ROTACION DE PEDIATRÍA
REALIZADO POR
María José Salamea Soriano
CATEDRATICO:
Dr. Miguel Noboa
HOSPITAL GENERAL
TEOFILO DAVILA
BRONQUITIS AGUDA
Generalidades
• Proceso inflamatorio
agudo del árbol
traqueobronquial
(traqueobronquitis aguda)
• Congestion y edema de mucosa,
hipersecreción
• Causado por virus y, menos por
bacterias o agentes fisicoquímicos
• Bronquitis asmatiforme, espástica,
enfisematosa, obstructiva, tórax
silbante, bronquitis con sibilancias
• Menores de 4 años
Etiología
Agentes más frecuentes
• Adenovirus 1-7, 12
• Virus influenza A, B
• Virus parainfluenza 1, 2, 3
• VRS
• Rinovirus
• Mycoplasma pneumoniae
• Metapneumovirus humano
Agentes menos frecuentes
• Enterovirus (Coxsackie, Echo)
• Herpes simplex
• Sarampión
• Virus parainfluenza 4
• Bordetella pertussis
• Haemophilus influenzae
• Chlamydia psittaci
Agentes raros
• Bordetella parapertussis
• Streptococcus pneumoniae
• Streptococcus pyogenes
Patogenia
• Lesión inflamatoria predominante en
grandes bronquios
• Congestión de la mucosa e
infiltración leucocitaria
(mononuclear),
• Lesión ciliar, edema e hipersecreción
mucosa
• Zonas de ulceración con necrosis del
epitelio
• Extensas lesiones destructivas
(obstrucción bronquial)
Cuadro clínico
Obstrucción nasal,
rinorrea
Tosseca, irritante y
dolorosa, luego
productiva, húmeda,
emetizante
Esputo purulento
(inflamatorio)
Auscultación: roncus y
estertores húmedos de
mediana y pequeña
burbuja. Sibilancias
(asma)
Retracción o tiraje
subcostal e incluso
supraclavicular
Dolor torácico, febrícula
Graves: hipoxia, palidez,
cianosis, agitación,
insomnio y, postración
Evolución
• Favorable, 5 a 10 días. Más de 3 semanas: Bronquitis Crónica
• Fiebre tardía, empeoramiento: sobreinfección bacteriana
• Haemophilus influenzae
• Streptococcus pneumoniae
• Staphylococcus aureus
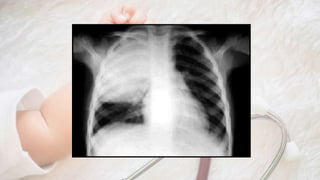
• Rx: aumento de trama hiliar, signos de atrapamiento aéreo
discreto; a veces adenopatías hiliares, atelectasias, imágenes de
peribronquitis (reiterativo)
• Laboratorio: leucocitosis con neutrofilia, eosinofilia, linfocitosis,
VSG ligeramente elevada
Tratamiento etiológico
• Antibioterapia si se comprueba etiologia por Mycoplasma
pneumoniae, Chlamydia pneumoniae y Bordetella pertussis
Amoxicilina
100mg/kp/dia IV
c/8horas
Tratamiento de soporte
• Fluidoterapia: oral, por sonda o parenteral
• Fisioterapia: posición, percusión, vibración
• Aerosol terapia (fría): fluidifica secreciones, lavados nasales con SS
• Oxígenoterapia: formas intensas
• Farmacoterapia:
• Mucolíticos, antitusivos
• Betaadrenérgicos
• Corticoterapia
• Antitérmicos
• Antibióticos
BRONQUIOLITIS
Generalidades
• Epidémica o esporádica
• Menores de 2 anos
• Hombre/mujer: 1,5/1
• Inflamación de vías respiratorias bajas
• Dificultad respiratoria precedida de afectación de vías altas
• Sibilancias asociadas a infección respiratoria
Criterios de McConnochie
a. Presentación en estación epidémica anual (octubre-marzo)
b. Rasgos anatomopatológicos
• Inflamación aguda de pequeñas vías aéreas
• Edema y necrosis de células epiteliales
• Hiperproducción de moco
• Broncoespasmo
c. Rasgos clínicos
• Edad igual o inferior a 24 meses
• Disnea espiratoria de comienzo agudo
• Signos de enfermedad respiratoria vírica: coriza, otitis media o fiebre
• Con o sin indicios de distres respiratorio, neumonía o atopia
• Primer episodio, habitualmente
Etiología
• Virus respiratorio sincitial
• Metapneumovirus humano
• Adenovirus 1, 2 y 5
• Rinovirus
• Virus parainfluenza 3 –menos frecuentes los tipos 1 y 2–
• Influenza tipos Ay B
• Bocavirus y coronavirus
Patogenia
• Inmadurez inmunitaria
• Acción citopática del virus sobre el epitelio
