UNIVERSIDAD TECNOLÓGICAUNIVERSIDAD TECNOLÓGICA
EQUINOCCIALEQUINOCCIAL
PÆDSPÆDS -- VV
MA HinojosaMA Hinojosa--Sandoval 2015Sandoval 2015
http://es.slideshare.net/MAHINOJOSA45/neumona-2015
•• Es una de las principales causa de muerte enEs una de las principales causa de muerte en
menores de 5 años.menores de 5 años.
•• Los países en vías de desarrollo son los másLos países en vías de desarrollo son los más
afectados.afectados.
•• La forma bacteriana aumenta en posibilidadLa forma bacteriana aumenta en posibilidad
diagnóstica a medida que crece el niñodiagnóstica a medida que crece el niño
•• La edad es el mejorLa edad es el mejor predictorpredictor microbiológico.microbiológico.
•• En la etiología bacteriana la fiebre y losEn la etiología bacteriana la fiebre y los
síntomas respiratorios se encuentran en mássíntomas respiratorios se encuentran en más
del 90%del 90%
•• Las vacunas han disminuido la prevalencia yLas vacunas han disminuido la prevalencia y
letalidad de las neumoníasletalidad de las neumonías
IRAIRA –– BAJABAJA –– NEUMONIANEUMONIA
IRA BAJAIRA BAJA -- TOPOGRAFÍATOPOGRAFÍA
IRA BAJAIRA BAJA –– IRA ALTA ¿?¿?IRA ALTA ¿?¿?
Distribución de la Mortalidad de menoresDistribución de la Mortalidad de menores
de 5 años Ecuador . INEC 2013de 5 años Ecuador . INEC 2013
36%
33%
31%
< 1 mes
1 -11 meses
1-4 años
ECUADOR: DIEZ PRINCIPALES CAUSASECUADOR: DIEZ PRINCIPALES CAUSAS
DE MUERTE EN LA NIÑEZDE MUERTE EN LA NIÑEZ
FUENTE: Estadísticas VitalesFUENTE: Estadísticas Vitales –– INEC AÑOINEC AÑO: 2011: 2011
País - Causas principales
% n
TOTAL PAÍS 2,712
Ciertas afecciones originadas en el período prenatal 33.2 902
Malformaciones congénitas, deformidades y anomalías
cromosómicas
12.7 347
Influenza y neumonía 9.7 265
Accidentes de transporte terrestre 4.3 119
Enfermedades infecciosas intestinales 2.6 73
Accidentes que obstruyen la respiración 2.6 73
Ahogamiento y sumersión accidentales 2.1 59
Desnutrición y anemias nutricionales 1.4 39
Enfermedades respiratorias agudas excepto influenza y
neumonía
1.4 39
Septicemia 1.2 33
Causas mal definidas 10.3 281
Resto de causas 17.7 482
Principales causas de MortalidadPrincipales causas de Mortalidad
Infantil. EcuadorInfantil. Ecuador
64%
36%
Ecuador: Mortalidad infantil por
causas respiratorias
Fuente:INEC 2011. Relizado por MA Hinojosa 2015
Respiratorios
Otros
ECUADOR: IRA en menores deECUADOR: IRA en menores de
cinco años.cinco años.
Fuente SIISE. Realizado por MA Hinojosa 2015Fuente SIISE. Realizado por MA Hinojosa 2015
INDICADOR: % deINDICADOR: % de
niños/as que en lasniños/as que en las
dos semanasdos semanas
anteriores a laanteriores a la
encuesta,encuesta,
presentaron IRApresentaron IRA
Ira con y sin neumonía CIE 10Ira con y sin neumonía CIE 10
63 ENFERMEDADES respiratorias con63 ENFERMEDADES respiratorias con
231 clasificaciones231 clasificaciones
7 corresponden a neumonía con 297 corresponden a neumonía con 29
clasificacionesclasificaciones
CLASIFICACION INTERNACIONAL DE ENFERMEDADES CIE10 - OMS www.medicin.com.ar
IRA BAJAIRA BAJA -- NEUMONÍANEUMONÍA
Si el niño/niña tiene: El niño/niña tiene respiración rápida si
usted cuenta:
0 a 2 meses:
2 a 11 meses:
12 meses a 4 años:
60 respiraciones por minuto.
50 respiraciones o más por minuto.
40 respiraciones o más por minuto.
espira respiración inspira
Aleteo nasal: con la inspiración, los costados de las aletas nasales se
ensanchan hacia afuera
IRA BAJAIRA BAJA -- NEUMONÍANEUMONÍA
IRAIRA BAJA:BAJA:
1. SDR I (neonatal). 2.NEUMONÍA1. SDR I (neonatal). 2.NEUMONÍA
3.3. QuilotóraxQuilotórax
congénitocongénito
IRA BAJA:IRA BAJA:
4. Aspiración4. Aspiración dede Meconio e HipertensiónMeconio e Hipertensión
Pulmonar Neonatal PersistentePulmonar Neonatal Persistente
IRA BAJA:IRA BAJA:
4. Aspiración4. Aspiración dede Meconio e HipertensiónMeconio e Hipertensión
Pulmonar Neonatal PersistentePulmonar Neonatal Persistente
IRA BAJAIRA BAJA –– 5. NEUMOTÓRAX5. NEUMOTÓRAX
IRA BAJA:IRA BAJA:
6.6. HerniaHernia DiafragmáticaDiafragmática congénitacongénita
Si seSi se sospechasospecha unauna herniahernia diafragmaticadiafragmatica ,se,se debedebe
evitarevitar ventilacionventilacion aa presionpresion positivapositiva con mascara.con mascara.
IntubeIntube inmediatamenteinmediatamente lala traqueatraquea ee inserteinserte unauna
sondasonda orograstricaorograstrica dede dobledoble lumen.lumen.
