NEUROCISTICERCOSIS
Dra. Diana Carolyn Deras Gaucin
Taenia solium
• Es un céstodo
• Huésped definitivo: humano
• Huésped intermediario: cerdos y humanos
Ciclo biológico de taenia solium
• El cerdo ingiere heces humanas con huevecillos de
taenia.
• Se liberan las oncosferas que atraviesan la pared
intestinal y entran al flujo sanguíneo y llegan al
músculo estriado y cerebro. Evolucionan las
oncosferas a larvas y el humano ingiere la carne
de cerdo contaminada.
• Las larvas evaginan en el I. Delgado, el escolex se
adhiere a la pared intestinal, el cuerpo del parásito
empieza a crecer y a formar proglótides que al
estar grávidos se separan de la taenia y son
expulsados con las heces.
Formas de adquisición
• Ingestión de comida contaminada con
huevecillos.
• Contaminación ano-mano-boca
• Frutas y vegetales contaminados con heces
fecales utilizados como abono.
• Portadores asintomáticos.
Cisticercos
Son vesículas con un escolex invaginado, que
tienen 3 capas:
• Cuticular o externa =glicocálix
• Celular o media
• Reticular o interna
• Cysticercus cellulosae = tiene escolex
• Cysticercus racemosus= no tienen escolex
• “forma celulosa”
• “forma racemosa”
Aspecto macróscopico
• Parenquimatosos= pequeños 10 mm,
corteza cerebral y ganglios basales
• Subaracnoideos= pequeños en los surcos
corticales, > 50 mm en las cisternas de la
base del cráneo
• Ventriculares= pequeños o grandes, únicos.
En el IV ventriculo pueden estar adheridos
a la capa ependimaria o flotando
Aspecto macroscópico
• Espacio subdural
• Región selar
• Nervio óptico ( espacio retro-orbitario)
• Espinales: espacio subaracnoideo o
parénquima medular
• Globo ocular: espacio subretiniano, a nivel
de la región macular; vítreo, cámara
anterior, espacio subconjuntival, párpados.
Estadíos de evolución
• Vesicular: Membrana vesicular translúcida; líquido
transparente; escolex viable e invaginado.Escasa reacción
inflamatoria
• Coloidal: menbrana vesicular gruesa ; líquido turbio;
escolex con evidencia de degeneración hialina: Intensa
reacción inflamatoria.
• Granular: membrana vesicular gruesa; escolex
degenerado. Gliosis astrocitaria.
• Calcificado: Transformación del parásito en un nodulo
mineralizado. Gliosis intensa, presencia de celulas gigantes
multinucleadas.
• Reacción inflamatoria: linfocitos, células
plasmáticas y eosinofilos= edema y gliosis
reactiva---epilepsia.
• Engrosamiento de leptomenínges en la base del
cráneo.
• Oclusión de agujeros de Luschka y Magendie=
hidrocefalia
• Endarteritis proliferativa
• Ependimitis granular ( cisticercosis ventricular)
Respuesta inmunológica y
relación huésped-parásito
• Proteínas de las membranas de los
cisticercos con propiedades antigénicas.
• Acs. Específicos IgG e IgM- AgB
• HLA adheridos a su membrana= HLA A28
=R 3.55
• Aumento de CD8, alteración de la
proliferación de linfocitos y
concentraciones anormales de linfocitos.
Manifestaciones clínicas
• Afecta indistintamente hombres y mujeres.
• Más frecuente en adultos jovenes.
• Pleomorfismo clínico ( diferencias en el número y
localización de lesiones y de la intensidad de la respuesta
inflamatoria ante el parásito):
• a: asintomática
• b: benigno
• c: graves manifestaciones- incapacidad o muerte
• “el gran imitador” : epilepsia, signos neurológicos de
focalización e hipertensión endocraneal.
NCC parenquimatosa
• Epilepsia de inicio tardío: CCTCG
• Signos de focalización: piramidales, subagudos o crónicos
( tumores)
• alteraciones sensitivas
• Movimientos involuntarios
• HIC sec a encefalitis cisticercosa de inicio subagudo
• Disminuye el nivel de conciencia, CC, cefalea, vómito y
edema de papila
• A veces simula psudotumor cerebri
• Manifestaciones psiquiatricas o transtornos cerebrales
orgánicos
NCC subaracnoidea
• Hidrocefalia
• Cuadro sugestivo de HIC o cuadro crónico de hidrocefalia
normotensa
• Aracnoiditis cisticercosa enla base del cráneo: nervios
oculomotores, quiasma y nervios ópticos)
• Quistes subaracnoideos en el angulo pontocerebeloso:
hipoacusia neurosensorial, vértigo, parálisis facial
periférica, neuralgia del trigémino y ataxia cerebelosa.
