Neumonía en pediatría
Luis Felipe Rojas Salamanca
Introducción
 Definición
 Neumonía:
 Infección del parénquima pulmonar
 “Presencia de síntomas y signos respiratorios agudos (menores de 15 días),
acompañados de taquipnea de acuerdo a la edad, con o sin fiebre, asociados a
infiltrados pulmonares en las radiografía.”
 Taquipnea  reconocimiento
 Tiraje subcostal  Gravedad de la misma
 Neumonía Adquirida en la Comunidad
 Se adquiere fuera del ámbito hospitalario
Introducción
 Definición
 Neumonía Atípica:
 Infección del parénquima pulmonar
 >f
 Mycoplasma pneumoniae
 Chlamydia trachomatis
 Virus
 >f:
 Afebril
 Sin compromiso general
 Obstrucción bronquial
Introducción
 Definición
 Neumonía complicada
 Infección del parénquima pulmonar
 Inflamación alveolar +
 Absceso
 Colección de material purulento dentro del parénquima pulmonar
 Borde bien definido
 Reacción inflamatoria peri- lesional.
 Derrame paraneumónico
 Inflamación de la pleura
 Colección de líquido pleural no purulento
 Empiema
 Colección de material purulento en la cavidad pleural.
Etiología
 Etiología según edad:
 1-3 meses*:
 Chlamydia trachomatis
 Virus sincitial respiratorio
(VSR)
 Parainfluenza tipo 3
 Streptococcus pneumoniae
 Bordetella pertussis
 Staphylococcus aureus
 Los niños entre los 2 y 3 meses,
comparten agentes etiológicos
del grupo menor y mayor
 3 meses a 5 años:
 VSR
 Parainfluenza
 Influenzae virus
 Adenovirus
 Rinovirus
 Streptococcus pneumoniae
 Haemophilus influenzae tipo B y no tipificable
 Mycoplasma pneumoniae
 Chlamydia pneumoniae
 Staphylococcus aureus
 Mycobacterium tuberculosis
Etiología
 5 a 17 años:
 Mycoplasma pneumoniae
 Streptococcus pneumoniae
 Staphylococcus aureus
 Chlamydia pneumoniae
 Mycobacterium tuberculosis
Etiología
 Países desarrollados  La mayoría de neumonías son de origen viral
 VSR (25% a 29%)
 Adenovirus, Parainfluenza e Influenzae, especialmente en niños menores
de 2 años (39% a 80%)
 Mycoplasma pneumoniae y la Chlamydia pneumoniae
 Niños mayores de 5 años (42% y 20% respectivamente)
 Niños de 3 a 4 años (23% para ambos gérmenes)
 Chlamydia trachomatis.
 Considerar en el Niño menor de 3 meses.
Etiología
 6 estudios en 9 países europeos (Evidencia I) – 1.375 niños
 Neumonías adquiridas en la comunidad
 Bacterianas 51%,
 S. pneumoniae: 24%
 M. pneumoniae: 12%
 H. influenzae: 10%
 M. catarralis: 5%.
 Virales 43%
 VSR 20%
 Rhinovirus, Parainfluenza, Adenovirus 5%
 Influenzae A y B < %
 18% gérmenes mixtos
Etiología
 Países en vías de desarrollo
 Las Bacterias juegan un papel más importante
 Factores de riesgo (Evidencia II).
 Desnutrición
 Carencia de inmunizaciones
 Colonización temprana por gérmenes patógenos en
nasofaringe
 Condiciones ambientales (hacinamiento, contaminación)
 Factores socioeconómicos
Etiología
 13 estudios
 (Colombia, Brasil, Chile, Gambia, India, Nigeria y Filipinas, entre otros)  Punción
pulmonar en niños hospitalizados por neumonía, sin tratamiento previo
 Bacterias 55%
 S. pneumoniae en 46%
 H. influenzae en 28%
 S. aureus en 9%
 Otras en 17%.
 *Flora habitual de la nasofaringe y estado de portador de gérmenes
patógenos desde temprana edad
Severidad según edad:
 OMS – criterios eficientes de entrada a estudio de neumonía
 Tos
 Cualquier grado de dificultad para respirar
 “Respiración rápida“  signo de mayor rendimiento y mejor pronosticador de
neumonía en niños
 La fiebre no es un criterio útil.
 * “En los Lactantes menores de 2 meses y los niños mayores son diferentes las
manifestaciones clínicas y la etiología de la neumonía.”
Severidad según edad:
 OMS – f respiratoria normal por grupo de edad
 Menor de 2 meses: hasta 60/min.
 De 2 meses a 1 año: hasta 50/min.
 De 1 año hasta 5 años: hasta 40/min.
 Tiraje sub-costal  Neumonía grave
 “La progresión y agravamiento de la neumonía hacen perder
gradualmente la distensibilidad pulmonar”
Clasificación según severidad (OPS/OMS):
 Niños entre 2 meses y 4 años de edad
con tos o dificultad para respirar:
 Enfermedad muy grave (Neumonía en
pcte séptico)
 No puede beber
 Presenta convulsiones
 Estridor en reposo
 Desnutrición grave
 Anormalmente somnoliento
 Mal llenado capilar
 Taquicardia
 Taquipnea
 Hipotensión
 Cianosis.
 Neumonía grave
 Tiraje subcostal con o sin
taquipnea.
 Neumonía
 Taquipnea pero sin tiraje.
 2 meses a 11 meses:> 50 por
min
 1 año a 4 años: > 40 por min
 No es Neumonía (tos o resfriado)
 No tiene tiraje
 No tiene taquipnea
Clasificación según severidad (OPS/OMS):
 Niños de 1 semana a 2 meses:
 Signos de posible infección
bacteriana, incluyendo neumonía
grave son:
 Frecuencia respiratoria
elevada: mayor de
60/min
 Tiraje subcostal severo
 Aleteo nasal
 Quejido o estridor
Los niños de esta edad pueden enfermar
y morir rápidamente
 “En ellos toda neumonía es grave”
 Convulsiones
 Dejar de comer bien
 Somnolencia anormal
 Fiebre o hipotermia
 Fontanela abombada o
tensa
 Drenaje purulento por
oído
 Eritema periumbilical
extendido
 Pus en el ombligo
 Pústulas dérmicas
 Disminución de los
movimientos.
Tipos de neumonía
 Neumonías virales:
 Afectan la vía aérea baja (periférica, parénquima pulmonar, >f  intersticio)
 Neumonitis o Neumonía intersticial
 Compromiso variable del tejido peribronquial y de las vías aéreas pequeñas.