FuncionFuncion PulmonarPulmonar disminuidadisminuida::
HerniaHernia DiafragmaticaDiafragmatica congenitacongenita
IRA BAJA:IRA BAJA:
7. AGENESIA PENTALOGIA7. AGENESIA PENTALOGIA DE CANTRELLDE CANTRELL
IRA BAJA: 8. SITUS INVERSUSIRA BAJA: 8. SITUS INVERSUS
YY SdSd DE KARTAGENERDE KARTAGENER
Trastorno autosómico recesivo caracterizado por
DEXTROCARDIA, INFERTILIDAD Y SINUSITIS
Por mutaciones en los genes de DINEINA que
codifican proteínas de movilidad componentes de
las colas de los espermatozoides y de los cilios
respiratorios y tubáricos.
Llamada también:Discinesia Ciliar Primaria o
Tríada de Kartagener
SITUS INVERSUSSITUS INVERSUS
http://www.lookfordiagnosis.com/mesh_info.php?term=S%C3%ADndrome+De+Kartag
ener&lang=2
IRA BAJA: 9.TBIRA BAJA: 9.TB
IRA BAJA: 9.TBIRA BAJA: 9.TB
IRA BAJA:IRA BAJA:
10.QUISTES10.QUISTES
IRA BAJA: 11.CUERPO EXTRAÑOIRA BAJA: 11.CUERPO EXTRAÑO
IRA BAJA:IRA BAJA:
12. POST QUIRURGICOS12. POST QUIRURGICOS
Infección por
pseudomona
Post Clip de PCA
IRA BAJAIRA BAJA -- NEUMONÍANEUMONÍA
Interrogatorio clínicoInterrogatorio clínico
Preste atención especial a lo siguiente:Preste atención especial a lo siguiente:
••tostos
••duración en díasduración en días
••paroxismos con estertores o vómitos o cianosisparoxismos con estertores o vómitos o cianosis
centralcentral
••exposición a algún miembro de la familia conexposición a algún miembro de la familia con
tuberculosis (o tos crónica)tuberculosis (o tos crónica)
••antecedentes de vacunación: DPT, sarampión,antecedentes de vacunación: DPT, sarampión,
BCGBCG
••antecedentes de atragantamiento o apariciónantecedentes de atragantamiento o aparición
súbita de síntomassúbita de síntomas
••infección por el VIH comprobadainfección por el VIH comprobada
••antecedentes personales o familiares de asma.antecedentes personales o familiares de asma.
IRA BAJAIRA BAJA -- NEUMONÍANEUMONÍA
Exploración física
General
•• Cianosis centralCianosis central
•• Quejido espiratorioQuejido espiratorio
•• Aleteo nasalAleteo nasal
•• Cabeceo (movimiento de la cabeza sincrónico conCabeceo (movimiento de la cabeza sincrónico con
la inspiración que indica el uso de músculosla inspiración que indica el uso de músculos
accesorios en dificultad respiratoria grave)accesorios en dificultad respiratoria grave)
•• Presión venosa yugular elevada (PVY)Presión venosa yugular elevada (PVY)
•• SibilanciasSibilancias
••Estridor inspiratorio.Estridor inspiratorio.
IRA BAJAIRA BAJA -- NEUMONÍANEUMONÍA
Tórax
 Taquipnea : Contar la Frecuencia respiratoria
durante 1 minuto completo, cuando el niño está
tranquilo, descubierto el tórax y limpia la vía aérea)
Retracción subcostal
latido del ápice desplazado/tráquea desplazada
de la línea media
ritmo de galope del corazón en la auscultación
 Percusión: derrame pleural (sonido mate a la
percusión) o neumotórax (hiperresonancia)
Auscultación: estertores crepitantes o sonidos de
respiración bronquial.
IRA BAJAIRA BAJA -- NEUMONÍANEUMONÍA
EVALUACIÓN DE LAS SIBILANCIASEVALUACIÓN DE LAS SIBILANCIAS
Investigación clínica
episodios anteriores de sibilancias
respuesta a los broncodilatadores
diagnóstico de asma o tratamiento a largo plazo
para el asma.
Exploración física
sibilancias en la espiración
espiración prolongada
sonido de percusión resonante
tórax hiperinsuflado
estertores roncos a la auscultación.
EN SEGUIDA, PREGUNTAR SOBRE LOS SÍNTOMAS PRINCIPALES:
¿Tiene el niño / niña tos o dificultad para respirar? SIGNOS
SI LA RESPUESTA ES AFIRMATIVA:
PREGUNTAR OBSERVAR, ESCUCHAR:
¿Cuánto tiempo hace?  Contar las
respiraciones en un minuto
 Observar si hay tiraje subcostal
 Observar y escuchar si hay estridor
 Observar y escuchar si hay sibilancias
 Cualquier signo de peligro
en
general, o
Tiraje subcostal, o
 Estridor en reposo
NEUMONÍA GRAVE O
ENFERMEDAD MUY
GRAVE
 Dar la primeradosis de un
antibiótico
apropiado.
 Si tiene sibilancia,dar un
broncodilatador de acción rápida.
 Referir URGENTEMENTE al
hospital*.
 Respiración rápida.
Si también tiene
SIBILANCIA
Refiérase al cuadro
TRATE LA SIBILANCIA NEUMONIA
 Dar un antibiótico apropiado
durante7
días.
 Tratar la sibilancia si tiene.
 Indicar a la madre cuándo debe
volver
urgentemente.
 Hacer seguimiento 2 días después.
 Ningún signo de neumonía
o de
enfermedad grave NO TIENE
NEUMONÍA:
RESFRIADO, GRIPE O
BRONQUITIS
 Si hace más de 30 días que el niño /
niña
tiene tos, referirlo para un examen.
 Tratar la SIBILANCIAsi tiene.
 Aliviar el dolor de garganta y la tos
con un
remedio casero.
 Indicar a los padres o cuidadores
cuándo
deben volver urgentemente.
 Indicar los padres o cuidadores que
regresen en 5 días para control.
Clasificar
TOS O
DIFICULTA
D PARA
RESPIRAR
Si el niño/niñatiene:
Respiración rápidaes:
Menor de dos meses
60 o más en un minuto
De dos a 11 meses
50 o más en un minuto
De 12 meses a 4 años 40 o más en un
minuto
CLASIFICAR
COMO
TRATAMIENTO
(Los tratamientos de urgencia que se
administran antes de la referencia del caso o
que se dan en el servicio se indican en
negritas)
El
niño/niñ
a tiene
que
estar
tranquilo
* Si no se puede referir al niño o niña cuidarle en la forma indicada en AIEPI: Tratar al niño / niña: Anexo
Casos en que no puede derivar al niño / niña y las normas de la OMS para el tratamiento en el hospital.
