drpabloarias@hotmail.com
Fisiología de la Visión 1
FISIOLOGÍA DE LA VISIÓN:
MECANISMOS BÁSICOS DEL PROCESO VISUAL
FISIOLOGÍA DE LA RETINA
Prueba de oposición para optar al cargo
de Profesor Titular de Fisiología de
la Facultad de Ciencias Médicas de
la Universidad Nacional de Rosario
Dr. Pablo Arias
Prof. Adjunto de Fisiología
FMED-UBA
FCM-UNL
drpabloarias@hotmail.com
Fisiología de la Visión 2
OBJETIVOS OPERATIVOS
EL ESTUDIO DE LOS TEMAS DEL PRESENTE SEMINARIO
DEBE PERMITIRLES:
 Enumerar las funciones del sistema visual
 Graficar el sistema óptico del ojo humano y la potencia
de sus lentes. Describir los errores de refracción más
frecuentes y la forma de corregir dichos errores.
 Graficar el trayecto de las fibras del nervio óptico hasta
el núcleo geniculado lateral y la proyección desde esta
estación hasta la corteza visual primaria.
 Utilizando el esquema anterior, describir el campo visual
de cada ojo y predecir los déficits visuales que se
producirán como consecuencia de lesiones en las
distintas partes de la vía óptica
drpabloarias@hotmail.com
Fisiología de la Visión 3
OBJETIVOS OPERATIVOS:
 Enumerar las células nerviosas que constituyen la retina
indicando las conexiones entre ellas.
 Describir los distintos tipos de fotorreceptores y su
sensibilidad espectral. Explicar los conceptos de visión
fotópica y escotópica.
 Diferenciar las dos vías funcionales (conos y bastones)
de conducción centrípeta de la señal visual.
 Enumerar los elementos oculares que permiten una
agudeza visual normal y describir la evaluación de este
parámetro. Explicar la importancia de la fóvea para la
visión discriminativa.
 Dibujar esquemáticamente el proceso de
fototransducción indicando las moléculas y elementos
químicos que en él intervienen.
EL ESTUDIO DE LOS TEMAS DEL PRESENTE SEMINARIO
DEBE PERMITIRLES:
drpabloarias@hotmail.com
Fisiología de la Visión 4
La luz visible es sólo una fracción del espectro electromagnético
(~400 - ~700 nm) que puede ser captada por el ojo humano…
Efectos
ionizantes
Efectos
fotoquímicos
Efectos
térmicos
LUZ VISIBLE
drpabloarias@hotmail.com
Fisiología de la Visión 5
 El desarrollo de mecanismos para detectar y
transducir la energía lumínica es una ventaja
adaptativa relevante
 El SV es el más complejo de los sistemas
sensoriales
 El SV aporta al cerebro el 80% de la información
proveniente del medio
 Interviene además en la ritmicidad circadiana, en el
equilibrio y en la generación de reflejos posturales
RELEVANCIA FISIOLOGICA
DEL SISTEMA VISUAL (SV)
drpabloarias@hotmail.com
Fisiología de la Visión 6
 El desarrollo de mecanismos para detectar y
transducir la energía lumínica es una ventaja
adaptativa relevante
 El SV es el más complejo de los sistemas
sensoriales
 El SV aporta al cerebro el 80% de la información
proveniente del medio
 Interviene además en la ritmicidad circadiana, en el
equilibrio y en la generación de reflejos posturales
RELEVANCIA FISIOLOGICA
DEL SISTEMA VISUAL (SV)
drpabloarias@hotmail.com
Fisiología de la Visión 7
 El desarrollo de mecanismos para detectar y
transducir la energía lumínica es una ventaja
adaptativa relevante
 El SV es el más complejo de los sistemas
sensoriales
 El SV aporta al cerebro el 80% de la información
proveniente del medio
 Interviene además en la ritmicidad circadiana, en el
equilibrio y en la generación de reflejos posturales
RELEVANCIA FISIOLOGICA
DEL SISTEMA VISUAL (SV)
drpabloarias@hotmail.com
Fisiología de la Visión 8
 El desarrollo de mecanismos para detectar y
transducir la energía lumínica es una ventaja
adaptativa relevante
 El SV es el más complejo de los sistemas
sensoriales
 El SV aporta al cerebro el 80% de la información
proveniente del medio
 Interviene además en la ritmicidad circadiana, en el
equilibrio y en la generación de reflejos posturales
RELEVANCIA FISIOLOGICA
DEL SISTEMA VISUAL (SV)
drpabloarias@hotmail.com
Fisiología de la Visión 9
SEÑAL
ÓRGANO RECEPTOR
MENSAJE
INTERPRETACIÓN
FENÓMENO VISUAL
CAPTACIÓN +
FOTOTRANS-
DUCCIÓN
IMPULSO NERVIOSO
PROCESAMIENTO
EN AREAS PRIMARIAS
Y SECUNDARIAS
(50% DEL
NEOCORTEX)
drpabloarias@hotmail.com
Fisiología de la Visión 10
 el iris toma la función del
diafragma, regulando la
entrada de luz
 la retina — sensible a la luz
hace las veces de película.