 Endémica y epidémica
 Patrón climatológico
 Clínica:
 Inicio  IRA alta
 Post  Componente obstructivo
 Tos, sibilancias, roncus, movilización de secreciones y prolongación del tiempo espiratorio.
  Neumonitis y bronquiolitis  Un diagnóstico no descarta otro
Tipos de neumonía
Neumonías atípicas:
• Infecciones respiratorias bajas
• Afebriles
• Respuesta sistémica inflamatoria rara vez
intensa
• Cuadro bronco-obstructivo
• No responden a penicilina pero si a
macrólidos
• >f Dejan secuelas de tipo obstructivo.
• Microorganismos  > f involucrados:
• Mycoplasma pneumoniae
• Chlamidya trachomatis
• Chlamydia pneumoniae
• Legionella pneumophila
• Coxiella burnetti (fiebreQ)
• Ricketssias
Tipos de neumonía
• Neumonía por Haemophilus influenzae
• Bacilo anerobio facultativo, gram negativo
• Hay cepas rodeadas por una cápsula de hidratos de carbono que es
antifagocítica.
• Clasificación
• Capsulados o cepas tipificables
• No encapsulados o cepas no tipificables
• Hay 7 serotipos de H. influenzae
Tipos de neumonía
Neumonía por Haemophilus influenzae
La cápsula es el factor de virulencia primario
Se recupera de la nasofaringe como comensal
Hacia los 3 meses de vida casi todos los niños
transportan el microorganismo
Las cepas comensales no son encapsuladas a diferencia
de las que producen enfermedad.
Tipos de neumonía
Neumonía por Haemophilus influenzae
• Invade el epitelio
respiratorio
• Evade la fagocitosis e
ingresa al torrente
circulatorio por los
linfáticos
• Provoca en la
submucosa respuesta
inflamatoria con
edema.
Los niños no
producen
antígenos
anticapsulares
antes de los dos
años de edad
*La vacuna
protege contra las
cepas capsulares
mas no de las
cepas no
capsulares o no
tipificables.
Tipos de neumonía
Neumonía por Streptococcus pneumoniae (neumococo):
 El neumococo es la principal causa de hospitalización,
 Causa anualmente
 3.000 casos de meningitis
 50.000 casos de bacteremia
 500.000 casos de neumonía
 7 millones de otitis media
 40.000 muertes por neumococo invasivo.
Tipos de neumonía
Neumonía por Streptococcus pneumoniae (neumococo):
 Principal causa de neumonía adquirida en la comunidad, otitis
media y sinusitis
 Ocasiona entre 17% a 40% de las neumonías
 Es el germen que con mayor frecuencia causa derrame
paraneumónico
 En ausencia de anticuerpos específicos de subtipo, la cápsula es
un importante factor de virulencia  evita la fagocitosis
Tipos de neumonía
Neumonía por Streptococcus pneumoniae (neumococo):
 Puede causar en niños enfermedades invasivas o no invasivas.
 Patologías invasivas
 Bacteremia oculta (70% en los menores de 2 años)
 Neumonía (1219%)
 Meningitis
 Patologías locales
 Otitis media
 Sinusitis
 Neumonías
Tipos de neumonía
Neumonía por Streptococcus pneumoniae (neumococo):
 Máximo pico de incidencia de Enf. invansiva  (menores de
2 años)
 Entre 6 a 11 meses y entre 12 a 23 meses
 Es el germen más frecuente en niños entre los 2 meses a 5
años.
 La asistencia a la guardería es un factor de riesgo de
consideración.
Tipos de neumonía
Neumonía por Staphylococcus aureus:
 Se ha asociado históricamente a la presencia de empiema (88% a 90%
en series de casos)
 La mayoría de los casos ocurre en infantes previamente sanos
 factores predisponentes
 Edad (menores de un año)
 Enfermedad pulmonar crónica
 Inmunosupresión
 Presencia de cuerpos extraños
 Infecciones en la piel y uso concomitante de antibióticos
 Influenza
Tipos de neumonía
Neumonía por Staphylococcus aureus:
 Vía aerógena
 Influenza
 Pacientes debilitados y/o hospitalizados
 Laringotraqueítis
 Vía hematógena
 Fístula arteriovenosa infectada
 Drogadictos
 Endocarditis bacteriana
 Infecciones óseas
 Infecciones de la piel
 Síndrome de shock tóxico.
Orientación diagnóstica por preguntas clave:
 ¿El paciente con cuadro clínico respiratorio agudo tiene una
infección respiratoria alta o baja?
 Si es una infección respiratoria baja, ¿es bronquiolitis o neumonía?
 Si es neumonía, ¿es viral o bacteriana (clásica o atípica)?
Orientación diagnóstica por preguntas clave:
 ¿El paciente con cuadro clínico respiratorio agudo tiene una infección respiratoria alta o baja?
 IRA alta
 Rinofaringitis, amigdalitis, otitis, sinusitis o laringitis (tos, rinorrea, obstrucción nasal, coriza, fiebre,
odinofagia, otalgia, malestar general)
 * “Distinguir entre los lactantes menores de 2 meses y los niños mayores por ser diferente las
manifestaciones clínicas y la etiología.”
 Neumonía – Compromiso respiratorio bajo
 Aumento de la frecuencia respiratoria – El mas útil predictor
 Otros: Apariencia clínica, presencia de crépitos y retracciones (Evidencia II-2, Recomendación B).
Orientación diagnóstica por preguntas clave:
 ¿El paciente con cuadro clínico respiratorio agudo tiene una
infección respiratoria alta o baja?
 Evaluación de la taquipnea
 Conteo de la frecuencia respiratoria con el niño tranquilo
durante un minuto completo (OMS)  validez
Orientación diagnóstica por preguntas
clave:
 ¿El paciente con cuadro clínico respiratorio agudo tiene una infección respiratoria alta o
baja?
 Tiraje subcostal
 Mayor riesgo de muerte (Evidencia II-3, Recomendación C)
 En el niño menor de 2 meses, debe ser severo, pues normalmente tiene un tiraje ligero dada la
maleabilidad de su caja torácica
 Signos predictivos de muerte por neumonía de Shan (Evidencia II-3,Recomendación C)
 Cianosis
 Incapacidad para ingerir líquidos
 Quejido espiratorio
 Rayos X con cambios severos
 Pctes desnutridos afebriles.
 Aleteo nasal (Spooner, Evidencia II-3,Recomendación C)
Orientación diagnóstica por preguntas
clave:
 ¿El paciente con cuadro clínico respiratorio agudo tiene una
infección respiratoria alta o baja?