• Reacción inflamatoria: obstrucción de vía aérea y distres respiratorio
• Edema de pared
• Hiperproducción de moco
• Predisposición genética
Clínica
• Signos de enfermedad respiratoria vírica (coriza, otitis media o fiebre)
con o sin distres respiratorio, neumonía y atopia
• Creciente dificultad respiratoria. Taquipnea, > 70x´: hipoxemia e
hipercapnia
• En 72 horas significativa mejoría. Dura 5 a 7 días
• Retracciones intercostales, subcostales, xifoideas y supraesternales
• Percusión: aumento de resonancia por atrapamiento aéreo
• Auscultación: sibilancias, roncus y estertores
Exámenes complementarios
• Identificación agente causal
• Laboratorio
• Hemograma: linfocitosis
• Gasometría: hipoxemia, hipercapnia
• Acidosis respiratoria
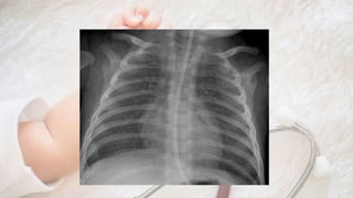
• Rx: atrapamiento aéreo, hiperaireación pulmonar y, con menor
frecuencia, infiltrados perihiliares y atelectasias laminares o
segmentarias
Evolución
• Inmediata
• Mortalidad < 1%
• Peor: malformaciones graves, cardiopatías, inmunodeficiencias, países no
desarrollados
• A largo plazo
• Enfermedad crónica pulmonar
• Mayor frecuencia de problemas respiratorios con sibilancias
• La prevalencia de asma bronquial y atopias no parece más alta
• Episodios de distres respiratorio, sibilancias o hipoxia durante semanas o
meses
Tratamiento
• Sintomático y en medio domiciliario
• Criterios de ingreso hospitalario
• Frecuencia respiratoria > 60 rpm
• Distres moderado y/o apnea en menos de 48 horas de evolución
• Signos de hipoxia
• Rechazo de las tomas
• Niños de alto riesgo: pretérmino, con cardiopatías, inmunodeficiencias,
mucoviscidosis, neumopatía crónica, malnutrición, historia de apnea previa;
ambiente social desfavorable
Tratamiento ambulatorio
• Hidratación adecuada
• Tomas pequeñas y frecuentes
• Lavados nasales con suero fisiológico
• Aspiración de secreciones
• Posición semiincorporada
• Fisioterapia respiratoria
• Eliminación de irritantes ambientales
Tratamiento hospitalario
• Fluidoterapia
• Fármaco terapia
• Broncodilatadora: adrenalina (disminuye edema de vía aérea y secreción de
moco), Beta 2 adrenérgicos (no demostrada su eficacia)
• Antiinflamatoria: corticoides (uso no justificado)
• Antibioterapia: infección bacteriana coexistente (< 2%)
• Mucolíticos: suero salino hipertónico
• Otros: rivabirina, heliox, CPAP nasal, ventilación mecánica
NEUMONÍAS AGUDAS EN LAINFANCIA
Etiología: Infecciosas
Virus 75 al 90% de neumonías infantiles
• Virus respiratorio sincitial (VRS)
• De las gripes A y B
• Parainfluenzae, sobre todo el 3
• Rinovirus y adenovirus
• Virus de las enfermedades exantemáticas (sarampión)
• Metapneumovirus
• Bocavirus
• Coronavirus humano
Etiología: Infecciosas
Bacterias 10-25% restante
• Lactante y preescolar: Neumococo y Haemophilus influenzae tipo
b (Hib)
• Escolar y adolescente: Neumococo, M. pneumoniae y Chlamydia
pneumoniae
• Staphylococcus aureus meticilin-resistente: neumonía necrosante
grave, progresiva, con hipoxemia y derrame pleural masivo
Hongos
• Pneumocystis jiroveci: lactantes-VIH de 1 a 6 meses, malnutridos
graves
Etiología: No Infecciosas
• Neumonía aspirativa: mecanismo químico y físico de agresión
broncopulmonar
• Neumonías por sustancias químicas, sobre todo hidrocarburos
• Un alto porcentaje sin diagnóstico etiológico
• La mayoría de niños evoluciona favorablemente con pautas
asistenciales muy diversas
Anatomía patológica Neumonía lobar
Lobar
• Primaria: Neumococo, en niño mayor y adulto
• Secundaria: Estafilococo
Segmentaria
Subsegmentaria
• Alveolos: exudado inflamatorio fluido, rico en gérmenes
• Lesiones bronquiales y bronquiolares menos intensas, en área
neumónica
• Evolución sin tratamiento: 1. congestión o ingurgitación; 2.