AIEPIAIEPI
IRA BAJAIRA BAJA :: AIAIEEPIPI-- NEUMONÍANEUMONÍA
SIGNO O SÍNTOMA CLASIFICACIÓN TRATAMIENTO
- Cianosis central
- Dificultad
respiratoria grave
(por ej, cabeceo)
- Incapacidad para
beber
Neumonía muy
grave
- Hospitalizar
- Antibiótico
- Administrar O2
- Despejar las vías
aéreas
- Tratar la fiebre
- Retracción de la
pared torácica
Neumonía grave
- Ingresar al
hospital
- Administrar
bencilpenicilina
- Despejar las vías
aéreas
- Tratar la fiebre
alta si existe
SIGNO O
SÍNTOMA
CLASIFICA
CIÓN
TRATAMIENTO
-Taquipnea
 60 RPM< 2 m
 50 RPM 2-12m
 40 RPM 1 a 5 a
-Estertores
crepitantes
Neumonía
-Cuidado en casa
-Antibióticos 7 días
-Aliviar la garganta y calmar
la tos
-Asesorar cuando volver :
en 2 días
-Enseñar signos de peligro
-Ningún signo de
neumonía, ni
neumonía grave o
muy grave
Sin
neumonía,
Tos o
resfriado
-Cuidado en casa
-Aliviar la garganta y calmar
la tos
-Cuándo volver: en 5 d
-Tos más de 30 días,
crónica
IRA BAJAIRA BAJA :: AIAIEEPIPI-- NEUMONÍANEUMONÍA
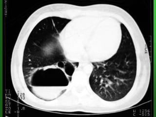
NEUMONIA LOBAR + ATELECTASIANEUMONIA LOBAR + ATELECTASIA
NEUMONÍANEUMONÍA
•• VIRALVIRAL
•• …BACTERIANA…BACTERIANA
RadiologíaRadiología
IRA BAJAIRA BAJA -- NEUMONÍANEUMONÍA
Complicaciones
Si el niño no ha mejorado después de dos
días, o si su estado ha empeorado, busque
posibles complicaciones, o cambie el
diagnóstico. Rx de tórax.
Las más comunes: a continuación.
IRA BAJAIRA BAJA -- NEUMONÍANEUMONÍA
Complicaciones
Neumonía estafilocócica: empeoramiento clínico
rápido a pesar del tratamiento, un neumatocele o un
neumotórax con derrame. Gram en esputo, o
crecimiento de S. aureus en el cultivo.
Trate con cloxacilina (50 mg/kg por inyección
intramuscular o intravenosa cada 6 horas) y
gentamicina (7,5 mg/kg IM o IV una vez al día).
Cuando el niño mejore, siga con cloxacilina por vía
oral 4 veces al día durante un total de 3 semanas.
Tenga en cuenta que la cloxacilina puede ser
sustituida por otro antibiótico antiestafilocócico,
como por ejemplo, la oxacilina, la flucloxacilina o la
dicloxacilina, vancomicina.
IRA BAJAIRA BAJA -- NEUMONÍANEUMONÍA
Complicaciones
Empiema.
Una fiebre persistente, y signos de derrame
pleural en la exploración clínica y en la
radiografía de tórax son signos indicativos.
Derrame pleural
IRA BAJAIRA BAJA -- NEUMONÍANEUMONÍA
ColeccionesColecciones intratorácicasintratorácicas
enen NeumoniaNeumonia
DerrameDerrame
pleuralpleural
Puede ocurrir en
forma aislada o
asociado a otras
alteraciones
pulmonares
(neumonía ),
mediastínicas o de la
pared torácica
AsmaAsma
•• Afección inflamatoria crónica conAfección inflamatoria crónica con
obstrucción reversible de las víasobstrucción reversible de las vías
respiratorias. episodios recurrentes derespiratorias. episodios recurrentes de
sibilanciassibilancias, tos, que responden al, tos, que responden al
tratamiento con broncodilatadores ytratamiento con broncodilatadores y
medicamentos antiinflamatorios. Losmedicamentos antiinflamatorios. Los
antibióticos deben administrarse sóloantibióticos deben administrarse sólo
cuando hay signos de neumoníacuando hay signos de neumonía
IRA BAJAIRA BAJA
Asma
• Diagnóstico
• Episodios recurrentes de sibilancias, con tos.
• Los hallazgos de la exploración clínica
pueden ser:
• hiperinsuflación del tórax
• tiraje de la pared torácica inferior
• espiración prolongada con sibilancias
audibles
• disminución de la entrada de aire, cuando la
obstrucción es grave
• ausencia de fiebre
• buena respuesta al tratamiento con
broncodilatador.
IRA BAJAIRA BAJA
Datos MundialesDatos Mundiales
Asma
•• La incidencia anual en menores de 5 años es deLa incidencia anual en menores de 5 años es de
34 a 40 casos34 a 40 casos casoscasos por 1000por 1000 habhab. en Europa y. en Europa y
USA.USA.
•• En países en vías de desarrollo las infeccionesEn países en vías de desarrollo las infecciones
respiratorias agudas constituyen el 25 % de larespiratorias agudas constituyen el 25 % de la
mortalidad infantil en menores de 5 años.mortalidad infantil en menores de 5 años.
•• EnEn SudámericaSudámerica y África la mortalidad oscila entrey África la mortalidad oscila entre
11 a 15 por 100011 a 15 por 1000 habshabs. En menores de 5 años.. En menores de 5 años.
•• No contamos con estadísticas nacionales.No contamos con estadísticas nacionales.
