PIEL Y ANEXOS
LAURA VELASQUEZ RAMIREZ
ENFERMERA
LA PIEL
Es el órgano más grande del
cuerpo.
Si se extendiera de forma
plana, abarcaría un área
aproximada de 2 m2
Es un órgano que forma una
cubierta protectora y flexible
sobre el exterior del cuerpo.
LA PIEL
Es la primera línea de defensa de tu cuerpo contra
enfermedades infecciosas.
También provee protección contra los rayos ultravioleta del
sol.
Regula la temperatura de tu cuerpo.
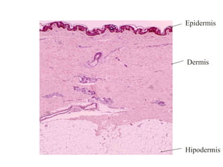
Se compone de dos capas principales:
- Epidermis
- Dermis
2 Bronson Merki, Merki. “ Salud una guía para el Bienestar” McGraw Hill, 2003
LA EPIDERMIS
Es la capa más externa de
la piel.
Está formada por tejido
epitelial especializado.
Está cubierta por una
capa protectora de células
muertas.
Estas células muertas son
producidas por células
vivas subyacentes.4
Epidermis
Epidermis
4 Audersirk T., Audersirk T., Byers B. “Biología, Ciencia y naturaleza” Pearson, Prentice Hall, 2004
Audesirk Audesirk Byers Sixth Ed.
Audesirk Audesirk Byers Sixth Ed.
Biology Life on earth, Instructions Resource CD-ROM, 2002 Prentice
Biology Life on earth, Instructions Resource CD-ROM, 2002 Prentice
Hall
Hall
LA EPIDERMIS
Estas células muertas
contienen una sustancia
llamada queratina
es una proteína que le da
resistencia a la piel y la hace
impermeable
3 Pruitt, Crumpler, Prothrow-Stith, “Salud: destrezas para el bienestar”, Prentice Hall, 2000
se desprenden de la piel constantemente,
cuando rozas con algo, te bañas, o cuando frotas
tu piel (constituyen la mayor parte del polvo
doméstico).3
LA EPIDERMIS
Las células de la epidermis producen una sustancia parda
conocida como melanina.
3 Pruitt, Crumpler, Prothrow-Stith, “Salud: destrezas para el bienestar”, Prentice Hall, 2000
LA DERMIS
Se encuentra
inmediatamente por
debajo de la epidermis.
Está formada por dos
capas de tejido
conectivo.4
Es resistente y elástica.3
En su capa papilar
existen depresiones y
elevaciones que dan
origen a las huellas
digitales.
Epidermis
Epidermis
Dermis
Dermis
3 Pruitt, Crumpler, Prothrow-Stith, “Salud: destrezas para el bienestar”, Prentice Hall, 2000
4 Audersirk T., Audersirk T., Byers B. “Biología, Ciencia y naturaleza” Pearson, Prentice Hall, 2004
LA DERMIS
Está irrigada por pequeñas
arterias y venas llamadas
arteriolas y vénulas, que además
de irrigar a la piel, son
responsables de regular la
temperatura corporal.
Cuando se requiere enfriar, las
arteriolas se dilatan, liberando el
exceso de calor.
Cuando se requiere conservar el
calor, las arteriolas se contraen.4
◊En la dermis también existe tejido
muscular, el cual se encarga de
poner erecto al pelo según el tipo
de estimulación nerviosa (frío,
agresión, etc.).
Arteriola
Arteriola
Venula
Venula
Epidermis
Epidermis
Dermis
Dermis
4 Audersirk T., Audersirk T., Byers B. “Biología, Ciencia y naturaleza” Pearson, Prentice Hall, 2004
HIPODERMIS
TERMINACIONES
NERVIOSAS
Además de ser las responsables de
regular la dilatación o contracción de
vasos sanguíneos para el control de
temperatura, estas terminaciones
nerviosas se encargan de otras
funciones:
TERMINACIONES NERVIOSAS
También son responsables del
movimiento del músculo erector del
pelo.
Hay una gran variedad de
terminaciones encargadas de
responder a estímulos de: dolor,
tacto, presión, calor, frío, vibración,
etc.4
Terminaciones
Terminaciones
nerviosas
nerviosas
Músculo
Músculo
Pelo
Pelo
Audesirk Audesirk Byers Sixth Ed.
