HOSPITAL CASTEX
SANDRA L, BELTRAN, DORIAN LA PALMA
DIAGNOSTICO POR IMÁGENES


TORAX
DEFINICIONES
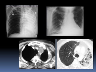
BRONQUIECTASIA
 dilatación bronquial localizada o difusa, generalmente como
  resultado de una infección crónica, obstrucción de las vías
  proximal, o anomalía congénita bronquial .

 Rx y TAC .-criterios en cortes finos CT exploraciones incluyen
  dilatación bronquial con respecto a la pulmonar (signo de
  anillo de sello), identificación de los bronquios dentro de 1 cm
  de la superficie pleural. Bronquiectasia pueden clasificarse
  como cilíndricas, varicosas o quístico, dependiendo en la
  apariencia de la afectada bronquios. A menudo es
  acompañado por el engrosamiento de la pared bronquial,
  mucoso impactación, y anormalidades de las vías aéreas de
  pequeño
BULLA

 Un espacio aéreo de más de 1 cm-por lo general
  de varios cm de diámetro, bien delimitada por
  una pared delgada que no es mayor de 1 mm de
  espesor. Una bulla normalmente esta
  acompañado por enfisema y cambios en el
  pulmón adyacente.
Rx y TAC bulla
 aparece como una lucidez redondeada focal o
  área de disminución de la atenuación.
 Bullas múltiple están asociados con otro sg de
  enfisema pulmonar (centrolobulillary
  paraseptal).
ENFISEMA BULLOSO

 enfisema bulloso es la destrucción del
  parénquima pulmonar, generalmente en un
  fondo de paraseptal o enfisema panacinar.
CAVIDAD

 Rx y TAC .-Es un espacio lleno de gas, vistos
  como un lucencia o área de baja atenuación,
  dentro del pulmón, consolidación, una masa o
  un nódulo.
 En el caso de consolidación de cavitación, la
  consolidación original puede resolver y dejar sólo
  una pared delgada.
 Una cavidad se produce generalmente por la
  expulsión o drenaje de una parte necrótica de la
  lesión a través del árbol bronquial. A veces
  contiene un nivel de fluido, cavidad no es un
  sinónimo para el absceso.
ENFISEMA CENTRO LOBULILLAR
   Se caracteriza por destrucción de paredes alveolares, tambn ampliación de
    los bronquiolos respiratorios.
   Es la forma mas común en pctes fumadores
   TAC hallazgos: centrolobulillar, areas de disminución de la atenuación,
    paredes visibles, de uniforme distribución, situadas en mayor frecuencia en
    pulmón sup.
   Este término también se utiliza por los patólogos para describir la
    localización de las lesiones
   CT scans.-pequeño o lineales opacidad en el centro de uno normal . más
    obvio dentro de 1 cm de una superficie pleural.
   un patrón de árbol en gemación indicando pequeña vías respiratorias.
EMPEDRADO PATRON CRAZY
PAVING
 CT-scans. Este patrón aparece como septos
  interlobulillares engrosados ​y intralobular líneas
  superpuestas en una fondo de vidrio deslustrado.
  semejante a una forma irregular pavimentación
  piedras.
 El patrón de empedrado es a menudo bien
  delimitado.
 También se informó originalmente en pacientes
  con proteinosis alveolar y también se encuentra
  en enfermedades que afectan tanto al intersticio
  y los compartimientos del espacio aéreo, tales
  como neumonía lipoide .
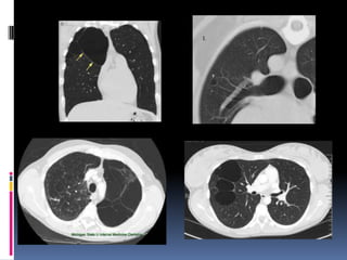
QUISTE


