UNIVERSIDAD UTE
PÆDS - CLÍNICA
MA Hinojosa-Sandoval 2023
• Es una de las principales causas de muerte en
menores de 5 años.
• Los países en vías de desarrollo son los más
afectados.
• La forma bacteriana aumenta en posibilidad
diagnóstica a medida que crece el niño
• La edad es el mejor predictor microbiológico.
• En la etiología bacteriana la fiebre y los
síntomas respiratorios se encuentran en más
del 90%
• Las vacunas han disminuido la prevalencia y
letalidad de las neumonías
IRA – BAJA – NEUMONIA
IRA BAJA - TOPOGRAFÍA
IRA BAJA – IRA ALTA ¿?¿?
Principales causas de Mortalidad Infantil.
Ecuador
No. CAUSAS No. % TASA*
1 Trastornos relacionados con 460 11.5 25.8
la duración de la gestación y
crecimiento fetal
2 Neumonía 363 9.1 20.3
3 Otras afecciones respiratorias 333 8.4 18.7
del Recién Nacido
4 Sepsis bacteriana del RN 280 7.0 15.7
5 Dificultad Respiratoria del RN 186 4.7 10.4
* Tasa por 1000 Nacidos vivos
Principales causas de Morbilidad
Infantil. Ecuador
No. CAUSAS No. % TASA*
1 Otros trastornos respiratorios 7.714 15.9 264.6
originados en el período perinatal
2 Otras afecciones originadas en el 5.869 12.1 201.3
período perinatal
3 Neumonía 5.173 10.7 177.4
4 Dirarrea y gastroenteritis 5.031 10.4 172.6
de presunto origen infeccioso
5 Feto y RN afectados por factores 2.703 5.6 92.7
maternos y complicaciones del
embarazo y trabajo del parto y parto
* Tasa por 10000 menores de un año
Distribución de la Mortalidad de menores
de 5 años Ecuador . INEC 2013
36%
33%
31%
< 1 mes
1 -11 meses
1-4 años
Ira con y sin neumonía CIE 10
63 ENFERMEDADES respiratorias con
231 clasificaciones
7 corresponden a neumonía con 29
clasificaciones
CLASIFICACION INTERNACIONAL DE ENFERMEDADES CIE10 - OMS www.medicin.com.ar
IRA BAJA - NEUMONÍA
Si el niño/niña tiene: El niño/niña tiene respiración rápida si
usted cuenta:
0 a 2 meses:
2 a 11 meses:
12 meses a 4 años:
60 respiraciones por minuto.
50 respiraciones o más por minuto.
40 respiraciones o más por minuto.
espira respiración inspira
Aleteo nasal: con la inspiración, los costados de las aletas nasales se
ensanchan hacia afuera
IRA BAJA - NEUMONÍA
IRA BAJA - NEUMONÍA
IRA BAJA - NEUMONÍA
IRA BAJA - NEUMONÍA
Interrogatorio clínico
Preste atención especial a lo siguiente:
• tos
• duración en días
• paroxismos con estertores o vómitos o cianosis
• exposición a algún miembro de la familia con
tuberculosis (o tos crónica)
• vacunación recibida: DPT, sarampión, BCG
• antecedentes de atragantamiento o aparición
súbita de síntomas
• infección por el VIH comprobada
• antecedentes personales o familiares de asma.
IRA BAJA - NEUMONÍA
Exploración física
General
• cianosis
• quejido espiratorio
• aleteo nasal
• palidez palmar grave
• cabeceo (movimiento de la cabeza sincrónico con
la inspiración que indica el uso de músculos
accesorios en dificultad respiratoria grave)
• presión venosa yugular elevada (PVY)
• Sibilancias
• estridor.
IRA BAJA - NEUMONÍA
Tórax
• frecuencia respiratoria (hacer un recuento
durante 1 minuto cuando el niño está tranquilo)
• Taquipnea
• retracción de la pared torácica inferior
• latido del ápex desplazado/tráquea desplazada de la
línea media
•en la auscultación
• percusión: derrame pleural (sonido mate a la percusión)
o neumotórax (hiperresonancia)
• auscultación: estertores crepitantes o sonidos de
respiración bronquial. ritmo de galope del corazón
IRA BAJA - NEUMONÍA
EVALUACIÓN DE LAS SIBILANCIAS
Investigación clínica
episodios anteriores de sibilancias
respuesta a los broncodilatadores
diagnóstico de asma o tratamiento a largo plazo
para el asma.