Audesirk Audesirk Byers Sixth Ed.
Biology Life on earth, Instructions Resource CD-ROM, 2002 Prentice Hall
Biology Life on earth, Instructions Resource CD-ROM, 2002 Prentice Hall
4 Audersirk T., Audersirk T., Byers B. “Biología, Ciencia y naturaleza” Pearson, Prentice Hall, 2004
LAS FUNCIONES DE LA
PIEL SON:
1 Higashida. “Ciencias de la Salud” Mc. Graw Hill, 2001
Funciones:
Actua como una barrera,que proteje contra agentes físicos,
químicos y biológicos del medio externo
 Participa en la homeostasis al regular la temperatura corporal y la
perdida de agua.
Transmite informaciòn sensitiva acerca del medio externo al
sistema nervioso
Excreción de diversas sustancias, por medio de glándulas
sudoriparas y de las glàndulas sebáceas
Provee informacion inmunologica, obtenida durante el
procesamiento antigenico a las cèlulas efectoras adecuadas del
tejido linfático
Absorción de la radiaciòn ultravioleta del sol para la síntesis de
vitamina A
Epidermis
Dermis
Hipodermis
MELANOCITO
Se origina en la cresta
neural.
Produce melanina.
La tirosina por acción de
tirosinasa, que se encuentra
en los melanosomas, se
transforma en 3 – 4
dihidroxifenialanina y
dopaquinona,que por un
proceso de polimerización se
transforma en melanina.
ANEXOS Los anexos de la piel son:
Los pelos que se originan en los
folículos pilosos.
Las glándulas sudoríparas.
Producen secreciones acuosas
que enfrían la piel y eliminan
sustancias como sales y urea.
Las glándulas sebáceas. Secretan
una sustancia oleosa que lubrica
a la piel.
•Las uñas. Cubierta laminar dura
localizada en la parte dorsal de la
falange distal de los dedos. Se
originan en la epidermis.
Terminaciones
Terminaciones
nerviosas
nerviosas
Glándula
Glándula
Sebácea
Sebácea
Arteriola
Arteriola
Venula
Venula
Folículo
Folículo
Piloso
Piloso
Músculo
Músculo
Glándula
Glándula
Sudorípara
Sudorípara
Pelo
Pelo
Epidermis
Epidermis
Dermis
Dermis
Tejido
Tejido
Subcutáneo
Subcutáneo
Audesirk Audesirk Byers Sixth Ed.
Audesirk Audesirk Byers Sixth Ed.
Biology Life on earth, Instructions Resource CD-ROM, 2002 Prentice Hall
Biology Life on earth, Instructions Resource CD-ROM, 2002 Prentice Hall
ANEXOS DE LA PIEL (FANEROS)
Uñas, Pelo,
Glándulas sudoríparas
Glándulas sebáceas
GLÁNDULAS SUDORÍPARAS ECRINAS
Se hallan en toda la piel, a excepción
de labios, glande del pene, superficie
interna del prepucio, clítoris, labios
menores y lecho ungueal.
Son tubulosas enrolladas
Presentan porción secretora y porción
excretora.
En porción secretora existen: células
oscuras, células claras y células
mioepiteliales
GLÁNDULAS SEBÁCEAS
No se encuentran en palma de
manos ni en planta de pies.
Son glándulas holocrinas.
Poseen conductos cortos que se
abren en folículos pilosos.
Su secreción esta imfluenciada por
las hormonas sexuales.
Sebo: es una mezcla del tipo de
la cera del colesterol y
trigliceridos .
PELO Y FOLÍCULO PILOSO
Un folículo piloso es
una estructura compleja en
forma de saco en donde nace el
pelo. Se encuentra en la
epidermis (capa externa) de la
piel. El pelo empieza a crecer en
la parte inferior del folículo piloso,
en donde la raíz, formada por
células proteicas se nutre de la
sangre de los vasos sanguíneos
cercanos. El tallo crece hasta
atravesar esa epidermis.
PELO FISIOLOGIA
El cabello de la cabeza no es solamente para vernos más
atractivos.