Se ha comparado el ojo con una cámara:
 una lente deformable (el cristalino) refracta la luz
permitiendo la formación de una imagen bidimensional
invertida en la parte posterior del ojo;
drpabloarias@hotmail.com
Fisiología de la Visión 11
epitelio
pigmentario
bastones
capa plexi-
forme ext.
conos
cél. hori-
zontales
fibras ner-
viosas
capa plexi-
forme int.
cél. bipo-
lares
cél. amá-
crinas
cél. gan-
glionares
drpabloarias@hotmail.com
Fisiología de la Visión 12
epitelio
pigmentario
bastones
capa plexi-
forme ext.
conos
cél. hori-
zontales
fibras ner-
viosas
capa plexi-
forme int.
cél. bipo-
lares
cél. amá-
crinas
cél. gan-
glionares
drpabloarias@hotmail.com
Fisiología de la Visión 13
epitelio
pigmentario
bastones
capa plexi-
forme ext.
conos
cél. hori-
zontales
fibras ner-
viosas
capa plexi-
forme int.
cél. bipo-
lares
cél. amá-
crinas
cél. gan-
glionares
drpabloarias@hotmail.com
Fisiología de la Visión 14
SISTEMA DUAL DE RECEPCIÓN
Y PROCESAMIENTO DE LA
INFORMACION VISUAL
drpabloarias@hotmail.com
Fisiología de la Visión 15
Bastones
-N~ 120 x 106
-Visión acromática
-Alta convergencia
-Elevada sensibilidad
-Baja discriminación
espacial
-Adaptación lenta
SISTEMA DUAL DE RECEPCIÓN
Y PROCESAMIENTO DE LA
INFORMACION VISUAL
drpabloarias@hotmail.com
Fisiología de la Visión 16
Bastones
-N~ 120 x 106
-Visión acromática
-Alta convergencia
-Elevada sensibilidad
-Baja discriminación
espacial
-Adaptación lenta
SISTEMA DUAL DE RECEPCIÓN
Y PROCESAMIENTO DE LA
INFORMACION VISUAL
drpabloarias@hotmail.com
Fisiología de la Visión 17
Bastones
-N~ 120 x 106
-Visión acromática
-Alta convergencia
-Elevada sensibilidad
-Baja discriminación
espacial
-Adaptación lenta
Conos
-N~ 5 x 106
-Visión cromática
- Baja convergencia
- Baja sensibilidad
- Alta discriminación
espacial
-Adaptación rápida
SISTEMA DUAL DE RECEPCIÓN
Y PROCESAMIENTO DE LA
INFORMACION VISUAL
drpabloarias@hotmail.com
Fisiología de la Visión 18
LA MAYOR CONVERGENCIA AUMENTA LA SENSIBILIDAD
A LA LUZ DE LOS BASTONES, PERO A COSTA DE UNA
DISMINUCION EN LA CAPACIDAD DE DISCRIMINACION
 Conos y bastones 
grado de convergencia
 Convergencia 
mejor detección de luz,
menor resolución
espacial
 Relación conos/CG ~1
maximiza la visión
discriminativa
(agudeza visual)
fotorre-
ceptores
cono
CAMPO RECEPTIVO
células
bipolares
células
ganglionares
bastón
cono
fotorre-
ceptores
drpabloarias@hotmail.com
Fisiología de la Visión 19
Sistema de Bastones
(ALTA CONVERGENCIA)
Sistema de Conos
(BAJA CONVERGENCIA)
EL AUMENTO DE LA CONVERGENCIA REDUCE EL NUMERO
DE UNIDADES DE INFORMACION POR AREA
(~DISMINUYE LA CANTIDAD DE PIXELS)
drpabloarias@hotmail.com
Fisiología de la Visión 20
LA FOTOTRANSDUCCION CONVIERTE LA ENERGIA
LUMINOSA EN CAMBIOS EN EL POTENCIAL DE
MEMBRANA
drpabloarias@hotmail.com
Fisiología de la Visión 21
UN DERIVADO DE LA VITAMINA A, EL 11-cis RETINAL,