 Es cualquier ronda circunscrito espacio que está rodeado
  por una pared epitelial o fibroso de la variable espesor .
 RX y TAC -Un quiste aparece como una radiolucencia del
  parénquima ronda o bajo de atenuación con un área bien
  definida interfaz con pulmonar normal.
 Quistes tienen espesor de pared variable, pero son
  generalmente de paredes delgadas (? 2 mm)
 Los quistes en el pulmón generalmente contienen aire,
  pero contienen ocasionalmente líquido o material sólido.
OPACIDAD DE VIDRIO ESMERILADO
 RX y TAC- aparece como un área
  de mayor pulmón brumoso,
  opacidad, generalmente
  extensa.
 tac aparece como opacidad
  nebuloso, aumento del pulmón,
  con preservación bronquial y
  vascular .
 parcial relleno de los espacios
  aéreos, engrosamiento
  intersticial (debido al líquido,
  células, y / o fibrosis), colapso
  parcial de los alvéolos, el
  aumento de capilar de volumen
  de sangre, o una combinación de
  estos, el factor común es el
  desplazamiento parcial del aire.
PANAL DE ABEJA

    Representa un pulmón destruido y fibrótico que contiene numerosos
    espacios aéreos quísticos con gruesas paredes fibrosas.
   Con pérdida completa de la arquitectura acinar.
   Los quistes varían en tamaño desde unos pocos milímetros a varios
    centímetros de diámetro, tener un espesor de pared variable, y están
    revestidos por epitelio bronquiolar metaplásico.
   RX y TAC :aparece como anillo, típicamente 3-10 mm de diámetro con
    paredes de 1-3 mm de espesor, que se asemejan a un nido de abeja; el
    hallazgo implica etapa final de enfermedad pulmonar.
   En la TC espacios quísticos aire, diámetros de 3-10 m, ocasionalmente tan
    grande como 2,5 cm .
    Panal suele ser subpleural y se caracteriza por pared definida.

   panal de abeja a menudo se considera específico para la fibrosis pulmonar y
    es una criterio importante en el diagnóstico de neumonía intersticial .
FIBROSIS PULMONAR IDIOPATICA
 Es una forma específica de fibrosis crónica
 se caracteriza por patrón de neumonía
  intersticial usual.
 Radiografías y TAC :
 hallazgos típicos de imagen opacidades y
  panal de abeja, con distribución
  predominantemente periférica y basal.
  Opacidad en vidrio esmerilado,
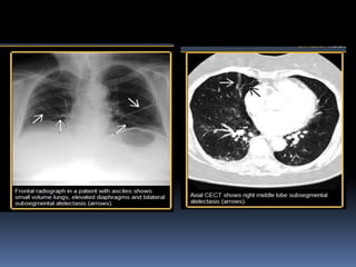
ATELECTASIA LINEAL
 RX y TAC . atelectasia lineal es un área focal.
 atelectasia con una configuración lineal, casi
  siempre se extiende a la pleura.
 Es comúnmente horizontal pero a veces oblicua
  o vertical.
 El espesor de la atelectasia puede variar desde
  unos pocos milímetros a más de 1cm
 Atelectasia lineal es también llamado como
  atelectasia discoide o forma de placa.
PATRON NODULAR

 Radiografías y TAC - se
  caracteriza en las rx de
  tórax por la presencia de
  innumerables pequeñas
  opacidades redondeadas
  que son discretas y el
  rango de diámetro de 2 a
  10 mm .
 La distribución se
  extiende, pero no
  necesariamente
  uniforme.
REDISTRIBUCION FLUJO
SANGUINEO PULMONAR
 se refiere a cualquier salida a partir de la
  distribución normal del flujo sanguíneo en los
  pulmones.
 Es causada por un aumento en la resistencia
  vascular pulmonar .
 Rx y TAC PULMONAR- redistribución del flujo
  sanguíneo es indicada por una disminución en el
  tamaño y / o número de vasos pulmonares
  visibles en una o más regiones pulmonares.
  pacientes con desviación mitral, enfermedad de
  la válvula es el ejemplo arquetípico de
  redistribución.
PATRON RETICULAR