Nos mantiene abrigados conservando la temperatura.
Los pelos de la nariz, las orejas y alrededor de los ojos
protegen esas zonas sensibles del polvo y otras partículas
pequeñas.
UÑA
Las uñas estan formadas
principalmente por células muertas
endurecidas que contienen queratina,
proteína fibrosa que el cuerpo produce
de manera natural.
El ritmo de crecimiento varía de un
dedo a otro y de una persona a otra.
Crecen a una velocidad promedio de
0,1 mm/día (1 mm cada 10 días o unos
3 mm al mes).
Tardan de 4 a 5 meses en volver a
crecer completamente.
Las uñas de los pies tardan en volver a
crecer completamente de 6 a 7 meses.
IRRIGACIÓN SANGUÍNEA
Exíste un plexo cutáneo, en la zona de unión
dermohipodermica, constituido por arterias y venas que
provienen de la red subcutanea.
Plexo subpapilar, constituido por pequeñas venulas y
arteriolas.Estas emiten asas capilares hacia cada papila.
Los folículos pilosos y las glándulas sebáceas son irrigados
por una red perifolicular. Las glándulas sudoríparas son
irrigados por la red cutánea.
Exísten comunicaciones arteriovenosa, importantes para la
termorregulación de la piel
INERVACIÓN
Procede del SNA y controla los anexos, exíste inervación cutánea
y el flujo vascular
Hay terminaciones nerviosas motoras para los vasos sanguíneos,
los musculos erectores del pelo y las glándulas sudoríparas
Las terminciones nerviosas sensitivas se encuentran en la
hipodermis y la dermis.
La epidermis también presenta muchas terminaciones nerviosas
libres de naturaleza sensitiva.
Exísten terminaciones nerviosas encapsuladas: Corpúsculos de
Meissner, Vater Pacini, de Ruffini y de Krause
ACTIVIDAD – TRABAJO ESCRITO
1. Realizar un escrito sobre 5 enfermedades de la piel donde
identifique: definicion, sintomas, causas, diagnostico, tratamiento,
factores de riesgo, complicaciones y prevencion)
2. Cual seria el papel de enfermeria en la atencion y cuidado a
pacientes con dichas enfermedades?

LA PIEL - LVR.ppt ----------------------

  • 1.
    PIEL Y ANEXOS LAURAVELASQUEZ RAMIREZ ENFERMERA
  • 2.
    LA PIEL Es elórgano más grande del cuerpo. Si se extendiera de forma plana, abarcaría un área aproximada de 2 m2 Es un órgano que forma una cubierta protectora y flexible sobre el exterior del cuerpo.
  • 3.
    LA PIEL Es laprimera línea de defensa de tu cuerpo contra enfermedades infecciosas. También provee protección contra los rayos ultravioleta del sol. Regula la temperatura de tu cuerpo. Se compone de dos capas principales: - Epidermis - Dermis 2 Bronson Merki, Merki. “ Salud una guía para el Bienestar” McGraw Hill, 2003
  • 4.
    LA EPIDERMIS Es lacapa más externa de la piel. Está formada por tejido epitelial especializado. Está cubierta por una capa protectora de células muertas. Estas células muertas son producidas por células vivas subyacentes.4 Epidermis Epidermis 4 Audersirk T., Audersirk T., Byers B. “Biología, Ciencia y naturaleza” Pearson, Prentice Hall, 2004 Audesirk Audesirk Byers Sixth Ed. Audesirk Audesirk Byers Sixth Ed. Biology Life on earth, Instructions Resource CD-ROM, 2002 Prentice Biology Life on earth, Instructions Resource CD-ROM, 2002 Prentice Hall Hall
  • 5.
    LA EPIDERMIS Estas célulasmuertas contienen una sustancia llamada queratina es una proteína que le da resistencia a la piel y la hace impermeable 3 Pruitt, Crumpler, Prothrow-Stith, “Salud: destrezas para el bienestar”, Prentice Hall, 2000 se desprenden de la piel constantemente, cuando rozas con algo, te bañas, o cuando frotas tu piel (constituyen la mayor parte del polvo doméstico).3
  • 6.