FACTORES DE RIESGOFACTORES DE RIESGO
Asma
- Sexo masculino
- Nivel socioeconómico bajo
- Exposición a humo de cigarrillo
- Cardiopatías congénitas
- Displasia broncopulmonar
- Fibrosis quística
- Desórdenes neuromusculares
- Desórdenes gastrointestinales
- Inmunodeficiencia congénita y adquirida
Neumonía adquirida en la comunidad en pediatría. Salud Uninorte. Barranquilla (Col.) 2007; 23 (2): 231-242
DiagnósticoDiagnóstico
• Las características habituales de la bronquiolitis
en la exploración clínica son:
• sibilancias que no se alivian con
broncodilatadores
• hiperinsuflación del tórax, con resonancia
aumentada en la percusión
• tiraje de la pared torácica inferior.
• estertores crepitantes finos o roncantes, en la
auscultación del tórax
• dificultad para alimentarse, mamar o beber a
causa del problema respiratorio
IRA BAJAIRA BAJA -- BRONQUIOLITIS
IRA BAJAIRA BAJA -- BRONQUIOLITIS
Clinical manifestations of
respiratory syncytial virus
(RSV). Chest
radiography performed in a
child with RSV bronchiolitis
revealed
bilateral hyperinflation from
air trapping, patchy
atelectasis from airway
plugging, and peribronchial
thickening from
lymphomonocytic
infiltration. Patients with
severe disease may also
have features more
consistent with pneumonia,
with areas of interstitial
parenchymal
infiltration.
•• Los hallazgos más frecuentes son:Los hallazgos más frecuentes son:
•• HiperinsuflaciónHiperinsuflación pulmonar bilateral ypulmonar bilateral y
engrosamientosengrosamientos peribronquialesperibronquiales (patrón(patrón
obstructivo,obstructivo, propio de niños mayores de 3propio de niños mayores de 3--66
meses).meses).
•• Atelectasias, infiltrados (neumonía viral)Atelectasias, infiltrados (neumonía viral)
(patrón restrictivo más frecuente en menores(patrón restrictivo más frecuente en menores
de 3 meses).de 3 meses).
RxRx
dede
tóraxtórax
IRA BAJAIRA BAJA -- BRONQUIOLITIS
Manejo de laManejo de la BronquiolitisBronquiolitis
basado en evidenciabasado en evidencia
TerapiaTerapia
BroncodilatadoresBroncodilatadores
CorticoidesCorticoides
RivabirinaRivabirina
LíquidosLíquidos
Ventilación/O2Ventilación/O2
HelioxHeliox, Surfactante,, Surfactante,
DNAseDNAse AntiviralesAntivirales
ProfilaxisProfilaxis
VacunasVacunas
PalivizumabPalivizumab
Nuevas Vacuna yNuevas Vacuna y
monoclonalesmonoclonales
Giovanni Piedimonte and Miriam K. Perez Respiratory Syncytial Virus Infection and Bronchiolitis
DOI: 10.1542/pir.35-12-519 Pediatrics in Review 2014;35;519 Vol. 35 No. 12 DECEMBER 2014
NoNo
concluyenteconcluyente
EficaciaEficacia
probadaprobada
Futuro?Futuro?
Evidencia
ASPECTOSASPECTOS
EPIDEMIOLÓGICOSEPIDEMIOLÓGICOS
Epidemiología de la neumonía adquirida en la
comunidad en pacientes pediátricos hospitalizados.
BOL PEDIATR 2008; 48: 37-45
Epidemiology and Clinical Characteristics ofEpidemiology and Clinical Characteristics of
CommunityCommunity--AcquiredAcquired Pneumonia in HospitalizedPneumonia in Hospitalized
Children.Children. PEDIATRICS Vol. 113 No. 4 April 2004PEDIATRICS Vol. 113 No. 4 April 2004
Epidemiology and Clinical Characteristic of Community Acquired
Pneumonia in Hospitalized Children. PEDIATRICS Vol. 113 No. 4 April 2004
•• En grupo etáreo de menores de 6 años, elEn grupo etáreo de menores de 6 años, el
serotipo 14serotipo 14 fue el más frecuentementefue el más frecuentemente
identificado (29,1%), seguido del 6Bidentificado (29,1%), seguido del 6B
(9,3%), 1 (7,5%), 5 (6,9%), 18C y 19F(9,3%), 1 (7,5%), 5 (6,9%), 18C y 19F
(5,8% cada uno), 23F (4,7%), 6A (3,8%),(5,8% cada uno), 23F (4,7%), 6A (3,8%),
19A (3,6%), 7F (3,1%), 9V (2,8%), 3 (2%)19A (3,6%), 7F (3,1%), 9V (2,8%), 3 (2%)
y 4 (1,5%); otros serotipos se identificarony 4 (1,5%); otros serotipos se identificaron
en 14,1% de las muestras.en 14,1% de las muestras.
Informe regional de Sireva. OMS 2006Informe regional de Sireva. OMS 2006
IRAIRA –– BAJABAJA -- NEUMONIANEUMONIA
La cobertura potencial de la vacuna a nivel
de los 20 países estudiados es:
7-valente 59%;
9-valente 73,4%;
10-valente 76,5%;
13-valente 86,5%5.
Paralelamente, estudios de vigilancia
realizados con la vacuna heptavalente en
USA, 4 años después de su implementación
en 2000, muestran la emergencia de
serotipos no incluidos en la vacuna.
IRAIRA –– BAJABAJA -- NEUMONIANEUMONIA
IRAIRA –– BAJABAJA -- NEUMONIANEUMONIA
IRAIRA –– BAJABAJA –– NEUMONIANEUMONIA
Neumococo.Neumococo. SirevaSireva EcuadorEcuador
IRAIRA –– BAJABAJA –– NEUMONIANEUMONIA
HaemophylusHaemophylus InfluenzaeInfluenzae B.B. SirevaSireva EcuadorEcuador
IRAIRA –– BAJABAJA –– NEUMONIANEUMONIA
HaemophylusHaemophylus InfluenzaeInfluenzae B.B. SirevaSireva EcuadorEcuador
IMPORTANCIA DEIMPORTANCIA DE
PATOGENOSPATOGENOS
EMERGENTESEMERGENTES
IMPORTANCIA DE PATOGENOS EMERGENTESIMPORTANCIA DE PATOGENOS EMERGENTES
IMPORTANCIA DE PATOGENOS EMERGENTESIMPORTANCIA DE PATOGENOS EMERGENTES
IMPORTANCIA DE PATOGENOS EMERGENTESIMPORTANCIA DE PATOGENOS EMERGENTES
••Gracias por suGracias por su
atenciónatención
••LactanciaLactancia
materna esmaterna es
calidad de vidacalidad de vida
IRAIRA –– BAJABAJA

Neumonía 2015

  • 1.
