteliales que forman pequeños vasos sanguíneos o
capilares en la dermis.
• Células tumorales: Se observan células tumorales alrededor de los capilares, que son pequeñas células redondas y
angulares que tienen un núcleo oscuro y prominentes.
• Infiltrado inflamatorio: Se puede observar un infiltrado inflamatorio de células inflamatorias, principalmente células
plasmáticas, linfocitos y macrófagos.
• Extravasación de glóbulos rojos: Se puede observar extravasación de glóbulos rojos de los capilares en el tejido
circundante.
• Focos de necrosis: Se puede observar focos de necrosis en los nódulos tumorales.
Biopsia de estómago y
duodeno.
Biopsia de pie
• Lesión dolorosa en cara interna del pie izquierdo que, una placa violácea con bordes irregulares.
• Espacios vasculares dilatados y dispersos en la dermis superficial y profunda. (Bajo aumento)
• Espacios vasculares, estrechamente asociados con las estructuras anexiales normales y estaban
revestidos por células endoteliales agujereadas hipercromáticas. (Mayor aumento)
• La tinción inmunohistoquímica para HHV-8 reveló células endoteliales atípicas.
• La tinción IHC utiliza anticuerpos específicos para detectar proteínas del virus, como la proteína de la
cápside del HHV-8 (LNA1). En la tinción IHC para HHV-8, se pueden observar células que contienen el
virus, generalmente en los núcleos celulares.
Sistema de Etapificación TIS para Sarcoma de
Kaposi asociado a SIDA
Tratamiento: Fase avanzada de SK (fase TI)
TARAA y antraciclina liposomal
El paclitaxel es un tratamiento de primera línea alternativo o se puede administrar si la doxorrubicina
liposómica pegilada falla.
Pronóstico
● La supervivencia estimada a los 5 años es del 69% pero varía
dependiendo de la extensión de la enfermedad.
● La supervivencia en el primer año es del 90% para la
afectación cutánea y del 70% para la afectación visceral.
● Todo depende del nivel de inmunodepresion que tenga el
paciente
Bower M, Dalla Pria A, Coyle C, et al. Prospective stage-stratified approach to AIDS-related Kaposi's sarcoma. J Clin Oncol 2014; 32:409.

EL CUARTO.pptx

  • 1.
    CASO CLÍNICO 4 RobertoJoel Vazquez Ortiz Ana Paulina Garcia Olivas Cristian Otoniel Betancurt Castro Cesar Alexis Saenz Ramos SESIONES CLÍNICAS 10° “C”
  • 2.
    FICHA DE IDENTIFICACIÓN: ● NOMBRE: JMNC ● EDAD: 34 años ● ESTADO CIVIL: SOLTERO ● L. DE ORIGEN: SURESTE DE USA ● L. DE RESIDENCIA: BOSTON USA ● F. DE HISTORIA CLÍNICA: 28 09 2018
  • 3.
    ANTECEDENTES PERSONALES PATOLÓGICOS ●Asma de larga evolución. ● Empleando LABA LAMA, y CEI diariamente. ● Síndrome depresivo empleando Alprazolam .250 mg diariamente. ● Con ETS Gonorrea y Chlamydia en su juventud manejada medicamente. ● VIH + de tiempo no precisado. ● Pérdida de peso de 13.6 kg en dos meses. Con anorexia, nausea y vomito dolor abdominal difuso, moderado. ANTECEDENTES PERSONALES NO PATOLÓGICOS ● Viaje a África en un pasado remoto, vivienda inestable y dormía en refugios o en casas de familiares o amigos en la Costa de Nueva Inglaterra. ● Tabaquismo 10 cigarrillo diarios desde los 18 años, consume dos shots de vino diariamente por la mañana los recientes 15 años. ● Emplea marihuana ocasional, sin emplear otras drogas parenterales. ● Ha tenido 20 compañeros sexuales de ambos sexos Sin protección.
  • 4.
    MOTIVO DE INGRESO •Trasladado por sus familiares de urgencia por disnea progresiva severa de un mes de evolución, se acompañaba de tos productiva con expectoración escasa hemoptoica, que no mejoró con LABA,LAMA y CEI. • De dos semanas a la fecha ha presentado mialgias, astenia adinamia, diaforesis nocturna, escalosfrió y dolor torácico medioesternal tolerable. Además dolor abdominal; leve, difuso, acompañado de nauseas y llegó al vómito de contenido alimentario ocasionalmente, los recientes 3 días se agregó fiebre no cuantificada.
  • 5.