 Examen físico (Evidencia III, Recomendación C)
 Síndrome de condensación pulmonar:
  del murmullo vesicular del lado afectado
 Estertores no modificables con la tos ni con las maniobras de higiene
bronquial.
 Soplo tubárico,  de las transmisiones vocales, broncofonía y la pectoriloquia
áfona
 Síndrome de derrame pleural asociado
 Matidez a la percusión
 Disminución de las vibraciones vocales
 Ausencia de murmullo vesicular completan el
 Posición antálgica
Orientación diagnóstica por preguntas clave:
 ¿Si es una infección respiratoria baja, ¿es neumonía o bronquiolitis?
 Bronquilitis
 Taquipnea
 Signos de dificultad respiratoria aguda
 Cuadro predominantemente broncoobstructivoç
 Época de epidemia
 < de 2 años
 Es primer episodio.
 Episodios recurrentes  Asma
Pruebas de laboratorio:
 Cuadro hemático
 Parámetro de base para ver deterioro o mejoría.
 No logran diferenciar entre neumonía viral y bacteriana (Evidencia II-l, Recomendación D)
 Leucocitosis de más de 15.000/mm3
 VSG mayor de 30
 PCR mayor de 60
 Neumonías virales o atípicas
 Puede haber leucocitosis o leucopenia.
 Neumonía bacteriana
 Leucopenia  indica gravedad (Evidencia III)
Pruebas de laboratorio:
Procalcitonina:
• Se eleva en repuesta a bacteremia o fungemia
• Se relaciona con la severidad de la infección
• Es el reactante de fase aguda que mejor discrimina entre neumonía
bacteriana y viral  valores > de 1µg/lt
• Sensibilidad de 86% y especificidad de 87,5%
• Valor predictivo positivo de 90,2%
• Valor predictivo negativo de 80%. (Evidencia II. Recomendación B).
Pruebas de laboratorio:
 Hemocultivos:
 Resultados positivos  10 al 30% (Evidencia II.)
 Recomendados en:
 Evolución desfavorable
 Formas graves de neumonía
 Sospecha de gérmenes resistentes
 Formas inusuales
 Utilidad disminuida con previoTt. antibiótico
Pruebas de laboratorio:
 Pulso-oximetría:
 Cianosis
 Signo de máxima gravedad
 Predictivo de muerte en neumonía
 Hipoxemia   riesgo de muerte por neumonía (Evidencia II)
 Debe tomarse en todo niño que sea admitido en el hospital con
neumonía (Recomendación B)
Pruebas de laboratorio:
 Estudio Del Derrame Pleural:
 Todo derrame asociado a neumonía debe puncionarse sin importar el tamaño (Evidencia II. B, Recomendación C) para:
 Identificar el agente etiológico
 Distinguir los derrames complicados de los no complicados
 Recuento de glóbulos blancos: total y diferencial
 Glucosa, ph y deshidrogenasa láctica
 Proteínas
 Gram y cultivo para gérmenes comunes y anaerobios
 ZN y cultivo para mycobacterias (si hay sospecha)
 Pruebas de diagnóstico rápido (búsqueda de Ags) para H. influenzae tipo b, S. pneumoniae y Streptococcus del grupo B.
Pruebas de laboratorio:
 Estudio Del Derrame Pleural:
 Criterios de empiema
 Visualización de pus
 Visualización de bridas o tabiques en la toratoscopia.
 Efusiones tabicadas vistas por radiografía oTAC.
 Identificación de un patógeno bacteriano en el líquido pleural
 Líquido pleural con DHL mayor a 1.000 IU por litro
 Glucosa menor de 40mg/dl. (104, 105)(Evidencia II, B).
Pruebas de laboratorio:
 Estudio Del Derrame Pleural:
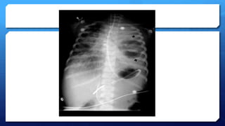
Evaluación radiológica:
 Confirmación del diagnóstico de neumonía
 Dos patrones
 Alveolar e intersticial. ¿viral o intersticial?
 Signos de neumonía bacteriana:
 50% casos  Infiltrados alveolares en parche o consolidación
lobar o de distribución subsegmentaria
 También se pueden encontrar en neumonías virales y
atípicas.
 Neumatoceles, abcesos pulmonares
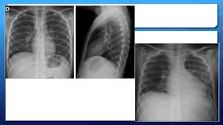
Evaluación radiológica:
 Confirmación del diagnóstico de neumonía
 Neumonía viral
 Hiperaireación o atrapamiento aéreo
 Infiltrados intersticiales de distribución difusa o parahiliar
 Engrosamiento peribronquial (manguitos)
 Atelectasias o microatelectasias especialmente en LSD y LM.
 < f  efusión pleural  peq. y no progresiva (Evidencia III)
Orientación terapéutica por preguntas clave
 ¿Cúal es el antibiótico de primera elección en el paciente ambulatorio y cual es en el
hospitalizado según edad y factores de riesgo en la neumonía adquirida en la comunidad ?
 ¿Debe modificarse el manejo de las neumonías en el país, por la resistencia actual a
betalactámicos ?
 ¿Cuales son los criterios de hospitalización ?
 ¿Cuales son las medidas de soporte recomendadas ?
 ¿Cómo se realiza el seguimiento?
 ¿Cómo se evalúa el paciente con derrame?
 ¿Cuales son la recomendaciones sobre vacunas para los gérmenes involucrados?
Manejo
 ¿Cuál es el antibiótico de primera elección en el paciente
ambulatorio y cual en el hospitalizado, según edad y
factores de riesgo en la neumonía adquirida en la
comunidad ?
Manejo
 Manejo ambulatorio:
 Paciente previamente sano
 Neumonía adquirida en la comunidad
 Sin factores de riesgo
 No está críticamente enfermo
 De 1 a 3 meses:
 Afebril:
 Eritromicina: 30 a 40 mg/kg/día por 2 semanas
  en menores de tres semanas (riesgo: hipertrofia del píloro)  azitromicina o claritromicina
 Azitromicina: 10 mg/kg/día (1 dosis), primer día y después 5 mg/kg/día, por 4 días más
 Claritromicina: 15 mg/kg/día por 2 semanas .
 Hospitalice el menor de 2 meses, si hay fiebre (posibilidad de neumonía clásica) o hipoxemia.
