PIEL
 Importanteórgano de los sentidos
 siendo un receptor de estímulos.

 Es
   la parte mas extensa del cuerpo
 humano.

 Su
   superficie suele ser de 1.5 a 2
 metros cuadrados.
Funciones
   Protección: Cubrir el
    cuerpo y proteger los
    tejidos internos de la
    deshidratación, las
    lesiones y la invasión
    de microorganismos
    infectantes.
   Recepción de estímulos, regulación de la
    temperatura corporal, tacto, dolor, presión.
   Excreción: Eliminar agua y varias sustancias
    tóxicas mediante el sudor .
   Absorción de
    sustancias así como de
    rayos UV que fijan el
    calcio y la vitamina B.
HISTOLOGÍA DE LA PIEL
Epidermis.
  Estrato basal.
  Estrato espinoso.
  Estrato granuloso.
  Estrato córneo.


Dermis.

Hipodermis.
CLASIFICACIÓN
De acuerdo a su espesor que puede ser desde menos
de 1 mm hasta 5 mm:

                        o PIEL DELGADA O FINA

                        Recubre la mayor parte del
                        cuerpo, tiene estrato córneo
                        delgado carece de estrato
                        lúcido y granuloso, tiene
                        folículos pilosos, músculos
                        erectores del pelo, glándulas
                        sebáceas y glándulas
                        sudoríparas.
   PIEL GRUESA

Recubre las palmas de las manos y las plantas de los
pies, se caracteriza por la presencia de las cinco
capas; carece de folículos pilosos, músculos
erectores del pelo y glándulas sebáceas, pero posee
glándulas sudoríparas.
EPIDERMIS
   Epitelio
    estratificado.
ESTRATO CÓRNEO
 Ahí se encuentra la
  queratina (sustancia
  impermeable).
 Tiene capas celulares
  queratinizadas,
  aplanadas y muertas es
  decir queratinocitos.
ESTRATO LÚCIDO
   Capa delgada de tinción
    clara de queratinocitos
    sin núcleos ni organelos,
    las células contienen
    filamentos de queratina y
    eleidina ( sustancias
    impermeables).
ESTRATO GRANULOSO
 3 a 5 capas.
 Queratinocitos.

 Células con queratohialina
  (sustancia precursora de la
  queratina).
ESTRATO ESPINOSO
 El estrato espinoso se conforma por células
  con forma poligonal.
 Los núcleos son redondos y el citosol es de
  características basofílicas.
 Contiene a las células de Langerhans (células
  presentadoras de antígeno)
ESTRATO BASAL
 Células cilindricas a
  cubicas.
 Se unen por medio de
  desmososmas .
 Actividad mitótica.

 Se encuentran Células de
  Merkel ( sirven como
  mecanorreceptores y son
  abundantes en yemas de
  los dedos, mucosa oral, y
  folículos pilosos).
 Melanocitos (dan la
  coloración a la piel).
DERMIS
 Capa profunda de tejido conjuntivo.
 Abundancia de las fibras de colágeno y elásticas
  que le dan a la piel la consistencia y elasticidad.
Se divide en 2 :

 Papilar.
 Reticular.
DERMIS PAPILAR
 Se interdigita con la epidermis.
 Forma papilas dérmicas.

 Hay colágena.

 Se encuentran lechos capilares.

 También hay mecanorreceptores.

 Algunos melanocitos.
CAPA RETICULAR
 La capa mas profunda.
 Hay colágena tipo 1.

 Contiene glándulas sudoríparas y sebáceas ,
  folículos pilosos, músculos erectores del pelo y
  algunos mecanorreceptores (Paccini).
TINCIÓN DE GALLEGO EN
DERMIS PAPILAR Y RETICULAR
HIPODERMIS
 Compuesto de tejido conjuntivo laxo y adiposo.
 Da funciones a la piel de regulación térmica.

 Los componentes propios que integran al tejido
  subcutáneo son:
    Ligamentos cutáneos.
    Nervios cutáneos.
    Grasa.
    Vasos sanguíneos y linfáticos.
ANEXOS O FANERAS
 Folículos pilosos.

 Glándulas sebáceas.

 Glándulas sudoríparas
  Écrinas.
  Apócrinas.


 Uñas.
FOLÍCULOS PILOSOS
                  Parte de la piel que da
                   crecimiento al cabello al
                   concentrar células
                   madre formándose a
                   partir de una
                   invaginación tubular.

                  En la base del cabello,
                   una fina red de vasos
                   sanguíneos forma la
                   raíz del mismo,
                   alrededor de la cual hay
                   una estructura blanca
                   llamada bulbo, que es
                   la región proliferativa.
GLÁNDULAS SEBÁCEAS
   Están en corion y se distribuyen en toda la
    superficie cutánea.