Exploración física
sibilancias en la espiración
espiración prolongada
sonido de percusión resonante
tórax hiperinsuflado
estertores roncos a la auscultación.
AIEPI
AIEPI
IRA BAJA - NEUMONÍA
SIGNO O SÍNTOMA CLASIFICACIÓN TRATAMIENTO
- Cianosis central
- Dificultad
respiratoria grave
(por ej, cabeceo)
- Incapacidad para
beber
Neumonía muy
grave
- Hospitalizar
- Antibiótico
- Administrar O2
- Despejar las vías
aéreas
- Tratar la fiebre
- Retracción de la
pared torácica
Neumonía grave - Ingresar al
hospital
- Administrar
bencilpenicilina
- Despejar las vías
aéreas
- Tratar la fiebre
alta si existe
IRA BAJA - NEUMONÍA
SIGNO O
SÍNTOMA
CLASIFICA
CIÓN
TRATAMIENTO
-Taquipnea
 60 < 2 meses
 50 RPM 2-12m
 40 RPM 1 a 5 a
-Estertores
crepitantes
audibles a la
auscultación
Neumonía -Cuidado en casa
-Antibióticos 7 días
-Aliviar la garganta y
calmar la tos
-Asesorar cuando
volver : en 2 días
-Enseñar signos de
peligro
-Ningún signo de
neumonía, ni
neumonía grave o
muy grave
Sin
neumonía
Tos o
resfriado
-Cuidado en casa
-Aliviar la garganta y
calmar la tos
-Cuándo volver: en 5 d
-Tos más de 30 días,
crónica
NEUMONIA LOBAR + ATELECTASIA
NEUMONÍA
• VIRAL
• …BACTERIANA
Radiología
IRA BAJA - NEUMONÍA
RX: Aspiración de Meconio
Diagnóstico
• Las características habituales de la bronquiolitis
en la exploración clínica son:
• sibilancias que no se alivian con
broncodilatadores
• hiperinsuflación del tórax, con resonancia
aumentada en la percusión
• tiraje de la pared torácica inferior.
• estertores crepitantes finos o roncantes, en la
auscultación del tórax
• dificultad para alimentarse, mamar o beber a
causa del problema respiratorio
IRA BAJA - BRONQUIOLITIS
FACTORES DE RIESGO
- Sexo masculino
- Nivel socioeconómico bajo
- Exposición al humo de cigarrillo
- Cardiopatías congénitas
- Displasia broncopulmonar
- Fibrosis quística
- Desórdenes neuromusculares
- Desórdenes gastrointestinales
- Inmunodeficiencia congénita y adquirida
Neumonía adquirida en la comunidad en pediatría. Salud Uninorte. Barranquilla (Col.) 2007; 23 (2): 231-242
Complicaciones
Si el niño no ha mejorado después de dos
días, o si su estado ha empeorado, busque
posibles complicaciones, o cambie el
diagnóstico. Rx de tórax.
IRA BAJA - NEUMONÍA
Complicaciones
Neumonía estafilocócica: empeoramiento clínico
rápido a pesar del tratamiento, un neumatocele o un
neumotórax con derrame. Gram en esputo, o
crecimiento de S. aureus en el cultivo.
Trate con cloxacilina (50 mg/kg por inyección
intramuscular o intravenosa cada 6 horas) y
gentamicina (7,5 mg/kg IM o IV una vez al día).
Cuando el niño mejore, siga con cloxacilina por vía
oral 4 veces al día durante un total de 3 semanas.
Tenga en cuenta que la cloxacilina puede ser
sustituida por otro antibiótico antiestafilocócico,
ejemplo: oxacilina, flucloxacilina o dicloxacilina,
vancomicina.
IRA BAJA - NEUMONÍA
Complicaciones
Empiema.
Una fiebre persistente, y signos de derrame
pleural en la exploración clínica y en la
radiografía de tórax son signos indicativos.