    EXPLORACIÓN FÍSICA • Talla1.70 mts. • Peso 49.9 kg. IMC 17.3 SIGNOS VITALES • TA 96/65 mmHg, FC 120´, FR 20´, TEMP 38.7ºC, Sp02 95% EXPLORACION EXTERNA • masc. somnoliento, caquéctico, febril, mal hidratado mucosas orales secas con placas blanquecinas que invaden orofaringe. CRANEO • sin exostosis ni hundimientos, pelo escaso, sin alteración en pares craneales CUELLO • móvil, sin ganglios ni tiroides palpables, sin IY. TORAX • sin tiros respiratorios, con estertores crepitantes bilaterales basales, Rs. Cardiacos rítmicos con taquicardia. ABDOMEN • Sin panículo adiposo, sin anillos herniarios, sin hepatoesplenomegalia, peristálsis presente, con dolor difuso a la palpación manifestado con mínima resistencia muscular, tacto rectal y genitales sin aparentes elementos agregados EXTREMIDADES • Adelgazadas simétricas, sin edemas, pulsos isócronos, la piel con xerosis difusa, manchas de hipopigmentación dispersas en los brazos, con una placa violácea de bordes irregulares en el pie izquierdo cara medial, dolorosa a la palpación.
  • 6.
    EVOLUCIÓN INTRAHOSPITALARIA A suingreso se le administraron O2 por puntas nasales 4 litros por minuto , se le colocó cathéter subclavio sin incidentes Se le pasaron soluciones cristaloides balanceadas, se le inicio infusión de Norepinefrina 4 mcgr/min , se le indicaron inhibidores de bomba de protones, se le suministró una suspensión de nistatina oral cuatro veces al día además de medicamentos parenterales a base de Trimetoprim con sulfametoxazol, y levofloxacina. Su Sp02 subió a 98%, la TA mejoró a 110/60, FC 90´ FR 20´ la temperatura se controló a 36ºc, se le iniciaron búsqueda de antígeno neumococcico y legionella en orina negativos, se reportó ( 1,3 ) - β-D-glucano en >de 500 pg/mm3 (VN < 60), se le retiró levofloxacino y se agregó Trimetoprim- Sulfametoxazol, vancomicina, cefepime, fluconazol y prednisona. Al siguiente día se le retiró la infusión de Norepinefrina, se recibieron resultados de pruebas de laboratorio adicionales. Indices eritrocitarios normales, niveles sanguíneos de glucosa, calcio, FA, Bilirruubinas totales, Acido láctico normales, Examen General de Orina normal Azoados normales, un Electrocardiograma con taquicardia sinusal, Cultivo de frotis nasofaríngeo para antigenos de influenza A y B negativos, pruebas para legionella y neumococo en orina negativos. Un análisis de detección para los anticuerpos VIH tipo 1 (VIH-1) y VIH tipo 2 (VIH-2) y el antígeno VIH-1, p24 fue positivo, la carga viral de ARN del VIH-1 en plasma fue de 363,000 copias por mililitro, el recuento de células T CD4 + en sangre fue de 77 por milímetro cúbico (rango de referencia, 348 a 1456).
  • 9.
    EVOLUCIÓN INTRAHOSPITALARIA análisis de sangrepara anticuerpos contra Treponema pallidum - positivo. prueba de aglutinacion de particulas de T Pallidum (TP-PA) - positiva punción lumbar reveló LCR agua de roca 2% de linfocitos por cc. sin glóbulos rojos, niveles normales de proteínas y glucosa; prueba de laboratorio de investigación de enfermedades venéreas - negativa. Tres frotis de esputo inducidos que se examinaron para detectar bacilos ácido- alcohol resistentes fueron negativos, al igual que una prueba de reacción en cadena de la polimerasa (PCR) de esputo para Mycobacterium tuberculosis , Una prueba de anticuerpos IgG para citomegalovirus fue positiva, el resultado de una prueba de PCR para ADN de citomegalovirus realizado en una muestra de sangre fue indetectable.
  • 10.
    La disnea yla tos del paciente disminuyeron gradualmente, se disminuyó el tratamiento con oxígeno suplementario, se suspendieron vancomicina y cefepima. Al cuarto día de hospitalización, se inició un curso de penicilina intravenosa de 2 semanas. EVOLUCIÓN INTRAHOSPITALARIA El quinto día de hospitalización, el paciente informó que su dolor abdominal había aumentado. El dolor era difuso, de intensidad moderada y agudo, y empeoró cuando estaba en posición supina. En el examen, el abdomen estaba blando, con sensibilidad dolorosa difusa a la palpación que era más severa en los cuadrantes superiores derecho e izquierdo. Se le tomó TAC simple y contrastada de abdomen que solo reveló distensión de colon distal con carga fecal se administraron polietilenglicol y senósidos orales.
  • 11.