Manejo
 De 3 meses a 5 años:
 Afebril
 Macrólidos
 Febril
 Amoxacilina: 50 mg/kg/día (3 dosis)
 Penicilina procaínica: 25.000 a 50.000 u/kg/día I.M (1 dosis diaria)
 Trimetoprim œ sulfa (TMS): 8 mg/kg/día (2 dosis)(Ministerio de Salud,AIEPI OPS/OMS)
 Segunda línea:
 cefuroxime acetil: 30 mg/kg/día (2 dosis)
 Amoxacilina/clavulanato 50 mg/kg/día (2 dosis).
Manejo
 Mayores de 5 años:
 Neumonía atípica
 Macrólidos considerados anteriormente
 Neumonía clásica:
 Amoxacilina ó penicilina procaínica a dosis mencionadas.
 Segunda línea: cefuroxime acetil.
Manejo
 Manejo hospitalario:
 Paciente previamente sano
 Neumonía adquirida en la comunidad
 Sin factores de riesgo
 No está críticamente enfermo
 De 1 a 3 meses:
 Afebril
 Macrólidos
 Deterioro clínico o aparición de fiebre  adicionar:
 Ampicilina 150 a 200 mg/kg/día I.V. (4 dosis).
 Segunda línea
 Cefuroxime: 150 mg/kg/día I.V.(en 3 dosis)
 Cefotaxime: 100 a 150 mg/kg/día I.V. (2 o 3 dosis)(118,119).
Manejo
 De 3 meses a 5 años
 Ampicilina ó penicilina cristalina: 200.000 a 300.000 u/kg/día (max: 4.000.000 u/dosis) (4 a 6
dosis).
 Segunda línea
 cefuroxime ó cefotaxime
 ampicilina/sulbactam I.V. 100 a 200 mg/kg/día (4 dosis)
 Mayor de 5 años:
 Sospecha de neumonía atípica
 Macrólidos
 Sospecha de neumonía clásica o no respuesta al tratamiento ambulatorio
 Penicilina cristalina (primera línea)
 cefuroxime (segunda línea)
Manejo Hospitalario
 Pcte previamente sano
 Neumonía adquirida en la comunidad
 Sin factores de riesgo
 críticamente enfermo
 estado séptico
 Hipoxia
 Hipotensión
 Taquicardia
 Mal perfundido
 Cianosis
 Compromiso multilobar
 Tiraje subcostal
Manejo Hospitalario
 De 1 a 3 meses:
 Ampicilina 200 mg/kg/día I.V. + cefotaxime: 100 mg/kg/día I.V. (en 2 o 3 dosis)
 Ampicilina: 200mg/kg/día I.V. + amikacina 15 mg/kg/día (1 dosis) ó gentamicina 5 mg/kg/día.
 deben ser monitorizados con niveles séricos Los aminoglucósidos.
 De 3 meses a 5 años:
 Cefuroxime ó cefotaxime ó ceftriaxona: 100mg/kg/día, I.V. (2 dosis)
 Staphylococcus aureus
 cefalosporinas de tercera generación
 oxacilina: 200 mg/kg/día, I.V. (4 dosis)
 Vancomicina: 40 a 60 mg/kg/día, I.V., (4 dosis).
 Mayores de 5 años:
 Cefuroxime I.V ó cefotaxime ó ceftriaxona.
 Considerar asociar macrólido.
¿Cuáles son los criterios de
hospitalización?
 Edad: < 2 meses
 Apnea
 Signos de dificultad respiratoria (tiraje subcostal,
aleteo nasal, cianosis, quejido espiratorio)
 Hipoxemia (saturación < 92% a nivel del mar)
 Aspecto tóxico
 Incapacidad para ingerir líquidos o para
alimentarse
 Falta de respuesta al tratamiento ambulatorio
 Presencia de complicaciones (derrame pleural o
absceso pulmonar)
 Enfermedad subyacente y/o compromiso
inmunológico
 Residir en un sitio no óptimo para manejo o
incompetencia familiar para el tratamiento.
¿Cuáles son las medidas de soporte
recomendadas?
 Continuar alimentación a libre demanda
 Permeabilizar las fosas nasales con suero fisiológico
 Manejo de la fiebre: si es mayor de 38.5º administrar
acetaminofén (10 a 15 mg/kg/dosis)
Recomendaciones en el niño
hospitalizado:
 Pulso-oximetría al ingreso y para seguimiento
 Oxigenoterapia  indicada para sat. > 92%
 Líquidos endovenosos si:
 Pcte no acepta o no tolera la vía oral
 trastornos de conciencia
 Pcte con DHT o compromiso de estado general
 Riesgo de secreción inadecuada de hormona antidiurética
 Corregir la hipovolemia
 Continuar al 80% de los requerimientos basales
 Monitorizar función renal y electrolitos.
¿Como se realiza el seguimiento?:
 El esquema debe durar entre 7 y 10 días
 El cambio de la vía venosa a oral se realizará con el control del proceso infeccioso
 Manejo ambulatorio  control a las 48 a 72 horas o antes si hay:
 Convulsiones
 Signos de dificultad respiratoria
 Incapacidad para beber líquidos
 Alteraciones de conciencia (anormalmente somnoliento)
 Cianosis o estridor
 Si la fiebre persiste más de 2 a 3 días replantear el diagnóstico
 Control radiográfico si:
 los síntomas clínicos persisten o empeoran
 hay evidencia inicial de una complicación
Criterios de egreso
 Control del cuadro infeccioso
 Aceptación y tolerancia a la vía oral y
 Comprensión y compromiso de la familia con el tratamiento.
Consideraciones especiales:
 La mejoría clínica antecede a la
radiológica.
 No utilizar penicilina benzatínica, ni oral
 Alérgicos a la penicilina  macrólido o
cefalosporina.
 Clindamicina
 Útil para el neumococo aún con
sensibilidad disminuida
 Antibiótico de segunda línea.
 Macrólidos  Similar utilidad  Escogencia
según costos y tolerancia
 La mayoría de las veces la monoterapia es
suficiente.
 Pensar en H. influenza en lactantes y niños que
no han recibido las dosis completas
Derrame paraneumonico pleural y empiema
 Terapia empírica
 Oxacilina + cefalosporina 3ª generación (cefotaxime o
ceftriaxona) o cloramfenicol
 Cefuroxime (cefalosporina 2ª generación)
 Buena actividad contra neumococo
 Resistente a varias lactamasas del Staphylococcus, H. influenzae y
otras bacterias.
 Alcanza concentraciones bronquiales de 1-5 mcg/ml y
aproximadamente 15 mcg/ml en líquido pleural
Derrame paraneumonico pleural y empiema
 Administrar AB – IV varios días después de controlada la fiebre.
 10 días IV y dos semanas VO
 Definir la necesidad de drenaje y método
 hacerlo en menos de 12 horas.