hepatización roja; 3. hepatización gris; 4. resolución
Anatomía patológica Bronconeumonía
• Más frecuente en lactante
• Presencia simultánea de lesiones bronquiales y parenquimatosas
• Lesión parenquimatosa: congestión inflamatoria, atelectasia e
infiltración gris
• Lesión bronquial (atrapamiento aéreo, atelectasia)
• Cambios morfológicos debidos a edema, infiltración y necrosis
Anatomía patológica Neumonía intersticial
• Excepcional en Pediatría
• Etiologia viral o por M. pneumoniae, B. pertussis o estreptococo
hemolitico (RN)
• Intersticio perivascular envuelve los bronquios y grandes vasos,
imágenes radiográficas hiliofugales
• Intersticio perialveolar: engrosamiento septal, infiltrado intraalveolar
moderado
Clínica
• Neumonía segmentaria y lobar neumocócica: comienzo brusco
• Escalofríos, hiperpirexia, cefaleas, vómitos y convulsiones, puede
aparecer delirio
• Signos respiratorios poco aparentes
• En casos de neumonía segmentaria o lobar y bronconeumonía: en 2-4
días aumenta fiebre, astenia, malestar y anorexia, síntomas de vías
aéreas y del parênquima pulmonar (broncofonía, soplo neumónico...)
• Neumonía intersticial: sintomatología gripal, acompañada del
exantema de la virosis correspondiente
Clínica
Estado
1) Tos: irritativa, luego se reblandece
2) Disnea: inspiratoria y tiraje (bronconeumonías)
3) Polipnea, taquipnea o hiperpnea. Tos y polipnea (neumonía intersticial)
4) Alteración del ciclo respiratorio normal: pausa al final de la inspiración
5) Quejido espiratorio: apertura brusca de la glotis
6) Cianosis: por hipoxemia, con o sin alteración de la conciencia
7) Sintomatología refleja: simula síndrome meníngeo (en neumonías
paravertebrales) o abdomen agudo (neumonías basales)
Clínica
Estado
• Inspección: neumonía lobar: inmovilidad relativa del hemitórax afecto
• Auscultación inicial: respiración ruda, intensificación acústica
• Afección de vías: estertores húmedos, roncus o sibilancias
• Consolidación lobar: broncofonía, soplo neumónico y crepitantes localizados
• Bronconeumonía: clínica traqueobronquial (tos irritativa, estertores
subcrepitantes, roncus y sibilancias) y alveolar (crepitantes)
• Percusión: matidez en consolidación extensa o derrame pleural
voluminoso
Exámenes complementarios
Radiología
• Ocupación de espacios aéreos terminales: consolidación lobar,
segmentaria o subsegmentaria del parénquima
• Abombamiento de cisuras: neumonia por K. pneumoniae
• Coexistencia de espacios terminales ocupados y vías aéreas libres:
broncograma aéreo
• Imagen única en un segmento o lóbulo: neumonía bacteriana
neumocócica (niño mayor)
Exámenes complementarios
Radiología
• Neumonía redonda u oval, fase inicial de neumococias en niño pequeño
• Bronconeumonía: sombras parcheadas (atelectasia) y/o hiperclaridades
(atrapamiento aéreo). Infiltrados perihiliares o difusos y opacidades de
múltiples focos parenquimatosos de consolidación
• Neumonía intersticial: infiltrado hiliar bilateral, hilios mal definidos,
desdibujan la silueta cardiaca (“corazón velloso”) o mayor extensión
hiliofugal (“alas de mariposa”)
• Neumonías víricas o por M. pneumoniae, gesticulación fina o mediana
difusa, segmentaria o lobar, con aspecto de vidrio deslustrado
Exámenes complementarios
Identificación del agente patógeno
• Agente patógeno (virus, bacterias, hongos y protozoos), sus
componentes específicos o la respuesta de los anticuerpos a la
infección
Gasometría y equilibrio ácido-básico
• PaO2, PaCO2 y pH indicarán: grado de hipoxemia, hiper o hipocapnia
y eventual academia
Tratamiento
• Antibacterianos:
a) Lactante pequeño (1 a 3 meses) con neumonía afebril, predominio
bacteriano de C. trachomatis y Ureaplasma urealyticum y,P.jiroveci
b) Lactante y preescolar, predominio bacteriano de S. pneumoniae e
Hib, en no vacunados
c) Niños mayores de 5 años, predominio bacteriano de M.
