TAC EN EL TRAUMA
   ABDOMINAL



     DRA. MARTINI NATALIA
 TC MULTICORTE EN EL TRAUMA
    ABDOMINAL
   TRAUMA
   Principal causa de muerte en menores de 40
    años en países desarrollados
   Evolución desde la valoración clínico
    quirúrgica a la imagenológica
   ATLS: Rx tórax AP; pelvis AP; col. cervical
    perfil; FAST
   TC: Incremento progresivo en su utilización
Fases en su manejo según ATLS


FASE   TIEMPO   MODALIDAD RADIOLOGICA           TRATAMIENTO CLINICO
       (MIN)                                    (ATLS)
I      1-5      US (FAST)                       Estudio primario (ABCDE)
                Rx. Torax (Paciente intubado)   Resucitación
II     5-30     MDTC                            Estudio secundario
                MPR
III    > 3o     Rx. Extremidades                Tratamiento definitivo
                Scans TC adicionales
 TC MULTICORTE EN EL TRAUMA ABDOMINAL
 Objetivos del Diagnóstico por Imágenes
 Manejo interdisciplinario
 Categorización adecuada del paciente (Triage)
 Establecimiento de prioridades
 Objetivo principal: descartar lesiones
  potencialmente letales
 Korner M, Linsenmaier U CT Management in
  Multisystem Trauma

In Multislice CT, 3rd Ed, Springer Verlag, 2009: 587-598
Técnica FAST




Korner M et al Current Role of Emergency US in Patients with Major
Trauma
RadioGraphics 2008; 28:225-244
   TC MULTICORTE EN EL TRAUMA ABDOMINAL
     Técnica FAST
     1. No perder tiempo
     2. Buscar derrame pericárdico y líquido libre intra
      abdominal
     3. Si hay tiempo, buscar lesiones en órganos
      sólidos
     4. Si tiene entrenamiento buscar neumotórax
     5. Realizarlo para tener un panorama y no
      diagnóstico definitivo
     6. Trasladar a TC o a quirófano lo más
      rápidamente posible
Korner M et al Current Role of Emergency US in Patients with Major Trauma
RadioGraphics 2008; 28:225-244
TC MULTICORTE EN EL TRAUMA
         ABDOMINAL
 TC MULTICORTE EN EL TRAUMA
    ABDOMINAL
   TC MULTICORTE
   Excelente herramienta diagnóstica para
    excluir compromiso intraabdominal en
    pacientes con trauma severo
   En trauma menor su uso es controversial
   Retardo en el manejo del paciente;
    exposición a radiación ionizante
   ¿Cuándo?
 Ventajas de la TCM


 Mayor resolución espacial
 Mayor resolución temporal
 Colimación fina
 Reconstrucciones
 TCM en relación a FAST y RX
  La TCM es mejor que el FAST para la
   detección de lesiones traumáticas a
   órganos intra abdominales
  La TCM es mejor que la RX para la detección
   de lesiones clínicamente relevantes en tórax y
   sistema musculoesquelético
  Integración del área de TCM al departamento
   de emergencias

Boehm T et al Application of multislice CT (MSCT) in multiple injured patients
and its effects on
Diagnostic and therapeutic algorithms
Rofo. 2004 Dec; 176 (12) : 1734-42.
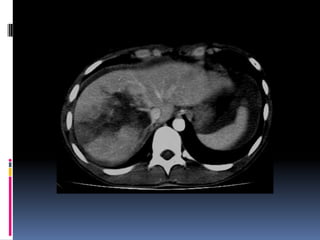
INJURIA HEPÁTICA
               Grados de severidad




RadioGraphics 2009; 29:2033–2053
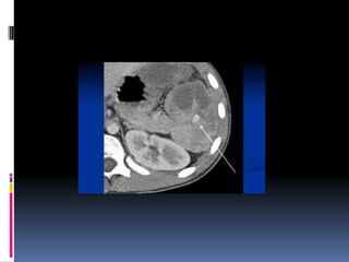
INJURIA ESPLENICA -
           Clasificación
GRADE                              DESCRIPTION

