Más contenido relacionado
PPTX
Pancreatitis clase i part 2.ppt PPTX
PPT
PPT
PPTX
PPTX
PPTX
PPTX
Destacado
PPT
PPTX
Reacciones adversas a los mcr PPT
PPTX
Abdomen agudo de causas urologicas no traumaticas PPTX
PPTX
Espo ca gastrico articulo PPTX
PPTX
PPT
PPTX
PPTX
PPTX
Accesos venosos centrales PPTX
Más de residenciaimagenescastex
PPTX
Reacciones adversas a los mcr PPTX
Evaluation of gastric pathology PPT
PPTX
PPTX
PPTX
PPT
PPT
PPT
PDF
PPTX
PPT
Dangerous areas in head ct interpretation copia2 PPT
Dangerous areas in head ct interpretation copia1 PPTX
Introduction to cranial ct PPTX
PPTX
PPTX
PPTX
PPTX
PPTX
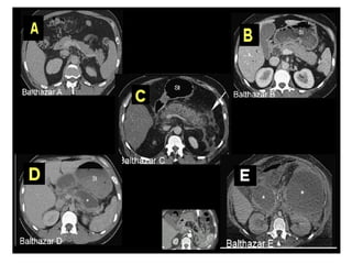
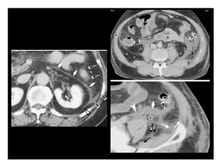
Pancreatitis clase i part 1
- 1.
- 2.
- 3.
- 4.
- 5.
- 6.
- 7.
- 8.
- 9.
- 10.
- 11.
- 12.
- 13.
- 14.
- 15.
- 16.
- 17.
- 18.
- 19.
- 20.
- 21.
- 22.
- 23.
- 24.
- 25.
- 26.
- 27.
- 28.
- 29.
- 30.
- 31.
- 32.
- 33.
- 34.
- 35.
- 36.
- 37.
- 38.
- 39.
- 40.