SORAYA CORTEZ
HOSPITAL CASTEX
   El hematoma subdural (HSD) implica un
    acumulo de sangre en el espacio subdural. la
    aracnoides y la duramadre.
   12-29% de pacientes con TCE severo presentan
    HDSA.
   Más frecuente en varones (3:1).
   Más frecuente > 60 años.
   Tratamiento anticoagulante (con o sin TCE).
        Edad         Accidente coche/moto   Caidas

        18-40 años   56%                    12%

        > 65 años    22%                    56%
   Gardner teoría osmótica, sugiere, que la lisis
    de la sangre en el espacio subdural, produce
    un fluido alto en proteínas, las cuales crean
    una presión de gradiente osmótico, que atrae
    como una membrana semipermeable, liquido
    cefalorraquídeo del espacio sub aracnoideo y
    perisubdural, causando el crecimiento
    progresivo del hematoma.
   Tamaño, velocidad de crecimiento del HSDA y
    lesiones cerebrales asociadas.
   Signos:
    ◦   Anisocoria.
    ◦   Hemiparesia.
    ◦   Papiledema.
    ◦   Paresia VI.
   TAC

     Agudo      1-3 dias            Hiperdenso

     Subagudo   4º dia- 3 semanas   Isodenso



     Crónico    > 3 semanas         Hipodenso
   Masa en forma de semiluna hiperdensa.
   +/- Lesiones intraparenquimatosas.
   Desplazamiento de línea media.
   Edema cerebral.
   Obliteración de cisternas basales.
   Signos de herniación (subfacial, uncus...)
   Obliteración de astas ventriculares
    ipsilaterales y dilatación de las
    contralaterales.
Paciente masculino de 33 años de edad que
ingresa en el día 13-07-12 guardia del
Nombre: Marcelo Blaszczyszyn
presentando traumatismo craneoencefálico
provocado por caída de un tercer piso.
Al momento del examen presenta Glasgow3-
15
 HTO     18,9 %
HB       6
Plaquetas 66
   TC cerebro: Presencia de trazo fracturario a
    nivel occipital, temporo-parietal izquierda y
    hundimiento de región derecha.
   Imagen hiperdensa en región fronto-
    temporo-parietal izquierda, con
    desplazamiento de la línea media y
    borramiento de ventrículos laterales
    compatible con hemorragia subdural.
   Hiperdensidad compatible con hemorragia
    subaracnoidea.
   Cefalohematoma que recorre toda la zona
    occipital y temporal
   Paciente internado en UTI 8,
    hemodinamicamente compensado, se le
    realizo una craneotomia descompresiva.

   Se solicito placas de torax, brazo y pierna,
    donde se observa fractura de antebrazo
    (radio??) y fractura de platillo tibial
    (derecho??).

   Se realiza ecografía abdominal donde se
    observa presencia de líquido libre en espacio
    de Morrison, periesplenico y fondo de saco
    de Douglas. Se visualiza parcialmente el
    bazo. Resto sin particularidades.
   Se decide conducta quirúrgica. Ingresa
    nuevamente a quirófano.
    Al momento en UTI 8 inestable con muerte
    cerebral
   Paciente muere 25 horas despues
GRACIAS



          Nadie tiene mayor amor que este,
que uno ponga su vida por sus amigos. jn 15

Hematoma subdural

  • 1.
  • 2.
    El hematoma subdural (HSD) implica un acumulo de sangre en el espacio subdural. la aracnoides y la duramadre.
  • 3.
    12-29% de pacientes con TCE severo presentan HDSA.  Más frecuente en varones (3:1).  Más frecuente > 60 años.  Tratamiento anticoagulante (con o sin TCE). Edad Accidente coche/moto Caidas 18-40 años 56% 12% > 65 años 22% 56%
  • 4.
    Gardner teoría osmótica, sugiere, que la lisis de la sangre en el espacio subdural, produce un fluido alto en proteínas, las cuales crean una presión de gradiente osmótico, que atrae como una membrana semipermeable, liquido cefalorraquídeo del espacio sub aracnoideo y perisubdural, causando el crecimiento progresivo del hematoma.
  • 5.
    Tamaño, velocidad de crecimiento del HSDA y lesiones cerebrales asociadas.  Signos: ◦ Anisocoria. ◦ Hemiparesia. ◦ Papiledema. ◦ Paresia VI.
  • 6.
    TAC Agudo 1-3 dias Hiperdenso Subagudo 4º dia- 3 semanas Isodenso Crónico > 3 semanas Hipodenso
  • 7.
    Masa en forma de semiluna hiperdensa.  +/- Lesiones intraparenquimatosas.  Desplazamiento de línea media.  Edema cerebral.  Obliteración de cisternas basales.  Signos de herniación (subfacial, uncus...)  Obliteración de astas ventriculares ipsilaterales y dilatación de las contralaterales.
  • 28.
    Paciente masculino de33 años de edad que ingresa en el día 13-07-12 guardia del Nombre: Marcelo Blaszczyszyn presentando traumatismo craneoencefálico provocado por caída de un tercer piso. Al momento del examen presenta Glasgow3- 15 HTO 18,9 % HB 6 Plaquetas 66
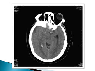
  • 29.
    TC cerebro: Presencia de trazo fracturario a nivel occipital, temporo-parietal izquierda y hundimiento de región derecha.  Imagen hiperdensa en región fronto- temporo-parietal izquierda, con desplazamiento de la línea media y borramiento de ventrículos laterales compatible con hemorragia subdural.  Hiperdensidad compatible con hemorragia subaracnoidea.  Cefalohematoma que recorre toda la zona occipital y temporal
  • 40.
    Paciente internado en UTI 8, hemodinamicamente compensado, se le realizo una craneotomia descompresiva.  Se solicito placas de torax, brazo y pierna, donde se observa fractura de antebrazo (radio??) y fractura de platillo tibial (derecho??).  Se realiza ecografía abdominal donde se observa presencia de líquido libre en espacio de Morrison, periesplenico y fondo de saco de Douglas. Se visualiza parcialmente el bazo. Resto sin particularidades.
  • 41.
    Se decide conducta quirúrgica. Ingresa nuevamente a quirófano.  Al momento en UTI 8 inestable con muerte cerebral  Paciente muere 25 horas despues
  • 42.
    GRACIAS Nadie tiene mayor amor que este, que uno ponga su vida por sus amigos. jn 15