• EVC isquémicos sec a endarteritis
• Angeitis cisticercosa
• Demencia progresiva sec a oclusión de ambas ACA
NCC
• Ventricular:
V. Laterales y III ventriculo= HIC subaguda
IV ventriculo= hidrocefalia subaguda y disfunción del tallo o
sx de bruns: cefalea, vómitos, vertigo y disminución
conciencia.
• Intraselar: oftalmológicos y endocrinológicos
• Espinal:
Parénquima medular = mielitis transversa
Espacio subaracnoideo espinal + aracnoiditis= dolor radicular
NCC
• Ocular : disminución de la agudeza visual o
defectos campimetricos; uveitis o
endoftalmitis; iridociclitis; proptosis; ptosis
y conjuntivitis.
• Sistémica: Subcutáneos u musculares o
asintomático
Diagnóstico
• Examenes complementarios: neuroimagen,
pruebas inmunológicas e histopatológico.
• Interpretación adecuada de los exámenes
complementarios, contexto clínico y
epidemiológico.
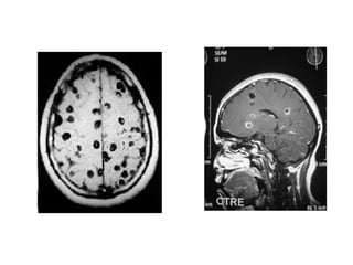
Tomografia computada
• C. Vesiculares
• C. Coloidales= “fase encefalítica aguda”
• C. Granular
• C. calcificados
IRM
• Quistes vesiculares= lesiones redondeadas, señales
similares al LCR en T1 y T2 con escolex= nodulo
hiperintenso
• Quistes coloidales = T2 Hiperintensos con
respecto al parénquima, con edema y con cápsula
hipointensa con captación anular del contraste
• C. Granulares= Areas sin señal en t1 y T2
rodeados de un halo hiperintenso= gliosis
perilesional.
IRM
• Encefalitis cisticercosa: T1 multiples lesiones hipointensas
diseminadas en elparénquima cerebral; t2 se tornan
hiperintensos y se rodean de edema difuso
• Quistes ventriculares
• Aracnoiditis difusa, hidrocefalia, reforzamiento anormal de
las leptomenínges y atrapamiento de los vasos sanguíneos
que forman el polígono de Willis.
• “Migración ventricular”
• NCC espinal= quistes intramedulares, quistes
leptomeníngeos- mielografía- defectos de llenado.
LCR
• Pleocitosis linfocitaria (300-5000 / mm3), 60% eosinofilos
• Hiperproteinorraquía ( 50-300 mg/dl)
• Glucosa normal 12-18% ( < 40 mg/dl, < 10 mg/dl= mal
pronóstico)
• P. Inmunológicas:
Reacción de fijación de complemento
• ELISA > 30% falsos negativos y falsos positivos . En
LCR: S 87% E 95%
• Anticuerpos anticisticerco de tipo IgG e IgM
• Inmunoblot: S 94-98% E 100%
Tratamiento
• Combinación de drogas cisticidas, de
medidas sintomáticas y cirugía.
• Cisticidas:
• Praziquantel 50 mg/kg/día 15 días
• Albendazol 15 mg/kg/día 7 días
NCC parenquimatosa
• Calcificaciones = no cisticida, uso de
antiepileptico
• Fase vesicular = cisticida
• Encefalitis cisticercosa = no cisticidas=
edema e HIC
• Hidrocefalia y quistes parenquimatosos= 1.
SDVP y 2. Cisticidas
NCC subaracnoidea
• Quistes pequeños subaracnoideos= cisticida
• Quistes gigantes en valle silviano o cisticercos
basales= controversial; quirúrgico vs
médico+corticoesteroides y nimodipina
• Hidrocefalia sec a aracnoiditis cisticercosa =
SDVP+ PDN 50 mg/día 3 veces por semana por 2
o más años para reducir la disfunción valvular
NCC
• NCC ventricular=De acuerdo a tamaño y localización: Tx
médico vs Qx ( escisión directa o aspiración endoscópica).