pneumoniae y S. pneumoniae
Tratamiento
Streptococcus pneumoniae
• Penicilina y derivados
• Cefalosporinas
• Cefotaxima, ceftriaxona, cefuroxima y cefpodoxima
• Cefixima, cefalexina, y cefaclor
• Ceftibuteno y el cefadroxil
• Combinación de un antibiótico beta-lactámico y un aminoglucósido
• Macrólidos: eritromicina, claritromicina, azitromicina
• Fluorquinolonas: ciprofloxacino, levofloxacino
• Clindamicina
Tratamiento
Haemophilus influenzae tipo b
• Beta lactámicos
• Ampicilina/amoxicilina
• Amoxicilina-clavulánico activa en cepas productoras de betalactamasa
• Cefalosporinas parenterales de 2° y 3° generación: cefotaxima, ceftriaxona,
ceftazidima, ceftizoxima
• Macrólidos: no eficaces a bajas dosis
Tratamiento
Mycoplasma pneumoniae
• Tetraciclinas y eritromicina, claritromicina y azitromicina, son activas
in vitro frente a M. pneumoniae
• Eritromicina y los nuevos macrólidos son de 100 a 400 veces más
activos que las tetraciclinas
• 4-5 días del comienzo de la enfermedad: acorta los síntomas
Tratamiento
Medidas generales
• Reposo, hidratación correcta
• Oxígeno
• Cuidados intensivos en casos graves
Sintomáticos
• Antitérmico-analgésico (paracetamol)
• Tos seca: dextrometorfan (< 2 años) o codeína (> 2 años)
• Broncodilatadores en sibilancias
Tratamiento hospitalario
Indicaciones
1. Sospecha etiológica de gravedad: S. aureus, Hib, etc.
2. Alteraciones del estado general secundarias a la infección
3. Repercusión grave en función pulmonar o cardiovascular
4. Enfermedad de base o inmunosupresión
5. Complicaciones
6. Necesidad de medidas terapéuticas especiales
7. Condiciones socio-económicas deficientes
Tratamiento hospitalario
Lactante pequeño (1 a 3 meses) con neumonía afebril
• Eritromicina oral (30-40 mg/kg/día QUID) 14 dÍas
• Azitromicina oral (10 mg/kg QD el primer día, seguida de 5 mg/kg QD
cuatro días más)
• Claritromicina
• Hospitalizar en caso de fiebre o hipoxia
Tratamiento hospitalario
Lactante de 3 meses y preescolar
• No vacunados contra Hib
• Amoxicilina-clavulánico, amoxicilina de 80-100 mg/kg/día, VO en 3 fracciones
• Niños correctamente vacunados frente a Hib, el germen mas
frecuente seria el neumococo
• Amoxicilina 80-100 mg/kg/día, VO en 3 fracciones
• Ceftriaxona parenteral
Tratamiento hospitalario
Lactante de 3 meses y preescolar
• Control en 48 horas
• Mejoría: continuar antibiótico mínimo 5 días, control en 3-4
semanas
• Fracaso: derrame pleural, resistencia bacteriana al antibiótico,
administración incorrecta del fármaco y la etiología no bacteriana
Tratamiento hospitalario
Escolar y adolescente
• M. pneumoniae: macrólidos (claritromicina y azitromicina)
• Neumococo: amoxicilina oral, o, parenteral, cefuroxima, penicilina G a
altas dosis (300.000 UI/kg/día, IV 4-6 fracciones), ampicilina o
ceftriaxona
IRA bajas

IRA bajas

  • 1.