    UNIVERSIDAD TECNOLÓGICAUNIVERSIDAD TECNOLÓGICA EQUINOCCIALEQUINOCCIAL PÆDSPÆDS-- VV MA HinojosaMA Hinojosa--Sandoval 2015Sandoval 2015 http://es.slideshare.net/MAHINOJOSA45/neumona-2015
  • 2.
    •• Es unade las principales causa de muerte enEs una de las principales causa de muerte en menores de 5 años.menores de 5 años. •• Los países en vías de desarrollo son los másLos países en vías de desarrollo son los más afectados.afectados. •• La forma bacteriana aumenta en posibilidadLa forma bacteriana aumenta en posibilidad diagnóstica a medida que crece el niñodiagnóstica a medida que crece el niño •• La edad es el mejorLa edad es el mejor predictorpredictor microbiológico.microbiológico. •• En la etiología bacteriana la fiebre y losEn la etiología bacteriana la fiebre y los síntomas respiratorios se encuentran en mássíntomas respiratorios se encuentran en más del 90%del 90% •• Las vacunas han disminuido la prevalencia yLas vacunas han disminuido la prevalencia y letalidad de las neumoníasletalidad de las neumonías IRAIRA –– BAJABAJA –– NEUMONIANEUMONIA
  • 3.
    IRA BAJAIRA BAJA-- TOPOGRAFÍATOPOGRAFÍA
  • 4.
    IRA BAJAIRA BAJA–– IRA ALTA ¿?¿?IRA ALTA ¿?¿?
  • 5.
    Distribución de laMortalidad de menoresDistribución de la Mortalidad de menores de 5 años Ecuador . INEC 2013de 5 años Ecuador . INEC 2013 36% 33% 31% < 1 mes 1 -11 meses 1-4 años
  • 6.
    ECUADOR: DIEZ PRINCIPALESCAUSASECUADOR: DIEZ PRINCIPALES CAUSAS DE MUERTE EN LA NIÑEZDE MUERTE EN LA NIÑEZ FUENTE: Estadísticas VitalesFUENTE: Estadísticas Vitales –– INEC AÑOINEC AÑO: 2011: 2011 País - Causas principales % n TOTAL PAÍS 2,712 Ciertas afecciones originadas en el período prenatal 33.2 902 Malformaciones congénitas, deformidades y anomalías cromosómicas 12.7 347 Influenza y neumonía 9.7 265 Accidentes de transporte terrestre 4.3 119 Enfermedades infecciosas intestinales 2.6 73 Accidentes que obstruyen la respiración 2.6 73 Ahogamiento y sumersión accidentales 2.1 59 Desnutrición y anemias nutricionales 1.4 39 Enfermedades respiratorias agudas excepto influenza y neumonía 1.4 39 Septicemia 1.2 33 Causas mal definidas 10.3 281 Resto de causas 17.7 482
  • 7.
    Principales causas deMortalidadPrincipales causas de Mortalidad Infantil. EcuadorInfantil. Ecuador 64% 36% Ecuador: Mortalidad infantil por causas respiratorias Fuente:INEC 2011. Relizado por MA Hinojosa 2015 Respiratorios Otros
  • 8.
    ECUADOR: IRA enmenores deECUADOR: IRA en menores de cinco años.cinco años. Fuente SIISE. Realizado por MA Hinojosa 2015Fuente SIISE. Realizado por MA Hinojosa 2015 INDICADOR: % deINDICADOR: % de niños/as que en lasniños/as que en las dos semanasdos semanas anteriores a laanteriores a la encuesta,encuesta, presentaron IRApresentaron IRA
  • 9.
    Ira con ysin neumonía CIE 10Ira con y sin neumonía CIE 10 63 ENFERMEDADES respiratorias con63 ENFERMEDADES respiratorias con 231 clasificaciones231 clasificaciones 7 corresponden a neumonía con 297 corresponden a neumonía con 29 clasificacionesclasificaciones CLASIFICACION INTERNACIONAL DE ENFERMEDADES CIE10 - OMS www.medicin.com.ar
  • 10.
    IRA BAJAIRA BAJA-- NEUMONÍANEUMONÍA Si el niño/niña tiene: El niño/niña tiene respiración rápida si usted cuenta: 0 a 2 meses: 2 a 11 meses: 12 meses a 4 años: 60 respiraciones por minuto. 50 respiraciones o más por minuto. 40 respiraciones o más por minuto.
  • 11.
    espira respiración inspira Aleteonasal: con la inspiración, los costados de las aletas nasales se ensanchan hacia afuera IRA BAJAIRA BAJA -- NEUMONÍANEUMONÍA
  • 12.
    IRAIRA BAJA:BAJA: 1. SDRI (neonatal). 2.NEUMONÍA1. SDR I (neonatal). 2.NEUMONÍA
  • 13.
  • 14.
    IRA BAJA:IRA BAJA: 4.Aspiración4. Aspiración dede Meconio e HipertensiónMeconio e Hipertensión Pulmonar Neonatal PersistentePulmonar Neonatal Persistente
  • 15.
    IRA BAJA:IRA BAJA: 4.Aspiración4. Aspiración dede Meconio e HipertensiónMeconio e Hipertensión Pulmonar Neonatal PersistentePulmonar Neonatal Persistente
  • 16.
    IRA BAJAIRA BAJA–– 5. NEUMOTÓRAX5. NEUMOTÓRAX
  • 17.