Derrame pleural
IRA BAJA - NEUMONÍA
Colecciones intratorácicas
en Neumonia
Derrame
pleural
Puede ocurrir en
forma aislada o
asociado a otras
alteraciones
pulmonares
(neumonía ),
mediastínicas o de la
pared torácica
NEUMONÍA vs COVID
ALERGIAS RESPIRATORIAS
Asma
• Afección inflamatoria crónica con
obstrucción reversible de las vías
respiratorias. episodios recurrentes de
sibilancias, tos, que responden al
tratamiento con broncodilatadores y
medicamentos antiinflamatorios.
• Los antibióticos deben administrarse
sólo cuando hay signos de neumonía
IRA BAJA
ASMA : LOS HECHOS
➢ El asma es una enfermedad no transmisible (ENT), afecta a niños y adultos
➢ Es la enfermedad crónica más común entre los niños.
➢ La inflamación y el estrechamiento de los bronquios pequeños provocan
síntomas de asma, que pueden ser cualquier combinación de tos, sibilancias,
dificultad para respirar y opresión en el pecho.
➢ En 2019 el asma afectó a 262 millones de personas y causó 455 000 muertes.
➢ Los medicamentos inhalados pueden controlar los síntomas y permitir una
vida normal y activa.
➢ Evitar los desencadenantes del asma también ayuda a reducir sus síntomas.
➢ La mayoría de las muertes por asma ocurren en países de ingresos bajos y
medianos bajos, donde diagnóstico y tratamiento insuficientes son un desafío.
➢ La OMS se compromete a mejorar su diagnóstico, tratamiento y seguimiento
para reducir la carga mundial de ENT y avanzar hacia la cobertura sanitaria
universal.
Global burden of 369 diseases and injuries in 204 countries and territories, 1990–2019: a systematic
analysis for the Global Burden of Disease Study 2019. Lancet. 2020;396(10258):1204-22
Datos Mundiales
Asma
• La incidencia anual en menores de 5 años es de
34 a 40 casos casos por 1000 hab. en Europa y
USA.
• En países en vías de desarrollo las infecciones
respiratorias agudas constituyen el 25 % de la
mortalidad infantil en menores de 5 años.
• En Sudámerica y África la mortalidad oscila entre
11 a 15 por 1000 habs. En menores de 5 años.
• No contamos con estadísticas nacionales.
ASMA DIAGNÓSTICO
✓ El diagnóstico de asma en un niño pequeño se
puede relacionar cuando presenta:
• Sibilancia o tos es provocada por ejercicio, risa o
llanto, o exposición a humo de fumadores, más
aún en ausencia de IR aparente.
• Historia personal de otra patología alérgica
(eczema o rinitis alérgicos), sensibilidad a
alergenos o asma en parientes en primer grado
• Mejoría clínica al utilizar durante 2 a 3 meses
dosis bajas de corticosteroides más β-2
agonistas de rescate, y empeoramiento al
suspenderlos.
GINA-2023-Full-report-23_07_06-WMS
ASMA DIAGNÓSTICO
SIN EMBARGO:
✓ Sibilancias recurrentes pueden estar presentes en una
en una alta proporción de menores de 5 años,
típicamente con IR.
✓ Ciertas clasificaciones previas de fenotipos asociados
con trastornos sibilantes (sibilancias episódicas o de
múltiple desencadenamiento; o sibilancias transitorias, o
sibilancias persistentes o sibilancias de inicio reciente) al
parecer no tienen relación confenotipos estables y su
aplicación clínica es incierta. De todas maneras,
investigaciones recientes sugieren que se han
encontrado más fenotipos clínicos relevantes y
relacionar el fenotipo con la terapia parece posible.
GINA-2023-Full-report-23_07_06-WMS
Asma
• Diagnóstico
• Episodios recurrentes de sibilancias, con tos.
(sibilancias cuyo sonido es más evidente cuando se
expulsa el aire -exhalar. También se puede escuchar
al tomar aire –inhalar).
• Los hallazgos de la exploración clínica pueden ser:
• espiración prolongada con sibilancias audibles
• hiperinsuflación del tórax
• tiraje de la pared torácica inferior
• disminución de la entrada de aire, cuando la
obstrucción es grave
• ausencia de fiebre
• buena respuesta al tratamiento con broncodilatador.
IRA BAJA
ASMA DD
INCIDENCIA DE NEUMONÍA EN
ECUADOR
ENFERMEDADESRESPIRATORIAS:NEUMONÌACIE-10J09-J22 SE01-52Ecuador2021
Epidemiología de la neumonía adquirida en la
comunidad en pacientes pediátricos hospitalizados.