    ROTACION DE PEDIATRÍA REALIZADOPOR María José Salamea Soriano CATEDRATICO: Dr. Miguel Noboa HOSPITAL GENERAL TEOFILO DAVILA
  • 2.
  • 3.
    Generalidades • Proceso inflamatorio agudodel árbol traqueobronquial (traqueobronquitis aguda) • Congestion y edema de mucosa, hipersecreción • Causado por virus y, menos por bacterias o agentes fisicoquímicos • Bronquitis asmatiforme, espástica, enfisematosa, obstructiva, tórax silbante, bronquitis con sibilancias • Menores de 4 años
  • 4.
    Etiología Agentes más frecuentes •Adenovirus 1-7, 12 • Virus influenza A, B • Virus parainfluenza 1, 2, 3 • VRS • Rinovirus • Mycoplasma pneumoniae • Metapneumovirus humano Agentes menos frecuentes • Enterovirus (Coxsackie, Echo) • Herpes simplex • Sarampión • Virus parainfluenza 4 • Bordetella pertussis • Haemophilus influenzae • Chlamydia psittaci Agentes raros • Bordetella parapertussis • Streptococcus pneumoniae • Streptococcus pyogenes
  • 5.
    Patogenia • Lesión inflamatoriapredominante en grandes bronquios • Congestión de la mucosa e infiltración leucocitaria (mononuclear), • Lesión ciliar, edema e hipersecreción mucosa • Zonas de ulceración con necrosis del epitelio • Extensas lesiones destructivas (obstrucción bronquial)
  • 6.
    Cuadro clínico Obstrucción nasal, rinorrea Tosseca,irritante y dolorosa, luego productiva, húmeda, emetizante Esputo purulento (inflamatorio) Auscultación: roncus y estertores húmedos de mediana y pequeña burbuja. Sibilancias (asma) Retracción o tiraje subcostal e incluso supraclavicular Dolor torácico, febrícula Graves: hipoxia, palidez, cianosis, agitación, insomnio y, postración
  • 7.
    Evolución • Favorable, 5a 10 días. Más de 3 semanas: Bronquitis Crónica • Fiebre tardía, empeoramiento: sobreinfección bacteriana • Haemophilus influenzae • Streptococcus pneumoniae • Staphylococcus aureus • Rx: aumento de trama hiliar, signos de atrapamiento aéreo discreto; a veces adenopatías hiliares, atelectasias, imágenes de peribronquitis (reiterativo) • Laboratorio: leucocitosis con neutrofilia, eosinofilia, linfocitosis, VSG ligeramente elevada
  • 8.
    Tratamiento etiológico • Antibioterapiasi se comprueba etiologia por Mycoplasma pneumoniae, Chlamydia pneumoniae y Bordetella pertussis Amoxicilina 100mg/kp/dia IV c/8horas
  • 9.
    Tratamiento de soporte •Fluidoterapia: oral, por sonda o parenteral • Fisioterapia: posición, percusión, vibración • Aerosol terapia (fría): fluidifica secreciones, lavados nasales con SS • Oxígenoterapia: formas intensas • Farmacoterapia: • Mucolíticos, antitusivos • Betaadrenérgicos • Corticoterapia • Antitérmicos • Antibióticos
  • 10.
  • 11.
    Generalidades • Epidémica oesporádica • Menores de 2 anos • Hombre/mujer: 1,5/1 • Inflamación de vías respiratorias bajas • Dificultad respiratoria precedida de afectación de vías altas • Sibilancias asociadas a infección respiratoria
  • 12.
    Criterios de McConnochie a.Presentación en estación epidémica anual (octubre-marzo) b. Rasgos anatomopatológicos • Inflamación aguda de pequeñas vías aéreas • Edema y necrosis de células epiteliales • Hiperproducción de moco • Broncoespasmo c. Rasgos clínicos • Edad igual o inferior a 24 meses • Disnea espiratoria de comienzo agudo • Signos de enfermedad respiratoria vírica: coriza, otitis media o fiebre • Con o sin indicios de distres respiratorio, neumonía o atopia • Primer episodio, habitualmente
  • 13.