    IRA BAJA:IRA BAJA: 6.6.HerniaHernia DiafragmáticaDiafragmática congénitacongénita Si seSi se sospechasospecha unauna herniahernia diafragmaticadiafragmatica ,se,se debedebe evitarevitar ventilacionventilacion aa presionpresion positivapositiva con mascara.con mascara. IntubeIntube inmediatamenteinmediatamente lala traqueatraquea ee inserteinserte unauna sondasonda orograstricaorograstrica dede dobledoble lumen.lumen.
  • 18.
    FuncionFuncion PulmonarPulmonar disminuidadisminuida:: HerniaHerniaDiafragmaticaDiafragmatica congenitacongenita
  • 19.
    IRA BAJA:IRA BAJA: 7.AGENESIA PENTALOGIA7. AGENESIA PENTALOGIA DE CANTRELLDE CANTRELL
  • 20.
    IRA BAJA: 8.SITUS INVERSUSIRA BAJA: 8. SITUS INVERSUS YY SdSd DE KARTAGENERDE KARTAGENER Trastorno autosómico recesivo caracterizado por DEXTROCARDIA, INFERTILIDAD Y SINUSITIS Por mutaciones en los genes de DINEINA que codifican proteínas de movilidad componentes de las colas de los espermatozoides y de los cilios respiratorios y tubáricos. Llamada también:Discinesia Ciliar Primaria o Tríada de Kartagener
  • 21.
  • 22.
  • 23.
  • 24.
  • 25.
  • 28.
    IRA BAJA: 11.CUERPOEXTRAÑOIRA BAJA: 11.CUERPO EXTRAÑO
  • 29.
    IRA BAJA:IRA BAJA: 12.POST QUIRURGICOS12. POST QUIRURGICOS Infección por pseudomona Post Clip de PCA
  • 30.
    IRA BAJAIRA BAJA-- NEUMONÍANEUMONÍA Interrogatorio clínicoInterrogatorio clínico Preste atención especial a lo siguiente:Preste atención especial a lo siguiente: ••tostos ••duración en díasduración en días ••paroxismos con estertores o vómitos o cianosisparoxismos con estertores o vómitos o cianosis centralcentral ••exposición a algún miembro de la familia conexposición a algún miembro de la familia con tuberculosis (o tos crónica)tuberculosis (o tos crónica) ••antecedentes de vacunación: DPT, sarampión,antecedentes de vacunación: DPT, sarampión, BCGBCG ••antecedentes de atragantamiento o apariciónantecedentes de atragantamiento o aparición súbita de síntomassúbita de síntomas ••infección por el VIH comprobadainfección por el VIH comprobada ••antecedentes personales o familiares de asma.antecedentes personales o familiares de asma.
  • 31.
    IRA BAJAIRA BAJA-- NEUMONÍANEUMONÍA Exploración física General •• Cianosis centralCianosis central •• Quejido espiratorioQuejido espiratorio •• Aleteo nasalAleteo nasal •• Cabeceo (movimiento de la cabeza sincrónico conCabeceo (movimiento de la cabeza sincrónico con la inspiración que indica el uso de músculosla inspiración que indica el uso de músculos accesorios en dificultad respiratoria grave)accesorios en dificultad respiratoria grave) •• Presión venosa yugular elevada (PVY)Presión venosa yugular elevada (PVY) •• SibilanciasSibilancias ••Estridor inspiratorio.Estridor inspiratorio.
  • 32.
    IRA BAJAIRA BAJA-- NEUMONÍANEUMONÍA Tórax  Taquipnea : Contar la Frecuencia respiratoria durante 1 minuto completo, cuando el niño está tranquilo, descubierto el tórax y limpia la vía aérea) Retracción subcostal latido del ápice desplazado/tráquea desplazada de la línea media ritmo de galope del corazón en la auscultación  Percusión: derrame pleural (sonido mate a la percusión) o neumotórax (hiperresonancia) Auscultación: estertores crepitantes o sonidos de respiración bronquial.
  • 33.
    IRA BAJAIRA BAJA-- NEUMONÍANEUMONÍA EVALUACIÓN DE LAS SIBILANCIASEVALUACIÓN DE LAS SIBILANCIAS Investigación clínica episodios anteriores de sibilancias respuesta a los broncodilatadores diagnóstico de asma o tratamiento a largo plazo para el asma. Exploración física sibilancias en la espiración espiración prolongada sonido de percusión resonante tórax hiperinsuflado estertores roncos a la auscultación.
  • 34.
    EN SEGUIDA, PREGUNTARSOBRE LOS SÍNTOMAS PRINCIPALES: ¿Tiene el niño / niña tos o dificultad para respirar? SIGNOS SI LA RESPUESTA ES AFIRMATIVA: PREGUNTAR OBSERVAR, ESCUCHAR: ¿Cuánto tiempo hace?  Contar las respiraciones en un minuto  Observar si hay tiraje subcostal  Observar y escuchar si hay estridor  Observar y escuchar si hay sibilancias  Cualquier signo de peligro en general, o Tiraje subcostal, o  Estridor en reposo NEUMONÍA GRAVE O ENFERMEDAD MUY GRAVE  Dar la primeradosis de un antibiótico apropiado.  Si tiene sibilancia,dar un broncodilatador de acción rápida.  Referir URGENTEMENTE al hospital*.  Respiración rápida. Si también tiene SIBILANCIA Refiérase al cuadro TRATE LA SIBILANCIA NEUMONIA  Dar un antibiótico apropiado durante7 días.  Tratar la sibilancia si tiene.  Indicar a la madre cuándo debe volver urgentemente.  Hacer seguimiento 2 días después.  Ningún signo de neumonía o de enfermedad grave NO TIENE NEUMONÍA: RESFRIADO, GRIPE O BRONQUITIS  Si hace más de 30 días que el niño / niña tiene tos, referirlo para un examen.  Tratar la SIBILANCIAsi tiene.  Aliviar el dolor de garganta y la tos con un remedio casero.  Indicar a los padres o cuidadores cuándo deben volver urgentemente.  Indicar los padres o cuidadores que regresen en 5 días para control. Clasificar TOS O DIFICULTA D PARA RESPIRAR Si el niño/niñatiene: Respiración rápidaes: Menor de dos meses 60 o más en un minuto De dos a 11 meses 50 o más en un minuto De 12 meses a 4 años 40 o más en un minuto CLASIFICAR COMO TRATAMIENTO (Los tratamientos de urgencia que se administran antes de la referencia del caso o que se dan en el servicio se indican en negritas) El niño/niñ a tiene que estar tranquilo * Si no se puede referir al niño o niña cuidarle en la forma indicada en AIEPI: Tratar al niño / niña: Anexo Casos en que no puede derivar al niño / niña y las normas de la OMS para el tratamiento en el hospital. AIEPIAIEPI
  • 35.