BOL PEDIATR 2008; 48: 37-45
Epidemiology and Clinical Characteristic of Community Acquired
Pneumonia in Hospitalized Children. PEDIATRICS Vol. 113 No. 4 April 2004
IRA – BAJA - NEUMONIA
• Sistema deRedes de Vigilancia de los
Agentes Bacterianos que causan
Neumonías y Meningitis
• Entre 2000 y 2005 se procesaron 17.303
cepas de neumococo; de ellas, 57,6%
(9.963) pertenecían a menores de 6
años.
Informe regional de Sireva. OMS 2006
• En grupo etáreo de menores de 6 años, el
serotipo 14 fue el más frecuentemente
identificado (29,1%), seguido del 6B
(9,3%), 1 (7,5%), 5 (6,9%), 18C y 19F
(5,8% cada uno), 23F (4,7%), 6A (3,8%),
19A (3,6%), 7F (3,1%), 9V (2,8%), 3 (2%)
y 4 (1,5%); otros serotipos se identificaron
en 14,1% de las muestras.
Informe regional de Sireva. OMS 2006
IRA – BAJA - NEUMONIA
La cobertura potencial de la vacuna a nivel
de los 20 países estudiados es:
7-valente 59%;
9-valente 73,4%;
10-valente 76,5%;
13-valente 86,5%5.
Paralelamente, estudios de vigilancia
realizados con la vacuna heptavalente en
USA, 4 años después de su implementación
en 2000, muestran la emergencia de
serotipos no incluidos en la vacuna.
IRA – BAJA - NEUMONIA
IRA – BAJA - NEUMONIA
IRA – BAJA – NEUMONIA
Neumococo. Sireva Ecuador
IRA – BAJA – NEUMONIA
Haemophylus Influenzae B. Sireva Ecuador
IRA – BAJA – NEUMONIA
Haemophylus Influenzae B. Sireva Ecuador
PREVALENCIA DE VIRUS
RESPIRATORIOS EN ECUADOR
Karen Gema Vera Cagua, Joselyn Margarita Villafuerte Villegas, Karina Maricela Merchán Villafuerte Vigilancia
de virus respiratorios en Ecuador. Epidemiología, lineamientos y diagnóstico. Dom. Cien., ISSN: 2477-8818
Vol. 7, núm. 3, Julio-Septiembre 2021, pp. 563-578
PREVALENCIA DE VIRUS
RESPIRATORIOS EN ECUADOR
Karen Gema Vera Cagua, Joselyn Margarita Villafuerte Villegas, Karina Maricela Merchán Villafuerte Vigilancia
de virus respiratorios en Ecuador. Epidemiología, lineamientos y diagnóstico. Dom. Cien., ISSN: 2477-8818
Vol. 7, núm. 3, Julio-Septiembre 2021, pp. 563-578
IMPORTANCIA DE PATOGENOS EMERGENTES
IMPORTANCIA DE PATOGENOS EMERGENTES
IMPORTANCIA DE
PATOGENOS
EMERGENTES
IMPORTANCIA DE PATOGENOS EMERGENTES
misceláneos
SÍNDROME DE KARTAGENER
Trastorno autosómico recesivo caracterizado por
DEXTROCARDIA, INFERTILIDAD Y SINUSITIS
Por mutaciones en los genes de DINEINA que
codifican proteínas de movilidad componentes de
las colas de los espermatozoides y de los cilios
respiratorios y tubáricos.
Llamada también:Discinesia Ciliar Primaria o
Tríada de Kartagener
http://www.lookfordiagnosis.com/mesh_info.php?term=S%C3%ADndrome+De+Kartag
ener&lang=2
Función Pulmonar disminuida: Hernia
Diafragmática congénita
Si se sospecha una hernia diafragmática ,se debe
evitar ventilacion a presion positiva con mascara.
Intube inmediatamente la traquea e inserte una
sonda orograstrica de doble lumen.
Cirugía y/o intubación fetal
Funcion Pulmonar disminuida:
Hernia Diafragmatica congenita
PENTALOGIA DE
CANTRELL
TB
TB
•Gracias por su
atención
•Lactancia
materna es
calidad de vida
IRA – BAJA – NEUMONIA
Gracias, y
m
ejorem
os la
lactancia
natural

IRA BAJA V3.0 2023.pdf

  • 1.