 Un sólo criterio de empiema = colocar tubo de tórax
 “Un ph ácido daña el pulmón y es una urgencia similar a una herida de
tórax.”
 “El tubo de tórax se retira cuando el drenaje sea menor a 50 cc por día y el
líquido sea claro y esté siendo tratada la condición de base.”
Gracias

Neumonia en pediatria

  • 1.
    Neumonía en pediatría LuisFelipe Rojas Salamanca
  • 2.
    Introducción  Definición  Neumonía: Infección del parénquima pulmonar  “Presencia de síntomas y signos respiratorios agudos (menores de 15 días), acompañados de taquipnea de acuerdo a la edad, con o sin fiebre, asociados a infiltrados pulmonares en las radiografía.”  Taquipnea  reconocimiento  Tiraje subcostal  Gravedad de la misma  Neumonía Adquirida en la Comunidad  Se adquiere fuera del ámbito hospitalario
  • 3.
    Introducción  Definición  NeumoníaAtípica:  Infección del parénquima pulmonar  >f  Mycoplasma pneumoniae  Chlamydia trachomatis  Virus  >f:  Afebril  Sin compromiso general  Obstrucción bronquial
  • 4.
    Introducción  Definición  Neumoníacomplicada  Infección del parénquima pulmonar  Inflamación alveolar +  Absceso  Colección de material purulento dentro del parénquima pulmonar  Borde bien definido  Reacción inflamatoria peri- lesional.  Derrame paraneumónico  Inflamación de la pleura  Colección de líquido pleural no purulento  Empiema  Colección de material purulento en la cavidad pleural.
  • 6.
    Etiología  Etiología segúnedad:  1-3 meses*:  Chlamydia trachomatis  Virus sincitial respiratorio (VSR)  Parainfluenza tipo 3  Streptococcus pneumoniae  Bordetella pertussis  Staphylococcus aureus  Los niños entre los 2 y 3 meses, comparten agentes etiológicos del grupo menor y mayor  3 meses a 5 años:  VSR  Parainfluenza  Influenzae virus  Adenovirus  Rinovirus  Streptococcus pneumoniae  Haemophilus influenzae tipo B y no tipificable  Mycoplasma pneumoniae  Chlamydia pneumoniae  Staphylococcus aureus  Mycobacterium tuberculosis
  • 7.
    Etiología  5 a17 años:  Mycoplasma pneumoniae  Streptococcus pneumoniae  Staphylococcus aureus  Chlamydia pneumoniae  Mycobacterium tuberculosis
  • 8.
    Etiología  Países desarrollados La mayoría de neumonías son de origen viral  VSR (25% a 29%)  Adenovirus, Parainfluenza e Influenzae, especialmente en niños menores de 2 años (39% a 80%)  Mycoplasma pneumoniae y la Chlamydia pneumoniae  Niños mayores de 5 años (42% y 20% respectivamente)  Niños de 3 a 4 años (23% para ambos gérmenes)  Chlamydia trachomatis.  Considerar en el Niño menor de 3 meses.
  • 9.
    Etiología  6 estudiosen 9 países europeos (Evidencia I) – 1.375 niños  Neumonías adquiridas en la comunidad  Bacterianas 51%,  S. pneumoniae: 24%  M. pneumoniae: 12%  H. influenzae: 10%  M. catarralis: 5%.  Virales 43%  VSR 20%  Rhinovirus, Parainfluenza, Adenovirus 5%  Influenzae A y B < %  18% gérmenes mixtos
  • 10.
    Etiología  Países envías de desarrollo  Las Bacterias juegan un papel más importante  Factores de riesgo (Evidencia II).  Desnutrición  Carencia de inmunizaciones  Colonización temprana por gérmenes patógenos en nasofaringe  Condiciones ambientales (hacinamiento, contaminación)  Factores socioeconómicos
  • 11.
    Etiología  13 estudios (Colombia, Brasil, Chile, Gambia, India, Nigeria y Filipinas, entre otros)  Punción pulmonar en niños hospitalizados por neumonía, sin tratamiento previo  Bacterias 55%  S. pneumoniae en 46%  H. influenzae en 28%  S. aureus en 9%  Otras en 17%.  *Flora habitual de la nasofaringe y estado de portador de gérmenes patógenos desde temprana edad
  • 12.
    Severidad según edad: OMS – criterios eficientes de entrada a estudio de neumonía  Tos  Cualquier grado de dificultad para respirar  “Respiración rápida“  signo de mayor rendimiento y mejor pronosticador de neumonía en niños  La fiebre no es un criterio útil.  * “En los Lactantes menores de 2 meses y los niños mayores son diferentes las manifestaciones clínicas y la etiología de la neumonía.”
  • 13.
    Severidad según edad: OMS – f respiratoria normal por grupo de edad  Menor de 2 meses: hasta 60/min.  De 2 meses a 1 año: hasta 50/min.  De 1 año hasta 5 años: hasta 40/min.  Tiraje sub-costal  Neumonía grave  “La progresión y agravamiento de la neumonía hacen perder gradualmente la distensibilidad pulmonar”
  • 14.
    Clasificación según severidad(OPS/OMS):  Niños entre 2 meses y 4 años de edad con tos o dificultad para respirar:  Enfermedad muy grave (Neumonía en pcte séptico)  No puede beber  Presenta convulsiones  Estridor en reposo  Desnutrición grave  Anormalmente somnoliento  Mal llenado capilar  Taquicardia  Taquipnea  Hipotensión  Cianosis.  Neumonía grave  Tiraje subcostal con o sin taquipnea.  Neumonía  Taquipnea pero sin tiraje.  2 meses a 11 meses:> 50 por min  1 año a 4 años: > 40 por min  No es Neumonía (tos o resfriado)  No tiene tiraje  No tiene taquipnea
  • 15.
    Clasificación según severidad(OPS/OMS):  Niños de 1 semana a 2 meses:  Signos de posible infección bacteriana, incluyendo neumonía grave son:  Frecuencia respiratoria elevada: mayor de 60/min  Tiraje subcostal severo  Aleteo nasal  Quejido o estridor Los niños de esta edad pueden enfermar y morir rápidamente  “En ellos toda neumonía es grave”  Convulsiones  Dejar de comer bien  Somnolencia anormal  Fiebre o hipotermia  Fontanela abombada o tensa  Drenaje purulento por oído  Eritema periumbilical extendido  Pus en el ombligo  Pústulas dérmicas  Disminución de los movimientos.
  • 16.