    IRA BAJAIRA BAJA:: AIAIEEPIPI-- NEUMONÍANEUMONÍA SIGNO O SÍNTOMA CLASIFICACIÓN TRATAMIENTO - Cianosis central - Dificultad respiratoria grave (por ej, cabeceo) - Incapacidad para beber Neumonía muy grave - Hospitalizar - Antibiótico - Administrar O2 - Despejar las vías aéreas - Tratar la fiebre - Retracción de la pared torácica Neumonía grave - Ingresar al hospital - Administrar bencilpenicilina - Despejar las vías aéreas - Tratar la fiebre alta si existe
  • 36.
    SIGNO O SÍNTOMA CLASIFICA CIÓN TRATAMIENTO -Taquipnea  60RPM< 2 m  50 RPM 2-12m  40 RPM 1 a 5 a -Estertores crepitantes Neumonía -Cuidado en casa -Antibióticos 7 días -Aliviar la garganta y calmar la tos -Asesorar cuando volver : en 2 días -Enseñar signos de peligro -Ningún signo de neumonía, ni neumonía grave o muy grave Sin neumonía, Tos o resfriado -Cuidado en casa -Aliviar la garganta y calmar la tos -Cuándo volver: en 5 d -Tos más de 30 días, crónica IRA BAJAIRA BAJA :: AIAIEEPIPI-- NEUMONÍANEUMONÍA
  • 37.
    NEUMONIA LOBAR +ATELECTASIANEUMONIA LOBAR + ATELECTASIA
  • 38.
  • 39.
  • 40.
    Complicaciones Si el niñono ha mejorado después de dos días, o si su estado ha empeorado, busque posibles complicaciones, o cambie el diagnóstico. Rx de tórax. Las más comunes: a continuación. IRA BAJAIRA BAJA -- NEUMONÍANEUMONÍA
  • 41.
    Complicaciones Neumonía estafilocócica: empeoramientoclínico rápido a pesar del tratamiento, un neumatocele o un neumotórax con derrame. Gram en esputo, o crecimiento de S. aureus en el cultivo. Trate con cloxacilina (50 mg/kg por inyección intramuscular o intravenosa cada 6 horas) y gentamicina (7,5 mg/kg IM o IV una vez al día). Cuando el niño mejore, siga con cloxacilina por vía oral 4 veces al día durante un total de 3 semanas. Tenga en cuenta que la cloxacilina puede ser sustituida por otro antibiótico antiestafilocócico, como por ejemplo, la oxacilina, la flucloxacilina o la dicloxacilina, vancomicina. IRA BAJAIRA BAJA -- NEUMONÍANEUMONÍA
  • 42.
    Complicaciones Empiema. Una fiebre persistente,y signos de derrame pleural en la exploración clínica y en la radiografía de tórax son signos indicativos. Derrame pleural IRA BAJAIRA BAJA -- NEUMONÍANEUMONÍA
  • 43.
  • 45.
    DerrameDerrame pleuralpleural Puede ocurrir en formaaislada o asociado a otras alteraciones pulmonares (neumonía ), mediastínicas o de la pared torácica
  • 46.
    AsmaAsma •• Afección inflamatoriacrónica conAfección inflamatoria crónica con obstrucción reversible de las víasobstrucción reversible de las vías respiratorias. episodios recurrentes derespiratorias. episodios recurrentes de sibilanciassibilancias, tos, que responden al, tos, que responden al tratamiento con broncodilatadores ytratamiento con broncodilatadores y medicamentos antiinflamatorios. Losmedicamentos antiinflamatorios. Los antibióticos deben administrarse sóloantibióticos deben administrarse sólo cuando hay signos de neumoníacuando hay signos de neumonía IRA BAJAIRA BAJA
  • 47.
    Asma • Diagnóstico • Episodiosrecurrentes de sibilancias, con tos. • Los hallazgos de la exploración clínica pueden ser: • hiperinsuflación del tórax • tiraje de la pared torácica inferior • espiración prolongada con sibilancias audibles • disminución de la entrada de aire, cuando la obstrucción es grave • ausencia de fiebre • buena respuesta al tratamiento con broncodilatador. IRA BAJAIRA BAJA
  • 48.
    Datos MundialesDatos Mundiales Asma ••La incidencia anual en menores de 5 años es deLa incidencia anual en menores de 5 años es de 34 a 40 casos34 a 40 casos casoscasos por 1000por 1000 habhab. en Europa y. en Europa y USA.USA. •• En países en vías de desarrollo las infeccionesEn países en vías de desarrollo las infecciones respiratorias agudas constituyen el 25 % de larespiratorias agudas constituyen el 25 % de la mortalidad infantil en menores de 5 años.mortalidad infantil en menores de 5 años. •• EnEn SudámericaSudámerica y África la mortalidad oscila entrey África la mortalidad oscila entre 11 a 15 por 100011 a 15 por 1000 habshabs. En menores de 5 años.. En menores de 5 años. •• No contamos con estadísticas nacionales.No contamos con estadísticas nacionales.
  • 49.
    FACTORES DE RIESGOFACTORESDE RIESGO Asma - Sexo masculino - Nivel socioeconómico bajo - Exposición a humo de cigarrillo - Cardiopatías congénitas - Displasia broncopulmonar - Fibrosis quística - Desórdenes neuromusculares - Desórdenes gastrointestinales - Inmunodeficiencia congénita y adquirida Neumonía adquirida en la comunidad en pediatría. Salud Uninorte. Barranquilla (Col.) 2007; 23 (2): 231-242
  • 50.