ES LA MOLECULA FOTOSENSIBLE (CROMOFORO) DEL
PIGMENTO VISUAL DE CONOS Y BASTONES
CONOS Y BASTONES PRESENTAN
DISCOS CON PIGMENTO VISUAL
(OPSINAS) “APILADOS” EN SU
SEGMENTO EXTERNO
drpabloarias@hotmail.com
Fisiología de la Visión 22
EL PRIMER PASO DE LA FOTOTRANSDUCCION ES
EL CAMBIO CONFORMACIONAL DEL 11-cis-RETINAL
PRESENTE EN EL PIGMENTO VISUAL
drpabloarias@hotmail.com
Fisiología de la Visión 23
EN LA OSCURIDAD SE GENERA GMP CÍCLICO
QUE MANTIENE ABIERTOS CANALES DE SODIO
SENSIBLES A ESTE NUCLEOTIDO
Estado de
despolarización
tónica (-30 mV)
drpabloarias@hotmail.com
Fisiología de la Visión 24
EN PRESENCIA DE LUZ SE REDUCEN LOS NIVELES
DE GMPc Y SE CIERRAN LOS CANALES DE SODIO
EL RECEPTOR SE HIPERPOLARIZA PORQUE SIGUE SALIENDO K+ AL EXTERIOR
CON LO QUE SE SUPRIME LA LIBERACION DE GLUTAMATO, QUE EXCITA
A LAS CELULAS BIPOLARES. EN FORMA CONSTANTE.
EL CESE DE ESTA SEÑAL ES INTERPRETADO COMO PRESENCIA DE LUZ
drpabloarias@hotmail.com
Fisiología de la Visión 25
LA CADENA DE TRANSDUCCION AMPLIFICA
CONSIDERABLEMENTE LA SEÑAL FOTICA
(CONFIERE ALTA SENSIBILIDAD A LA LUZ)
drpabloarias@hotmail.com
Fisiología de la Visión 26
 Aparato óptico  imagen bidimensional,
nítida y pequeña sobre
la retina
 Función nerviosa  transducción fótica +
integración en la retina
 Integridad de ambos procesos agudeza
visual normal
 Agudeza visual  capacidad para discriminar
detalles finos de un objeto en el campo visual
c/iluminación adecuada)
AGUDEZA VISUAL
drpabloarias@hotmail.com
Fisiología de la Visión 27
 AV  exploración ocular
más sencilla
 Información global de la
funcionalidad del sistema
visual
 Parámetro relevante, pero
olvidado, a evaluar en APS
AGUDEZA VISUAL
drpabloarias@hotmail.com
Fisiología de la Visión 28
 ojo emétrope
 mácula/fóvea con alta densidad de
conos  retina periférica
 medios transparentes
DETERMINANTES DE LA AGUDEZA
VISUAL NORMAL
drpabloarias@hotmail.com
Fisiología de la Visión 29
ELEMENTOS OCULARES QUE
DETERMINAN LA REFRACCION DE LA LUZ
Ima-
gen
Objeto
Humor
vítreo
1.34
Crista-
lino
1.40
Humor
acuoso
1.33
Cornea
1.38
Aire
1.00
Poder total de refracción ~60 dioptrías  distancia focal 1.65 cm
drpabloarias@hotmail.com
Fisiología de la Visión 30
Ametropías
 Miopía
 Hipermetropía - Presbicia
 Astigmatismo
drpabloarias@hotmail.com
Fisiología de la Visión 31
Miopía
 Defecto refractivo:
rayos que inciden
paralelos (infinito
teórico) se enfocan por
delante de la retina
 axial – de curvatura –
de índice
 Corrección: lentes
divergentes que
“separan” los rayos de
luz.
drpabloarias@hotmail.com
Fisiología de la Visión 32
Presbicia
 En condiciones normales
la acomodación permite
enfocar sobre la retina
objetos entre el infinito
y la distancia de lectura
(25-30 cm)
 A partir de los 40 años
el cristalino pierde su
capacidad para enfocar
los objetos cercanos
 En forma similar a la
hipermetropía, se
corrige con lentes
convergentes.