Si hay ependimitis granular = SDVP ( incluso 2 SDVP)
• NCC espinal= resección quirúrgica
• NCC ocular= quistes intraoculares= resección quirúrgica (
paracentesis, crioextracción, viscoexpresión,
fotocoagulación o incisiones coroidoesclerales). El
tratamiento médico es albendazol + metilprednisolona
periocular.

NEUROCISTICERCOSIS.pdf

  • 1.
  • 2.
    Taenia solium • Esun céstodo • Huésped definitivo: humano • Huésped intermediario: cerdos y humanos
  • 3.
    Ciclo biológico detaenia solium • El cerdo ingiere heces humanas con huevecillos de taenia. • Se liberan las oncosferas que atraviesan la pared intestinal y entran al flujo sanguíneo y llegan al músculo estriado y cerebro. Evolucionan las oncosferas a larvas y el humano ingiere la carne de cerdo contaminada. • Las larvas evaginan en el I. Delgado, el escolex se adhiere a la pared intestinal, el cuerpo del parásito empieza a crecer y a formar proglótides que al estar grávidos se separan de la taenia y son expulsados con las heces.
  • 5.
    Formas de adquisición •Ingestión de comida contaminada con huevecillos. • Contaminación ano-mano-boca • Frutas y vegetales contaminados con heces fecales utilizados como abono. • Portadores asintomáticos.
  • 6.
    Cisticercos Son vesículas conun escolex invaginado, que tienen 3 capas: • Cuticular o externa =glicocálix • Celular o media • Reticular o interna
  • 7.
    • Cysticercus cellulosae= tiene escolex • Cysticercus racemosus= no tienen escolex • “forma celulosa” • “forma racemosa”
  • 8.
    Aspecto macróscopico • Parenquimatosos=pequeños 10 mm, corteza cerebral y ganglios basales • Subaracnoideos= pequeños en los surcos corticales, > 50 mm en las cisternas de la base del cráneo • Ventriculares= pequeños o grandes, únicos. En el IV ventriculo pueden estar adheridos a la capa ependimaria o flotando
  • 10.
    Aspecto macroscópico • Espaciosubdural • Región selar • Nervio óptico ( espacio retro-orbitario) • Espinales: espacio subaracnoideo o parénquima medular • Globo ocular: espacio subretiniano, a nivel de la región macular; vítreo, cámara anterior, espacio subconjuntival, párpados.
  • 11.
    Estadíos de evolución •Vesicular: Membrana vesicular translúcida; líquido transparente; escolex viable e invaginado.Escasa reacción inflamatoria • Coloidal: menbrana vesicular gruesa ; líquido turbio; escolex con evidencia de degeneración hialina: Intensa reacción inflamatoria. • Granular: membrana vesicular gruesa; escolex degenerado. Gliosis astrocitaria. • Calcificado: Transformación del parásito en un nodulo mineralizado. Gliosis intensa, presencia de celulas gigantes multinucleadas.
  • 12.
    • Reacción inflamatoria:linfocitos, células plasmáticas y eosinofilos= edema y gliosis reactiva---epilepsia. • Engrosamiento de leptomenínges en la base del cráneo. • Oclusión de agujeros de Luschka y Magendie= hidrocefalia • Endarteritis proliferativa • Ependimitis granular ( cisticercosis ventricular)
  • 13.
    Respuesta inmunológica y relaciónhuésped-parásito • Proteínas de las membranas de los cisticercos con propiedades antigénicas. • Acs. Específicos IgG e IgM- AgB • HLA adheridos a su membrana= HLA A28 =R 3.55 • Aumento de CD8, alteración de la proliferación de linfocitos y concentraciones anormales de linfocitos.
  • 14.
    Manifestaciones clínicas • Afectaindistintamente hombres y mujeres. • Más frecuente en adultos jovenes. • Pleomorfismo clínico ( diferencias en el número y localización de lesiones y de la intensidad de la respuesta inflamatoria ante el parásito): • a: asintomática • b: benigno • c: graves manifestaciones- incapacidad o muerte • “el gran imitador” : epilepsia, signos neurológicos de focalización e hipertensión endocraneal.
  • 15.
    NCC parenquimatosa • Epilepsiade inicio tardío: CCTCG • Signos de focalización: piramidales, subagudos o crónicos ( tumores) • alteraciones sensitivas • Movimientos involuntarios • HIC sec a encefalitis cisticercosa de inicio subagudo • Disminuye el nivel de conciencia, CC, cefalea, vómito y edema de papila • A veces simula psudotumor cerebri • Manifestaciones psiquiatricas o transtornos cerebrales orgánicos
  • 16.