    Tipos de neumonía Neumonías virales:  Afectan la vía aérea baja (periférica, parénquima pulmonar, >f  intersticio)  Neumonitis o Neumonía intersticial  Compromiso variable del tejido peribronquial y de las vías aéreas pequeñas.  Endémica y epidémica  Patrón climatológico  Clínica:  Inicio  IRA alta  Post  Componente obstructivo  Tos, sibilancias, roncus, movilización de secreciones y prolongación del tiempo espiratorio.   Neumonitis y bronquiolitis  Un diagnóstico no descarta otro
  • 17.
    Tipos de neumonía Neumoníasatípicas: • Infecciones respiratorias bajas • Afebriles • Respuesta sistémica inflamatoria rara vez intensa • Cuadro bronco-obstructivo • No responden a penicilina pero si a macrólidos • >f Dejan secuelas de tipo obstructivo. • Microorganismos  > f involucrados: • Mycoplasma pneumoniae • Chlamidya trachomatis • Chlamydia pneumoniae • Legionella pneumophila • Coxiella burnetti (fiebreQ) • Ricketssias
  • 18.
    Tipos de neumonía •Neumonía por Haemophilus influenzae • Bacilo anerobio facultativo, gram negativo • Hay cepas rodeadas por una cápsula de hidratos de carbono que es antifagocítica. • Clasificación • Capsulados o cepas tipificables • No encapsulados o cepas no tipificables • Hay 7 serotipos de H. influenzae Tipos de neumonía
  • 19.
    Neumonía por Haemophilusinfluenzae La cápsula es el factor de virulencia primario Se recupera de la nasofaringe como comensal Hacia los 3 meses de vida casi todos los niños transportan el microorganismo Las cepas comensales no son encapsuladas a diferencia de las que producen enfermedad.
  • 20.
    Tipos de neumonía Neumoníapor Haemophilus influenzae • Invade el epitelio respiratorio • Evade la fagocitosis e ingresa al torrente circulatorio por los linfáticos • Provoca en la submucosa respuesta inflamatoria con edema. Los niños no producen antígenos anticapsulares antes de los dos años de edad *La vacuna protege contra las cepas capsulares mas no de las cepas no capsulares o no tipificables.
  • 21.
    Tipos de neumonía Neumoníapor Streptococcus pneumoniae (neumococo):  El neumococo es la principal causa de hospitalización,  Causa anualmente  3.000 casos de meningitis  50.000 casos de bacteremia  500.000 casos de neumonía  7 millones de otitis media  40.000 muertes por neumococo invasivo.
  • 22.
    Tipos de neumonía Neumoníapor Streptococcus pneumoniae (neumococo):  Principal causa de neumonía adquirida en la comunidad, otitis media y sinusitis  Ocasiona entre 17% a 40% de las neumonías  Es el germen que con mayor frecuencia causa derrame paraneumónico  En ausencia de anticuerpos específicos de subtipo, la cápsula es un importante factor de virulencia  evita la fagocitosis
  • 23.
    Tipos de neumonía Neumoníapor Streptococcus pneumoniae (neumococo):  Puede causar en niños enfermedades invasivas o no invasivas.  Patologías invasivas  Bacteremia oculta (70% en los menores de 2 años)  Neumonía (1219%)  Meningitis  Patologías locales  Otitis media  Sinusitis  Neumonías
  • 24.
    Tipos de neumonía Neumoníapor Streptococcus pneumoniae (neumococo):  Máximo pico de incidencia de Enf. invansiva  (menores de 2 años)  Entre 6 a 11 meses y entre 12 a 23 meses  Es el germen más frecuente en niños entre los 2 meses a 5 años.  La asistencia a la guardería es un factor de riesgo de consideración.
  • 25.
    Tipos de neumonía Neumoníapor Staphylococcus aureus:  Se ha asociado históricamente a la presencia de empiema (88% a 90% en series de casos)  La mayoría de los casos ocurre en infantes previamente sanos  factores predisponentes  Edad (menores de un año)  Enfermedad pulmonar crónica  Inmunosupresión  Presencia de cuerpos extraños  Infecciones en la piel y uso concomitante de antibióticos  Influenza
  • 26.
    Tipos de neumonía Neumoníapor Staphylococcus aureus:  Vía aerógena  Influenza  Pacientes debilitados y/o hospitalizados  Laringotraqueítis  Vía hematógena  Fístula arteriovenosa infectada  Drogadictos  Endocarditis bacteriana  Infecciones óseas  Infecciones de la piel  Síndrome de shock tóxico.
  • 27.
    Orientación diagnóstica porpreguntas clave:  ¿El paciente con cuadro clínico respiratorio agudo tiene una infección respiratoria alta o baja?  Si es una infección respiratoria baja, ¿es bronquiolitis o neumonía?  Si es neumonía, ¿es viral o bacteriana (clásica o atípica)?
  • 28.
    Orientación diagnóstica porpreguntas clave:  ¿El paciente con cuadro clínico respiratorio agudo tiene una infección respiratoria alta o baja?  IRA alta  Rinofaringitis, amigdalitis, otitis, sinusitis o laringitis (tos, rinorrea, obstrucción nasal, coriza, fiebre, odinofagia, otalgia, malestar general)  * “Distinguir entre los lactantes menores de 2 meses y los niños mayores por ser diferente las manifestaciones clínicas y la etiología.”  Neumonía – Compromiso respiratorio bajo  Aumento de la frecuencia respiratoria – El mas útil predictor  Otros: Apariencia clínica, presencia de crépitos y retracciones (Evidencia II-2, Recomendación B).
  • 29.
    Orientación diagnóstica porpreguntas clave:  ¿El paciente con cuadro clínico respiratorio agudo tiene una infección respiratoria alta o baja?  Evaluación de la taquipnea  Conteo de la frecuencia respiratoria con el niño tranquilo durante un minuto completo (OMS)  validez
  • 30.
    Orientación diagnóstica porpreguntas clave:  ¿El paciente con cuadro clínico respiratorio agudo tiene una infección respiratoria alta o baja?  Tiraje subcostal  Mayor riesgo de muerte (Evidencia II-3, Recomendación C)  En el niño menor de 2 meses, debe ser severo, pues normalmente tiene un tiraje ligero dada la maleabilidad de su caja torácica  Signos predictivos de muerte por neumonía de Shan (Evidencia II-3,Recomendación C)  Cianosis  Incapacidad para ingerir líquidos  Quejido espiratorio  Rayos X con cambios severos  Pctes desnutridos afebriles.  Aleteo nasal (Spooner, Evidencia II-3,Recomendación C)
  • 31.