drpabloarias@hotmail.com
Fisiología de la Visión 33
LA FOVEA RETINIANA, ELEMENTO CLAVE DE
LA VISION DISCRIMINATIVA
drpabloarias@hotmail.com
Fisiología de la Visión 34
fovéola
fóvea = 500-700 m
epitelio
pigmentario
capa plexiforme ext.
conos
cél. horizontales
capa plexiforme int.
cél. bipolares
cél. amácrinas
cél. ganglionares
La retina foveal mide menos de 150 m de espesor, desapareciendo
la capa de fibras nerviosas y gran parte de los cuerpos de las
células ganglionares y amácrinas
drpabloarias@hotmail.com
Fisiología de la Visión 35
EXCENTRICIDAD en grados
DENSIDAD
DE
RECEPTORES
(
10
3
/
mm
2
)
conos
basto-
nes
DISCO
OPTICO
densidad
máxima de
bastones
densidad máxima de conos
drpabloarias@hotmail.com
Fisiología de la Visión 36
Microscopía de fluorescencia:
bastones densamente
agrupados en la fóvea
Primeras observaciones de la
región foveal realizadas
por Ramón y Cajal en 1888
drpabloarias@hotmail.com
Fisiología de la Visión 37
AGUD
AGUDEZA VISUAL
FONDO
DE OJO
NORMAL
AGUDEZA
VISUAL
9/10
Papila
óptica
Arcadas
vasculares
Mácula c/fóvea
central
drpabloarias@hotmail.com
Fisiología de la Visión 38
AGUDEZA VISUAL LESION CASI
TOTAL DE
LA RETINA
PERIFERICA
POR TRATA-
MIENTO
CON RAYOS
LASER
CON MACULA
INTACTA:
AGUDEZA
VISUAL
9/10
drpabloarias@hotmail.com
Fisiología de la Visión 39
AGUDEZA VISUAL
EDEMA
Y OTRAS
LESIONES
DE MACULO-
PATIA EN
PACIENTE
CON DM
TIPO 2
AGUDEZA
VISUAL
4/10
Mácula c/edema
drpabloarias@hotmail.com
Fisiología de la Visión 40
¿POR QUÉ VEMOS LOS COLORES
QUE VEMOS?
rayos del
extremo
rojo
rayos del
extremo
azul-violeta
drpabloarias@hotmail.com
Fisiología de la Visión 41
 Young / von Helmholtz (~1800): las variaciones de la
escala cromática son percibidas por una codificación
que involucra tres colores (azul, verde, rojo)
VISION DE LOS COLORES: TEORIA
TRICROMATICA
INTEGRACIÓN DE
LA SALIDA DE LOS
3 TIPOS DE CONOS
DISCRIMINACIÓN DE
LOS COLORES
drpabloarias@hotmail.com
Fisiología de la Visión 42
• Conopsina azul (S)
• Rodopsina (bastones)
• Conopsina verde (M)
• Conopsina roja (L) Absorbancia Longitud de onda (nm)
LOS PIGMENTOS VISUALES
PERTENECEN A UNA FAMILIA DE
PROTEÍNAS 7-DTM
drpabloarias@hotmail.com
Fisiología de la Visión 43
Absorbancia
Longitud de onda (nm)
¿Por qué seguimos viendo un objeto de un color
determinado a pesar de variaciones importantes
(sin llegar a la penumbra) de su iluminación?
drpabloarias@hotmail.com
Fisiología de la Visión 44
LAMINAS DE ISHIHARA
drpabloarias@hotmail.com
Fisiología de la Visión 45
drpabloarias@hotmail.com
Fisiología de la Visión 46
Traumatismo con fractura de orbita izquierda
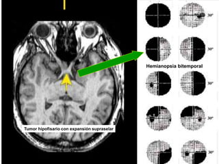
Tumor hipofisario con expansión supraselar
Hemianopsia bitemporal
drpabloarias@hotmail.com
Fisiología de la Visión 47
BIBLIOGRAFIA UTILIZADA
 Guyton-Hall  Tratado de Fisiología Médica,
11ma edición, 2006
 Kandel-Jesse-Schwarz  Principios de
Neurociencias, 4ta edición, 2001
 Kolb  How the Retina Works, Scientific
American 2003; 91: 28-35
 Arribas  Fototransducción en la Retina
http://portal.uam.es/portal/page/profesor/epd2_asignat
uras/asig12344/informacion_academica/Clase%20F85-
Transduccion%20sensitiva%20en%20la%20retina.pdf
drpabloarias@hotmail.com
Fisiología de la Visión 48
¡¡¡MUCHAS GRACIAS POR SU
PRESENCIA Y SU ATENCIÓN!!!