    DiagnósticoDiagnóstico • Las característicashabituales de la bronquiolitis en la exploración clínica son: • sibilancias que no se alivian con broncodilatadores • hiperinsuflación del tórax, con resonancia aumentada en la percusión • tiraje de la pared torácica inferior. • estertores crepitantes finos o roncantes, en la auscultación del tórax • dificultad para alimentarse, mamar o beber a causa del problema respiratorio IRA BAJAIRA BAJA -- BRONQUIOLITIS
  • 51.
    IRA BAJAIRA BAJA-- BRONQUIOLITIS Clinical manifestations of respiratory syncytial virus (RSV). Chest radiography performed in a child with RSV bronchiolitis revealed bilateral hyperinflation from air trapping, patchy atelectasis from airway plugging, and peribronchial thickening from lymphomonocytic infiltration. Patients with severe disease may also have features more consistent with pneumonia, with areas of interstitial parenchymal infiltration.
  • 52.
    •• Los hallazgosmás frecuentes son:Los hallazgos más frecuentes son: •• HiperinsuflaciónHiperinsuflación pulmonar bilateral ypulmonar bilateral y engrosamientosengrosamientos peribronquialesperibronquiales (patrón(patrón obstructivo,obstructivo, propio de niños mayores de 3propio de niños mayores de 3--66 meses).meses). •• Atelectasias, infiltrados (neumonía viral)Atelectasias, infiltrados (neumonía viral) (patrón restrictivo más frecuente en menores(patrón restrictivo más frecuente en menores de 3 meses).de 3 meses). RxRx dede tóraxtórax IRA BAJAIRA BAJA -- BRONQUIOLITIS
  • 53.
    Manejo de laManejode la BronquiolitisBronquiolitis basado en evidenciabasado en evidencia TerapiaTerapia BroncodilatadoresBroncodilatadores CorticoidesCorticoides RivabirinaRivabirina LíquidosLíquidos Ventilación/O2Ventilación/O2 HelioxHeliox, Surfactante,, Surfactante, DNAseDNAse AntiviralesAntivirales ProfilaxisProfilaxis VacunasVacunas PalivizumabPalivizumab Nuevas Vacuna yNuevas Vacuna y monoclonalesmonoclonales Giovanni Piedimonte and Miriam K. Perez Respiratory Syncytial Virus Infection and Bronchiolitis DOI: 10.1542/pir.35-12-519 Pediatrics in Review 2014;35;519 Vol. 35 No. 12 DECEMBER 2014 NoNo concluyenteconcluyente EficaciaEficacia probadaprobada Futuro?Futuro? Evidencia
  • 54.
  • 55.
    Epidemiología de laneumonía adquirida en la comunidad en pacientes pediátricos hospitalizados. BOL PEDIATR 2008; 48: 37-45
  • 56.
    Epidemiology and ClinicalCharacteristics ofEpidemiology and Clinical Characteristics of CommunityCommunity--AcquiredAcquired Pneumonia in HospitalizedPneumonia in Hospitalized Children.Children. PEDIATRICS Vol. 113 No. 4 April 2004PEDIATRICS Vol. 113 No. 4 April 2004
  • 57.
    Epidemiology and ClinicalCharacteristic of Community Acquired Pneumonia in Hospitalized Children. PEDIATRICS Vol. 113 No. 4 April 2004
  • 58.
    •• En grupoetáreo de menores de 6 años, elEn grupo etáreo de menores de 6 años, el serotipo 14serotipo 14 fue el más frecuentementefue el más frecuentemente identificado (29,1%), seguido del 6Bidentificado (29,1%), seguido del 6B (9,3%), 1 (7,5%), 5 (6,9%), 18C y 19F(9,3%), 1 (7,5%), 5 (6,9%), 18C y 19F (5,8% cada uno), 23F (4,7%), 6A (3,8%),(5,8% cada uno), 23F (4,7%), 6A (3,8%), 19A (3,6%), 7F (3,1%), 9V (2,8%), 3 (2%)19A (3,6%), 7F (3,1%), 9V (2,8%), 3 (2%) y 4 (1,5%); otros serotipos se identificarony 4 (1,5%); otros serotipos se identificaron en 14,1% de las muestras.en 14,1% de las muestras. Informe regional de Sireva. OMS 2006Informe regional de Sireva. OMS 2006 IRAIRA –– BAJABAJA -- NEUMONIANEUMONIA
  • 59.
    La cobertura potencialde la vacuna a nivel de los 20 países estudiados es: 7-valente 59%; 9-valente 73,4%; 10-valente 76,5%; 13-valente 86,5%5. Paralelamente, estudios de vigilancia realizados con la vacuna heptavalente en USA, 4 años después de su implementación en 2000, muestran la emergencia de serotipos no incluidos en la vacuna. IRAIRA –– BAJABAJA -- NEUMONIANEUMONIA
  • 60.
    IRAIRA –– BAJABAJA-- NEUMONIANEUMONIA
  • 61.
    IRAIRA –– BAJABAJA–– NEUMONIANEUMONIA Neumococo.Neumococo. SirevaSireva EcuadorEcuador
  • 62.
    IRAIRA –– BAJABAJA–– NEUMONIANEUMONIA HaemophylusHaemophylus InfluenzaeInfluenzae B.B. SirevaSireva EcuadorEcuador
  • 63.
    IRAIRA –– BAJABAJA–– NEUMONIANEUMONIA HaemophylusHaemophylus InfluenzaeInfluenzae B.B. SirevaSireva EcuadorEcuador
  • 64.
  • 65.
    IMPORTANCIA DE PATOGENOSEMERGENTESIMPORTANCIA DE PATOGENOS EMERGENTES
  • 66.
    IMPORTANCIA DE PATOGENOSEMERGENTESIMPORTANCIA DE PATOGENOS EMERGENTES
  • 67.
    IMPORTANCIA DE PATOGENOSEMERGENTESIMPORTANCIA DE PATOGENOS EMERGENTES
  • 68.
    ••Gracias por suGraciaspor su atenciónatención ••LactanciaLactancia materna esmaterna es calidad de vidacalidad de vida IRAIRA –– BAJABAJA