   Las más grandes en nariz y frente.

   Productora de sebo para la protección del pelo.

   Forma capa delgada que cubre la piel e impide
    evaporación y absorción excesiva.
GLÁNDULAS SUDORÍPARAS
ÉCRINAS
 Localizadas en todo el
 cuerpo, EXCEPTO:
 labios, clítoris, labios
 menores, glande.

 Tubulares simples no
 asociadas al folículo
 piloso.

 Vierten su producto
 secretor.

 Producen sudor como
 un método para
 refrescar la piel.
SUDOR
Ultrafiltrado de la sangre
(hipotónico)

600 ml

Calor: Regulación
colinérgica.

Estrés: Regulación
adrenérgica.
GLÁNDULAS SUDORÍPARAS
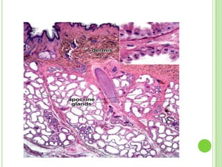
APÓCRINAS
 Axila, areola, pezón, región perianal, genitales
 externos.

 Glándulas ceruminosas y Moll apócrinas
 modificadas.

 Tubulares, luz amplia, asociadas al folículo piloso
    Adenómero.
    Canalículo.
        Epitelio estratificado.

 Secreción odorosa.

 Responden a estímulos hormonales y sensitivos.
UÑAS
 Las uñas están formadas principalmente por
  células muertas endurecidas
 Contienen queratina , una proteína fibrosa, que el
  cuerpo produce de manera natural.
   Matriz o raíz: Es la parte donde se origina la uña,
    situada bajo la piel en su parte inferior.

   Eponiquio: Es la estrecha franja del pliegue de la
    piel que parece terminar en la base del cuerpo
    ungueal. A veces se le llama cutícula.

   Hiponiquio: Es el tejido ubicado debajo del borde
    libre de la uña. Constituye un sello impermeable
    que protege el lecho ungueal de las infecciones.
   Cuerpo ungueal: Es la estructura córnea que
    normalmente conocemos como uña; la porción
    dura y translúcida compuesta de queratina.

   Lecho ungueal: Es el tejido conectivo adherente
    que se encuentra debajo de la uña y conecta con el
    dedo.

   Lúnula: Es la parte blanquecina en forma de
    medialuna. No todos los dedos la tienen visible.
REFERENCIAS
   Gartner Leslie. Hiatt James. 2007. Texto Atlas de
    Histología. Mc Graw Hill. México. 327-344pp.

   Ross Michael H. 2008. Histología: texto y atlas
    color con biología celular y molecular.
    Panamericana. Buenos Aires.368-401pp.