        Hematoma Subcapsular, <10% surface area
  I     Laceration Capsular tear, <1 cm parenchymal depth
        Hematoma Subcapsular, 10-50% surface area
 II     Intraparenchymal, <5 cm in diameter
        Laceration Capsular tear, 1-3 cm parenchymal depth which does not
        involve a trabecular vessel
        Hematoma Subcapsular, >50% surface area or expanding
 III    Ruptured subcapsular or parenchymal hematoma
        Intraparenchymal hematoma >5 cm or expanding
        Laceration >3 cm parenchymal depth or involving trabecular vessels
        Laceration Laceration involving segemental or hilar vessels
 IV     producing major devascularization (>25% of spleen)
        Laceration Completely shattered spleen
 V      Vascular Hilar vascular injury which devascularizes spleen
 Segundo órgano mas afectado
 Lesiones similares a las hepáticas
 Sospecha de lesión:
   Contornos borrosos
   Líquido espacio pararrenal anterior y lateroconal
    izquierdos
   Coágulo centinela
 Pitfalls:
   Hendiduras (cleft) congénitos
   Artificios de costillas, interfases aire-líquido
    (estómago, intestino), sondas o catéteres
    metálicos
   Heterogeneidad fase arterial
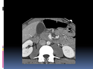
INJURIA RENAL -
             Clasificación
I Contusion Microscopic or gross
hematuria
  Hematoma Subcapsular, nonexpanding
without parenchymal laceration
II Hematoma Nonexpanding perirenal
hematoma confined to renal
retroperitoneum
   Laceracion <1 cm parenchymal depth of
renal cortex without urinary
extravasation
III Laceration <1 cm parenchymal depth
of renal cortex without collecting system
rupture or urinary extravasation
IV Laceration Parenchymal laceration
extending through the renal cortex,
medulla, and collecting system
   Vascular main renal artery or vein
injury with contained hemorrhage
V Laceration Completely shattered kidney
  Vascular Avulsion of renal hilum which
devascularizes kidney
¿LÍQUIDO LIBRE HIPERDENSO?




    Diagnóstico: RUPTURA VESICAL
INJURIA PANCREÁTICA -
    Clasificación
INJURIA PANCREÁTICA



 Resulta de la compresión de la glándula
  contra la columna vertebral
 Manubrio de bicicleta
 Clínica y laboratorio inicialmente
  inespecíficos
 Signos indirectos de lesión traumática
   Agrandamiento difuso
   Grasa peripancreática “sucia”
   Líquido periglandular
   Engrosamiento fascia pararrenal
    anterior
INJURIA DUODENAL -
            Clasificación
GRADE                             DESCRIPTION


        Hematoma Involving single portion of duodenum
  I     Laceration Partial thickness, no perforation

        Hematoma Involving more than one portion
 II     Laceration Disruption <50% circumference

        Laceration Disruption 50-75% circumference of 2nd portion
 III    Disruption 50-100% circumference of 1st, 3rd, 4th portion

        Laceration Disruption >75% circumference of 2nd portion
 IV     Involving ampulla or distal common bile duct

        Laceration Massive disruption of duodenopancreatic complex
 V      Vascular Devascularization of duodenum
MUCHAS GRACIAS POR SU ATENCIÓN