    UNIVERSIDAD UTE PÆDS -CLÍNICA MA Hinojosa-Sandoval 2023
  • 2.
    • Es unade las principales causas de muerte en menores de 5 años. • Los países en vías de desarrollo son los más afectados. • La forma bacteriana aumenta en posibilidad diagnóstica a medida que crece el niño • La edad es el mejor predictor microbiológico. • En la etiología bacteriana la fiebre y los síntomas respiratorios se encuentran en más del 90% • Las vacunas han disminuido la prevalencia y letalidad de las neumonías IRA – BAJA – NEUMONIA
  • 3.
    IRA BAJA -TOPOGRAFÍA
  • 4.
    IRA BAJA –IRA ALTA ¿?¿?
  • 5.
    Principales causas deMortalidad Infantil. Ecuador No. CAUSAS No. % TASA* 1 Trastornos relacionados con 460 11.5 25.8 la duración de la gestación y crecimiento fetal 2 Neumonía 363 9.1 20.3 3 Otras afecciones respiratorias 333 8.4 18.7 del Recién Nacido 4 Sepsis bacteriana del RN 280 7.0 15.7 5 Dificultad Respiratoria del RN 186 4.7 10.4 * Tasa por 1000 Nacidos vivos
  • 6.
    Principales causas deMorbilidad Infantil. Ecuador No. CAUSAS No. % TASA* 1 Otros trastornos respiratorios 7.714 15.9 264.6 originados en el período perinatal 2 Otras afecciones originadas en el 5.869 12.1 201.3 período perinatal 3 Neumonía 5.173 10.7 177.4 4 Dirarrea y gastroenteritis 5.031 10.4 172.6 de presunto origen infeccioso 5 Feto y RN afectados por factores 2.703 5.6 92.7 maternos y complicaciones del embarazo y trabajo del parto y parto * Tasa por 10000 menores de un año
  • 7.
    Distribución de laMortalidad de menores de 5 años Ecuador . INEC 2013 36% 33% 31% < 1 mes 1 -11 meses 1-4 años
  • 8.
    Ira con ysin neumonía CIE 10 63 ENFERMEDADES respiratorias con 231 clasificaciones 7 corresponden a neumonía con 29 clasificaciones CLASIFICACION INTERNACIONAL DE ENFERMEDADES CIE10 - OMS www.medicin.com.ar
  • 9.
    IRA BAJA -NEUMONÍA Si el niño/niña tiene: El niño/niña tiene respiración rápida si usted cuenta: 0 a 2 meses: 2 a 11 meses: 12 meses a 4 años: 60 respiraciones por minuto. 50 respiraciones o más por minuto. 40 respiraciones o más por minuto.
  • 10.
    espira respiración inspira Aleteonasal: con la inspiración, los costados de las aletas nasales se ensanchan hacia afuera IRA BAJA - NEUMONÍA
  • 11.
    IRA BAJA -NEUMONÍA
  • 12.
    IRA BAJA -NEUMONÍA
  • 13.
    IRA BAJA -NEUMONÍA Interrogatorio clínico Preste atención especial a lo siguiente: • tos • duración en días • paroxismos con estertores o vómitos o cianosis • exposición a algún miembro de la familia con tuberculosis (o tos crónica) • vacunación recibida: DPT, sarampión, BCG • antecedentes de atragantamiento o aparición súbita de síntomas • infección por el VIH comprobada • antecedentes personales o familiares de asma.
  • 14.
    IRA BAJA -NEUMONÍA Exploración física General • cianosis • quejido espiratorio • aleteo nasal • palidez palmar grave • cabeceo (movimiento de la cabeza sincrónico con la inspiración que indica el uso de músculos accesorios en dificultad respiratoria grave) • presión venosa yugular elevada (PVY) • Sibilancias • estridor.
  • 15.
    IRA BAJA -NEUMONÍA Tórax • frecuencia respiratoria (hacer un recuento durante 1 minuto cuando el niño está tranquilo) • Taquipnea • retracción de la pared torácica inferior • latido del ápex desplazado/tráquea desplazada de la línea media •en la auscultación • percusión: derrame pleural (sonido mate a la percusión) o neumotórax (hiperresonancia) • auscultación: estertores crepitantes o sonidos de respiración bronquial. ritmo de galope del corazón
  • 16.