    LA EPIDERMIS Las célulasde la epidermis producen una sustancia parda conocida como melanina. 3 Pruitt, Crumpler, Prothrow-Stith, “Salud: destrezas para el bienestar”, Prentice Hall, 2000
  • 7.
    LA DERMIS Se encuentra inmediatamentepor debajo de la epidermis. Está formada por dos capas de tejido conectivo.4 Es resistente y elástica.3 En su capa papilar existen depresiones y elevaciones que dan origen a las huellas digitales. Epidermis Epidermis Dermis Dermis 3 Pruitt, Crumpler, Prothrow-Stith, “Salud: destrezas para el bienestar”, Prentice Hall, 2000 4 Audersirk T., Audersirk T., Byers B. “Biología, Ciencia y naturaleza” Pearson, Prentice Hall, 2004
  • 8.
    LA DERMIS Está irrigadapor pequeñas arterias y venas llamadas arteriolas y vénulas, que además de irrigar a la piel, son responsables de regular la temperatura corporal. Cuando se requiere enfriar, las arteriolas se dilatan, liberando el exceso de calor. Cuando se requiere conservar el calor, las arteriolas se contraen.4 ◊En la dermis también existe tejido muscular, el cual se encarga de poner erecto al pelo según el tipo de estimulación nerviosa (frío, agresión, etc.). Arteriola Arteriola Venula Venula Epidermis Epidermis Dermis Dermis 4 Audersirk T., Audersirk T., Byers B. “Biología, Ciencia y naturaleza” Pearson, Prentice Hall, 2004
  • 9.
  • 10.
    TERMINACIONES NERVIOSAS Además de serlas responsables de regular la dilatación o contracción de vasos sanguíneos para el control de temperatura, estas terminaciones nerviosas se encargan de otras funciones:
  • 11.
    TERMINACIONES NERVIOSAS También sonresponsables del movimiento del músculo erector del pelo. Hay una gran variedad de terminaciones encargadas de responder a estímulos de: dolor, tacto, presión, calor, frío, vibración, etc.4 Terminaciones Terminaciones nerviosas nerviosas Músculo Músculo Pelo Pelo Audesirk Audesirk Byers Sixth Ed. Audesirk Audesirk Byers Sixth Ed. Biology Life on earth, Instructions Resource CD-ROM, 2002 Prentice Hall Biology Life on earth, Instructions Resource CD-ROM, 2002 Prentice Hall 4 Audersirk T., Audersirk T., Byers B. “Biología, Ciencia y naturaleza” Pearson, Prentice Hall, 2004
  • 12.
    LAS FUNCIONES DELA PIEL SON: 1 Higashida. “Ciencias de la Salud” Mc. Graw Hill, 2001
  • 13.
    Funciones: Actua como unabarrera,que proteje contra agentes físicos, químicos y biológicos del medio externo  Participa en la homeostasis al regular la temperatura corporal y la perdida de agua. Transmite informaciòn sensitiva acerca del medio externo al sistema nervioso Excreción de diversas sustancias, por medio de glándulas sudoriparas y de las glàndulas sebáceas Provee informacion inmunologica, obtenida durante el procesamiento antigenico a las cèlulas efectoras adecuadas del tejido linfático Absorción de la radiaciòn ultravioleta del sol para la síntesis de vitamina A
  • 14.
  • 15.
    MELANOCITO Se origina enla cresta neural. Produce melanina. La tirosina por acción de tirosinasa, que se encuentra en los melanosomas, se transforma en 3 – 4 dihidroxifenialanina y dopaquinona,que por un proceso de polimerización se transforma en melanina.
  • 16.