    Etiología • Virus respiratoriosincitial • Metapneumovirus humano • Adenovirus 1, 2 y 5 • Rinovirus • Virus parainfluenza 3 –menos frecuentes los tipos 1 y 2– • Influenza tipos Ay B • Bocavirus y coronavirus
  • 14.
    Patogenia • Inmadurez inmunitaria •Acción citopática del virus sobre el epitelio • Reacción inflamatoria: obstrucción de vía aérea y distres respiratorio • Edema de pared • Hiperproducción de moco • Predisposición genética
  • 15.
    Clínica • Signos deenfermedad respiratoria vírica (coriza, otitis media o fiebre) con o sin distres respiratorio, neumonía y atopia • Creciente dificultad respiratoria. Taquipnea, > 70x´: hipoxemia e hipercapnia • En 72 horas significativa mejoría. Dura 5 a 7 días • Retracciones intercostales, subcostales, xifoideas y supraesternales • Percusión: aumento de resonancia por atrapamiento aéreo • Auscultación: sibilancias, roncus y estertores
  • 16.
    Exámenes complementarios • Identificaciónagente causal • Laboratorio • Hemograma: linfocitosis • Gasometría: hipoxemia, hipercapnia • Acidosis respiratoria • Rx: atrapamiento aéreo, hiperaireación pulmonar y, con menor frecuencia, infiltrados perihiliares y atelectasias laminares o segmentarias
  • 17.
    Evolución • Inmediata • Mortalidad< 1% • Peor: malformaciones graves, cardiopatías, inmunodeficiencias, países no desarrollados • A largo plazo • Enfermedad crónica pulmonar • Mayor frecuencia de problemas respiratorios con sibilancias • La prevalencia de asma bronquial y atopias no parece más alta • Episodios de distres respiratorio, sibilancias o hipoxia durante semanas o meses
  • 18.
    Tratamiento • Sintomático yen medio domiciliario • Criterios de ingreso hospitalario • Frecuencia respiratoria > 60 rpm • Distres moderado y/o apnea en menos de 48 horas de evolución • Signos de hipoxia • Rechazo de las tomas • Niños de alto riesgo: pretérmino, con cardiopatías, inmunodeficiencias, mucoviscidosis, neumopatía crónica, malnutrición, historia de apnea previa; ambiente social desfavorable
  • 19.
    Tratamiento ambulatorio • Hidrataciónadecuada • Tomas pequeñas y frecuentes • Lavados nasales con suero fisiológico • Aspiración de secreciones • Posición semiincorporada • Fisioterapia respiratoria • Eliminación de irritantes ambientales
  • 20.
    Tratamiento hospitalario • Fluidoterapia •Fármaco terapia • Broncodilatadora: adrenalina (disminuye edema de vía aérea y secreción de moco), Beta 2 adrenérgicos (no demostrada su eficacia) • Antiinflamatoria: corticoides (uso no justificado) • Antibioterapia: infección bacteriana coexistente (< 2%) • Mucolíticos: suero salino hipertónico • Otros: rivabirina, heliox, CPAP nasal, ventilación mecánica
  • 21.
  • 22.
    Etiología: Infecciosas Virus 75al 90% de neumonías infantiles • Virus respiratorio sincitial (VRS) • De las gripes A y B • Parainfluenzae, sobre todo el 3 • Rinovirus y adenovirus • Virus de las enfermedades exantemáticas (sarampión) • Metapneumovirus • Bocavirus • Coronavirus humano
  • 23.
    Etiología: Infecciosas Bacterias 10-25%restante • Lactante y preescolar: Neumococo y Haemophilus influenzae tipo b (Hib) • Escolar y adolescente: Neumococo, M. pneumoniae y Chlamydia pneumoniae • Staphylococcus aureus meticilin-resistente: neumonía necrosante grave, progresiva, con hipoxemia y derrame pleural masivo Hongos • Pneumocystis jiroveci: lactantes-VIH de 1 a 6 meses, malnutridos graves
  • 24.