 Radiografías y TAC-. es
  una colección de
  pequeñas lineas, opacas
  que en suma, producen
  una apariencia parecida
  a una red (sinónimo:
  reticulación) este
  hallazgo por lo general
  representa enf pulmonar
  intersticial.
PATRON RETICULO NODULAR
 RX y TAC – combinado patrón reticular y
  nodular, suele ser el resultado de la suma de los
  puntos de intersección de innumerables líneas,
  creando el efecto en las rx de tórax de
  micromódulos.
 la dimensión de los nódulos depende de la
  tamaño y el número de lineas o curvilíneas.
 TAC aparece como una concurrencia reticular y
  micronodular . Los micronódulos puede estar
  situado en el centro de la reticular.
Pulmon terminos

Pulmon terminos

  • 1.
    HOSPITAL CASTEX SANDRA L,BELTRAN, DORIAN LA PALMA DIAGNOSTICO POR IMÁGENES TORAX DEFINICIONES
  • 10.
    BRONQUIECTASIA  dilatación bronquiallocalizada o difusa, generalmente como resultado de una infección crónica, obstrucción de las vías proximal, o anomalía congénita bronquial .  Rx y TAC .-criterios en cortes finos CT exploraciones incluyen dilatación bronquial con respecto a la pulmonar (signo de anillo de sello), identificación de los bronquios dentro de 1 cm de la superficie pleural. Bronquiectasia pueden clasificarse como cilíndricas, varicosas o quístico, dependiendo en la apariencia de la afectada bronquios. A menudo es acompañado por el engrosamiento de la pared bronquial, mucoso impactación, y anormalidades de las vías aéreas de pequeño
  • 14.
    BULLA  Un espacioaéreo de más de 1 cm-por lo general de varios cm de diámetro, bien delimitada por una pared delgada que no es mayor de 1 mm de espesor. Una bulla normalmente esta acompañado por enfisema y cambios en el pulmón adyacente. Rx y TAC bulla  aparece como una lucidez redondeada focal o área de disminución de la atenuación.  Bullas múltiple están asociados con otro sg de enfisema pulmonar (centrolobulillary paraseptal).
  • 16.
    ENFISEMA BULLOSO  enfisemabulloso es la destrucción del parénquima pulmonar, generalmente en un fondo de paraseptal o enfisema panacinar.
  • 18.
    CAVIDAD  Rx yTAC .-Es un espacio lleno de gas, vistos como un lucencia o área de baja atenuación, dentro del pulmón, consolidación, una masa o un nódulo.  En el caso de consolidación de cavitación, la consolidación original puede resolver y dejar sólo una pared delgada.  Una cavidad se produce generalmente por la expulsión o drenaje de una parte necrótica de la lesión a través del árbol bronquial. A veces contiene un nivel de fluido, cavidad no es un sinónimo para el absceso.
  • 19.
    ENFISEMA CENTRO LOBULILLAR  Se caracteriza por destrucción de paredes alveolares, tambn ampliación de los bronquiolos respiratorios.  Es la forma mas común en pctes fumadores  TAC hallazgos: centrolobulillar, areas de disminución de la atenuación, paredes visibles, de uniforme distribución, situadas en mayor frecuencia en pulmón sup.  Este término también se utiliza por los patólogos para describir la localización de las lesiones  CT scans.-pequeño o lineales opacidad en el centro de uno normal . más obvio dentro de 1 cm de una superficie pleural.  un patrón de árbol en gemación indicando pequeña vías respiratorias.
  • 21.
    EMPEDRADO PATRON CRAZY PAVING CT-scans. Este patrón aparece como septos interlobulillares engrosados ​y intralobular líneas superpuestas en una fondo de vidrio deslustrado. semejante a una forma irregular pavimentación piedras.  El patrón de empedrado es a menudo bien delimitado.  También se informó originalmente en pacientes con proteinosis alveolar y también se encuentra en enfermedades que afectan tanto al intersticio y los compartimientos del espacio aéreo, tales como neumonía lipoide .
  • 23.