Fisiología de la vision.ppt

  • 1.
    drpabloarias@hotmail.com Fisiología de laVisión 1 FISIOLOGÍA DE LA VISIÓN: MECANISMOS BÁSICOS DEL PROCESO VISUAL FISIOLOGÍA DE LA RETINA Prueba de oposición para optar al cargo de Profesor Titular de Fisiología de la Facultad de Ciencias Médicas de la Universidad Nacional de Rosario Dr. Pablo Arias Prof. Adjunto de Fisiología FMED-UBA FCM-UNL
  • 2.
    drpabloarias@hotmail.com Fisiología de laVisión 2 OBJETIVOS OPERATIVOS EL ESTUDIO DE LOS TEMAS DEL PRESENTE SEMINARIO DEBE PERMITIRLES:  Enumerar las funciones del sistema visual  Graficar el sistema óptico del ojo humano y la potencia de sus lentes. Describir los errores de refracción más frecuentes y la forma de corregir dichos errores.  Graficar el trayecto de las fibras del nervio óptico hasta el núcleo geniculado lateral y la proyección desde esta estación hasta la corteza visual primaria.  Utilizando el esquema anterior, describir el campo visual de cada ojo y predecir los déficits visuales que se producirán como consecuencia de lesiones en las distintas partes de la vía óptica
  • 3.
    drpabloarias@hotmail.com Fisiología de laVisión 3 OBJETIVOS OPERATIVOS:  Enumerar las células nerviosas que constituyen la retina indicando las conexiones entre ellas.  Describir los distintos tipos de fotorreceptores y su sensibilidad espectral. Explicar los conceptos de visión fotópica y escotópica.  Diferenciar las dos vías funcionales (conos y bastones) de conducción centrípeta de la señal visual.  Enumerar los elementos oculares que permiten una agudeza visual normal y describir la evaluación de este parámetro. Explicar la importancia de la fóvea para la visión discriminativa.  Dibujar esquemáticamente el proceso de fototransducción indicando las moléculas y elementos químicos que en él intervienen. EL ESTUDIO DE LOS TEMAS DEL PRESENTE SEMINARIO DEBE PERMITIRLES:
  • 4.
    drpabloarias@hotmail.com Fisiología de laVisión 4 La luz visible es sólo una fracción del espectro electromagnético (~400 - ~700 nm) que puede ser captada por el ojo humano… Efectos ionizantes Efectos fotoquímicos Efectos térmicos LUZ VISIBLE
  • 5.
    drpabloarias@hotmail.com Fisiología de laVisión 5  El desarrollo de mecanismos para detectar y transducir la energía lumínica es una ventaja adaptativa relevante  El SV es el más complejo de los sistemas sensoriales  El SV aporta al cerebro el 80% de la información proveniente del medio  Interviene además en la ritmicidad circadiana, en el equilibrio y en la generación de reflejos posturales RELEVANCIA FISIOLOGICA DEL SISTEMA VISUAL (SV)
  • 6.
    drpabloarias@hotmail.com Fisiología de laVisión 6  El desarrollo de mecanismos para detectar y transducir la energía lumínica es una ventaja adaptativa relevante  El SV es el más complejo de los sistemas sensoriales  El SV aporta al cerebro el 80% de la información proveniente del medio  Interviene además en la ritmicidad circadiana, en el equilibrio y en la generación de reflejos posturales RELEVANCIA FISIOLOGICA DEL SISTEMA VISUAL (SV)
  • 7.
    drpabloarias@hotmail.com Fisiología de laVisión 7  El desarrollo de mecanismos para detectar y transducir la energía lumínica es una ventaja adaptativa relevante  El SV es el más complejo de los sistemas sensoriales  El SV aporta al cerebro el 80% de la información proveniente del medio  Interviene además en la ritmicidad circadiana, en el equilibrio y en la generación de reflejos posturales RELEVANCIA FISIOLOGICA DEL SISTEMA VISUAL (SV)
  • 8.
    drpabloarias@hotmail.com Fisiología de laVisión 8  El desarrollo de mecanismos para detectar y transducir la energía lumínica es una ventaja adaptativa relevante  El SV es el más complejo de los sistemas sensoriales  El SV aporta al cerebro el 80% de la información proveniente del medio  Interviene además en la ritmicidad circadiana, en el equilibrio y en la generación de reflejos posturales RELEVANCIA FISIOLOGICA DEL SISTEMA VISUAL (SV)
  • 9.