    Etiología: No Infecciosas •Neumonía aspirativa: mecanismo químico y físico de agresión broncopulmonar • Neumonías por sustancias químicas, sobre todo hidrocarburos • Un alto porcentaje sin diagnóstico etiológico • La mayoría de niños evoluciona favorablemente con pautas asistenciales muy diversas
  • 25.
    Anatomía patológica Neumoníalobar Lobar • Primaria: Neumococo, en niño mayor y adulto • Secundaria: Estafilococo Segmentaria Subsegmentaria • Alveolos: exudado inflamatorio fluido, rico en gérmenes • Lesiones bronquiales y bronquiolares menos intensas, en área neumónica • Evolución sin tratamiento: 1. congestión o ingurgitación; 2. hepatización roja; 3. hepatización gris; 4. resolución
  • 27.
    Anatomía patológica Bronconeumonía •Más frecuente en lactante • Presencia simultánea de lesiones bronquiales y parenquimatosas • Lesión parenquimatosa: congestión inflamatoria, atelectasia e infiltración gris • Lesión bronquial (atrapamiento aéreo, atelectasia) • Cambios morfológicos debidos a edema, infiltración y necrosis
  • 29.
    Anatomía patológica Neumoníaintersticial • Excepcional en Pediatría • Etiologia viral o por M. pneumoniae, B. pertussis o estreptococo hemolitico (RN) • Intersticio perivascular envuelve los bronquios y grandes vasos, imágenes radiográficas hiliofugales • Intersticio perialveolar: engrosamiento septal, infiltrado intraalveolar moderado
  • 31.
    Clínica • Neumonía segmentariay lobar neumocócica: comienzo brusco • Escalofríos, hiperpirexia, cefaleas, vómitos y convulsiones, puede aparecer delirio • Signos respiratorios poco aparentes • En casos de neumonía segmentaria o lobar y bronconeumonía: en 2-4 días aumenta fiebre, astenia, malestar y anorexia, síntomas de vías aéreas y del parênquima pulmonar (broncofonía, soplo neumónico...) • Neumonía intersticial: sintomatología gripal, acompañada del exantema de la virosis correspondiente
  • 32.
    Clínica Estado 1) Tos: irritativa,luego se reblandece 2) Disnea: inspiratoria y tiraje (bronconeumonías) 3) Polipnea, taquipnea o hiperpnea. Tos y polipnea (neumonía intersticial) 4) Alteración del ciclo respiratorio normal: pausa al final de la inspiración 5) Quejido espiratorio: apertura brusca de la glotis 6) Cianosis: por hipoxemia, con o sin alteración de la conciencia 7) Sintomatología refleja: simula síndrome meníngeo (en neumonías paravertebrales) o abdomen agudo (neumonías basales)
  • 33.
    Clínica Estado • Inspección: neumoníalobar: inmovilidad relativa del hemitórax afecto • Auscultación inicial: respiración ruda, intensificación acústica • Afección de vías: estertores húmedos, roncus o sibilancias • Consolidación lobar: broncofonía, soplo neumónico y crepitantes localizados • Bronconeumonía: clínica traqueobronquial (tos irritativa, estertores subcrepitantes, roncus y sibilancias) y alveolar (crepitantes) • Percusión: matidez en consolidación extensa o derrame pleural voluminoso
  • 34.
    Exámenes complementarios Radiología • Ocupaciónde espacios aéreos terminales: consolidación lobar, segmentaria o subsegmentaria del parénquima • Abombamiento de cisuras: neumonia por K. pneumoniae • Coexistencia de espacios terminales ocupados y vías aéreas libres: broncograma aéreo • Imagen única en un segmento o lóbulo: neumonía bacteriana neumocócica (niño mayor)
  • 35.
    Exámenes complementarios Radiología • Neumoníaredonda u oval, fase inicial de neumococias en niño pequeño • Bronconeumonía: sombras parcheadas (atelectasia) y/o hiperclaridades (atrapamiento aéreo). Infiltrados perihiliares o difusos y opacidades de múltiples focos parenquimatosos de consolidación • Neumonía intersticial: infiltrado hiliar bilateral, hilios mal definidos, desdibujan la silueta cardiaca (“corazón velloso”) o mayor extensión hiliofugal (“alas de mariposa”) • Neumonías víricas o por M. pneumoniae, gesticulación fina o mediana difusa, segmentaria o lobar, con aspecto de vidrio deslustrado
  • 36.