    El sexto díade hospitalización, se inició una formulación de dosis fija de bictegravir, emtricitabina y tenofovir alafenamida, y se disminuyó la dosis de prednisona. Durante los siguientes 4 días, el dolor abdominal empeoró y se asoció con distensión abdominal, náuseas y varios episodios de emesis teñida de sangre con heces blandas; a la E. Física, el abdomen estaba difusamente sensible a la palpación; ruidos intestinales presentes, normales. Nueva TAC sin alteraciones, los estudios de laboratorio de la función hepática normales solo ácido láctico en sangre de 4.1 mmol por litro (rango de referencia, 0.5 a 2.0). Que mejoró con la administracion de cristaloides. Se le realizó una maniobra diagnóstica :…… EVOLUCIÓN INTRAHOSPITALARIA
  • 12.
    La endoscopia superiorreveló: esófago de apariencia normal. En el estómago, se observaron aproximadamente 15 nódulos hiperémicos firmes que se distribuían uniformemente desde debajo de la unión gastroesofágica hasta el antro, la mucosa gástrica parecía normal. La primera y segunda parte del duodeno mostraron vellosidades y mucosas normales. En la tercera parte del duodeno, había lesiones adicionales que tenían la misma apariencia hiperémica pero eran más arquitectónicamente planas que sobresalientes. Se realizaron biopsias de las lesiones gástricas y duodenales.
  • 13.
    A su ingreso,el paciente también tenía una lesión dolorosa en cara interna del pie izquierdo que, en un examen más detallado, se encontró que era una placa violácea con bordes irregulares. Una muestra de biopsia de la lesión a bajo aumento mostró piel acral en gran parte intacta con espacios vasculares dilatados y dispersos en la dermis superficial y profunda a mayor aumento, se descubrió que los espacios vasculares estaban estrechamente asociados con las estructuras anexiales normales y estaban revestidos por células endoteliales agujereadas hipercromáticas. La tinción inmunohistoquímica para HHV-8 reveló células endoteliales atípicas
  • 14.
    Síndrome constitucional Astenia, anorexiay pérdida significativa de peso (definida como una disminución involuntaria del 5 % del peso corporal total en 6 meses). Tumorales Cáncer pancreático Cáncer gástrico Cáncer colorrectal Hepatocarcinoma Cáncer prostático Digestivas Enfermedad péptica S. de malabsorción E. inflamatoria intestinal Hepatopatías crónicas Psiquiátricas Depresión Anorexia nerviosa TOC Esquizofrenia Sistémicas LES Polimialgia reumática Esclerodermia AR Sarcoidosis Endocrinas Hipertiroidismo E. Addison Panhipopituitarismo Infecciosas TB VIH VHB-C Brucelosis Sifils
  • 15.
  • 16.
  • 17.
    Neumonía por Pneumocistysjirovecci P. jirovecii constituye uno de los principales agentes causantes de infección oportunista en pacientes inmunocomprometidos. En la mayoría de los pacientes, se presenta un cuadro de neumonitis que progresa a neumonía. Este tipo de neumonía es causado por el hongo Pneumocystis jiroveci. Este hongo es común en el medio ambiente y pocas veces causa enfermedad en personas sanas. Sin embargo, puede causar una infección pulmonar en personas con un sistema inmunitario debilitado • Factores de riesgo tales como: episodios de neumonía bacteriana recurrentes, infección por VIH con recuento de CD4 < 200 células/µL, carga viral elevada, presencia de candidiasis oral, pérdida de peso y antecedente de PCP.
  • 18.
    • Los síntomasse presentan de forma subaguda • Fiebre, tos no productiva gradualmente progresiva y disnea. • Exploracion fisica: crepitantes finos, taquicardia, taquipnea
  • 19.
    Diagnóstico • Hasta un90% tiene elevado el nivel de LDH • Análisis sérico de beta-1.3-glucan proporciona el apoyo para identificar un proceso neumónico relacionado con P. jirovecii, puntos de cohorte diagnóstico (30-60 pg/mL) • Rx de tórax: infiltrado intersticial difuso con un patrón que inicia en las regiones parahiliares y progresa a las zonas apicales y periféricas. En el 20% de los casos se pueden encontrar lesiones quísticas y neumotórax; rx normal en 30%. • TAC de torax: presencia de opacidades en vidrio deslustrado y/o lesiones quísticas
  • 20.