    drpabloarias@hotmail.com Fisiología de laVisión 9 SEÑAL ÓRGANO RECEPTOR MENSAJE INTERPRETACIÓN FENÓMENO VISUAL CAPTACIÓN + FOTOTRANS- DUCCIÓN IMPULSO NERVIOSO PROCESAMIENTO EN AREAS PRIMARIAS Y SECUNDARIAS (50% DEL NEOCORTEX)
  • 10.
    drpabloarias@hotmail.com Fisiología de laVisión 10  el iris toma la función del diafragma, regulando la entrada de luz  la retina — sensible a la luz hace las veces de película. Se ha comparado el ojo con una cámara:  una lente deformable (el cristalino) refracta la luz permitiendo la formación de una imagen bidimensional invertida en la parte posterior del ojo;
  • 11.
    drpabloarias@hotmail.com Fisiología de laVisión 11 epitelio pigmentario bastones capa plexi- forme ext. conos cél. hori- zontales fibras ner- viosas capa plexi- forme int. cél. bipo- lares cél. amá- crinas cél. gan- glionares
  • 12.
    drpabloarias@hotmail.com Fisiología de laVisión 12 epitelio pigmentario bastones capa plexi- forme ext. conos cél. hori- zontales fibras ner- viosas capa plexi- forme int. cél. bipo- lares cél. amá- crinas cél. gan- glionares
  • 13.
    drpabloarias@hotmail.com Fisiología de laVisión 13 epitelio pigmentario bastones capa plexi- forme ext. conos cél. hori- zontales fibras ner- viosas capa plexi- forme int. cél. bipo- lares cél. amá- crinas cél. gan- glionares
  • 14.
    drpabloarias@hotmail.com Fisiología de laVisión 14 SISTEMA DUAL DE RECEPCIÓN Y PROCESAMIENTO DE LA INFORMACION VISUAL
  • 15.
    drpabloarias@hotmail.com Fisiología de laVisión 15 Bastones -N~ 120 x 106 -Visión acromática -Alta convergencia -Elevada sensibilidad -Baja discriminación espacial -Adaptación lenta SISTEMA DUAL DE RECEPCIÓN Y PROCESAMIENTO DE LA INFORMACION VISUAL
  • 16.
    drpabloarias@hotmail.com Fisiología de laVisión 16 Bastones -N~ 120 x 106 -Visión acromática -Alta convergencia -Elevada sensibilidad -Baja discriminación espacial -Adaptación lenta SISTEMA DUAL DE RECEPCIÓN Y PROCESAMIENTO DE LA INFORMACION VISUAL
  • 17.
    drpabloarias@hotmail.com Fisiología de laVisión 17 Bastones -N~ 120 x 106 -Visión acromática -Alta convergencia -Elevada sensibilidad -Baja discriminación espacial -Adaptación lenta Conos -N~ 5 x 106 -Visión cromática - Baja convergencia - Baja sensibilidad - Alta discriminación espacial -Adaptación rápida SISTEMA DUAL DE RECEPCIÓN Y PROCESAMIENTO DE LA INFORMACION VISUAL
  • 18.
    drpabloarias@hotmail.com Fisiología de laVisión 18 LA MAYOR CONVERGENCIA AUMENTA LA SENSIBILIDAD A LA LUZ DE LOS BASTONES, PERO A COSTA DE UNA DISMINUCION EN LA CAPACIDAD DE DISCRIMINACION  Conos y bastones  grado de convergencia  Convergencia  mejor detección de luz, menor resolución espacial  Relación conos/CG ~1 maximiza la visión discriminativa (agudeza visual) fotorre- ceptores cono CAMPO RECEPTIVO células bipolares células ganglionares bastón cono fotorre- ceptores
  • 19.
    drpabloarias@hotmail.com Fisiología de laVisión 19 Sistema de Bastones (ALTA CONVERGENCIA) Sistema de Conos (BAJA CONVERGENCIA) EL AUMENTO DE LA CONVERGENCIA REDUCE EL NUMERO DE UNIDADES DE INFORMACION POR AREA (~DISMINUYE LA CANTIDAD DE PIXELS)
  • 20.