    Exámenes complementarios Identificación delagente patógeno • Agente patógeno (virus, bacterias, hongos y protozoos), sus componentes específicos o la respuesta de los anticuerpos a la infección Gasometría y equilibrio ácido-básico • PaO2, PaCO2 y pH indicarán: grado de hipoxemia, hiper o hipocapnia y eventual academia
  • 37.
    Tratamiento • Antibacterianos: a) Lactantepequeño (1 a 3 meses) con neumonía afebril, predominio bacteriano de C. trachomatis y Ureaplasma urealyticum y,P.jiroveci b) Lactante y preescolar, predominio bacteriano de S. pneumoniae e Hib, en no vacunados c) Niños mayores de 5 años, predominio bacteriano de M. pneumoniae y S. pneumoniae
  • 38.
    Tratamiento Streptococcus pneumoniae • Penicilinay derivados • Cefalosporinas • Cefotaxima, ceftriaxona, cefuroxima y cefpodoxima • Cefixima, cefalexina, y cefaclor • Ceftibuteno y el cefadroxil • Combinación de un antibiótico beta-lactámico y un aminoglucósido • Macrólidos: eritromicina, claritromicina, azitromicina • Fluorquinolonas: ciprofloxacino, levofloxacino • Clindamicina
  • 39.
    Tratamiento Haemophilus influenzae tipob • Beta lactámicos • Ampicilina/amoxicilina • Amoxicilina-clavulánico activa en cepas productoras de betalactamasa • Cefalosporinas parenterales de 2° y 3° generación: cefotaxima, ceftriaxona, ceftazidima, ceftizoxima • Macrólidos: no eficaces a bajas dosis
  • 40.
    Tratamiento Mycoplasma pneumoniae • Tetraciclinasy eritromicina, claritromicina y azitromicina, son activas in vitro frente a M. pneumoniae • Eritromicina y los nuevos macrólidos son de 100 a 400 veces más activos que las tetraciclinas • 4-5 días del comienzo de la enfermedad: acorta los síntomas
  • 41.
    Tratamiento Medidas generales • Reposo,hidratación correcta • Oxígeno • Cuidados intensivos en casos graves Sintomáticos • Antitérmico-analgésico (paracetamol) • Tos seca: dextrometorfan (< 2 años) o codeína (> 2 años) • Broncodilatadores en sibilancias
  • 42.
    Tratamiento hospitalario Indicaciones 1. Sospechaetiológica de gravedad: S. aureus, Hib, etc. 2. Alteraciones del estado general secundarias a la infección 3. Repercusión grave en función pulmonar o cardiovascular 4. Enfermedad de base o inmunosupresión 5. Complicaciones 6. Necesidad de medidas terapéuticas especiales 7. Condiciones socio-económicas deficientes
  • 43.
    Tratamiento hospitalario Lactante pequeño(1 a 3 meses) con neumonía afebril • Eritromicina oral (30-40 mg/kg/día QUID) 14 dÍas • Azitromicina oral (10 mg/kg QD el primer día, seguida de 5 mg/kg QD cuatro días más) • Claritromicina • Hospitalizar en caso de fiebre o hipoxia
  • 44.
    Tratamiento hospitalario Lactante de3 meses y preescolar • No vacunados contra Hib • Amoxicilina-clavulánico, amoxicilina de 80-100 mg/kg/día, VO en 3 fracciones • Niños correctamente vacunados frente a Hib, el germen mas frecuente seria el neumococo • Amoxicilina 80-100 mg/kg/día, VO en 3 fracciones • Ceftriaxona parenteral
  • 45.
    Tratamiento hospitalario Lactante de3 meses y preescolar • Control en 48 horas • Mejoría: continuar antibiótico mínimo 5 días, control en 3-4 semanas • Fracaso: derrame pleural, resistencia bacteriana al antibiótico, administración incorrecta del fármaco y la etiología no bacteriana
  • 46.
    Tratamiento hospitalario Escolar yadolescente • M. pneumoniae: macrólidos (claritromicina y azitromicina) • Neumococo: amoxicilina oral, o, parenteral, cefuroxima, penicilina G a altas dosis (300.000 UI/kg/día, IV 4-6 fracciones), ampicilina o ceftriaxona