    Orientación diagnóstica porpreguntas clave:  ¿El paciente con cuadro clínico respiratorio agudo tiene una infección respiratoria alta o baja?  Examen físico (Evidencia III, Recomendación C)  Síndrome de condensación pulmonar:   del murmullo vesicular del lado afectado  Estertores no modificables con la tos ni con las maniobras de higiene bronquial.  Soplo tubárico,  de las transmisiones vocales, broncofonía y la pectoriloquia áfona  Síndrome de derrame pleural asociado  Matidez a la percusión  Disminución de las vibraciones vocales  Ausencia de murmullo vesicular completan el  Posición antálgica
  • 32.
    Orientación diagnóstica porpreguntas clave:  ¿Si es una infección respiratoria baja, ¿es neumonía o bronquiolitis?  Bronquilitis  Taquipnea  Signos de dificultad respiratoria aguda  Cuadro predominantemente broncoobstructivoç  Época de epidemia  < de 2 años  Es primer episodio.  Episodios recurrentes  Asma
  • 33.
    Pruebas de laboratorio: Cuadro hemático  Parámetro de base para ver deterioro o mejoría.  No logran diferenciar entre neumonía viral y bacteriana (Evidencia II-l, Recomendación D)  Leucocitosis de más de 15.000/mm3  VSG mayor de 30  PCR mayor de 60  Neumonías virales o atípicas  Puede haber leucocitosis o leucopenia.  Neumonía bacteriana  Leucopenia  indica gravedad (Evidencia III)
  • 34.
    Pruebas de laboratorio: Procalcitonina: •Se eleva en repuesta a bacteremia o fungemia • Se relaciona con la severidad de la infección • Es el reactante de fase aguda que mejor discrimina entre neumonía bacteriana y viral  valores > de 1µg/lt • Sensibilidad de 86% y especificidad de 87,5% • Valor predictivo positivo de 90,2% • Valor predictivo negativo de 80%. (Evidencia II. Recomendación B).
  • 35.
    Pruebas de laboratorio: Hemocultivos:  Resultados positivos  10 al 30% (Evidencia II.)  Recomendados en:  Evolución desfavorable  Formas graves de neumonía  Sospecha de gérmenes resistentes  Formas inusuales  Utilidad disminuida con previoTt. antibiótico
  • 36.
    Pruebas de laboratorio: Pulso-oximetría:  Cianosis  Signo de máxima gravedad  Predictivo de muerte en neumonía  Hipoxemia   riesgo de muerte por neumonía (Evidencia II)  Debe tomarse en todo niño que sea admitido en el hospital con neumonía (Recomendación B)
  • 37.
    Pruebas de laboratorio: Estudio Del Derrame Pleural:  Todo derrame asociado a neumonía debe puncionarse sin importar el tamaño (Evidencia II. B, Recomendación C) para:  Identificar el agente etiológico  Distinguir los derrames complicados de los no complicados  Recuento de glóbulos blancos: total y diferencial  Glucosa, ph y deshidrogenasa láctica  Proteínas  Gram y cultivo para gérmenes comunes y anaerobios  ZN y cultivo para mycobacterias (si hay sospecha)  Pruebas de diagnóstico rápido (búsqueda de Ags) para H. influenzae tipo b, S. pneumoniae y Streptococcus del grupo B.
  • 38.
    Pruebas de laboratorio: Estudio Del Derrame Pleural:  Criterios de empiema  Visualización de pus  Visualización de bridas o tabiques en la toratoscopia.  Efusiones tabicadas vistas por radiografía oTAC.  Identificación de un patógeno bacteriano en el líquido pleural  Líquido pleural con DHL mayor a 1.000 IU por litro  Glucosa menor de 40mg/dl. (104, 105)(Evidencia II, B).
  • 39.
    Pruebas de laboratorio: Estudio Del Derrame Pleural:
  • 40.
    Evaluación radiológica:  Confirmacióndel diagnóstico de neumonía  Dos patrones  Alveolar e intersticial. ¿viral o intersticial?  Signos de neumonía bacteriana:  50% casos  Infiltrados alveolares en parche o consolidación lobar o de distribución subsegmentaria  También se pueden encontrar en neumonías virales y atípicas.  Neumatoceles, abcesos pulmonares
  • 42.
    Evaluación radiológica:  Confirmacióndel diagnóstico de neumonía  Neumonía viral  Hiperaireación o atrapamiento aéreo  Infiltrados intersticiales de distribución difusa o parahiliar  Engrosamiento peribronquial (manguitos)  Atelectasias o microatelectasias especialmente en LSD y LM.  < f  efusión pleural  peq. y no progresiva (Evidencia III)
  • 43.
    Orientación terapéutica porpreguntas clave  ¿Cúal es el antibiótico de primera elección en el paciente ambulatorio y cual es en el hospitalizado según edad y factores de riesgo en la neumonía adquirida en la comunidad ?  ¿Debe modificarse el manejo de las neumonías en el país, por la resistencia actual a betalactámicos ?  ¿Cuales son los criterios de hospitalización ?  ¿Cuales son las medidas de soporte recomendadas ?  ¿Cómo se realiza el seguimiento?  ¿Cómo se evalúa el paciente con derrame?  ¿Cuales son la recomendaciones sobre vacunas para los gérmenes involucrados?
  • 44.
    Manejo  ¿Cuál esel antibiótico de primera elección en el paciente ambulatorio y cual en el hospitalizado, según edad y factores de riesgo en la neumonía adquirida en la comunidad ?
  • 45.
    Manejo  Manejo ambulatorio: Paciente previamente sano  Neumonía adquirida en la comunidad  Sin factores de riesgo  No está críticamente enfermo  De 1 a 3 meses:  Afebril:  Eritromicina: 30 a 40 mg/kg/día por 2 semanas   en menores de tres semanas (riesgo: hipertrofia del píloro)  azitromicina o claritromicina  Azitromicina: 10 mg/kg/día (1 dosis), primer día y después 5 mg/kg/día, por 4 días más  Claritromicina: 15 mg/kg/día por 2 semanas .  Hospitalice el menor de 2 meses, si hay fiebre (posibilidad de neumonía clásica) o hipoxemia.
  • 46.
    Manejo  De 3meses a 5 años:  Afebril  Macrólidos  Febril  Amoxacilina: 50 mg/kg/día (3 dosis)  Penicilina procaínica: 25.000 a 50.000 u/kg/día I.M (1 dosis diaria)  Trimetoprim œ sulfa (TMS): 8 mg/kg/día (2 dosis)(Ministerio de Salud,AIEPI OPS/OMS)  Segunda línea:  cefuroxime acetil: 30 mg/kg/día (2 dosis)  Amoxacilina/clavulanato 50 mg/kg/día (2 dosis).