    QUISTE  Es cualquierronda circunscrito espacio que está rodeado por una pared epitelial o fibroso de la variable espesor .  RX y TAC -Un quiste aparece como una radiolucencia del parénquima ronda o bajo de atenuación con un área bien definida interfaz con pulmonar normal.  Quistes tienen espesor de pared variable, pero son generalmente de paredes delgadas (? 2 mm)  Los quistes en el pulmón generalmente contienen aire, pero contienen ocasionalmente líquido o material sólido.
  • 24.
    OPACIDAD DE VIDRIOESMERILADO  RX y TAC- aparece como un área de mayor pulmón brumoso, opacidad, generalmente extensa.  tac aparece como opacidad nebuloso, aumento del pulmón, con preservación bronquial y vascular .  parcial relleno de los espacios aéreos, engrosamiento intersticial (debido al líquido, células, y / o fibrosis), colapso parcial de los alvéolos, el aumento de capilar de volumen de sangre, o una combinación de estos, el factor común es el desplazamiento parcial del aire.
  • 25.
    PANAL DE ABEJA  Representa un pulmón destruido y fibrótico que contiene numerosos espacios aéreos quísticos con gruesas paredes fibrosas.  Con pérdida completa de la arquitectura acinar.  Los quistes varían en tamaño desde unos pocos milímetros a varios centímetros de diámetro, tener un espesor de pared variable, y están revestidos por epitelio bronquiolar metaplásico.  RX y TAC :aparece como anillo, típicamente 3-10 mm de diámetro con paredes de 1-3 mm de espesor, que se asemejan a un nido de abeja; el hallazgo implica etapa final de enfermedad pulmonar.  En la TC espacios quísticos aire, diámetros de 3-10 m, ocasionalmente tan grande como 2,5 cm .  Panal suele ser subpleural y se caracteriza por pared definida.  panal de abeja a menudo se considera específico para la fibrosis pulmonar y es una criterio importante en el diagnóstico de neumonía intersticial .
  • 26.
    FIBROSIS PULMONAR IDIOPATICA Es una forma específica de fibrosis crónica  se caracteriza por patrón de neumonía intersticial usual.  Radiografías y TAC :  hallazgos típicos de imagen opacidades y panal de abeja, con distribución predominantemente periférica y basal. Opacidad en vidrio esmerilado,
  • 27.
    ATELECTASIA LINEAL  RXy TAC . atelectasia lineal es un área focal.  atelectasia con una configuración lineal, casi siempre se extiende a la pleura.  Es comúnmente horizontal pero a veces oblicua o vertical.  El espesor de la atelectasia puede variar desde unos pocos milímetros a más de 1cm  Atelectasia lineal es también llamado como atelectasia discoide o forma de placa.
  • 28.
    PATRON NODULAR  Radiografíasy TAC - se caracteriza en las rx de tórax por la presencia de innumerables pequeñas opacidades redondeadas que son discretas y el rango de diámetro de 2 a 10 mm .  La distribución se extiende, pero no necesariamente uniforme.
  • 29.
    REDISTRIBUCION FLUJO SANGUINEO PULMONAR se refiere a cualquier salida a partir de la distribución normal del flujo sanguíneo en los pulmones.  Es causada por un aumento en la resistencia vascular pulmonar .  Rx y TAC PULMONAR- redistribución del flujo sanguíneo es indicada por una disminución en el tamaño y / o número de vasos pulmonares visibles en una o más regiones pulmonares. pacientes con desviación mitral, enfermedad de la válvula es el ejemplo arquetípico de redistribución.
  • 30.
    PATRON RETICULAR  Radiografíasy TAC-. es una colección de pequeñas lineas, opacas que en suma, producen una apariencia parecida a una red (sinónimo: reticulación) este hallazgo por lo general representa enf pulmonar intersticial.
  • 31.
    PATRON RETICULO NODULAR RX y TAC – combinado patrón reticular y nodular, suele ser el resultado de la suma de los puntos de intersección de innumerables líneas, creando el efecto en las rx de tórax de micromódulos.  la dimensión de los nódulos depende de la tamaño y el número de lineas o curvilíneas.  TAC aparece como una concurrencia reticular y micronodular . Los micronódulos puede estar situado en el centro de la reticular.