    IRA BAJA -NEUMONÍA EVALUACIÓN DE LAS SIBILANCIAS Investigación clínica episodios anteriores de sibilancias respuesta a los broncodilatadores diagnóstico de asma o tratamiento a largo plazo para el asma. Exploración física sibilancias en la espiración espiración prolongada sonido de percusión resonante tórax hiperinsuflado estertores roncos a la auscultación.
  • 17.
  • 18.
  • 19.
    IRA BAJA -NEUMONÍA SIGNO O SÍNTOMA CLASIFICACIÓN TRATAMIENTO - Cianosis central - Dificultad respiratoria grave (por ej, cabeceo) - Incapacidad para beber Neumonía muy grave - Hospitalizar - Antibiótico - Administrar O2 - Despejar las vías aéreas - Tratar la fiebre - Retracción de la pared torácica Neumonía grave - Ingresar al hospital - Administrar bencilpenicilina - Despejar las vías aéreas - Tratar la fiebre alta si existe
  • 20.
    IRA BAJA -NEUMONÍA SIGNO O SÍNTOMA CLASIFICA CIÓN TRATAMIENTO -Taquipnea  60 < 2 meses  50 RPM 2-12m  40 RPM 1 a 5 a -Estertores crepitantes audibles a la auscultación Neumonía -Cuidado en casa -Antibióticos 7 días -Aliviar la garganta y calmar la tos -Asesorar cuando volver : en 2 días -Enseñar signos de peligro -Ningún signo de neumonía, ni neumonía grave o muy grave Sin neumonía Tos o resfriado -Cuidado en casa -Aliviar la garganta y calmar la tos -Cuándo volver: en 5 d -Tos más de 30 días, crónica
  • 21.
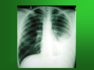
    NEUMONIA LOBAR +ATELECTASIA
  • 22.
  • 23.
  • 24.
  • 25.
    Diagnóstico • Las característicashabituales de la bronquiolitis en la exploración clínica son: • sibilancias que no se alivian con broncodilatadores • hiperinsuflación del tórax, con resonancia aumentada en la percusión • tiraje de la pared torácica inferior. • estertores crepitantes finos o roncantes, en la auscultación del tórax • dificultad para alimentarse, mamar o beber a causa del problema respiratorio IRA BAJA - BRONQUIOLITIS
  • 26.
    FACTORES DE RIESGO -Sexo masculino - Nivel socioeconómico bajo - Exposición al humo de cigarrillo - Cardiopatías congénitas - Displasia broncopulmonar - Fibrosis quística - Desórdenes neuromusculares - Desórdenes gastrointestinales - Inmunodeficiencia congénita y adquirida Neumonía adquirida en la comunidad en pediatría. Salud Uninorte. Barranquilla (Col.) 2007; 23 (2): 231-242
  • 27.
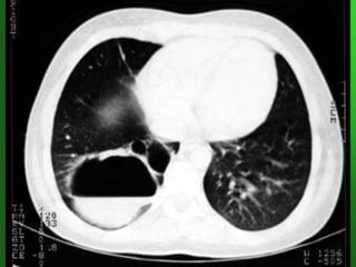
    Complicaciones Si el niñono ha mejorado después de dos días, o si su estado ha empeorado, busque posibles complicaciones, o cambie el diagnóstico. Rx de tórax. IRA BAJA - NEUMONÍA
  • 28.
    Complicaciones Neumonía estafilocócica: empeoramientoclínico rápido a pesar del tratamiento, un neumatocele o un neumotórax con derrame. Gram en esputo, o crecimiento de S. aureus en el cultivo. Trate con cloxacilina (50 mg/kg por inyección intramuscular o intravenosa cada 6 horas) y gentamicina (7,5 mg/kg IM o IV una vez al día). Cuando el niño mejore, siga con cloxacilina por vía oral 4 veces al día durante un total de 3 semanas. Tenga en cuenta que la cloxacilina puede ser sustituida por otro antibiótico antiestafilocócico, ejemplo: oxacilina, flucloxacilina o dicloxacilina, vancomicina. IRA BAJA - NEUMONÍA
  • 29.