Trauma abdominal

  • 1.
    TAC EN ELTRAUMA ABDOMINAL DRA. MARTINI NATALIA
  • 2.
     TC MULTICORTEEN EL TRAUMA ABDOMINAL  TRAUMA  Principal causa de muerte en menores de 40 años en países desarrollados  Evolución desde la valoración clínico quirúrgica a la imagenológica  ATLS: Rx tórax AP; pelvis AP; col. cervical perfil; FAST  TC: Incremento progresivo en su utilización
  • 3.
    Fases en sumanejo según ATLS FASE TIEMPO MODALIDAD RADIOLOGICA TRATAMIENTO CLINICO (MIN) (ATLS) I 1-5 US (FAST) Estudio primario (ABCDE) Rx. Torax (Paciente intubado) Resucitación II 5-30 MDTC Estudio secundario MPR III > 3o Rx. Extremidades Tratamiento definitivo Scans TC adicionales
  • 4.
     TC MULTICORTEEN EL TRAUMA ABDOMINAL  Objetivos del Diagnóstico por Imágenes  Manejo interdisciplinario  Categorización adecuada del paciente (Triage)  Establecimiento de prioridades  Objetivo principal: descartar lesiones potencialmente letales  Korner M, Linsenmaier U CT Management in Multisystem Trauma In Multislice CT, 3rd Ed, Springer Verlag, 2009: 587-598
  • 5.
    Técnica FAST Korner Met al Current Role of Emergency US in Patients with Major Trauma RadioGraphics 2008; 28:225-244
  • 6.
    TC MULTICORTE EN EL TRAUMA ABDOMINAL  Técnica FAST  1. No perder tiempo  2. Buscar derrame pericárdico y líquido libre intra abdominal  3. Si hay tiempo, buscar lesiones en órganos sólidos  4. Si tiene entrenamiento buscar neumotórax  5. Realizarlo para tener un panorama y no diagnóstico definitivo  6. Trasladar a TC o a quirófano lo más rápidamente posible Korner M et al Current Role of Emergency US in Patients with Major Trauma RadioGraphics 2008; 28:225-244
  • 7.
    TC MULTICORTE ENEL TRAUMA ABDOMINAL
  • 8.
     TC MULTICORTEEN EL TRAUMA ABDOMINAL  TC MULTICORTE  Excelente herramienta diagnóstica para excluir compromiso intraabdominal en pacientes con trauma severo  En trauma menor su uso es controversial  Retardo en el manejo del paciente; exposición a radiación ionizante  ¿Cuándo?
  • 9.
     Ventajas dela TCM  Mayor resolución espacial  Mayor resolución temporal  Colimación fina  Reconstrucciones
  • 10.
     TCM enrelación a FAST y RX  La TCM es mejor que el FAST para la detección de lesiones traumáticas a órganos intra abdominales  La TCM es mejor que la RX para la detección de lesiones clínicamente relevantes en tórax y sistema musculoesquelético  Integración del área de TCM al departamento de emergencias Boehm T et al Application of multislice CT (MSCT) in multiple injured patients and its effects on Diagnostic and therapeutic algorithms Rofo. 2004 Dec; 176 (12) : 1734-42.
  • 11.
    INJURIA HEPÁTICA Grados de severidad RadioGraphics 2009; 29:2033–2053
  • 17.
    INJURIA ESPLENICA - Clasificación GRADE DESCRIPTION Hematoma Subcapsular, <10% surface area I Laceration Capsular tear, <1 cm parenchymal depth Hematoma Subcapsular, 10-50% surface area II Intraparenchymal, <5 cm in diameter Laceration Capsular tear, 1-3 cm parenchymal depth which does not involve a trabecular vessel Hematoma Subcapsular, >50% surface area or expanding III Ruptured subcapsular or parenchymal hematoma Intraparenchymal hematoma >5 cm or expanding Laceration >3 cm parenchymal depth or involving trabecular vessels Laceration Laceration involving segemental or hilar vessels IV producing major devascularization (>25% of spleen) Laceration Completely shattered spleen V Vascular Hilar vascular injury which devascularizes spleen
  • 18.
     Segundo órganomas afectado  Lesiones similares a las hepáticas  Sospecha de lesión:  Contornos borrosos  Líquido espacio pararrenal anterior y lateroconal izquierdos  Coágulo centinela
  • 23.
     Pitfalls:  Hendiduras (cleft) congénitos  Artificios de costillas, interfases aire-líquido (estómago, intestino), sondas o catéteres metálicos  Heterogeneidad fase arterial
  • 24.
    INJURIA RENAL - Clasificación I Contusion Microscopic or gross hematuria Hematoma Subcapsular, nonexpanding without parenchymal laceration
  • 25.
    II Hematoma Nonexpandingperirenal hematoma confined to renal retroperitoneum Laceracion <1 cm parenchymal depth of renal cortex without urinary extravasation
  • 26.
    III Laceration <1cm parenchymal depth of renal cortex without collecting system rupture or urinary extravasation
  • 27.
    IV Laceration Parenchymallaceration extending through the renal cortex, medulla, and collecting system Vascular main renal artery or vein injury with contained hemorrhage
  • 28.
    V Laceration Completelyshattered kidney Vascular Avulsion of renal hilum which devascularizes kidney
  • 34.
    ¿LÍQUIDO LIBRE HIPERDENSO? Diagnóstico: RUPTURA VESICAL
  • 35.
  • 36.
    INJURIA PANCREÁTICA  Resultade la compresión de la glándula contra la columna vertebral  Manubrio de bicicleta  Clínica y laboratorio inicialmente inespecíficos
  • 41.
     Signos indirectosde lesión traumática  Agrandamiento difuso  Grasa peripancreática “sucia”  Líquido periglandular  Engrosamiento fascia pararrenal anterior
  • 42.
    INJURIA DUODENAL - Clasificación GRADE DESCRIPTION Hematoma Involving single portion of duodenum I Laceration Partial thickness, no perforation Hematoma Involving more than one portion II Laceration Disruption <50% circumference Laceration Disruption 50-75% circumference of 2nd portion III Disruption 50-100% circumference of 1st, 3rd, 4th portion Laceration Disruption >75% circumference of 2nd portion IV Involving ampulla or distal common bile duct Laceration Massive disruption of duodenopancreatic complex V Vascular Devascularization of duodenum
  • 46.
    MUCHAS GRACIAS PORSU ATENCIÓN