Tegumentario

  • 1.
  • 2.
     Importanteórgano delos sentidos siendo un receptor de estímulos.  Es la parte mas extensa del cuerpo humano.  Su superficie suele ser de 1.5 a 2 metros cuadrados.
  • 3.
    Funciones  Protección: Cubrir el cuerpo y proteger los tejidos internos de la deshidratación, las lesiones y la invasión de microorganismos infectantes.
  • 4.
    Recepción de estímulos, regulación de la temperatura corporal, tacto, dolor, presión.
  • 5.
    Excreción: Eliminar agua y varias sustancias tóxicas mediante el sudor .
  • 6.
    Absorción de sustancias así como de rayos UV que fijan el calcio y la vitamina B.
  • 7.
    HISTOLOGÍA DE LAPIEL Epidermis. Estrato basal. Estrato espinoso. Estrato granuloso. Estrato córneo. Dermis. Hipodermis.
  • 8.
    CLASIFICACIÓN De acuerdo asu espesor que puede ser desde menos de 1 mm hasta 5 mm: o PIEL DELGADA O FINA Recubre la mayor parte del cuerpo, tiene estrato córneo delgado carece de estrato lúcido y granuloso, tiene folículos pilosos, músculos erectores del pelo, glándulas sebáceas y glándulas sudoríparas.
  • 9.
    PIEL GRUESA Recubre las palmas de las manos y las plantas de los pies, se caracteriza por la presencia de las cinco capas; carece de folículos pilosos, músculos erectores del pelo y glándulas sebáceas, pero posee glándulas sudoríparas.
  • 10.
    EPIDERMIS  Epitelio estratificado.
  • 11.
    ESTRATO CÓRNEO  Ahíse encuentra la queratina (sustancia impermeable).  Tiene capas celulares queratinizadas, aplanadas y muertas es decir queratinocitos.
  • 12.
    ESTRATO LÚCIDO  Capa delgada de tinción clara de queratinocitos sin núcleos ni organelos, las células contienen filamentos de queratina y eleidina ( sustancias impermeables).
  • 13.
    ESTRATO GRANULOSO  3a 5 capas.  Queratinocitos.  Células con queratohialina (sustancia precursora de la queratina).
  • 14.
    ESTRATO ESPINOSO  Elestrato espinoso se conforma por células con forma poligonal.  Los núcleos son redondos y el citosol es de características basofílicas.  Contiene a las células de Langerhans (células presentadoras de antígeno)
  • 15.
    ESTRATO BASAL  Célulascilindricas a cubicas.  Se unen por medio de desmososmas .  Actividad mitótica.  Se encuentran Células de Merkel ( sirven como mecanorreceptores y son abundantes en yemas de los dedos, mucosa oral, y folículos pilosos).  Melanocitos (dan la coloración a la piel).
  • 16.
    DERMIS  Capa profundade tejido conjuntivo.  Abundancia de las fibras de colágeno y elásticas que le dan a la piel la consistencia y elasticidad.
  • 17.
    Se divide en2 :  Papilar.  Reticular.
  • 18.
    DERMIS PAPILAR  Seinterdigita con la epidermis.  Forma papilas dérmicas.  Hay colágena.  Se encuentran lechos capilares.  También hay mecanorreceptores.  Algunos melanocitos.
  • 20.
    CAPA RETICULAR  Lacapa mas profunda.  Hay colágena tipo 1.  Contiene glándulas sudoríparas y sebáceas , folículos pilosos, músculos erectores del pelo y algunos mecanorreceptores (Paccini).
  • 22.
    TINCIÓN DE GALLEGOEN DERMIS PAPILAR Y RETICULAR
  • 23.
    HIPODERMIS  Compuesto detejido conjuntivo laxo y adiposo.  Da funciones a la piel de regulación térmica.  Los componentes propios que integran al tejido subcutáneo son:  Ligamentos cutáneos.  Nervios cutáneos.  Grasa.  Vasos sanguíneos y linfáticos.
  • 25.
    ANEXOS O FANERAS Folículos pilosos. Glándulas sebáceas. Glándulas sudoríparas  Écrinas.  Apócrinas. Uñas.
  • 26.
    FOLÍCULOS PILOSOS  Parte de la piel que da crecimiento al cabello al concentrar células madre formándose a partir de una invaginación tubular.  En la base del cabello, una fina red de vasos sanguíneos forma la raíz del mismo, alrededor de la cual hay una estructura blanca llamada bulbo, que es la región proliferativa.
  • 28.
    GLÁNDULAS SEBÁCEAS  Están en corion y se distribuyen en toda la superficie cutánea.  Las más grandes en nariz y frente.  Productora de sebo para la protección del pelo.  Forma capa delgada que cubre la piel e impide evaporación y absorción excesiva.
  • 31.
    GLÁNDULAS SUDORÍPARAS ÉCRINAS Localizadasen todo el cuerpo, EXCEPTO: labios, clítoris, labios menores, glande. Tubulares simples no asociadas al folículo piloso. Vierten su producto secretor. Producen sudor como un método para refrescar la piel.
  • 32.
    SUDOR Ultrafiltrado de lasangre (hipotónico) 600 ml Calor: Regulación colinérgica. Estrés: Regulación adrenérgica.
  • 33.
    GLÁNDULAS SUDORÍPARAS APÓCRINAS Axila,areola, pezón, región perianal, genitales externos. Glándulas ceruminosas y Moll apócrinas modificadas. Tubulares, luz amplia, asociadas al folículo piloso Adenómero. Canalículo. Epitelio estratificado. Secreción odorosa. Responden a estímulos hormonales y sensitivos.
  • 35.
    UÑAS  Las uñasestán formadas principalmente por células muertas endurecidas  Contienen queratina , una proteína fibrosa, que el cuerpo produce de manera natural.
  • 36.
    Matriz o raíz: Es la parte donde se origina la uña, situada bajo la piel en su parte inferior.  Eponiquio: Es la estrecha franja del pliegue de la piel que parece terminar en la base del cuerpo ungueal. A veces se le llama cutícula.  Hiponiquio: Es el tejido ubicado debajo del borde libre de la uña. Constituye un sello impermeable que protege el lecho ungueal de las infecciones.
  • 38.
    Cuerpo ungueal: Es la estructura córnea que normalmente conocemos como uña; la porción dura y translúcida compuesta de queratina.  Lecho ungueal: Es el tejido conectivo adherente que se encuentra debajo de la uña y conecta con el dedo.  Lúnula: Es la parte blanquecina en forma de medialuna. No todos los dedos la tienen visible.
  • 40.
    REFERENCIAS  Gartner Leslie. Hiatt James. 2007. Texto Atlas de Histología. Mc Graw Hill. México. 327-344pp.  Ross Michael H. 2008. Histología: texto y atlas color con biología celular y molecular. Panamericana. Buenos Aires.368-401pp.