    Complicaciones Empiema. Una fiebre persistente,y signos de derrame pleural en la exploración clínica y en la radiografía de tórax son signos indicativos. Derrame pleural IRA BAJA - NEUMONÍA
  • 30.
  • 32.
    Derrame pleural Puede ocurrir en formaaislada o asociado a otras alteraciones pulmonares (neumonía ), mediastínicas o de la pared torácica
  • 33.
  • 34.
  • 35.
    Asma • Afección inflamatoriacrónica con obstrucción reversible de las vías respiratorias. episodios recurrentes de sibilancias, tos, que responden al tratamiento con broncodilatadores y medicamentos antiinflamatorios. • Los antibióticos deben administrarse sólo cuando hay signos de neumonía IRA BAJA
  • 36.
    ASMA : LOSHECHOS ➢ El asma es una enfermedad no transmisible (ENT), afecta a niños y adultos ➢ Es la enfermedad crónica más común entre los niños. ➢ La inflamación y el estrechamiento de los bronquios pequeños provocan síntomas de asma, que pueden ser cualquier combinación de tos, sibilancias, dificultad para respirar y opresión en el pecho. ➢ En 2019 el asma afectó a 262 millones de personas y causó 455 000 muertes. ➢ Los medicamentos inhalados pueden controlar los síntomas y permitir una vida normal y activa. ➢ Evitar los desencadenantes del asma también ayuda a reducir sus síntomas. ➢ La mayoría de las muertes por asma ocurren en países de ingresos bajos y medianos bajos, donde diagnóstico y tratamiento insuficientes son un desafío. ➢ La OMS se compromete a mejorar su diagnóstico, tratamiento y seguimiento para reducir la carga mundial de ENT y avanzar hacia la cobertura sanitaria universal. Global burden of 369 diseases and injuries in 204 countries and territories, 1990–2019: a systematic analysis for the Global Burden of Disease Study 2019. Lancet. 2020;396(10258):1204-22
  • 37.
    Datos Mundiales Asma • Laincidencia anual en menores de 5 años es de 34 a 40 casos casos por 1000 hab. en Europa y USA. • En países en vías de desarrollo las infecciones respiratorias agudas constituyen el 25 % de la mortalidad infantil en menores de 5 años. • En Sudámerica y África la mortalidad oscila entre 11 a 15 por 1000 habs. En menores de 5 años. • No contamos con estadísticas nacionales.
  • 38.
    ASMA DIAGNÓSTICO ✓ Eldiagnóstico de asma en un niño pequeño se puede relacionar cuando presenta: • Sibilancia o tos es provocada por ejercicio, risa o llanto, o exposición a humo de fumadores, más aún en ausencia de IR aparente. • Historia personal de otra patología alérgica (eczema o rinitis alérgicos), sensibilidad a alergenos o asma en parientes en primer grado • Mejoría clínica al utilizar durante 2 a 3 meses dosis bajas de corticosteroides más β-2 agonistas de rescate, y empeoramiento al suspenderlos. GINA-2023-Full-report-23_07_06-WMS
  • 39.
    ASMA DIAGNÓSTICO SIN EMBARGO: ✓Sibilancias recurrentes pueden estar presentes en una en una alta proporción de menores de 5 años, típicamente con IR. ✓ Ciertas clasificaciones previas de fenotipos asociados con trastornos sibilantes (sibilancias episódicas o de múltiple desencadenamiento; o sibilancias transitorias, o sibilancias persistentes o sibilancias de inicio reciente) al parecer no tienen relación confenotipos estables y su aplicación clínica es incierta. De todas maneras, investigaciones recientes sugieren que se han encontrado más fenotipos clínicos relevantes y relacionar el fenotipo con la terapia parece posible. GINA-2023-Full-report-23_07_06-WMS
  • 40.
    Asma • Diagnóstico • Episodiosrecurrentes de sibilancias, con tos. (sibilancias cuyo sonido es más evidente cuando se expulsa el aire -exhalar. También se puede escuchar al tomar aire –inhalar). • Los hallazgos de la exploración clínica pueden ser: • espiración prolongada con sibilancias audibles • hiperinsuflación del tórax • tiraje de la pared torácica inferior • disminución de la entrada de aire, cuando la obstrucción es grave • ausencia de fiebre • buena respuesta al tratamiento con broncodilatador. IRA BAJA
  • 41.
  • 42.