    ANEXOS Los anexosde la piel son: Los pelos que se originan en los folículos pilosos. Las glándulas sudoríparas. Producen secreciones acuosas que enfrían la piel y eliminan sustancias como sales y urea. Las glándulas sebáceas. Secretan una sustancia oleosa que lubrica a la piel. •Las uñas. Cubierta laminar dura localizada en la parte dorsal de la falange distal de los dedos. Se originan en la epidermis. Terminaciones Terminaciones nerviosas nerviosas Glándula Glándula Sebácea Sebácea Arteriola Arteriola Venula Venula Folículo Folículo Piloso Piloso Músculo Músculo Glándula Glándula Sudorípara Sudorípara Pelo Pelo Epidermis Epidermis Dermis Dermis Tejido Tejido Subcutáneo Subcutáneo Audesirk Audesirk Byers Sixth Ed. Audesirk Audesirk Byers Sixth Ed. Biology Life on earth, Instructions Resource CD-ROM, 2002 Prentice Hall Biology Life on earth, Instructions Resource CD-ROM, 2002 Prentice Hall
  • 17.
    ANEXOS DE LAPIEL (FANEROS) Uñas, Pelo, Glándulas sudoríparas Glándulas sebáceas
  • 18.
    GLÁNDULAS SUDORÍPARAS ECRINAS Sehallan en toda la piel, a excepción de labios, glande del pene, superficie interna del prepucio, clítoris, labios menores y lecho ungueal. Son tubulosas enrolladas Presentan porción secretora y porción excretora. En porción secretora existen: células oscuras, células claras y células mioepiteliales
  • 19.
    GLÁNDULAS SEBÁCEAS No seencuentran en palma de manos ni en planta de pies. Son glándulas holocrinas. Poseen conductos cortos que se abren en folículos pilosos. Su secreción esta imfluenciada por las hormonas sexuales. Sebo: es una mezcla del tipo de la cera del colesterol y trigliceridos .
  • 20.
    PELO Y FOLÍCULOPILOSO Un folículo piloso es una estructura compleja en forma de saco en donde nace el pelo. Se encuentra en la epidermis (capa externa) de la piel. El pelo empieza a crecer en la parte inferior del folículo piloso, en donde la raíz, formada por células proteicas se nutre de la sangre de los vasos sanguíneos cercanos. El tallo crece hasta atravesar esa epidermis.
  • 21.
    PELO FISIOLOGIA El cabellode la cabeza no es solamente para vernos más atractivos. Nos mantiene abrigados conservando la temperatura. Los pelos de la nariz, las orejas y alrededor de los ojos protegen esas zonas sensibles del polvo y otras partículas pequeñas.
  • 22.
    UÑA Las uñas estanformadas principalmente por células muertas endurecidas que contienen queratina, proteína fibrosa que el cuerpo produce de manera natural. El ritmo de crecimiento varía de un dedo a otro y de una persona a otra. Crecen a una velocidad promedio de 0,1 mm/día (1 mm cada 10 días o unos 3 mm al mes). Tardan de 4 a 5 meses en volver a crecer completamente. Las uñas de los pies tardan en volver a crecer completamente de 6 a 7 meses.
  • 23.
    IRRIGACIÓN SANGUÍNEA Exíste unplexo cutáneo, en la zona de unión dermohipodermica, constituido por arterias y venas que provienen de la red subcutanea. Plexo subpapilar, constituido por pequeñas venulas y arteriolas.Estas emiten asas capilares hacia cada papila. Los folículos pilosos y las glándulas sebáceas son irrigados por una red perifolicular. Las glándulas sudoríparas son irrigados por la red cutánea. Exísten comunicaciones arteriovenosa, importantes para la termorregulación de la piel
  • 24.
    INERVACIÓN Procede del SNAy controla los anexos, exíste inervación cutánea y el flujo vascular Hay terminaciones nerviosas motoras para los vasos sanguíneos, los musculos erectores del pelo y las glándulas sudoríparas Las terminciones nerviosas sensitivas se encuentran en la hipodermis y la dermis. La epidermis también presenta muchas terminaciones nerviosas libres de naturaleza sensitiva. Exísten terminaciones nerviosas encapsuladas: Corpúsculos de Meissner, Vater Pacini, de Ruffini y de Krause
  • 25.
    ACTIVIDAD – TRABAJOESCRITO 1. Realizar un escrito sobre 5 enfermedades de la piel donde identifique: definicion, sintomas, causas, diagnostico, tratamiento, factores de riesgo, complicaciones y prevencion) 2. Cual seria el papel de enfermeria en la atencion y cuidado a pacientes con dichas enfermedades?