    NCC subaracnoidea • Hidrocefalia •Cuadro sugestivo de HIC o cuadro crónico de hidrocefalia normotensa • Aracnoiditis cisticercosa enla base del cráneo: nervios oculomotores, quiasma y nervios ópticos) • Quistes subaracnoideos en el angulo pontocerebeloso: hipoacusia neurosensorial, vértigo, parálisis facial periférica, neuralgia del trigémino y ataxia cerebelosa. • EVC isquémicos sec a endarteritis • Angeitis cisticercosa • Demencia progresiva sec a oclusión de ambas ACA
  • 17.
    NCC • Ventricular: V. Lateralesy III ventriculo= HIC subaguda IV ventriculo= hidrocefalia subaguda y disfunción del tallo o sx de bruns: cefalea, vómitos, vertigo y disminución conciencia. • Intraselar: oftalmológicos y endocrinológicos • Espinal: Parénquima medular = mielitis transversa Espacio subaracnoideo espinal + aracnoiditis= dolor radicular
  • 19.
    NCC • Ocular :disminución de la agudeza visual o defectos campimetricos; uveitis o endoftalmitis; iridociclitis; proptosis; ptosis y conjuntivitis. • Sistémica: Subcutáneos u musculares o asintomático
  • 20.
    Diagnóstico • Examenes complementarios:neuroimagen, pruebas inmunológicas e histopatológico. • Interpretación adecuada de los exámenes complementarios, contexto clínico y epidemiológico.
  • 21.
    Tomografia computada • C.Vesiculares • C. Coloidales= “fase encefalítica aguda” • C. Granular • C. calcificados
  • 22.
    IRM • Quistes vesiculares=lesiones redondeadas, señales similares al LCR en T1 y T2 con escolex= nodulo hiperintenso • Quistes coloidales = T2 Hiperintensos con respecto al parénquima, con edema y con cápsula hipointensa con captación anular del contraste • C. Granulares= Areas sin señal en t1 y T2 rodeados de un halo hiperintenso= gliosis perilesional.
  • 24.
    IRM • Encefalitis cisticercosa:T1 multiples lesiones hipointensas diseminadas en elparénquima cerebral; t2 se tornan hiperintensos y se rodean de edema difuso • Quistes ventriculares • Aracnoiditis difusa, hidrocefalia, reforzamiento anormal de las leptomenínges y atrapamiento de los vasos sanguíneos que forman el polígono de Willis. • “Migración ventricular” • NCC espinal= quistes intramedulares, quistes leptomeníngeos- mielografía- defectos de llenado.
  • 25.
    LCR • Pleocitosis linfocitaria(300-5000 / mm3), 60% eosinofilos • Hiperproteinorraquía ( 50-300 mg/dl) • Glucosa normal 12-18% ( < 40 mg/dl, < 10 mg/dl= mal pronóstico) • P. Inmunológicas: Reacción de fijación de complemento • ELISA > 30% falsos negativos y falsos positivos . En LCR: S 87% E 95% • Anticuerpos anticisticerco de tipo IgG e IgM • Inmunoblot: S 94-98% E 100%
  • 26.
    Tratamiento • Combinación dedrogas cisticidas, de medidas sintomáticas y cirugía. • Cisticidas: • Praziquantel 50 mg/kg/día 15 días • Albendazol 15 mg/kg/día 7 días
  • 27.
    NCC parenquimatosa • Calcificaciones= no cisticida, uso de antiepileptico • Fase vesicular = cisticida • Encefalitis cisticercosa = no cisticidas= edema e HIC • Hidrocefalia y quistes parenquimatosos= 1. SDVP y 2. Cisticidas
  • 28.
    NCC subaracnoidea • Quistespequeños subaracnoideos= cisticida • Quistes gigantes en valle silviano o cisticercos basales= controversial; quirúrgico vs médico+corticoesteroides y nimodipina • Hidrocefalia sec a aracnoiditis cisticercosa = SDVP+ PDN 50 mg/día 3 veces por semana por 2 o más años para reducir la disfunción valvular
  • 29.
    NCC • NCC ventricular=Deacuerdo a tamaño y localización: Tx médico vs Qx ( escisión directa o aspiración endoscópica). Si hay ependimitis granular = SDVP ( incluso 2 SDVP) • NCC espinal= resección quirúrgica • NCC ocular= quistes intraoculares= resección quirúrgica ( paracentesis, crioextracción, viscoexpresión, fotocoagulación o incisiones coroidoesclerales). El tratamiento médico es albendazol + metilprednisolona periocular.