    INCIDENCIA DE NEUMONÍAEN ECUADOR ENFERMEDADESRESPIRATORIAS:NEUMONÌACIE-10J09-J22 SE01-52Ecuador2021
  • 43.
    Epidemiología de laneumonía adquirida en la comunidad en pacientes pediátricos hospitalizados. BOL PEDIATR 2008; 48: 37-45
  • 44.
    Epidemiology and ClinicalCharacteristic of Community Acquired Pneumonia in Hospitalized Children. PEDIATRICS Vol. 113 No. 4 April 2004
  • 45.
    IRA – BAJA- NEUMONIA • Sistema deRedes de Vigilancia de los Agentes Bacterianos que causan Neumonías y Meningitis • Entre 2000 y 2005 se procesaron 17.303 cepas de neumococo; de ellas, 57,6% (9.963) pertenecían a menores de 6 años. Informe regional de Sireva. OMS 2006
  • 46.
    • En grupoetáreo de menores de 6 años, el serotipo 14 fue el más frecuentemente identificado (29,1%), seguido del 6B (9,3%), 1 (7,5%), 5 (6,9%), 18C y 19F (5,8% cada uno), 23F (4,7%), 6A (3,8%), 19A (3,6%), 7F (3,1%), 9V (2,8%), 3 (2%) y 4 (1,5%); otros serotipos se identificaron en 14,1% de las muestras. Informe regional de Sireva. OMS 2006 IRA – BAJA - NEUMONIA
  • 47.
    La cobertura potencialde la vacuna a nivel de los 20 países estudiados es: 7-valente 59%; 9-valente 73,4%; 10-valente 76,5%; 13-valente 86,5%5. Paralelamente, estudios de vigilancia realizados con la vacuna heptavalente en USA, 4 años después de su implementación en 2000, muestran la emergencia de serotipos no incluidos en la vacuna. IRA – BAJA - NEUMONIA
  • 48.
    IRA – BAJA- NEUMONIA
  • 49.
    IRA – BAJA– NEUMONIA Neumococo. Sireva Ecuador
  • 50.
    IRA – BAJA– NEUMONIA Haemophylus Influenzae B. Sireva Ecuador
  • 51.
    IRA – BAJA– NEUMONIA Haemophylus Influenzae B. Sireva Ecuador
  • 52.
    PREVALENCIA DE VIRUS RESPIRATORIOSEN ECUADOR Karen Gema Vera Cagua, Joselyn Margarita Villafuerte Villegas, Karina Maricela Merchán Villafuerte Vigilancia de virus respiratorios en Ecuador. Epidemiología, lineamientos y diagnóstico. Dom. Cien., ISSN: 2477-8818 Vol. 7, núm. 3, Julio-Septiembre 2021, pp. 563-578
  • 53.
    PREVALENCIA DE VIRUS RESPIRATORIOSEN ECUADOR Karen Gema Vera Cagua, Joselyn Margarita Villafuerte Villegas, Karina Maricela Merchán Villafuerte Vigilancia de virus respiratorios en Ecuador. Epidemiología, lineamientos y diagnóstico. Dom. Cien., ISSN: 2477-8818 Vol. 7, núm. 3, Julio-Septiembre 2021, pp. 563-578
  • 54.
  • 55.
  • 56.
  • 57.
  • 58.
  • 59.
    SÍNDROME DE KARTAGENER Trastornoautosómico recesivo caracterizado por DEXTROCARDIA, INFERTILIDAD Y SINUSITIS Por mutaciones en los genes de DINEINA que codifican proteínas de movilidad componentes de las colas de los espermatozoides y de los cilios respiratorios y tubáricos. Llamada también:Discinesia Ciliar Primaria o Tríada de Kartagener
  • 60.
  • 61.
    Función Pulmonar disminuida:Hernia Diafragmática congénita Si se sospecha una hernia diafragmática ,se debe evitar ventilacion a presion positiva con mascara. Intube inmediatamente la traquea e inserte una sonda orograstrica de doble lumen. Cirugía y/o intubación fetal
  • 62.
    Funcion Pulmonar disminuida: HerniaDiafragmatica congenita
  • 63.
  • 64.
  • 65.
  • 70.
    •Gracias por su atención •Lactancia maternaes calidad de vida IRA – BAJA – NEUMONIA
  • 71.