  • 47.
    Manejo  Mayores de5 años:  Neumonía atípica  Macrólidos considerados anteriormente  Neumonía clásica:  Amoxacilina ó penicilina procaínica a dosis mencionadas.  Segunda línea: cefuroxime acetil.
  • 48.
    Manejo  Manejo hospitalario: Paciente previamente sano  Neumonía adquirida en la comunidad  Sin factores de riesgo  No está críticamente enfermo  De 1 a 3 meses:  Afebril  Macrólidos  Deterioro clínico o aparición de fiebre  adicionar:  Ampicilina 150 a 200 mg/kg/día I.V. (4 dosis).  Segunda línea  Cefuroxime: 150 mg/kg/día I.V.(en 3 dosis)  Cefotaxime: 100 a 150 mg/kg/día I.V. (2 o 3 dosis)(118,119).
  • 49.
    Manejo  De 3meses a 5 años  Ampicilina ó penicilina cristalina: 200.000 a 300.000 u/kg/día (max: 4.000.000 u/dosis) (4 a 6 dosis).  Segunda línea  cefuroxime ó cefotaxime  ampicilina/sulbactam I.V. 100 a 200 mg/kg/día (4 dosis)  Mayor de 5 años:  Sospecha de neumonía atípica  Macrólidos  Sospecha de neumonía clásica o no respuesta al tratamiento ambulatorio  Penicilina cristalina (primera línea)  cefuroxime (segunda línea)
  • 50.
    Manejo Hospitalario  Pctepreviamente sano  Neumonía adquirida en la comunidad  Sin factores de riesgo  críticamente enfermo  estado séptico  Hipoxia  Hipotensión  Taquicardia  Mal perfundido  Cianosis  Compromiso multilobar  Tiraje subcostal
  • 51.
    Manejo Hospitalario  De1 a 3 meses:  Ampicilina 200 mg/kg/día I.V. + cefotaxime: 100 mg/kg/día I.V. (en 2 o 3 dosis)  Ampicilina: 200mg/kg/día I.V. + amikacina 15 mg/kg/día (1 dosis) ó gentamicina 5 mg/kg/día.  deben ser monitorizados con niveles séricos Los aminoglucósidos.  De 3 meses a 5 años:  Cefuroxime ó cefotaxime ó ceftriaxona: 100mg/kg/día, I.V. (2 dosis)  Staphylococcus aureus  cefalosporinas de tercera generación  oxacilina: 200 mg/kg/día, I.V. (4 dosis)  Vancomicina: 40 a 60 mg/kg/día, I.V., (4 dosis).  Mayores de 5 años:  Cefuroxime I.V ó cefotaxime ó ceftriaxona.  Considerar asociar macrólido.
  • 52.
    ¿Cuáles son loscriterios de hospitalización?  Edad: < 2 meses  Apnea  Signos de dificultad respiratoria (tiraje subcostal, aleteo nasal, cianosis, quejido espiratorio)  Hipoxemia (saturación < 92% a nivel del mar)  Aspecto tóxico  Incapacidad para ingerir líquidos o para alimentarse  Falta de respuesta al tratamiento ambulatorio  Presencia de complicaciones (derrame pleural o absceso pulmonar)  Enfermedad subyacente y/o compromiso inmunológico  Residir en un sitio no óptimo para manejo o incompetencia familiar para el tratamiento.
  • 53.
    ¿Cuáles son lasmedidas de soporte recomendadas?  Continuar alimentación a libre demanda  Permeabilizar las fosas nasales con suero fisiológico  Manejo de la fiebre: si es mayor de 38.5º administrar acetaminofén (10 a 15 mg/kg/dosis)
  • 54.
    Recomendaciones en elniño hospitalizado:  Pulso-oximetría al ingreso y para seguimiento  Oxigenoterapia  indicada para sat. > 92%  Líquidos endovenosos si:  Pcte no acepta o no tolera la vía oral  trastornos de conciencia  Pcte con DHT o compromiso de estado general  Riesgo de secreción inadecuada de hormona antidiurética  Corregir la hipovolemia  Continuar al 80% de los requerimientos basales  Monitorizar función renal y electrolitos.
  • 55.
    ¿Como se realizael seguimiento?:  El esquema debe durar entre 7 y 10 días  El cambio de la vía venosa a oral se realizará con el control del proceso infeccioso  Manejo ambulatorio  control a las 48 a 72 horas o antes si hay:  Convulsiones  Signos de dificultad respiratoria  Incapacidad para beber líquidos  Alteraciones de conciencia (anormalmente somnoliento)  Cianosis o estridor  Si la fiebre persiste más de 2 a 3 días replantear el diagnóstico  Control radiográfico si:  los síntomas clínicos persisten o empeoran  hay evidencia inicial de una complicación
  • 56.
    Criterios de egreso Control del cuadro infeccioso  Aceptación y tolerancia a la vía oral y  Comprensión y compromiso de la familia con el tratamiento.
  • 57.
    Consideraciones especiales:  Lamejoría clínica antecede a la radiológica.  No utilizar penicilina benzatínica, ni oral  Alérgicos a la penicilina  macrólido o cefalosporina.  Clindamicina  Útil para el neumococo aún con sensibilidad disminuida  Antibiótico de segunda línea.  Macrólidos  Similar utilidad  Escogencia según costos y tolerancia  La mayoría de las veces la monoterapia es suficiente.  Pensar en H. influenza en lactantes y niños que no han recibido las dosis completas
  • 58.
    Derrame paraneumonico pleuraly empiema  Terapia empírica  Oxacilina + cefalosporina 3ª generación (cefotaxime o ceftriaxona) o cloramfenicol  Cefuroxime (cefalosporina 2ª generación)  Buena actividad contra neumococo  Resistente a varias lactamasas del Staphylococcus, H. influenzae y otras bacterias.  Alcanza concentraciones bronquiales de 1-5 mcg/ml y aproximadamente 15 mcg/ml en líquido pleural
  • 59.
    Derrame paraneumonico pleuraly empiema  Administrar AB – IV varios días después de controlada la fiebre.  10 días IV y dos semanas VO  Definir la necesidad de drenaje y método  hacerlo en menos de 12 horas.  Un sólo criterio de empiema = colocar tubo de tórax  “Un ph ácido daña el pulmón y es una urgencia similar a una herida de tórax.”  “El tubo de tórax se retira cuando el drenaje sea menor a 50 cc por día y el líquido sea claro y esté siendo tratada la condición de base.”
  • 60.