    VIH-SIDA Las condiciones definitoriasde SIDA son un conjunto de condiciones potencialmente mortales que indican la progresión de la infección por VIH a SIDA. A medida que disminuye el recuento de CD4(<200), el sistema inmunológico se debilita y pueden ocurrir muchos procesos patológicos. • Desarrrollo de neoplasias malignas • Propagación rápida de infecciones bacterianas y fúngicas oportunistas y no oportunistas. • Reactivación de infecciones latentes. • Promiscuidad, relaciones sexuales sin protección y sexo con hombres • En el paciente existe anticuerpos positivos para VIH1 y 2, así como CD4+ de 77/mm3
  • 21.
    1. Sarcoma deKaposi 2. TB/ Neumonia P. jirovecci
  • 22.
    Sarcoma de Kaposi • Llospacientes suelen presentar múltiples tumores elevados cutáneos o viscerales de rápido crecimiento. • Afecta con más frecuencia a la piel, pero también puede afectar a los ganglios linfáticos, las mucosas y las vísceras. • Puede ocurrir con cualquier recuento de CD4 (típicamente < 500/mm3) • Etapa inicial: Pápulas o nódulos violáceos indoloros y no pruriginosos en la piel y las mucosas (especialmente en la cara/cavidad oral y el tórax) Placas solitarias de pigmentación oscura, que pueden evolucionar a cambios cutáneos nodulares, azulados, submucosos y dolorosos • Progresión: puede diseminarse a los órganos, particularmente el tracto gastrointestinal, el tracto respiratorio y los ganglios linfáticos. • Compromiso del tracto gastrointestinal: dolor abdominal y diarrea; hemorragia y obstrucción intestinal en casos severos • Afectación pulmonar: Las lesiones provocan disnea, tos y/o hemoptisis.
  • 23.
    Diagnóstico • Detección delVIH • Biopsia e histología de lesiones cutáneas o viscerales (indicadas en todos los pacientes) • La inmunotinción ayuda a diferenciar el KS de otros diagnósticos similares (p. ej., angiomatosis bacilar) • TC con contraste intravenoso: realce de lesiones con contraste. • La endoscopia y la broncoscopia pueden mostrar lesiones de color rojo púrpura; la hemorragia también puede ser visible. Causada por el virus del herpes humano 8 (HHV8), un gran virus del herpes gamma de ADN Las rutas de transmisión incluyen: Saliva contacto sexual Potencialmente a través de transfusiones de sangre y uso de drogas intravenosas
  • 24.
    • Proliferación decélulas endoteliales (anormales) en vasos sanguíneos, con invasión a tejidos circundantes. • Etapas avanzadas afectan otros órganos (pulmones, hígado, TGI) • Proliferación vascular: Se observa una proliferación de células endoteliales que forman pequeños vasos sanguíneos o capilares en la dermis. • Células tumorales: Se observan células tumorales alrededor de los capilares, que son pequeñas células redondas y angulares que tienen un núcleo oscuro y prominentes. • Infiltrado inflamatorio: Se puede observar un infiltrado inflamatorio de células inflamatorias, principalmente células plasmáticas, linfocitos y macrófagos. • Extravasación de glóbulos rojos: Se puede observar extravasación de glóbulos rojos de los capilares en el tejido circundante. • Focos de necrosis: Se puede observar focos de necrosis en los nódulos tumorales. Biopsia de estómago y duodeno.
  • 26.
    Biopsia de pie •Lesión dolorosa en cara interna del pie izquierdo que, una placa violácea con bordes irregulares. • Espacios vasculares dilatados y dispersos en la dermis superficial y profunda. (Bajo aumento) • Espacios vasculares, estrechamente asociados con las estructuras anexiales normales y estaban revestidos por células endoteliales agujereadas hipercromáticas. (Mayor aumento) • La tinción inmunohistoquímica para HHV-8 reveló células endoteliales atípicas. • La tinción IHC utiliza anticuerpos específicos para detectar proteínas del virus, como la proteína de la cápside del HHV-8 (LNA1). En la tinción IHC para HHV-8, se pueden observar células que contienen el virus, generalmente en los núcleos celulares.
  • 27.
    Sistema de EtapificaciónTIS para Sarcoma de Kaposi asociado a SIDA
  • 28.
    Tratamiento: Fase avanzadade SK (fase TI) TARAA y antraciclina liposomal El paclitaxel es un tratamiento de primera línea alternativo o se puede administrar si la doxorrubicina liposómica pegilada falla.
  • 29.
    Pronóstico ● La supervivenciaestimada a los 5 años es del 69% pero varía dependiendo de la extensión de la enfermedad. ● La supervivencia en el primer año es del 90% para la afectación cutánea y del 70% para la afectación visceral. ● Todo depende del nivel de inmunodepresion que tenga el paciente Bower M, Dalla Pria A, Coyle C, et al. Prospective stage-stratified approach to AIDS-related Kaposi's sarcoma. J Clin Oncol 2014; 32:409.