    drpabloarias@hotmail.com Fisiología de laVisión 20 LA FOTOTRANSDUCCION CONVIERTE LA ENERGIA LUMINOSA EN CAMBIOS EN EL POTENCIAL DE MEMBRANA
  • 21.
    drpabloarias@hotmail.com Fisiología de laVisión 21 UN DERIVADO DE LA VITAMINA A, EL 11-cis RETINAL, ES LA MOLECULA FOTOSENSIBLE (CROMOFORO) DEL PIGMENTO VISUAL DE CONOS Y BASTONES CONOS Y BASTONES PRESENTAN DISCOS CON PIGMENTO VISUAL (OPSINAS) “APILADOS” EN SU SEGMENTO EXTERNO
  • 22.
    drpabloarias@hotmail.com Fisiología de laVisión 22 EL PRIMER PASO DE LA FOTOTRANSDUCCION ES EL CAMBIO CONFORMACIONAL DEL 11-cis-RETINAL PRESENTE EN EL PIGMENTO VISUAL
  • 23.
    drpabloarias@hotmail.com Fisiología de laVisión 23 EN LA OSCURIDAD SE GENERA GMP CÍCLICO QUE MANTIENE ABIERTOS CANALES DE SODIO SENSIBLES A ESTE NUCLEOTIDO Estado de despolarización tónica (-30 mV)
  • 24.
    drpabloarias@hotmail.com Fisiología de laVisión 24 EN PRESENCIA DE LUZ SE REDUCEN LOS NIVELES DE GMPc Y SE CIERRAN LOS CANALES DE SODIO EL RECEPTOR SE HIPERPOLARIZA PORQUE SIGUE SALIENDO K+ AL EXTERIOR CON LO QUE SE SUPRIME LA LIBERACION DE GLUTAMATO, QUE EXCITA A LAS CELULAS BIPOLARES. EN FORMA CONSTANTE. EL CESE DE ESTA SEÑAL ES INTERPRETADO COMO PRESENCIA DE LUZ
  • 25.
    drpabloarias@hotmail.com Fisiología de laVisión 25 LA CADENA DE TRANSDUCCION AMPLIFICA CONSIDERABLEMENTE LA SEÑAL FOTICA (CONFIERE ALTA SENSIBILIDAD A LA LUZ)
  • 26.
    drpabloarias@hotmail.com Fisiología de laVisión 26  Aparato óptico  imagen bidimensional, nítida y pequeña sobre la retina  Función nerviosa  transducción fótica + integración en la retina  Integridad de ambos procesos agudeza visual normal  Agudeza visual  capacidad para discriminar detalles finos de un objeto en el campo visual c/iluminación adecuada) AGUDEZA VISUAL
  • 27.
    drpabloarias@hotmail.com Fisiología de laVisión 27  AV  exploración ocular más sencilla  Información global de la funcionalidad del sistema visual  Parámetro relevante, pero olvidado, a evaluar en APS AGUDEZA VISUAL
  • 28.
    drpabloarias@hotmail.com Fisiología de laVisión 28  ojo emétrope  mácula/fóvea con alta densidad de conos  retina periférica  medios transparentes DETERMINANTES DE LA AGUDEZA VISUAL NORMAL
  • 29.
    drpabloarias@hotmail.com Fisiología de laVisión 29 ELEMENTOS OCULARES QUE DETERMINAN LA REFRACCION DE LA LUZ Ima- gen Objeto Humor vítreo 1.34 Crista- lino 1.40 Humor acuoso 1.33 Cornea 1.38 Aire 1.00 Poder total de refracción ~60 dioptrías  distancia focal 1.65 cm
  • 30.
    drpabloarias@hotmail.com Fisiología de laVisión 30 Ametropías  Miopía  Hipermetropía - Presbicia  Astigmatismo
  • 31.
    drpabloarias@hotmail.com Fisiología de laVisión 31 Miopía  Defecto refractivo: rayos que inciden paralelos (infinito teórico) se enfocan por delante de la retina  axial – de curvatura – de índice  Corrección: lentes divergentes que “separan” los rayos de luz.
  • 32.
    drpabloarias@hotmail.com Fisiología de laVisión 32 Presbicia  En condiciones normales la acomodación permite enfocar sobre la retina objetos entre el infinito y la distancia de lectura (25-30 cm)  A partir de los 40 años el cristalino pierde su capacidad para enfocar los objetos cercanos  En forma similar a la hipermetropía, se corrige con lentes convergentes.
  • 33.
    drpabloarias@hotmail.com Fisiología de laVisión 33 LA FOVEA RETINIANA, ELEMENTO CLAVE DE LA VISION DISCRIMINATIVA
  • 34.
    drpabloarias@hotmail.com Fisiología de laVisión 34 fovéola fóvea = 500-700 m epitelio pigmentario capa plexiforme ext. conos cél. horizontales capa plexiforme int. cél. bipolares cél. amácrinas cél. ganglionares La retina foveal mide menos de 150 m de espesor, desapareciendo la capa de fibras nerviosas y gran parte de los cuerpos de las células ganglionares y amácrinas
  • 35.
    drpabloarias@hotmail.com Fisiología de laVisión 35 EXCENTRICIDAD en grados DENSIDAD DE RECEPTORES ( 10 3 / mm 2 ) conos basto- nes DISCO OPTICO densidad máxima de bastones densidad máxima de conos
  • 36.
    drpabloarias@hotmail.com Fisiología de laVisión 36 Microscopía de fluorescencia: bastones densamente agrupados en la fóvea Primeras observaciones de la región foveal realizadas por Ramón y Cajal en 1888
  • 37.
    drpabloarias@hotmail.com Fisiología de laVisión 37 AGUD AGUDEZA VISUAL FONDO DE OJO NORMAL AGUDEZA VISUAL 9/10 Papila óptica Arcadas vasculares Mácula c/fóvea central
  • 38.
    drpabloarias@hotmail.com Fisiología de laVisión 38 AGUDEZA VISUAL LESION CASI TOTAL DE LA RETINA PERIFERICA POR TRATA- MIENTO CON RAYOS LASER CON MACULA INTACTA: AGUDEZA VISUAL 9/10
  • 39.
    drpabloarias@hotmail.com Fisiología de laVisión 39 AGUDEZA VISUAL EDEMA Y OTRAS LESIONES DE MACULO- PATIA EN PACIENTE CON DM TIPO 2 AGUDEZA VISUAL 4/10 Mácula c/edema
  • 40.
    drpabloarias@hotmail.com Fisiología de laVisión 40 ¿POR QUÉ VEMOS LOS COLORES QUE VEMOS? rayos del extremo rojo rayos del extremo azul-violeta
  • 41.
    drpabloarias@hotmail.com Fisiología de laVisión 41  Young / von Helmholtz (~1800): las variaciones de la escala cromática son percibidas por una codificación que involucra tres colores (azul, verde, rojo) VISION DE LOS COLORES: TEORIA TRICROMATICA INTEGRACIÓN DE LA SALIDA DE LOS 3 TIPOS DE CONOS DISCRIMINACIÓN DE LOS COLORES
  • 42.
    drpabloarias@hotmail.com Fisiología de laVisión 42 • Conopsina azul (S) • Rodopsina (bastones) • Conopsina verde (M) • Conopsina roja (L) Absorbancia Longitud de onda (nm) LOS PIGMENTOS VISUALES PERTENECEN A UNA FAMILIA DE PROTEÍNAS 7-DTM
  • 43.
    drpabloarias@hotmail.com Fisiología de laVisión 43 Absorbancia Longitud de onda (nm) ¿Por qué seguimos viendo un objeto de un color determinado a pesar de variaciones importantes (sin llegar a la penumbra) de su iluminación?
  • 44.
    drpabloarias@hotmail.com Fisiología de laVisión 44 LAMINAS DE ISHIHARA
  • 45.
  • 46.
    drpabloarias@hotmail.com Fisiología de laVisión 46 Traumatismo con fractura de orbita izquierda Tumor hipofisario con expansión supraselar Hemianopsia bitemporal
  • 47.
    drpabloarias@hotmail.com Fisiología de laVisión 47 BIBLIOGRAFIA UTILIZADA  Guyton-Hall  Tratado de Fisiología Médica, 11ma edición, 2006  Kandel-Jesse-Schwarz  Principios de Neurociencias, 4ta edición, 2001  Kolb  How the Retina Works, Scientific American 2003; 91: 28-35  Arribas  Fototransducción en la Retina http://portal.uam.es/portal/page/profesor/epd2_asignat uras/asig12344/informacion_academica/Clase%20F85- Transduccion%20sensitiva%20en%20la%20retina.pdf
  • 48.
    drpabloarias@hotmail.com Fisiología de laVisión 48 ¡¡¡MUCHAS GRACIAS POR SU PRESENCIA Y SU ATENCIÓN!!!